Significance of Hemorheological Tests During Mycoplasma Pulmonis Infection in Laboratory Rats
Simple Summary
Abstract
1. Introduction
2. Materials and Methods
2.1. Animals and Blood Sampling Method
2.2. Hematological and Hemorheological Measurements
2.3. Histological Examination
2.4. Statistical Analysis
3. Results
3.1. Clinical Signs
3.2. Polymerase Chain Reaction (PCR) and Nucleotide Sequence Determination
3.3. Hematological Parameters
3.4. Hemorheological Parameters
3.5. Macroscopic Observations
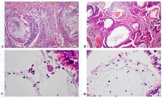
3.6. Histopathological Results
4. Discussion
5. Conclusions
Author Contributions
Funding
Institutional Review Board Statement
Informed Consent Statement
Data Availability Statement
Acknowledgments
Conflicts of Interest
References
- Desjardins, D.R.; Kennedy, L.H.; Agnew, D.W. Pathology in Practice. Mycoplasma Pulmonis Infection. J. Am. Vet. Med. Assoc. 2012, 240, 155–157. [Google Scholar] [CrossRef]
- Chawla, S.; Jena, S.; Venkatsan, B.; Mahara, K.; Sahu, N. Clinical, Pathological, and Molecular Investigation of Mycoplasma Pulmonis-Induced Murine Respiratory Mycoplasmosis in a Rat (Rattus Norvegicus). Colony. Vet. World 2017, 10, 1378–1382. [Google Scholar] [CrossRef] [PubMed][Green Version]
- Ferreira, J.B.; Yamaguti, M.; Marques, L.M.; Oliveira, R.C.; Neto, R.L.; Buzinhani, M.; Timenetsky, J. Detection of Mycoplasma Pulmonis in Laboratory Rats and Technicians. Zoonoses Public Health 2008, 55, 229–234. [Google Scholar] [CrossRef] [PubMed]
- Graham, J.E.; Schoeb, T.R. Mycoplasma Pulmonis in Rats. J. Exot. Pet Med. 2011, 20, 270–276. [Google Scholar] [CrossRef]
- Piasecki, T.; Chrzastek, K.; Kasprzykowska, U. Mycoplasma Pulmonis of Rodents as a Possible Human Pathogen. Vector-Borne Zoonotic Dis. 2017, 17, 475–477. [Google Scholar] [CrossRef] [PubMed]
- Takahashi-Omoe, H.; Omoe, K.; Matsushita, S.; Kobayashi, H.; Yamamoto, K. Polymerase Chain Reaction with a Primer Pair in the 16S-23S rRNA Spacer Region for Detection of Mycoplasma Pulmonis in Clinical Isolates. Comp. Immunol. Microbiol. Infect. Dis. 2004, 27, 117–128. [Google Scholar] [CrossRef] [PubMed]
- Otto, G.M.; Franklin, C.L.; Clifford, C.B. Biology and Diseases of Rats. In Laboratory Animal Medicine; Elsevier: Amsterdam, The Netherlands, 2015; pp. 151–207. [Google Scholar]
- Suckow, M.A.; Weisbroth, S.H.; Franklin, C.L. The Laboratory Rat. In American College of Laboratory Animal Medicine Series, 2nd ed.; Elsevier: Amsterdam, The Netherlands; Boston, MA, USA, 2006. [Google Scholar]
- Schoeb, T.R.; McConnell, E.E.; Juliana, M.M.; Davis, J.K.; Davidson, M.K.; Lindsey, J.R. Mycoplasma Pulmonis and Lymphoma in Bioassays in Rats. Vet. Pathol. 2009, 46, 952–959. [Google Scholar] [CrossRef] [PubMed]
- Furr, P.M.; Sarathchandra, P.; Hetherington, C.M.; Taylor-Robinson, D. Site of Localization of Mycoplasma Pulmonis and Mycoplasma Hominis in the Genital Tract of Female Mice Demonstrated by Culture and Scanning and Immuno-Electron Microscopy. Int. J. Exp. Pathol. 1995, 76, 131–143. [Google Scholar]
- Peltier, M.R.; Richey, L.J.; Brown, M.B. Placental lesions caused by experimental infection of Sprague-Dawley rats with Mycoplasma pulmonis. Am. J. Reprod Immunol. 2003, 50, 254–262. [Google Scholar] [CrossRef] [PubMed]
- Romero-Rojas, A.; Ponce-Hernández, C.; Mendoza, S.E.; Reyes-Esparza, J.A.; Estrada-Parra, S.J.; Hadden, J.W. Immunomodulatory properties of Mycoplasma pulmonis: II. Studies on the mechanisms of immunomodulation. Int. Immunopharmacol. 2001, 1, 1689–1697. [Google Scholar] [CrossRef] [PubMed]
- Ceola, C.F.; Sampaio, J.; Blatt, S.L.; de Cordova, C.M.M. Mycoplasma infection and inflammatory effects on laboratory rats bred for experimental research. Rev. Pan-Amaz. de Saúde 2016, 7, 8. [Google Scholar]
- Baskurt, O.K.; Uyuklu, M.; Ulker, P.; Cengiz, M.; Nemeth, N.; Alexy, T.; Shin, S.; Hardeman, M.R.; Meiselman, H.J. Comparison of Three Instruments for Measuring Red Blood Cell Aggregation. Clin. Hemorheol. Microcirc. 2009, 43, 283–298. [Google Scholar] [CrossRef]
- Chayer, B.; Allard, L.; Qin, Z.; Garcia-Duitama, J.; Roger, L.; Destrempes, F.; Cailhier, J.-F.; Denault, A.; Cloutier, G. Pilot Clinical Study of Quantitative Ultrasound Spectroscopy Measurements of Erythrocyte Aggregation within Superficial Veins. Clin. Hemorheol. Microcirc. 2020, 74, 109–126. [Google Scholar] [CrossRef] [PubMed]
- Sheremet’ev, Y.A.; Popovicheva, A.N.; Levin, G.Y. Effects of Storage Duration and Temperature of Human Plasma and Serum on Red Blood Cell Aggregation and Shape. Open J. Biophys. 2013, 03, 212–216. [Google Scholar] [CrossRef]
- Yeom, E.; Lee, S.J. Microfluidic-Based Speckle Analysis for Sensitive Measurement of Erythrocyte Aggregation: A Comparison of Four Methods for Detection of Elevated Erythrocyte Aggregation in Diabetic Rat Blood. Biomicrofluidics 2015, 9, 024110. [Google Scholar] [CrossRef]
- Baskurt, O.K.; Neu, B.; Meiselman, H.J.; Baskurt, O.K.; Neu, B.; Meiselman, H.J. Alterations in Red Blood Cell Aggregation. In Red Blood Cell Aggregation; CRC Press: Boca Raton, FL, USA; Taylor& Francis Group: Abingdon, UK, 2012; pp. 223–267. [Google Scholar]
- Mohandas, N.; Gallagher, P.G. Red Cell Membrane: Past, Present, and Future. Blood 2008, 112, 3939–3948. [Google Scholar] [CrossRef] [PubMed]
- Parrow, N.L.; Violet, P.-C.; Tu, H.; Nichols, J.; Pittman, C.A.; Fitzhugh, C.; Fleming, R.E.; Mohandas, N.; Tisdale, J.F.; Levine, M. Measuring Deformability and Red Cell Heterogeneity in Blood by Ektacytometry. J. Vis. Exp. 2018, 131, 56910. [Google Scholar] [CrossRef]
- Gutierrez, M.; Shamoun, M.; Seu, K.G.; Tanski, T.; Kalfa, T.A.; Eniola-Adefeso, O. Characterizing Bulk Rigidity of Rigid Red Blood Cell Populations in Sickle-Cell Disease Patients. Sci. Rep. 2021, 11, 7909. [Google Scholar] [CrossRef]
- Yeom, E.; Byeon, H.; Lee, S. Effect of diabetic duration on hemorheological properties and platelet aggregation in streptozotocin-induced diabetic rats. Sci Rep. 2016, 6, 21913. [Google Scholar] [CrossRef] [PubMed]
- Herńandez, G.; Dabin, C.; del C. Gayol, M.; Rasia, L. Haemorheological Variables in a Rat Model of Hypertriglyceridaemic Obesity and Diabetes. Vet. Res. Commun. 2002, 26, 625–635. [Google Scholar] [CrossRef]
- Tanczos, B.; Somogyi, V.; Bombicz, M.; Juhasz, B.; Nemeth, N.; Deak, A. Changes of Hematological and Hemorheological Parameters in Rabbits with Hypercholesterolemia. Metabolites 2021, 11, 249. [Google Scholar] [CrossRef] [PubMed]
- Nemeth, N.; Berhes, M.; Kiss, F.; Hajdu, E.; Deak, A.; Molnar, A.; Szabo, J.; Fulesdi, B. Early Hemorheological Changes in a Porcine Model of Intravenously given E. Coli Induced Fulminant Sepsis. Clin. Hemorheol. Microcirc. 2016, 61, 479–496. [Google Scholar] [CrossRef] [PubMed]
- van Kuppeveld, F.J.; Johansson, K.E.; Galama, J.M.; Kissing, J.; Bölske, G.; van der Logt, J.T.; Melchers, W.J. Detection of Mycoplasma Contamination in Cell Cultures by a Mycoplasma Group-Specific PCR. Appl. Environ. Microbiol. 1994, 60, 149–152. [Google Scholar] [CrossRef] [PubMed]
- Herbert, R.A.; Janardhan, K.S.; Pandiri, A.R.; Cesta, M.F.; Miller, R.A. Nose, Larynx, and Trachea. In Boorman’s Pathology of the Rat; Elsevier: Amsterdam, The Netherlands, 2018; pp. 391–435. [Google Scholar]
- Herbert, R.A.; Janardhan, K.S.; Pandiri, A.R.; Cesta, M.F.; Chen, V.; Miller, R.A. Lung, Pleura, and Mediastinum. In Boorman’s Pathology of the Rat; Elsevier: Amsterdam, The Netherlands, 2018; pp. 437–466. [Google Scholar]
- Sanchez, S.; Tyler, K.; Rozengurt, N.; Lida, J. Comparison of a PCR-Based Diagnostic Assay for Mycoplasma Pulmonis with Traditional Detection Techniques. Lab. Anim. 1994, 28, 249–256. [Google Scholar] [CrossRef]
- Goto, K.; Yamamoto, M.; Asahara, M.; Tamura, T.; Matsumura, M.; Hayashimoto, N.; Makimura, K. Rapid Identification of Mycoplasma Pulmonis Isolated from Laboratory Mice and Rats Using Matrix-Assisted Laser Desorption Ionization Time-of-Flight Mass Spectrometry. J. Vet. Med. Sci. 2012, 74, 1083–1086. [Google Scholar] [CrossRef][Green Version]
- National Research Council. Guide for the Care and Use of Laboratory Animals: Eighth Edition; The National Academies Press: Washington, DC, USA, 2011. [Google Scholar]
- Yancey, A.L.; Watson, H.L.; Cartner, S.C.; Simecka, J.W. Gender Is a Major Factor in Determining the Severity of Mycoplasma Respiratory Disease in Mice. Infect. Immun. 2001, 69, 2865–2871. [Google Scholar] [CrossRef]
- Hill, A. Transmission of Mycoplasma Pulmonis between Rats. Lab. Anim. 1972, 6, 331–336. [Google Scholar] [CrossRef]
- Schoeb, T.R.; McConnell, E.E. Commentary: Further Comments on Mycoplasma Pulmonis and Lymphoma in Bioassays of Rats. Vet. Pathol. 2011, 48, 420–426. [Google Scholar] [CrossRef] [PubMed]
- McDonald, D.M.; Schoeb, T.R.; Lindsey, J.R. Mycoplasma pulmonis infections cause long-lasting potentiation of neurogenic inflammation in the respiratory tract of the rat. J. Clin. Investig. 1991, 87, 787–799. [Google Scholar] [CrossRef]
- Romero-Rojas, A.; Ponce-Hernández, C.; Ciprián, A.; Estrada-Parra, S.; Hadden, J.W. Immunomodulatory Properties of Mycoplasma Pulmonis. Int. Immunopharmacol. 2001, 1, 1679–1688. [Google Scholar] [CrossRef]
- Baev, V.M. Effect of sex on rheological properties of blood in adults. Klin. Lab. Diagn. 2001, 12, 33–35. [Google Scholar]
- Coppola, L.; Caserta, F.; De Lucia, D.; Guastafierro, S.; Grassia, A.; Coppola, A.; Marfella, R.; Varricchio, M. Blood Viscosity and Aging. Arch. Gerontol. Geriatr. 2000, 31, 35–42. [Google Scholar] [CrossRef] [PubMed]
- Nemeth, N.; Kiss, F.; Furka, I.; Miko, I. Gender Differences of Blood Rheological Parameters in Laboratory Animals. Clin. Hemorheol. Microcirc. 2010, 45, 263–272. [Google Scholar] [CrossRef] [PubMed]
- Somogyi, V.; Peto, K.; Deak, A.; Tanczos, B.; Nemeth, N. Effects of Aging and Gender on Micro-Rheology of Blood in 3 to 18 Months Old Male and Female Wistar (Crl:WI) Rats. Biorheology 2018, 54, 127–140. [Google Scholar] [CrossRef]
- Mester, A.; Magyar, Z.; Molnar, A.; Somogyi, V.; Tanczos, B.; Peto, K.; Nemeth, N. Age- and Gender-Related Hemorheological Alterations in Intestinal Ischemia-Reperfusion in the Rat. J. Surg. Res. 2018, 225, 68–75. [Google Scholar] [CrossRef] [PubMed]
- Sloop, G.D.; De Mast, Q.; Pop, G.; Weidman, J.J.; St. Cyr, J.A. The Role of Blood Viscosity in Infectious Diseases. Cureus 2020, 12, e7090. [Google Scholar] [CrossRef]
- Czepiel, J.; Jurczyszyn, A.; Biesiada, G.; Sobczyk-Krupiarz, I.; Jałowiecka, I.; Świstek, M.; Perucki, W.; Teległów, A.; Marchewka, J.; Dąbrowski, Z.; et al. Rheological Properties of Erythrocytes in Patients Infected with Clostridium Difficile. Postepy Hig. Med. Doswiadczalnej Online 2014, 68, 1397–1405. [Google Scholar] [CrossRef]
- Yeom, E.; Kim, H.M.; Park, J.H.; Choi, W.; Doh, J.; Lee, S.J. Microfluidic System for Monitoring Temporal Variations of Hemorheological Properties and Platelet Adhesion in LPS-Injected Rats. Sci. Rep. 2017, 7, 1801. [Google Scholar]
- Hurd, T.C. Red Blood Cell Deformability in Human and Experimental Sepsis. Arch. Surg. 1988, 123, 123–217. [Google Scholar] [CrossRef] [PubMed]
- Baskurt, O.K.; Temiz, A.; Meiselman, H.J. Red Blood Cell Aggregation in Experimental Sepsis. J. Lab. Clin. Med. 1997, 130, 183–190. [Google Scholar] [CrossRef] [PubMed]
- Kim, Y.-H.; Choi, S.-U.; Youn, J.-M.; Cha, S.-H.; Shin, H.-J.; Ko, E.-J.; Lim, C.-H. Effects of Remote Ischemic Preconditioning on the Deformability and Aggregation of Red Blood Cells in a Rat Endotoxemia Model. Clin. Hemorheol. Microcirc. 2021, 79, 407–415. [Google Scholar] [CrossRef] [PubMed]
- Kiss, F.; Molnar, L.; Hajdu, E.; Deak, A.; Molnar, A.; Berhes, M.; Szabo, J.; Nemeth, N.; Fulesdi, B. Skin Microcirculatory Changes Reflect Early the Circulatory Deterioration in a Fulminant Sepsis Model in the Pig. Acta Cir. Bras. 2015, 30, 470–477. [Google Scholar] [CrossRef] [PubMed][Green Version]
- Silva, A.F.; Sousa, J.S.; Cunha, P.L.; Lima-Filho, J.V.; Alencar, N.M.; Freitas, C.D.; Oliveira, C.L.; Ramos, M.V. Erythrocytes Morphology and Hemorheology in Severe Bacterial Infection. Mem. Inst. Oswaldo Cruz. 2019, 114, e190326. [Google Scholar] [CrossRef] [PubMed]
- Ami, R.B.; Barshtein, G.; Zeltser, D.; Goldberg, Y.; Shapira, I.; Roth, A.; Keren, G.; Miller, H.; Prochorov, V.; Eldor, A.; et al. Parameters of Red Blood Cell Aggregation as Correlates of the Inflammatory State. Am. J. Physiol.-Heart Circ. Physiol. 2001, 280, H1982–H1988. [Google Scholar] [CrossRef]
- Nemeth, N.; Furka, I.; Miko, I. Hemorheological Changes in Ischemia-Reperfusion: An Overview on Our Experimental Surgical Data. Clin. Hemorheol. Microcirc. 2014, 57, 215–225. [Google Scholar] [CrossRef] [PubMed]
- Hierso, R.; Waltz, X.; Mora, P.; Romana, M.; Lemonne, N.; Connes, P.; Hardy-Dessources, M.-D. Effects of Oxidative Stress on Red Blood Cell Rheology in Sickle Cell Patients. Br. J. Haematol. 2014, 166, 601–606. [Google Scholar] [CrossRef]
- Grau, M.; Ibershoff, L.; Zacher, J.; Bros, J.; Tomschi, F.; Diebold, K.F.; Predel, H.; Bloch, W. Even Patients with Mild COVID-19 Symptoms after SARS-CoV-2 Infection Show Prolonged Altered Red Blood Cell Morphology and Rheological Parameters. J. Cell. Mol. Med. 2022, 26, 3022–3030. [Google Scholar] [CrossRef] [PubMed]
- Matrai, A.A.; Varga, G.; Tanczos, B.; Barath, B.; Varga, A.; Horvath, L.; Bereczky, Z.; Deak, A.; Nemeth, N. In Vitro Effects of Temperature on Red Blood Cell Deformability and Membrane Stability in Human and Various Vertebrate Species. Clin. Hemorheol. Microcirc. 2021, 78, 291–300. [Google Scholar] [CrossRef] [PubMed]
- Ham, T.H.; Shen, S.C. Studies on the Destruction of Red Blood Cells; Thermal Injury; Action of Heat in Causing Increased Spheroidicity, Osmotic and Mechanical Fragilities and Hemolysis of Erythrocytes; Observations on the Mechanisms of Destruction of Such Erythrocytes in Dogs and in a Patient with a Fatal Thermal Burn. Blood 1948, 3, 373–403. [Google Scholar] [PubMed]
- Rakow, A.L.; Hochmuth, R.M. Effect of Heat Treatment on the Elasticity of Human Erythrocyte Membrane. Biophys. J. 1975, 15, 1095–1100. [Google Scholar] [CrossRef] [PubMed]
- Singh, M.; Stoltz, J.F. Influence of Temperature Variation from 5 Degrees C to 37 Degrees C on Aggregation and Deformability of Erythrocytes. Clin. Hemorheol. Microcirc. 2002, 26, 1–7. [Google Scholar] [PubMed]
- Tikhomirova, I.A. The Effect of Dehydration on Macro- and Microrheological Blood Properties. Clin. Hemorheol. Microcirc. 2002, 26, 85–90. [Google Scholar]












Disclaimer/Publisher’s Note: The statements, opinions and data contained in all publications are solely those of the individual author(s) and contributor(s) and not of MDPI and/or the editor(s). MDPI and/or the editor(s) disclaim responsibility for any injury to people or property resulting from any ideas, methods, instructions or products referred to in the content. |
© 2025 by the authors. Licensee MDPI, Basel, Switzerland. This article is an open access article distributed under the terms and conditions of the Creative Commons Attribution (CC BY) license (https://creativecommons.org/licenses/by/4.0/).
Share and Cite
Deák, Á.; Bedőcs-Baráth, B.; Varga, Á.; Mátrai, Á.A.; Bácskai, T.; Deák-Pocsai, K.; Németh, N. Significance of Hemorheological Tests During Mycoplasma Pulmonis Infection in Laboratory Rats. Animals 2025, 15, 563. https://doi.org/10.3390/ani15040563
Deák Á, Bedőcs-Baráth B, Varga Á, Mátrai ÁA, Bácskai T, Deák-Pocsai K, Németh N. Significance of Hemorheological Tests During Mycoplasma Pulmonis Infection in Laboratory Rats. Animals. 2025; 15(4):563. https://doi.org/10.3390/ani15040563
Chicago/Turabian StyleDeák, Ádám, Barbara Bedőcs-Baráth, Ádám Varga, Ádám Attila Mátrai, Tímea Bácskai, Krisztina Deák-Pocsai, and Norbert Németh. 2025. "Significance of Hemorheological Tests During Mycoplasma Pulmonis Infection in Laboratory Rats" Animals 15, no. 4: 563. https://doi.org/10.3390/ani15040563
APA StyleDeák, Á., Bedőcs-Baráth, B., Varga, Á., Mátrai, Á. A., Bácskai, T., Deák-Pocsai, K., & Németh, N. (2025). Significance of Hemorheological Tests During Mycoplasma Pulmonis Infection in Laboratory Rats. Animals, 15(4), 563. https://doi.org/10.3390/ani15040563

