Radiographic Prevalence of Anatomical Variations of the Ventral Lamina of the Sixth Cervical Vertebra, C6/C7 Articular Process Joint Modelling and Competition Outcomes in Warmblood Sport Horses
Simple Summary
Abstract
1. Introduction
2. Materials and Methods
2.1. Study Design
2.1.1. Study Population
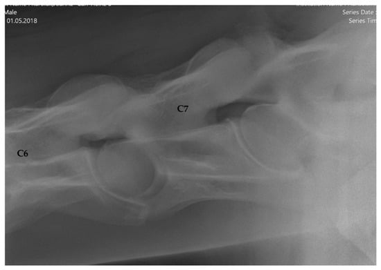
2.1.2. Radiographic Assessment
- Group 1 = normal: no periarticular new bone formation at ventral margins of APJ, intervertebral foramina clearly visible.
- Group 2 = mild APM: minimal/equivocal enlargement and sclerosis of APJ with mild osteophytosis ventrally, intervertebral foramina open/slightly obscured by new bone formation.
- Group 3 = moderate/severe APM: clear enlargement and sclerosis of APJ with moderate osteophytosis ventrally, significant reduction/loss of intervertebral foramina.
2.1.3. Correlation of ECCMV and Sex
2.1.4. Correlation of ECCMV and APM
2.1.5. Tracing of Competition Performances
- Young horse tests (classes A and L, jumping 0.95–1.15 m, at least 5–10 or >10 placings).
- Medium level (class M, jumping 1.20–1.35 m, ≤10 or >10 placings).
- Advanced level (class S to Grand Prix, jumping ≥ 1.40 m, any number of placings).
3. Results
3.1. Study Population
3.2. Prevalence of ECCMV and Articular Process Joint Modelling (APM)
3.3. Prevalence of Articular Process Joint Modelling (APM)
3.4. Inter-Observer Agreement on ECCMV Radiographic Findings
3.5. Competition Performances
4. Discussion
4.1. Clinical Significance and Etiology of ECCMV
4.2. ECCMV with Respect to Age, Sex and Breed
4.3. Prevalence of ECCMV
4.4. Prevalence of APM
4.5. Association Between ECCMV and APM
4.6. Inter-Observer Agreement
4.7. Competition Performances
4.8. Limitations
4.8.1. Diagnostic Imaging
4.8.2. Gait Analysis
4.8.3. Competition Outcome
5. Conclusions
Author Contributions
Funding
Institutional Review Board Statement
Informed Consent Statement
Data Availability Statement
Acknowledgments
Conflicts of Interest
Abbreviations
| C6 | Sixth cervical vertebra |
| C7 | Seventh cervical vertebra |
| CI | Confidence interval |
| CT | Computed tomography |
| ECCMV | Equine caudal cervical morphologic variations |
| OA | Osteoarthritis |
| OR | Odds ratio |
| Dipl. | Diplomate |
| ECVSMR | European College of Veterinary Sports Medicine and Rehabilitation |
| ACVSMR | American College of Veterinary Sports Medicine and Rehabilitation |
| ECVDI | European College of Veterinary Diagnostic Imaging |
| GEVA | German Equine Veterinary Association |
| GPM | Gesellschaft für Pferdemedizin |
| k | Kilovoltage |
| mAs | Milliampere-seconds |
| FN | Fédération Equestre (German National Equestrian Federation) |
| UELN | Universal Equine Life Number |
| KWPN | Koninklijk Warmbloed Paardenstamboek Nederland (Dutch Warmblood) |
| IQR | Interquartile Range |
| APJ | Articular process joint |
| APM | Articular process joint modelling |
Appendix A
| C6 Morphology | APJ Normal | APM Grade 1 | APM Grade 2 | Total |
|---|---|---|---|---|
| C6 normal | 89 | 40 | 11 | 140 |
| (63.6%) | (28.6%) | (7.9%) | ||
| ECCMV | 46 | 13 | 1 | 60 |
| (76.7%) | (21.7%) | (1.7%) | ||
| Total | 135 | 53 | 12 | 200 |
| Performance Category | C6 Normal (n = 140) | ECCMV (n = 60) | Total (n = 200) |
|---|---|---|---|
Young horse tests
| 54 (38.6%) | 17 (28.3%) | 71 (35.5%) |
| 21 (15%) 33 (23.6%) | 8 (13.3%) 9 (15%) | 29 (14.5%) 42 (21%) | |
Medium level/class M
| 21 (15%) 13 (9.3%) | 11 (18.3%) 9 (15%) | 32 (16%) 22 (11%) |
| 8 (5.7%) | 2 (3.3%) | 10 (5%) | |
| Advanced level/class S/GP | 7 (5%) | 3 (5%) | 10 (5%) |
| Authors | Study Design | Population (n) | Breed | Imaging Modality | Prevalence |
|---|---|---|---|---|---|
| May-Davis et al. [9] | cross-sectional | 123 | TB, TB-derived, mixed | Postmortem dissection | 18.7% overall, 38% TB |
| Veraa et al. [1] | retrospective | 78 | mixed | Postmortem CT | overall 33.3% |
| DeRouen et al. [11] | retrospective | 100 | mixed | Radiography | 24% overall, 34.5% WB |
| Dyson et al. [2] | cross-sectional | 223 | WB | Radiography | 24.2% |
| Henderson et al. [3] | retrospective | 135 | WB, TB, QH | Radiography | 20% overall, 28% WB |
| Santinelli [8] | retrospective | 270 | mixed | Radiography | 13.3% overall, 15.2% WB |
| Veraa et al. [20] | cross-sectional | 377 | WB | Radiography | 28.6% |
| Espinosa-Mur et al. [18] | retrospective | 104 | WB jumpers | Radiography | 22.1% |
| Veraa et al. [24] | prospective | 28 | Dutch WB yearlings | Radiography | 35.7% |
| Crijns et al. [25] | retrospective | 664 | Dutch WB | Radiography | 25.3% |
| Beccati et al. [12] | retrospective | 166 | mixed | Radiography | 20.7% |
| Spoormakers et al. [23] | cross-sectional | 77 | mixed | Postmortem CT | 43% WB |
| Present study | retrospective | 200 | WB | Radiography | 30% |
References
- Veraa, S.; Bergmann, W.; van den Belt, A.-J.; Wijnberg, I.; Back, W. Ex Vivo Computed Tomographic Evaluation of Morphology Variations in Equine Cervical Vertebrae. Vet. Radiol. Ultrasound 2016, 57, 482–488. [Google Scholar] [CrossRef]
- Dyson, S.; Phillips, K.; Zheng, S.; Aleman, M. Congenital Variants of the Ventral Laminae of the Sixth and Seventh Cervical Vertebrae Are Not Associated with Clinical Signs or Other Radiological Abnormalities of the Cervicothoracic Region in Warmblood Horses. Equine Vet. J. 2025, 57, 419–430. [Google Scholar] [CrossRef]
- Henderson, C.S.; Story, M.R.; Nout-Lomas, Y.S. Neck Pain but Not Neurologic Disease Occurs More Frequently in Horses with Transposition of the Ventral Lamina from C6 to C7. J. Am. Vet. Med. Assoc. 2024, 262, 1215–1221. [Google Scholar] [CrossRef]
- Dyson, S.; Quiney, L.; Phillips, K.; Zheng, S.; Aleman, M. Radiological Abnormalities of the Cervicothoracic Vertebrae in Warmblood Horses with Primary Neck-Related Clinical Signs Versus Controls. Vet. Radiol. Ultrasound 2024, 65, 755–768. [Google Scholar] [CrossRef] [PubMed]
- May-Davis, S.; Dzingle, D.; Saber, E.; Blades Eckelbarger, P. Characterization of the Caudal Ventral Tubercle in the Sixth Cervical Vertebra in Modern Equus Ferus Caballus. Animals 2023, 13, 2384. [Google Scholar] [CrossRef] [PubMed]
- Ros, K.B.; Doveren, A.; Dreessen, C.; Pellmann, R.; Beccati, F.; Zimmermann, E.; Distl, O. Radiological Methods for the Imaging of Congenital Malformations of C6-T1, the First and Second Sternal Ribs and Development of a Classification System, Demonstrated in Warmblood Horses. Animals 2023, 13, 3732. [Google Scholar] [CrossRef] [PubMed]
- Gee, C.; Small, A.; Shorter, K.; Brown, W.Y. A Radiographic Technique for Assessment of Morphologic Variations of the Equine Caudal Cervical Spine. Animals 2020, 10, 667. [Google Scholar] [CrossRef]
- Santinelli, I.; Beccati, F.; Arcelli, R.; Pepe, M. Anatomical Variation of the Spinous and Transverse Processes in the Caudal Cervical Vertebrae and the First Thoracic Vertebra in Horses. Equine Vet. J. 2016, 48, 45–49. [Google Scholar] [CrossRef]
- May-Davis, S. The Occurrence of a Congenital Malformation in the Sixth and Seventh Cervical Vertebrae Predominantly Observed in Thoroughbred Horses. J. Equine Vet. Sci. 2014, 34, 1313–1317. [Google Scholar] [CrossRef]
- May-Davis, S.; Walker, C. Variations and Implications of the Gross Morphology in the Longus Colli Muscle in Thoroughbred and Thoroughbred Derivative Horses Presenting with a Congenital Malformation of the Sixth and Seventh Cervical Vertebrae. J. Equine Vet. Sci. 2015, 35, 560–568. [Google Scholar] [CrossRef]
- DeRouen, A.; Spriet, M.; Aleman, M. Prevalence of Anatomical Variation of the Sixth Cervical Vertebra and Association with Vertebral Canal Stenosis and Articular Process Osteoarthritis in the Horse. Vet. Radiol. Ultrasound 2016, 57, 253–258. [Google Scholar] [CrossRef]
- Beccati, F.; Pepe, M.; Santinelli, I.; Gialletti, R.; Di Meo, A.; Romero, J.M. Radiographic Findings and Anatomical Variations of the Caudal Cervical Area in Horses with Neck Pain and Ataxia: Case-Control Study on 116 Horses. Vet. Rec. 2020, 187, e79. [Google Scholar] [CrossRef]
- Withers, J.M.; Voûte, L.C.; Hammond, G.; Lischer, C.J. Radiographic Anatomy of the Articular Process Joints of the Caudal Cervical Vertebrae in the Horse on Lateral and Oblique Projections. Equine Vet. J. 2009, 41, 895–902. [Google Scholar] [CrossRef]
- Rovel, T.; Zimmerman, M.; Duchateau, L.; Delesalle, C.; Adriaensen, E.; Mariën, T.; Saunders, J.H.; Vanderperren, K. Computed Tomographic Examination of the Articular Process Joints of the Cervical Spine in Warmblood Horses: 86 Cases (2015–2017). J. Am. Vet. Med. Assoc. 2021, 259, 1178–1187. [Google Scholar] [CrossRef] [PubMed]
- Janes, J.G.; Garrett, K.S.; McQuerry, K.J.; Waddell, S.; Voor, M.J.; Reed, S.M.; Williams, N.M.; MacLeod, J.N. Cervical Vertebral Lesions in Equine Stenotic Myelopathy. Vet. Pathol. 2015, 52, 919–927. [Google Scholar] [CrossRef] [PubMed]
- Down, S.S.; Henson, F.M.D. Radiographic Retrospective Study of the Caudal Cervical Articular Process Joints in the Horse. Equine Vet. J. 2009, 41, 518–524. [Google Scholar] [CrossRef] [PubMed]
- Brown, K.A.; Davidson, E.J.; Johnson, A.L.; Stefanovski, D.; Wulster, K.B.; Ortved, K. Interobserver Agreement of Lateral and Oblique Radiography and Standing Cone Beam CT of the Caudal Cervical Articular Process Joints of Horses. Vet. Radiol. Ultrasound 2023, 64, 585–592. [Google Scholar] [CrossRef] [PubMed]
- Espinosa-Mur, P.; Phillips, K.L.; Galuppo, L.D.; DeRouen, A.; Benoit, P.; Anderson, E.; Shaw, K.; Puchalski, S.; Peters, D.; Kass, P.H.; et al. Radiological Prevalence of Osteoarthritis of the Cervical Region in 104 Performing Warmblood Jumpers. Equine Vet. J. 2021, 53, 972–978. [Google Scholar] [CrossRef]
- Koenig, J.B.; Westlund, A.; Nykamp, S.; Kenney, D.G.; Melville, L.; Cribb, N.; Oberbichler, D. Case-Control Comparison of Cervical Spine Radiographs from Horses with a Clinical Diagnosis of Cervical Facet Disease with Normal Horses. J. Equine Vet. Sci. 2020, 92, 103176. [Google Scholar] [CrossRef]
- Veraa, S.; de Graaf, K.; Wijnberg, I.D.; Back, W.; Vernooij, H.; Nielen, M.; Belt, A.J.M. Caudal Cervical Vertebral Morphological Variation Is Not Associated with Clinical Signs in Warmblood Horses. Equine Vet. J. 2020, 52, 219–224. [Google Scholar] [CrossRef]
- Whitwell, K.E.; Dyson, S. Interpreting Radiographs. 8: Equine Cervical Vertebrae. Equine Vet. J. 1987, 19, 8–14. [Google Scholar] [CrossRef]
- Dyson, S.; Zheng, S.; Aleman, M. Primary Phenotypic Features Associated with Caudal Neck Pathology in Warmblood Horses. J. Vet. Intern. Med. 2024, 38, 2380–2390. [Google Scholar] [CrossRef]
- Spoormakers, T.; Veraa, S.; Brommer, H. A Comparative Study of Breed Differences in the Anatomical Configuration of the Equine Vertebral Column. J. Anat. 2021, 239, 829–838. [Google Scholar]
- Veraa, S.; Scheffer, C.J.W.; Smeets, D.H.M.; de Bruin, R.B.; Hoogendoorn, A.C.; Vernooij, J.C.M.; Nielen, M.; Back, W. Cervical Disc Width Index Is a Reliable Parameter and Consistent in Young Growing Dutch Warmblood Horses. Vet. Radiol. Ultrasound 2020, 62, 11–19. [Google Scholar] [CrossRef] [PubMed]
- Crijns, C.P.; Broeckx, B.J.G. Evaluation of cervical radiographs in Dutch Warmblood horses, using a novel radiographic grading system for the cervical articular process joints. Equine Vet. Educ. 2021, 33, 593–601. [Google Scholar]
- Story, M.R.; Haussler, K.K.; Nout-Lomas, Y.S.; Aboellail, T.A.; Kawcak, C.E.; Barrett, M.F.; Frisbie, D.D.; McIlwraith, C.W. Equine Cervical Pain and Dysfunction: Pathology, Diagnosis and Treatment. Animals 2021, 11, 422. [Google Scholar] [CrossRef]







| ECCMV | Male | Female | Total |
|---|---|---|---|
| unilateral | 22 (15.8%) | 13 (21.3%) | 35 |
| bilateral | 14 (10.1%) | 11 (18%) | 25 |
| total | 36 (25.9%) | 24 (39.3%) | 60 |
Disclaimer/Publisher’s Note: The statements, opinions and data contained in all publications are solely those of the individual author(s) and contributor(s) and not of MDPI and/or the editor(s). MDPI and/or the editor(s) disclaim responsibility for any injury to people or property resulting from any ideas, methods, instructions or products referred to in the content. |
© 2026 by the authors. Licensee MDPI, Basel, Switzerland. This article is an open access article distributed under the terms and conditions of the Creative Commons Attribution (CC BY) license.
Share and Cite
Strootmann, T.; Peter, V.G.; Körner, J. Radiographic Prevalence of Anatomical Variations of the Ventral Lamina of the Sixth Cervical Vertebra, C6/C7 Articular Process Joint Modelling and Competition Outcomes in Warmblood Sport Horses. Animals 2026, 16, 424. https://doi.org/10.3390/ani16030424
Strootmann T, Peter VG, Körner J. Radiographic Prevalence of Anatomical Variations of the Ventral Lamina of the Sixth Cervical Vertebra, C6/C7 Articular Process Joint Modelling and Competition Outcomes in Warmblood Sport Horses. Animals. 2026; 16(3):424. https://doi.org/10.3390/ani16030424
Chicago/Turabian StyleStrootmann, Teresa, Vanessa G. Peter, and Jens Körner. 2026. "Radiographic Prevalence of Anatomical Variations of the Ventral Lamina of the Sixth Cervical Vertebra, C6/C7 Articular Process Joint Modelling and Competition Outcomes in Warmblood Sport Horses" Animals 16, no. 3: 424. https://doi.org/10.3390/ani16030424
APA StyleStrootmann, T., Peter, V. G., & Körner, J. (2026). Radiographic Prevalence of Anatomical Variations of the Ventral Lamina of the Sixth Cervical Vertebra, C6/C7 Articular Process Joint Modelling and Competition Outcomes in Warmblood Sport Horses. Animals, 16(3), 424. https://doi.org/10.3390/ani16030424

