Next Article in Journal
SCADA Data-Based Support Vector Machine Wind Turbine Power Curve Uncertainty Estimation and Its Comparative Studies
Next Article in Special Issue
Liensinine Prevents Vascular Inflammation by Attenuating Inflammatory Mediators and Modulating VSMC Function
Previous Article in Journal
Method for Systematic Assessment of Requirement Change Risk in Industrial Practice
Previous Article in Special Issue
Scrophularia buergeriana Extract Improves Memory Impairment via Inhibition of the Apoptosis Pathway in the Mouse Hippocampus
 
 
Font Type:
Arial Georgia Verdana
Font Size:
Aa Aa Aa
Line Spacing:
Column Width:
Background:
Article

Anti-Osteoarthritic Effects of Terminalia Chebula Fruit Extract (AyuFlex®) in Interleukin-1β-Induced Human Chondrocytes and in Rat Models of Monosodium Iodoacetate (MIA)-Induced Osteoarthritis

1
Department of Biotechnology, Chonnam National University, Yeosu 59626, Korea
2
NUON Co., Ltd., Jungwon-gu, Seongnam, Gyunggi 13201, Korea
*
Author to whom correspondence should be addressed.
Appl. Sci. 2020, 10(23), 8698; https://doi.org/10.3390/app10238698
Submission received: 21 November 2020 / Revised: 1 December 2020 / Accepted: 2 December 2020 / Published: 4 December 2020

Abstract

Osteoarthritis (OA) is a general joint illness caused by the destruction of joint cartilage, and is common in the population of old people. Its occurrence is related to inflammatory reactions and cartilage degradation. AyuFlex® is an aqueous extract of Terminalia chebula fruit, and T. chebula has been utilized extensively in several traditional oriental medications for the management of diverse diseases. Pre-clinical and clinical research has shown its antioxidant and anti-inflammatory effectiveness. Nevertheless, the mechanism underlying the anti-arthritic effects of AyuFlex® remains unclear. In the current research, we proposed the ameliorating effects of AyuFlex® with respect to the incidence of OA and described the latent signalization in interleukin (IL)-1β-treated chondrocytes and MIA-incurred OA in a rat model. In vitro, AyuFlex® decreased oxidative stress and induction of pro-inflammatory cytokines and mediators as well as matrix metalloproteinases (MMPs), while also increasing the levels of collagen synthesis-related proteins. Mechanistically, we identified that AyuFlex® disrupted nuclear factor kappa B (NF-κB) and mitogen-activated protein kinase (MAPK) activation via the inhibition of NF-κB p65 and extracellular regulated protein kinase (ERK) phosphorylation. The ameliorating effects of AyuFlex® were also observed in vivo. AyuFlex® significantly inhibited the MIA-incurred increase in OA symptoms such as oxidative stress, cartilage damage, and changes in cytokines and MMPs revelation in arthrodial cartilage. Therefore, our results suggest that AyuFlex® attenuates OA progression in vivo, indicating that AyuFlex® can be suggested as an excellent therapeutic remedy for the care of OA.

1. Introduction

Osteoarthritis (OA) is a lingering joint illness accompanied by inflammation of the synovium and cartilage degeneration, causing physical disability in the elderly. Functional foods and medicines have been commonly utilized to care for OA, but pharmacological treatment of OA has limited effects [1,2]. Non-steroidal anti-inflammatory drugs (NSAIDs) are usually utilized for reducing inflammation and pain in OA. However, a long-time consumption of NSAIDs adversely affects the gastrointestinal and cardiovascular systems [3,4]. To this day, the etiology of OA is not obvious, and no effectual therapeutic treatment has been developed for OA. Therefore, safer and more effective novel agents are needed for the treatment of OA [1].
The extracellular matrix (ECM) is mostly an organization of type I and II collagen, and aggrecan, which are the main constituents of ordinary cartilage that support the arthrodial cartilage to adapt to biomechanical forces during joint activity [5]. ECM is created and retained by the chondrocytes and is controlled by SOX9, which encodes the main transcription factor for ECM homeostasis [6,7]. Many studies have shown that inflammatory reactions generally play an enormous role in the OA and contributes to chondrocyte movement and phenotype and ECM degradation [7,8,9]. Overexpression of pro-inflammatory cytokines like IL-1β and IL-6 are implicated in the etiology of OA by upregulating the matrix metalloproteinases (MMPs) and triggering ECM collapse. In particular, IL-1β exerts inflammatory reactions by considerably upregulating the production of pro-inflammatory factors, and catabolic factors, for example, leukotriene B4 (LTB4), nitric oxide (NO), and MMPs to degrade the ECM [10,11,12].
MAPK mechanisms have been revealed to play an apparent part in terms of OA biology such as matrix composition and homeostasis of cartilage [13,14]. Additionally, NF-κB mechanisms are a core controller of pro-inflammatory and catabolic factor production. When the NF-κB mechanisms are activated, NF-κB p65 is phosphorylated in the cytoplasm and ultimately translocated to the nucleus [15,16]. Practically, transitions in these mechanisms have been identified to play a crucial role in articular chondrocyte function as well as form part of OA etiology and illness progression [17].
The fruit of Terminalia chebula Retz. (Fam. Combretaceae) has been widely utilized in Ayurvedic, Iranian medicine, and Unani as a treatment for diverse diseases such as asthma, bleeding piles, sore throat, vomiting, and gout [18,19,20]. Moreover, T. chebula has been widely known to exhibit antioxidant effects by inhibiting ROS and NO production [21,22,23,24]. Clinical research has also proven that oxidative stress and inflammation contribute to OA, low back pain (LBP), and motor-related joint discomfort. The T. chebula fruit exhibits antioxidant efficacy and downregulates inflammatory cytokines; however, its therapeutic effects warrant further investigation [25,26,27,28,29].
Meanwhile, recent preclinical and clinical studies have revealed that the standardized aqueous extract of T. chebula fruit (AyuFlex®) could markedly suppress OA progression [25,30,31,32,33,34,35]. However, the underlying mechanism, the anti-arthritic effect of AyuFlex®, remains obscure. Therefore, in our study, we devised experiments to clarify the effectiveness and applications of AyuFlex®, and to evaluate the protective effectiveness of arthrodial cartilage in IL-1β-treated chondrocytes and MIA-incurred OA in a rat model.

2. Materials and Methods

2.1. AyuFlex® Preparation and Component Analyze

AyuFlex®, a water-soluble product derived from the edible fruits of T. chebula (Natreon Inc., New Brunswick, NJ, USA) [35], presents a phytochemical profile that includes ellagic acid as standardized using high-performance liquid chromatography (HPLC). Dimethyl sulfoxide (DMSO) was utilized to dissolve the AyuFlex® and was then diluted in chondrocyte culture medium for in vitro studies.

2.2. Culture and Sample Processing of Primary Human Chondrocytes (HCHs)

Primary human chondrocytes (HCHs) were provided by PromoCell Bioscience Alive GmbH (Heidelberg, Germany) and also retained in HCH culture medium complemented with fetal calf (FC) serum in CO2 incubator. When 80–90% confluence was reached, HCHs were subcultured, and cells of passage 1 were utilized for the experiment thereafter. HCHs was cultured in a 6-well plate at 1 × 105 cells per well. After 24 h, the HCH cells were exposed at each concentration of AyuFlex® (5, 10, and 20 μg/mL) and in combination with IL-1β (10 ng/mL) in a humidified incubator for 24 h. HCHs exposed with growth media including only DMSO served as the vehicle control (final concentration of DMSO 0.1%).

2.3. Cell Viability Analysis

Cell viability was conducted utilizing the 3-(4, 5-dimethylthiazol-2-yl)-2, 5-diphenyl tetrazolium bromide (MTT) assay. HCHs were exposed with each concentration of AyuFlex® (5, 10, and 20 μg/mL) during 24 h. The MTT reagent (5 mg/mL) was dispensed into each well, and the cells were maintained in a humidified incubator for 3 h. The culture supernatants were suctioned from each well, and DMSO was utilized to melt the formazan crystals. The optical density (OD) was analyzed at a wavelength of 570 nm utilizing microplate reader equipment (Tecan, Mannedorf, Switzerland).

2.4. Western Blotting

After lysing HCHs with CelLytic reagent (Sigma-Aldrich, St. Louis, MO, USA), the lysates were kept at 4 °C and centrifuged at 10,000× g for 15 min. The content of the proteins was calculated by utilizing a Bradford reagent (Bio-Rad Laboratories, Hercules, CA, USA). To separate, the proteins were applied by sodium dodecyl sulfate-polyacrylamide gel electrophoresis (SDS-PAGE) on 10% gels and then blotted to Immobilon-P membranes (Millipore, Bedford, MA, USA). The membranes were blocked with 5% skim milk in tris-buffered saline comprising 0.1% Tween-20 (TBS-T) for 1 h at 23 °C, and next with primary antibodies for β-actin, COL1A1, NF-κB p65, phospho-NF-κB p65, ERK, phospho-ERK (1:1000; Cell Signaling Technology, Inc., Danvers, MA, USA), 5-LOX, IL-6, MMP-2, -3, and -13, aggrecan (1:1000; Abcam, Cambridge, MA, USA), SOX9, COL2A1 (1:500; Santa Cruz Biotechnology, Santa Cruz, CA, USA), iNOS (1:1000; Invitrogen Life Technologies, Carlsbad, CA, USA), and leukotriene B4 (LTB4; 1:500; Enzo Life Sciences, Farmingdale, NY, USA) overnight at 4 °C. Following incubation with primary antibodies, the membranes were reacted with the goat anti-rabbit or -mouse IgG(H+L)-horseradish peroxidase (HRP) secondary antibodies for 1 h at room temperature (RT). Protein bands were detected with the chemiluminescent (ECL) reagent (GenDEPOT, Barker, TX, USA), and the intensity of bands was sensed utilizing a LuminoGraph chemiluminescent imaging instrument (Atto, Tokyo, Japan). As control for normalization, β-actin was utilized. Bands on the membranes were quantified utilizing the ImageJ program (developed at the NIH).

2.5. Animals

Sixty male Sprague-Dawley (SD) rats (6-week-old; 130‒190 g) were offered from Samtako Bio, Inc. (Osan, Korea). Whole animals were acclimated for seven days and normal animals were sorted out for experiments. The experiment was progressed under optimal conditions (22 ± 2 °C and 12 h light/dark cycles). Animals were free to consume sterile water and food. The study was conducted in compliance following the national guidelines for the management and utilization of experimental animals permitted by the Animal Ethics Committee (permission number: IV-RB-02-1910-21 of INVIVO Co. Ltd. (Chungnam, Korea)). Once a week, alterations in body weight and alterations in water and food consumption were observed.

2.6. Monosodium iodoacetate (MIA)-Incurred Osteoarthritis (OA) and Drug Administration

The left knee was shaved and then 50 μL of 0.9% sodium chloride including 3 mg monosodium iodoacetate (MIA) was injected once into the synovial cavity utilizing an insulin syringe to induce OA. After three days, the rats were randomly arranged to six groups, comprising eight rats each. A non-MIA-stimulated control group was also used: (1) Non-MIA-stimulated control + Vehicle; (2) MIA-stimulated control + Vehicle; (3) MIA + AyuFlex® 25 mg/kg; (4) MIA + AyuFlex® 50 mg/kg; (5) MIA + AyuFlex® 100 mg/kg; and (6) MIA + Ibuprofen 20 mg/kg. The test substances were homogenized in a carboxymethyl cellulose sodium salt (CMC-Na) of 0.5%. Then, the test substances were administrated orally once a day for three weeks.

2.7. Progression of OA and Hind Paw Weight-Bearing Distribution

After 0, 7, 14, and 21 days after treatment of the test substances, the whole rats were left free to roam the cage, and the walking and knee joint swelling aspect, for instance, gait disorder was precisely assessed in rats. Limping and swelling were categorized as: No change (0), Mild swelling (1), Moderate swelling (2), and Severe swelling (3). All evaluations were performed by an identical proficient evaluator, who blinded the type of test substance administered to the rats during the study period.
The normal balance of weight bearing capacity in the hind paws was impaired after OA occurrence. Rats were cautiously located in the measurement chamber of the incapacitance meter tester (IITC Life Science, Woodland Hills, CA, USA) to assess alterations in weight-bearing tolerance and the force applied by each hind limb was averaged for 10 s. The following formula: % weight distribution of left hind paw = weight on left hind limb/(weight on right hind limb + weight on left hind limb) × 100 was used to analyze the percentage distribution of the left hind paw.

2.8. Histological Examination of Joints

To determine the effectiveness of AyuFlex® on knee joint cartilage atrophy, we evaluated the histological alteration in a rat model with MIA-incurred OA. After euthanizing the animals at the end of the experiments, the knee joint was incised, fixed with 10% formalin for 24 h at 4 °C, and decalcified using 5% hydrochloric acid (Sigma-Aldrich, St. Louis, MO, USA) for four days. After removal of calcification, acetone was utilized to dehydrate the specimens, which were then embedded in paraffin. Paraffin-embedded knee joints were sliced 5 μm thick along the sagittal axis. Hematoxylin and Eosin (H&E) and Safranin-O fast green staining (Sigma-Aldrich, St. Louis, MO, USA) were utilized to stain the sliced sections. Whole stained sections were scanned utilizing the Motic EasyScan (Meyer Instrument, Houston, TX, USA) and were assessed and graded on a 0‒13 scale depending on the Mankin scoring system by a double-blinded observer.

2.9. Cartilage Protein Expression

Cartilage tissue was excised and cleaned three times in cold PBS. Cartilage was frozen by liquid nitrogen briefly and then pulverized. Protein was extracted with RIPA reagent (Tris-HCl of 50 mM, pH 7.5; sodium chloride (NaCl) of 150 mM; ethylenediaminetetraacetic acid (EDTA) of 2 mM; Triton X-100 of 1%; sodium deoxycholate of 0.5%; SDS of 0.1%; protease inhibitor of 0.1% (Roche, Mannheim, Germany)) and then centrifuged at 10,000× g during 15 min at 4 °C. Protein concentration was calculated by the same method as described above. The protein expression profiles of β-actin, 5-LOX, LTB4, IL-6, MMP-2, -3, and -13, iNOS, SOX9, aggrecan, COL1A1, and COL2A1 were confirmed by western blotting as described above.

2.10. Statistical Analysis

The results are presented as the means ± standard error of the mean (SEM) and were assessed with the SPSS program (version 22.0, SPSS Inc., Chicago, IL, USA). Student’s t-test and one-way analysis of variance (ANOVA) were utilized to compare different treatment groups, followed by multiple comparisons correction through Dunnett’s post-hoc test utilizing Origin 7.0 software (OriginLab, Northampton, MA, USA). The differences between mean values were regarded significant or intensely significant if p < 0.05 and p < 0.01, respectively.

3. Results

3.1. Effects of AyuFlex® on Cell Viability in Primary Human Chondrocytes (HCHs)

The influence of AyuFlex® on the cell viability of HCHs was confirmed by using the MTT analysis. AyuFlex® did not show cytotoxicity at any of the concentrations (5, 10, and 20 μg/mL) investigated in this study (Figure 1).

3.2. AyuFlex® Repressed the Expression of iNOS, 5-LOX, LTB4, and IL-6 in IL-1β-Treated HCHs

To confirm the anti-inflammatory effects of AyuFlex®, HCHs were simultaneously treated with each concentration of AyuFlex® (5, 10, and 20 μg/mL) and IL-1β (10 ng/mL) for 24 h. The protein presenting of iNOS, 5-LOX, LTB4, and IL-6 was investigated by western blotting. IL-1β was revealed to significantly induce the protein expression of iNOS, 5-LOX, LTB4, and IL-6 against the vehicle control. In contrast, the expression of iNOS, 5-LOX, LTB4, and IL-6 in HCHs treated with a combination of AyuFlex® and IL-1β decreased in the range of 14–46% (p < 0.01), 20–26% (p < 0.01), 44–58% (p < 0.01), and 58–74% (p < 0.01), respectively (Figure 2).

3.3. AyuFlex® Diminished the Production of MMP-2, -3, and -13 in IL-1β-Treated HCHs

As MMPs play major roles in cartilage destruction, we appraised the effects of AyuFlex® on MMP-2, -3, and -13 expression in IL-1β-treated HCHs by western blot analysis. Our results revealed that IL-1β considerably upregulated the expression of MMP-2, -3, and -13 contrasted with that in the untreated- and vehicle control treated-HCHs. Treatment of HCHs with a combination of AyuFlex® and IL-1β considerably reduced the protein expression of MMP-2, -3, and -13 in the range of 20–43% (p < 0.01), 39–72% (p < 0.01), and 38–77% (p < 0.01), respectively (Figure 3).

3.4. AyuFlex® Treatment Attenuated the Degradation of Collagen Synthesis-Involved Proteins in IL-1β-Treated HCHs

The effects of AyuFlex® on the expression of collagen synthesis-involved proteins in IL-1β-treated HCHs was investigated using western blotting. The protein levels of SOX9, aggrecan, COL1A1, and COL2A1 were assessed. As shown in Figure 4, IL-1β significantly reduced SOX9, aggrecan, COL1A1, and COL2A1 expression in contrast with that in the vehicle control. As shown in Figure 4, AyuFlex® treatment considerably upregulated the expression of SOX9, aggrecan, COL1A1, and COL2A1 compared to that in IL-1β-stimulated HCHs. Treatment with AyuFlex® (5, 10, and 20 μg/mL) increased SOX9, aggrecan, COL1A1, and COL2A1 expression compared with that in the IL-1β-stimulated HCHs (1.9–2.1-fold, p < 0.01; 1.9–2.3-fold, p < 0.01; 1.6–1.8-fold, p < 0.01; 4.7–11.1-fold, p < 0.01, respectively).

3.5. Effects of AyuFlex® on the NF-κB and MAPK Mechanisms in IL-1β-Treated HCHs

The impacts of AyuFlex® on IL-1β-triggered NF-κB and MAPK activation was confirmed with western blotting. In Figure 5A,B, it was confirmed that IL-1β conspicuously triggered phosphorylation of NF-κB p65 and ERK. In contrast, treatment with AyuFlex® alleviated this IL-1β-induced phosphorylation of NF-κB p65 and ERK in HCHs (42–49% and 53–63%, respectively), without affecting the total form of NF-κB p65 and ERK expression.

3.6. Effects of AyuFlex® on Changes in the Body Weight of Rats with Monosodium Iodoacetate (MIA)-Incurred Osteoarthritis (OA)

The effects of AyuFlex® on body weight in rats with MIA-incurred OA was investigated. The body weight of all animals was measured once a week and the changes were recorded for three weeks. No significant differences were observed between the six groups (Figure 6) for three weeks, and these results demonstrated that the body weight was not influenced by AyuFlex®.

3.7. Effects of AyuFlex® on Weight-Bearing Distribution in the Hind Paw for 21 Days in MIA-Incurred OA in Rats

To confirm progression of OA, hind paw weight-bearing capabilities and the ratio of weight distribution between the right (healthy) and left (MIA-incurred osteoarthritis) limbs was confirmed utilizing an incapacitance meter tester at days 0, 7, 14, and 21. The ratio in the MIA control group on day 7 was obviously lower than that in the normal control group, and this difference was endured until day 21. However, the ratio of the weight distribution between the left and right limbs increased in the AyuFlex® (26%, 36%, 40%) and ibuprofen (32%) groups in comparison with the MIA control group on day 7. In particular, the weight distribution of the animals treated with AyuFlex® at 25 mg/kg (42.60 ± 0.72), 50 mg/kg (45.50 ± 0.29), and 100 mg/kg (46.21 ± 0.77) returned to the normal level and showed similar results to the ibuprofen (45.34 ± 0.74) group at day 21 (Table 1). Our results revealed that AyuFlex® might alleviate OA-associated pain symptoms.

3.8. Effects of AyuFlex® on Arthritis Index (AI) for 21 Days in MIA-Incurred OA in Rats

To assess OA-associated symptoms such as limping and swelling, we observed every animal on a weekly basis. The MIA control group showed a high AI index including swelling and limping score than all other groups, which gradually decreased over time (Table 2). Rats treated with AyuFlex® at 50 mg/kg and 100 mg/kg had noticeably downregulated the AI index after day 14 compared with those treated with MIA (control group) (respectively, p < 0.01). Furthermore, AyuFlex® administered at 50 mg/kg and 100 mg/kg downregulated the AI index to a similar level as ibuprofen—the positive control—after day 14. We confirmed that the increased AI index due to OA was significantly reduced by AyuFlex®.

3.9. Effects of AyuFlex® on the Expression of iNOS, 5-LOX, LTB4, and IL-6 in Arthrodial Cartilage

To indicate the impacts of AyuFlex® on OA-upregulated inflammation, the protein expression of iNOS, 5-LOX, LTB4, and IL-6 was detected in the cartilage tissue. MIA-incurred OA enormously increased the protein levels of iNOS, 5-LOX, LTB4, and IL-6 in comparison with that in the normal control. The expression of iNOS, 5-LOX, LTB4, and IL-6 was significantly reduced in response to AyuFlex® and ibuprofen than in response to the MIA-injected group. The 25 mg/kg AyuFlex®-treated group mitigated the expression levels of iNOS, 5-LOX, LTB4, and IL-6 increased by MIA injection (19%, 7%, 3%, and 35%, respectively). Treatment with 50 mg/kg AyuFlex® obviously decreased (p < 0.01, for all conditions) the expression of iNOS, 5-LOX, LTB4, and IL-6 by 55%, 38%, 43%, and 39%, respectively, with respect to the expression levels in the MIA-treated group. The 100 mg/kg AyuFlex® significantly alleviated (p < 0.01, for all conditions) the iNOS, 5-LOX, LTB4, and IL-6 expression levels to 67%, 32%, 34%, and 44%, respectively, of those observed in the MIA-treated group (Figure 7).

3.10. Effects of AyuFlex® on Joint Pathology in MIA-Incurred OA in Rats

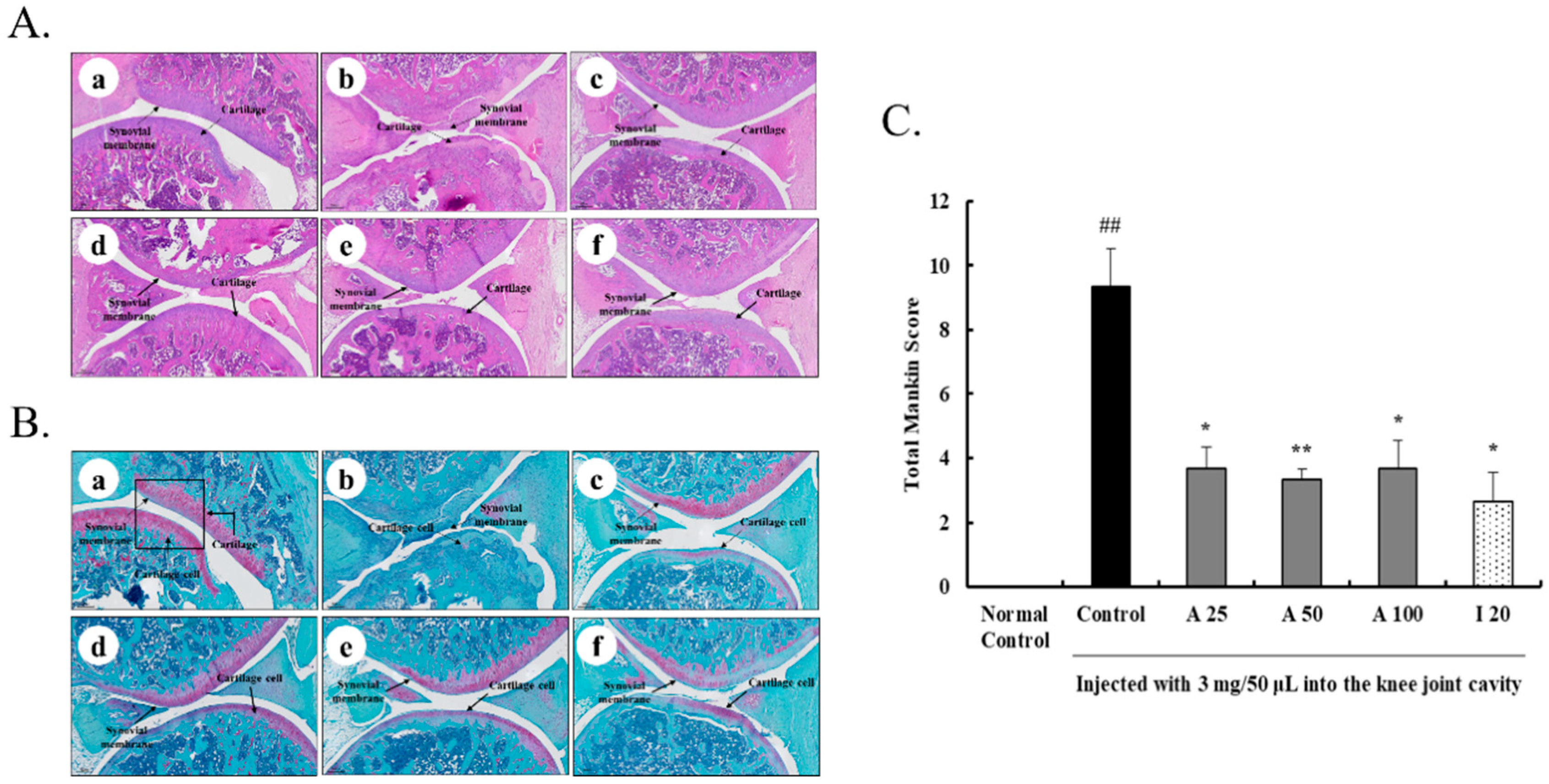
To observe the morphological alterations and seriousness of the articular destruction in the joint tissue, H&E and Safranin-O staining were conducted in rats with MIA-incurred OA. H&E staining revealed that the MIA control group revealed serious alterations in the cartilage, synovial membrane, and fibrous tissue. However, it was confirmed that administration with AyuFlex® and ibuprofen effectually relieved the structural morphological alterations in arthrodial cartilage when it was compared with the MIA (control group; Figure 8A). Additionally, we stained the proteoglycan layer with safranin-O to confirm the cartilage breakdown (Figure 8B). In the MIA control group, normal cartilage (red) was destructed and the proteoglycan layer was reduced. Conversely, the proteoglycan layer was clearly visible in animals treated with AyuFlex® at 50 mg/kg, 100 mg/kg, and ibuprofen. In addition, using the Mankin scoring system, the seriousness of OA lesions was scored as shown in Figure 8C. The Mankin score was reduced in the AyuFlex® 100 mg/kg treated group by 60% and was noticeably reduced in the AyuFlex® 50 mg/kg and ibuprofen 20 mg/kg treated groups by 64% and 71%, respectively, compared with that in response to MIA (control group).

3.11. AyuFlex® Decreased the Production of MMP-2, -3, and -13 in Arthrodial Cartilage

To identify the effects of AyuFlex® on MMPs in the cartilage tissues of OA incurred rats, the protein levels of MMP-2, -3, and -13 were evaluated. As shown in Figure 9, the injection of MIA considerably upregulated MMP-2, -3, and -13 expression than the normal control group. The protein expression of MMP-2, -3, and -13 was significantly reduced with AyuFlex® and ibuprofen treatment compared with the MIA treatment (control group). When compared with the MIA-injected group, the 25 mg/kg AyuFlex®-treated group reduced the expression levels of MMP-2, -3, and -13, by 0.1%, 14%, and 36%, respectively. Treatment with 50 mg/kg AyuFlex® substantially decreased (p < 0.01, for all conditions) the expression of MMP-2, -3, and -13, by 32%, 32%, and 48%, respectively, with respect to the expression levels in the MIA-treated group. The 100 mg/kg AyuFlex® evidently downregulated (p < 0.01, for all conditions) the MMP-2, -3, and -13 expression levels to 24%, 33%, and 52%, respectively, of those observed in the MIA-treated group (Figure 9).

3.12. AyuFlex® Treatment Attenuated the Degradation of Collagen Synthesis-Involved Proteins in Arthrodial Cartilage

To investigate the impacts of AyuFlex® on the expression of collagen synthesis-involved proteins in cartilage tissues of OA induced rats, the protein levels of SOX9, aggrecan, COL1A1, and COL2A1 were evaluated. As shown in Figure 10, injection of MIA considerably diminished SOX9, aggrecan, COL1A1, and COL2A1 expression compared with that in the normal control group. When it was compared with the MIA-injected group, the 25 mg/kg AyuFlex®-treated group upregulated the expression levels of SOX9, aggrecan, COL1A1, and COL2A1 by 1.3-fold, 1.3-fold, 3.0-fold, and 1.1-fold, respectively. Treatment with 50 mg/kg AyuFlex® considerably upregulated (p < 0.01, for all conditions) the expression of SOX9, aggrecan, COL1A1, and COL2A1 by 1.8-fold, 8.0-fold, 3.6-fold, and 1.9-fold, respectively, with respect to the expression levels in the MIA-treated group. The 100 mg/kg AyuFlex® significantly increased (p < 0.01, for all conditions) the SOX9, aggrecan, COL1A1, and COL2A1 expression levels to 1.7-fold, 8.0-fold, 4.2-fold, and 1.9-fold, respectively, of those observed in the MIA-treated group (Figure 10).

4. Discussion

OA is one of the most general chronic degenerative joint illnesses in the population of old people, which is featured by the destruction of the arthrodial cartilage. Over time, the subchondral bone thickness and various inflammatory mediators are produced in the synovial membrane [36,37]. For this reason, steroids and non-steroidal anti-inflammatory medications are mainly utilized to alleviate the progression of arthritis. However, these anti-inflammatory drugs alleviate only joint pain and swelling and have side effects when administered for a long time. Therefore, there is a need for efficacious and safe medication that not only alleviates the symptoms of OA, but also delays the progression of the disease [38].
The fruit of T. chebula has been utilized widely in a variety of traditional oriental medicine for the therapy of different diseases. It exhibits significant bioactive effects such as antioxidant and anti-inflammatory activities [18,19,20,21,22,23,24,25,26,27,28,29]. In many studies, T. chebula has been revealed to exhibit antioxidant effects by inhibiting ROS and NO production [21,22,23,24]. Therefore, we investigated the anti-osteoarthritic effects of a standardized aqueous extract of the T. chebula fruit (AyuFlex®) in IL-1β-treated chondrocytes and in a rat model of MIA-incurred OA.
IL-1β, one of the most crucial inflammatory cytokines, is mainly utilized for OA research. Chondrocytes stimulated by IL-1β provoke 5-LOX and iNOS, producing large amounts of LTB4 and NO [39]. iNOS is a major nitric oxide synthase (NOS) enzyme and is responsible for synthesizing NO [40]. In addition, 5-LOX induces LTB4, which upregulates the induction and secretion of pro-inflammatory cytokines such as IL-6 from the synovial membranes. The accumulated NO and LTB4 can stimulate cells to synthesize and release MMPs that inhibit the production of type I and II collagen, eventually leading to cartilage degradation [41,42,43,44,45]. Therefore, this inflammatory factor affects both bone absorption and joint pain. In this study, we showed that AyuFlex® downregulated iNOS and 5-LOX expression in chondrocytes stimulated by IL-1β. Furthermore, it was confirmed that AyuFlex® also inhibited LTB4 and IL-6 expression. These findings demonstrate that AyuFlex® inhibited LTB4 and IL-6 production, and these results may be connected with the regulation of iNOS and 5-LOX expression, thereby reducing the progression of OA.
Moreover, recent studies have explained that IL-1β remarkably upregulated the synthesis of cartilage matrix-degrading enzymes, for example, MMPs. MMPs have been considered one of the major enzymes that breakdown aggrecan and collagen in cartilage. Several studies have demonstrated that the appearance of MMPs is upregulated in cartilage tissues of OA patients. MMPs are enzymes that mediate the diverse role in tissue remodeling such as conversion, degradation, and destruction of the ECM [46,47,48,49]. Therefore, drugs that can suppress MMP expression can be used for the treatment of arthritis. Interestingly, our study showed that AyuFlex® prevents IL-1β-induced MMP-2, -3, and -13 expression at the protein level in chondrocytes. Collagens and proteoglycans are the essential constituent of the ECM. Most of the collagen in arthrodial cartilage is type I and II collagen, which offers the tensile strength in tissue [50,51]. The main proteoglycan in arthrodial cartilage is aggrecan, which offers structural support by keep moisture in the matrix. SOX9 is an indispensable transcription factor for controlling the appearance of many cartilage ECM genes such as COL1A1 and COL2A1 [52]. Aggrecan and collagens I and II are synthesized and secreted by chondrocytes to prevent mechanical destruction under normal circumstances. When cartilage destruction occurs, aggrecan and collagens I and II undergo significant breakdown due to increased production of proteases. These conditions promote the progression of OA [53]. Meanwhile, proteins related to matrix synthesis including aggrecan, SOX9, and collagens I and II were markedly inhibited by IL-1β. The results of the current study show that AyuFlex® can inhibit the reduction of aggrecan, SOX9, and the collagen I and II levels in IL-1β-stimulated chondrocytes. These results indicate that AyuFlex® suppresses MMPs due to downregulation of oxidative stress and inflammation development by IL-1β.
MAPK and NF-κB are two major mechanisms in the onset of OA. Activated MAPK elevated MMPs, and this mechanism is associated with cartilage destruction. The transcription factor NF-κB triggers a variety inflammatory reaction in OA. Previous studies have also shown that NF-κB is an crucial regulatory factor in the production of iNOS expression in chondrocytes [13,14,15,16]. As this signaling pathway is closely related to OA, it is recognized as a promising target in OA. Many recent studies have revealed that substances such as resveratrol and curcumin are activated as intracellular signaling molecules during anti-inflammatory action through these various signaling pathways [54,55,56,57]. Therefore, the mechanisms of NF-κB and MAPK are very important in inhibiting OA progress and we evaluated the efficacy of AyuFlex® in NF-κB and MAPK mechanisms based on these studies. In our study, IL-1β conspicuously demoted the phosphorylation of ERK and NF-κB p65. In contrast, this process could be reversed by AyuFlex® without affecting the total protein expression.
Taken together, AyuFlex® showed antioxidant, anti-inflammatory, and anti-degenerative effects in OA in an in vitro model. However, in vitro studies are not sufficient to prove the therapeutic effect of AyuFlex® on OA. Therefore, we confirmed the effects of AyuFlex® in protection against cartilage destruction in a rat model with MIA-incurred OA.
MIA is known to inhibit glycolytic signaling in cells by obstructing with glyceraldehyde-3-phosphatase activity and causes inflammation along with cartilage degeneration. Inflammatory stimulation triggers the release of cytokine and its complex biochemical interaction with other mediators, leading to OA and promoting illness symptoms, for example, pain, swelling, and stiffness [58,59,60,61]. MIA-incurred OA is an established model to affirm the anti-osteoarthritic effectiveness of candidate therapeutic agents on OA pathology. Therefore, a rat model with MIA-induced OA has been used in many studies associated with OA.
Weight bearing distribution is utilized for pain measurement and as an index of joint discomfort. MIA injections reduce it in the affected limb, indicating joint pain [62,63]. In this study, it was found that treatment with AyuFlex® and ibuprofen considerably upregulated the weight bearing distribution, indicating symptoms of pain relief. In addition, after inducing MIA, general OA symptoms such as swelling and limping in the knee joint were confirmed. In our present study, we discovered that AyuFlex® and ibuprofen treatment protected against OA symptoms in rats with MIA-incurred OA. These results indicate that the administration of AyuFlex® and ibuprofen showed a marked improvement in OA symptoms and pain-related behavior.
Exacerbation of OA symptoms is accompanied by pain and joint destruction, which is related to the expression of inflammatory cytokines [64]. Therefore, we confirmed the expression of iNOS, 5-LOX, LTB4, and IL-6 proteins in cartilage tissues in rats with MIA-incurred OA to affirm the antioxidant and anti-inflammatory effects of AyuFlex®. In our study, we confirmed that AyuFlex® treatment reduced the MIA-triggered increase in cytokine levels, and these results indicate that AyuFlex® may reduce the inflammatory response, and then the mediators can decrease cartilage damage. Therefore, based on the in vitro and in vivo studies, the use of AyuFlex® can provide anti-inflammatory effects in OA treatment.
Additionally, cartilage and proteoglycan damage were confirmed in rats with MIA-incurred OA through H&E and Safranin-O staining of the arthrodial cartilage. AyuFlex® treatment markedly inhibited MIA-induced synovial membrane damage and cartilage destruction. Moreover, it was confirmed that the expression of MMP proteins such as MMP-2, -3, and -13 was increased by MIA in cartilage tissue, whereas AyuFlex® treatment reduced MMP expression. These results indicate that AyuFlex® suppresses MMPs due to downregulation of oxidative stress and inflammation development by MIA. Therefore, based on in vitro and in vivo studies, it is suggested that the use of AyuFlex® could inhibit the decomposition of cartilage by inhibiting MMPs in OA treatment. Arthrodial cartilage damage occurs because the main component of the extracellular matrix, proteoglycan, is degraded by the MMPs. In the present study, we observed collagen synthesis-related proteins in the arthrodial cartilage. We also confirmed that AyuFlex® reduced cartilage destruction through an increase in SOX9, aggrecan, and collagen I and II levels in arthrodial cartilage. Furthermore, based on in vitro and in vivo studies, AyuFlex® revealed collagen preserving properties shown by the significantly suppressed MMPs and upregulated collagen synthesis-related proteins.
Therefore, in our research, AyuFlex® showed anti-osteoarthritic effects through the suppression of NF-κB and MAPK mechanisms, which contribute to a further understanding of the effectiveness of AyuFlex® on OA treatment. In addition, if there are additional studies such as in vivo studies of MIA-induced rat models for ellagic acid, an indicator component of AyuFlex®, we believe that the efficacy of AyuFlex® in the treatment of OA could be further demonstrated.

5. Conclusions

We report here for the first time that AyuFlex® inhibits oxidative stress, inflammation, and cartilage degradation and improves cartilage regeneration through suppressing the phosphorylation of the ERK and NF-κB p65 signaling pathways triggered by IL-1β in human chondrocytes. Moreover, we discovered the anti-osteoarthritic effects of AyuFlex® in rats with MIA-incurred OA by reducing the levels of oxidative stress, pro-inflammatory mediators, and pro-inflammatory cytokines. Additionally, AyuFlex® decreased the expression of MMPs and suppressed the destruction of synovial membrane and arthrodial cartilage, thereby suppressing the progression of OA. Furthermore, AyuFlex® revealed collagen preserving properties as shown by the significantly upregulated collagen synthesis-related proteins. These results from the in vitro and in vivo studies demonstrated that the biochemical actions of AyuFlex® relieve pain by reducing oxidative stress, inflammation, and cartilage breakdown in arthritis. These results from our study suggest that AyuFlex® could be used as a safe and effective herbal formulation in the treatment of OA among the natural products.

Author Contributions

H.L.K. and H.J.L. performed the experiments and wrote the original draft preparation. D.-R.L. and B.-K.C. conceptualized and discussed the conclusions and edited the manuscript. S.H.Y. undertook the manuscript editing and supervision. All authors have read and agreed to the published version of the manuscript.

Funding

This research received no external funding.

Acknowledgments

The authors thank Natreon Inc., New Brunswick, NJ, USA and Maypro Industries LLC, Purchase, NY, USA for providing samples, encouragement, and generous support.

Conflicts of Interest

The authors declare no conflict of interest.

References

  1. Lane, N.E.; Shidara, K.; Wise, B.L. Osteoarthritis year in review 2016: Clinical. Osteoarthr. Cartil. 2017, 25, 209–215. [Google Scholar] [CrossRef] [PubMed]
  2. Glyn-Jones, S.; Palmer, A.J.R.; Agricola, R.; Price, A.J.; Vincent, T.L.; Weinans, H.; Carr, A.J. Osteoarthritis. Lancet 2015, 386, 376–387. [Google Scholar] [CrossRef]
  3. Yang, H.J.; Kim, M.J.; Qiu, J.Y.; Zhang, T.; Wu, T.Z.; Wu, X.; Jang, D.-J.; Park, S.M. Rice Porridge Containing Welsh Onion Root Water Extract Alleviates Osteoarthritis-Related Pain Behaviors, Glucose Levels, and Bone Metabolism in Osteoarthritis-Induced Ovariectomized Rats. Nutrients 2019, 11, 1503. [Google Scholar] [CrossRef] [PubMed]
  4. Cho, S.H. Effect of Green Lipped Mussel Extract Oil Complex (Gwanjeolpalpal) on Monosodium Iodoacetate-Induced Osteoarthritis in Animal Model. J. Korean Soc. Food Sci. Nutr. 2019, 48, 206–214. [Google Scholar] [CrossRef]
  5. Olivotto, E.; Otero, M.; Marcu, K.B.; Goldring, M.B. Pathophysiology of osteoarthritis: Canonical NF-κB/IKKβ-dependent and kinase-independent effects of IKKα in cartilage degradation and chondrocyte differentiation. RMD Open 2015, 1 (Suppl. S1), e000061. [Google Scholar] [CrossRef]
  6. DeLise, A.Á.; Fischer, L.; Tuan, R.S. Cellular interactions and signaling in cartilage development. Osteoarthr. Cartil. 2000, 8, 309–334. [Google Scholar] [CrossRef]
  7. Van der Kraan, P.M.; Van den Berg, W.B. Chondrocyte hypertrophy and osteoarthritis: Role in initiation and progression of cartilage degeneration? Osteoarthr. Cartil. 2012, 20, 223–232. [Google Scholar] [CrossRef]
  8. Dreier, R. Hypertrophic differentiation of chondrocytes in osteoarthritis: The developmental aspect of degenerative joint disorders. Arthritis Res. Ther. 2010, 12, 216. [Google Scholar] [CrossRef]
  9. Goldring, S.R.; Goldring, M.B. The role of cytokines in cartilage matrix degeneration in osteoarthritis. Clin. Orthop. Relat. Res. 2004, 427, S27–S36. [Google Scholar] [CrossRef]
  10. Kelwick, R.; Desanlis, I.; Wheeler, G.N.; Edwards, D.R. The ADAMTS (A Disintegrin and Metalloproteinase with Thrombospondin motifs) family. Genome Biol. 2015, 16, 113. [Google Scholar] [CrossRef]
  11. Goldring, M.B.; Otero, M. Inflammation in osteoarthritis. Curr. Opin. Rheumatol. 2011, 23, 471. [Google Scholar] [CrossRef] [PubMed]
  12. Santangelo, K.; Nuovo, G.J.; Bertone, A.L. In vivo reduction or blockade of interleukin-1β in primary osteoarthritis influences expression of mediators implicated in pathogenesis. Osteoarthr. Cartil. 2012, 20, 1610–1618. [Google Scholar] [CrossRef] [PubMed]
  13. Zhen, X.; Wei, L.; Wu, Q.; Zhang, Y.; Chen, Q. Mitogen-activated protein kinase p38 mediates regulation of chondrocyte differentiation by parathyroid hormone. J. Biol. Chem. 2001, 276, 4879–4885. [Google Scholar] [CrossRef] [PubMed]
  14. Watanabe, H.; de Caestecker, M.P.; Yamada, Y. Transcriptional cross-talk between Smad, ERK1/2, and p38 mitogen-activated protein kinase pathways regulates transforming growth factor-β-induced aggrecan gene expression in chondrogenic ATDC5 cells. J. Biol. Chem. 2001, 276, 14466–14473. [Google Scholar] [CrossRef] [PubMed]
  15. Kumar, A.; Takada, Y.; Boriek, A.M.; Aggarwal, B.B. Nuclear factor-κB: Its role in health and disease. J. Mol. Med. 2004, 82, 434–448. [Google Scholar] [CrossRef]
  16. Csaki, C.; Mobasheri, A.; Shakibaei, M. Synergistic chondroprotective effects of curcumin and resveratrol in human articular chondrocytes: Inhibition of IL-1β-induced NF-κB-mediated inflammation and apoptosis. Arthritis Res. Ther. 2009, 11, R165. [Google Scholar] [CrossRef]
  17. Loeser, R.F.; Erickson, E.A.; Long, D.L. Mitogen-activated protein kinases as therapeutic targets in osteoarthritis. Curr. Opin. Rheumatol. 2008, 20, 581. [Google Scholar] [CrossRef]
  18. Bag, A.; Bhattacharyya, S.K.; Chattopadhyay, R.R. The development of Terminalia chebula Retz. (Combretaceae) in clinical research. Asian Pac. J. Trop. Biomed. 2013, 3, 244–252. [Google Scholar] [CrossRef]
  19. Jokar, A.; Masoomi, F.; Sadeghpour, O.; Nassiri-Toosi, M.; Hamedi, S. Potential therapeutic applications for Terminalia chebula in Iranian traditional medicine. J. Tradit. Chin. Med. 2016, 36, 250–254. [Google Scholar] [CrossRef]
  20. Sato, Y.; Oketani, H.; Singyouchi, K.; OHTSUBO, T.; KIHARA, M.; SHIBATA, H.; HIGUTI, T. Extraction and purification of effective antimicrobial constituents of Terminalia chebula RETS. against methicillin-resistant Staphylococcus aureus. Biol. Pharm. Bull. 1997, 20, 401–404. [Google Scholar] [CrossRef]
  21. Hazra, B.; Sarkar, R.; Biswas, S.; Mandal, N. Comparative study of the antioxidant and reactive oxygen species scavenging properties in the extracts of the fruits of Terminalia chebula, Terminalia belerica and Emblica officinalis. BMC Complement Altern. Med. 2010, 10, 20. [Google Scholar] [CrossRef] [PubMed]
  22. Bag, A.; Kumar Bhattacharyya, S.; Kumar Pal, N.; Ranjan Chattopadhyay, R. Anti-inflammatory, anti-lipid peroxidative, antioxidant and membrane stabilizing activities of hydroalcoholic extract of Terminalia chebula fruits. Pharm. Biol. 2013, 51, 1515–1520. [Google Scholar] [CrossRef] [PubMed]
  23. Kalaiselvan, S.; Rasool, M. Triphala exhibits anti-arthritic effect by ameliorating bone and cartilage degradation in adjuvant-induced arthritic rats. Immunol. Investig. 2015, 44, 411–426. [Google Scholar] [CrossRef] [PubMed]
  24. Saha, S.; Verma, R.J. Antioxidant activity of polyphenolic extract of Terminalia chebula Retzius fruits. J. Taibah Univ. Sci. 2016, 10, 805–812. [Google Scholar] [CrossRef]
  25. Kishore, K.K.; Kishan, P.V.; Ramakanth, G.S.H.; Chandrasekhar, N.; Usharani, P. A study of Terminalia chebula extract on endothelial dysfunction and biomarkers of oxidative stress in patients with metabolic syndrome. Eur. J. Biomed. Pharm. Sci. 2016, 3, 181–188. [Google Scholar]
  26. Vnukov, V.V.; Panina, S.B.; Krolevets, I.V.; Milutina, N.P.; Ananyan, A.A.; Zabrodin, M.A.; Plotnikov, A.A. Features of oxidative stress in the blood and the synovial fluid associated with knee osteoarthritis. Adv. Gerontol. 2015, 28, 284–289. [Google Scholar]
  27. Siems, W.; Bresgen, N.; Brenke, R.; Siems, R.; Kitzing, M.; Harting, H.; Eckl, P.M. Pain and mobility improvement and MDA plasma levels in degenerative osteoarthritis, low back pain, and rheumatoid arthritis after infrared A-irradiation. Acta Biochim. Pol. 2010, 57, 313–319. [Google Scholar] [CrossRef]
  28. Heidari, B.; Hajian-Tilaki, K.; Babaei, M. Determinants of pain in patients with symptomatic knee osteoarthritis. Casp. J. Intern. Med. 2016, 7, 153. [Google Scholar]
  29. Klyne, D.M.; Barbe, M.F.; Hodges, P.W. Systemic inflammatory profiles and their relationships with demographic, behavioural and clinical features in acute low back pain. Brain Behav. Immun. 2017, 60, 84–92. [Google Scholar] [CrossRef]
  30. Murdock, N.; Gupta, C.R.; Vega, N.; Kotora, K.; Miller, J.; Goad, T.J.; Lasher, A.M.; Canerdy, D.T.; Kalidindi, S.R. Evaluation of Terminalia chebula extract for anti-arthritic efficacy and safety in osteoarthritic dogs. J. Vet. Sci. Technol. 2016, 7. [Google Scholar] [CrossRef]
  31. Kumar, C.U.; Pokuri, V.K.; Pingali, U. Evaluation of the analgesic activity of standardized aqueous extract of Terminalia Chebula in healthy human participants using hot air pain model. J. Clin. Diagn. Res. 2015, 9, FC01. [Google Scholar] [CrossRef] [PubMed]
  32. Murdock, N. Therapeutic Efficacy and Safety Evaulation of Terminalia Chebula Extract in Moderately Arthritic Canines. Master’s Thesis, Murray State University, Murray, KY, USA, 2015. [Google Scholar]
  33. Nutalapati, C.H.; Chiranjeevi, U.K.; Kishan, P.V.; Kiran, K.K.; Pingali, U. A randomized, double-blind, placebo-controlled, parallel group clinical study to evaluate the analgesic effect of aqueous extract of Terminalia chebula, a proprietary chromium complex, and their combination in subjects with joint discomfort. Asian J. Pharm. Clin. Res. 2016, 9, 264–269. [Google Scholar]
  34. Pokuri, V.K.; Kumar, C.U.; Pingali, U. A randomized, double-blind, placebo-controlled, cross-over study to evaluate analgesic activity of Terminalia chebula in healthy human volunteers using a mechanical pain model. J. Anaesthesiol. Clin. Pharmacol. 2016, 32, 329. [Google Scholar]
  35. Lopez, H.L.; Habowski, S.M.; Sandrock, J.E.; Raub, B.; Kedia, A.; Bruno, E.J.; Ziegenfuss, T.N. Effects of dietary supplementation with a standardized aqueous extract of Terminalia chebula fruit (AyuFlex®) on joint mobility, comfort, and functional capacity in healthy overweight subjects: A randomized placebo-controlled clinical trial. BMC Complement Altern. Med. 2017, 17, 475. [Google Scholar] [CrossRef]
  36. Zhang, Y.; Li, R.; Zhong, Y.; Zhang, S.; Zhou, L.; Shang, S. Fuyuan decoction enhances SOX9 and COL2A1 expression and Smad2/3 phosphorylation in IL-1β-activated chondrocytes. Evid. Based Complement Alternat. Med. 2015, 2015, 821947. [Google Scholar] [CrossRef] [PubMed][Green Version]
  37. Loeser, R.F. Aging and osteoarthritis: The role of chondrocyte senescence and aging changes in the cartilage matrix. Osteoarthr. Cartil. 2009, 17, 971–979. [Google Scholar] [CrossRef]
  38. Altman, R.D. Practical considerations for the pharmacologic management of osteoarthritis. Am. J. Manag. Care 2009, 15 (Suppl. S8), S236–S243. [Google Scholar]
  39. Koch, B.; Baum, W.; Burmester, G.R.; Rohwer, P.; Reinke, M.; Zacher, J.; Kalden, J.R. Prostaglandin E2, interleukin 1 and gamma interferon production of mononuclear cells of patients with inflammatory and degenerative joint diseases. Z. Rheumatol. 1989, 48, 194–199. [Google Scholar]
  40. Sasaki, K.; Hattori, T.; Fujisawa, T.; Takahashi, K.; Inoue, H.; Takigawa, M. Nitric oxide mediates interleukin-1-induced gene expression of matrix metalloproteinases and basic fibroblast growth factor in cultured rabbit articular chondrocytes. J. Biochem. 1998, 123, 431–439. [Google Scholar] [CrossRef]
  41. Boileau, C.; Pelletier, J.P.; Tardif, G.; Fahmi, H.; Laufer, S.; Lavigne, M.; Martel-Pelletier, J. The regulation of human MMP-13 by licofelone, an inhibitor of cyclo-oxygenases and 5-lipoxygenase, in human osteoarthritic chondrocytes is mediated by the inhibition of the p38 MAP kinase signalling pathway. Ann. Rheum. Dis. 2005, 64, 891–898. [Google Scholar] [CrossRef]
  42. Hardy, M.M.; Seibert, K.; Manning, P.T.; Currie, M.G.; Woerner, B.M.; Edwards, D.; Koki, A.; Tripp, C.S. Cyclooxygenase 2-dependent prostaglandin E2 modulates cartilage proteoglycan degradation in human osteoarthritis explants. Arthritis Rheum. 2002, 46, 1789–1803. [Google Scholar] [CrossRef]
  43. Brinckerhoff, C.E.; Matrisian, L.M. Matrix metalloproteinases: A tail of a frog that became a prince. Nat. Rev. Mol. Cell Biol. 2002, 3, 207–214. [Google Scholar] [CrossRef] [PubMed]
  44. Klein, T.; Bischoff, R. Physiology and pathophysiology of matrix metalloproteases. Amino Acids 2011, 41, 271–290. [Google Scholar] [CrossRef]
  45. Cheleschi, S.; Pascarelli, N.A.; Valacchi, G.; Di Capua, A.; Biava, M.; Belmonte, G.; Giordani, A.; Sticozzi, C.; Anzini, M.; Fioravanti, A. Chondroprotective effect of three different classes of anti-inflammatory agents on human osteoarthritic chondrocytes exposed to IL-1β. Int. Immunopharmacol. 2015, 28, 794–801. [Google Scholar] [CrossRef]
  46. Madhavan, S.; Anghelina, M.; Rath-Deschner, B.; Wypasek, E.; John, A.; Deschner, J.; Piesco, N.; Agarwal, S. Biomechanical signals exert sustained attenuation of proinflammatory gene induction in articular chondrocytes. Osteoarthr. Cartil. 2006, 14, 1023–1032. [Google Scholar] [CrossRef] [PubMed][Green Version]
  47. Nummenmaa, E.; Hämäläinen, M.; Moilanen, T.; Vuolteenaho, K.; Moilanen, E. Effects of FGF-2 and FGF receptor antagonists on MMP enzymes, aggrecan, and type II collagen in primary human OA chondrocytes. Scand. J. Rheumatol. 2015, 44, 321–330. [Google Scholar] [CrossRef] [PubMed]
  48. Tetlow, L.C.; Adlam, D.J.; Woolley, D.E. Matrix metalloproteinase and proinflammatory cytokine production by chondrocytes of human osteoarthritic cartilage: Associations with degenerative changes. Arthritis Rheum. 2001, 44, 585–594. [Google Scholar] [CrossRef]
  49. Dean, D.D.; Martel-Pelletier, J.; Pelletier, J.P.; Howell, D.S.; Woessner, J.F. Evidence for metalloproteinase and metalloproteinase inhibitor imbalance in human osteoarthritic cartilage. J. Clin. Investig. 1989, 84, 678–685. [Google Scholar] [CrossRef]
  50. Wieland, H.A.; Michaelis, M.; Kirschbaum, B.J.; Rudolphi, K.A. Osteoarthritis—An untreatable disease? Nat. Rev. Drug Discov. 2005, 4, 331–344. [Google Scholar] [CrossRef]
  51. Heinegård, D. Fell-Muir Lecture: Proteoglycans and more–from molecules to biology. Int. J. Exp. Pathol. 2009, 90, 575–586. [Google Scholar] [CrossRef]
  52. Bell, D.M.; Leung, K.K.; Wheatley, S.C.; Ng, L.J.; Zhou, S.; Ling, K.W.; Sham, M.H.; Koopman, P.; Tam, P.P.L.; Cheah, K.S. SOX9 directly regulates the type-II collagen gene. Nat. Genet. 1997, 16, 174–178. [Google Scholar] [CrossRef] [PubMed]
  53. Wilusz, R.E.; Sanchez-Adams, J.; Guilak, F. The structure and function of the pericellular matrix of articular cartilage. Matrix Biol. 2014, 39, 25–32. [Google Scholar] [CrossRef]
  54. Shakibaei, M.; Csaki, C.; Nebrich, S.; Mobasheri, A. Resveratrol suppresses interleukin-1β-induced inflammatory signaling and apoptosis in human articular chondrocytes: Potential for use as a novel nutraceutical for the treatment of osteoarthritis. Biochem. Pharmacol. 2008, 76, 1426–1439. [Google Scholar] [CrossRef] [PubMed]
  55. Buhrmann, C.; Mobasheri, A.; Matis, U.; Shakibaei, M. Curcumin mediated suppression of nuclear factor-κB promotes chondrogenic differentiation of mesenchymal stem cells in a high-density co-culture microenvironment. Arthritis Res. Ther. 2010, 12, R127. [Google Scholar] [CrossRef] [PubMed]
  56. Shakibaei, M.; Mobasheri, A.; Buhrmann, C. Curcumin synergizes with resveratrol to stimulate the MAPK signaling pathway in human articular chondrocytes in vitro. Genes Nutr. 2011, 6, 171–179. [Google Scholar] [CrossRef]
  57. Buhrmann, C.; Popper, B.; Aggarwal, B.B.; Shakibaei, M. Resveratrol downregulates inflammatory pathway activated by lymphotoxin α (TNF-β) in articular chondrocytes: Comparison with TNF-α. PLoS ONE 2017, 12, e0186993. [Google Scholar] [CrossRef]
  58. Jeong, J.-W.; Lee, H.H.; Kim, J.S.; Choi, E.-O.; Hyun, H.-B.; Kim, H.J.; Kim, M.Y.; Ahn, K.I.; Kim, G.-Y.; Lee, K.W.; et al. Mori Folium water extract alleviates articular cartilage damages and inflammatory responses in monosodium iodoacetate-induced osteoarthritis rats. Mol. Med. Rep. 2017, 16, 3541–3848. [Google Scholar] [CrossRef]
  59. Sabri, M.I.; Ochs, S. Inhibition of glyceraldehyde-3-phosphate dehydrogenase in mammalian nerve by iodoacetic acid. J. Neurochem. 1971, 18, 1509–1514. [Google Scholar] [CrossRef]
  60. Van der Kraan, P.M.; Vitters, E.L.; van de Putte, L.B.; van den Berg, W.B. Development of osteoarthritic lesions in mice by “metabolic” and “mechanical” alterations in the knee joints. Am. J. Pathol. 1989, 135, 1001–1014. [Google Scholar]
  61. Lee, A.S.; Ellman, M.B.; Yan, D.; Kroin, J.S.; Cole, B.J.; van Wijnen, A.J.; Im, H.J. A current review of molecular mechanisms regarding osteoarthritis and pain. Gene 2013, 527, 440–447. [Google Scholar] [CrossRef]
  62. Bove, S.E.; Calcaterra, S.L.; Brooker, R.M.; Huber, C.M.; Guzman, R.E.; Juneau, P.L.; Schrier, D.J.; Kilgore, K.S. Weight bearing as a measure of disease progression and efficacy of anti-inflammatory compounds in a model of monosodium iodoacetate-induced osteoarthritis. Osteoarthr. Cartil. 2013, 11, 821–830. [Google Scholar] [CrossRef]
  63. Woo, Y.J.; Joo, Y.B.; Jung, Y.O.; Ju, J.H.; Cho, M.L.; Oh, H.J.; Jhun, J.Y.; Park, M.K.; Park, J.S.; Kang, C.M.; et al. Grape seed proanthocyanidin extract ameliorates monosodium iodoacetate-induced osteoarthritis. Exp. Mol. Med. 2011, 43, 561–570. [Google Scholar] [CrossRef] [PubMed]
  64. Kwon, J.Y.; Lee, S.H.; Na, H.-S.; Jung, K.A.; Choi, J.W.; Cho, K.-H.; Lee, C.-Y.; Kim, S.J.; Park, S.-H.; Shin, D.-Y.; et al. Kartogenin inhibits pain behavior, chondrocyte inflammation, and attenuates osteoarthritis progression in mice through induction of IL-10. Sci. Rep. 2018, 8, 1–11. [Google Scholar] [CrossRef] [PubMed]
Figure 1. Effects of AyuFlex® on cell viability in primary human chondrocytes (HCHs). HCHs were treated with each concentration of AyuFlex® (5, 10, and 20 μg/mL) for 24 h. Cell viability was evaluated utilizing the 3-(4, 5-dimethylthiazol-2-yl)-2, 5-diphenyl tetrazolium bromide (MTT) assay.
Figure 1. Effects of AyuFlex® on cell viability in primary human chondrocytes (HCHs). HCHs were treated with each concentration of AyuFlex® (5, 10, and 20 μg/mL) for 24 h. Cell viability was evaluated utilizing the 3-(4, 5-dimethylthiazol-2-yl)-2, 5-diphenyl tetrazolium bromide (MTT) assay.
Applsci 10 08698 g001
Figure 2. AyuFlex® repressed the expression of iNOS, 5-LOX, LTB4, and IL-6 in IL-1β-treated HCHs. HCHs were treated with IL-1β (10 ng/mL) single or in combination with AyuFlex® (5, 10, and 20 μg/mL) for 24 h. Effects of AyuFlex® on the expression of iNOS (135 kDa), 5-LOX (78 kDa), LTB4 (36 kDa), and IL-6 (25 kDa) in IL-1β-treated HCHs were analyzed. Protein bands were quantified utilizing ImageJ. As a control for normalization, β-actin was utilized. ## p < 0.01, in comparison with the vehicle control group. ** p < 0.01, in comparison with the IL-1β-treated control group.
Figure 2. AyuFlex® repressed the expression of iNOS, 5-LOX, LTB4, and IL-6 in IL-1β-treated HCHs. HCHs were treated with IL-1β (10 ng/mL) single or in combination with AyuFlex® (5, 10, and 20 μg/mL) for 24 h. Effects of AyuFlex® on the expression of iNOS (135 kDa), 5-LOX (78 kDa), LTB4 (36 kDa), and IL-6 (25 kDa) in IL-1β-treated HCHs were analyzed. Protein bands were quantified utilizing ImageJ. As a control for normalization, β-actin was utilized. ## p < 0.01, in comparison with the vehicle control group. ** p < 0.01, in comparison with the IL-1β-treated control group.
Applsci 10 08698 g002
Figure 3. AyuFlex® diminished the production of MMP-2, -3, and -13 in IL-1β-treated HCHs. HCHs were treated with IL-1β (10 ng/mL) single or in combination with AyuFlex® (5, 10, and 20 μg/mL) for 24 h. The expression of MMP-2 (62, 72 kDa), MMP-3 (54 kDa), and MMP-13 (54 kDa) was detected by western blot analysis. Protein bands were quantified utilizing ImageJ. As the control for normalization, β-actin was utilized. ## p < 0.01, in comparison with the vehicle control group. ** p < 0.01, in comparison with the IL-1β-treated control group.
Figure 3. AyuFlex® diminished the production of MMP-2, -3, and -13 in IL-1β-treated HCHs. HCHs were treated with IL-1β (10 ng/mL) single or in combination with AyuFlex® (5, 10, and 20 μg/mL) for 24 h. The expression of MMP-2 (62, 72 kDa), MMP-3 (54 kDa), and MMP-13 (54 kDa) was detected by western blot analysis. Protein bands were quantified utilizing ImageJ. As the control for normalization, β-actin was utilized. ## p < 0.01, in comparison with the vehicle control group. ** p < 0.01, in comparison with the IL-1β-treated control group.
Applsci 10 08698 g003
Figure 4. AyuFlex® treatment attenuated the degradation of collagen synthesis-involved proteins in IL-1β-treated HCHs. HCHs were exposed with IL-1β (10 ng/mL) single or in combination with AyuFlex® (5, 10, and 20 μg/mL) for 24 h. The expression of SOX9 (65 kDa), aggrecan (110 kDa), COL1A1 (220 kDa), and COL2A1 (190 kDa) was determined by western blotting. Protein bands were quantified utilizing ImageJ. As the control for normalization, β-actin was utilized. ## p < 0.01, in comparison with the vehicle control group. ** p < 0.01, in comparison with the IL-1β-treated control group.
Figure 4. AyuFlex® treatment attenuated the degradation of collagen synthesis-involved proteins in IL-1β-treated HCHs. HCHs were exposed with IL-1β (10 ng/mL) single or in combination with AyuFlex® (5, 10, and 20 μg/mL) for 24 h. The expression of SOX9 (65 kDa), aggrecan (110 kDa), COL1A1 (220 kDa), and COL2A1 (190 kDa) was determined by western blotting. Protein bands were quantified utilizing ImageJ. As the control for normalization, β-actin was utilized. ## p < 0.01, in comparison with the vehicle control group. ** p < 0.01, in comparison with the IL-1β-treated control group.
Applsci 10 08698 g004
Figure 5. Effects of AyuFlex® on the NF-κB and MAPK mechanisms in IL-1β-treated HCHs. HCHs were pretreated with AyuFlex® (5, 10, and 20 μg/mL) for 24 h and then incubated with IL-1β (10 ng/mL) for 30 min. (A) The expression of NF-κB p65 (65 kDa) and phospho-NF-κB p65 (65 kDa) was examined with western blotting. (B) The expression of ERK (42, 44 kDa) and phospho-ERK (42, 44 kDa) was determined by western blotting. Western blot bands were quantified utilizing ImageJ. As the control for normalization, β-actin was utilized. ## p < 0.01, in comparison with the vehicle control group. ** p < 0.01, in comparison with the IL-1β-treated control group.
Figure 5. Effects of AyuFlex® on the NF-κB and MAPK mechanisms in IL-1β-treated HCHs. HCHs were pretreated with AyuFlex® (5, 10, and 20 μg/mL) for 24 h and then incubated with IL-1β (10 ng/mL) for 30 min. (A) The expression of NF-κB p65 (65 kDa) and phospho-NF-κB p65 (65 kDa) was examined with western blotting. (B) The expression of ERK (42, 44 kDa) and phospho-ERK (42, 44 kDa) was determined by western blotting. Western blot bands were quantified utilizing ImageJ. As the control for normalization, β-actin was utilized. ## p < 0.01, in comparison with the vehicle control group. ** p < 0.01, in comparison with the IL-1β-treated control group.
Applsci 10 08698 g005
Figure 6. Effects of AyuFlex® on changes in body weight of rats with monosodium iodoacetate (MIA)-incurred osteoarthritis (OA). Body weight was evaluated once a week for three weeks and the data are presented as the mean ± SEM (n = 8/group). A, AyuFlex®; I, Ibuprofen. No significant difference was discovered between any of the groups.
Figure 6. Effects of AyuFlex® on changes in body weight of rats with monosodium iodoacetate (MIA)-incurred osteoarthritis (OA). Body weight was evaluated once a week for three weeks and the data are presented as the mean ± SEM (n = 8/group). A, AyuFlex®; I, Ibuprofen. No significant difference was discovered between any of the groups.
Applsci 10 08698 g006
Figure 7. Effects of AyuFlex® on the expression of iNOS, 5-LOX, LTB4, and IL-6 in arthrodial cartilage. The expression of iNOS (135 kDa), 5-LOX (78 kDa), LTB4 (36 kDa), and IL-6 (25 kDa) was measured by western blotting. Protein bands were quantified utilizing ImageJ. As the control for normalization, β-actin was utilized. The results are expressed as the mean ± SEM of independent experiments (n = 3/group). A, AyuFlex®; I, Ibuprofen. * p < 0.05 and ** p < 0.01, in comparison with the MIA-induced control group; ## p < 0.01, in comparison with the non-MIA induced control group.
Figure 7. Effects of AyuFlex® on the expression of iNOS, 5-LOX, LTB4, and IL-6 in arthrodial cartilage. The expression of iNOS (135 kDa), 5-LOX (78 kDa), LTB4 (36 kDa), and IL-6 (25 kDa) was measured by western blotting. Protein bands were quantified utilizing ImageJ. As the control for normalization, β-actin was utilized. The results are expressed as the mean ± SEM of independent experiments (n = 3/group). A, AyuFlex®; I, Ibuprofen. * p < 0.05 and ** p < 0.01, in comparison with the MIA-induced control group; ## p < 0.01, in comparison with the non-MIA induced control group.
Applsci 10 08698 g007
Figure 8. Effects of AyuFlex® on joint pathology in MIA-incurred OA in rats. (A) Knee joints were stained with H&E and (B) Safranin-O, (C) and graded on a scale 0‒13 scale using the Mankin scoring system. (a) Normal Control group, (b) MIA Control group, (c) MIA + AyuFlex® 25 mg/kg, (d) MIA + AyuFlex® 50 mg/kg, (e) MIA + AyuFlex® 100 mg/kg, and (f) MIA + Ibuprofen 20 mg/kg. The results are expressed as the mean ± SEM (n = 5/group). A, AyuFlex®; I, Ibuprofen. Scale bar = 300 μm. * p < 0.05 and ** p < 0.01 in comparison with the MIA-stimulated control group; ## p < 0.01, in comparison with the non-MIA induced control group.
Figure 8. Effects of AyuFlex® on joint pathology in MIA-incurred OA in rats. (A) Knee joints were stained with H&E and (B) Safranin-O, (C) and graded on a scale 0‒13 scale using the Mankin scoring system. (a) Normal Control group, (b) MIA Control group, (c) MIA + AyuFlex® 25 mg/kg, (d) MIA + AyuFlex® 50 mg/kg, (e) MIA + AyuFlex® 100 mg/kg, and (f) MIA + Ibuprofen 20 mg/kg. The results are expressed as the mean ± SEM (n = 5/group). A, AyuFlex®; I, Ibuprofen. Scale bar = 300 μm. * p < 0.05 and ** p < 0.01 in comparison with the MIA-stimulated control group; ## p < 0.01, in comparison with the non-MIA induced control group.
Applsci 10 08698 g008
Figure 9. AyuFlex® decreased the production of MMP-2, -3, and -13 in arthrodial cartilage. The expression of MMP-2 (62, 72 kDa), MMP-3 (54 kDa), and MMP-13 (54 kDa) was determined by western blotting. Protein bands were quantified using ImageJ. As the control for normalization, β-actin was utilized. The results are expressed as the mean ± SEM of independent experiments (n = 3/group). A, AyuFlex®; I, Ibuprofen. ** p < 0.01, in comparison with the MIA-induced control group; ## p < 0.01, in comparison with the non-MIA induced control group.
Figure 9. AyuFlex® decreased the production of MMP-2, -3, and -13 in arthrodial cartilage. The expression of MMP-2 (62, 72 kDa), MMP-3 (54 kDa), and MMP-13 (54 kDa) was determined by western blotting. Protein bands were quantified using ImageJ. As the control for normalization, β-actin was utilized. The results are expressed as the mean ± SEM of independent experiments (n = 3/group). A, AyuFlex®; I, Ibuprofen. ** p < 0.01, in comparison with the MIA-induced control group; ## p < 0.01, in comparison with the non-MIA induced control group.
Applsci 10 08698 g009
Figure 10. AyuFlex® treatment attenuated the degradation of collagen synthesis-involved proteins in arthrodial cartilage. The expression of SOX9 (65 kDa), aggrecan (110 kDa), COL1A1 (220 kDa), and COL2A1 (190 kDa) was determined by western blotting. Protein bands were quantified utilizing ImageJ. As the control for normalization, β-actin was utilized. The results are expressed as the mean ± SEM of independent experiments (n = 3/group). A, AyuFlex®; I, Ibuprofen. * p < 0.05 and ** p < 0.01, in comparison with the MIA-induced control group; ## p < 0.01, in comparison with the non-MIA induced control group.
Figure 10. AyuFlex® treatment attenuated the degradation of collagen synthesis-involved proteins in arthrodial cartilage. The expression of SOX9 (65 kDa), aggrecan (110 kDa), COL1A1 (220 kDa), and COL2A1 (190 kDa) was determined by western blotting. Protein bands were quantified utilizing ImageJ. As the control for normalization, β-actin was utilized. The results are expressed as the mean ± SEM of independent experiments (n = 3/group). A, AyuFlex®; I, Ibuprofen. * p < 0.05 and ** p < 0.01, in comparison with the MIA-induced control group; ## p < 0.01, in comparison with the non-MIA induced control group.
Applsci 10 08698 g010
Table 1. Effects of AyuFlex® on weight-bearing distribution in the hind paw for 21 days in MIA-incurred OA in rats. The results are expressed as the mean ± SEM (n = 8/group). A, AyuFlex®; I, Ibuprofen. * p < 0.05, ** p < 0.01, in comparison with MIA-induced control group; ## p < 0.01, in comparison with the non-MIA induced control group.
Table 1. Effects of AyuFlex® on weight-bearing distribution in the hind paw for 21 days in MIA-incurred OA in rats. The results are expressed as the mean ± SEM (n = 8/group). A, AyuFlex®; I, Ibuprofen. * p < 0.05, ** p < 0.01, in comparison with MIA-induced control group; ## p < 0.01, in comparison with the non-MIA induced control group.
TreatmentWeight Bearing Distribution (%)
Day 0Day 7Day 14Day 21
Normal Control51.33 ± 0.9549.91 ± 0.5851.05 ± 0.7548.80 ± 0.49
MIA Control30.08 ± 2.86 ##27.54 ± 3.47 ##33.45 ± 1.18 ##39.01 ± 1.31 ##
A 25 mg/kg32.07 ± 2.4034.84 ± 2.8736.95 ± 3.1742.60 ± 0.72 *
A 50 mg/kg31.75 ± 2.7037.63 ± 2.46 *39.18 ± 1.41 **45.50 ± 0.29 **
A 100 mg/kg30.56 ± 2.8038.57 ± 2.31 *40.57 ± 1.17 **46.21 ± 0.77 **
I 20 mg/kg31.41 ± 3.4536.45 ± 3.3041.53 ± 1.20 **45.34 ± 0.74 **
Table 2. Effects of AyuFlex® on arthritis index (AI) for 21 days in MIA-incurred OA in rats. The results are expressed as the mean ± SEM (n = 8/group). A, AyuFlex®; I, Ibuprofen. ** p < 0.01, in comparison with the MIA-induced control group; ## p < 0.01, in comparison with the non-MIA induced control group.
Table 2. Effects of AyuFlex® on arthritis index (AI) for 21 days in MIA-incurred OA in rats. The results are expressed as the mean ± SEM (n = 8/group). A, AyuFlex®; I, Ibuprofen. ** p < 0.01, in comparison with the MIA-induced control group; ## p < 0.01, in comparison with the non-MIA induced control group.
TreatmentArthritis Index
Day 0Day 7Day 14Day 21
Normal Control0.000.000.000.00
MIA Control2.06 ± 0.34 ##2.07 ± 0.30 ##1.56 ± 0.06 ##1.51 ± 0.12 ##
A 25 mg/kg2.10 ± 0.192.05 ± 0.251.28 ± 0.141.08 ± 0.08 **
A 50 mg/kg1.95 ± 0.201.50 ± 0.211.14 ± 0.07 **0.90 ± 0.04 **
A 100 mg/kg2.00 ± 0.201.48 ± 0.260.99 ± 0.01 **0.91 ± 0.05 **
I 20 mg/kg1.94 ± 0.211.61 ± 0.311.04 ± 0.08 **0.74 ± 0.12 **
Publisher’s Note: MDPI stays neutral with regard to jurisdictional claims in published maps and institutional affiliations.

Share and Cite

MDPI and ACS Style

Kim, H.L.; Lee, H.J.; Lee, D.-R.; Choi, B.-K.; Yang, S.H. Anti-Osteoarthritic Effects of Terminalia Chebula Fruit Extract (AyuFlex®) in Interleukin-1β-Induced Human Chondrocytes and in Rat Models of Monosodium Iodoacetate (MIA)-Induced Osteoarthritis. Appl. Sci. 2020, 10, 8698. https://doi.org/10.3390/app10238698

AMA Style

Kim HL, Lee HJ, Lee D-R, Choi B-K, Yang SH. Anti-Osteoarthritic Effects of Terminalia Chebula Fruit Extract (AyuFlex®) in Interleukin-1β-Induced Human Chondrocytes and in Rat Models of Monosodium Iodoacetate (MIA)-Induced Osteoarthritis. Applied Sciences. 2020; 10(23):8698. https://doi.org/10.3390/app10238698

Chicago/Turabian Style

Kim, Hae Lim, Hae Jin Lee, Dong-Ryung Lee, Bong-Keun Choi, and Seung Hwan Yang. 2020. "Anti-Osteoarthritic Effects of Terminalia Chebula Fruit Extract (AyuFlex®) in Interleukin-1β-Induced Human Chondrocytes and in Rat Models of Monosodium Iodoacetate (MIA)-Induced Osteoarthritis" Applied Sciences 10, no. 23: 8698. https://doi.org/10.3390/app10238698

APA Style

Kim, H. L., Lee, H. J., Lee, D.-R., Choi, B.-K., & Yang, S. H. (2020). Anti-Osteoarthritic Effects of Terminalia Chebula Fruit Extract (AyuFlex®) in Interleukin-1β-Induced Human Chondrocytes and in Rat Models of Monosodium Iodoacetate (MIA)-Induced Osteoarthritis. Applied Sciences, 10(23), 8698. https://doi.org/10.3390/app10238698

Note that from the first issue of 2016, this journal uses article numbers instead of page numbers. See further details here.

Article Metrics

Back to TopTop