Understanding Genetic Regulation of Sex Differentiation in Hermaphroditic Fish
Simple Summary
Abstract
1. Introduction
2. Changes in Gonadal Development in Hermaphroditic Fish
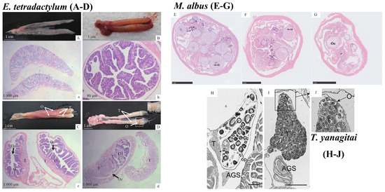
2.1. Protandrous Hermaphrodite Fish
2.2. Protogynous Hermaphrodite Fish
2.3. Bidirectional Sex-Changing Fish
3. Regulatory Mechanisms of Sex Determination and Differentiation in Fish
4. Male Sex-Related Genes
4.1. Sry-Related High Mobility Group Box
4.2. Transforming Growth Factor-β
4.3. Doublesex and Mab-3 Related Transcription Factor
5. Female Sex-Related Genes
5.1. Cytochrome P450 Family 19 Subfamily A Member 1
5.2. Winged Helix/Forkhead Transcription Factor
5.3. Nuclear Receptor Superfamily
6. Conclusions
- (1)
- The types of sex determination systems and sex-determining genes in fish are diverse and abundant.
- (2)
- The key genes involved in the sex differentiation process of hermaphroditic fish are relatively conserved; however, their regulatory mechanisms may vary among different species, as exemplified by Sox3.
- (3)
- The sex differentiation process in hermaphroditic fish resembles a continuous tug-of-war between pathways related to the two sexes, with the victorious pathway determining the direction of gonadal differentiation.
Author Contributions
Funding
Institutional Review Board Statement
Informed Consent Statement
Data Availability Statement
Conflicts of Interest
References
- Bachtrog, D.; Mank, J.E.; Peichel, C.L.; Kirkpatrick, M.; Otto, S.P.; Ashman, T.-L.; Hahn, M.W.; Kitano, J.; Mayrose, I.; Ming, R.; et al. Sex determination: Why so many ways of doing it? PLoS Biol. 2014, 12, e1001899. [Google Scholar] [CrossRef] [PubMed]
- Kobayashi, Y.; Nagahama, Y.; Nakamura, M. Diversity and plasticity of sex determination and differentiation in fishes. Sex. Dev. 2013, 7, 115–125. [Google Scholar] [CrossRef] [PubMed]
- Wang, H.; Qu, M.; Tang, W.; Liu, S.; Ding, S. Transcriptome profiling and expression localization of key sex-related genes in a socially-controlled hermaphroditic clownfish. Amphiprion clarkii. Int. J. Mol. Sci. 2022, 23, 9085. [Google Scholar] [CrossRef]
- Nagahama, Y.; Chakraborty, T.; Paul-Prasanth, B.; Ohta, K.; Nakamura, M. Sex determination, gonadal sex differentiation, and plasticity in vertebrate species. Physiol. Rev. 2021, 101, 1237–1308. [Google Scholar] [CrossRef] [PubMed]
- Mei, J.; Gui, J.F. Genetic basis and biotechnological manipulation of sexual dimorphism and sex determination in fish. Sci. China Life Sci. 2015, 58, 124–136. [Google Scholar] [CrossRef]
- Ribas, L.; Crespo, B.; Sánchez-Baizán, N.; Xavier, D.; Kuhl, H.; Rodríguez, J.M.; Díaz, N.; Boltañá, S.; MacKenzie, S.; Morán, F.; et al. Characterization of the european sea bass (Dicentrarchus labrax) gonadal transcriptome during sexual development. Mar. Biotechnol. 2019, 21, 359–373. [Google Scholar] [CrossRef] [PubMed]
- Zhu, Y.Y. Screening of the AFLP Marker Linked to the Sex Locus of Oreochromis niloticus and Association Between Polymorphsims of Two Genes and Growth Traits. Master’s Thesis, Huazhong Agricultural University, Wuhan, China, 2012. [Google Scholar]
- Zhao, H.H.; He, Q.; Zhang, C.L.; Wang, Q.; Zhang, Y.; Yang, R.H.; Lin, F.M.; Li, Y.S.; Shi, H.R.; Zhang, H.F. Advances in the study of sex differentiation and sexual transition in hermaphroditic fishes. J. Fish. China 2022, 46, 644–656. [Google Scholar]
- Chen, S.N.; Zhang, Z.Y.; Liu, H.L.; Xu, J.; Zhu, W.; Jia, C.F.; Zhang, Z.W.; Ren, Z.H. Histological observations on sex reversal in pond-raised Acanthopagrus schlegeli. Mar. Sci. 2017, 41, 51–58. [Google Scholar]
- Lan, J.N.; Ou, Y.J.; Wen, J.F.; Li, J.W.; Niu, Y.Y.; Li, J.R. A preliminary study on the process of sex reversal in Eleutheronema tetradactylum. South China Fish. Sci. 2020, 16, 67–74. [Google Scholar]
- Yan, Y.; Zhu, H.J.; Tao, Y.F.; Xu, P.; Qiang, J. Progress in the study of the effect of AMH gene on sex determination in fishes. Heilongjiang Anim. Sci. Vet. Med. 2022, 26–31. [Google Scholar] [CrossRef]
- Luo, Y.S.; Hu, W.; Liu, X.C.; Lin, H.R.; Zhu, Z.Y. Molecular cloning and mRNA expression attern of Sox9 during sex reversal in orange-spotted grouper (Epinephelus coioides). Aquaculture 2010, 306, 322–328. [Google Scholar] [CrossRef]
- Masuma, S.; Kusunoki, Y.; Aoki, R. Seasonal changes of plasma sex steroids in captive longtooth grouper Epinephelus bruneus (Bloch) in subtropical regions. Aquaculture Res. 2022, 53, 1268–1275. [Google Scholar] [CrossRef]
- Qu, M. A Comparative Study of Sex Development in Two Hermaphroditic Fishes, Epinephelus akaara and Kryptolebias marmoratus. Ph.D. Thesis, Xiamen University, Xiamen, China, 2019. [Google Scholar]
- Prim, J.H.; Phillips, M.C.; Lamm, M.S.; Brady, J.; Cabral, I.; Durden, S.; Dustin, E.; Hazellief, A.; Klapheke, B.; Lamb, A.D.; et al. Estrogenic signaling and sociosexual behavior in wild sex-changing bluehead wrasses, Thalassoma bifasciatum. J. Exp. Zool. A Ecol. Integr. Physiol. 2022, 337, 24–34. [Google Scholar] [CrossRef] [PubMed]
- Zhong, Z.W.; Ao, L.L.; Wang, Y.L.; Wang, S.H.; Zhao, L.P.; Ma, S.W.; Jiang, Y.H. Comparison of differential expression genes in ovaries and testes of Pearlscale angelfish Centropyge vrolikii based on RNA-Seq analysis. Fish Physiol. Biochem. 2021, 47, 1565–1583. [Google Scholar] [CrossRef] [PubMed]
- Kuwamura, T.; Kadota, T.; Suzuki, S. Bidirectional sex change in the magenta dottyback Pictichromis porphyrea: First evidence from the field in Pseudochromidae. Environ. Biol. Fish. 2015, 98, 201–207. [Google Scholar] [CrossRef]
- Rodgers, E.W.; Earley, R.L.; Grober, M.S. Elevated 11-ketotestosterone during paternal behavior in the Bluebanded goby (Lythrypnus dalli). Horm. Behav. 2006, 49, 610–614. [Google Scholar] [CrossRef] [PubMed]
- Makoto, S.; Susumu, N.; Hisaya, M.; Shin-ichi, D.; Akihiko, S.; Tomoki, S. Bi-directional sex change and gonad structure in the gobiid fish Trimma yanagitai. Ichthyol. Res. 2009, 56, 82–86. [Google Scholar]
- Chu, G.B. Functional Studies on the SoxB Family of Genes in Dugesia japonica. Master’s Thesis, Henan Normal University, Xinxiang, China, 2018. [Google Scholar]
- Liu, J. Cloning and Tissue Expression Analysis of cDNA Sequences of Sox4a, Sox4b, Sox4c and Sox7 Genes in Chinese Giant Salamander (Andrias davidianus). Master’s Thesis, Sichuan Agricultural University, Yaan, China, 2015. [Google Scholar]
- Schedina, I.M.; Groth, D.; Schlupp, I.; Tiedemann, R. The gonadal transcriptome of the unisexual Amazon molly Poecilia formosa in comparison to its sexual ancestors, Poecilia mexicana and Poecilia latipinna. BMC Genom. 2018, 19, 12. [Google Scholar] [CrossRef]
- Neaves, W.B.; Baumann, P. Unisexual reproduction among vertebrates. Trends Genet. 2011, 27, 81–88. [Google Scholar] [CrossRef] [PubMed]
- Amano, M.; Amiya, N.; Fukushima, K.; Hagio, H.; Yamamoto, N.; Sakakura, Y. Effects of crowding stress on the hypothalamo-pituitary-interrenal axis of the self-fertilizing fish, Kryptolebias marmoratus. Comp. Biochem. Physiol. A Mol. Integr. Physiol. 2022, 264, 111110. [Google Scholar] [CrossRef]
- Vega-Frutis, R.; Macías-Ordóñez, R.; Guevara, R.; Fromhage, L. Sex change in plants and animals: A unified perspective. J. Evol. Biol. 2014, 27, 667–675. [Google Scholar] [CrossRef] [PubMed]
- Ding, H.; Wang, M.Y.; Wang, M.Y.; Wu, S.X.; Guo, Y.L.; Gao, Y.R.; Li, L.; Bao, Z.M.; Wang, B.; Hu, J.J. Synchronously sexual maturity in hermaphrodite fish as revealed by transcriptome analysis in Plectropomus leopardus. Gene 2024, 901, 148166. [Google Scholar] [CrossRef]
- Gui, J.F. Genetic Basis and Artificial Control of Sexuality and Reproduction in Fish; Science Press: Beijing, China, 2007; pp. 1–247. [Google Scholar]
- Kuwamura, T.; Sunobe, T.; Sakai, Y.; Kadota, T.; Sawada, K. Hermaphroditism in fishes: An annotated list of species, phylogeny, and mating system. Ichthyol. Res. 2020, 67, 341–360. [Google Scholar] [CrossRef]
- Avise, J.C.; Mank, J.E. Evolutionary perspectives on hermaphroditism in fishes. Sex. Dev. 2009, 3, 152–163. [Google Scholar] [CrossRef]
- Casas, L.; Saborido-Rey, F.; Ryu, T.; Michell, C.; Ravasi, T.; Irigoien, X. Sex change in Clownfish: Molecular insights from transcriptome analysis. Sci. Rep. 2016, 6, 35461. [Google Scholar] [CrossRef]
- Han, Y.L. Study on the Mechanism of amh Gene in Sex Differentiation of Orange-spotted Grouper (Epinephelus coioides). Ph.D. Thesis, Sun Yat-sen University, Guangzhou, China, 2019. [Google Scholar]
- Xiao, Y.M.; Liu, J. Cell biology of the transition from intersexual to male development in the Monopterus albus. J. Fish. China 1995, 297–304. [Google Scholar]
- Yang, W.Y.; Gu, Z.Q.; Wang, C.H.; Dong, W.Z. Preliminary observations on gonadal morphology during sex reversal in the Monopterus albus. Prog. Vet. Med. 2004, 113–115. [Google Scholar] [CrossRef]
- Xue, X.W.; Lu, B.Y.; Han, C.; Shu, H. Implications of sex regulation in scleractinian fishes for sex reversal in Mastacembelus armatus. Guangdong Agric. Sci. 2024, 51, 139–151. [Google Scholar]
- Li, M.H.; Sun, Y.L.; Zhao, J.; Shi, H.J.; Zeng, S.; Ye, K.; Jiang, D.N.; Zhou, L.Y.; Sun, L.N.; Tao, W.J.; et al. A tandem duplicate of Anti-Müllerian hormone with a missense SNP on the Y chromosome is essential for male sex determination in Nile tilapia, Oreochromis niloticus. PLoS Genet. 2015, 11, e1005678. [Google Scholar] [CrossRef]
- Myosho, T.; Otake, H.; Masuyama, H.; Matsuda, M.; Kuroki, Y.; Fujiyama, A.; Naruse, K.; Hamaguchi, S.; Sakaizumi, M. Tracing the emergence of a novel sex-determining gene in medaka, Oryzias luzonensis. Genetics 2012, 191, 163–170. [Google Scholar] [CrossRef] [PubMed]
- Bao, L.S.; Tian, C.X.; Liu, S.K.; Zhang, Y.; Elaswad, A.; Yuan, Z.H.; Khalil, K.; Sun, F.Y.; Yang, Y.J.; Zhou, T.; et al. The Y chromosome sequence of the channel catfish suggests novel sex determination mechanisms in teleost fish. BMC Biol. 2019, 17, 6. [Google Scholar] [CrossRef]
- Chen, S.; Zhang, G.; Shao, C.; Huang, Q.; Liu, G.; Zhang, P.; Song, W.; An, N.; Chalopin, D.; Volff, J.N.; et al. Whole-genome sequence of a flatfish provides insights into ZW sex chromosome evolution and adaptation to a benthic lifestyle. Nat. Genet. 2014, 46, 253–260. [Google Scholar] [CrossRef] [PubMed]
- Hong, Y.H.; Zhou, T. The Karyotype and ZZ-ZO sex chromosomes of Coilia brachygnathus. Hereditas 1984, 6, 12–14. [Google Scholar]
- Xu, D.D.; Lou, B.; Xu, H.X.; Li, S.L.; Geng, Z. Isolation and characterization of male-specific DNA markers in the rock bream Oplegnathus fasciatus. Mar. Biotechnol. 2013, 15, 221–229. [Google Scholar] [CrossRef]
- Hofsten, J.V.; Olsson, P.E. Zebrafish sex determination and differentiation: Involvement of FTZ-F1 genes. Reprod. Biol. Endocrinol. 2005, 3, 63. [Google Scholar] [CrossRef]
- Yang, C.C.; Qu, R.; Du, M.R.; Wang, Q.; Lei, Y. Progress in the study of genes regulating male sex differentiation and spermatheca development in fishes. Acta Lab. Anim. Sci. Sin. 2023, 31, 1206–1216. [Google Scholar]
- Chen, J.; Zhu, Z.Y.; Hu, W. Progress in research on fish sex determining genes. Water Biol. Secur. 2022, 1, 100008. [Google Scholar] [CrossRef]
- Koyama, T.; Nakamoto, M.; Morishima, K.; Yamashita, R.; Yamashita, T.; Sasaki, K.; Kuruma, Y.; Mizuno, N.; Suzuki, M.; Okada, Y.; et al. A SNP in a Steroidogenic Enzyme Is Associated with Phenotypic Sex in Seriola Fishes. Curr. Biol. 2019, 29, 1901–1909. [Google Scholar] [CrossRef] [PubMed]
- Lu, C.; Su, L.N.; Zhu, B.K. Progress in the study of genes related to sex determination and differentiation in fishes. Hubei Agric. Sci. 2014, 53, 2981–2986. [Google Scholar]
- Chen, J.H.; He, M.X.; Mou, X.J.; Yan, B.L.; Zhang, J.B.; Jin, S.C. Cloning of cDNA and its expression analysis of Sox9 from Scatophagus argus. Chin. J. Zool. 2015, 50, 93–102. [Google Scholar]
- Wen, A.Y.; You, F.; Sun, P.; Xu, D.D.; Wu, Z.H.; Ma, D.Y.; Li, J.; Zhang, P.J. Cloning and expression study of sox9 gene of Paralichthys olivaceus. Adv. Mar. Sci. 2011, 29, 97–104. [Google Scholar]
- Domingos, J.A.; Budd, A.M.; Banh, Q.Q.; Goldsbury, J.A.; Zenger, K.R.; Jerry, D.R. Sex-specific dmrt1 and cyp19a1 methylation and alternative splicing in gonads of the protandrous hermaphrodite barramundi. PLoS. ONE 2018, 13, e0204182. [Google Scholar] [CrossRef] [PubMed]
- Wu, H.W.; Wang, Q.; Song, P.; Fu, C.X.; Jia, P.X.; Qu, X.C. Expression analysis of Amh and SOX9 genes during gonadal development in Monopterus albus. J. Hefei Univ. Technol. 2016, 39, 275–279. [Google Scholar]
- Fan, M.; Yang, W.; Zhang, W.; Zhang, L. The ontogenic gonadal transcriptomes provide insights into sex change in the ricefield eel Monopterus albus. BMC Zool. 2022, 7, 56. [Google Scholar] [CrossRef] [PubMed]
- Klüver, N.; Kondo, M.; Herpin, A.; Mitani, H.; Schartl, M. Divergent expression patterns of Sox9 duplicates in teleosts indicate a lineage specific subfunctionalization. Dev. Genes Evol. 2005, 215, 297–305. [Google Scholar] [CrossRef] [PubMed]
- Chiang, E.F.; Pai, C.I.; Wyatt, M.; Yan, Y.L.; Postlethwait, J.; Chung, B. Two sox9 genes on duplicated zebrafish chromosomes: Expression of similar transcription activators in distinct sites. Dev. Biol. 2001, 231, 149–163. [Google Scholar] [CrossRef] [PubMed]
- Wei, L.; Yang, C.; Tao, W.J.; Wang, D.S. Genome-Wide Identification and Transcriptome-Based Expression Profiling of the Sox Gene Family in the Nile Tilapia (Oreochromis niloticus). Int. J. Mol. Sci. 2016, 17, 270. [Google Scholar] [CrossRef]
- Zhou, R.; Liu, L.; Guo, Y.; Yu, H.; Cheng, H.; Huang, X.; Tiersch, T.R.; Berta, P. Similar gene structure of two Sox9a genes and their expression patterns during gonadal differentiation in a teleost fish, rice field eel (Monopterus albus). Mol. Reprod. Dev. 2003, 66, 211–217. [Google Scholar] [CrossRef]
- Li, X.Y. Functional Studies of Sox9 Transcription Factor in Gonad and Cartilage Development of Nile Tilapia (Oreochromis niloticus). Master’s Thesis, Southwest University, Chongqing, China, 2019. [Google Scholar]
- Ma, L.M. Studies on Sex-Related Genes Sox3, Sox9 and Dmrt1 in Sebastes schlegeli. Ph.D. Thesis, Ocean University of China, Qingdao, China, 2014. [Google Scholar]
- Yao, B.; Zhou, L.; Wang, Y.; Xia, W.; Gui, J.F. Differential expression and dynamic changes of SOX3 during gametogenesis and sex reversal in protogynous hermaphroditic fish. J. Exp. Zool. A Ecol. Genet. Physiol. 2007, 307, 207–219. [Google Scholar] [CrossRef]
- Feng, Y.; Zhong, Z.W.; Xu, Y.; Zhang, Z.Y.; Ao, L.L.; Yang, Z.; Wang, Y.L.; Jiang, Y.H. Characterization of the transcription factor Sox3 regulating the gonadal development of pearlscale angelfish (Centropyge vrolikii). Fish Physiol. Biochem. 2022, 48, 1193–1207. [Google Scholar] [CrossRef]
- Li, Y.Q. Studies on the Function and Mechanism of Action of the Transcription Factor Sox3 in the Oogenesis of Nile Tilapia (Oreochromis niloticus). Master’s Thesis, Southwest University, Chongqing, China, 2021. [Google Scholar]
- Hong, Q.; Li, C.; Ying, R.; Lin, H.; Li, J.; Zhao, Y.; Cheng, H.; Zhou, R. Loss-of-function of sox3 causes follicle development retardation and reduces fecundity in zebrafish. Protein Cell 2019, 10, 347–364. [Google Scholar] [CrossRef]
- Wang, T.; Gong, G.; Li, Z.; Niu, J.S.; Du, W.X.; Wang, Z.W.; Wang, Y.; Zhou, L.; Zhang, X.J.; Lian, Z.Q.; et al. Genomic anatomy of homozygous XX females and YY males reveals early evolutionary trajectory of sex-determining gene and sex chromosomes in Silurus fishes. Mol. Biol. Evol. 2024, 13, 169. [Google Scholar] [CrossRef] [PubMed]
- Zheng, S.; Shao, F.; Tao, W.; Liu, Z.; Long, J.; Wang, X.; Zhang, S.; Zhao, Q.; Carleton, K.L.; Kocher, T.D.; et al. Chromosome-level assembly of southern catfish (Silurus meridionalis) provides insights into visual adaptation to nocturnal and benthic lifestyles. Mol. Ecol. Resour. 2021, 21, 1575–1592. [Google Scholar] [CrossRef] [PubMed]
- Long, J.; Zheng, S.Q.; Wang, X.S.; Zhang, S.; Wang, D.S. Role of TGF-β signaling pathway in fish sex determination and differentiation. J. Fish. China 2020, 44, 166–177. [Google Scholar]
- Hu, Q. Cloning of Sex-Reversal-Related Genes and Their Regulatory Mechanisms in the Eel (Monopterus albus). Ph.D. Thesis, Huazhong Agricultural University, Wuhan, China, 2015. [Google Scholar]
- Wu, G.C.; Li, H.W.; Tey, W.G.; Lin, C.J.; Chang, C.F. Expression profile of amh/Amh during bi-directional sex change in the protogynous orange-spotted grouper Epinephelus coioides. PLoS ONE 2017, 12, e0185864. [Google Scholar] [CrossRef]
- Wu, G.C.; Li, H.W.; Luo, J.W.; Chen, C.; Chang, C.F. The potential role of Amh to prevent ectopic female development in testicular tissue of the protandrous black porgy, Acanthopagrus schlegelii. Biol. Reprod. 2015, 92, 158. [Google Scholar] [CrossRef] [PubMed]
- Dou, X.F. Cloning of AMH Gene and Its Expression Analysis in Yellow River Carp and Two Species of Loaches. Master’s Thesis, Henan Normal University, Xinxiang, China, 2013. [Google Scholar]
- Wu, G.C.; Chiu, P.C.; Lyu, Y.S.; Chang, C.F. The expression of Amh and Amhr2 is associated with the development of gonadal tissue and sex change in the protandrous black porgy, Acanthopagrus schlegeli. Biol. Reprod. 2010, 83, 443–453. [Google Scholar] [CrossRef] [PubMed][Green Version]
- Han, Y.; Peng, C.; Wang, L.; Guo, J.; Lu, M.; Chen, J.; Liu, Y.; Li, S.; Zhao, M.; Zhang, Y.; et al. Female-to-male sex reversal in orange-spotted grouper (Epinephelus coioides) caused by overexpressing of Amh in vivo. Biol. Reprod. 2018, 99, 1205–1215. [Google Scholar] [CrossRef]
- Morinaga, C.; Saito, D.; Nakamura, S.; Sasaki, T.; Asakawa, S.; Shimizu, N.; Mitani, H.; Furutani-Seiki, M.; Tanaka, M.; Kondoh, H. The hotei mutation of medaka in the anti-Mullerian hormone receptor causes the dysregulation of germ cell and sexual development. Proc. Natl. Acad. Sci. USA 2007, 104, 9691–9696. [Google Scholar] [CrossRef] [PubMed]
- Jo, P.G.; An, K.W.; Kim, N.N.; Choi, Y.A.; Cho, S.B.; Min, B.H.; Lim, H.; Choi, C.Y. Induced Expression of Doublesex-and mab-3-related Transcription Factor-1 (Dmrt-1) mRNA by Testosterone in the Olive Flounder, Paralichthys olivaceus ovary. Biol. Environ. Sci. 2007, 20, 199–202. [Google Scholar]
- Sun, Y.Y.; Zhang, Q.Q.; Qi, J.; Wang, Z.G.; Chen, Y.J.; Li, C.M.; Zhong, Q.W. Cloning and expression analysis of Cynoglossus semilaevis Dmrt1 gene. J. Wuhan Univ. 2008, 221–226. [Google Scholar] [CrossRef]
- Yang, D.; Yu, L.N. Cloning and expression of Nile tilapia Dmrt1 gene in different tissues. Hubei Agric. Sci. 2008, 754–757. [Google Scholar] [CrossRef]
- Li, Y.J.; Wu, L.M.; Li, X.J. Progress in the study of genes related to sex determination and differentiation in scleractinian fish. J. Henan Norm. Univ. 2017, 45, 72–78. [Google Scholar]
- Jeng, S.R.; Wu, G.C.; Yueh, W.S.; Kuo, S.F.; Dufour, S.; Chang, C.F. Dmrt1 (doublesex and mab-3-related transcription factor 1) expression during gonadal development and spermatogenesis in the Japanese eel. Gen. Comp. Endocrinol. 2019, 279, 154–163. [Google Scholar] [CrossRef] [PubMed]
- Gan, R.; Cai, J.; Sun, C.; Wang, Z.; Yang, W.; Meng, F.; Zhang, L.; Zhang, W. Transcription factors Dmrt1a, Foxl2, and Nr5a1a potentially interact to regulate cyp19a1a transcription in ovarian follicles of ricefield eel (Monopterus albus). J. Steroid Biochem. Mol. Biol. 2023, 231, 106310. [Google Scholar] [CrossRef] [PubMed]
- Fan, Z.; Zou, Y.; Jiao, S.; Tan, X.; Wu, Z.; Liang, D.; Zhang, P.; You, F. Significant association of cyp19a promoter methylation with environmental factors and gonadal differentiation in olive flounder Paralichthys olivaceus. Comp. Biochem. Physiol. A Mol. Integr. Physiol. 2017, 208, 70–79. [Google Scholar] [CrossRef] [PubMed]
- Lau, E.S.; Zhang, Z.; Qin, M.; Ge, W. Knockout of zebrafish ovarian aaromatase gene (Cyp19a1a) by TALEN and CRISPR/Cas9 leads to all-male offspring due to failed ovarian differentiation. Sci. Rep. 2016, 6, 37357. [Google Scholar] [CrossRef] [PubMed]
- Guo, C.; Zhang, K.; Li, C.; Xing, R.; Xu, S.; Wang, D.; Wang, X. Cyp19a1a promotes ovarian maturation through regulating E2 synthesis with estrogen receptor 2a in Pampus argenteus (Euphrasen, 1788). Int. J. Mol. Sci. 2024, 25, 1583. [Google Scholar] [CrossRef]
- Fan, Z.F. Studies on the Epigenetic Modification and Regulation of Cyp19a and Its Transcription Factors in Paralichthys olivaceus. Ph.D. Thesis, The Institute of Oceanology, Chinese Academy of Sciences, Qingdao, China, 2017. [Google Scholar]
- Hou, M.X.; Feng, K.; Luo, H.R.; Jiang, Y.J.; Xu, W.; Li, Y.M.; Tao, B.B.; Chen, J.; Zhu, Z.Y.; Song, Y.L. Multi-locus gene editing effectively knocked out Cyp19a1a and foxl2 in Monopterus albus, a hermaphroditic fish. Aquaculture 2023, 565, 739130. [Google Scholar] [CrossRef]
- Ning, Y.; Fan, M.; Liu, Q.; Lu, H.; Qian, S.; Cui, X.; Meng, F.; Li, X.; Xu, X.; Sun, S.; et al. Two Foxo1 homologues in the orange-spotted grouper Epinephelus coioides: Sequences, expression, and possible involvement in the activation of Cyp19a1a expression in the ovary. Fish Physiol. Biochem. 2021, 47, 1597–1610. [Google Scholar] [CrossRef]
- Liu, Q.; Zhang, Y.; Shi, B.; Lu, H.; Zhang, L.; Zhang, W. Foxo3b but not Foxo3a activates Cyp19a1a in Epinephelus coioides. J. Mol. Endocrinol. 2016, 56, 337–349. [Google Scholar] [CrossRef] [PubMed][Green Version]
- Ni, L.; Xie, H.; Tan, L. Multiple roles of Foxj3 in spermatogenesis: A lesson from Foxj3 conditional knockout mouse models. Mol. Reprod. Dev. 2016, 83, 1060–1069. [Google Scholar] [CrossRef]
- Jasurda, J.S.; Jung, D.O.; Froeter, E.D.; Schwartz, D.B.; Hopkins, T.D.; Farris, C.L.; McGee, S.; Narayan, P.; Ellsworth, B.S. The forkhead transcription factor, FOXP3: A critical role in male fertility in mice. Biol. Reprod. 2014, 90, 4. [Google Scholar] [CrossRef]
- Yuan, J. Transcriptomic Studies and Bioinformatics Analysis of the Fox Family During Gonadal Development in Nile Tilapia (Oreochromis niloticus). Master’s Thesis, Southwest University, Chongqing, China, 2013. [Google Scholar]
- Bertho, S.; Pasquier, J.; Pan, Q.; Le-Trionnaire, G.; Bobe, J.; Postlethwait, J.H.; Pailhoux, E.; Schartl, M.; Herpin, A.; Guiguen, Y. Foxl2 and its relatives are evolutionary conserved players in gonadal sex differentiation. Sex. Dev. 2016, 10, 111–129. [Google Scholar] [CrossRef]
- Crespo, B.; Lan-Chow-Wing, O.; Rocha, A.; Zanuy, S.; Gómez, A. Foxl2 and Foxl3 are two ancient paralogs that remain fully functional in teleosts. Gen. Comp. Endocrinol. 2013, 194, 81–93. [Google Scholar] [CrossRef] [PubMed]
- Baron, D.; Cocquet, J.; Xia, X.; Fellous, M.; Guiguen, Y.; Veitia, R.A. An evolutionary and functional analysis of Foxl2 in rainbow trout gonad differentiation. J. Mol. Endocrinol. 2004, 33, 705–715. [Google Scholar] [CrossRef] [PubMed]
- Lyu, Q.; Hu, J.; Yang, X.; Liu, X.; Chen, Y.; Xiao, L.; Liu, Y.; Wang, Q.; Chen, J.; Huang, M.; et al. Expression profiles of Dmrts and Foxls during gonadal development and sex reversal induced by 17α-methyltestosterone in the orange-spotted grouper. Gen. Comp. Endocrinol. 2019, 274, 26–36. [Google Scholar] [CrossRef]
- Gao, Y.; Jia, D.; Hu, Q.; Li, D. Foxl3, a Target of miR-9, stimulates spermatogenesis in spermatogonia during natural sex change in Monopterus albus. Endocrinology 2016, 157, 4388–4399. [Google Scholar] [CrossRef]
- Yang, Y.J.; Wang, Y.; Li, Z.; Zhou, L.; Gui, J.F. Sequential, divergent, and cooperative requirements of Foxl2a and Foxl2b in ovary development and maintenance of zebrafish. Genetics 2017, 205, 1551–1572. [Google Scholar] [CrossRef] [PubMed]
- Lu, H.J.; Zhang, S.; Liu, Q.H.; Zhang, L.H.; Zhang, W.M. Cytoplasmic localization of Lrh-1 down-regulates ovarian follicular Cyp19a1a expression in a teleost, the orange-spotted grouper Epinephelus coioides. Biol. Reprod. 2014, 91, 29. [Google Scholar] [CrossRef]
- Fayard, E.; Auwerx, J.; Schoonjans, K. LRH-1: An orphan nuclear receptor involved in development, metabolism and steroidogenesis. Trends. Cell Biol. 2004, 14, 250–260. [Google Scholar] [CrossRef] [PubMed]
- Yan, T.; Lu, H.; Sun, C.; Peng, Y.; Meng, F.; Gan, R.; Cui, X.; Wu, C.; Zhang, S.; Yang, Y.; et al. Nr5a homologues in the ricefield eel Monopterus albus: Alternative splicing, tissue-specific expression, and differential roles on the activation of Cyp19a1a promoter in vitro. Gen. Comp. Endocrinol. 2021, 312, 113871. [Google Scholar] [CrossRef] [PubMed]
- Shi, B.Y.; Lu, H.J.; Zhang, L.H.; Zhang, W.M. A homologue of Nr5a1 activates Cyp19a1a transcription additively with Nr5a2 in ovarian follicular cells of the orange-spotted grouper. Mol. Cell Endocrinol. 2018, 460, 85–93. [Google Scholar] [CrossRef] [PubMed]
- Camats, N.; Audí, L.; Fernández-Cancio, M.; Andaluz, P.; Mullis, P.E.; Carrascosa, A.; Flück, C.E. LRH-1 may rescue SF-1 deficiency for steroidogenesis: An in vitro and in vivo study. Sex. Dev. 2015, 9, 144–154. [Google Scholar] [CrossRef]
- Takehana, Y.; Matsuda, M.; Myosho, T.; Suster, M.L.; Kawakami, K.; Shin, I.T.; Kohara, Y.; Kuroki, Y.; Toyoda, A.; Fujiyama, A.; et al. Co-option of Sox3 as the male-determining factor on the Y chromosome in the fish Oryzias dancena. Nat. Commun. 2014, 5, 4157. [Google Scholar] [CrossRef] [PubMed]
- Yano, A.; Guyomard, R.; Nicol, B.; Jouanno, E.; Quillet, E.; Klopp, C.; Cabau, C.; Bouchez, O.; Fostier, A.; Guiguen, Y. An immunerelated gene evolved into the master sex-determining gene in rainbow trout, Oncorhynchus mykiss. Curr. Biol. 2012, 22, 1423–1428. [Google Scholar] [CrossRef]
- Reichwald, K.; Petzold, A.; Koch, P.; Downie, B.R.; Hartmann, N.; Pietsch, S.; Baumgart, M.; Chalopin, D.; Felder, M.; Bens, M.; et al. Insights into sex chromosome evolution and aging from the genome of a short-lived fish. Cell 2015, 163, 1527–1538. [Google Scholar] [CrossRef] [PubMed]
- Nakamoto, M.; Uchino, T.; Koshimizu, E.; Kuchiishi, Y.; Sekiguchi, R.; Wang, L.; Sudo, R.; Endo, M.; Guiguen, Y.; Schartl, M.; et al. A Y-linked anti-Müllerian hormone type-II receptor is the sex-determining gene in ayu, Plecoglossus altivelis. PLoS Genet. 2021, 17, e1009705. [Google Scholar] [CrossRef] [PubMed]
- Kirubakaran, T.G.; Andersen, Ø.; De-Rosa, M.C.; Andersstuen, T.; Hallan, K.; Kent, M.P.; Lien, S. Characterization of a male specific region containing a candidate sex determining gene in Atlantic cod. Sci. Rep. 2019, 9, 116. [Google Scholar] [CrossRef]
- Adolfi, M.C.; Du, K.; Kneitz, S.; Cabau, C.; Zahm, M.; Klopp, C.; Feron, R.; Paixão, R.V.; Varela, E.S.; de-Almeida, F.L.; et al. A duplicated copy of id2b is an unusual sex-determining candidate gene on the Y chromosome of arapaima (Arapaima gigas). Sci. Rep. 2021, 11, 21544. [Google Scholar] [CrossRef]
- Rafati, N.; Chen, J.; Herpin, A.; Pettersson, M.E.; Han, F.; Feng, C.; Wallerman, O.; Rubin, C.J.; Péron, S.; Cocco, A.; et al. Reconstruction of the birth of a male sex chromosome present in Atlantic herring. Proc. Natl. Acad. Sci. USA 2020, 117, 24359–24368. [Google Scholar] [CrossRef]
- Wu, X. Gonadal Transcriptome Analysis and Identification of Candidate Genes for Female Sex Determination in Oreochromis aureus. Master’s Thesis, Southwest University, Chongqing, China, 2021. [Google Scholar]
- Martínez, P.; Robledo, D.; Taboada, X.; Blanco, A.; Moser, M.; Maroso, F.; Hermida, M.; Gómez-Tato, A.; Álvarez-Blázquez, B.; Cabaleiro, S.; et al. A genome-wide association study, supported by a new chromosome-level genome assembly, suggests Sox2 as a main driver of the undifferentiatiated ZZ/ZW sex determination of turbot (Scophthalmus maximus). Genomics 2021, 113, 1705–1718. [Google Scholar] [CrossRef]
- Cai, M.; Zou, Y.; Xiao, S.; Li, W.; Han, Z.; Han, F.; Xiao, J.; Liu, F.; Wang, Z. Chromosome assembly of Collichthys lucidus, a fish of Sciaenidae with a multiple sex chromosome system. Sci. Data 2019, 6, 132. [Google Scholar] [CrossRef]
- Wang, T.; Li, Z.; Yu, Z.X.; Wang, Z.W.; Lian, Z.Q.; Du, W.X.; Zhao, X.; Wang, M.T.; Miao, C.; Ding, M.; et al. Production of YY males through self-fertilization of an occasional hermaphrodite in Lanzhou catfish (Silurus lanzhouensis). Aquaculture 2021, 539, 736622. [Google Scholar] [CrossRef]
- Bowles, J.; Schepers, G.; Koopman, P. Phylogeny of the SOX family of developmental transcription factors based on sequence and structural indicators. Dev. Biol. 2000, 227, 239–255. [Google Scholar] [CrossRef] [PubMed]
- Berta, P.; Hawkins, J.R.; Sinclair, A.H.; Taylor, A.; Griffiths, B.L.; Goodfellow, P.N.; Fellous, M. Genetic evidence equating SRY and the testis-determining factor. Nature 1990, 348, 448–450. [Google Scholar] [CrossRef] [PubMed]
- Graves, J.A. Evolution of the mammalian Y chromosome and sex-determining gene. J. Exp. Zool. 1998, 281, 472–481. [Google Scholar] [CrossRef]
- Shin, H.S.; An, K.W.; Park, M.S.; Jeong, M.H.; Choi, C.Y. Quantitative mRNA expression of Sox3 and Dmrt1 during sex reversal, and expression profiles after GnRHa administration in black porgy, Acanthopagrus schlegeli. Comp. Biochem. Physiol. B Biochem. Mol. Biol. 2009, 154, 150–156. [Google Scholar] [CrossRef] [PubMed]
- Rajakumar, A.; Senthilkumaran, B. Sox3 binds to 11β-hydroxysteroid dehydrogenase gene promoter suggesting transcriptional interaction in catfish. J. Steroid. Biochem. Mol. Biol. 2016, 158, 90–103. [Google Scholar] [CrossRef] [PubMed]
- Vitt, U.A.; Hsu, S.Y.; Hsueh, A.J. Evolution and classification of cystine knot-containing hormones and related extracellular signaling molecules. Mol. Endocrinol. 2001, 15, 681–694. [Google Scholar] [CrossRef] [PubMed]
- Massagué, J. TGF-β signalling in context. Nat. Rev. Mol. Cell Biol. 2012, 13, 616–630. [Google Scholar] [CrossRef] [PubMed]
- Li, Z.; Wang, L.J.; Zou, C.C.; Shu, C.; Wu, Z.H.; Zou, Y.X.; You, F. Characterization of anti-Müllerian tubular hormone type II receptor gene (Amhr2) expression and preliminary investigation of its function in Paralichthys olivaceus. J. Trop. Oceanogr. 2024, 43, 94–106. [Google Scholar]
- Ge, C.; Ye, J.; Zhang, H.; Zhang, Y.; Sun, W.; Sang, Y.; Capel, B.; Qian, G. Dmrt1 induces the male pathway in a turtle species with temperature-dependent sex determination. Development 2017, 144, 2222–2233. [Google Scholar] [PubMed]
- Li, Y.Z. Expression Studies of Nanos2 in the Gonadal Development of the Eel (Monopterus albus). Master’s Thesis, Huazhong Agricultural University, Wuhan, China, 2023. [Google Scholar]
- Li, Y.H.; Sun, P. Progress in the study of fish sex determination mechanism and related genes. J. Mod. Fish. Inf. 2011, 26, 10–15. [Google Scholar]
- Wu, G.C.; Chiu, P.C.; Lin, C.J.; Lyu, Y.S.; Lan, D.S.; Chang, C.F. Testicular Dmrt1 is involved in the sexual fate of the ovotestis in the protandrous black porgy. Biol. Reprod. 2012, 86, 41. [Google Scholar] [CrossRef] [PubMed]
- Duan, X.; Jia, X.; Liang, K.; Huang, F.; Shan, J.; Chen, H.; Ruan, X.; Li, L.; Zhao, H.; Wang, Q. Liposome-encapsulated rec8 and Dmrt1 plasmids induce red-spotted grouper (Epinephelus akaara) testis maturation. Mar. Biotechnol. 2022, 24, 345–353. [Google Scholar] [CrossRef]
- Chen, L.; Huang, Y.; Pan, Q.H.; Wang, M.Y.; Liang, J.J.; Chen, T.S. The chinese medaka (Oryzias sinensis) dmrt1 gene converts females to males in medaka (Oryzias latipes). Biochim. Biophys. Acta Gen. Subj. 2024, 1868, 130664. [Google Scholar] [CrossRef]
- Wang, D.S.; Zhou, L.Y.; Kobayashi, T.; Matsuda, M.; Shibata, Y.; Sakai, F.; Nagahama, Y. Doublesex- and Mab-3-related transcription factor-1 repression of aromatase transcription, a possible mechanism favoring the male pathway in Tilapia. Endocrinology 2010, 151, 1331–1340. [Google Scholar] [CrossRef]
- Cao, M.; Duan, J.; Cheng, N.; Zhong, X.; Wang, Z.; Hu, W.; Zhao, H. Sexually dimorphic and ontogenetic expression of dmrt1, cyp19a1a and cyp19a1b in Gobiocypris rarus. Comp. Biochem. Physiol. A Mol. Integr. Physiol. 2012, 162, 303–309. [Google Scholar] [CrossRef]
- Zhang, Y.; Zhang, S.; Liu, Z.X.; Zhang, L.H.; Zhang, W.M. Epigenetic modifications during sex change repress gonadotropin stimulation of Cyp19a1a in a teleost ricefield eel (Monopterus albus). Endocrinology 2013, 154, 2881–2890. [Google Scholar] [CrossRef] [PubMed]
- Navarro-Martín, L.; Viñas, J.; Ribas, L.; Díaz, N.; Gutiérrez, A.; Di-Croce, L.; Piferrer, F. DNA methylation of the gonadal aromatase (Cyp19a) promoter is involved in temperature-dependent sex ratio shifts in the European sea bass. PLoS Genet. 2011, 7, e1002447. [Google Scholar] [CrossRef] [PubMed]
- Patil, J.G.; Gunasekera, R.M. Tissue and sexually dimorphic expression of ovarian and brain aromatase mRNA in the Japanese medaka (Oryzias latipes): Implications for their preferential roles in ovarian and neural differentiation and development. Gen. Comp. Endocrinol. 2008, 158, 131–137. [Google Scholar] [CrossRef]
- Cao, M.; Yang, Y.; Jiang, W.; Wang, Y.; Hu, W.; Zhao, H. Cloning and expressional analysis of Cyp19b gene fragment in Gobiocypris rarus. Acta. Hydrobiol. 2009, 33, 748–756. [Google Scholar] [CrossRef]
- Kallivretaki, E.; Eggen, R.I.; Neuhauss, S.C.; Kah, O.; Segner, H. The zebrafish, brain-specific, aromatase Cyp19a2 is neither expressed nor distributed in a sexually dimorphic manner during sexual differentiation. Dev. Dyn. 2007, 236, 3155–3166. [Google Scholar] [CrossRef] [PubMed]
- Ezagouri, M.; Yom-Din, S.; Goldberg, D.; Jackson, K.; Levavi-Sivan, B.; Degani, G. Expression of the two cytochrome P450 aromatase genes in the male and female blue gourami (Trichogaster trichopterus) during the reproductive cycle. Gen. Comp. Endocrinol. 2008, 159, 208–213. [Google Scholar] [CrossRef] [PubMed]
- Zhang, D.; Tian, T.; Han, L.; Du, J.; Zhu, T.; Lei, C.; Song, H.; Li, S. Expression characteristics of the Cyp19a1b aromatase gene and its response to 17β-estradiol treatment in largemouth bass (Micropterus salmoides). Fish Physiol. Biochem. 2024, 50, 575–588. [Google Scholar] [CrossRef] [PubMed]
- Yamaguchi, A.; Tsunematsu, T.; Motojima, Y.; Toriyama, K.; Horinouchi, A.; Ishii, Y.; Murata, H.; Yoshikawa, S.; Nyuji, M.; Shimizu, A. Pituitary luteinizing hormone synthesis starts in aromatase (Cyp19a1b)-positive cells expressing esr1 and esr2b at the onset of puberty in Takifugu rubripes (fugu). Cell Tissue Res. 2022, 389, 259–287. [Google Scholar] [CrossRef] [PubMed]
- Chaube, R.; Sharma, S.; Joy, K. Kisspeptin modulation of nonapeptide and cytochrome P450 aromatase mRNA expression in the brain and ovary of the catfish Heteropneustes fossilis: In vivo and in vitro studies. Fish Physiol. Biochem. 2023, 49, 1489–1509. [Google Scholar] [CrossRef]
- Dai, S.F. Functional Studies of Dmrt1 and Foxl3 in Sex Differentiation and Germ Cell Fate Determination in Nile Tilapia (Oreochromis niloticus). Ph.D. Thesis, Southwest University, Chongqing, China, 2021. [Google Scholar]
- Wang, D.S.; Kobayashi, T.; Zhou, L.Y.; Paul-Prasanth, B.; Ijiri, S.; Sakai, F.; Okubo, K.; Morohashi, K.; Nagahama, Y. Foxl2 up-regulates aromatase gene transcription in a female-specific manner by binding to the promoter as well as interacting with ad4 binding protein/steroidogenic factor 1. Mol. Endocrinol. 2007, 21, 712–725. [Google Scholar] [CrossRef] [PubMed]
- Wu, G.C.; Tey, W.G.; Li, H.W.; Chang, C.F. Sexual fate reprogramming in the steroid-induced bi-directional sex change in the protogynous orange-spotted grouper, Epinephelus coioides. PLoS ONE 2015, 10, e0145438. [Google Scholar] [CrossRef]
- Wang, D.; Kobayashi, T.; Zhou, L.; Nagahama, Y. Molecular cloning and gene expression of Foxl2 in the Nile tilapia, Oreochromis niloticus. Biochem. Biophys. Res. Commun. 2004, 320, 83–89. [Google Scholar] [CrossRef]
- Ma, X.; Liu, Q.; Wang, L.M.; Wu, L.M.; Liu, H.F.; Li, X.J. Progress of Cyp19a1 gene in fish sex differentiation and development. J. Henan Norm. Univ. 2019, 47, 96–101+111. [Google Scholar]
- Crespo, B.; Gómez, A.; Mazón, M.J.; Carrillo, M.; Zanuy, S. Isolation and characterization of Ff1 and Gsdf family genes in european sea bass and identification of early gonadal markers of precocious puberty in males. Gen. Comp. Endocrinol. 2013, 191, 155–167. [Google Scholar] [CrossRef]
- Meinsohn, M.C.; Smith, O.E.; Bertolin, K.; Murphy, B.D. The orphan nuclear receptors steroidogenic factor-1 and liver receptor homolog-1: Structure, regulation, and essential roles in mammalian reproduction. Physiol. Rev. 2019, 99, 1249–1279. [Google Scholar] [CrossRef]
- Ji, X.; Bu, S.; Zhu, Y.; Wang, Y.; Wen, X.; Song, F.; Luo, J. Identification of SF-1 and Foxl2 and their effect on activating p450 aromatase transcription via specific binding to the promoter motifs in sex reversing Cheilinus undulatus. Front. Endocrinol. 2022, 13, 863360. [Google Scholar] [CrossRef] [PubMed]
- Xie, Q.P.; He, X.; Sui, Y.N.; Chen, L.L.; Sun, L.N.; Wang, D.S. Haploinsufficiency of SF-1 causes female to male sex reversal in nile tilapia, Oreochromis niloticus. Endocrinology 2016, 157, 2500–2514. [Google Scholar] [CrossRef] [PubMed]
- Fan, M.; Yang, W.; Sun, J.; Li, Z.; Zhang, L.H.; Zhang, W.M. Sexual transformation of unspawned female eels (Monopterus albus). J. Aquat. Biol. 2021, 45, 387–396. [Google Scholar]


| Reproduction Patterns | Exemplar Species | Families | Reference | |
|---|---|---|---|---|
| hermaphroditic | protandry | Acanthopagms australis | Sparidae | [9] |
| Acanthopagrus schlegeli | Sparidae | [9] | ||
| Rhabdosargus sarba | Sparidae | [9] | ||
| Eleutheronema tetradactylum | Polynemidae | [10] | ||
| Lates calcarifer | Latidae | [11] | ||
| protogyny | Epinephelus coioides | Serranidae | [12] | |
| Epinephelus bruneus | Serranidae | [13] | ||
| Epinephelus akaara | Epinephelidae | [14] | ||
| Monopterus albus | Synbranchidae | |||
| Thalassoma bifasciatum | Labridae | [15] | ||
| Centropyge vrolikii | Pomacanthidae | [16] | ||
| both directions serially | Gobiodon erythrospilus | Gobiidae | [17] | |
| Lythyrpnus dalli | Gobiidae | [18] | ||
| Trimma yanagitai | Gobiidae | [19] | ||
| Kryptolebias marmoratus | Cyprinodontidae | [14] | ||
| gonochoric | Oreochromis niloticus | Cichlidae | [7] | |
| Scatophagus argus | Scatophagidae | [20] | ||
| Paralichthys olivaceus | Paralichthyidae | [21] | ||
| unisexual reproduction | Poecilia formosa | Cyprinodontidae | [22] | |
| Sex-Determining Systems | Exemplar Species | Sex-Determining Genes | Families | Reference |
|---|---|---|---|---|
| XX/XY | Oreochromis niloticus | AmhY | Cichlidae | [35] |
| Oryzias luzonensis | GsdfY | Adrianichthyidae | [36] | |
| Oryzias latipes | DmY | Adrianichthyidae | [36] | |
| Ictalurus punctatus | Bcar1 | Ictaluridae | [37] | |
| Oryzias dancena | Sox3Y | Adrianichthyidae | [98] | |
| Oncorhynchus mykiss | SdY | Salmonidae | [99] | |
| Nothobranchius furzeri | Gdf6Y | Nothobranchiidae | [100] | |
| Plecoglossus altivelis | AmhIIbY | Plecoglossidae | [101] | |
| Gadusmorhua | ZkY | Gadidae | [102] | |
| Arapaima gigas | Id2bbY | Osteoglossidae | [103] | |
| Clupea harengus | Bmpr1bbY | Clupeidae | [104] | |
| Silurus lanzhouensis | AmhrIIY | Siluridae | [61] | |
| Silurus meridionalis | AmhrIIY | Siluridae | [62] | |
| ZZ/ZW | Cynoglossus semilaevis | Dmrt1 | Cynoglossidae | [38] |
| Oreochromis aureus | Banf-W | Cichlidae | [105] | |
| Seriola quinqueradiata | Hsd17b1 | Carangidae | [44] | |
| Scophthalmus maximus | Sox2 | Scophthalmidae | [106] | |
| X1X1X2X2/X1X2Y | Collichthys lucidus | Dmrt1 | Sciaenidae | [107] |
Disclaimer/Publisher’s Note: The statements, opinions and data contained in all publications are solely those of the individual author(s) and contributor(s) and not of MDPI and/or the editor(s). MDPI and/or the editor(s) disclaim responsibility for any injury to people or property resulting from any ideas, methods, instructions or products referred to in the content. |
© 2025 by the authors. Licensee MDPI, Basel, Switzerland. This article is an open access article distributed under the terms and conditions of the Creative Commons Attribution (CC BY) license (https://creativecommons.org/licenses/by/4.0/).
Share and Cite
Fang, J.; Li, G.; Luo, W.; Hu, Q. Understanding Genetic Regulation of Sex Differentiation in Hermaphroditic Fish. Animals 2025, 15, 119. https://doi.org/10.3390/ani15020119
Fang J, Li G, Luo W, Hu Q. Understanding Genetic Regulation of Sex Differentiation in Hermaphroditic Fish. Animals. 2025; 15(2):119. https://doi.org/10.3390/ani15020119
Chicago/Turabian StyleFang, Junchao, Guanglve Li, Wenyin Luo, and Qiaomu Hu. 2025. "Understanding Genetic Regulation of Sex Differentiation in Hermaphroditic Fish" Animals 15, no. 2: 119. https://doi.org/10.3390/ani15020119
APA StyleFang, J., Li, G., Luo, W., & Hu, Q. (2025). Understanding Genetic Regulation of Sex Differentiation in Hermaphroditic Fish. Animals, 15(2), 119. https://doi.org/10.3390/ani15020119

