Differential Metabolomics and Cardiac Function in Trained vs. Untrained Yili Performance Horses
Simple Summary
Abstract
1. Introduction
2. Materials and Methods
2.1. Ethics Statement
2.2. Animals
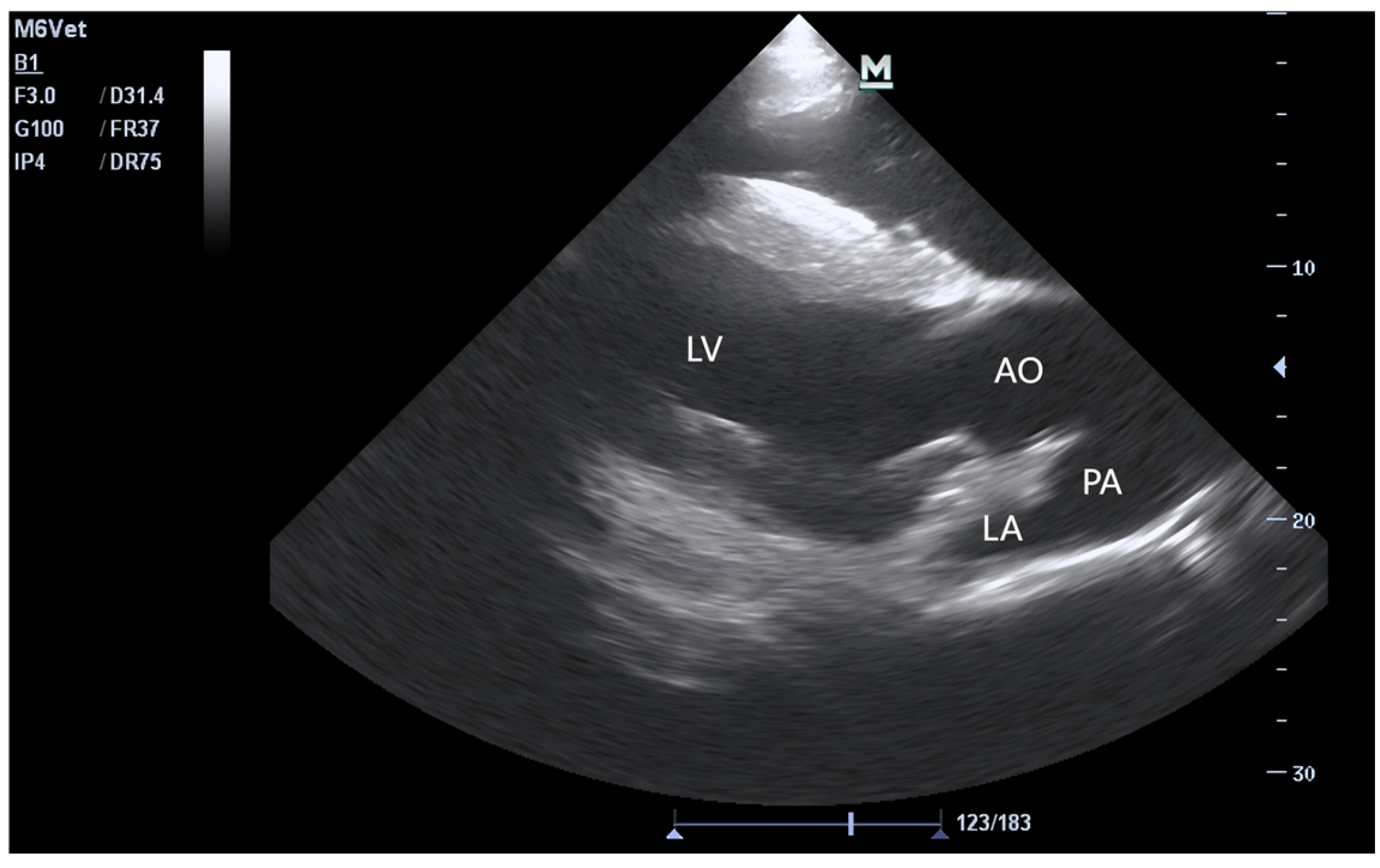
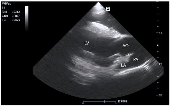
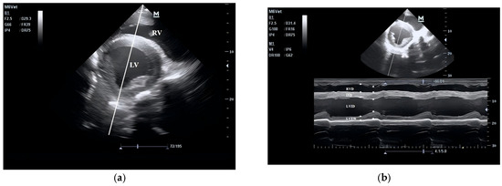
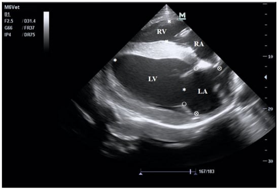
2.3. Echocardiography and Blood Sample Collection
2.4. Sample Preparation and Chromatography-Mass Spectrometry Analysis
2.4.1. UPLC Chromatographic Conditions for T3 Column
2.4.2. UPLC Chromatographic Conditions for HILIC Column
2.4.3. Mass Spectrometry Conditions for Non-Targeted Detection
2.4.4. Mass Spectrometry Conditions for Broadly Targeted Detection
2.5. Data Processing and Analysis
3. Results
3.1. Echocardiographic Parameters of Horses
3.2. Broad-Targeted Metabolomics Analysis
3.2.1. Total Metabolite Principal Component Analysis (PCA) and Orthogonal Partial Least Squares-Discriminant Analysis (OPLS-DA)
3.2.2. Differential Metabolite Analysis
3.2.3. Analysis of Shared Differential Metabolites Among the Three Groups
3.2.4. KEGG Pathway Enrichment Analysis of Differential Metabolites
3.2.5. Correlation Analysis Between Differential Metabolites and Cardiac Structures
4. Discussion
5. Conclusions
Supplementary Materials
Author Contributions
Funding
Institutional Review Board Statement
Informed Consent Statement
Data Availability Statement
Acknowledgments
Conflicts of Interest
References
- Wang, T.; Zeng, Y.; Ma, C.; Meng, J.; Wang, J.; Ren, W.; Wang, C.; Yuan, X.; Yang, X.; Yao, X. Plasma Non-targeted Metabolomics Analysis of Yili Horses Raced on Tracks with Different Surface Hardness. J. Equine Vet. Sci. 2023, 121, 104197. [Google Scholar] [CrossRef]
 - Yu, F.; Cong, S.; Yap, E.P.; Hausenloy, D.J.; Ramachandra, C.J. Unravelling the interplay between cardiac metabolism and heart regeneration. Int. J. Mol. Sci. 2023, 24, 10300. [Google Scholar] [CrossRef] [PubMed]
 - Chanda, M.; Petchdee, S. Cardiac morphology changes in horses as a response to various types of sports. J. Appl. Anim. Res. 2022, 50, 453–459. [Google Scholar] [CrossRef]
 - Al-Haidar, A.; Farnir, F.; Deleuze, S.; Sandersen, C.F.; Leroux, A.A.; Borde, L.; Cerri, S.; Amory., H. Effect of breed, sex, age and bodyweight on echocardiographic measurements in the equine species. Res. Inveterinary Sci. 2013, 95, 255–260. [Google Scholar]
 - Klein, D.J.; Mirek, E.T.; Anthony, T.G.; McKeever, K.H. Exercise Training in Standardbred Horses Alters the Skeletal Muscle Metabolome and Plasma Amino Acid Profile: Implications for the “Athlete’s Paradox”. FASEB J. 2018, 32, 855–927. [Google Scholar] [CrossRef]
 - Kędzierski, W. The effect of training on plasma L-carnitine metabolism in purebred Arabian horses. J. Anim. Feed Sci. 2010, 19, 398–407. [Google Scholar] [CrossRef]
 - Le Moyec, L.; Robert, C.; Triba, M.N.; Bouchemal, N.; Mach, N.; Riviere, J.; Zalachas-Rebours, E.; Barrey, E. A first step toward unraveling the energy metabolism in endurance horses: Comparison of plasma nuclear magnetic resonance metabolomic profiles before and after different endurance race distances. Front. Mol. Biosci. 2019, 6, 45. [Google Scholar] [CrossRef]
 - Zheng, F.; Zhao, X.; Zeng, Z.; Wang, L.; Lv, W.; Wang, Q.; Xu, G. Development of a plasma pseudotargeted metabolomics method based on ultra-high-performance liquid chromatography–mass spectrometry. Nat. Protoc. 2020, 15, 2519–2537. [Google Scholar] [CrossRef]
 - Chen, S.; Kong, H.; Lu, X.; Li, Y.; Yin, P.; Zeng, Z.; Xu, G. Pseudotargeted metabolomics method and its application in serum biomarker discovery for hepatocellular carcinoma based on ultra high-performance liquid chromatography/triple quadrupole mass spectrometry. Anal. Chem. 2013, 85, 8326–8333. [Google Scholar] [CrossRef]
 - Li, M.; Haixia, Y.; Kang, M.; An, P.; Wu, X.; Dang, H.; Xu, X. The arachidonic acid metabolism mechanism based on UPLC-MS/MS metabolomics in recurrent spontaneous abortion rats. Front. Endocrinol. 2021, 12, 652807. [Google Scholar] [CrossRef]
 - Han, Y.; Liu, X.; Jia, Q.; Xu, J.; Shi, J.; Li, X.; Xie, G.; Zhao, X.; He, K. Longitudinal multi-omics analysis uncovers the altered landscape of gut microbiota and plasma metabolome in response to high altitude. Microbiome 2024, 12, 70. [Google Scholar] [CrossRef] [PubMed]
 - Kanehisa, M.; Goto, S. KEGG: Kyoto encyclopedia of genes and genomes. Nucleic Acids Res. 2000, 28, 27–30. [Google Scholar] [CrossRef] [PubMed]
 - Pinar, O.; Sancak, A. Effects of different heart dimensions on race performance in Thorougbred race horses. Acta Sci. Vet. 2018, 46, 7. [Google Scholar] [CrossRef]
 - Nystoriak, M.A.; Bhatnagar, A. Cardiovascular effects and benefits of exercise. Front. Cardiovasc. Med. 2018, 5, 135. [Google Scholar] [CrossRef]
 - Decloedt, A.; De Clercq, D.; Ven Sofie, S.; Van Der Vekens, N.; Sys, S.; Broux, B.; van Loon, G. Echocardiographic measurements of right heart size and function in healthy horses. Equine Vet. J. 2017, 49, 58–64. [Google Scholar] [CrossRef]
 - Maskhuliva, L.; Akhalkatsi, V.; Chelidze, K.; Kakhabrishvili, Z.; Matiashvili, M.; Chabashvili, N.; Chutkerashvili, T. Echocardiographic Study Of Right Ventricular Remodeling In Top-Level Georgian Athletes. Br. J. Sports Med. 2014, 48, 634. [Google Scholar] [CrossRef]
 - Marzok, M.; Kandeel, M.; Babiker, H.; Alkhodair, K.M.; Farag, A.; Ibrahim, H.; El-Ashker, M.; Alghuwainem, Y.; El-Khodery, S. M-Mode Echocardiographic Measurements of Interventricular Septum, Left Ventricular Internal Diameter, and Left Ventricular Free-Wall Thickness in Normal Horses—A Meta-Analytical Study. Animals 2023, 13, 809. [Google Scholar] [CrossRef]
 - Buhl, R.; Ersbøll, A.K. Echocardiographic evaluation of changes in left ventricular size and valvular regurgitation associated with physical training during and after maturity in Standardbred trotters. J. Am. Vet. Med. Assoc. 2012, 240, 205–212. [Google Scholar] [CrossRef]
 - Semba, R.D.; Zhang, P.; Adelnia, F.; Sun, K.; Gonzalez-Freire, M.; Salem, N., Jr.; Brennan, N.; Spencer, R.G.; Fishbein, K.; Khadeer, M. Low plasma lysophosphatidylcholines are associated with impaired mitochondrial oxidative capacity in adults in the Baltimore Longitudinal Study of Aging. Aging Cell 2019, 18, e12915. [Google Scholar] [CrossRef]
 - Drzazga, A.; Sowińska, A.; Koziołkiewicz, M. Lysophosphatidylcholine and lysophosphatidylinosiol--novel promissing signaling molecules and their possible therapeutic activity. Acta Pol. Pharm. 2014, 71, 887–899. [Google Scholar]
 - Tian, Q.; Mitchell, B.A.; Zampino, M.; Ferrucci, L. Longitudinal associations between blood lysophosphatidylcholines and skeletal muscle mitochondrial function. Geroscience 2022, 44, 2213–2221. [Google Scholar] [CrossRef]
 - Shrivastav, A.; Kim, H.-Y.; Kim, Y.-R. Advances in the applications of polyhydroxyalkanoate nanoparticles for novel drug delivery system. BioMed Res. Int. 2013, 2013, 581684. [Google Scholar] [CrossRef] [PubMed]
 - Kim, J.; Lim, K. Relationship between FAT/CD36 protein in skeletal muscle and whole-body fat oxidation in endurance-trained mice. J. Exerc. Nutr. Biochem. 2016, 20, 48. [Google Scholar] [CrossRef] [PubMed]
 - Laurens, C.; De Glisezinski, I.; Larrouy, D.; Harant, I.; Moro, C. Influence of acute and chronic exercise on abdominal fat lipolysis: An update. Front. Physiol. 2020, 11, 575363. [Google Scholar] [CrossRef] [PubMed]
 - Evans, M.; Cogan, K.E.; Egan, B. Metabolism of ketone bodies during exercise and training: Physiological basis for exogenous supplementation. J. Physiol. 2017, 595, 2857–2871. [Google Scholar] [CrossRef]
 - Gnoni, A.; Longo, S.; Gnoni, G.V.; Giudetti, A.M. Carnitine in human muscle bioenergetics: Can carnitine supplementation improve physical exercise? Molecules 2020, 25, 182. [Google Scholar] [CrossRef]
 - Chen, Z.; Lu, D.; Qi, B.; Wu, Y.; Xia, Y.; Chen, A.; Li, S.; Tang, H.; Qian, J.; Ge, J. Quantitative profiling of serum carnitines facilitates the etiology diagnosis and prognosis prediction in heart failure. Molecules 2023, 28, 5345. [Google Scholar] [CrossRef]
 - Ticinesi, A.; Guerra, A.; Nouvenne, A.; Meschi, T.; Maggi, S. Disentangling the complexity of nutrition, frailty and gut microbial pathways during aging: A focus on hippuric acid. Nutrients 2023, 15, 1138. [Google Scholar] [CrossRef]
 - Li, J.-H.; Wang, Z.-H.; Zhu, X.-J.; Deng, Z.-H.; Cai, C.-X.; Qiu, L.-Q.; Chen, W.; Lin, Y.-J. Health effects from swimming training in chlorinated pools and the corresponding metabolic stress pathways. PLoS ONE 2015, 10, e0119241. [Google Scholar] [CrossRef]
 - Wei, R.Y.; Zhao, Y.P.; Bai, D.Y.; Han, H.G.; Wang, X.; Anaer; Bou, W.; Mang, L.; Li, X.D. Study on the characteristics of plasma metabolome in Mongolian horses at different endurance exercise levels. Chin. J. Anim. Vet. Sci. 2022, 53, 1442–1454. [Google Scholar]
 - Wu, L.; Wang, J.; Cao, X.; Tian, Y.; Li, J. Effect of acute high-intensity exercise on myocardium metabolic profiles in rat and human study via metabolomics approach. Sci. Rep. 2022, 12, 6791. [Google Scholar] [CrossRef]
 - Lordan, R.; Tsoupras, A.; Zabetakis, I. Phospholipids of animal and marine origin: Structure, function, and anti-inflammatory properties. Molecules 2017, 22, 1964. [Google Scholar] [CrossRef]
 - Wynn, T.A.; Vannella, K.M. Macrophages in tissue repair, regeneration, and fibrosis. Immunity 2016, 44, 450–462. [Google Scholar] [CrossRef]
 - Sherwin, E.; Sandhu, K.V.; Dinan, T.G.; Cryan, J.F. May the force be with you: The light and dark sides of the microbiota–gut–brain axis in neuropsychiatry. CNS Drugs 2016, 30, 1019–1041. [Google Scholar] [CrossRef]
 










| Parameter | UG | HG | AG | 
|---|---|---|---|
| RVDd (cm) | 2.98 ± 0.15 ab | 2.91 ± 0.47 b | 3.32 ± 0.29 a | 
| IVSd (cm) | 2.46 ± 0.15 b | 2.55 ± 0.12 b | 2.86 ± 0.15 a | 
| LVIDd (cm) | 9.69 ± 0.35 b | 10.24 ± 0.12 a | 10.51 ± 0.19 a | 
| LVFWd (cm) | 1.99 ± 0.18 b | 2.47 ± 0.35 a | 2.38 ± 0.21 a | 
| RVDs (cm) | 2 ± 0.18 b | 2.1 ± 0.32 b | 2.5 ± 0.25 a | 
| IVSs (cm) | 3.82 ± 0.17 b | 4.28 ± 0.26 a | 4.42 ± 0.41 a | 
| LVIDS (cm) | 4.94 ± 0.18 c | 5.31 ± 0.13 b | 5.48 ± 0.08 a | 
| LVFWs (cm) | 2.82 ± 0.18 b | 3.61 ± 0.24 a | 3.67 ± 0.31 a | 
| LVLD (cm) | 14.98 ± 0.44 a | 15.42 ± 0.37 a | 15.56 ± 0.61 a | 
| MVD (cm) | 8.49 ± 0.11 b | 9.17 ± 0.39 a | 9.45 ± 0.54 a | 
| LADd (cm) | 8.89 ± 0.44 b | 9.15 ± 0.77 ab | 9.75 ± 0.78 a | 
| LADs (cm) | 9.79 ± 0.39 b | 10.67 ± 0.49 a | 10.99 ± 0.71 a | 
| AODd (cm) | 5.27 ± 0.23 c | 5.63 ± 0.19 b | 5.95 ± 0.18 a | 
| PADd (cm) | 4.28 ± 0.22 a | 4.52 ± 0.33 a | 4.47 ± 0.2 a | 
| AODs (cm) | 5.56 ± 0.24 b | 5.81 ± 0.32 ab | 5.97 ± 0.03 a | 
| PADs (cm) | 4.85 ± 0.36 b | 5.25 ± 0.37 a | 5.27 ± 0.21 a | 
| EDV (mL) | 527.72 ± 42.92 b | 594.51 ± 15.36 a | 630.12 ± 24.82 a | 
| ESV (mL) | 193.29 ± 23.9 c | 215.57 ± 12.73 b | 241.09 ± 14.9 a | 
| EF (%) | 0.63 ± 0.03 a | 0.64 ± 0.02 a | 0.62 ± 0.02 a | 
| SV (mL) | 334.43 ± 28.26 b | 378.94 ± 17.29 a | 389.03 ± 21.22 a | 
| FS (%) | 49.03 ± 1.2 a | 48.16 ± 1.36 a | 47.89 ± 1.17 a | 
| LVM (g) | 1985.72 ± 223.05 c | 2568.44 ± 282.02 b | 2841.5 ± 103.67 a | 
| HR (bpm) | 45 a | 40 b | 39 c | 
Disclaimer/Publisher’s Note: The statements, opinions and data contained in all publications are solely those of the individual author(s) and contributor(s) and not of MDPI and/or the editor(s). MDPI and/or the editor(s) disclaim responsibility for any injury to people or property resulting from any ideas, methods, instructions or products referred to in the content.  | 
© 2025 by the authors. Licensee MDPI, Basel, Switzerland. This article is an open access article distributed under the terms and conditions of the Creative Commons Attribution (CC BY) license (https://creativecommons.org/licenses/by/4.0/).
Share and Cite
Wang, T.; Meng, J.; Yang, X.; Zeng, Y.; Yao, X.; Ren, W. Differential Metabolomics and Cardiac Function in Trained vs. Untrained Yili Performance Horses. Animals 2025, 15, 2444. https://doi.org/10.3390/ani15162444
Wang T, Meng J, Yang X, Zeng Y, Yao X, Ren W. Differential Metabolomics and Cardiac Function in Trained vs. Untrained Yili Performance Horses. Animals. 2025; 15(16):2444. https://doi.org/10.3390/ani15162444
Chicago/Turabian StyleWang, Tongliang, Jun Meng, Xixi Yang, Yaqi Zeng, Xinkui Yao, and Wanlu Ren. 2025. "Differential Metabolomics and Cardiac Function in Trained vs. Untrained Yili Performance Horses" Animals 15, no. 16: 2444. https://doi.org/10.3390/ani15162444
APA StyleWang, T., Meng, J., Yang, X., Zeng, Y., Yao, X., & Ren, W. (2025). Differential Metabolomics and Cardiac Function in Trained vs. Untrained Yili Performance Horses. Animals, 15(16), 2444. https://doi.org/10.3390/ani15162444
        
                                                
