Clinical Efficacy of Four In-Office Vital Tooth Bleaching Products with Different Concentrations of Hydrogen Peroxide: A Randomized, Quadruple-Blind Clinical Trial
Abstract
Featured Application
Abstract
1. Introduction
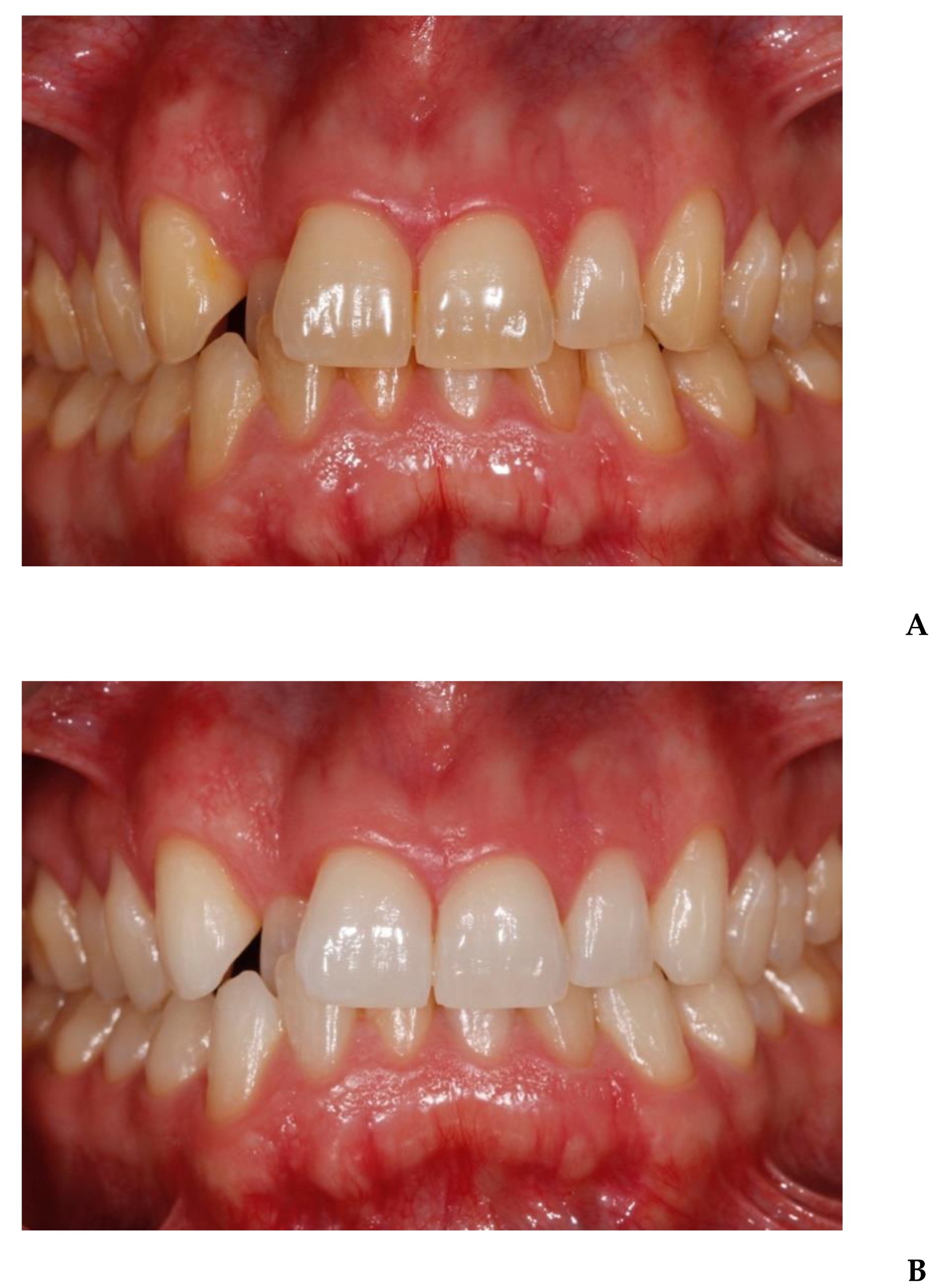
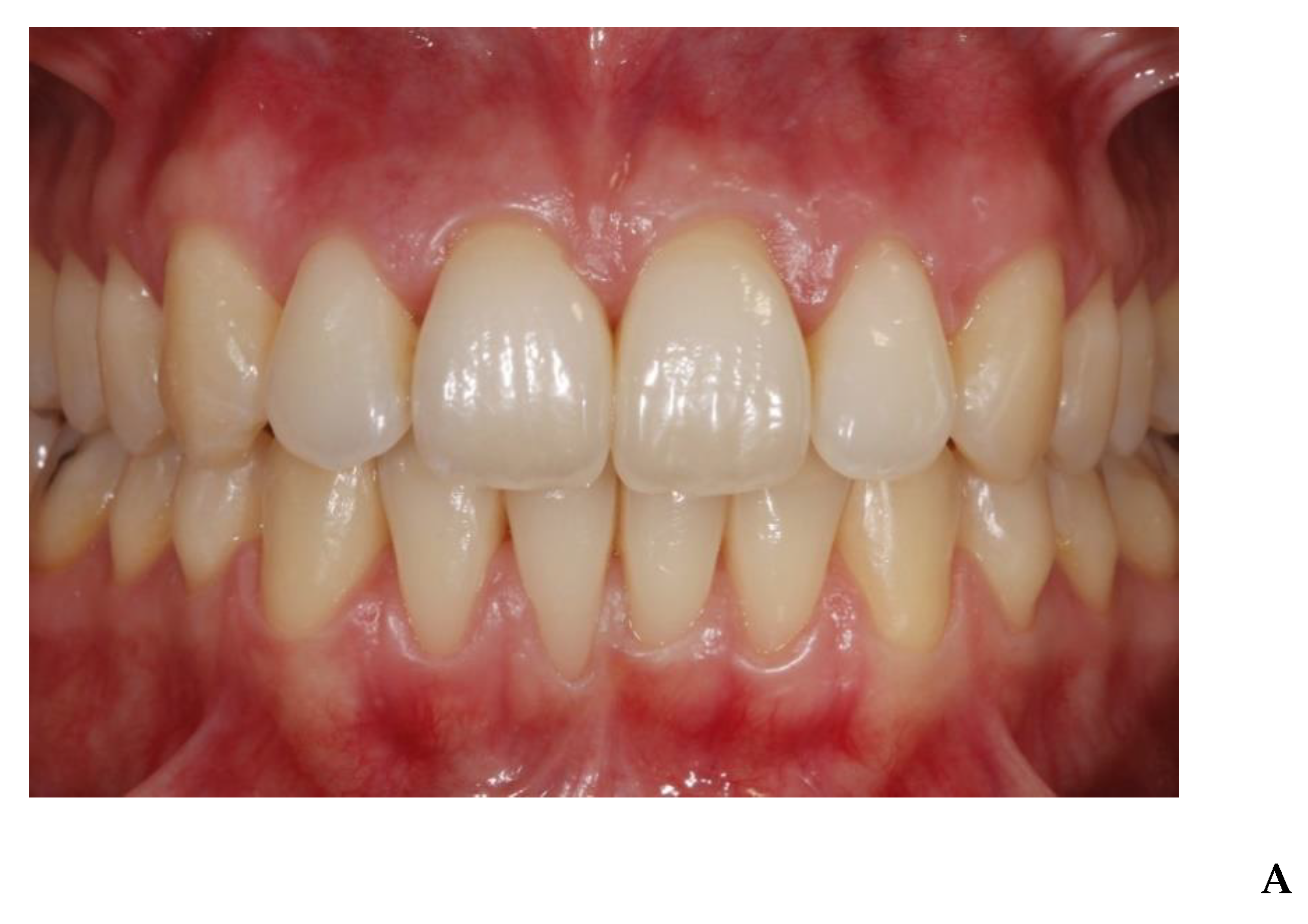
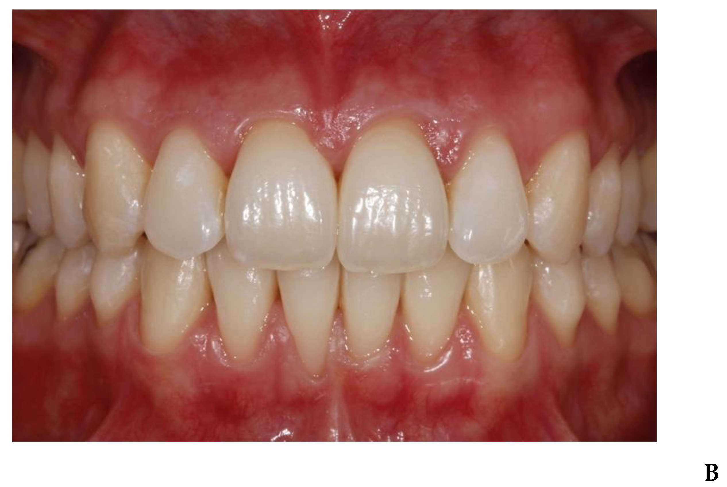
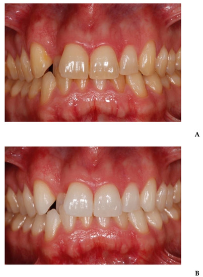
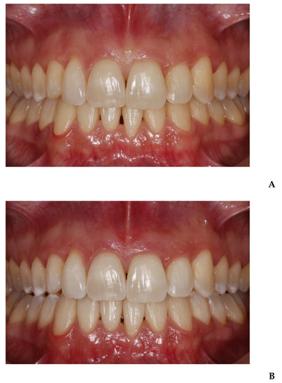
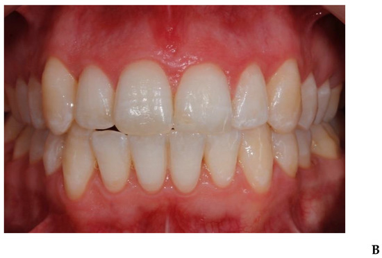
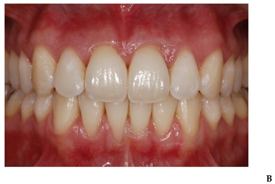
2. Materials and Methods
- −
- Group 1: a light-activated hydrogen peroxide at a concentration of 35% (Quick White kit clínica, Quick White), delivered as a powder and a liquid, which when mixed acquires a turquoise-colored gel consistency. Sixty teeth were treated with the gel, carrying out three applications of 10 min each. The gel was activated with a low-temperature LED lamp specifically designed for this purpose.
- −
- Group 2: a chemically activated hydrogen peroxide agent at a concentration of 37.5% (Pola Office+ Southern Dental Industries), which is delivered in a double-parallel syringe; when mixed, it acquires a transparent bluish gel consistency. Fifty-eight teeth were treated with the gel, involving three applications of 8 min each.
- −
- Group 3: a chemically activated hydrogen peroxide agent at a concentration of 38% (PURE in-office bleaching, Axis Dental). It is delivered in a double-parallel syringe, which when mixed acquires a gel consistency and a red color. Fifty-seven teeth were treated, each receiving three applications of 15 min duration.
- −
- Group 4: a chemically activated hydrogen peroxide treatment at a concentration of 40% (Boost. Ultradent), delivered in a double syringe. When mixed, it acquires a gel consistency and a red color. Fifty-six teeth were treated with the product, involving two applications of 20 min each.
3. Results
4. Discussion
5. Conclusions
- 1.
- In single in-office sessions, each of the four tested products for the vital dental bleaching was found to modify tooth color in an effective way.
- 2.
- All four products obtained significant increases in the luminosity parameter (L*) and significant reductions in the red-green color axis (a*) and in the yellow-blue color axis (b*) parameters. Differences between initial color parameters and those obtained a week after the conclusion of whitening (ΔE) were not present significant.
- 3.
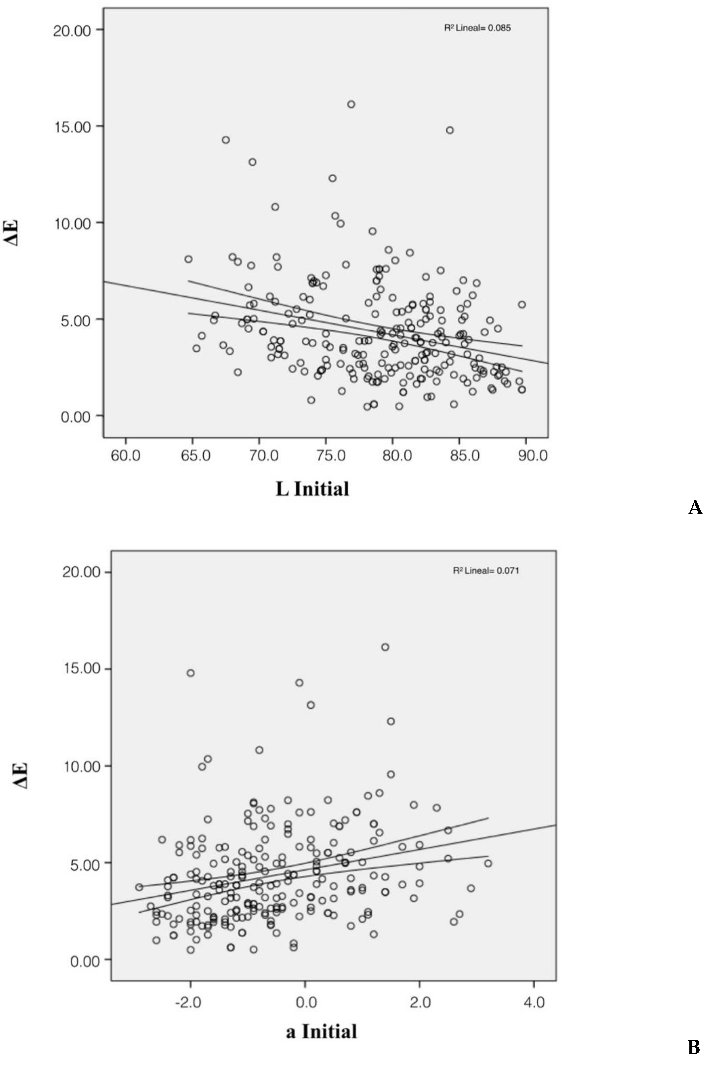
- The initial L* and b* values could determine the final ΔE obtained. The lower the initial luminosity value is (L*), the greater will be the values of ΔE obtained a week after the conclusion of whitening; additionally, the greater the initial b* value, the greater the final ΔE will be.
- 4.
- Determination of tooth color parameters using a spectrophotometer before being bleached allows for a more predictable clinical solution.
Author Contributions
Funding
Conflicts of Interest
References
- Haywood, V.B.; Heymann, H.O. Nightguard Vital Bleaching: How Safe Is It? Quintessence. Int. 1991, 22, 515–523. [Google Scholar] [PubMed]
- Niederman, R.; Tantraphol, M.C.; Slinin, P.; Hayes, C.; Conway, S. Effectiveness of dentist-prescribed, home-applied tooth whitening. A meta analysis. J. Contemp. Dent. Pract. 2000, 1, 20–36. [Google Scholar] [CrossRef] [PubMed]
- Zekonis, R.; Matis, B.A.; Cochran, M.A.; Al Shetri, S.E.; Eckert, G.J.; Carlson, T.J. Clinical evaluation of in-office and at-home bleaching treatments. Oper. Dent. 2003, 28, 114–121. [Google Scholar] [PubMed]
- Deliperi, S.; Bardwell, D.N.; Papathanasiou, A. Clinical evaluation of a combined in-office and take-home bleaching system. J. Am. Dent. Assoc. 2004, 135, 628–634. [Google Scholar] [CrossRef]
- Matis, B.A.; Cochran, M.A.; Franco, M.; Al-Ammar, W.; Eckert, G.J.; Stropes, M. Eight in-office tooth whitening systems evaluated in vivo: A pilot study. Oper. Dent. 2007, 32, 322–327. [Google Scholar] [CrossRef]
- Marson, F.C.; Sensi, L.G.; Vieira, L.C.C.; Araújo, E. Clinical evaluation of in-office dental bleaching treatments with and without the use of light-activation sources. Oper. Dent. 2008, 33, 15–22. [Google Scholar] [CrossRef]
- Ontiveros, J.C.; Paravina, R.D. Color change of vital teeth exposed to bleaching performed with and without supplementary light. J. Dent. 2009, 37, 840–847. [Google Scholar] [CrossRef]
- Hasson, H.; Ismail, A.; Neiva, G. Home-Based Chemically-Induced Whitening of Teeth in Adults (Review). The Cochrane Collaboration; John Wiley & Sons, Ltd.: Hoboken, NJ, USA, 2009. [Google Scholar]
- Giachetti, L.; Bertini, F.; Bambi, C.; Nieri, M.; Russo, D.S. A randomized clinical trial comparing at-home and in-office tooth whitening techniques: A nine-month follow-up. J. Am. Dent. Assoc. 2010, 141, 1357–1364. [Google Scholar] [CrossRef]
- Llambés, G.; Llena, C.; Amengual, J.; Forner, L. In vitro evaluation of the efficacy of two bleaching procedures. Med. Oral. Patol. Oral. Cir. Bucal. 2011, 16, 845–851. [Google Scholar] [CrossRef][Green Version]
- Radz, G.M. Effectiveness of a combined in-office and take-home whitening system for teeth shades A3. 5 to A4. Compend. Contin. Educ. Dent. 2014, 35, 696–700. [Google Scholar]
- Rezende, M.; Ferri, L.; Kossatz, S.; Loguercio, A.D.; Reis, A. Combined bleaching technique using low and high hydrogen peroxide in-office bleaching gel. Oper. Dent. 2016, 41, 388–396. [Google Scholar] [CrossRef] [PubMed]
- Luque-Martinez, I.; Reis, A.; Schroeder, M.; Muñoz, M.A.; Loguercio, A.D.; Masterson, D.; Maia, L.C. Comparison of efficacy of tray-delivered carbamide and hydrogen peroxide for at-home bleaching: A systematic review and meta-analysis. Clin. Oral. Invest. 2016, 20, 1419–1433. [Google Scholar] [CrossRef] [PubMed]
- Geus, J.L.; Wambier, L.M.; Kossatz, S.; Loguercio, A.D.; Reis, A. At-home vs In-office Bleaching: A Systematic Review and Meta-analysis. Oper. Dent. 2016, 41, 341–356. [Google Scholar] [CrossRef] [PubMed]
- Jie, N.; Fu-Cong, T.; Zu-Hua, W.; Adrian, U.Y.; Xiao-Yan, W. Original Comparison of efficacy and outcome satisfaction between in-office and home teeth bleaching in Chinese patients. J. Oral. Sci. 2017, 59, 527–532. [Google Scholar]
- Rodrigues, J.L.; Rocha, P.S.; Pardim, S.L.; Machado, A.C.V.; Faria-e-Silva, A.L.; Seraidarian, P.I. Association between in-office and at-home tooth bleaching: A single blind randomized clinical trial. Braz. Dent. J. 2018, 29, 133–139. [Google Scholar] [CrossRef]
- Monteiro, R.V.; Monteiro, J.S.; de Andrada Caldeira, M.A. Clinical evaluation of two in-office dental bleaching agents. Am. J. Dent. 2018, 31, 239–242. [Google Scholar]
- Maran, B.M.; Burey, A.; Paris Matos, T.; Loguercio, A.D.; Reis, A. In-office dental bleaching with light vs. without light: A systematic review and meta-analysis. J. Dent. 2018, 70, 1–13. [Google Scholar] [CrossRef]
- Faus-Matoses, V.; Palau-Martínez, I.; Amengual-Lorenzo, J.; Faus-Matoses, I.; Faus-Llácer, V.J. Bleaching in vital teeth: Combined treatment vs in-office treatment. J. Clin. Exp. Dent. 2019, 11, 754–758. [Google Scholar] [CrossRef]
- Lilaj, B.; Dauti, R.; Agis, H.; Schmid-Schwap, M.; Franz, A.; Kanz, F.; Moritz, A.; Schedle, A.; Cvikl, B. Comparison of bleaching products with up to 6% and with more than 6% hydrogen peroxide: Whitening efficacy using BI and WId and side effects—An in vitro study. Front. Physiol. 2019, 21, 919. [Google Scholar] [CrossRef]
- Papathanasiou, A.; Kastali, S.; Perry, R.D.; Kugel, G. Clinical evaluation of a 35% hydrogen peroxide in-office whitening system. Compend. Contin. Educ. Dent. 2002, 23, 335–348. [Google Scholar]
- Kugel, G.; Papathanasiou, A.; Williams, A.J.; Anderson, C.; Ferreira, S. Clinical evaluation of chemical and light-activated tooth whitening systems. Compend. Contin. Educ. Dent. 2006, 27, 54–62. [Google Scholar]
- Barghi, N. Making a clinical decision for vital tooth bleaching: At home or in-office? Compend. Contin. Educ. Dent. 1998, 19, 831–840. [Google Scholar] [PubMed]
- Shimada, K.; Kakehashi, Y.; Matsumura, H.; Tanoue, N. In vivo quantitative evaluation of tooth color with hand-held colorimeter and custom template. J. Prosthet. Dent. 2004, 91, 389–391. [Google Scholar] [CrossRef]
- Naik, S.; Tredwin, C.J.; Scully, C. Hydrogen peroxide tooth-whitening (bleaching): Review of safety in relation to possible carcinogenesis. Oral. Oncol. 2006, 42, 668–674. [Google Scholar] [CrossRef]
- Da Costa Filho, L.C.; da Costa, C.C.; Soria, M.L.; Taga, R. Effect of home bleaching and smoking on marginal gingival epithelium proliferation: A histologic study in women. J. Oral. Pathol. Med. 2002, 31, 473–480. [Google Scholar] [CrossRef] [PubMed]
- Goldstein, G.R.; Schmitt, G.W. Repeatability of a specially designed intraoral colorimeter. J. Prosthet. Dent. 1993, 696, 16–19. [Google Scholar] [CrossRef]
- Douglas, R.D. Precision of in vivo colorimetric assessments of teeth. J. Prosthet. Dent. 1997, 7, 464–470. [Google Scholar] [CrossRef]
- Horn, D.J.; Bulan, J.; Hicks, M.L. Sphere spectrophotometer versus human evaluation of tooth shade. J. Endod. 1998, 24, 786–790. [Google Scholar] [CrossRef]
- Clark, D.M.; Hintz, J. Case report: In-office tooth whitening procedure with 35% carbamide peroxide evaluated by the Minolta CR-321 Chroma Meter. J. Esthet. Dent. 1998, 10, 37–42. [Google Scholar] [CrossRef]
- Amaechi, B.T.; Higham, S.M. Development of a quantitative method to monitor the effect of a tooth whitening agent. J. Clin. Dent. 2002, 13, 100–103. [Google Scholar]
- Paul, S.; Peter, A.; Pietrobon, N.; Hämmerle, C.H. Visual and spectrophotometric shade analysis of human teeth. J. Dent. Res. 2002, 81, 578–582. [Google Scholar] [CrossRef] [PubMed]
- Luo, W.; Westland, S.; Ellwood, R.; Pretty, I.; Cheung, V. Development of a Whiteness Index for Dentistry. J. Dent. 2009, 37, 21–26. [Google Scholar] [CrossRef]
- Hee-Kyung, K. Evaluation of the repeatability and matching accuracy between two identical intraoral spectrophotometers: An in vivo and in vitro study. J. Adv. Prosthodont. 2018, 10, 252–258. [Google Scholar]
- Llena, C.; Lozano, E.; Amengual, J.; Forner, L. Reliability of two colors selection devices in matching and measuring tooth color. J. Contemp. Dent. Pract. 2011, 12, 19–23. [Google Scholar] [CrossRef] [PubMed]
- Robertson, A.R.; Lozano, R.D.; Alman, D.H.; Orchard, S.E.; Keitch, J.A.; Connely, R.; Graham, L.A.; Acree, W.L.; John, R.S.; Hoban, R.F.; et al. CIE Recommendations on uniform color-spaces, color difference equations, and metric color terms. Color Res. Appl. 1977, 2, 5–6. [Google Scholar]
- Greta, D.C.; Colosi, H.A.; Gasparik, C.; Dudea, D. Color comparison between non-vital and vital teeth. J. Adv. Prosthodont. 2018, 10, 218–226. [Google Scholar] [CrossRef]
- Herrera, L.J.; Pulgar, R.; Santana, J.; Cardona, J.C.; Guillén, A.; Rojas, I.; Pérez, M.M. Prediction of color change after tooth bleaching using fuzzy logic for vita classical shades identification. Appl. Opt. 2010, 49, 422–429. [Google Scholar] [CrossRef]
- Kwon, S.R.; Wertz, P.W. Review of the Mechanism of Tooth Whitening. J. Esthet. Restor. Dent. 2015, 27, 240–257. [Google Scholar] [CrossRef]
- Sulieman, M. An overview of bleaching techniques: I. History, chemistry, safety and legal aspects. Dent. Update 2004, 31, 608–610, 612–614, 616. [Google Scholar] [CrossRef]
- Joiner, A. The bleaching of teeth: A review of the literature. J. Dent. 2006, 34, 412–419. [Google Scholar] [CrossRef]
- Powell, L.V.; Bales, D.J. Tooth Bleaching: Its effects on oral tissues. J. Am. Dent. Assoc. 1991, 122, 50–54. [Google Scholar] [CrossRef] [PubMed]
- Floyd, R.A. The effect of peroxides and free radicals on body tissues. J. Am. Dent. Assoc. 1997, 128, 37–40. [Google Scholar] [CrossRef] [PubMed]
- Dahl, J.E.; Pallesen, U. Tooth bleaching—A critical review of the biological aspects. Crit. Rev. Oral. Biol. Med. 2003, 14, 292–304. [Google Scholar] [CrossRef] [PubMed]









| 35% H2O2 + Light Mean (CI-95%) | 37.5% H2O2 Mean (CI-95%) | 38% H2O2 Mean (CI-95%) | 40% H2O2 Mean (CI-95%) | Inter-Group ANOVA Test | |
|---|---|---|---|---|---|
| L* initial | 76.0 (74.5, 77.5) | 77.8 (76.3, 79.4) | 81.5 (80.3, 82.7) | 80.7 (79.3, 82.2) | p < 0.001 |
| L* final | 78.9 (77.4, 80.4) | 80.2 (78.7, 81.6) | 83.4 (82.2, 84.5) | 82.9 (81.5, 84.3) | p < 0.001 |
| Student T test for paired samples | p < 0001 | p < 0.001 | p < 0.001 | p < 0.001 | |
| a* initial | −0.06 (−0.41, 0.28) | −0.46 (−0.81, −0.12) | −0.91 (−1.24, −0.53) | −0.77 (−1.06, −0.49) | p = 0.002 |
| a* final | −0.32 (−0.62, −0.02) | −0.81 (−1.05, −0.55) | −1.31 (−1.57, −1.04) | −0.88 (−1.14, −0.61) | p < 0.001 |
| Student T test for paired samples | p = 0.011 | p < 0.001 | p = 0.001 | p = 0.203 | |
| b* initial | 18.9 (17.3, 20.5) | 20.5 (19.2, 21.9) | 19.6 (17.8, 21.4) | 19.8 (18.2, 21.4) | p = 0.539 |
| b* final | 17.8 (16.4, 19.2) | 18.1 (17.0, 19.3) | 17.0 (15.6–18.5) | 18.6 (17.2–19.9) | p = 0.438 |
| Student T test for paired samples | p = 0.007 | p < 0.001 | p < 0.001 | p < 0.001 |
| 35% H2O2 + Light Mean (CI-95%) | 37.5% H2O2 Mean (CI-95%) | 38% H2O2 Mean (CI-95%) | 40% H2O2 Mean (CI-95%) | Inter-Group ANOVA Test | |
|---|---|---|---|---|---|
| Difference in L* | 2.92 (2.11, 3.72) | 2.32 (1.48, 3.15) | 1.84 (1.30, 2.37) | 2.17 (1.20, 3.16) | p = 0.286 |
| Difference in a* | −0.26 (−0.46, −0.06) | −0.34 (−0.51, −0.17) | −0.40 (−0.63, −0.17) | −0.11 (−0.28, −0.06) | p = 0.172 |
| Difference in b* | −1.11 (−1.90, −0.31) | −2.39 (−2.95, −1.84) | −2.57 (−3.46, −1.68) | −1.23 (−1.81, −0.64) | p = 0.004 post hoc Scheffe G3 vs. G1 |
| ΔE | 4.73 (4.05, 5.42) | 4.57 (3.97, 5.17) | 4.26 (3.52, 5.01) | 3.76 (3.13, 4.40) | p = 0.174 |
© 2020 by the authors. Licensee MDPI, Basel, Switzerland. This article is an open access article distributed under the terms and conditions of the Creative Commons Attribution (CC BY) license (http://creativecommons.org/licenses/by/4.0/).
Share and Cite
Peydro-Herrero, M.; Montiel-Company, J.M.; Labaig-Rueda, C.; Solá-Ruiz, M.F.; Agustín-Panadero, R.; Amengual-Lorenzo, J. Clinical Efficacy of Four In-Office Vital Tooth Bleaching Products with Different Concentrations of Hydrogen Peroxide: A Randomized, Quadruple-Blind Clinical Trial. Appl. Sci. 2020, 10, 4650. https://doi.org/10.3390/app10134650
Peydro-Herrero M, Montiel-Company JM, Labaig-Rueda C, Solá-Ruiz MF, Agustín-Panadero R, Amengual-Lorenzo J. Clinical Efficacy of Four In-Office Vital Tooth Bleaching Products with Different Concentrations of Hydrogen Peroxide: A Randomized, Quadruple-Blind Clinical Trial. Applied Sciences. 2020; 10(13):4650. https://doi.org/10.3390/app10134650
Chicago/Turabian StylePeydro-Herrero, Marta, José María Montiel-Company, Carlos Labaig-Rueda, María Fernanda Solá-Ruiz, Rubén Agustín-Panadero, and José Amengual-Lorenzo. 2020. "Clinical Efficacy of Four In-Office Vital Tooth Bleaching Products with Different Concentrations of Hydrogen Peroxide: A Randomized, Quadruple-Blind Clinical Trial" Applied Sciences 10, no. 13: 4650. https://doi.org/10.3390/app10134650
APA StylePeydro-Herrero, M., Montiel-Company, J. M., Labaig-Rueda, C., Solá-Ruiz, M. F., Agustín-Panadero, R., & Amengual-Lorenzo, J. (2020). Clinical Efficacy of Four In-Office Vital Tooth Bleaching Products with Different Concentrations of Hydrogen Peroxide: A Randomized, Quadruple-Blind Clinical Trial. Applied Sciences, 10(13), 4650. https://doi.org/10.3390/app10134650

