Salmonella enterica as a Complementary Model to LPS for Immune Stress in Weaned Piglets: Systemic and Intestinal Alterations
Simple Summary
Abstract
1. Introduction
2. Materials and Methods
2.1. Bacterial Strain
2.2. Animals and Experimental Design
2.3. Sample Collection
2.4. Cytokine Quantification
2.5. T Lymphocyte Subset Analysis
2.6. Electron Microscopy
2.7. Histological Analysis
2.8. Goblet Cell Staining
2.9. Statistical Analysis
3. Results
3.1. Body Weight, Colon Length and Rectal Temperature
3.2. Levels of Cytokines in Serum and Small Intestine
3.3. T-Lymphocyte Subsets in Blood and Immune Organs
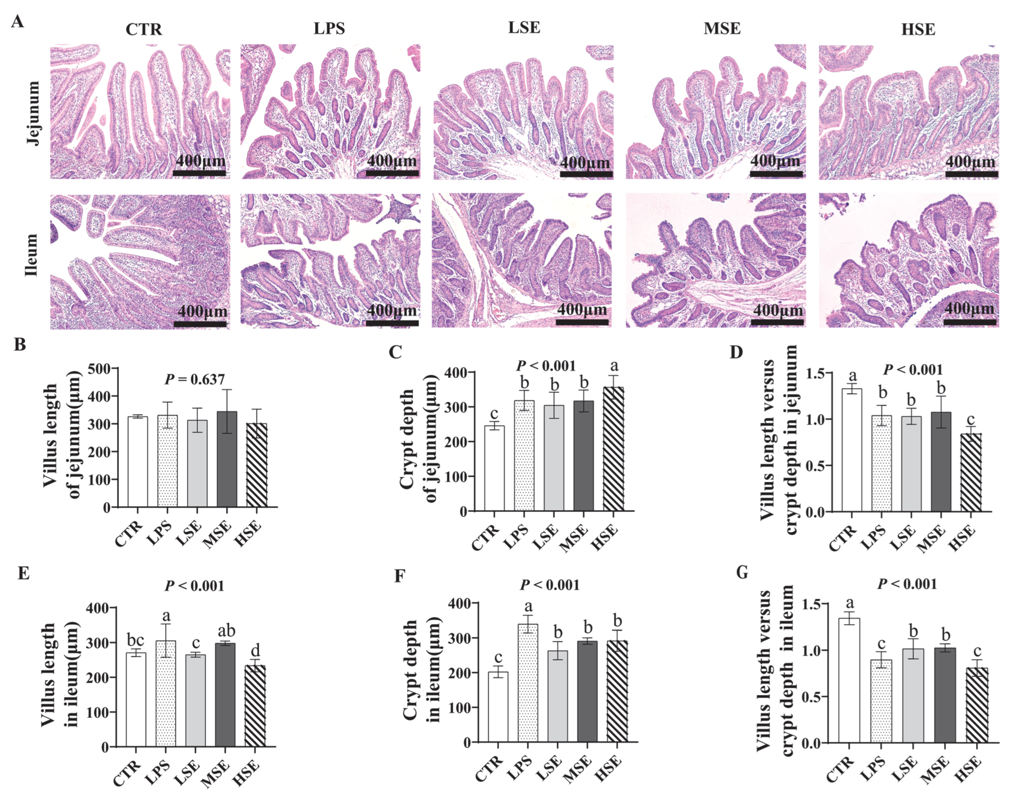
3.4. Intestinal Morphology
3.5. Number of Goblet Cells
4. Discussion
5. Conclusions
Supplementary Materials
Author Contributions
Funding
Institutional Review Board Statement
Informed Consent Statement
Data Availability Statement
Acknowledgments
Conflicts of Interest
References
- Fang, L.H.; Jin, Y.H.; Do, S.H.; Hong, J.S.; Kim, B.O.; Han, T.H.; Kim, Y.Y. Effects of dietary energy and crude protein levels on growth performance, blood profiles, and nutrient digestibility in weaning pigs. Asian-Australas. J. Anim. Sci. 2018, 32, 556. [Google Scholar] [CrossRef]
- Bertani, B.; Ruiz, N. Function and biogenesis of lipopolysaccharides. Ecosal Plus 2018, 8, e10-1128. [Google Scholar] [CrossRef]
- Kayagaki, N.; Wong, M.T.; Stowe, I.B.; Ramani, S.R.; Gonzalez, L.C.; Akashi-Takamura, S.; Miyake, K.; Zhang, J.; Lee, W.P.; Muszyński, A.; et al. Noncanonical Inflammasome Activation by Intracellular LPS Independent of TLR4. Science 2013, 341, 1246–1249. [Google Scholar] [CrossRef] [PubMed]
- Wyns, H.; Plessers, E.; De Backer, P.; Meyer, E.; Croubels, S. In vivo porcine lipopolysaccharide inflammation models to study immunomodulation of drugs. Vet. Immunol. Immunopathol. 2015, 166, 58–69. [Google Scholar] [CrossRef] [PubMed]
- Liu, Y.; Song, M.; Che, T.M.; Lee, J.J.; Bravo, D.; Maddox, C.W.; Pettigrew, J.E. Dietary plant extracts modulate gene expression profiles in ileal mucosa of weaned pigs after an Escherichia coli infection. J. Anim. Sci. 2014, 92, 2050–2062. [Google Scholar] [CrossRef]
- Torrence, M.E. Introduction to preharvest food safety. In Preharvest Food Safety; John Wiley & Sons: Washington, DC, USA, 2018; pp. 1–17. [Google Scholar] [CrossRef]
- Singh, M.; Vohra, H.; Kumar, L.; Ganguly, N.K. Induction of systemic and mucosal immune response in mice immunised with porins of Salmonella typhi. J. Med. Microbiol. 1999, 48, 79–88. [Google Scholar] [CrossRef] [PubMed]
- Roy, M.-F.; Riendeau, N.; Bédard, C.; Hélie, P.; Min-Oo, G.; Turcotte, K.; Gros, P.; Canonne-Hergaux, F.; Malo, D. Pyruvate kinase deficiency confers susceptibility to Salmonella typhimurium infection in mice. J. Exp. Med. 2007, 204, 2949–2961. [Google Scholar] [CrossRef]
- Hou, H.Y.; Zhu, C.H.; Lü, J.; Dong, L.W.; Zhu, G.Q. In vitro adhesion of Salmonella enterica SEF14 fimbriae to intestinal epithelial cells IPEC-J2 and Caco-2. Anim. Husb. Vet. Med. 2013, 45, 12–15. [Google Scholar]
- Obianwuna, U.E.; Kalu, N.A.; Wang, J.; Zhang, H.; Qi, G.; Qiu, K.; Wu, S. Recent Trends on Mitigative Effect of Probiotics on Oxidative-Stress-Induced Gut Dysfunction in Broilers under Necrotic Enteritis Challenge: A Review. Antioxidants 2023, 12, 911. [Google Scholar] [CrossRef]
- Wang, H.; Liu, Y.; Shi, H.; Wang, X.; Zhu, H.; Pi, D.; Leng, W.; Li, S. Aspartate attenuates intestinal injury and inhibits TLR4 and NODs/NF-κB and p38 signaling in weaned pigs after LPS challenge. Eur. J. Nutr. 2016, 56, 1433–1443. [Google Scholar] [CrossRef]
- Wen, C.; Chen, D.; Zhong, R.; Peng, X. Animal models of inflammatory bowel disease: Category and evaluation indexes. Gastroenterol. Rep. 2023, 12, goae021. [Google Scholar] [CrossRef]
- Bescucci, D.M.; Moote, P.E.; Polo, R.O.; Uwiera, R.R.E.; Inglis, G.D. Salmonella enterica Serovar Typhimurium Temporally Modulates the Enteric Microbiota and Host Responses to Overcome Colonization Resistance in Swine. Appl. Environ. Microbiol. 2020, 86, e01569-20. [Google Scholar] [CrossRef]
- Tang, X.; Xiong, K.; Fang, R.; Li, M. Weaning stress and intestinal health of piglets: A review. Front. Immunol. 2022, 13, 1042778. [Google Scholar] [CrossRef]
- Zhang, L.H.; Tian, X.S.; Guo, Y.; Zhou, F.Z. Effects of CpG ODN on CD4+ and CD8+ T subpopulations in the immune response to porcine reproductive and respiratory syndrome killed virus vaccine. Vaccine 2006, 24, 1874–1883. [Google Scholar] [CrossRef]
- Takeuchi, A.; Sprinz, H. Electron-microscope studies of experimental salmonella infection in preconditioned guinea pig: 2. Response of intestinal mucosa to invasion by Salmonella typhimurium. Am. J. Pathol. 1967, 51, 137. [Google Scholar] [PubMed]
- Chaffey, N. Review of Principles and techniques of electron microscopy: Biological applications. 4th ed, by MA. Hayat. Ann. Bot. 2001, 87, 546–548. Available online: http://www.jstor.org/stable/42770954 (accessed on 15 August 2021).
- Crawley, S.W.; Shifrin, D.A.; Grega-Larson, N.E.; McConnell, R.E.; Benesh, A.E.; Mao, S.; Zheng, Y.; Zheng, Q.Y.; Nam, K.T.; Millis, B.A.; et al. Intestinal Brush Border Assembly Driven by Protocadherin-Based Intermicrovillar Adhesion. Cell 2014, 157, 433–446. [Google Scholar] [CrossRef] [PubMed]
- Cao, G.; Yang, S.; Wang, H.; Zhang, R.; Wu, Y.; Liu, J.; Qiu, K.; Dong, Y.; Yue, M. Effects of Bacillus licheniformis on the Growth Performance, Antioxidant Capacity, Ileal Morphology, Intestinal Short Chain Fatty Acids, and Colonic Microflora in Piglets Challenged with Lipopolysaccharide. Animals 2023, 13, 2172. [Google Scholar] [CrossRef]
- Xue, J.; Xie, L.; Liu, B.; Zhou, L.; Hu, Y.; Ajuwon, K.M.; Fang, R. Dietary Supplementation of EGF Ameliorates the Negatively Effects of LPS on Early-Weaning Piglets: From Views of Growth Performance, Nutrient Digestibility, Microelement Absorption and Possible Mechanisms. Animals 2021, 11, 1598. [Google Scholar] [CrossRef]
- Kim, S.-J.; Kim, J.-H.; Jun, S.-Y.; Paik, H.R.; Han, J.-H. Protective effect of bacteriophages against Salmonella Typhimurium infection in weaned piglets. Korean J. Vet. Serv. 2014, 37, 35–43. [Google Scholar] [CrossRef]
- Gantner, B.N.; Simmons, R.M.; Canavera, S.J.; Akira, S.; Underhill, D.M. Collaborative induction of inflammatory responses by dectin-1 and toll-like receptor 2. J. Exp. Med. 2003, 197, 1107–1117. [Google Scholar] [CrossRef]
- Islam, M.A.; Pröll, M.; Hölker, M.; Tholen, E.; Tesfaye, D.; Looft, C.; Schellander, K.; Cinar, M.U. Alveolar macrophage phagocytic activity is enhanced with LPS priming, and combined stimulation of LPS and lipoteichoic acid synergistically induce pro-inflammatory cytokines in pigs. J. Endotoxin Res. 2013, 19, 631–643. [Google Scholar] [CrossRef]
- Mackensen, A.; Galanos, C.; Engelhardt, R. Modulating activity of interferon-gamma on endotoxin-induced cytokine production in cancer patients. Blood 1991, 78, 3254–3258. [Google Scholar] [CrossRef]
- Kabanov, D.S.; Rykov, V.A.; Prokhorenko, S.V.; Murashev, A.N.; Prokhorenko, I.R. In vivo Proinflammatory Cytokine Production by CD-1 Mice in Response to Equipotential Doses of Rhodobacter capsulatus PG and Salmonella enterica Lipopolysaccharides. Biochemistry 2018, 83, 846–854. [Google Scholar] [CrossRef]
- Hyland, K.A.; Brown, D.R.; Murtaugh, M.P. Salmonella enterica serovar Choleraesuis infection of the porcine jejunal Peyer’s patch rapidly induces IL-1β and IL-8 expression. Vet. Immunol. Immunopathol. 2006, 109, 1–11. [Google Scholar] [CrossRef] [PubMed]
- Chen, X.; Zheng, A.; Li, S.; Wang, Z.; Chen, Z.; Chen, J.; Zou, Z.; Liang, H.; Liu, G. Bacillus amyloliquefaciens Regulates the Keap1/Nrf2 Signaling Pathway to Improve the Intestinal (Caco-2 Cells and Chicken Jejunum) Oxidative Stress Response Induced by Lipopolysaccharide (LPS). Antioxidants 2024, 13, 1550. [Google Scholar] [CrossRef] [PubMed]
- Nagata, T.; Suzuki, H.; Ishigami, N.; Shinozuka, J.; Uetsuka, K.; Nakayama, H.; Doi, K. Development of apoptosis and changes in lymphocyte subsetsin thymus, mesenteric lymph nodes and Peyer’s patches of mice orally inoculated with T-2 toxin. Exp. Toxicol. Pathol. 2001, 53, 309–315. [Google Scholar] [CrossRef] [PubMed]
- Lis, M.; Szczypka, M.; Suszko, A.; Obmińska-Mrukowicz, B. Influence of bestatin, an inhibitor of aminopeptidases, on T and B lymphocyte subsets in mice. Pol. J. Vet. Sci. 2011, 14, 393–403. [Google Scholar] [CrossRef]
- Alfaro, D.; Muñoz, J.J.; García-Ceca, J.; Cejalvo, T.; Jiménez, E.; Zapata, A. Alterations in the thymocyte phe-notype of EphB-deficient mice largely affect the double negative cell compartment. Immunology 2008, 124, 509–521. [Google Scholar] [CrossRef]
- Casanova-Higes, A.; Marín-Alcalá, C.M.; Andrés-Barranco, S.; Cebollada-Solanas, A.; Alvarez, J.; Mainar-Jaime, R.C. Weaned piglets: Another factor to be considered for the control of Salmonella infection in breeding pig farms. Vet. Res. 2019, 50, 1–11. [Google Scholar] [CrossRef]
- Agredo-Palechor, A.; Gomez-Rosales, S.; de Angeles, M.L.; Perez-Alvarado, A.; Mariscal-Landin, G. PSI-25 Improvements in the jejunal villus morphometry and increases in the number of goblet cells with the addition of humic substances from vermicompost in weaned pigs. J. Anim. Sci. 2024, 102, 692–693. [Google Scholar] [CrossRef]
- Zhu, Q.; Wang, Y.; Liu, Y.; Yu, B.; He, J.; Zheng, P.; Mao, X.; Huang, Z.; Luo, J.; Luo, Y.; et al. Effects of a Novel Protease on Growth Performance, Nutrient Digestibility and Intestinal Health in Weaned Piglets. Animals 2022, 12, 2803. [Google Scholar] [CrossRef]
- Zhang, Y.; Wang, Y.; Chen, D.; Yu, B.; Zheng, P.; Mao, X.; Luo, Y.; Li, Y.; He, J. Dietary chlorogenic acid supplementation affects gut morphology, antioxidant capacity and intestinal selected bacterial populations in weaned piglets. Food Funct. 2018, 9, 4968–4978. [Google Scholar] [CrossRef] [PubMed]
- Kartika, R.; Purnamasari, D.; Pradipta, S.; Larasati, R.A.; Wibowo, H. Impact of Low Interferon-γ and IL-10 Levels on TNF-α and IL-6 Production by PHA-Induced PBMCs in Type 2 Diabetes Mellitus. J. Inflamm. Res. 2020, 13, 187–193. [Google Scholar] [CrossRef] [PubMed]
- Lapointe, J.; Fortin, E.; Bergeron, N.; Lavergne, L.; Roy, C.; Deschêne, K.; Lessard, M. Enterotoxigenic Escherichia coli and Salmonella enterica Typhimurium induce mitochondrial dysfunction, inflammation and oxidative stress conditions in porcine intestinal epithelial cells. Free Radic. Biol. Med. 2018, 128, S106. [Google Scholar] [CrossRef]






Disclaimer/Publisher’s Note: The statements, opinions and data contained in all publications are solely those of the individual author(s) and contributor(s) and not of MDPI and/or the editor(s). MDPI and/or the editor(s) disclaim responsibility for any injury to people or property resulting from any ideas, methods, instructions or products referred to in the content. |
© 2026 by the authors. Licensee MDPI, Basel, Switzerland. This article is an open access article distributed under the terms and conditions of the Creative Commons Attribution (CC BY) license.
Share and Cite
Dong, L.; Liu, Z.; Li, W.; Zhang, C.; Yuan, H.; Liu, J.; Wang, H.; Yu, L. Salmonella enterica as a Complementary Model to LPS for Immune Stress in Weaned Piglets: Systemic and Intestinal Alterations. Animals 2026, 16, 311. https://doi.org/10.3390/ani16020311
Dong L, Liu Z, Li W, Zhang C, Yuan H, Liu J, Wang H, Yu L. Salmonella enterica as a Complementary Model to LPS for Immune Stress in Weaned Piglets: Systemic and Intestinal Alterations. Animals. 2026; 16(2):311. https://doi.org/10.3390/ani16020311
Chicago/Turabian StyleDong, Li, Zhiyan Liu, Wenxi Li, Changwei Zhang, Haoyang Yuan, Jun Liu, Hongrong Wang, and Lihuai Yu. 2026. "Salmonella enterica as a Complementary Model to LPS for Immune Stress in Weaned Piglets: Systemic and Intestinal Alterations" Animals 16, no. 2: 311. https://doi.org/10.3390/ani16020311
APA StyleDong, L., Liu, Z., Li, W., Zhang, C., Yuan, H., Liu, J., Wang, H., & Yu, L. (2026). Salmonella enterica as a Complementary Model to LPS for Immune Stress in Weaned Piglets: Systemic and Intestinal Alterations. Animals, 16(2), 311. https://doi.org/10.3390/ani16020311
