A Novel Sucrose Isomerase Producing Isomaltulose from Raoultella terrigena
Abstract
1. Introduction
2. Materials and Methods
2.1. Materials
2.2. Gene Sequence, Plasmids, and Strains
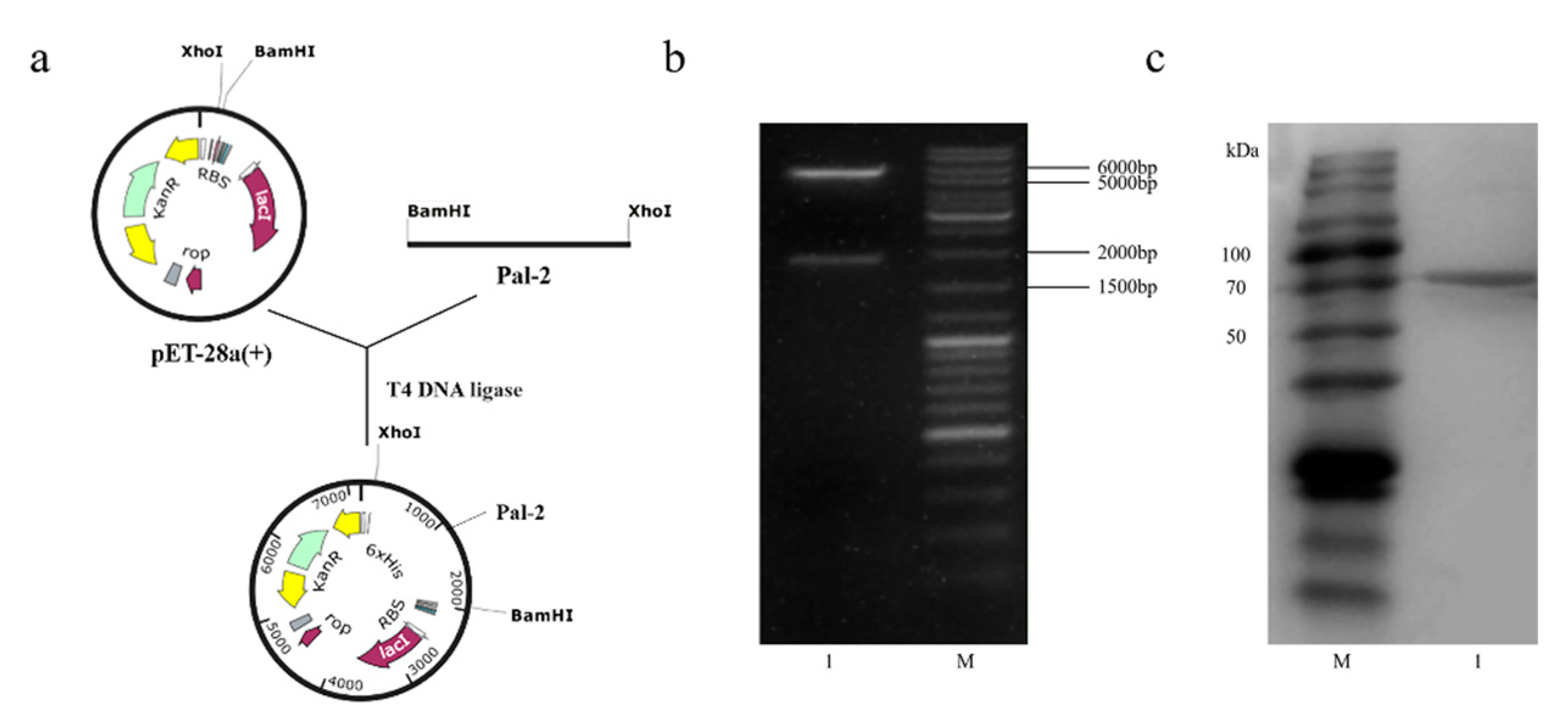
2.3. Cloning, Expression and Purification of Pal-2
2.4. Identification of Purified Pal-2
2.5. Protein Concentration Determination
2.6. Enzyme Assay
2.7. Characterization of Pal-2
2.7.1. Optimal Temperature and Thermostability
2.7.2. Optimal pH and pH Stability
2.7.3. Effect of Metal Ions and Chemical Reagents
2.7.4. Determination of Kinetic Parameters
2.8. Production of Isomaltulose
2.9. Molecular Modification
2.9.1. Homology Modeling and Molecular Docking
2.9.2. Site-Directed Mutagenesis
2.9.3. Construction of Mutants
3. Results and Discussion
3.1. Sequence Analysis of Pal-2
3.2. Construction, Expression, and Purification of Recombinant Pal-2
3.3. Characterization of Pal-2
3.3.1. Optimal Temperature and Thermostability
3.3.2. Optimal pH and pH Stability
3.3.3. Effect of Metal Ions and Chemical Reagents
3.3.4. Determination of Enzyme Kinetics
3.4. Optimization of Isomaltulose Production
3.4.1. Optimization of Enzyme Dosage for Isomaltulose Biosynthesis
3.4.2. Optimization of Sucrose Concentration for Isomaltulose Biosynthesis
3.4.3. Optimization of Reaction Time for Isomaltulose Biosynthesis
3.5. Molecular Modification of Recombinant Pal-2
3.5.1. Homology Modeling, Molecular Docking, and Design of Mutant Sites
3.5.2. Expression and Purification of Mutants
3.5.3. Enzyme Activity of Pal-2 mutants
3.5.4. Isomaltulose Conversion Rate of Pal-2 Mutants
4. Conclusions
Author Contributions
Funding
Institutional Review Board Statement
Informed Consent Statement
Data Availability Statement
Conflicts of Interest
References
- Varsamis, P.; Formosa, M.F.; Larsen, R.N.; Reddy-Luthmoodoo, M.; Jennings, G.L.; Cohen, N.D.; Grace, M.; Hawley, J.A.; Devlin, B.L.; Owen, N.; et al. Between-meal sucrose-sweetened beverage consumption impairs glycaemia and lipid metabolism during prolonged sitting: A randomized controlled trial. Clin. Nutr. 2019, 38, 1536–1543. [Google Scholar] [CrossRef]
- Keyhani-Nejad, F.; Kemper, M.; Schueler, R.; Pivovarova, O.; Rudovich, N.; Pfeiffer, A.F. Effects of Palatinose and Sucrose Intake on Glucose Metabolism and Incretin Secretion in Subjects with Type 2 Diabetes. Diabetes Care 2015, 39, 38–39. [Google Scholar] [CrossRef] [PubMed]
- Wu, H.; Chen, M.; Guang, C.; Zhang, W.; Mu, W. Characterization of a recombinant D-mannose-producing D-lyxose isomerase from Caldanaerobius polysaccharolyticus. Enzym. Microb. Technol. 2020, 138, 109553–109560. [Google Scholar] [CrossRef] [PubMed]
- Zhan, Y.; Zhu, P.; Liang, J.; Xu, Z.; Feng, X.; Liu, Y.; Xu, H.; Li, S. Economical production of isomaltulose from agricultural residues in a system with SIase displayed on Bacillus subtilis spores. Bioprocess Biosyst. Eng. 2020, 43, 75–84. [Google Scholar] [CrossRef]
- Low, N.; Sporns, P.E. Analysis and Quantitation of Minor Di- and Trisaccharides in Honey, Using Capillary Gas Chromatography. J. Food Sci. 2010, 53, 558–561. [Google Scholar] [CrossRef]
- Tian, Y.; Deng, Y.; Zhang, W.; Mu, W. Sucrose isomers as alternative sweeteners: Properties, production, and applications. Appl. Microbiol. Biot. 2019, 103, 8677–8687. [Google Scholar] [CrossRef]
- Amano, T.; Sugiyama, Y.; Okumura, J.; Fujii, N.; Kenny, G.P.; Nishiyasu, T.; Inoue, Y.; Kondo, N.; Sasagawa, K.; Enoki, Y.; et al. Effects of isomaltulose ingestion on postexercise hydration state and heat loss responses in young men. Exp. Physiol. 2019, 104, 1494–1504. [Google Scholar] [CrossRef]
- Jonker, D.; Lina, B.A.R.; Kozianowski, G. 13-Week oral toxicity study with isomaltulose (Palatinose) in rats. Food Chem. Toxicol. 2002, 40, 1383–1389. [Google Scholar] [CrossRef]
- Shyam, S.; Ramadas, A.; Chang, S.K. Isomaltulose: Recent evidence for health benefits. J. Funct. Foods 2018, 48, 173–178. [Google Scholar] [CrossRef]
- Lina, B.A.R.; Jonker, D.; Kozianowski, G. Isomaltulose (Palatinose): A review of biological and toxicological studies. Food Chem. Toxicol. 2002, 40, 1375–1381. [Google Scholar] [CrossRef]
- Minami, T.; Fujiwara, T.; Ooshima, T.; Nakajima, Y.; Hamada, S. Interaction of structural isomers of sucrose in the reaction between sucrose and glucosyltransferases from mutans streptococci. Oral Microbiol. Immunol. 2010, 5, 189–194. [Google Scholar] [CrossRef]
- Holub, I.; Gostner, A.; Theis, S.; Nosek, L.; Kudlich, T.; Melcher, R.; Scheppach, W. Novel findings on the metabolic effects of the low glycaemic carbohydrate isomaltulose (Palatinose™). Br. J. Nutr. 2010, 103, 1730–1737. [Google Scholar] [CrossRef]
- Egi, M.; Toda, Y.; Katayama, H.; Yokoyama, M.; Morita, K.; Arai, H.; Yamatsuji, T.; Bailey, M.; Naomoto, Y. Safer glycemic control using isomaltulose-based enteral formula: A pilot randomized crossover trial. J. Crit. Care 2010, 25, 90–96. [Google Scholar] [CrossRef]
- Wang, Z.P.; Wang, Q.Q.; Liu, S.; Liu, X.F.; Yu, X.J.; Jiang, Y.L. Efficient Conversion of Cane Molasses Towards High-Purity Isomaltulose and Cellular Lipid Using an Engineered Yarrowia lipolytica Strain in Fed-Batch Fermentation. Molecules 2019, 24, 1228. [Google Scholar] [CrossRef] [PubMed]
- Kim, Y.; Koo, B.S.; Lee, H.C.; Yoon, Y. Improved production of isomaltulose by a newly isolated mutant of Serratia sp. cells immobilized in calcium alginate. Can. J. Microbiol. 2015, 61, 193–199. [Google Scholar] [CrossRef] [PubMed]
- Ravaud, S.; Watzlawick, H.; Haser, R.; Mattes, R.; Aghajari, N. Overexpression, purification, crystallization and preliminary diffraction studies of the Protaminobacter rubrum SIase SmuA. Acta Crystallogr. F 2006, 62, 74–76. [Google Scholar] [CrossRef]
- Li, S.; Cai, H.; Qing, Y.; Ren, B.; Xu, H.; Zhu, H.; Yao, J. Cloning and Characterization of a SIase from Erwinia rhapontici NX-5 for Isomaltulose Hyperproduction. Appl. Biochem. Biotech. 2011, 163, 52–63. [Google Scholar] [CrossRef] [PubMed]
- Krastanov, A.; Yoshida, T. Production of palatinose using Serratia plymuthicacells immobilized in chitosan. J. Ind. Microbiol. Biot. 2003, 30, 593–598. [Google Scholar] [CrossRef]
- Cho, M.H.; Park, S.E.; Lim, J.K.; Kim, J.S.; Kim, J.H.; Kwon, D.Y.; Park, C.S. Conversion of sucrose into isomaltulose by Enterobacter sp. FMB1, an isomaltulose-producing microorganism isolated from traditional Korean food. Biotechnol. Lett. 2007, 29, 453–458. [Google Scholar] [CrossRef]
- Huang, J.H.; Hsu, L.H.; Su, Y.C. Conversion of sucrose to isomaltulose by Klebsiella planticola CCRC 19112. J. Ind. Microbiol. Biot. 1998, 21, 22–27. [Google Scholar] [CrossRef]
- Wu, L.; Birch, R.G. Characterization of Pantoea dispersa UQ68J: Producer of a highly efficient SIase for isomaltulose biosynthesis. J. Appl. Microbiol. 2010, 97, 93–103. [Google Scholar] [CrossRef]
- Miyata, Y.; Sugitani, T.; Tsuyuki, K.I.; Ebashi, T.; Nakajima, Y. Isolation and Characterization of Pseudomonas mesoacidophila Producing Trehalulose—Bioscience, Biotechnology, and Biochemistry. Biosci. Biotech. Bioch. 1992, 56, 1680–1681. [Google Scholar] [CrossRef]
- Nagai-Miyata, Y.; Tsuyuki, K.I.; Sugitani, T.; Ebashi, T.; Nakajima, Y. Isolation and Characterization of a Trehalulose-producing Strain of Agrobacterium. Biosci. Biotech. Bioch. 1993, 57, 2049–2053. [Google Scholar] [CrossRef]
- Kawaguti, H.Y.; Celestino, É.M.; Moraes, A.L.; Yim, D.K.; Yamamoto, L.K.; Sato, H.H. Characterization of a glucosyltransferase from Erwinia sp. D12 and the conversion of sucrose into isomaltulose by immobilized cells. Biochem. Eng. J. 2010, 48, 211–217. [Google Scholar] [CrossRef]
- Véronèse, T.; Perlot, P. Mechanism of sucrose conversion by the SIase of Serratia plymuthica ATCC 15928. Enzyme Microb. Technol. 1999, 24, 263–269. [Google Scholar] [CrossRef]
- Smith, P.K. Measurement of protein using bicinchoninic acid. Anal. Biochem. 1985, 150, 76–85. [Google Scholar] [CrossRef]
- Biasini, M.; Bienert, S.; Waterhouse, A.; Arnold, K.; Studer, G.; Schmidt, T.; Kiefer, F.; Cassarino, T.G.; Bertoni, M.; Bordoli, L.; et al. SWISS-MODEL: Modelling protein tertiary and quaternary structure using evolutionary information. Nucleic Acids Res. 2014, 42, 252–258. [Google Scholar] [CrossRef] [PubMed]
- Laskowski, R.A.; Macarthur, M.W.; Moss, D.S. PROCHECK: A program to check the stereochemical quality of protein structures. J. Appl. Crystallogr. 1993, 26, 283–291. [Google Scholar] [CrossRef]
- Morris, G.M.; Huey, R.; Lindstrom, W.; Sanner, M.F.; Belew, R.K.; Goodsell, D.S.; Olson, A.J. AutoDock4 and AutoDockTools4: Automated docking with selective receptor flexibility. J. Comput. Chem. 2009, 30, 2785–2791. [Google Scholar] [CrossRef] [PubMed]
- Bendl, J.; Stourac, J.; Sebestova, E.; Vavra, O.; Musil, M.; Brezovsky, J.; Damborsky, J. HotSpot Wizard 2.0: Automated design of site-specific mutations and smart libraries in protein engineering. Nucleic Acids Res. 2016, 44, 479–487. [Google Scholar] [CrossRef] [PubMed]
- Zhang, D.; Li, N.; Lok, S.M.; Zhang, L.H.; Swaminathan, K. Isomaltulose synthase (PalI) of Klebsiella sp. LX3.Crystal structure and implication of mechanism. J. Biol. Chem. 2003, 278, 35428–35434. [Google Scholar] [CrossRef]
- Zhang, D.; Li, N.; Swaminathan, K.; Zhang, L.H. A motif rich in charged residues determines product specificity in isomaltulose synthase. FEBS Lett. 2003, 534, 151–155. [Google Scholar] [CrossRef]
- Mozhaev, V.V. Mechanism-based strategies for protein thermostabilization. Trends Biotechnol. 1993, 11, 88–95. [Google Scholar] [CrossRef]
- Kawaguti, H.Y.; Sato, H.H. Palatinose production by free and Ca-alginate gel immobilized cells of Erwinia sp. Biochem. Eng. J. 2007, 36, 202–208. [Google Scholar] [CrossRef]
- Aroonnual, A.; Nihira, T.; Seki, T.; Panbangred, W. Role of several key residues in the catalytic activity of SIase from Klebsiella pneumoniae NK33-98-8. Enzym. Microb. Technol. 2007, 40, 1221–1227. [Google Scholar] [CrossRef]
- Chen, Z.; Xu, L.; Liang, Y.; Zhao, M. pH-Sensitive Water-Soluble Nanospheric Imprinted Hydrogels Prepared as Horseradish Peroxidase Mimetic Enzymes. Adv. Mater. 2010, 22, 1488–1492. [Google Scholar] [CrossRef] [PubMed]
- Zhou, X. Expression and characterization of sucrose isomeras from Erwinia rhapontici. Ind. Microbiol. 2011. [Google Scholar] [CrossRef]
- Shen, S.C.; Wu, J.S.B. Maillard Browning in Ethanolic Solution. J. Food Sci. 2004, 69, 273–279. [Google Scholar] [CrossRef]
- Wu, L.; Birch, B.G. Characterization of the Highly Efficient SIase from Pantoea dispersa UQ68J and Cloning of the SIase Gene. Appl. Environ. Microb. 2005, 71, 1581–1590. [Google Scholar] [CrossRef]
- Lee, G.Y.; Jung, J.H.; Seo, D.H.; Hansin, J.; Ha, S.J.; Cha, J.; Kim, Y.S.; Park, C.S. Isomaltulose production via yeast surface display of sucrose isomerase from Enterobacter sp. FMB-1 on Saccharomyces cerevisiae. Bioresour. Technol. 2011, 102, 9179–9184. [Google Scholar] [CrossRef]
- Duan, X.; Cheng, S.; Ai, Y.; Wu, J. Enhancing the Thermostability of Serratia plymuthica Sucrose Isomerase Using B-Factor-Directed Mutagenesis. PLoS ONE 2016, 11, e0149208. [Google Scholar] [CrossRef]
- Mundra, P.; Desai, K.; Lele, S.S. Application of response surface methodology to cell immobilization for the production of palatinose. Bioresour. Technol. 2007, 98, 2892–2896. [Google Scholar] [CrossRef] [PubMed]
- Zhang, W.; Fang, D.; Zhang, T.; Zhou, L.; Jiang, B.; Mu, W. Characterization of a Metal-Dependent d-Psicose 3-Epimerase from a Novel Strain, Desmospora sp. 8437. J. Agric. Food Chem. 2013, 61, 11468–11476. [Google Scholar] [CrossRef] [PubMed]
- Chen, Z.; Xu, W.; Zhang, W.; Zhang, T.; Jiang, B.; Mu, W. Characterization of a thermostable recombinant l-rhamnose isomerase from Caldicellulosiruptor obsidiansis OB47 and its application for the production of L-fructose and L-rhamnulose. J. Sci. Food Agric. 2018, 98, 2184–2193. [Google Scholar] [CrossRef] [PubMed]
- Carrasco-López, C.; Godoy, C.; de Las Rivas, B.; Fernández-Lorente, G.; Palomo, J.M.; Guisán, J.M.; Fernández-Lafuente, R.; Martínez-Ripoll, M.; Hermoso, J.A. Activation of Bacterial Thermoalkalophilic Lipases Is Spurred by Dramatic Structural Rearrangements. J. Biol. Chem. 2009, 284, 4365–4372. [Google Scholar] [CrossRef] [PubMed]
- Mu, W.; Li, W.; Wang, X.; Zhang, T.; Jiang, B. Current studies on SIase and biological isomaltulose production using SIase. Appl. Microbiol. Biot. 2014, 98, 6569–6582. [Google Scholar] [CrossRef] [PubMed]
- Hang, H.; Mu, W.; Jiang, B.; Zhao, M.; Zhou, L.L.; Zhang, T.; Miao, M. DFA III production from inulin with inulin fructotransferase in ultrafiltration membrane bioreactor. J. Biosci. Bioeng. 2012, 113, 55–57. [Google Scholar] [CrossRef]





| Primer | Sequence (5′-3′) |
|---|---|
| N498P-F | CGTGAACTGACCGAACCCAAATCTGTGCTGAAC |
| N498P-R | GTTCAGCACAGATTTGGGTTCGGTCAGTTCACG |
| Q275R-F | GGGTCCGAACATCCACCGTTATATCCAGGAAATGAAC |
| Q275R-R | GTTCATTTCCTGGATATAACGGTGGATGTTCGGACCC |
| V355A-F | CAAAATGGATACCACCGCGGGTGAATACGGTTGGAAC |
| V355A-R | GTTCCAACCGTATTCACCCGCGGTGGTATCCATTTTG |
| A492E-F | CTACGTACAGATTAACGCGGAACGTGAACTGACCGAAAAC |
| A492E-R | GTTTTCGGTCAGTTCACGTTCCGCGTTAATCTGTACGTAG |
| Y246L-F | GTTTCGATACCGTTGCGACCCTGTCCAAAATCCCAGGTTTTC |
| Y246L-R | GAAAACCTGGGATTTTGGACAGGGTCGCAACGGTATCGAAAC |
| H481P-F | GTAAACCGTGGTTCCCGGTAAACCCGAACTAC |
| H481P-R | GTAGTTCGGGTTTACCGGGAACCACGGTTTAC |
| R310P-F | CTCAGTTCTTTGACCCGCGCCGTCATGAACTG |
| R310P-R | CAGTTCATGACGGCGCGGGTCAAAGAACTGAG |
| H287R-F | GTGAAGTGCTGTCCCGTTATGACGTGGCAAC |
| H287R-R | GTTGCCACGTCATAACGGGACAGCACTTCAC |
| Percentage Identity | ||||||||||
|---|---|---|---|---|---|---|---|---|---|---|
| Gluha | Pecto | Rhizo | Pandi | Ente | Rate | KleLX3 | Klepn | Erwi | Serra | |
| Gluha | 100 | 49.65 | 51.09 | 51.39 | 51.13 | 51.31 | 50.71 | 50.17 | 51.3 | 50.88 |
| Pecto | 49.65 | 100 | 68.04 | 64.72 | 65.33 | 64.66 | 67.61 | 65.27 | 65.11 | 67.52 |
| Rhizo | 51.09 | 68.04 | 100 | 67.15 | 68.47 | 70.09 | 69.49 | 69.49 | 67.5 | 70.05 |
| Pandi | 51.39 | 64.72 | 67.15 | 100 | 67.28 | 70.47 | 71.25 | 68.74 | 68.73 | 71.38 |
| Ente | 51.13 | 65.33 | 68.47 | 67.28 | 100 | 79.63 | 82.63 | 81.27 | 69.62 | 71.86 |
| Rate | 51.31 | 64.66 | 70.09 | 70.47 | 79.63 | 100 | 88.25 | 87.12 | 70.95 | 73.22 |
| KleLX3 | 50.71 | 67.61 | 69.49 | 71.25 | 82.63 | 88.25 | 100 | 99.3 | 71.93 | 74.2 |
| Klepn | 50.17 | 65.27 | 69.49 | 68.74 | 81.27 | 87.12 | 99.3 | 100 | 69.9 | 71.82 |
| Erwi | 51.3 | 65.11 | 67.5 | 68.73 | 69.62 | 70.95 | 71.93 | 69.9 | 100 | 78.66 |
| Serra | 50.88 | 67.52 | 70.05 | 71.38 | 71.86 | 73.22 | 74.2 | 71.82 | 78.66 | 100 |
| Temperature (°C) | Isomaltulose | Trehalulose | Monosaccharide |
|---|---|---|---|
| 20 | 74.60% | 24.20% | 1.20% |
| 30 | 76.90% | 21.40% | 2.70% |
| 40 | 78.30% | 17.80% | 3.90% |
| 50 | 75.50% | 16.70% | 7.80% |
| 60 | 73.60% | 11.80% | 14.60% |
| SIase Source | Optimal Temperature (°C) | Optimal pH | Km (mM) | Ref. |
|---|---|---|---|---|
| Erwinia rhapontici NX-5 | 30 | 5.0 | 257 | [17] |
| Erwinia rhapontici D12 | 40 | 6.0 | 138 | [24] |
| Klebsiella sp. LX3 | 35 | 6.0 | 54.6 | [31] |
| Klebsiella pneumoniae NK33-98-8 | 30 | 6.0 | 42.7 | [35] |
| Pantoea dispersa UQ68J | 35 | 6.0 | 39.9 | [39] |
| Enterobacter sp. FMB-1 | 50 | 5.0–6.0 | 49 | [40] |
| Serratia plymuthica AS9 | 30 | 6.2 | 65 | [41] |
| Erwinia rhapontici NCPPB 1578 | 30 | 7.0 | 280 | [42] |
| Enzyme | Relative Activities (%) | Conversion Rate of Isomaltulose |
|---|---|---|
| Pal-2 | 100 ± 3.3 | 81.7 ± 3.2 |
| N498P | 189.2 ± 3.5 | 84.8 ± 2.8 |
| Q275R | 142.4 ± 4.7 | 81.1 ± 3.3 |
| V355A | 122.6 ± 3.8 | 82.6 ± 2.7 |
| A492E | 103.3 ± 3.2 | 83.7 ± 3.5 |
| Y246L | 127.5 ± 3.9 | 89.1 ± 2.9 |
| H481P | 115.2 ± 2.7 | 92.4 ± 3.1 |
| R310P | 87.2 ± 2.9 | 80.5 ± 3.3 |
| H287R | 111.1 ± 3.6 | 90.7 ± 3.9 |
Publisher’s Note: MDPI stays neutral with regard to jurisdictional claims in published maps and institutional affiliations. |
© 2021 by the authors. Licensee MDPI, Basel, Switzerland. This article is an open access article distributed under the terms and conditions of the Creative Commons Attribution (CC BY) license (https://creativecommons.org/licenses/by/4.0/).
Share and Cite
Liu, L.; Yu, S.; Zhao, W. A Novel Sucrose Isomerase Producing Isomaltulose from Raoultella terrigena. Appl. Sci. 2021, 11, 5521. https://doi.org/10.3390/app11125521
Liu L, Yu S, Zhao W. A Novel Sucrose Isomerase Producing Isomaltulose from Raoultella terrigena. Applied Sciences. 2021; 11(12):5521. https://doi.org/10.3390/app11125521
Chicago/Turabian StyleLiu, Li, Shuhuai Yu, and Wei Zhao. 2021. "A Novel Sucrose Isomerase Producing Isomaltulose from Raoultella terrigena" Applied Sciences 11, no. 12: 5521. https://doi.org/10.3390/app11125521
APA StyleLiu, L., Yu, S., & Zhao, W. (2021). A Novel Sucrose Isomerase Producing Isomaltulose from Raoultella terrigena. Applied Sciences, 11(12), 5521. https://doi.org/10.3390/app11125521
