The Morphogenesis of Sperm Storage Micropockets in the Western Mosquitofish (Gambusia affinis)
Simple Summary
Abstract
1. Introduction
2. Materials and Methods
2.1. Animals
2.2. Histological Observation and Analysis
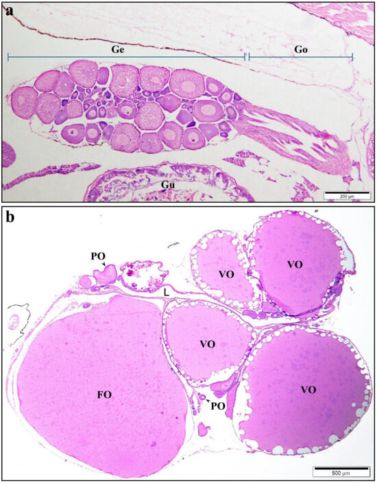
3. Results
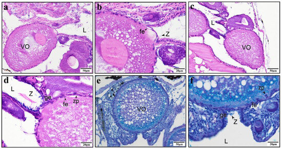
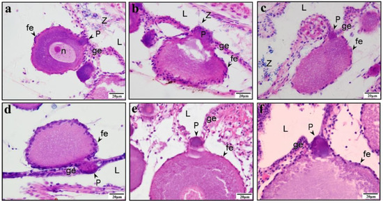
3.1. Morphology of Protrusion During Previtellogenesis
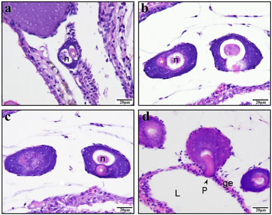
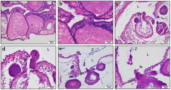
3.2. The Protrusion Flows into the Ovarian Lumen
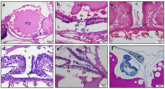
3.3. Morphology of a Matured SSP
4. Discussion
4.1. The SSP in Poeciliid Fishes
4.2. Morphogenesis of the Protrusion
4.3. The Protrusion Closely Resembles the First Polar Body
4.4. The Matured SSP
5. Conclusions
Supplementary Materials
Author Contributions
Funding
Institutional Review Board Statement
Informed Consent Statement
Data Availability Statement
Acknowledgments
Conflicts of Interest
References
- Holt, W.V.; Fazeli, A. Sperm Storage in the Female Reproductive Tract. Annu. Rev. Anim. Biosci. 2016, 4, 291–310. [Google Scholar] [CrossRef]
- Orr, T.J.; Brennan, P.L.R. Sperm Storage: Distinguishing Selective Processes and Evaluating Criteria. Trends Ecol. Evol. 2015, 30, 261–272. [Google Scholar] [CrossRef] [PubMed]
- Birkhead, T.R.; Møller, A.P. Sexual Selection and the Temporal Separation of Reproductive Events: Sperm Storage Data from Reptiles, Birds and Mammals. Biol. J. Linn. Soc. 1993, 50, 295–311. [Google Scholar] [CrossRef]
- Orr, T.J.; Zuk, M. Reproductive Delays in Mammals: An Unexplored Avenue for Post-Copulatory Sexual Selection. Biol. Rev. Camb. Philos. Soc. 2014, 89, 889–912. [Google Scholar] [CrossRef] [PubMed]
- Sever, D.M.; Hamlett, W.C. Female Sperm Storage in Reptiles. J. Exp. Zool. 2002, 292, 187–199. [Google Scholar] [CrossRef]
- Baer, B.; Armitage, S.A.O.; Boomsma, J.J. Sperm Storage Induces an Immunity Cost in Ants. Nature 2006, 441, 872–875. [Google Scholar] [CrossRef]
- Wong, A.; Albright, S.N.; Giebel, J.D.; Ram, K.R.; Ji, S.; Fiumera, A.C.; Wolfner, M.F. A Role for Acp29AB, a Predicted Seminal Fluid Lectin, in Female Sperm Storage in Drosophila melanogaster. Genetics 2008, 180, 921–931. [Google Scholar] [CrossRef][Green Version]
- López-Sepulcre, A.; Gordon, S.P.; Paterson, I.G.; Bentzen, P.; Reznick, D.N. Beyond Lifetime Reproductive Success: The Posthumous Reproductive Dynamics of Male Trinidadian Guppies. Proc. R. Soc. B 2013, 280, 20131116. [Google Scholar] [CrossRef]
- Sever, D.M. Female Sperm Storage in Amphibians. J. Exp. Zool. 2002, 292, 165–179. [Google Scholar] [CrossRef]
- Pearse, D.E. Turtle Mating Systems: Behavior, Sperm Storage, and Genetic Paternity. J. Hered. 2001, 92, 206–211. [Google Scholar] [CrossRef]
- Rijsselaere, T.; Soom, A.V.; Cruchten, S.V.; Coryn, M.; Görtz, K.; Maes, D.; Kruif, A. de Sperm Distribution in the Genital Tract of the Bitch Following Artificial Insemination in Relation to the Time of Ovulation. Reproduction 2004, 128, 801–811. [Google Scholar] [CrossRef] [PubMed]
- Dhillon, A.; Chowdhury, T.; Morbey, Y.E.; Moehring, A.J. Reproductive Consequences of an Extra Long-Term Sperm Storage Organ. BMC Evol. Biol. 2020, 20, 159. [Google Scholar] [CrossRef] [PubMed]
- Haishen, W. Evolutionary Mechanism and Reproduction Physiology in Ovoviviparous Teleost: A Review. J. Dalian Ocean Univ. 2020, 4, 469–480. [Google Scholar] [CrossRef]
- Zhao, H.; Wang, X.; Du, T.; Gao, G.; Wu, L.; Xu, S.; Xiao, Y.; Wang, Y.; Liu, Q.; Li, J. Sperm Maturation, Migration, and Localization before and after Copulation in Black Rockfish (Sebastes schlegelii). Theriogenology 2021, 166, 83–89. [Google Scholar] [CrossRef]
- Martínez, V.H.; Monasterio De Gonzo, G.; Uribe, M.C.; Grier, H.J. Testicular Structure in Three Viviparous Species of Teleosts in the Genus Jenynsia (Anablepidae). Spermatogenesis 2014, 4, e983399. [Google Scholar] [CrossRef][Green Version]
- Koya, Y.; Munehara, H.; Takano, K. Sperm Storage and Motility in the Ovary of the Marine Sculpin Alcichthys alcicornis (Teleostei: Scorpaeniformes), with Internal Gametic Association. J. Exp. Zool. 2002, 292, 145–155. [Google Scholar] [CrossRef]
- Darling, J.D.S.; Noble, M.L.; Shaw, E. Reproductive Strategies in the Surfperches. I. Multiple Insemination in Natural Populations of the Shiner Perch, Cymatogaster aggregata. Evolution 1980, 34, 271–277. [Google Scholar] [CrossRef]
- Fraser, E.A.; Renton, R.M. Observation, on the Breeding and Development of the Viviparous Fish, Heterandria formosa. J. Cell Sci. 1940, 2, 479–520. [Google Scholar] [CrossRef]
- Olivera-Tlahuel, C.; Villagrán-Santa Cruz, M.; Moreno-Mendoza, N.A.; Zúñiga-Vega, J.J. Morphological Structures for Potential Sperm Storage in Poeciliid Fishes. Does Superfetation Matter? J. Morphol. 2017, 278, 907–918. [Google Scholar] [CrossRef]
- Uribe, M.C.; Aguilar-Morales, M.; De la Rosa-Cruz, G.; García-Alarcón, A.; Campuzano-Caballero, J.C.; Guerrero-Estévez, S.M. Ovarian Structure and Embryonic Traits Associated with Viviparity in Poeciliids and Goodeids. In Viviparous Fishes, 2nd ed.; Uribe, M.C., Harry, G., Eds.; New Life Publications: Homestead, FL, USA, 2010; pp. 211–229. [Google Scholar]
- Kobayashi, H.; Iwamatsu, T. Fine Structure of the Storage Micropocket of Spermatozoa in the Ovary of the Guppy Poecilia reticulata. Zool. Sci. 2002, 19, 545–555. [Google Scholar] [CrossRef]
- Uribe, M.C.; Grier, H.J. Insemination, Intrafollicular Fertilization and Development of the Fertilization Plug during Gestation in Heterandria formosa (Poeciliidae). J. Morphol. 2018, 279, 970–980. [Google Scholar] [CrossRef] [PubMed]
- Potter, H.; Kramer, C.R. Ultrastructural Observations on Sperm Storage in the Ovary of the Platyfish, Xiphophorus maculatus (Teleostei: Poeciliidae): The Role of the Duct Epithelium. J. Morphol. 2000, 245, 110–129. [Google Scholar] [CrossRef] [PubMed]
- Pyke, G.H. A Review of the Biology of Gambusia affinis and G. holbrooki. Rev. Fish Biol. Fish. 2005, 15, 339–365. [Google Scholar] [CrossRef]
- Shao, F.; Ludwig, A.; Mao, Y.; Liu, N.; Peng, Z. Chromosome-Level Genome Assembly of the Female Western Mosquitofish (Gambusia affinis). GigaScience 2020, 9, giaa092. [Google Scholar] [CrossRef]
- Haynes, J.L. Annual Reestablishment of Mosquitofish Populations in Nebraska. Copeia 1993, 1993, 232. [Google Scholar] [CrossRef]
- Krumholz, L.A. Reproduction in the Western Mosquitofish, Gambusia affinis affinis (Baird & Girard), and Its Use in Mosquito Control. Ecol. Monogr. 1948, 18, 1–43. [Google Scholar] [CrossRef]
- Schneider, C.A.; Rasband, W.S.; Eliceiri, K.W. NIH Image to ImageJ: 25 Years of Image Analysis. Nat. Methods 2012, 9, 671–675. [Google Scholar] [CrossRef]
- Gayzik, F.; Hoth, J.; Stitzel, J. Quantitative Histology of Contused Lung Tissue with Comparison to Computed Tomography. Biomed. Sci. Instrum. 2008, 44, 225–230. [Google Scholar]
- Kölle, S. Transport, Distribution and Elimination of Mammalian Sperm Following Natural Mating and Insemination. Reprod. Domest. Anim. 2015, 50, 2–6. [Google Scholar] [CrossRef]
- Melo, G.C.; Nascimento, L.B.; Galdino, C.A.B. Lizard Reproductive Biology beyond the Gonads: An Investigation of Sperm Storage Structures and Renal Sexual Segments. Zoology 2019, 135, 125690. [Google Scholar] [CrossRef]
- Uribe, M.C.; Grier, H.J.; De la Rosa-Cruz, G.; Schartl, M. The Occurrence of Spermatozoa in the Ovary of the Gynogenetic Viviparous Teleost Poecilia formosa (Poeciliidae). J. Morphol. 2016, 277, 341–350. [Google Scholar] [CrossRef] [PubMed]
- Dávila, F.; Botteaux, A.; Bauman, D.; Chérasse, S.; Aron, S. Antibacterial Activity of Male and Female Sperm-Storage Organs in Ants. J. Exp. Biol. 2018, 221, jeb175158. [Google Scholar] [CrossRef] [PubMed]
- Sasanami, T.; Matsuzaki, M.; Mizushima, S.; Hiyama, G. Sperm Storage in the Female Reproductive Tract in Birds. J. Reprod. Develop. 2013, 59, 334–338. [Google Scholar] [CrossRef] [PubMed]
- Pool, T.B.; Hoage, T.R. The Ultrastructure of Secretion in the Spermatheca of the Salamander, Manculus quadridigitatus (Holbrook). Tissue Cell 1973, 5, 303–313. [Google Scholar] [CrossRef]
- Tombes, A.S.; Roppel, R.M. Ultrastructure of the Spermatheca of the granary weevil, Sitophilus granarius (L.) (Coleoptera: Curculionidae). Int. J. Insect Morphol. Embryol. 1972, 1, 141–152. [Google Scholar] [CrossRef]
- Campuzano-Caballero, J.C.; Uribe, M.C. Structure of the Female Gonoduct of the Viviparous Teleost Poecilia reticulata (Poeciliidae) during Nongestation and Gestation Stages: Structure of The Gonoduct Of Poecilia reticulata. J. Morphol. 2014, 275, 247–257. [Google Scholar] [CrossRef]
- Campuzano-Caballero, J.C.; Uribe, M.C. Functional Morphology of the Gonoduct of the Viviparous Teleost Poeciliopsis gracilis (Heckel, 1848) (Poeciliidae). J. Morphol. 2017, 278, 1647–1655. [Google Scholar] [CrossRef]
- Torres-Martínez, A.; Hernández-Franyutti, A.; Uribe, M.C.; Contreras-Sánchez, W.M. Ovarian Structure and Oogenesis of the Extremophile Viviparous Teleost Poecilia mexicana ( Poeciliidae) from an Active Sulfur Spring Cave in Southern Mexico. J. Morphol. 2017, 278, 1667–1681. [Google Scholar] [CrossRef]
- Uribe, M.C.; Grier, H.J. Oogenesis of Microlecithal Oocytes in the Viviparous Teleost Heterandria formosa. J. Morphol. 2011, 272, 241–257. [Google Scholar] [CrossRef]
- Brusentsev, E.Y.; Mokrousova, V.I.; Igonina, T.N.; Rozhkova, I.N.; Amstislavsky, S.Y. Role of Lipid Droplets in the Development of Oocytes and Preimplantation Embryos in Mammals. Russ. J. Dev. Biol. 2019, 50, 230–237. [Google Scholar] [CrossRef]
- Bazzoli, N.; Godinho, H.P. Cortical Alveoli in Oocytes of Freshwater Neotropical Teleost Fish. Boll. Di Zool. 1994, 61, 301–308. [Google Scholar] [CrossRef]
- Suarez, S.S. Mammalian Sperm Interactions with the Female Reproductive Tract. Cell Tissue Res. 2016, 363, 185–194. [Google Scholar] [CrossRef] [PubMed]
- Wei, Z.; Greaney, J.; Loh, W.-G.N.; Homer, H.A. Nampt-Mediated Spindle Sizing Secures a Post-Anaphase Increase in Spindle Speed Required for Extreme Asymmetry. Nat. Commun. 2020, 11, 3393. [Google Scholar] [CrossRef] [PubMed]
- Satouh, Y.; Inoue, N. Involvement of Cellular Protrusions in Gamete Interactions. Semin. Cell Dev. Biol. 2022, 129, 93–102. [Google Scholar] [CrossRef]
- Crozet, F.; Letort, G.; Bulteau, R.; Da Silva, C.; Eichmuller, A.; Tortorelli, A.F.; Blévinal, J.; Belle, M.; Dumont, J.; Piolot, T.; et al. Filopodia-like Protrusions of Adjacent Somatic Cells Shape the Developmental Potential of Oocytes. Life Sci. Alliance 2023, 6, e202301963. [Google Scholar] [CrossRef]
- Wei, Z.; Greaney, J.; Zhou, C.; Homer, H.A. Cdk1 Inactivation Induces Post-Anaphase-Onset Spindle Migration and Membrane Protrusion Required for Extreme Asymmetry in Mouse Oocytes. Nat. Commun. 2018, 9, 4029. [Google Scholar] [CrossRef] [PubMed]
- Dehapiot, B.; Carrière, V.; Carroll, J.; Halet, G. Polarized Cdc42 Activation Promotes Polar Body Protrusion and Asymmetric Division in Mouse Oocytes. Dev. Biol. 2013, 377, 202–212. [Google Scholar] [CrossRef]
- Radonova, L.; Pauerova, T.; Jansova, D.; Danadova, J.; Skultety, M.; Kubelka, M.; Anger, M. Cyclin A1 in Oocytes Prevents Chromosome Segregation and Anaphase Entry. Sci. Rep. 2020, 10, 7455. [Google Scholar] [CrossRef]
- Schmerler, S.; Wessel, G.M. Polar Bodies—More a Lack of Understanding than a Lack of Respect. Mol. Reprod. Devel 2011, 78, 3–8. [Google Scholar] [CrossRef]
- Gotoh, A.; Billen, J.; Hashim, R.; Ito, F. Evolution of Specialized Spermatheca Morphology in Ant Queens: Insight from Comparative Developmental Biology between Ants and Polistine Wasps. Arthropod Struct. Dev. 2009, 38, 521–525. [Google Scholar] [CrossRef]
- Mayhew, M.L.; Merritt, D.J. The Morphogenesis of Spermathecae and Spermathecal Glands in Drosophila melanogaster. Arthropod Struct. Dev. 2013, 42, 385–393. [Google Scholar] [CrossRef] [PubMed]
- Chen, H.; Liu, T.; Holt, W.V.; Yang, P.; Zhang, L.; Zhang, L.; Han, X.; Bian, X.; Chen, Q. Advances in Understanding Mechanisms of Long-Term Sperm Storage-the Soft-Shelled Turtle Model. Histol. Histopathol. 2020, 35, 1–23. [Google Scholar] [CrossRef] [PubMed]








Disclaimer/Publisher’s Note: The statements, opinions and data contained in all publications are solely those of the individual author(s) and contributor(s) and not of MDPI and/or the editor(s). MDPI and/or the editor(s) disclaim responsibility for any injury to people or property resulting from any ideas, methods, instructions or products referred to in the content. |
© 2025 by the authors. Licensee MDPI, Basel, Switzerland. This article is an open access article distributed under the terms and conditions of the Creative Commons Attribution (CC BY) license (https://creativecommons.org/licenses/by/4.0/).
Share and Cite
Wu, T.; Li, P.; Wu, Z.; Wang, Y.; Li, S.; Shao, F.; Peng, Z. The Morphogenesis of Sperm Storage Micropockets in the Western Mosquitofish (Gambusia affinis). Animals 2025, 15, 707. https://doi.org/10.3390/ani15050707
Wu T, Li P, Wu Z, Wang Y, Li S, Shao F, Peng Z. The Morphogenesis of Sperm Storage Micropockets in the Western Mosquitofish (Gambusia affinis). Animals. 2025; 15(5):707. https://doi.org/10.3390/ani15050707
Chicago/Turabian StyleWu, Tengfei, Ping Li, Zechen Wu, Yongming Wang, Sheng Li, Feng Shao, and Zuogang Peng. 2025. "The Morphogenesis of Sperm Storage Micropockets in the Western Mosquitofish (Gambusia affinis)" Animals 15, no. 5: 707. https://doi.org/10.3390/ani15050707
APA StyleWu, T., Li, P., Wu, Z., Wang, Y., Li, S., Shao, F., & Peng, Z. (2025). The Morphogenesis of Sperm Storage Micropockets in the Western Mosquitofish (Gambusia affinis). Animals, 15(5), 707. https://doi.org/10.3390/ani15050707

