First Detection and Genetic Characterization of Felis catus Papillomavirus Type 11, the First Treisetapapillomavirus Type to Infect Domestic Cats
Simple Summary
Abstract
1. Introduction
2. Materials and Methods
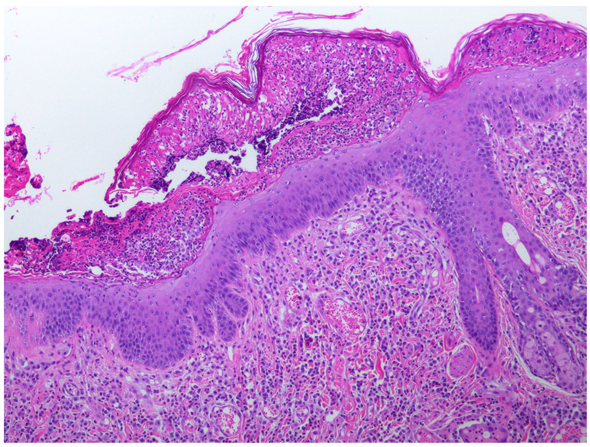
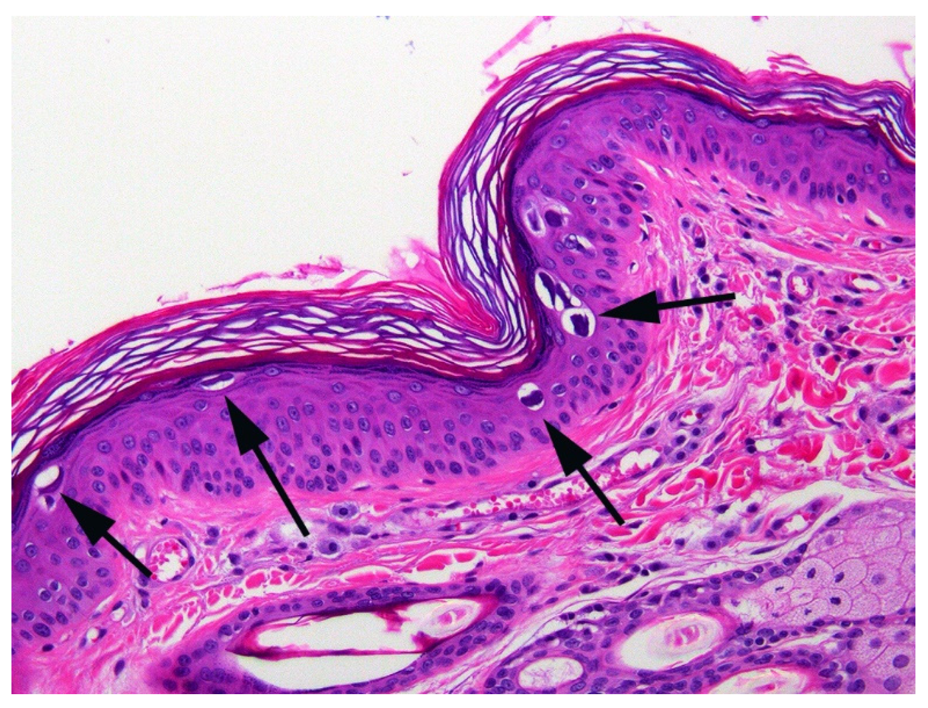
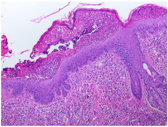
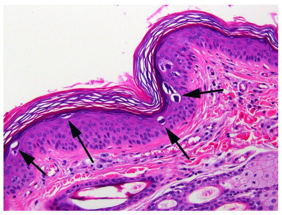
2.1. Initial Case Summary and Sample Collection
2.2. Initial PCR and DNA Sequencing
2.3. Complete Genome Sequencing of the Novel PV
2.4. DNA and Protein Sequence Analysis
2.5. Phylogenetic Analysis
2.6. Nucleotide Sequence Accession Number
2.7. Detection of DNA Sequences from the Novel PV in Other Feline Skin Samples
3. Results
3.1. Initial PCR and DNA Sequencing
3.2. FcaPV11 Complete Gene Sequence
3.3. Genome Organization of FcaPV11
3.4. Phylogenetic Analysis of FcaPV11
3.5. Detection of FcaPV11 in Additional Skin Samples
4. Discussion
5. Conclusions
Author Contributions
Funding
Institutional Review Board Statement
Informed Consent Statement
Data Availability Statement
Acknowledgments
Conflicts of Interest
References
- Van Doorslaer, K. Evolution of the papillomaviridae. Virology 2013, 445, 11–20. [Google Scholar] [CrossRef]
- Antonsson, A.; Forslund, O.; Ekberg, H.; Sterner, G.; Hansson, B.G. The ubiquity and impressive genomic diversity of human skin papillomaviruses suggest a commensalic nature of these viruses. J. Virol. 2000, 74, 11636–11641. [Google Scholar] [CrossRef]
- Thomson, N.A.; Dunowska, M.; Munday, J.S. The use of quantitative PCR to detect Felis catus papillomavirus type 2 DNA from a high proportion of queens and their kittens. Vet. Microbiol. 2015, 175, 211–217. [Google Scholar] [CrossRef]
- Lange, C.E.; Zollinger, S.; Tobler, K.; Ackermann, M.; Favrot, C. Clinically healthy skin of dogs is a potential reservoir for canine papillomaviruses. J. Clin. Microbiol. 2011, 49, 707–709. [Google Scholar] [CrossRef]
- Doorbar, J.; Quint, W.; Banks, L.; Bravo, I.G.; Stoler, M.; Broker, T.R.; Stanley, M.A. The biology and life-cycle of human papillomaviruses. Vaccine 2012, 30, F55–F70. [Google Scholar] [CrossRef]
- Munday, J.S.; Knight, C.G.; Luff, J.A. Papillomaviral skin diseases of humans, dogs, cats and horses: A comparative review. Part 1: Papillomavirus biology and hyperplastic lesions. Vet. J. 2022, 288, 105897. [Google Scholar] [CrossRef]
- Munday, J.S.; Knight, C.G.; Luff, J.A. Papillomaviral skin diseases of humans, dogs, cats and horses: A comparative review. Part 2: Pre-neoplastic and neoplastic diseases. Vet. J. 2022, 288, 105898. [Google Scholar] [CrossRef]
- Nicholls, P.K.; Stanley, M.A. Canine papillomavirus—A centenary review. J. Comp. Pathol. 1999, 120, 219–233. [Google Scholar] [CrossRef]
- zur Hausen, H.; de Villiers, E.M.; Gissmann, L. Papillomavirus infections and human genital cancer. Gynecol. Oncol. 1981, 12, S124–S128. [Google Scholar] [CrossRef]
- Medeiros-Fonseca, B.; Faustino-Rocha, A.I.; Medeiros, R.; Oliveira, P.A.; Gil da Costa, R.M. Canine and feline papillomaviruses: An update. Front. Vet. Sci. 2023, 10, 1174673. [Google Scholar] [CrossRef]
- Egberink, H.; Hartmann, K.; Mueller, R.; Pennisi, M.G.; Belák, S.; Tasker, S.; Möstl, K.; Addie, D.D.; Boucraut-Baralon, C.; Frymus, T.; et al. Feline papillomatosis. Viruses 2025, 17, 59. [Google Scholar] [CrossRef]
- Munday, J.S.; Knight, C.G. Papillomaviruses and papillomaviral disease in dogs and cats: A comprehensive review. Pathogens 2024, 13, 1057. [Google Scholar] [CrossRef]
- McBride, A.A. Human papillomaviruses: Diversity, infection and host interactions. Nat. Rev. Microbiol. 2022, 20, 95–108. [Google Scholar] [CrossRef] [PubMed]
- de Martel, C.; Georges, D.; Bray, F.; Ferlay, J.; Clifford, G.M. Global burden of cancer attributable to infections in 2018: A worldwide incidence analysis. Lancet Glob. Health 2020, 8, e180–e190. [Google Scholar] [CrossRef]
- Van Doorslaer, K. Revisiting papillomavirus taxonomy: A proposal for updating the current classification in line with evolutionary evidence. Viruses 2022, 14, 2308. [Google Scholar] [CrossRef] [PubMed]
- Bernard, H.U.; Burk, R.D.; Chen, Z.; van Doorslaer, K.; Hausen, H.; de Villiers, E.M. Classification of papillomaviruses (PVs) based on 189 PV types and proposal of taxonomic amendments. Virology 2010, 401, 70–79. [Google Scholar] [CrossRef]
- Rector, A.; Van Ranst, M. Animal papillomaviruses. Virology 2013, 445, 213–223. [Google Scholar] [CrossRef]
- Tachezy, R.; Duson, G.; Rector, A.; Jenson, A.B.; Sundberg, J.P.; Van Ranst, M. Cloning and genomic characterization of Felis domesticus papillomavirus type 1. Virology 2002, 301, 313–321. [Google Scholar] [CrossRef]
- Sundberg, J.P.; Van Ranst, M.; Montali, R.; Homer, B.L.; Miller, W.H.; Rowland, P.H.; Scott, D.W.; England, J.J.; Dunstan, R.W.; Mikaelian, I.; et al. Feline papillomas and papillomaviruses. Vet. Pathol. 2000, 37, 1–10. [Google Scholar] [CrossRef]
- Terai, M.; Burk, R.D. Felis domesticus papillomavirus, isolated from a skin lesion, is related to canine oral papillomavirus and contains a 1.3 kb non-coding region between the E2 and L2 open reading frames. J. Gen. Virol. 2002, 83, 2303–2307. [Google Scholar] [CrossRef]
- Munday, J.S.; Fairley, R.A.; Mills, H.; Kiupel, M.; Vaatstra, B.L. Oral papillomas associated with Felis catus papillomavirus type 1 in 2 domestic cats. Vet. Pathol. 2015, 52, 1187–1190. [Google Scholar] [CrossRef]
- Lange, C.E.; Tobler, K.; Markau, T.; Alhaidari, Z.; Bornand, V.; Stockli, R.; Trussel, M.; Ackermann, M.; Favrot, C. Sequence and classification of FdPV2, a papillomavirus isolated from feline Bowenoid in situ carcinomas. Vet. Microbiol. 2009, 137, 60–65. [Google Scholar] [CrossRef] [PubMed]
- Munday, J.S.; Kiupel, M.; French, A.F.; Howe, L.; Squires, R.A. Detection of papillomaviral sequences in feline Bowenoid in situ carcinoma using consensus primers. Vet. Dermatol. 2007, 18, 241–245. [Google Scholar] [CrossRef]
- Altamura, G.; Corteggio, A.; Pacini, L.; Conte, A.; Pierantoni, G.M.; Tommasino, M.; Accardi, R.; Borzacchiello, G. Transforming properties of Felis catus papillomavirus type 2 E6 and E7 putative oncogenes in vitro and their transcriptional activity in feline squamous cell carcinoma in vivo. Virology 2016, 496, 1–8. [Google Scholar] [CrossRef] [PubMed]
- Thomson, N.A.; Munday, J.S.; Dittmer, K.E. Frequent detection of transcriptionally active Felis catus papillomavirus 2 in feline cutaneous squamous cell carcinomas. J. Gen. Virol. 2016, 97, 1189–1197. [Google Scholar] [CrossRef]
- Abramo, F.; Mazzei, M.; Forzan, M.; Giannetti, G.; Albanese, F.; Melchiotti, E.; Zanna, G.; Vascellari, M. Using colorimetric in situ hybridisation method for FcaPV-2 to estimate postsurgical prognosis in feline Bowenoid in situ carcinoma. Vet. Dermatol. 2025, 36, 83–91. [Google Scholar] [CrossRef]
- Graham, E.H.; Adamowicz, M.S.; Angeletti, P.C.; Clarke, J.L.; Fernando, S.C.; Herr, J.R. Genome sequence of feline papillomavirus strain P20 assembled from metagenomic data from the skin of a house cat owner. Microbiol. Resour. Announc. 2022, 11, e0107021. [Google Scholar] [CrossRef]
- Dunowska, M.; Munday, J.S.; Laurie, R.E.; Hills, S.F. Genomic characterisation of Felis catus papillomavirus 4, a novel papillomavirus detected in the oral cavity of a domestic cat. Virus Genes. 2014, 48, 111–119. [Google Scholar] [CrossRef]
- Munday, J.S.; Dittmer, K.E.; Thomson, N.A.; Hills, S.F.; Laurie, R.E. Genomic characterisation of Felis catus papillomavirus type 5 with proposed classification within a new papillomavirus genus. Vet. Microbiol. 2017, 207, 50–55. [Google Scholar] [CrossRef]
- Munday, J.S.; Dunowska, M.; Hills, S.F.; Laurie, R.E. Genomic characterization of Felis catus papillomavirus-3: A novel papillomavirus detected in a feline Bowenoid in situ carcinoma. Vet. Microbiol. 2013, 165, 319–325. [Google Scholar] [CrossRef]
- Munday, J.S.; Gedye, K.; Knox, M.A.; Pfeffer, H.; Lin, X. Genetic characterisation of Felis catus papillomavirus type 7, a rare infection of cats that may be associated with skin cancer. Vet. Microbiol. 2023, 284, 109813. [Google Scholar] [CrossRef]
- Yamashita-Kawanishi, N.; Gushino, Y.; Chang, C.Y.; Chang, H.W.; Chambers, J.K.; Uchida, K.; Haga, T. Full-genome characterization of a novel Felis catus papillomavirus 4 subtype identified in a cutaneous squamous cell carcinoma of a domestic cat. Virus Genes 2021, 57, 380–384. [Google Scholar] [CrossRef]
- Yamashita-Kawanishi, N.; Sawanobori, R.; Matsumiya, K.; Uema, A.; Chambers, J.K.; Uchida, K.; Shimakura, H.; Tsuzuki, M.; Chang, C.Y.; Chang, H.W.; et al. Detection of Felis catus papillomavirus type 3 and 4 DNA from squamous cell carcinoma cases of cats in Japan. J. Vet. Med. Sci. 2018, 80, 1236–1240. [Google Scholar] [CrossRef]
- Carrai, M.; Van Brussel, K.; Shi, M.; Li, C.X.; Chang, W.S.; Munday, J.S.; Voss, K.; McLuckie, A.; Taylor, D.; Laws, A.; et al. Identification of a novel papillomavirus associated with squamous cell carcinoma in a domestic cat. Viruses 2020, 12, 124. [Google Scholar] [CrossRef]
- Munday, J.S.; Thomson, N.; Dunowska, M.; Knight, C.G.; Laurie, R.E.; Hills, S. Genomic characterisation of the feline sarcoid-associated papillomavirus and proposed classification as Bos taurus papillomavirus type 14. Vet. Microbiol. 2015, 177, 289–295. [Google Scholar] [CrossRef]
- Kraberger, S.; Serieys, L.E.K.; Leighton, G.R.M.; De Koch, M.D.; Munday, J.S.; Bishop, J.M.; Varsani, A. Two lineages of papillomaviruses identified from Caracals (Caracal caracal) in South Africa. Viruses 2024, 16, 701. [Google Scholar] [CrossRef]
- Munday, J.S.; Thomson, N.A. Papillomaviruses in domestic cats. Viruses 2021, 13, 1664. [Google Scholar] [CrossRef]
- Munday, J.S.; Hardcastle, M.R.; Sim, M. Detection of a putative novel papillomavirus type within a large exophytic papilloma on the fetlock of a horse. Pathogens 2020, 9, 816. [Google Scholar] [CrossRef]
- Altschul, S.F.; Gish, W.; Miller, W.; Myers, E.W.; Lipman, D.J. Basic local alignment search tool. J. Mol. Biol. 1990, 215, 403–410. [Google Scholar] [CrossRef]
- Drummond, A.J.; Ashton, B.; Buxton, S.; Cheung, M.; Cooper, A.; Duran, C.; Field, M.; Heled, J.; Kearse, M.; Markowitz, S.; et al. Geneious, v5.3; Geneious: Auckland, New Zealand, 2010. [Google Scholar]
- Katoh, K.; Misawa, K.; Kuma, K.; Miyata, T. MAFFT: A novel method for rapid multiple sequence alignment based on fast Fourier transform. Nucleic Acids Res. 2002, 30, 3059–3066. [Google Scholar] [CrossRef]
- Nguyen, L.T.; Schmidt, H.A.; von Haeseler, A.; Minh, B.Q. IQ-TREE: A fast and effective stochastic algorithm for estimating maximum-likelihood phylogenies. Mol. Biol. Evol. 2015, 32, 268–274. [Google Scholar] [CrossRef]
- Kalyaanamoorthy, S.; Minh, B.Q.; Wong, T.K.F.; von Haeseler, A.; Jermiin, L.S. ModelFinder: Fast model selection for accurate phylogenetic estimates. Nat. Methods 2017, 14, 587–589. [Google Scholar] [CrossRef]
- Steenwyk, J.L.; Buida, T.J., 3rd; Li, Y.; Shen, X.X.; Rokas, A. ClipKIT: A multiple sequence alignment trimming software for accurate phylogenomic inference. PLoS Biol. 2020, 18, e3001007. [Google Scholar] [CrossRef]
- Ma, T.; Zou, N.; Lin, B.Y.; Chow, L.T.; Harper, J.W. Interaction between cyclin-dependent kinases and human papillomavirus replication-initiation protein E1 is required for efficient viral replication. Proc. Nat. Acad. Sci. USA 1999, 96, 382–387. [Google Scholar] [CrossRef]
- Van Doorslaer, K.; Rector, A.; Jenson, A.B.; Sundberg, J.P.; Van Ranst, M.; Ghim, S.J. Complete genomic characterization of a murine papillomavirus isolated from papillomatous lesions of a European harvest mouse (Micromys minutus). J. Gen. Virol. 2007, 88, 1484–1488. [Google Scholar] [CrossRef]
- Gross, T.L.; Ihrke, P.J.; Walder, E.J.; Affolter, V.K. Skin Diseases of the Dog and Cat: Clinical and Histopathologic Diagnosis, 2nd ed.; Blackwell Science: Oxford, UK, 2005; pp. 50–97. [Google Scholar]
- Munday, J.S.; Lam, A.T.H.; Sakai, M. Extensive progressive pigmented viral plaques in a Chihuahua dog. Vet. Dermatol. 2022, 33, 252–254. [Google Scholar] [CrossRef]
- Cordano, P.; Gillan, V.; Bratlie, S.; Bouvard, V.; Banks, L.; Tommasino, M.; Campo, M.S. The E6E7 oncoproteins of cutaneous human papillomavirus type 38 interfere with the interferon pathway. Virology 2008, 377, 408–418. [Google Scholar] [CrossRef][Green Version]
- De Lucia, M.; Denti, D.; Werlen, N.A.; Ramsauer, A.S. Canine pigmented viral plaques associated with application of potent topical glucocorticoids. Vet. Dermatol. 2025, 36, 104–108. [Google Scholar] [CrossRef]
- Mengual-Chuliá, B.; Wittstatt, U.; Bravo, I.G. The first papillomavirus isolated from Vulpes vulpes (VvulPV1) is basal to the gammapapillomavirus genus. Genome Announc. 2015, 3, e00111-15. [Google Scholar] [CrossRef] [PubMed]
- Smeele, Z.E.; Burns, J.M.; Van Doorsaler, K.; Fontenele, R.S.; Waits, K.; Stainton, D.; Shero, M.R.; Beltran, R.S.; Kirkham, A.L.; Berngartt, R.; et al. Diverse papillomaviruses identified in Weddell seals. J. Gen. Virol. 2018, 99, 549–557. [Google Scholar] [CrossRef] [PubMed]
- Beziat, V.; Casanova, J.L.; Jouanguy, E. Human genetic and immunological dissection of papillomavirus-driven diseases: New insights into their pathogenesis. Curr. Opin. Virol. 2021, 51, 9–15. [Google Scholar] [CrossRef]
- Orth, G. Genetics of epidermodysplasia verruciformis: Insights into host defense against papillomaviruses. Semin. Immunol. 2006, 18, 362–374. [Google Scholar] [CrossRef] [PubMed]
- Chen, Z.; Long, T.; Wong, P.Y.; Ho, W.C.S.; Burk, R.D.; Chan, P.K.S. Non-human primate papillomaviruses share similar evolutionary histories and niche adaptation as the human counterparts. Front. Microbiol. 2019, 10, 2093. [Google Scholar] [CrossRef]
- Rector, A.; Lemey, P.; Tachezy, R.; Mostmans, S.; Ghim, S.J.; Van Doorslaer, K.; Roelke, M.; Bush, M.; Montali, R.J.; Joslin, J.; et al. Ancient papillomavirus-host co-speciation in Felidae. Genome Biol. 2007, 8, R57. [Google Scholar] [CrossRef] [PubMed]
- Polly, P.; Fuentes-Gonzalez, J.; Lawing, A.M.; Bormet, A.; Dundas, R. Clade sorting has a greater effect than local adaptation on ecometric patterns in Carnivora. Evol. Ecol. Res. 2017, 18, 61–95. [Google Scholar]
- Isegawa, N.; Ohta, M.; Shirasawa, H.; Tokita, H.; Yamaura, A.; Simizu, B. Nucleotide-sequence of a canine oral papillomavirus containing a long noncoding region. Int. J. Oncol. 1995, 7, 155–159. [Google Scholar] [CrossRef]
- Yuan, H.; Ghim, S.; Newsome, J.; Apolinario, T.; Olcese, V.; Martin, M.; Delius, H.; Felsburg, P.; Jenson, B.; Schlegel, R. An epidermotropic canine papillomavirus with malignant potential contains an E5 gene and establishes a unique genus. Virology 2007, 359, 28–36. [Google Scholar] [CrossRef]
- Forslund, O.; Antonsson, A.; Nordin, P.; Stenquist, B.; Hansson, B.G. A broad range of human papillomavirus types detected with a general PCR method suitable for analysis of cutaneous tumours and normal skin. J. Gen. Virol. 1999, 80, 2437–2443. [Google Scholar] [CrossRef]
- Munday, J.S.; Benfell, M.W.; French, A.; Orbell, G.M.; Thomson, N. Bowenoid in situ carcinomas in two Devon Rex cats: Evidence of unusually aggressive neoplasm behaviour in this breed and detection of papillomaviral gene expression in primary and metastatic lesions. Vet. Dermatol. 2016, 27, 215-e55. [Google Scholar] [CrossRef] [PubMed]
- Ravens, P.A.; Vogelnest, L.J.; Tong, L.J.; Demos, L.E.; Bennett, M.D. Papillomavirus-associated multicentric squamous cell carcinoma in situ in a cat: An unusually extensive and progressive case with subsequent metastasis. Vet. Dermatol. 2013, 24, 642-e162. [Google Scholar] [CrossRef]
- Egawa, N.; Doorbar, J. The low-risk papillomaviruses. Virus Res. 2017, 231, 119–127. [Google Scholar] [CrossRef] [PubMed]
- Altamura, G.; Cardeti, G.; Cersini, A.; Eleni, C.; Cocumelli, C.; Bartolomé del Pino, L.E.; Razzuoli, E.; Martano, M.; Maiolino, P.; Borzacchiello, G. Detection of Felis catus papillomavirus type-2 DNA and viral gene expression suggest active infection in feline oral squamous cell carcinoma. Vet. Comp. Oncol. 2020, 18, 494–501. [Google Scholar] [CrossRef] [PubMed]
- Altamura, G.; Tommasino, M.; Borzacchiello, G. Cutaneous vs. mucosal tropism: The papillomavirus paradigm comes to an “and”. Front. Microbiol. 2020, 11, 588663. [Google Scholar] [CrossRef]
- Munday, J.S.; French, A.F.; Peters-Kennedy, J.; Orbell, G.M.; Gwynne, K. Increased p16CDKN2A protein within feline cutaneous viral plaques, bowenoid in situ carcinomas, and a subset of invasive squamous cell carcinomas. Vet. Pathol. 2011, 48, 460–465. [Google Scholar] [CrossRef] [PubMed]
- Parry, D.; Bates, S.; Mann, D.J.; Peters, G. Lack of cyclin D-Cdk complexes in Rb-negative cells correlates with high levels of p16INK4/MTS1 tumour suppressor gene product. EMBO J. 1995, 14, 503–511. [Google Scholar] [CrossRef]





| ORF | ORF Location | Length (nt) | Length (aa) | Molecular Mass (kDa) | pI |
|---|---|---|---|---|---|
| E1 | 693–2594 | 1902 | 633 | 70.87 | 4.86 |
| E2 | 2536–3687 | 1152 | 383 | 43.84 | 8.68 |
| E4 | 3062–3448 | 387 | 128 | 14.09 | 6.52 |
| E6 | 1–417 | 417 | 138 | 15.62 | 7.62 |
| E7 | 419–706 | 288 | 95 | 10.73 | 4.49 |
| L1 | 5263–6804 | 1542 | 513 | 58.33 | 6.97 |
| L2 | 3687–5252 | 1566 | 521 | 55.95 | 4.65 |
| Papillomavirus | Host Species | Classification | L1 Similarity (%) |
|---|---|---|---|
| Caracal caracal papillomavirus 5 (OR915591) | Caracal | Treisetapapillomavirus | 79.2 |
| Caracal caracal papillomavirus 6 (OR915593) | Caracal | Treisetapapillomavirus | 66.1 |
| Micromys minutus papillomavirus 1 (DQ269468) | Eurasian harvest mouse | Pipapillomavirus | 64 |
| Vulpes vulpes papillomavirus 1 (KF857586) | Red fox | Treisetapapillomavirus | 63.4 |
| Felis catus papillomavirus 3 (JX972168) | Domestic cat | Taupapillomavirus | 63.1 |
| Leptonychotes weddellii papillomavirus 2 (MG571089) | Weddell seal | Treisetapapillomavirus | 62.3 |
| Felis catus papillomavirus 4 (KF147892) | Domestic cat | Taupapillomavirus | 61.3 |
| Human papillomavirus 230 (PP718696) | Human | Gammapapillomavirus | 61.2 |
| Felis catus papillomavirus 6 (MN857145) | Domestic cat | Taupapillomavirus | 60.7 |
| Felis catus papillomavirus 5 (KY853656) | Domestic cat | Taupapillomavirus | 60.5 |
| Felis catus papillomavirus 2 (EU796884) | Domestic cat | Dyothetapapillomavirus | 59.1 |
| Felis catus papillomavirus 1 (NC004765) | Domestic cat | Lambdapapillomavirus | 58.7 |
Disclaimer/Publisher’s Note: The statements, opinions and data contained in all publications are solely those of the individual author(s) and contributor(s) and not of MDPI and/or the editor(s). MDPI and/or the editor(s) disclaim responsibility for any injury to people or property resulting from any ideas, methods, instructions or products referred to in the content. |
© 2025 by the authors. Licensee MDPI, Basel, Switzerland. This article is an open access article distributed under the terms and conditions of the Creative Commons Attribution (CC BY) license (https://creativecommons.org/licenses/by/4.0/).
Share and Cite
Munday, J.S.; French, A.F.; Broughton, L.; Lin, X.; Bond, S.D.; Kraberger, S.; Knox, M.A. First Detection and Genetic Characterization of Felis catus Papillomavirus Type 11, the First Treisetapapillomavirus Type to Infect Domestic Cats. Animals 2025, 15, 1416. https://doi.org/10.3390/ani15101416
Munday JS, French AF, Broughton L, Lin X, Bond SD, Kraberger S, Knox MA. First Detection and Genetic Characterization of Felis catus Papillomavirus Type 11, the First Treisetapapillomavirus Type to Infect Domestic Cats. Animals. 2025; 15(10):1416. https://doi.org/10.3390/ani15101416
Chicago/Turabian StyleMunday, John S., Adrienne F. French, Louisa Broughton, Xiaoxiao Lin, Sarah D. Bond, Simona Kraberger, and Matthew A. Knox. 2025. "First Detection and Genetic Characterization of Felis catus Papillomavirus Type 11, the First Treisetapapillomavirus Type to Infect Domestic Cats" Animals 15, no. 10: 1416. https://doi.org/10.3390/ani15101416
APA StyleMunday, J. S., French, A. F., Broughton, L., Lin, X., Bond, S. D., Kraberger, S., & Knox, M. A. (2025). First Detection and Genetic Characterization of Felis catus Papillomavirus Type 11, the First Treisetapapillomavirus Type to Infect Domestic Cats. Animals, 15(10), 1416. https://doi.org/10.3390/ani15101416

