Experience of Hereditary Amyloidosis with Rare Variant in Ecuador: Case Reports
Abstract
1. Introduction
2. Case Report
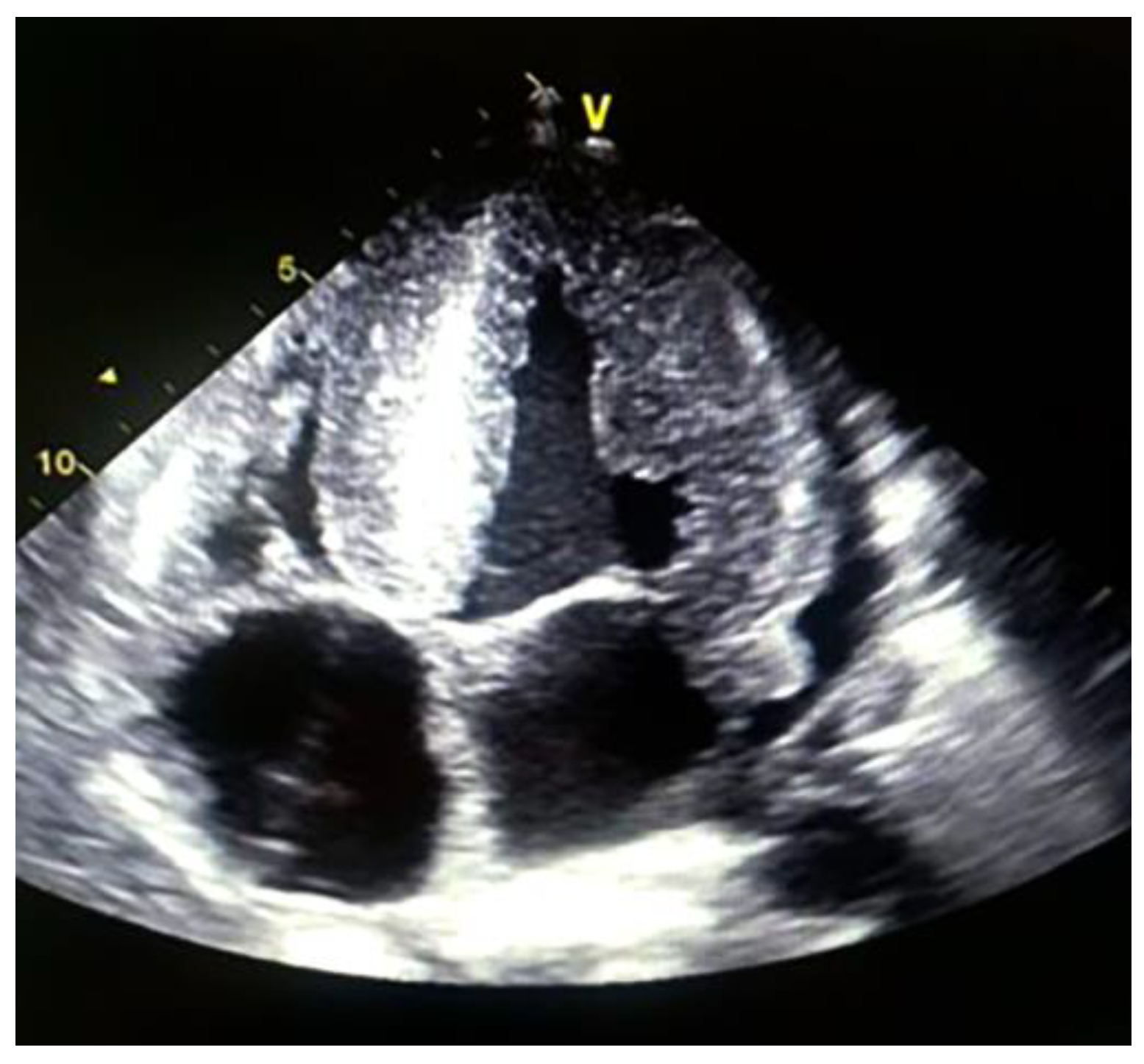
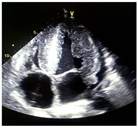
2.1. Case Report Number One
Family Tree Analysis
2.2. Case Report Number Two
2.3. Case Report Number Three
3. Discussion
Author Contributions
Funding
Institutional Review Board Statement
Informed Consent Statement
Data Availability Statement
Acknowledgments
Conflicts of Interest
References
- Obici, L.; Kuks, J.B.; Buades, J.; Adams, D.; Suhr, O.B.; Coelho, T.; Kyriakides, T. Recommendations for presymptomatic genetic testing and management of individuals at risk for hereditary transthyretin amyloidosis. Curr. Opin. Neurol. 2016, 29, S27–S35. [Google Scholar] [CrossRef] [PubMed]
- Guamán Charco, E.D.; Rodrigo Henríquez, A. Carga de enfermedad por insuficiencia cardiaca en Ecuador durante el periodo 2014–2018. Metro Cienc. 2021, 29, 83–85. [Google Scholar] [CrossRef]
- González-López, E.; López-Sainz, Á.; Garcia-Pavia, P. Diagnóstico y tratamiento de la amiloidosis cardiaca por transtiretina. Progreso y esperanza. Rev. Esp. Cardiol. 2017, 70, 991–1004. [Google Scholar] [CrossRef] [PubMed]
- Papathanasiou, M.; Carpinteiro, A.; Kersting, D.; Jakstaite, A.; Hagenacker, T.; Schlosser, T.; Rischpler, C.; Rassaf, T.; Luedike, P. Rare variant (p.Ser43Asn) of familial transthyretin amyloidosis associated with isolated cardiac phenotype: A case series with literature review. Mol. Genet. Genom. Med. 2021, 9, e1581. [Google Scholar] [CrossRef] [PubMed]
- Castaño, A.; Bokhari, S.; Brannagan, T.H.; Wynn, J.; Maurer, M.S. Technetium pyrophosphate myocardial uptake and peripheral neuropathy in a rare variant of familial transthyretin (TTR) amyloidosis (Ser23Asn): A case report and literature review. Amyloid 2011, 19, 41–46. [Google Scholar] [CrossRef][Green Version]
- Park, G.Y.; Jamerlan, A.; Shim, K.H.; An, S.S.A. Diagnostic and treatment approaches involving transthyretin in amyloidogenic diseases. Int. J. Mol. Sci. 2019, 20, 2982. [Google Scholar] [CrossRef]
- Rowczenio, D.M.; Noor, I.; Gillmore, J.D.; Lachmann, H.J.; Whelan, C.; Hawkins, P.N.; Obici, L.; Westermark, P. Online Registry for Mutations in Hereditary Amyloidosis Including Nomenclature Recommendations. Hum. Mutat. 2014, 35, E2403–E2412. [Google Scholar] [CrossRef]
- Porres-López, E.; de Frutos, F.; Silva-Hernández, L.; Galán, L.; González-López, E.; García-Pavía, P. Hereditary transthyretin amyloidosis caused by p.Ser43Asn variant. A new endemic variant in Ecuador. Rev. Española Cardiol. 2017, 70, 564–566. [Google Scholar] [CrossRef]
- Daoko, J.; Elnahar, Y.; Kersh KEl Mohammad, N.; Shamoon, F. Cardiac mri detection of a rare case of familial cardiac amyloidosis (Ser23asn): Case report with literature review. Rep. Med. Imaging 2010, 3, 123–127. [Google Scholar]
- Kirov, A.; Sarafov, S.; Pavlova, Z.; Todorov, T.; Chamova, T.; Gospodinova, M.; Tournev, I.; Mitev, V.; Todorova, A. Founder effect of the Glu89Gln TTR mutation in the Bulgarian population. Amyloid 2019, 26, 181–185. [Google Scholar] [CrossRef]
- Buxbaum, J.N.; Eisenberg, D.S.; Fändrich, M.; McPhail, E.D.; Merlini, G.; Saraiva, M.J.M.; Sekijima, Y.; Westermark, P. Amyloid nomenclature 2020: Update and recommendations by the International Society of Amyloidosis (ISA) nomenclature committee. Amyloid 2020, 27, 217–222. [Google Scholar]
- Templeton, A.R. The reality and importance of founder speciation in evolution. BioEssays 2008, 30, 470–479. [Google Scholar] [CrossRef] [PubMed]
- Hayashi, Y.; Jono, H. Review Recent Advances in Oligonucleotide-Based Therapy for Transthyretin Amyloidosis: Clinical Impact and Future Prospects. Biol. Pharm. Bull. 2018, 41, 1737–1744. [Google Scholar] [CrossRef]
- Brannagan, T.H.; Berk, J.L.; Gillmore, J.D.; Maurer, M.S.; Waddington-Cruz, M.; Fontana, M.; Masri, A.; Obici, L.; Brambatti, M.; Baker, B.F.; et al. Liver-directed drugs for transthyretin-mediated amyloidosis. J. Peripher. Nerv. Syst. 2022, 27, 228–237. [Google Scholar] [CrossRef]
- Suhr, O.B.; Coelho, T.; Buades, J.; Pouget, J.; Conceicao, I.; Berk, J.; Schmidt, H.; Waddington-Cruz, M.; Campistol, J.M.; Bettencourt, B.R.; et al. Efficacy and safety of patisiran for familial amyloidotic polyneuropathy: A phase II multi-dose study. Orphanet J. Rare Dis. 2015, 10, 109. [Google Scholar] [CrossRef]
- Benson, M.D.; Waddington-Cruz, M.; Berk, J.L.; Polydefkis, M.; Dyck, P.J.; Wang, A.K.; Planté-Bordeneuve, V.; Barroso, F.A.; Merlini, G.; Obici, L.; et al. Inotersen Treatment for Patients with Hereditary Transthyretin Amyloidosis. N. Engl. J. Med. 2018, 379, 22–31. [Google Scholar] [CrossRef]
- de Campos, C.F.; Conceição, I. Updated Evaluation of the Safety, Efficacy and Tolerability of Tafamidis in the Treatment of Hereditary Transthyretin Amyloid Polyneuropathy. Drug Healthc. Patient Saf. 2023, 15, 51–62. [Google Scholar] [CrossRef]
- Berk, J.L.; Dyck, P.J.; Obici, L.; Zeldenrust, S.R.; Sekijima, Y.; Yamashita, T.; Ando, Y.; Ikeda, S.-I.; Gorevic, P.; Merlini, G.; et al. The diflunisal trial: Update on study drug tolerance and disease progression. Amyloid 2011, 18, 196–197. [Google Scholar] [CrossRef] [PubMed]
- Kristen, A.V.; Lehrke, S.; Buss, S.; Mereles, D.; Steen, H.; Ehlermann, P.; Hardt, S.; Giannitsis, E.; Schreiner, R.; Haberkorn, U.; et al. Green tea halts progression of cardiac transthyretin amyloidosis: An observational report. Clin. Res. Cardiol. 2012, 101, 805–813. [Google Scholar] [CrossRef]
- Fernandes, L.; Cardim-Pires, T.R.; Foguel, D.; Palhano, F.L. Green Tea Polyphenol Epigallocatechin-Gallate in Amyloid Aggregation and Neurodegenerative Diseases. Front. Neurosci. 2021, 15, 718188. [Google Scholar] [CrossRef]
- Ericzon, B.-G.; Wilczek, H.E.; Larsson, M.; Wijayatunga, P.; Stangou, A.; Pena, J.R.; Furtado, E.; Barroso, E.; Daniel, J.; Samuel, D.; et al. Liver Transplantation for Hereditary Transthyretin Amyloidosis: After 20 Years Still the Best Therapeutic Alternative? Transplantation 2015, 99, 1847–1854. [Google Scholar] [CrossRef] [PubMed]
- Chen, Q.; Moriguchi, J.; Levine, R.; Chan, J.; Dimbil, S.; Patel, J.; Kittleson, M.; Megna, D.; Emerson, D.; Ramzy, D.; et al. Outcomes of Heart Transplantation in Cardiac Amyloidosis Patients: A Single Center Experience. Transplant. Proc. 2020, 53, 329–334. [Google Scholar] [CrossRef] [PubMed]
- Azad, P.; Stobdan, T.; Zhou, D.; Hartley, I.; Akbari, A.; Bafna, V.; Haddad, G.G. High-altitude adaptation in humans: From genomics to integrative physiology. J. Mol. Med. 2017, 95, 1269–1282. [Google Scholar] [CrossRef] [PubMed]








| Demographic Characteristics | |||
| Case 1 | Case 2 | Case 3 | |
| Age | 59 | 49 | 62 |
| Sex | Male | Male | Male |
| Place of origin | Quilanga | Loja | Quilanga |
| Place of residence | Loja | Loja | Quilanga |
| Parents’ place of origin | Quilanga | Quilanga | Quilanga |
| Occupation | Administrator | Businessman | Farmer |
| Clinical and Imaging Characteristics | |||
| ECG findings | Inferior pseudo infarction, ventricular extrasystoles | Bifascicular block: RBBB, BAV first degree. Inferior pseudoinfarction | Complete AV block |
| Nyha functional class | III | II | III |
| Myocardiopathy on echocardiogram | Yes | Yes | Yes |
| Neurological evaluation/polyneuropathy neuropathy | Yes | No | Yes |
| Carpal tunnel syndrome | No | No | No |
| Gastrointestinal manifestations | Yes | Yes | Yes |
| Device placement | Yes (CDI) | No | No |
| Outcomes | Syncope-TBI/death | Referred to heart transplant | Cardiogenic shock/death |
| Name (Protein Variant incl. 20-aa Signal Peptide) | Sequence Variant (mRNA) | Genomic Location: | Codon Change | Location | Variant |
|---|---|---|---|---|---|
| Ser23Asn (p.Ser43Asn) | c.128G > A | chr18-31592954 G > A | AGT > AAT | Exon 2 | missense |
Disclaimer/Publisher’s Note: The statements, opinions and data contained in all publications are solely those of the individual author(s) and contributor(s) and not of MDPI and/or the editor(s). MDPI and/or the editor(s) disclaim responsibility for any injury to people or property resulting from any ideas, methods, instructions or products referred to in the content. |
© 2024 by the authors. Licensee MDPI, Basel, Switzerland. This article is an open access article distributed under the terms and conditions of the Creative Commons Attribution (CC BY) license (https://creativecommons.org/licenses/by/4.0/).
Share and Cite
Luzuriaga Carpio, D.E.; Abrigo Maldonado, B.R.; Villacorta, H. Experience of Hereditary Amyloidosis with Rare Variant in Ecuador: Case Reports. Med. Sci. 2024, 12, 58. https://doi.org/10.3390/medsci12040058
Luzuriaga Carpio DE, Abrigo Maldonado BR, Villacorta H. Experience of Hereditary Amyloidosis with Rare Variant in Ecuador: Case Reports. Medical Sciences. 2024; 12(4):58. https://doi.org/10.3390/medsci12040058
Chicago/Turabian StyleLuzuriaga Carpio, Diana Elizabeth, Borys Roberto Abrigo Maldonado, and Humberto Villacorta. 2024. "Experience of Hereditary Amyloidosis with Rare Variant in Ecuador: Case Reports" Medical Sciences 12, no. 4: 58. https://doi.org/10.3390/medsci12040058
APA StyleLuzuriaga Carpio, D. E., Abrigo Maldonado, B. R., & Villacorta, H. (2024). Experience of Hereditary Amyloidosis with Rare Variant in Ecuador: Case Reports. Medical Sciences, 12(4), 58. https://doi.org/10.3390/medsci12040058

