Noise Level and Similarity Analysis for Computed Tomographic Thoracic Image with Fast Non-Local Means Denoising Algorithm
Abstract
1. Introduction
2. Materials and Methods
2.1. Acquisition of the Thoracic Image from the Male Adult Mesh (MASH) Phantom: The Simulation Study
2.2. Acquisition of the Thoracic Image from the Five-Year-Old Phantom: The Practical Study
2.3. Fast Non-Local Means Algorithm
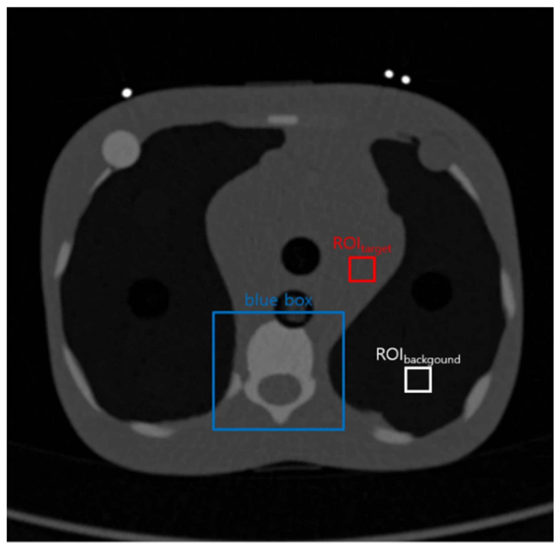
2.4. Quantitative Evaluation Factors
2.4.1. Evaluation Factors for the Noise Level
2.4.2. Evaluation Factors for Similarity
3. Results
3.1. Results from MASH Phantom
3.2. Results from the Five-Year-Old Phantom
4. Discussion
5. Conclusions
Author Contributions
Funding
Conflicts of Interest
References
- Hricak, H.; Brenner, D.J.; Adelstein, S.J.; Frush, D.P.; Hall, E.J.; Howell, R.W.; McCollough, C.H.; Mettler, F.A.; Pearce, M.S.; Suleiman, O.H.; et al. Managing Radiation Use in Medical Imaging: A Multifaceted Challenge. Radiology 2011, 258, 889–905. [Google Scholar] [CrossRef] [PubMed]
- Shamsi, K.; Monfared, A.S.; Deevband, M.R.; Mohsenzadeh, B.; Ghorbani, M.; Gorji, K.E.; Niksirat, F. Evaluation of effective dose and entrance skin dose in digital radiology. Pol. J. Med. Phys. Eng. 2020, 26, 119–125. [Google Scholar] [CrossRef]
- Veldkamp, W.J.H.; Kroft, L.J.; Geleijns, J. Dose and perceived image quality in chest radiography. Eur. J. Radiol. 2009, 72, 209–217. [Google Scholar] [CrossRef]
- Andria, G.; Attivissimo, F.; Di Nisio, A.; Lanzolla, A.M.L.; Maiorana, A.; Mangiatini, M.; Spadavecchia, M. Dosimetric Characterization and Image Quality Assessment in Breast Tomosynthesis. IEEE Trans. Instrum. Meas. 2017, 66, 2535–2544. [Google Scholar] [CrossRef]
- The National Lung Screening Trial Research Team. Reduced lung-cancer mortality with low dose computed tomographic screening. N. Engl. J. Med. 2011, 365, 395–407. [Google Scholar] [CrossRef] [PubMed]
- Andria, G.; Attivissimo, F.; Di Nisio, A.; Lanzolla, A.M.L.; Guglielmi, G.; Terlizzi, R. Dose Optimization in Chest Radiography: System and Model Characterization via Experimental Investigation. IEEE Trans. Instrum. Meas. 2013, 63, 1163–1170. [Google Scholar] [CrossRef]
- Mettler, F.A., Jr.; Wiest, P.W.; Locken, J.A.; Kelsey, C.A. CT scanning: Patterns of use and dose. J. Radiol. Prot. 2000, 20, 353–359. [Google Scholar] [CrossRef]
- Naidich, D.P.; Marshall, C.H.; Gribbin, C.; Arams, R.S.; McCauley, D.I. Low-dose CT of the lungs: Preliminary observations. Radiology 1990, 175, 729–731. [Google Scholar] [CrossRef]
- Goo, H.W. CT Radiation Dose Optimization and Estimation: An Update for Radiologists. Korean J. Radiol. 2012, 13, 1–11. [Google Scholar] [CrossRef]
- Ilango, G.; Marudhachalam, R. New hybrid filtering techniques for removal of Gaussian noise from medical images. ARPN J. Eng. Appl. Sci. 2011, 6, 8–12. [Google Scholar]
- Kumar, S.; Kumar, P.; Gupta, M.; Nagawat, A.K. Performance Comparison of Median and Wiener Filter in Image De-noising. Int. J. Comput. Appl. 2010, 12, 27–31. [Google Scholar] [CrossRef]
- Buades, A.; Coll, B.; Morel, J.-M. A Non-Local Algorithm for Image Denoising. In Proceedings of the 2005 IEEE Computer Society Conference on Computer Vision and Pattern Recognition (CVPR’05), San Diego, CA, USA, 20–25 June 2005; pp. 60–65. [Google Scholar] [CrossRef]
- Naegel, B.; Cernicanu, A.; Hyacinthe, J.-N.; Tognolini, M.; Vallée, J.-P. SNR enhancement of highly-accelerated real-time cardiac MRI acquisitions based on non-local means algorithm. Med. Image Anal. 2009, 13, 598–608. [Google Scholar] [CrossRef]
- Lee, S.T.; Park, S.J.; Lee, E.B.; Jeon, J.M.; Lee, M.H.; Kang, S.H.; Lee, Y.G. Noise reduction in medical mammography images using fast nonlocal means denoising algorithm for early breast cancer detection. Optik 2019, 180, 569–575. [Google Scholar] [CrossRef]
- Choi, W.H.; Choi, H.R.; Kang, S.H.; Kim, M.R.; Han, S.R.; Kim, M.S.; Lee, Y.G. A study for feasibility of fast non-local means (FNLM) noise reduction algorithm in MRI image with diffusion weighted image (DWI) technique. Optik 2019, 183, 241–246. [Google Scholar] [CrossRef]
- Coupé, P.; Yger, P.; Barillot, C. Fast Non Local Means Denoising for 3D MR Images. In Proceedings of the 9th International Conference on Medical Image Computing and Computer-Assisted Intervention, Copenhagen, Denmark, 1–6 October 2006; pp. 33–40. [Google Scholar]
- Dauwe, A.; Goossens, B.; Luong, H.Q.; Philips, W. A fast non-local image denoising algorithm. In Proceedings of the Electronic Imaging, San Jose, CA, USA, 27–31 January 2008; p. 6812. [Google Scholar] [CrossRef]
- Shim, J.; Yoon, M.; Lee, Y. Feasibility of newly designed fast non local means (FNLM)-based noise reduction filter for X-ray imaging: A simulation study. Optik 2018, 160, 124–130. [Google Scholar] [CrossRef]
- Yeom, Y.S.; Han, M.C.; Kim, C.H.; Jeong, J.H. Conversion of ICRP male reference phantom to polygon-surface phantom. Phys. Med. Biol. 2013, 58, 6985–7007. [Google Scholar] [CrossRef]
- Kramer, R.; Cassola, V.F.; Khoury, H.J.; Vieira, J.W.; Lima, V.J.D.M.; Brown, K.R. FASH and MASH: Female and male adult human phantoms based on polygon mesh surfaces: II. Dosimetric calculations. Phys. Med. Biol. 2009, 55, 163–189. [Google Scholar] [CrossRef]
- Cassola, V.F.; Lima, V.J.D.M.; Krämer, R.; Khoury, H.J. FASH and MASH: Female and male adult human phantoms based on polygon mesh surfaces: I. Development of the anatomy. Phys. Med. Biol. 2009, 55, 133–162. [Google Scholar] [CrossRef] [PubMed]
- Huang, K.; Zhang, D.; Wang, K. Non-local means denoising algorithm accelerated by GPU. In Proceedings of the Sixth International Symposium on Multispectral Image Processing and Pattern Recognition, Yichang, China, 30 October–1 November 2009; p. 749711. [Google Scholar] [CrossRef]
- Tian, L. Inferences on the common coefficient of variation. Stat. Med. 2005, 24, 2213–2220. [Google Scholar] [CrossRef] [PubMed]
- Engel, K.J.; Herrmann, C.; Zeitler, G. X-ray scattering in single- and dual-source CT. Med Phys. 2007, 35, 318–332. [Google Scholar] [CrossRef]
- Alain, H.; Djemel, Z. Image quality metrics: PSNR vs. SSIM. In Proceedings of the 20th International Conference on Pattern Recognition, Istanbul, Turkey, 23–26 August 2010; pp. 2366–2369. [Google Scholar]
- Mukaka, M.M. Statistics Corner: A Guide to Appropriate Use of Correlation Coefficient in Medical Research. Malawi Med. J. 2012, 24, 69–71. [Google Scholar] [PubMed]
- Dong, B.; Sato, M.; Sagawa, M.; Endo, C.; Usuda, K.; Sakurada, A.; Wu, S.; Oyaizu, T.; Ishida, I.; Handa, M.; et al. Computed tomographic image comparison between mediastinal and lung windows provides possible prognostic information in patients with small peripheral lung adenocarcinoma. J. Thorac. Cardiovasc. Surg. 2002, 124, 1014–1020. [Google Scholar] [CrossRef]
- Muhammad, M.N.; Varutbangkul, E.; Raicu, D.S.; Furst, J.D. Texture versus shape analysis for lung nodule similarity in computed tomography studies. In Proceedings of the Medical Imaging, San Diego, CA, USA, 16–21 February 2008; p. 69190. [Google Scholar] [CrossRef]
- Konietzke, P.; Jobst, B.; Wagner, W.L.; Jarosch, I.; Graber, R.; Kenn, K.; Kauczor, H.-U.; Wielpütz, M.O. Similarities in the Computed Tomography Appearance in α1-Antitrypsin Deficiency and Smoking-Related Chronic Obstructive Pulmonary Disease in a Smoking Collective. Respiration 2018, 96, 231–239. [Google Scholar] [CrossRef] [PubMed]
- Lee, S.; Lee, M.S.; Kang, M.G. Poisson–Gaussian Noise Analysis and Estimation for Low-Dose X-ray Images in the NSCT Domain. Sensors 2018, 18, 1019. [Google Scholar] [CrossRef]
- Malkus, A.; Szczykutowicz, T.P. A method to extract image noise level from patient images in CT. Med. Phys. 2017, 44, 2173–2184. [Google Scholar] [CrossRef] [PubMed]
- Heismann, B.J.; Leppert, J.; Stierstorfer, K. Density and atomic number measurements with spectral X-ray attenuation method. J. Appl. Phys. 2003, 94, 2073. [Google Scholar] [CrossRef]
- Phelps, M.E.; Gado, M.H.; Hoffman, E.J. Correlation of Effective Atomic Number and Electron Density with Attenuation Coefficients Measured with Polychromatic X Rays. Radiology 1975, 117, 585–588. [Google Scholar] [CrossRef]
- Lin, Z.; Song, E. A fast non-local means algorithm based on integral image and reconstructed similar kernel. In Proceedings of the Tenth International Symposium on Multispectral Image Processing and Pattern Recognition (MIPPR2017), Xiangyang, China, 28–29 October 2017; Volume 10609, p. 106091L. [Google Scholar] [CrossRef]
- Liu, Y.-L.; Wang, J.; Chen, X.; Guo, Y.-W.; Peng, Q.-S. A Robust and Fast Non-Local Means Algorithm for Image Denoising. J. Comput. Sci. Technol. 2008, 23, 270–279. [Google Scholar] [CrossRef]
- Korn, A.; Fenchel, M.; Bender, B.; Danz, S.; Hauser, T.; Ketelsen, D.; Flohr, T.; Claussen, C.; Heuschmid, M.; Ernemann, U.; et al. Iterative Reconstruction in Head CT: Image Quality of Routine and Low-Dose Protocols in Comparison with Standard Filtered Back-Projection. Am. J. Neuroradiol. 2011, 33, 218–224. [Google Scholar] [CrossRef]










Publisher’s Note: MDPI stays neutral with regard to jurisdictional claims in published maps and institutional affiliations. |
© 2020 by the authors. Licensee MDPI, Basel, Switzerland. This article is an open access article distributed under the terms and conditions of the Creative Commons Attribution (CC BY) license (http://creativecommons.org/licenses/by/4.0/).
Share and Cite
Kim, B.-G.; Kang, S.-H.; Park, C.R.; Jeong, H.-W.; Lee, Y. Noise Level and Similarity Analysis for Computed Tomographic Thoracic Image with Fast Non-Local Means Denoising Algorithm. Appl. Sci. 2020, 10, 7455. https://doi.org/10.3390/app10217455
Kim B-G, Kang S-H, Park CR, Jeong H-W, Lee Y. Noise Level and Similarity Analysis for Computed Tomographic Thoracic Image with Fast Non-Local Means Denoising Algorithm. Applied Sciences. 2020; 10(21):7455. https://doi.org/10.3390/app10217455
Chicago/Turabian StyleKim, Bae-Guen, Seong-Hyeon Kang, Chan Rok Park, Hyun-Woo Jeong, and Youngjin Lee. 2020. "Noise Level and Similarity Analysis for Computed Tomographic Thoracic Image with Fast Non-Local Means Denoising Algorithm" Applied Sciences 10, no. 21: 7455. https://doi.org/10.3390/app10217455
APA StyleKim, B.-G., Kang, S.-H., Park, C. R., Jeong, H.-W., & Lee, Y. (2020). Noise Level and Similarity Analysis for Computed Tomographic Thoracic Image with Fast Non-Local Means Denoising Algorithm. Applied Sciences, 10(21), 7455. https://doi.org/10.3390/app10217455

