Abdominal Ultrasonography in Healthy Female Standard Donkeys
Simple Summary
Abstract
1. Introduction
2. Materials and Methods
2.1. Donkeys
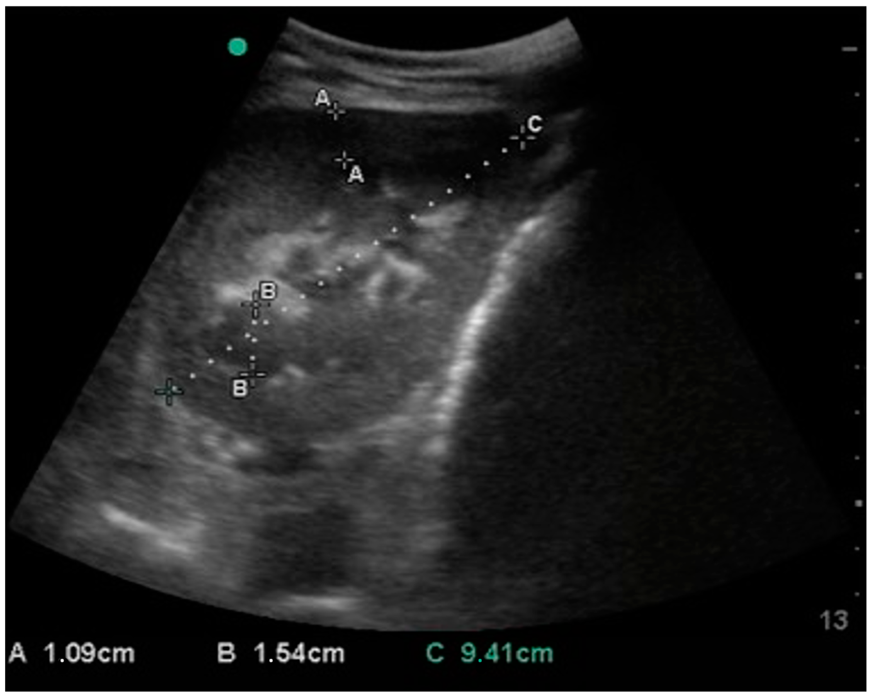
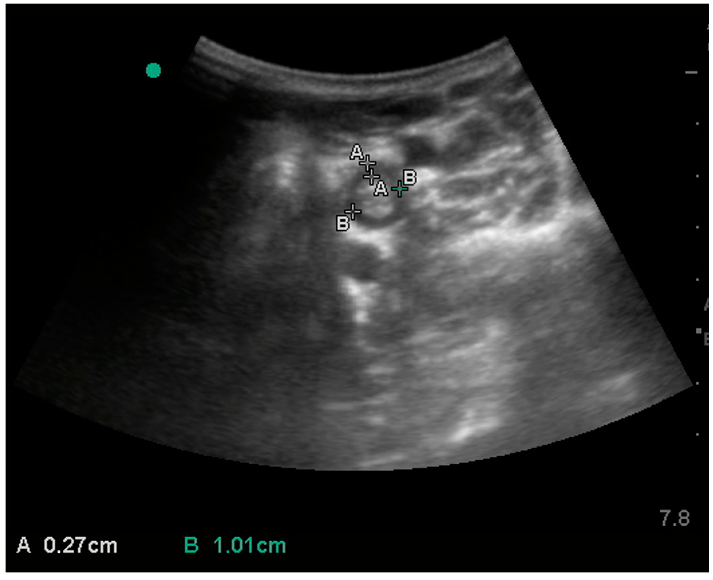
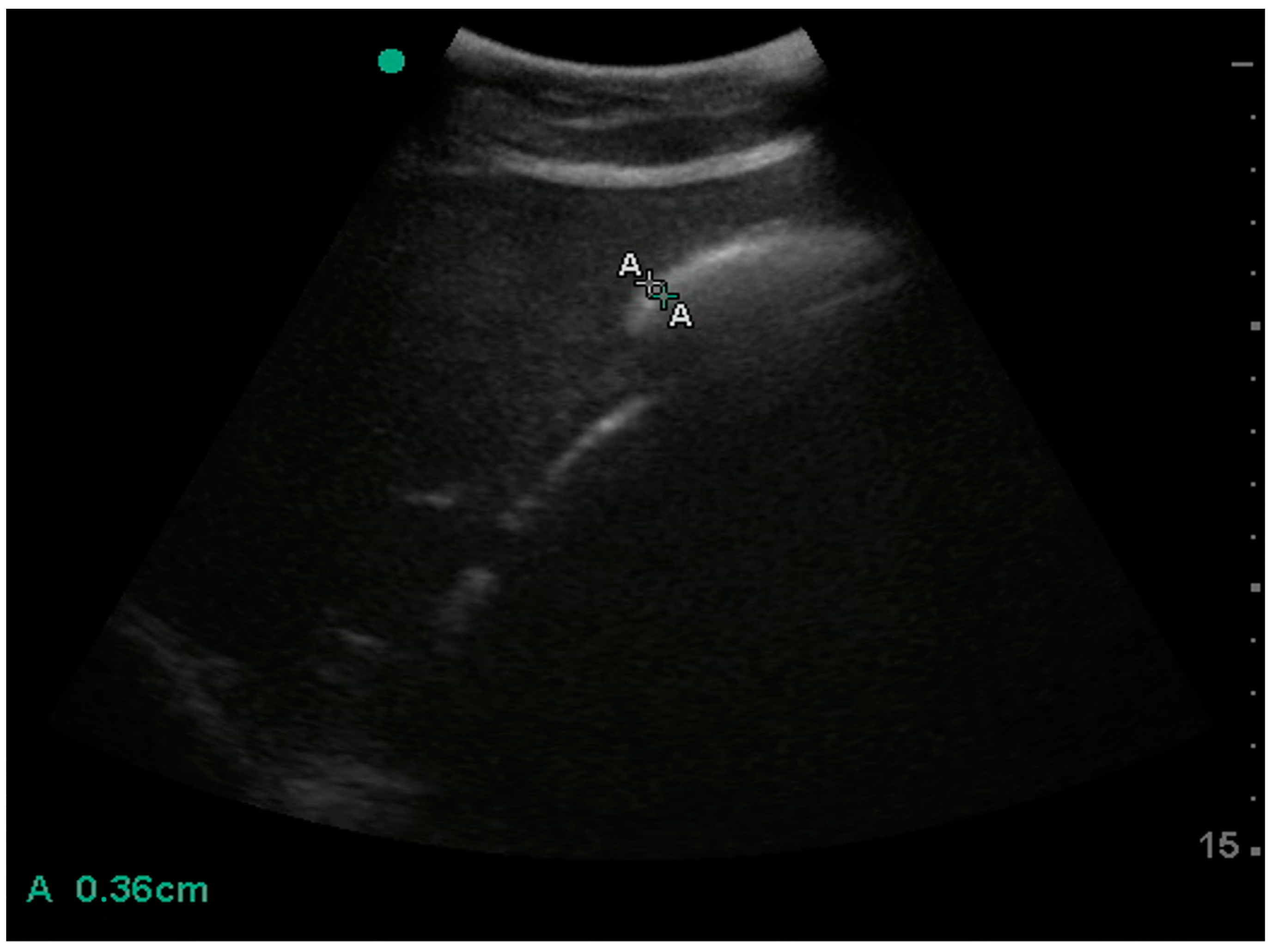
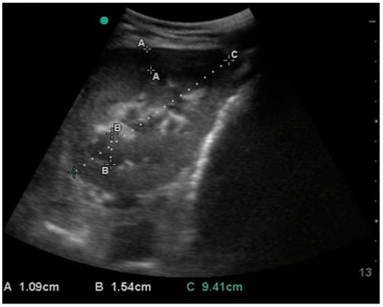
2.2. Ultrasonographic Examination
2.3. Statistical Analysis
3. Results
4. Discussion
5. Conclusions
Author Contributions
Funding
Institutional Review Board Statement
Informed Consent Statement
Data Availability Statement
Conflicts of Interest
References
- Freeman, S. Ultrasonography of the Equine Abdomen: Techniques and Normal Findings. A A Pract. 2002, 24, 204–211. [Google Scholar] [CrossRef]
- Scharner, D.; Rötting, A.; Gerlach, K.; Rasch, K.; Freeman, D.E. Ultrasonography of the Abdomen in the Horse with Colic. Clin. Tech. Equine Pract. 2002, 1, 118–124. [Google Scholar] [CrossRef]
- Corrie, S.; Chapman, K.; Schofield, I.; Mair, T.S. Preliminary Study to Evaluate the Use of Fast Abdominal Ultrasonography of Horses with Colic in First Opinion Ambulatory Practice. Equine Vet. Educ. 2024, 36, 571–578. [Google Scholar] [CrossRef]
- Szewczyk, D.; Fiega, J.; Michalska, M.; Żurek, U.; Lubaszka, Z.; Sikorska, E. Therapeutic Role of Animals: A Comprehensive Literature Review on the Prevalent Forms and Species in Animal-Assisted Interventions. J. Educ. Health Sport 2023, 45, 215–235. [Google Scholar] [CrossRef]
- Epstein, K.; Short, D.; Parente, E.; Reef, V.; Southwood, L. Gastrointestinal Ultrasonography in Normal Adult Ponies. Vet. Radiol. Ultrasound 2008, 49, 282–286. [Google Scholar] [CrossRef] [PubMed]
- El-Deeb, W.; Fayez, M.; Elsohaby, I.; Mkrtchyan, H.V.; Alhaider, A. Changes in Blood Biomarkers in Arabian Horses with Clostridium Difficile-Induced Enterocolitis. Comp. Immunol. Microbiol. Infect. Dis. 2020, 73, 101525. [Google Scholar] [CrossRef] [PubMed]
- Hendrickson, E.H.S.; Malone, E.D.; Sage, A.M. Identification of Normal Parameters for Ultrasonographic Examination of the Equine Large Colon and Cecum. Can. Vet. J. 2007, 48, 289. [Google Scholar]
- Ibrahim, H.M.M.; El-Ashker, M.R. Reference Values and Repeatability of Transabdominal Ultrasonographic Gastrointestinal Tract Thickness and Motility in Healthy Donkeys (Equus Asinus). J. Equine Vet. Sci. 2020, 92, 103153. [Google Scholar] [CrossRef]
- Laus, F.; Paggi, E.; Marchegiani, A.; Cerquetella, M.; Spaziante, D.; Faillace, V.; Tesei, B. Ultrasonographic Biometry of the Eyes of Healthy Adult Donkeys. Vet. Rec. 2014, 174, 326. [Google Scholar] [CrossRef]
- Martini, M.; Altomonte, I.; Licitra, R.; Salari, F. Nutritional and Nutraceutical Quality of Donkey Milk. J. Equine Vet. Sci. 2018, 65, 33–37. [Google Scholar] [CrossRef]
- Martini, M.; Altomonte, I.; Manica, E.; Salari, F. Changes in Donkey Milk Lipids in Relation to Season and Lactation. J. Food Compos. Anal. 2015, 41, 30–34. [Google Scholar] [CrossRef]
- Laus, F.; Laghi, L.; Bazzano, M.; Cifone, M.G.; Cinque, B.; Yang, Y.; Marchegiani, A. Donkey Colostrum and Milk: How Dietary Probiotics Can Affect Metabolomic Profile, Alkaline Sphingomyelinase and Alkaline Phosphatase Activity. Metabolites 2023, 13, 622. [Google Scholar] [CrossRef] [PubMed]
- Sgorbini, M.; Veronesi, F.; Fratini, M.; Laus, F. Tick-Borne Diseases and Gastric Ulcer in the Donkey. J. Equine Vet. Sci. 2018, 65, 62–65. [Google Scholar] [CrossRef]
- Busoni, V.; De Busscher, V.; Lopez, D.; Verwilghen, D.; Cassart, D. Evaluation of a Protocol for Fast Localised Abdominal Sonography of Horses (FLASH) Admitted for Colic. Vet. J. 2011, 188, 77–82. [Google Scholar] [CrossRef] [PubMed]
- Thiemann, A.K. Gastrointestinal Disorders in Donkeys. UK-Vet Equine 2024, 8, 66–74. [Google Scholar] [CrossRef]
- Thiemann, A.K.; Rickards, K.J.; Getachew, M.; Paraschou, G. Colic in the Donkey. In Equine Acute Abdomen; Wiley: Hoboken, NJ, USA, 2017; pp. 469–487. [Google Scholar] [CrossRef]
- Bazzano, M.; Bonfili, L.; Eleuteri, A.M.; Serri, E.; Scollo, C.; Yaosen, Y.; Tesei, B.; Laus, F. Assessment of Serum Amyloid A Concentrations and Biochemical Profiles in Lactating Jennies and Newborn Ragusano Donkey Foals around Parturition and One Month after Foaling in Sicily. Reprod. Domest. Anim. 2022, 57, 262–268. [Google Scholar] [CrossRef]
- Laus, F.; Faillace, V.; Attili, A.R.; Spaterna, A.; Tesei, B.; Cuteri, V. Conjunctival Bacterial and Fungal Flora in Healthy Donkeys in Central Italy. Large Anim. Rev. 2016, 22, 137–142. [Google Scholar]
- Evans, L.; Crane, M. The Clinical Companion of the Donkey; Evans, L., Crane, M., Eds.; The Donkey Sanctuary: Sidmouth, UK, 2018; ISBN 9781789013900. [Google Scholar]
- Bowden, A.; England, G.C.W.; Brennan, M.L.; Mair, T.S.; Furness, W.A.; Freeman, S.L.; Burford, J.H. Indicators of ‘Critical’ Outcomes in 941 Horses Seen ‘out-of-Hours’ for Colic. Vet. Rec. 2020, 187, 492. [Google Scholar] [CrossRef] [PubMed]
- Lester, G.D. Ultrasound of Adult Horses. In Proceedings of the 63rd Annual Convention of the American Association of Equine Practitioners San Antonio, San Antonio, TX, USA, 17–21 November 2017; Volume 17, pp. 357–363. [Google Scholar]
- Hussein, H.A.; Ibrahim, A.; Ali, M.F.; Abdel-Maksoud, F.M. Development and Complications of Blind and Ultrasound-Guided Percutaneous Liver Biopsy Techniques in Donkeys (Equus Asinus). J. Equine Vet. Sci. 2017, 58, 24–33. [Google Scholar] [CrossRef]
- Draper, A.C.E.; Bowen, I.M.; Hallowell, G.D. Reference Ranges and Reliability of Transabdominal Ultrasonographic Renal Dimensions in Thoroughbred Horses. Vet. Radiol. Ultrasound 2012, 53, 336–341. [Google Scholar] [CrossRef] [PubMed]
- Beccati, F.; Pepe, M.; Gialletti, R.; Cercone, M.; Bazzica, C.; Nannarone, S. Is There a Statistical Correlation between Ultrasonographic Findings and Definitive Diagnosis in Horses with Acute Abdominal Pain? Equine Vet. J. Suppl. 2011, 43, 98–105. [Google Scholar] [CrossRef] [PubMed]
- Klohnen, A.; Vachon, A.M.; Fischer, A.T. Use of Diagnostic Ultrasonography in Horses with Signs of Acute Abdominal Pain. J. Am. Vet. Med. Assoc. 1996, 209, 1597–1601. [Google Scholar] [CrossRef] [PubMed]
- Pease, A.P.; Scrivani, P.V.; Erb, H.N.; Cook, V.L. Accuracy of Increased Large-Intestine Wall Thickness during Ultrasonography for Diagnosing Large-Colon Torsion in 42 Horses. Vet. Radiol. Ultrasound 2004, 45, 220–224. [Google Scholar] [CrossRef]
- Barton, M.H. Understanding abdominal ultrasonography in horses: Which way is up. Compend. Contin. Educ. Pract. Vet. 2011, 33, E1–E7. [Google Scholar]
- Bithell, S.; Habershon-Butcher, J.L.; Bowen, I.M.; Hallowell, G.D. Repeatability and Reproducibility of Transabdominal Ultrasonographic Intestinal Wall Thickness Measurements in Thoroughbred Horses. Vet. Radiol. Ultrasound 2010, 51, 647–651. [Google Scholar] [CrossRef] [PubMed]
- Jerbi, H.; Rejeb, A.; Erdoǧan, S.; Pérez, W. Anatomical and Morphometric Study of Gastrointestinal Tract of Donkey (Equus Africanus Asinus). J. Morphol. Sci. 2014, 31, 18–22. [Google Scholar] [CrossRef][Green Version]
- Hussein, H.A.; Ibrahim, A.; Ali, M.F. Ultrasonographic Reference Values of Kidney Dimensions and Clinicopathological Findings Associating the Transcutaneous Ultrasound-Guided Renal Biopsy in Donkeys (Equus asinus). J. Equine Vet. Sci. 2018, 68, 1–11. [Google Scholar] [CrossRef]
- Habershon-Butcher, J.; Bowen, M.; Hallowell, G. Validation of a novel translumbar ultrasound technique for measuring renal dimensions in horses. Vet. Radiol. Ultrasound 2014, 55, 323–330. [Google Scholar] [CrossRef] [PubMed]
- Kirberger, R.M.; Berg JS, V.D.; Gottschalk, R.D.; Guthrie, A.J. Duodenal ultrasonography in the normal adult horse. Vet. Radiol. Ultrasound 1995, 36, 50–56. [Google Scholar] [CrossRef]
- Freeman, S.L.; Mason, P.J.; Staley, C. Comparison of ultrasonographic and histologic assessment of normal and strangulating intestine in the horse. Eur. J. Ultrasound 2001, 13, S5. [Google Scholar]
- Reef, V.B. Adult abdominal ultrasonography. In Equine Diagnostic Ultrasound; W.B. Saunders: Philadelphia, PA, USA, 1998. [Google Scholar]




| Variable | Measure (mm) | Mean (SD) | 95% IC | Percentile | Min | Max | Range | |||
|---|---|---|---|---|---|---|---|---|---|---|
| 10% | 25% | 75% | 90% | |||||||
| Left kidney | length | 91.5 (9.0) | 88.0–96.8 | 84.6 | 88.7 | 96.5 | 99.0 | 66.3 | 108.0 | 41.7 |
| cortex | 8.4 (2.2) | 6.7–8.9 | 6.3 | 6.9 | 8.9 | 10.9 | 5.3 | 13.9 | 8.6 | |
| medulla | 15.6 (5.5) | 11.6–17.0 | 10.1 | 11.4 | 18.8 | 22.5 | 8.0 | 27.4 | 19.4 | |
| Right kidney | length | 95.5 (10.8) | 88.1–98.7 | 82.6 | 89.8 | 102.3 | 110.0 | 77.5 | 113.0 | 35.5 |
| cortex | 8.4 (1.6) | 7.7–9.3 | 6.4 | 7.5 | 9.6 | 10.4 | 5.8 | 11.4 | 5.6 | |
| medulla | 15.3 (2.0) | 14.1–16.1 | 13.1 | 14.8 | 16.8 | 17.2 | 10.5 | 18.8 | 8.3 | |
| Oesophagus | wall thickness | 3.6 (0.7) | 3.5–4.1 | 2.7 | 3.0 | 4.1 | 4.3 | 2.3 | 4.9 | 2.6 |
| diameter | 18.9 (4.8) | 18.5–23.3 | 11.4 | 14.4 | 22.3 | 23.5 | 10.1 | 24.6 | 14.5 | |
| Stomach | wall thickness | 6.6 (1.1) | 5.5–6.7 | 5.6 | 5.7 | 7.0 | 8.2 | 5.2 | 9.1 | 3.9 |
| Duodenum | wall thickness | 3.5 (0.6) | 3.1–3.7 | 3.0 | 3.3 | 3.8 | 4.0 | 2.2 | 5.3 | 3.1 |
| Cecum | wall thickness | 3.5 (0.9) | 3.2–4.0 | 2.5 | 3.0 | 4.1 | 4.3 | 1.4 | 4.8 | 3.4 |
| Left colon | wall thickness | 4.4 (1.0) | 3.8–4.8 | 3.4 | 3.8 | 5.3 | 5.7 | 2.6 | 6.4 | 3.8 |
| Right colon | wall thickness | 4.2 (0.9) | 3.4–4.4 | 2.8 | 3.2 | 4.4 | 5.3 | 2.4 | 5.5 | 3.1 |
| Variable | Measure (mm) | Age | Weight | ||
|---|---|---|---|---|---|
| r | p-Value | r | p-Value | ||
| Left kidney | length | 0.401 | 0.062 | 0.587 | 0.008 * |
| cortex | −0.039 | 0.443 | 0.323 | 0.047 | |
| medulla | 0.138 | 0.305 | 0.433 | 0.047 | |
| Right kidney | length | 0.301 | 0.128 | 0.669 | 0.002 * |
| cortex | −0.054 | 0.421 | 0.155 | 0.284 | |
| medulla | 0.054 | 0.422 | 0.275 | 0.151 | |
| Oesophagus | wall thickness | −0.131 | 0.685 | 0.465 | 0.035 |
| diameter | 0.267 | 0.159 | 0.241 | 0.184 | |
| Stomach | wall thickness | 0.394 | 0.065 | −0.384 | 0.071 |
| Duodenum | wall thickness | −0.052 | 0.425 | 0.317 | 0.116 |
| Cecum | wall thickness | −0.401 | 0.062 | −0.368 | 0.080 |
| LC | wall thickness | 0.020 | 0.471 | 0.422 | 0.052 |
| RC | wall thickness | −0.418 | 0.053 | 0.390 | 0.068 |
| Donkey (Present Study) | Donkey (The Literature) | Horse (The Literature) | ||
| Variable | Measure (mm) | Mean (SD) | Mean (SD) | Mean (SD) |
| Left kidney | length | 91.5 (9.0) | 89 (9.0) [1] | 151 (17) [3,4] |
| cortex | 8.4 (2.2) | 8.3 (9.0) [1] | 11 (2) [3] | |
| medulla | 15.6 (5.5) | 8.4 (7.0) [1] | 23 (3) [3] | |
| Right kidney | length | 95.5 (10.8) | 100 (8.0) [1] | 168 (12) [3,4] |
| cortex | 8.4 (1.6) | 8.6 (8.0) [30] | 12 (2) [31] | |
| medulla | 15.3 (2.0) | 8.5 (9.0) [30] | 28 (3) [31] | |
| Oesophagus | wall thickness | 3.6 (0.7) | ||
| diameter | 18.9 (4.8) | |||
| Stomach | wall thickness | 6.6 (1.1) | 7.0 (0.9) [8] | <7 [21,27] |
| Duodenum | wall thickness | 3.5 (0.6) | 3.3 (1.0) [8] | 3 (0.4) [21,28] |
| Cecum | wall thickness | 3.5 (0.9) | 5.4 (0.6) [8] | 4.2 (0.3) [21,28] |
| Left colon | wall thickness | 4.4 (1.0) | 5.1 (0.5) [8] | 3.7 (0.1) [21,27,28] |
| Right colon | wall thickness | 4.2 (0.9) | 5.4 (0.6) [8] | 3.7 (0.1) [21,27] |
Disclaimer/Publisher’s Note: The statements, opinions and data contained in all publications are solely those of the individual author(s) and contributor(s) and not of MDPI and/or the editor(s). MDPI and/or the editor(s) disclaim responsibility for any injury to people or property resulting from any ideas, methods, instructions or products referred to in the content. |
© 2025 by the authors. Licensee MDPI, Basel, Switzerland. This article is an open access article distributed under the terms and conditions of the Creative Commons Attribution (CC BY) license (https://creativecommons.org/licenses/by/4.0/).
Share and Cite
Accorroni, L.; Bazzano, M.; Marchegiani, A.; Spaterna, A.; Laus, F. Abdominal Ultrasonography in Healthy Female Standard Donkeys. Animals 2025, 15, 129. https://doi.org/10.3390/ani15020129
Accorroni L, Bazzano M, Marchegiani A, Spaterna A, Laus F. Abdominal Ultrasonography in Healthy Female Standard Donkeys. Animals. 2025; 15(2):129. https://doi.org/10.3390/ani15020129
Chicago/Turabian StyleAccorroni, Lucrezia, Marilena Bazzano, Andrea Marchegiani, Andrea Spaterna, and Fulvio Laus. 2025. "Abdominal Ultrasonography in Healthy Female Standard Donkeys" Animals 15, no. 2: 129. https://doi.org/10.3390/ani15020129
APA StyleAccorroni, L., Bazzano, M., Marchegiani, A., Spaterna, A., & Laus, F. (2025). Abdominal Ultrasonography in Healthy Female Standard Donkeys. Animals, 15(2), 129. https://doi.org/10.3390/ani15020129

