Comparative Analysis of Gastrointestinal Morphology and Enteric Nervous System Organization in Mallard, Tufted Duck, and Green-Winged Teal
Simple Summary
Abstract
1. Introduction
2. Materials and Methods
2.1. Animals and Material
2.2. Tissue Samples Collection
2.3. Histomorphometrical Analysis
2.4. Immunohistochemistry (IHC) Analysis
2.5. Statistical Analysis
3. Results
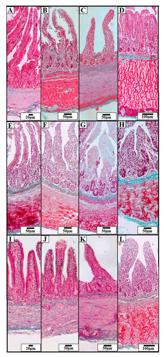
3.1. Duodenum Morphometry
3.2. Jejunum Morphometry
3.3. Ileum Morphometry
3.4. Cecum Morphometry
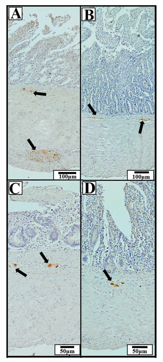
3.5. Morphometry of Enteric Ganglia
4. Discussion
5. Conclusions
Author Contributions
Funding
Institutional Review Board Statement
Informed Consent Statement
Data Availability Statement
Acknowledgments
Conflicts of Interest
Abbreviations
| ANOVA | Analysis Of Variance |
| DAB | 3,3′-Diaminobenzidine |
| ENS | Enteric Nervous System |
| GIT | Gastrointestinal Tract |
| HRP | Horseradish Peroxidase |
| IHC | Immunohistochemistry |
| PBS | Phosphate-Buffered Saline |
| RTU | Ready To Use |
| SEM | Standard Error of the Mean |
References
- Carboneras, C. Family Anatidae (Ducks, Geese and Swans). In Handbook of the Birds of the World; del Hoyo, J., Elliott, A., Sargatal, J., Eds.; Lynx Edicions: Barcelona, Spain, 1992; Volume 1, pp. 528–628. [Google Scholar]
- Kaminski, R.M.; Elmberg, J. An Introduction to Habitat Use and Selection by Waterfowl in the Northern Hemisphere. Wildfowl 2014, 4, 9–16. [Google Scholar]
- Owen, M.; Black, J.M. Waterfowl Ecology; Blackie Publishing: Glasgow, UK, 1990. [Google Scholar]
- Tidwell, P.R.; Webb, E.B.; Vrtiska, M.P.; Bishop, A.A. Diets and Food Selection of Female Mallards and Blue-Winged Teal During Spring Migration. J. Fish Wildl. Manag. 2013, 4, 63–74. [Google Scholar] [CrossRef]
- Fabião, A.; Rodrigues, D.; Figueiredo, M.E. Mallard (Anas platyrhynchos) Summer Diet in Central Portugal rice-fields. Game Wildl. Sci. 2002, 19, 55–62. [Google Scholar]
- Sekiya, Y.; Hiratsuka, J.; Yamamuro, M.; Oka, N.; Abe, M. Diet Selectivity and Shift of Wintering Common Pochards and Tufted Ducks in a Eutrophic Coastal Lagoon. J. Mar. Syst. 2000, 26, 233–238. [Google Scholar] [CrossRef]
- Duque-Correa, M.J.; Clauss, M.; Hoppe, M.I.; Buyse, K.; Codron, D.; Meloro, C.; Edwards, M.S. Diet, Habitat and Flight Characteristics Correlate with Intestine Length in Birds. Proc. R. Soc. B Biol. Sci. 2022, 289, 20220675. [Google Scholar] [CrossRef]
- Yawitz, T.A.; Barts, N.; Kohl, K.D. Comparative Digestive Morphology and Physiology of Five Species of Peromyscus Under Controlled Environment and Diet. Comp. Biochem. Physiol. Part A Mol. Integr. Physiol. 2022, 271, 111265. [Google Scholar] [CrossRef]
- Klasing, K.C. Avian Gastrointestinal Anatomy and Physiology. Semin. Avian Exot. Pet Med. 1999, 8, 42–50. [Google Scholar] [CrossRef]
- Bellinate, B.K.A.; Farias, K.N.N.; do Nascimento Silva, A.L.; Siqueira, M.S.; Povh, J.A.; Franco-Belussi, L.; Fernandes, C.E. Intestinal Morphometry and Cell Density Features in Tropical Farmed Fish: A Methodological Approach. Anat. Histol. Embryol. 2023, 52, 448–459. [Google Scholar] [CrossRef]
- Silva, C.H.S.; Amarante, M.S.M.; Cordero-Schmidt, E.; Vargas-Mena, J.C.; Barros, M.A.S.; Sartori, S.S.R.; Morais, D.B. Comparative Study on the Small and Large Intestines of the Bats Artibeus planirostris and Diphylla ecaudata: Influence of Food Habits on Morphological Parameters. Acta Chiropterol. 2020, 22, 435–448. [Google Scholar] [CrossRef]
- Bedford, M.R.; Svihus, B.; Cowieson, A.J. Dietary Fibre Effects and the Interplay with Exogenous Carbohydrases in Poultry Nutrition. Anim. Nutr. 2024, 16, 231–240. [Google Scholar] [CrossRef]
- Olukosi, O.A.; Oluseyifunmi, I.W.; Lin, Y.; Zedonek, S.S. Short-Term Partial Replacement of Corn and Soybean Meal with High-Fiber or High-Protein Feedstuffs during Metabolizable Energy Assay Influenced Intestinal Histomorphology, Cecal Short-Chain Fatty Acids, and Selected Nutrient Transporters in 21-Day-Old Broiler Chickens. Animals 2022, 12, 2193. [Google Scholar] [CrossRef]
- Goldstein, A.M.; Nagy, N. A Bird’s Eye View of Enteric Nervous System Development: Lessons From the Avian Embryo. Pediatr. Res. 2008, 64, 326–333. [Google Scholar] [CrossRef]
- Bancroft, J.D.; Layton, C. Connective and Other Mesenchymal Tissues with Their Stains. In Bancroft’s Theory and Practice of Histological Techniques, 8th ed.; Suvarna, S.K., Layton, C., Bancroft, J.D., Eds.; Elsevier: Amsterdam, The Netherlands, 2019; pp. 153–175. [Google Scholar] [CrossRef]
- Hunt, A.; Al-Nakkash, L.; Lee, A.H.; Smith, H.F. Phylogeny and Herbivory Are Related to Avian Cecal Size. Sci. Rep. 2019, 9, 4243. [Google Scholar] [CrossRef]
- Hiżewska, L.; Osiak-Wicha, C.; Tomaszewska, E.; Muszyński, S.; Dobrowolski, P.; Andres, K.; Schwarz, T.; Arciszewski, M.B. Morphometric Analysis of Developmental Alterations in the Small Intestine of Goose. Animals 2023, 13, 3292. [Google Scholar] [CrossRef]
- Bhanarkar, J.; Singh, R.; Siddhanathi, A.U.R.; Avvari, R.K. Small Intestinal Peristalsis: Biomechanics and Clinical Prominence of Digestion. In Advances in Mechatronics and Mechanical Engineering; Pain, P., Banerjee, S., Bose, G.K., Eds.; IGI Global: Hershey, PA, USA, 2022; pp. 294–312. ISBN 978-1-7998-9078-2. [Google Scholar]
- Kovtun, M.F.; Lykova, I.O.; Kharchenko, L.P. The Plasticity and Morphofunctional Organization of the Digestive System of Waders (Charadrii) as Migrants. Vestn. Zool. 2018, 52, 553–564. [Google Scholar] [CrossRef]
- Battley, P.F.; Piersma, T. Adaptive Interplay Between Feeding Ecology and Features of the Digestive Tract in Birds. Integr. Comp. Biol. 2005, 45, 547–558. [Google Scholar]
- Hao, Y.; Ji, Z.; Shen, Z.; Wu, Y.; Zhang, B.; Tang, J.; Hou, S.; Xie, M. Effects of Total Dietary Fiber on Cecal Microbial Community and Intestinal Morphology of Growing White Pekin Duck. Front. Microbiol. 2021, 12, 727200. [Google Scholar] [CrossRef]
- Novotný, J.; Horáková, L.; Řiháček, M.; Zálešáková, D.; Šťastník, O.; Mrkvicová, E.; Kumbár, V.; Pavlata, L. Effect of Different Feed Particle Size on Gastrointestinal Tract Morphology, Ileal Digesta Viscosity, and Blood Biochemical Parameters as Markers of Health Status in Broiler Chickens. Animals 2023, 13, 2532. [Google Scholar] [CrossRef]
- Sklan, D.; Smirnov, A.; Plavnik, I. The Effect of Dietary Fibre on the Small Intestines and Apparent Digestion in the Turkey. Br. Poult. Sci. 2003, 44, 735–740. [Google Scholar] [CrossRef]
- Dias, A.N.; Reis, T.L.; Quintero, J.C.P.; Calixto, L.F.L. Fiber Levels in Laying Quail Diets. An. Acad. Bras. Ciênc. 2020, 92, e20190650. [Google Scholar] [CrossRef]
- Röhm, K.; Diener, M.; Huber, K.; Seifert, J. Characterization of Cecal Smooth Muscle Contraction in Laying Hens. Vet. Sci. 2021, 8, 91. [Google Scholar] [CrossRef]
- Ricklefs, R.E. Morphometry of the Digestive Tracts of Some Passerine Birds. Condor Ornithol. Appl. 1996, 98, 279–292. [Google Scholar] [CrossRef]
- Kleyheeg, E.; Nolet, B.A.; Otero-Ojea, S.; Soons, M.B. A Mechanistic Assessment of the Relationship between Gut Morphology and Endozoochorous Seed Dispersal by Waterfowl. Ecol. Evol. 2018, 8, 10857–10867. [Google Scholar] [CrossRef]
- He, Y.; Zhang, M.; Dai, C.; Yu, L. Comparison of the Gut Microbial Communities of Domestic and Wild Mallards (Anas platyrhynchos) Based on High-Throughput Sequencing Technology. Animals 2023, 13, 2956. [Google Scholar] [CrossRef]
- Tejeda, O.J.; Kim, W.K. Role of Dietary Fiber in Poultry Nutrition. Animals 2021, 11, 461. [Google Scholar] [CrossRef]
- Rezaei, M.; Karimi Torshizi, M.A.; Rouzbehan, Y. The Influence of Different Levels of Micronized Insoluble Fiber on Broiler Performance and Litter Moisture. Poult. Sci. 2011, 90, 2008–2012. [Google Scholar] [CrossRef]
- Olney, P.J.S. The Food and Feeding Habits of Teal Anas crecca. Proc. Zool. Soc. Lond. 1963, 140, 169–210. [Google Scholar] [CrossRef]
- Sittiya, J.; Yamauchi, K.; Nimanong, W.; Thongwittaya, N. Influence of Levels of Dietary Fiber Sources on the Performance, Carcass Traits, Gastrointestinal Tract Development, Fecal Ammonia Nitrogen, and Intestinal Morphology of Broilers. Braz. J. Poult. Sci. 2020, 22, eRBCA. [Google Scholar] [CrossRef]
- Yang, S.; Yu, M. Role of Goblet Cells in Intestinal Barrier and Mucosal Immunity. J. Inflamm. Res. 2021, 14, 3171–3183. [Google Scholar] [CrossRef]
- Corrêa, R.O.; Castro, P.R.; Fachi, J.L.; Nirello, V.D.; El-Sahhar, S.; Imada, S.; Pereira, G.V.; Pral, L.P.; Araújo, N.V.P.; Fernandes, M.F.; et al. Inulin Diet Uncovers Complex Diet-Microbiota-Immune Cell Interactions Remodeling the Gut Epithelium. Microbiome 2023, 11, 90. [Google Scholar] [CrossRef]
- Charalambidou, I.; Santamaría, L.; Jansen, C.; Nolet, B.A. Digestive Plasticity in Mallard Ducks Modulates Dispersal Probabilities of Aquatic Plants and Crustaceans. Funct. Ecol. 2005, 19, 513–519. [Google Scholar] [CrossRef]
- Delnicki, D.; Reinecke, K.J. Mid-Winter Food Use and Body Weights of Mallards and Wood Ducks in Mississippi. J. Wildl. Manag. 1986, 50, 43–51. [Google Scholar] [CrossRef]
- Jónsson, J.E.; Afton, A.D. Does Organ and Muscle Plasticity Vary by Habitat or Age in Wintering Lesser Snow Geese Anser caerulescens caerulescens? Wildfowl J. 2017, 67, 19–43. [Google Scholar]
- Abdelhakeem, F.; Madkour, F.A. Descriptive Embryological Insights of the Colorectum of Quail Embryos with Concern to Its Functional Morphology. BMC Vet. Res. 2024, 20, 508. [Google Scholar] [CrossRef]
- Cavin, J.B.; Cuddihey, H.; MacNaughton, W.K.; Sharkey, K.A. Acute Regulation of Intestinal Ion Transport and Permeability in Response to Luminal Nutrients: The Role of the Enteric Nervous System. Am. J. Physiol. Gastrointest. Liver Physiol. 2020, 318, G254–G264. [Google Scholar] [CrossRef]
- Makhotyna, D.S. Microstructure of submucosal nervous plexuses of intestines of ducks. Sučasne Ptahìvnictvo 2020, 9–10, 16–21. [Google Scholar] [CrossRef]
- Amaral, P.F.G.P.D.; Trindade, W.A.; Favetta, P.M.; Gerônimo, E.; da Silva, I.C.; Serenini, G.d.F.; Palin, G.C.; Urano, T.K.; Oliveira, J.M.d.M.; Reati, L.d.A.; et al. Location, Distribution, and Quantification of Myenteric Plexus Neurons of the Jejunum of Quails Fed with Different Levels of Commercial Macleaya Cordata Extract. Ciência Rural 2021, 51. [Google Scholar] [CrossRef]
- Schemann, M.; Frieling, T.; Enck, P. To Learn, to Remember, to Forget—How Smart Is the Gut? Acta Physiol. 2020, 228, e13296. [Google Scholar] [CrossRef]
- Kulkarni, S.; Micci, M.A.; Leser, J.; Shin, C.; Tang, S.C.; Fu, Y.Y.; Liu, L.; Li, Q.; Saha, M.; Li, C.; et al. Adult Enteric Nervous System in Health Is Maintained by a Dynamic Balance between Neuronal Apoptosis and Neurogenesis. Proc. Natl. Acad. Sci. USA 2017, 114, E3709–E3718. [Google Scholar] [CrossRef]
- Suman, S. Enteric Nervous System Alterations in Inflammatory Bowel Disease: Perspectives and Implications. Gastrointest. Disord. 2024, 6, 368–379. [Google Scholar] [CrossRef]
- Zhang, X.; Qi, F.; Yang, J.; Xu, C. Distribution and Ultrastructural Characteristics of Enteric Glial Cell in the Chicken Cecum. Poult. Sci. 2024, 103, 104070. [Google Scholar] [CrossRef]
- Danek-Majewska, A.; Kwiecień, M.; Samolińska, W.; Kowalczyk-Pecka, D.; Nowakowicz-Dębek, B.; Winiarska-Mieczan, A. Effect of Raw Chickpea in the Broiler Chicken Diet on Intestinal Histomorphology and Intestinal Microbial Populations. Animals 2022, 12, 1767. [Google Scholar] [CrossRef]
- Tarasiuk-Zawadzka, A.; Fichna, J. Interaction Between Nutritional Factors and the Enteric Nervous System in Inflammatory Bowel Diseases. J. Nutr. Biochem. 2025, 144, 109959. [Google Scholar] [CrossRef]








| Target Antigen | Antibody Type | Host Species | Manufacturer | Catalog Number | Dilution/Format |
|---|---|---|---|---|---|
| Anti-Human Neuronal Protein HuC/HuD (anti-HuC/D) | Monoclonal, primary | Mouse | Thermo Fisher Scientific | A-21271 | 1:200 |
| Anti-mouse/rabbit (secondary) | Polyclonal, HRP-conjugated secondary | Goat | ImmunoLogic | DPVB-HRP | RTU 1 |
Disclaimer/Publisher’s Note: The statements, opinions and data contained in all publications are solely those of the individual author(s) and contributor(s) and not of MDPI and/or the editor(s). MDPI and/or the editor(s) disclaim responsibility for any injury to people or property resulting from any ideas, methods, instructions or products referred to in the content. |
© 2025 by the authors. Licensee MDPI, Basel, Switzerland. This article is an open access article distributed under the terms and conditions of the Creative Commons Attribution (CC BY) license (https://creativecommons.org/licenses/by/4.0/).
Share and Cite
Janicka, L.; Dajnowska, A.; Osiak-Wicha, C.; Kras, K.; Flis, M.; Woźniak, K.; Arciszewski, M.B. Comparative Analysis of Gastrointestinal Morphology and Enteric Nervous System Organization in Mallard, Tufted Duck, and Green-Winged Teal. Animals 2025, 15, 2511. https://doi.org/10.3390/ani15172511
Janicka L, Dajnowska A, Osiak-Wicha C, Kras K, Flis M, Woźniak K, Arciszewski MB. Comparative Analysis of Gastrointestinal Morphology and Enteric Nervous System Organization in Mallard, Tufted Duck, and Green-Winged Teal. Animals. 2025; 15(17):2511. https://doi.org/10.3390/ani15172511
Chicago/Turabian StyleJanicka, Ligia, Aleksandra Dajnowska, Cezary Osiak-Wicha, Katarzyna Kras, Marian Flis, Katarzyna Woźniak, and Marcin B. Arciszewski. 2025. "Comparative Analysis of Gastrointestinal Morphology and Enteric Nervous System Organization in Mallard, Tufted Duck, and Green-Winged Teal" Animals 15, no. 17: 2511. https://doi.org/10.3390/ani15172511
APA StyleJanicka, L., Dajnowska, A., Osiak-Wicha, C., Kras, K., Flis, M., Woźniak, K., & Arciszewski, M. B. (2025). Comparative Analysis of Gastrointestinal Morphology and Enteric Nervous System Organization in Mallard, Tufted Duck, and Green-Winged Teal. Animals, 15(17), 2511. https://doi.org/10.3390/ani15172511

