Detection of Gastrointestinal Nematode Populations Resistant to Albendazole and Ivermectin in Sheep
Simple Summary
Abstract
1. Introduction
2. Materials and Methods
2.1. Animals and Flock Characteristics
2.2. Faecal Egg Count Reduction Test
2.3. Infective Larvae Detection (L3)
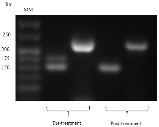
2.4. Gastrointestinal Nematodes Identification by Polymerase Chain Reaction (PCR)
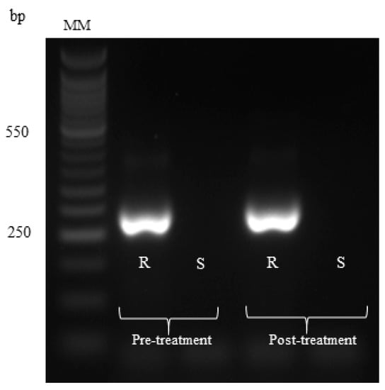
2.5. Resistance/Susceptible Assays through Allele-Specific Chain Reaction (AS-PCR)
2.6. Sequence Analysis
2.7. Statistical Analysis
3. Results and Discussion
4. Conclusions
Author Contributions
Funding
Acknowledgments
Conflicts of Interest
References
- Nuncio-Ochoa, G.; Nahed, T.J.; Díaz Hernández, B.; Escobedo Amezcua, F.; Salvatierra Izaba, E.B. Caracterización de los sistemas de producción ovina en el estado de Tabasco. Agrociencia 2001, 35, 469–477. [Google Scholar]
- Galaviz-Rodríguez, J.R.; Vargas-López, S.; Zaragoza-Ramírez, J.L.; Bustamante González, A.; Ramírez-Bribiesca, E.; Guerrero-Rodríguez, J.D.; Hernández Zapata, J.S. Evaluación territorial de los sistemas de producción ovina en la región norponiente de Tlaxcala. Rev. Mex. Técnica Pecu. 2011, 2, 53–68. [Google Scholar]
- Orona Castillo, I.; López Martínez, J.D.; Vázquez Vázquez, C.; Salazar Sosa, E.; Ramírez Ramírez, M.E. Microeconomic analysis of representative production units of sheep in Mexico under a semi intensive production system. Rev. Mex. Agronegocios. 2014, 34, 720–728. [Google Scholar]
- Pérez Hernández, P.; Vilaboa Arroniz, J.; Chalate Molina, H.; Martínez, B.C.; Díaz Rivera, P.; López Ortiz, S. Descriptive Analysis of Sheep Production Systems in the State of Veracruz, Mexico. Rev. Científica 2011, 21, 327–334. [Google Scholar]
- EFSA AHAW Panel (EFSA Panel on Animal Health and Welfare). Scientific opinion on the welfare risks related to the farming of sheep for wool, meat and milk production. EFSA J. 2014, 12, 3933. [Google Scholar]
- Mondragòn-Ancelmo, J.; García Hernández, P.; Rojo Rubio, R.; Domínguez Vara, I.A.; del Campo Gigena, M.; Napolitano, F. Small flocks show higher levels of welfare in Mexican semi-intensive sheep farming systems. J. Appl. Anim. Welf. Sci. 2019, 1–8. [Google Scholar] [CrossRef] [PubMed]
- Molento, M.B.; Fortes, F.S.; Pondelek, D.A.S.; de Almeida Borges, F.; de Souza Chagas, A.C.; Torres-Acosta, J.F.D.J.; Geldhof, P. Challenges of nematode control in ruminants: Focus on Latin America. Vet. Parasitol. 2001, 180, 126–132. [Google Scholar] [CrossRef]
- Rodríguez-Vivas, R.I.; Grisi, L.; Pérez-de León, A.A.; Silva-Villela, H.; Torres-Acosta, J.F.J.; Fragoso-Sánchez, H.; Romero-Salas, D.; Rosario-Cruz, R. Potential economic impact assessment for cattle parasites in Mexico. Review. Rev. Mex. Técnica Pecu. 2017, 8, 67–74. [Google Scholar] [CrossRef]
- Henrioud, A.N. Towards sustainable parasite control practices in livestock production with emphasis in Latin America. Vet. Parasitol. 2011, 180, 2–11. [Google Scholar] [CrossRef]
- Kaplan, R.M.; Vidyashankar, A.N. An inconvenient truth: Global worming and anthelmintic resistance. Vet. Parasitol. 2012, 186, 70–78. [Google Scholar] [CrossRef]
- Roeber, F.; Jex, A.R.; Gasser, R.B. Impact of gastrointestinal parasitic nematodes of sheep, and the role of advanced molecular tools for exploring epidemiology and drug resistance—An Australian perspective. Parasites Vectors 2013, 6, 153. [Google Scholar] [CrossRef] [PubMed]
- Torres-Acosta, J.F.J.; Villarroel, M.S.; Rodríguez, F.; Gutiérrez, I.; Alonso, M.A. Diagnóstico de nemátodos gastrointestinales resistentes a benzimidazoles e imidazotiazoles en un rebaño caprino de Yucatán, México. Rev. Biomed. 2003, 14, 75–81. [Google Scholar] [CrossRef]
- Coles, G.C.; Jackson, F.; Pomroy, W.E.; Prichard, R.K.; Samson Himmelstjerna, G.; Silvestre, A.; Taylor, M.A.; Silvestre, A. The detection of anthelmintic resistance in nematodes of veterinary importance. Vet. Parasitol. 2006, 136, 167–185. [Google Scholar] [CrossRef] [PubMed]
- Arece, J.; Rojas, F.; González, E.; Cáceres, O. Eficacia de LABIOMEC® en el parasitismo en ovinos, terneros y equinos en condiciones de producción (Efficay of LABIOMEC® over the parasitism oif sheep, calves and horses under production conditions). Pastos y Forrajes 2002, 25, 223–229. [Google Scholar]
- Liebano-Hernández, E. Identificación morfométrica de larvas infectantes de nematodos gastrointestinales y pulmonares en animales domésticos de México. In Diagnóstico y Control de los Nematodos Gastrointestinales de los Rumiantes en México; Prats, M.V., Ed.; INIFAP: Morelos, México, 2004; pp. 27–34. [Google Scholar]
- Zarlenga, D.S.; Chute, M.B.; Gasbarre, L.C.; Boyd, P.C. A multiplex PCR assay for differentiating economically important gastrointestinal nematodes of cattle. Vet. Parasitol. 2001, 97, 199–209. [Google Scholar] [CrossRef]
- Silvestre, A.; Humbert, J.F. A molecular tool for species identification and benzimidazole resistance diagnosis in larval communities of small ruminant parasites. Exp. Parasitol. 2000, 95, 271–276. [Google Scholar] [CrossRef] [PubMed]
- Winterrowd, C.A.; Pomroy, W.E.; Sangster, N.C.; Johnson, S.S.; Geary, T.G. Benzimidazole resistant β-tubulin alleles in a population of parasitic nematodes (Cooperia oncophora) of cattle. Vet. Parasitol. 2003, 117, 161–172. [Google Scholar] [CrossRef] [PubMed]
- Encalada-Mena, L.; Tuyub-Solis, H.; Ramírez-Vargas, G.; Mendoza-de Gives, P.; Aguilar-Marcelino, L.; López-Arellano, M.E. Phenotypic and genotypic characterization of Haemonchus spp. and other gastrointestinal nematodes resistant to benzimidazole in infected calves from the tropical regions of Campeche State, Mexico. Vet. Parasitol. 2014, 205, 246–254. [Google Scholar] [CrossRef]
- Kwa, M.S.; Veenstra, J.G.; Ross, M.H. Benzimidazole resistance in Haemonchus contortus is correlated with a conserved mutation at aminoacid 200 in β-tubulin isotype 1. Mol. Biochem. Parasit. 1994, 63, 299–303. [Google Scholar] [CrossRef]
- Silvestre, A.; Cabaret, J. Mutation in position 167 of isotype 1 beta-tubulin gene of trichostrongylid nematodes: Role in benzimidazole resistance. Mol. Biochem. Parasit. 2002, 120, 297–300. [Google Scholar] [CrossRef]
- Ghisi, M.; Kaminsky, R.; Maser, P. Phenotype and genotyping of Haemonchus contortus isolates reveals a new putative candidate mutation for benzimidazole resistance in nematodes. Vet. Parasitol. 2007, 144, 313–320. [Google Scholar] [CrossRef] [PubMed]
- SAS Institute. User’s Guide: Statistics; SAS Inst. Inc.: Cary, NC, USA, 1990. [Google Scholar]
- Cabaret, J.; Berrag, B. Faecal egg count reduction test for assessing anthelmintic efficacy: Average versus individually based estimations. Vet Parasitol. 2004, 121, 105–113. [Google Scholar] [CrossRef] [PubMed]
- Herrera-Manzanilla, F.A.; Ojeda-Robertos, N.F.; González-Garduño, R.; Cámara-Sarmiento, R.; Torres-Acosta, J.F.J. Gastrointestinal nematode populations with multiple anthelmintic resistance in sheep farms from the hot humid tropics of Mexico. Vet. Parasitol. Reg. Stud. Rep. 2017, 9, 29–33. [Google Scholar] [CrossRef] [PubMed]
- Torres-Vázquez, P.; Prada-Sanmiguel, G.A.; Márquez-Lara, D. Resistencia antihelmíntica en los nematodos gastrointestinales de los bovinos. Rev. Med. Vet. 2007, 13, 59–76. [Google Scholar]
- Becerra-Nava, R.; Alonso-Díaz, M.A.; Fernández-Salas, A.; Quiroz-Romero, H. First report of cattle farms with gastrointestinal nematodes resistant to levamisole in Mexico. Vet. Parasitol. 2014, 204, 285–290. [Google Scholar] [CrossRef] [PubMed]
- Harder, A. The biochemistry of Haemonchus contortus and other parasitic nematodes. Adv. Parasit. 2016, 93, 69–94. [Google Scholar]
- Demeler, J.; Krüger, N.; Krücken, J.; von der Heyden, V.C.; Ramünke, S.; Kütler, U.; Miltsch, S.; López-Cepeda, M.; Knox, M.; Vercruysse, J.; et al. Phylogenetic characterization of β-tubulin and development of pyrosequencing assays for benzimidazole resistance in cattle nematodes. PLoS ONE 2013, 8, e701229. [Google Scholar] [CrossRef]
- Zhang, Z.; Gasser, R.B.; Yang, X.; Yin, F.; Zhao, G.; Bao, M.; Pan, B.; Huang, W.; Wang, C.; Zou, F.; et al. Two benzimidazole resistance-associated SNPs in the isotype-1 β-tubulin gene predominate in Haemonchus contortus populations from eight regions in China. Int. J. Parasitol-Drug. 2016, 6, 199–206. [Google Scholar] [CrossRef]
- Elard, L.; Humbert, J.F. Importance of the mutation of aminoacid 200 of the isotype 1 betatubulin gene in benzimidazole resistance of the small ruminant parasite Teladosargia Circuncincta. Parasitol. Res. 1999, 85, 452–456. [Google Scholar] [CrossRef]
- Tiwari, J.; Kumarc, S.; Kolte, A.P.; Swarnkar, C.P.; Singh, D.; Pathak, K.M.L. Detection of benzimidazole resistance in Haemonchus contortus using RFLP-PCR technique. Vet. Parasitol. 2006, 38, 301–307. [Google Scholar] [CrossRef]
- Combes, C. Parasites, biodiversity and ecosystem stability. Biodivers. Conserv. 1996, 5, 953–962. [Google Scholar] [CrossRef]
- Torres-Acosta, J.F.J.; Chan-Perez, J.I.; Rodríguez-Vivas, R.I.; Vargas-Magaña, J.J.; Cámara-Sarmiento, R.; Mendoza-de-Gives, P.; Cuellar-Ordaz, J.A. Resistencia a los antihelmínticos en México: ¿hacia dónde vamos ahora? In Proceedings of the VII Seminario Internacional de Parasitología Animal, Santiago de Querétaro, Mexico, 10–12 October 2012.


| Nematode Genera | Amplicon Size (bp) | Spacers | GenBank Accession | Fw 1 Primer Sequence, 5’-3’ | Rv 2 Primer Sequence, 5’-3’ |
|---|---|---|---|---|---|
| Haemonchus spp. | 176 | ETS | AF343971 | CATTTTCGTCTTGGGCGATAT | TGAGACCGCACGCGTTGATTCGAA |
| Oesophagostomum spp. | 329 | ITS-1 | AF344881 | GCAGAACCGTGACTATGGTC | |
| ITS-2 | AJ006149 | GACAAGGAGATCACGACATCAGCAT | |||
| Cooperia spp. | 151 | ETS | AF343972 | TCGATGAAGAGTTTTCGGTGTTC | TTCACGCTCGCTCGTGACTTCA |
| Trichostrongylus spp. | 243 | ITS-2 | S69220 | CAGGGTCAGTGTCGAATGGTCATTGTCAAATA | CAGGGTCAGTGGTTGCAATACAAATGATAATT |
| Ostertagia spp. | 257 | ITS-1 | AF044933 | TAAAAGTCGTAACAAGGTATCTGTAGGT | GTCTCAAGCTCAACCATAACCAACCATTGG |
| Sampling | Group | p | ||
|---|---|---|---|---|
| Pre-treatment | Group A (n = 28) | Group I (n = 29) | Group C (n = 29) | |
| Mean ± SD | Mean ± SD | Mean ± SD | 0.6915 | |
| 2430.00 ± 2806.96 | 1452.77 ± 1437.76 | 2197.50 ± 2500.23 | ||
| Median (range) | Median (range) | Median (range) | ||
| 1375 (250–9600) | 1000 (250–6250) | 1375 (250–9600) | ||
| Post-treatment | Mean ± SD | Mean ± SD | Mean ± SD | 0.001 |
| 315.00 ± 414.57 | 587.50 ± 679.75 | 1305 ± 986.74 | ||
| Median (range) | Median (range) | Median (range) | ||
| 200 (50–1950) | 325 (100–2850) | 1325 (200–3500) | ||
| p | 0.003 | 0.049 | 0.160 | |
| Item | Albendazole | Ivermectin |
|---|---|---|
| FECR (%) | 83 | 57 |
| Upper confidence limit | 93 | 71 |
| Lower confidence limit | 75 | 40 |
| Resistant genera | Cooperia spp. and Trichostrongylus spp. | |
© 2019 by the authors. Licensee MDPI, Basel, Switzerland. This article is an open access article distributed under the terms and conditions of the Creative Commons Attribution (CC BY) license (http://creativecommons.org/licenses/by/4.0/).
Share and Cite
Mondragón-Ancelmo, J.; Olmedo-Juárez, A.; Reyes-Guerrero, D.E.; Ramírez-Vargas, G.; Ariza-Román, A.E.; López-Arellano, M.E.; Gives, P.M.d.; Napolitano, F. Detection of Gastrointestinal Nematode Populations Resistant to Albendazole and Ivermectin in Sheep. Animals 2019, 9, 775. https://doi.org/10.3390/ani9100775
Mondragón-Ancelmo J, Olmedo-Juárez A, Reyes-Guerrero DE, Ramírez-Vargas G, Ariza-Román AE, López-Arellano ME, Gives PMd, Napolitano F. Detection of Gastrointestinal Nematode Populations Resistant to Albendazole and Ivermectin in Sheep. Animals. 2019; 9(10):775. https://doi.org/10.3390/ani9100775
Chicago/Turabian StyleMondragón-Ancelmo, Jaime, Agustín Olmedo-Juárez, David Emanuel Reyes-Guerrero, Gabriel Ramírez-Vargas, Amairany Emithziry Ariza-Román, María Eugenia López-Arellano, Pedro Mendoza de Gives, and Fabio Napolitano. 2019. "Detection of Gastrointestinal Nematode Populations Resistant to Albendazole and Ivermectin in Sheep" Animals 9, no. 10: 775. https://doi.org/10.3390/ani9100775
APA StyleMondragón-Ancelmo, J., Olmedo-Juárez, A., Reyes-Guerrero, D. E., Ramírez-Vargas, G., Ariza-Román, A. E., López-Arellano, M. E., Gives, P. M. d., & Napolitano, F. (2019). Detection of Gastrointestinal Nematode Populations Resistant to Albendazole and Ivermectin in Sheep. Animals, 9(10), 775. https://doi.org/10.3390/ani9100775

