The Flexor Retinaculum Connects the Surrounding Structures into the Medial Ankle Complex
Abstract
1. Introduction
2. Materials and Methods
2.1. Inclusion and Exclusion Criteria
2.2. Structures Included in The Study
2.3. Statistics
2.4. Ethics
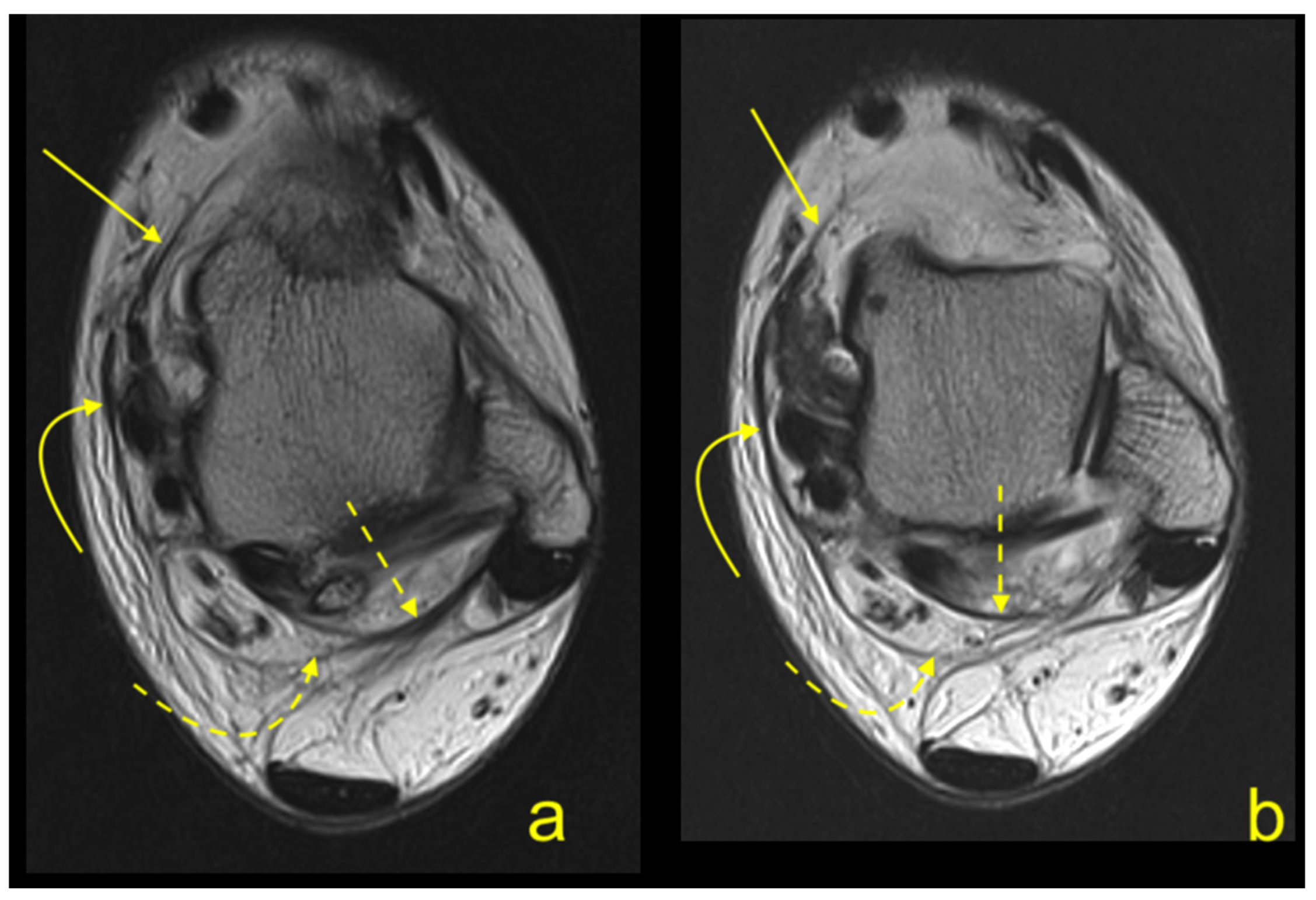
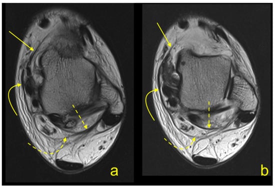
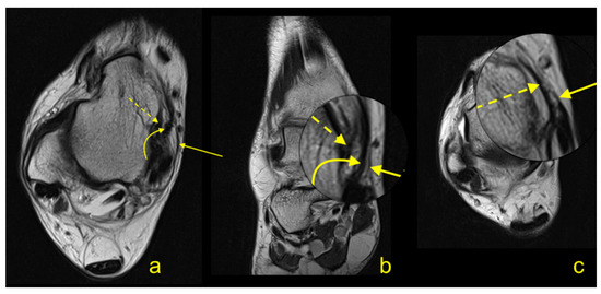
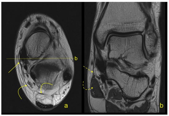
3. Results
4. Discussion
5. Conclusions
Author Contributions
Funding
Conflicts of Interest
References
- Stecco, C.; Macchi, V.; Porzionato, A.; Morra, A.; Parenti, A.; Stecco, A.; Delmas, V.; De Caro, R. The Ankle Retinacula: Morphological Evidence of the Proprioceptive Role of the Fascial System. Cells Tissues Organs 2010, 192, 200–210. [Google Scholar] [CrossRef] [PubMed]
- Goucher, N.R.; Coughlin, M.J.; Kristensen, R.M. Dislocation of the posterior tibial tendon: A literature review and presentation of two cases. Iowa Orthop. J. 2006, 26, 122–126. [Google Scholar] [PubMed]
- Gluck, G.S.; Heckman, D.S.; Parekh, S.G. Tendon Disorders of the Foot and Ankle, Part 3: The posterior tibial tendon. Am. J. Sports Med. 2010, 38, 2133–2144. [Google Scholar] [CrossRef] [PubMed]
- Szaro, P.; Ramirez, W.C.; Borkmann, S.; Bengtsson, A.; Polaczek, M.; Ciszek, B. Distribution of the subtendons in the midportion of the Achilles tendon revealed in vivo on MRI. Sci. Rep. 2020, 10, 16348. [Google Scholar] [CrossRef] [PubMed]
- Stecco, C.; Porzionato, A.; Lancerotto, L.; Stecco, A.; Macchi, V.; Day, J.A.; De Caro, R. Histological study of the deep fasciae of the limbs. J. Bodyw. Mov. Ther. 2008, 12, 225–230. [Google Scholar] [CrossRef]
- Numkarunarunrote, N.; Malik, A.; Aguiar, R.O.; Trudell, D.J.; Resnick, D. Retinacula of the Foot and Ankle: MRI with Anatomic Correlation in Cadavers. Am. J. Roentgenol. 2007, 188, W348–W354. [Google Scholar] [CrossRef]
- Erickson, S.J.; Quinn, S.F.; Kneeland, J.B.; Smith, J.W.; E Johnson, J.; Carrera, G.F.; Shereff, M.J.; Hyde, J.S.; Jesmanowicz, A. MR imaging of the tarsal tunnel and related spaces: Normal and abnormal findings with anatomic correlation. AJR Am. J. Roentgenol. 1990, 155, 323–328. [Google Scholar] [CrossRef]
- Balen, P.F.; Helms, C.A. Association of Posterior Tibial Tendon Injury with Spring Ligament Injury, Sinus Tarsi Abnormality, and Plantar Fasciitis on MR Imaging. Am. J. Roentgenol. 2001, 176, 1137–1143. [Google Scholar] [CrossRef]
- Vega, J.; Malagelada, F.; Céspedes, M.-C.M.; Dalmau-Pastor, M. The lateral fibulotalocalcaneal ligament complex: An ankle stabilizing isometric structure. Knee Surgery, Sports Traumatol. Arthrosc. 2020, 28, 8–17. [Google Scholar] [CrossRef]
- Szaro, P.; Polaczek, M.; Ciszek, B. The Kager’s fat pad radiological anatomy revised. Surg. Radiol. Anat. 2020, 1–8. [Google Scholar] [CrossRef]
- Landis, J.R.; Koch, G.G. The Measurement of Observer Agreement for Categorical Data. Biometrics 1977, 33, 159. [Google Scholar] [CrossRef]
- Muhle, C.; Frank, L.R.; Rand, T.; Yeh, L.; Wong, E.C.; Skaf, A.; Dantas, R.W.M.; Haghighi, P.; Trudell, D.; Resnick, N. Collateral Ligaments of the Ankle: High-Resolution MR Imaging with a Local Gradient Coil and Anatomic Correlation in Cadavers. Radiographics 1999, 19, 673–683. [Google Scholar] [CrossRef] [PubMed]
- Savage-Elliott, I.; Murawski, C.D.; Smyth, N.A.; Golanó, P.; Kennedy, J.G. The deltoid ligament: An in-depth review of anatomy, function, and treatment strategies. Knee Surg. Sports Traumatol. Arthrosc. 2013, 21, 1316–1327. [Google Scholar] [CrossRef] [PubMed]
- Omar, H.; Saini, V.; Wadhwa, V.; Liu, G.; Chhabra, A. Spring ligament complex: Illustrated normal anatomy and spectrum of pathologies on 3T MR imaging. Eur. J. Radiol. 2016, 85, 2133–2143. [Google Scholar] [CrossRef] [PubMed]
- Pavan, P.; Pachera, P.; Stecco, C.; Natali, A.N. Biomechanical behavior of human crural fascia in anterior and posterior regions of the lower limb. Med Biol. Eng. Comput. 2015, 53, 951–959. [Google Scholar] [CrossRef] [PubMed]
- Stecco, C.; Pavan, P.G.; Porzionato, A.; Macchi, V.; Lancerotto, L.; Carniel, E.L.; Natali, A.N.; De Caro, R. Mechanics of crural fascia: From anatomy to constitutive modelling. Surg. Radiol. Anat. 2009, 31, 523–529. [Google Scholar] [CrossRef]
- Olewnik, Ł.; Wysiadecki, G.; Polguj, M.; Topol, M. Anatomic study suggests that the morphology of the plantaris tendon may be related to Achilles tendonitis. Surg. Radiol. Anat. 2017, 39, 69–75. [Google Scholar] [CrossRef]
- Kurtys, K.; Gonera, B.; Olewnik, Ł.; Karauda, P.; Polguj, M. A highly complex variant of the plantaris tendon insertion and its potential clinical relevance. Anat. Sci. Int. 2020, 95, 553–558. [Google Scholar] [CrossRef]
- Cummins, E.J.; Anson, B.J. The structure of the calcaneal tendon (of Achilles) in relation to orthopedic surgery, with additional observations on the plantaris muscle. Surg. Gynecol. Obstet. 1946, 83, 107–116. [Google Scholar]
- Ribbans, W.J.; Garde, A. Tibialis Posterior Tendon and Deltoid and Spring Ligament Injuries in the Elite Athlete. Foot Ankle Clin. 2013, 18, 255–291. [Google Scholar] [CrossRef]
- Schuberth, J.M.; Collman, D.R.; Rush, S.M.; Ford, L.A. Deltoid ligament integrity in lateral malleolar fractures: A comparative analysis of arthroscopic and radiographic assessments. J. Foot Ankle Surg. 2004, 43, 20–29. [Google Scholar] [CrossRef] [PubMed]
- Crim, J. Medial-sided Ankle Pain: Deltoid Ligament and Beyond. Magn. Reson. Imaging Clin. N. Am. 2017, 25, 63–77. [Google Scholar] [CrossRef] [PubMed]
- Lewis, S.D.; Chew, F.S. Ankle medial flexor retinaculum avulsion fracture. Radiol. Case Rep. 2019, 14, 1144–1147. [Google Scholar] [CrossRef] [PubMed]
- A Bridgman, S.; Clement, D.; Downing, A.; Walley, G.; Phair, I.; Maffulli, N. Population based epidemiology of ankle sprains attending accident and emergency units in the West Midlands of England, and a survey of UK practice for severe ankle sprains. Emerg. Med. J. 2003, 20, 508–510. [Google Scholar] [CrossRef] [PubMed]
- Debieux, P.; Wajnsztejn, A.; Mansur, N.S.B. Epidemiology of injuries due to ankle sprain diagnosed in an orthopedic emergency room. Einstein (São Paulo) 2020, 18, eAO4739. [Google Scholar] [CrossRef] [PubMed]
- Kolt, G.S.; Kirkby, R.J. Epidemiology of injury in elite and subelite female gymnasts: A comparison of retrospective and prospective findings. Br. J. Sports Med. 1999, 33, 312–318. [Google Scholar] [CrossRef]
- Waterman, C.B.R.; Owens, B.D.; Davey, C.S.; Zacchilli, C.M.A.; Belmont, L.C.P.J. The Epidemiology of Ankle Sprains in the United States. J. Bone Jt. Surg. Am. 2010, 92, 2279–2284. [Google Scholar] [CrossRef]
- Masaragian, H.J.; Ricchetti, H.O.; Testa, C. Acute Isolated Rupture of the Spring Ligament. Foot Ankle Int. 2013, 34, 150–154. [Google Scholar] [CrossRef]
- Crema, M.; Krivokapic, B.; Guermazi, A.; Gravilovic, P.; Popovic, N.; D’Hooghe, P.; Roemer, F.W. MRI of ankle sprain: The association between joint effusion and structural injury severity in a large cohort of athletes. Eur. Radiol. 2019, 29, 6336–6344. [Google Scholar] [CrossRef]
- Rios, A.M.; Rosenberg, Z.S.; Bencardino, J.T.; Rodrigo, S.P.; Theran, S.G. Bone Marrow Edema Patterns in the Ankle and Hindfoot: Distinguishing MRI Features. Am. J. Roentgenol. 2011, 197, W720–W729. [Google Scholar] [CrossRef]
- Ellis, S.J.; Williams, B.R.; Wagshul, A.D.; Pavlov, H.; Deland, J.T. Deltoid Ligament Reconstruction with Peroneus Longus Autograft in Flatfoot Deformity. Foot Ankle Int. 2010, 31, 781–789. [Google Scholar] [CrossRef] [PubMed]
- Hintermann, B.; Valderrabano, V.; Boss, A.; Trouillier, H.H.; Dick, W. Medial Ankle Instability: An exploratory, prospective study of fifty-two cases. Am. J. Sports Med. 2004, 32, 183–190. [Google Scholar] [CrossRef] [PubMed]
- Lee, S.; Oliveira, I.; Pressney, I.; Welck, M.; Saifuddin, A. The horizontal calcaneofibular ligament: A sign of hindfoot valgus on ankle MRI. Skelet. Radiol. 2019, 49, 739–746. [Google Scholar] [CrossRef] [PubMed]
- Kalbouneh, H.; Alajoulin, O.; AlSalem, M.; Humoud, N.; Shawaqfeh, J.; Alkhoujah, M.; Mahafza, W.S.; Badran, D.H.; Abu-Hassan, H. Incidence and anatomical variations of accessory navicular bone in patients with foot pain: A retrospective radiographic analysis. Clin. Anat. 2017, 30, 436–444. [Google Scholar] [CrossRef] [PubMed]
- Szaro, P.; Polaczek, M.; Świątkowski, J.; Kocoń, H. How to increase the accuracy of the diagnosis of the accessory bone of the foot? Radiol. Med. 2020, 125, 188–196. [Google Scholar] [CrossRef]
- Uchiyama, E.; Kim, J.H.; Hiroshi, A.; Cho, B.H.; Rodríguez-Vázquez, J.F.; Murakami, G. Fetal development of ligaments around the tarsal bones with special reference to contribution of muscles. Clin. Anat. 2014, 27, 389–398. [Google Scholar] [CrossRef]
- Kavanagh, E.C.; Koulouris, G.; Gopez, A.; Zoga, A.; Raikin, S.; Morrison, W.B. MRI of rupture of the spring ligament complex with talo-cuboid impaction. Skelet. Radiol. 2007, 36, 555–558. [Google Scholar] [CrossRef]
- Schweitzer, M.E.; Karasick, D. MR Imaging of Disorders of the Posterior Tibialis Tendon. AJR Am. J. Roentgenol. 2000, 175, 627–635. [Google Scholar] [CrossRef]
- Ouzounian, T.J.; Myerson, M.S. Dislocation of the Posterior Tibial Tendon. Foot Ankle 1992, 13, 215–219. [Google Scholar] [CrossRef]








| ATTP | TNP | PTTP | DL | SL | IER | Paratenon | FTCL | AbH | FFS | Accessory Navicular Bone | Plantaris | |
|---|---|---|---|---|---|---|---|---|---|---|---|---|
| Total n = 132 | 123 | 69 | 18 | 128 | 41 | 85 | 82 | 111 | 96 | 110 | 14 | 10 |
| % | 93.2% | 52.3% | 13.6% | 97.0% | 31.1% | 64.4% | 62.1% | 84.1% | 72.7% | 83.3% | 10.6% | 7.6% |
| R | 65 | 39 | 10 | 70 | 26 | 52 | 53 | 55 | 51 | 59 | 9 | 10 |
| L | 58 | 30 | 8 | 58 | 15 | 33 | 29 | 56 | 45 | 51 | 5 | 0 |
| Intraobserver | 0.97 | 0.90 | 0.90 | 0.96 | 0.80 | 0.95 | 0.94 | 0.97 | 0.96 | 0.95 | 1.0 | 1.0 |
| Interobserver | 0.79 | 0.78 | 0.70 | 0.71 | 0.58 | 0.89 | 0.87 | 0.9 | 0.89 | 0.79 | 1.0 | 1.0 |
| Side | *** | *** | >0.05 | * | >0.05 | >0.05 | >0.05 | >0.05 | * | ** | >0.05 | >0.05 |
| Plantaris Contributing Deep Crural Fascia | >0.05 | >0.05 | >0.05 | >0.05 | * | *** | *** | >.05 | *** | *** | >0.05 | >0.05 |
| Accessory Navicular Bone | >0.05 | >0.05 | >0.05 | >0.05 | >0.05 | >0.05 | >0.05 | >0.05 | >0.05 | >0.05 | X | >0.05 |
| FR | SL | AbH | FFS | FTCL | IER | Paratenon |
|---|---|---|---|---|---|---|
| DL | 0.12 | −0.11 | −0.08 | −0.08 | 0.24 | 0.23 |
| p | *** | *** | *** | *** | *** | *** |
| ATTP | −0.14 | 0.17 | 0.28 | 0.29 | 0.05 | 0.35 |
| p | *** | *** | *** | *** | *** | *** |
| TNP | 0.02 | 0.02 | −0.06 | 0.08 | 0.14 | 0.25 |
| p | *** | *** | *** | *** | *** | >0.05 |
| PTTP | 0.16 | 0.00 | 0.18 | 0.17 | −0.07 | 0.08 |
| p | *** | *** | *** | *** | *** | *** |
Publisher’s Note: MDPI stays neutral with regard to jurisdictional claims in published maps and institutional affiliations. |
© 2020 by the authors. Licensee MDPI, Basel, Switzerland. This article is an open access article distributed under the terms and conditions of the Creative Commons Attribution (CC BY) license (http://creativecommons.org/licenses/by/4.0/).
Share and Cite
Szaro, P.; Ghali Gataa, K.; Polaczek, M.; Ciszek, B. The Flexor Retinaculum Connects the Surrounding Structures into the Medial Ankle Complex. Appl. Sci. 2020, 10, 7972. https://doi.org/10.3390/app10227972
Szaro P, Ghali Gataa K, Polaczek M, Ciszek B. The Flexor Retinaculum Connects the Surrounding Structures into the Medial Ankle Complex. Applied Sciences. 2020; 10(22):7972. https://doi.org/10.3390/app10227972
Chicago/Turabian StyleSzaro, Paweł, Khaldun Ghali Gataa, Mateusz Polaczek, and Bogdan Ciszek. 2020. "The Flexor Retinaculum Connects the Surrounding Structures into the Medial Ankle Complex" Applied Sciences 10, no. 22: 7972. https://doi.org/10.3390/app10227972
APA StyleSzaro, P., Ghali Gataa, K., Polaczek, M., & Ciszek, B. (2020). The Flexor Retinaculum Connects the Surrounding Structures into the Medial Ankle Complex. Applied Sciences, 10(22), 7972. https://doi.org/10.3390/app10227972

