Melatonin in Male Dromedary Camel (Camelus dromedarius) Seminal Plasma and Its Specific MT1 and MT2 Receptors on Sperm Membranes
Simple Summary
Abstract
1. Introduction
2. Materials and Methods
2.1. Animals and Location
2.2. Semen Collection and Seminal Plasma Preparation
2.3. Climatic Parameters
2.4. Hormone Analyses
2.4.1. Melatonin in Seminal Plasma
2.4.2. Testosterone in Seminal Plasma
2.5. Immunofluorescence Assay
2.6. Western Blotting
2.7. Statistical Analyses
3. Results
3.1. Melatonin and Testosterone Concentrations in Seminal Plasma
3.2. Correlations Between Hormone Levels in Seminal Plasma and Climatic Parameters
3.3. MT1 and MT2 Melatonin Receptors in Spermatozoa
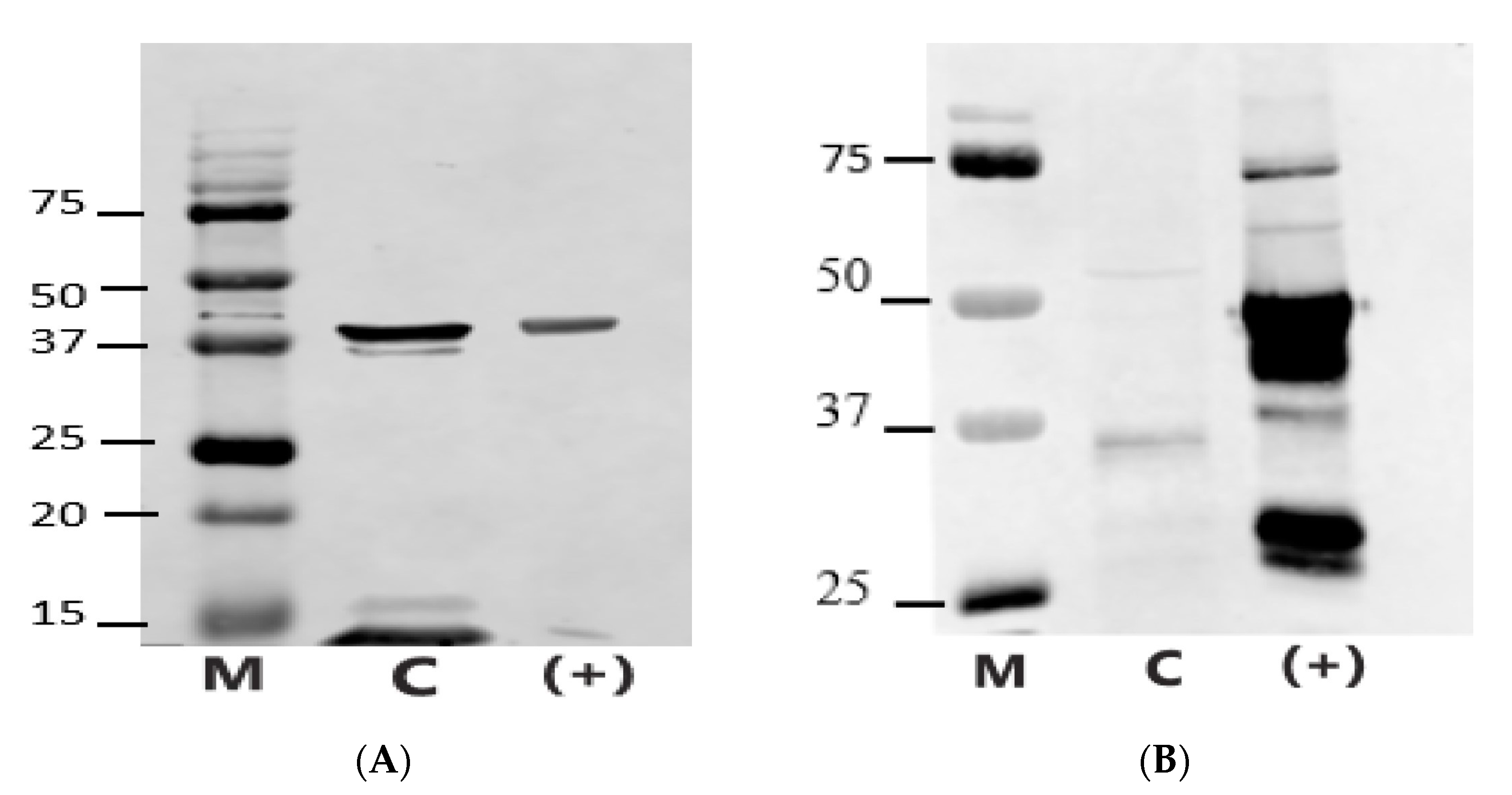
3.4. Melatonin Receptors Identification by Western Blot
4. Discussion
5. Conclusions
Author Contributions
Funding
Institutional Review Board Statement
Informed Consent Statement
Data Availability Statement
Acknowledgments
Conflicts of Interest
References
- Hammadi, M. Caractérisation, Modulation Nutritionnelle et Implication du Système IGF dans la Fonction Sexuelle chez la Chamelle (Camelus dromedarius). Ph.D. Thesis, FUSAGx, Gembloux, Belgium, 2003. [Google Scholar]
- Reiter, J.R.; Tan, D.X.; Rosales-Corral, S.; Manchester, L.C. The Universal Nature, Unequal Distribution and Antioxidant Functions of Melatonin and Its Derivatives. Mini Rev. Med. Chem. 2013, 13, 373–384. [Google Scholar] [PubMed]
- Reiter, R.J. The melatonin rhythm: Both a clock and a calendar. Experientia 1993, 49, 654–859. [Google Scholar] [CrossRef] [PubMed]
- Dubocovich, M.L.; Markowska, M. Functional MT1 and MT2 melatonin receptors in mammals. Endocrine 2005, 27, 101–110. [Google Scholar] [CrossRef] [PubMed]
- El-Allali, K.; Achaaban, M.R.; Vivien-Roels, B.; Bothorel, B.; Tligui, N.S.; Pévet, P. Seasonal variations in the nycthemeral rhythm of plasma melatonin in the camel (Camelus dromedarius). J. Pineal Res. 2005, 39, 121–128. [Google Scholar] [CrossRef]
- Simpson, E.R.; Mahendroo, M.S.; Means, G.D.; Kilgore, M.W.; Hinshelwood, M.M.; Graham-Lorence, S.; Amarneh, B.; Ito, Y.; Fisher, C.R.; Michael, M.D.; et al. Aromatase Cytochrome P450, The Enzyme Responsible for Estrogen Biosynthesis. Endocr. Rev. 1994, 15, 342–355. [Google Scholar]
- Carreau, S.; Silandre, D.; Bois, C.; Bouraima, H.; Galeraud-Denis, I.; Delalande, C. Estrogens: A new player in spermatogenesis. Folia Histochem. Cytobiol. 2007, 45 (Suppl. S1), S5–S10. [Google Scholar] [CrossRef]
- Al-Bulushi, S.; Manjunatha, B.M.; de Graaf, S.P.; Rickard, J.P. Reproductive seasonality of male dromedary camels. Anim. Reprod. Sci. 2019, 202, 10–20. [Google Scholar] [CrossRef]
- Swelum, A.A.A.; Saadeldin, I.M.; Ba-Awadh, H.; Alowaimer, A.N. Effects of melatonin implants on the reproductive performance and endocrine function of camel (Camelus dromedarius) bulls during the non-breeding and subsequent breeding seasons. Theriogenology 2018, 119, 18–27. [Google Scholar] [CrossRef]
- Webster, J.R.; Suttie, J.M.; Veenvliet, B.A.; Manley, T.R.; Littlejohn, R.P. Effect of melatonin implants on secretion of luteinizing hormone in intact and castrated rams. J. Reprod. Fertil. 1991, 92, 21–31. [Google Scholar] [CrossRef]
- Lincoln, G.A. Melatonin regulation of gonadotrophin and prolactin secretion in the ram: The dual site hypothesis. Acta Neurobiol. Exp. 1996, 56, 779–787. [Google Scholar]
- Kokolis, N.; Theodosiadou, E.; Tsantarliotou, M.; Rekkas, C.; Goulas, P.; Smokovitis, A. The effect of melatonin implants on blood testosterone and acrosin activity in spermatozoa of the ram. Andrologia 2000, 32, 107–114. [Google Scholar] [CrossRef] [PubMed]
- Tan, D.X.; Manchester, L.C.; Terron, M.P.; Flores, L.J.; Reiter, R.J. One molecule, many derivatives: A never-ending interaction of melatonin with reactive oxygen and nitrogen species? J. Pineal Res. 2007, 42, 28–42. [Google Scholar] [CrossRef] [PubMed]
- Reiter, R.J.; Tan, D.X.; Manchester, L.C.; Terron, M.P.; Flores, L.J.; Koppisepi, S. Medical implications of melatonin: Receptor-mediated and receptor-independent actions. Adv. Med. Sci. 2007, 52, 11–28. [Google Scholar] [PubMed]
- Casao, A.; Gallego, M.; Abecia, J.A.; Forcada, F.; Pérez-Pé, R.; Muino-Blanco, T.; Cebrian-Perez, J.A. Identification and immunolocalisation of melatonin MT1 and MT2 receptors in Rasa Aragonesa ram spermatozoa. Reprod. Fertil. Dev. 2012, 24, 953–961. [Google Scholar] [CrossRef]
- Carvajal-Serna, M.; Neira-Rivera, E.; Cardozo, J.A.; Grajales-Lombana, H.; Cebrian-Perez, J.A.; Muino-Blanco, T.; Casao, A. Melatonin membrane receptors MT1 and MT2 are expressed in ram spermatozoa from non-seasonal breeds. Trop. Anim. Health Prod. 2020, 52, 2549–2557. [Google Scholar] [CrossRef]
- González-Arto, M.; Vicente-Carrillo, A.; Martínez-Pastor, F.; Fernández-Alegre, E.; Roca, J.; Miró, J.; Rigau, T.; Rodríguez-Gil, J.E.; Pérez-Pé, R.; Muiño-Blanco, T.; et al. Melatonin receptors MT1 and MT2 are expressed in spermatozoa from several seasonal and non-seasonal breeder species. Theriogenology 2016, 86, 1958–1968. [Google Scholar] [CrossRef]
- Faye, B.; Bengoumi, M.; Cleradin, A.; Tabarani, A.; Chilliard, Y. Body condition score in dromedary camel: A tool for management of reproduction. Emir. J. Agric. Sci. 2001, 13, 1–6. [Google Scholar] [CrossRef]
- Padalino, B.; Monaco, D.; Lacalandra, G.M. Male camel behavior and breeding management strategies: How to handle a camel bull during the breeding season? Emir. J. Food Agric. 2015, 27, 338–349. [Google Scholar] [CrossRef]
- Monaco, D.; Fatnassi, M.; Padalino, B.; Aubé, L.; Khorchani, T.; Hammadi, M.; Lacalandra, G.M. Effects of a GnRH administration on testosterone profile, libido and semen parameters of dromedary camel bulls. Res. Vet. Sci. 2015, 102, 212–216. [Google Scholar] [CrossRef]
- Skidmore, J.A.; Morton, K.M.; Billah, M. Artificial insemination in dromedary camels. Anim. Reprod. Sci. 2013, 136, 178–186. [Google Scholar] [CrossRef]
- El-Allali, K.; Sghiri, A.; Bouâouda, H.; Achaâban, M.R.; Ouzir, M.; Bothorel, B.; El Mzibri, M.; El Abbadi, N.; Moutaouakkil, A.; Tibary, A.; et al. Effect of Melatonin Implants during the Non-Breeding Season on the Onset of Ovarian Activity and the Plasma Prolactin in Dromedary Camel. Front. Vet. Sci. 2018, 5, 44. [Google Scholar] [CrossRef] [PubMed]
- Al-Qarawi, A.A.; ElMougy, S.A. Seasonality and the melatonin signal in relation to age as correlated to the sexual cycle of the one-humped male camel (Camelus dromedarius). Biol. Rhythm Res. 2008, 39, 131–142. [Google Scholar] [CrossRef]
- Swelum, A.A.A.; Saadeldin, I.M.; Ba-Awadh, H.; Al-Mutary, M.G.; Alowaimer, A.N. Effect of short artificial lighting and low temperature in housing rooms during non-rutting season on reproductive parameters of male dromedary camels. Theriogenology 2019, 131, 133–139. [Google Scholar] [CrossRef] [PubMed]
- Adamsson, M.; Laike, T.; Morita, T. Annual variation in daily light exposure and circadian change of melatonin and cortisol concentrations at a northern latitude with large seasonal differences in photoperiod length. J. Physiol. Anthropol. 2017, 36, 6. [Google Scholar] [CrossRef]
- Xu, X.; Liu, X.; Ma, S.; Xu, Y.; Guo, X.; Li, D. Association of Melatonin Production with Seasonal Changes, Low Temperature, and Immuno-Responses in Hamsters. Molecules 2018, 23, 703. [Google Scholar] [CrossRef]
- Fatnassi, M.; Padalino, B.; Monaco, D.; Khorchani, T.; Lacalandra, G.M.; Hammadi, M. Evaluation of sexual behavior of housed male camels (Camelus dromedarius) through female parades: Correlation with climatic parameters. Trop. Anim. Health Prod. 2013, 46, 313–321. [Google Scholar] [CrossRef]
- Waheed, M.M.; Ghoneim, I.M.; Alhaider, A.K. Seminal plasma and serum fertility biomarkers in dromedary camels (Camelus dromedarius). Theriogenology 2015, 83, 650–654. [Google Scholar] [CrossRef]
- El-Kon, I.I.; Heleil, B.A.; Mahmoud, S.A. Effect of age and season on the testicular sperm reserve and testosterone profile in camel (Camelus dromedarius). Anim. Reprod. 2011, 84, 68–72. [Google Scholar]
- El-Harairy, M.A.; Attia, K.A. Effect of age, pubertal stage, and season on testosterone concentration in male dromedary camel. Saudi J. Biol. Sci. 2010, 17, 227–230. [Google Scholar] [CrossRef][Green Version]
- Hussein, I.A. Micromorphological and Histochemical Studies on the Seasonal Changes of the Testis of the Adult One-Humped Camel (Camelus dromedarius). Ph.D. Thesis, Cairo University, Cairo, Egypt, 1980. [Google Scholar]
- Johnson, L.; Thompson, D.L. Effect of seasonal changes in Leydig cell number on the volume of smooth endoplasmic reticulum in Leydig cells and intratesticular testosterone content in stallions. J. Reprod. Fertil. 1987, 81, 227–232. [Google Scholar] [CrossRef]
- Agarwal, S.P.; Khanna, N.D. Endocrine profiles of Indian camels under different phases of reproduction. In Proceedings of the UCDEC Workshop, Paris, France, 10–12 September 1990; pp. 77–100. [Google Scholar]
- Agarwal, S.P.; Rai, A.K.; Khanna, N.D. Effect of mating on hormone levels in male camels. Indian Vet. J. 1991, 68, 931–933. [Google Scholar]
- Yagil, R.; Etzion, Z. Hormonal and behavioural patterns in the male camel (Camelus dromedarius). Reproduction 1980, 58, 61–65. [Google Scholar] [CrossRef] [PubMed]
- Tingari, M.D.; Ramos, A.S.; Gaili, E.S.; Rahma, B.A.; Saad, A.H. Morphology of the testis of the one-humped camel in relation to reproductive activity. J. Anat. 1984, 139 Pt 1, 133–143. [Google Scholar] [PubMed]
- Azouz, A.; Ateia, M.Z.; Shawky, H.; Zakaria, A.D.; Farahat, A.A. Hormonal changes during rutting and the non-breeding season in male dromedary camels. In Proceedings of the First International Camel Conference, Dubai, United Arab Emirates, 2–6 February 1992; Allen, W.R., Higgins, A.J., Mayhew, I.G., Snow, D.H., Wade, J.F., Eds.; R & Publications: Dubai, United Arab Emirates, 1992; pp. 169–171. [Google Scholar]
- Pasha, R.H.; Qureshi, A.S.; Rehman, Z.U.; Khamas, W.A. Seasonal anatomical changes in the testis of the one-humped camel: A review. Eur. J. Anat. 2013, 17, 132–141. [Google Scholar]
- Fatnassi, M.; Padalino, B.; Monaco, D.; Aubé, L.; Khorchani, T.; Lacalandra, G.M.; Hammadi, M. Effect of different management systems on rutting behavior and behavioral repertoire of housed Maghrebi male camels (Camelus dromedarius). Trop. Anim. Health Prod. 2014, 46, 861–867. [Google Scholar] [CrossRef]
- Yang, M.; Guan, S.; Tao, J.; Zhu, K.; Lv, D.; Wang, J.; Li, G.; Gao, Y.; Wu, H.; Liu, J.; et al. Melatonin promotes male reproductive performance and increases testosterone synthesis in mammalian Leydig cells. Biol. Reprod. 2021, 104, 1322–1336. [Google Scholar] [CrossRef]
- Casao, A.; Abecia, J.A.; Pérez-Pé, R.; Forcada, F.; Muiño-Blanco, T.; Cebrian-Perez, J.A. Melatonin prevents capacitation and apoptotic-like changes of ram spermatozoa and increases fertility rate. J. Pineal Res. 2010, 48, 39–46. [Google Scholar] [CrossRef]
- Espino, J.; Ortiz, Á.; Bejarano, I.; Lozano, G.M.; Monllor, F.; García, J.F.; Rodriguez, A.B.; Pariente, J.A. Melatonin protects human spermatozoa from apoptosis via melatonin receptor and extracellular signal-regulated kinase-mediated pathways. Fertil. Steril. 2011, 95, 2290–2296. [Google Scholar] [CrossRef]
- Van Vuuren, R.J.J.; Pitout, M.J.; van Aswegen, C.H.; Theron, J.J. Putative melatonin receptor in human spermatozoa. Clin. Biochem. 1992, 25, 125–127. [Google Scholar] [CrossRef]
- Cardenas-Padilla, A.J.; Chavez-Garcia, A.; Jimenez-Trejo, F.; Cruz-Cano, N.B.; Cerbon, M.; Martinez-Torres, M.; Alcantar-Rodriguez, A.; Medrano, A. Sperm melatonin receptors, seminal plasma melatonin and semen freezability in goats. Theriogenology 2024, 225, 98–106. [Google Scholar] [CrossRef]
- Gao, Y.; Zhao, S.; Zhang, Y.; Zhang, Q. Melatonin Receptors: A key mediator in animal reproduction. Vet. Sci. 2022, 9, 309. [Google Scholar] [CrossRef] [PubMed]
- González-Arto, M.; Luna, C.; Pérez-Pé, R.; Muiño-Blanco, T.; Cebrian-Perez, J.A.; Casao, A. New evidence of melatonin receptor contribution to ram sperm functionality. Reprod. Fertil. Dev. 2016, 28, 924–935. [Google Scholar] [CrossRef] [PubMed]
- González-Arto, M.; Aguilar, D.; Gaspar-Torrubia, E.; Gallego, M.; Carvajal-Serna, M.; Herrera-Marcos, L.; Serrano-Blesa, E.; Hamilton, T.; Pérez-Pé, R.; Muiño-Blanco, T.; et al. Melatonin MT1 and MT2 receptors in the ram reproductive tract. Int. J. Mol. Sci. 2017, 18, 662. [Google Scholar] [CrossRef]
- Marie, M.; Anouassi, A. Mating-Induced Luteinizing Hormone Surge and Ovulation in the Female Camel (Camelus Dromedarius). Biol. Reprod. 1986, 35, 792–798. [Google Scholar] [CrossRef]
- Fatnassi, M.; Khorchani, T.; Trimeche, A.; Hammadi, M. A Study of Variation in Semen Quality of Dromedary Camel Bulls. J. Camel Res. Prod. 2017, 1, 30–39. [Google Scholar]
- Ainani, H.; Chhaibi, H.; Achaâban, M.R.; Piro, M.; Ouassat, M.; Tibary, A.; Simonneaux, V. Induced-ovulation in female dromedary camel involves kisspeptin neuron activation by β nerve growth factor. Biol. Reprod. 2022, 107, 1490–1502. [Google Scholar] [CrossRef]
- Du Plessis, S.S.; Hagenaar, K.; Lampiao, F. The in vitro effects of melatonin on human sperm function and its scavenging activities on NO and ROS. Andrologia 2010, 42, 112–116. [Google Scholar] [CrossRef]
- Deng, S.L.; Wang, Z.P.; Jin, C.; Kang, X.L.; Batool, A.; Zhang, Y.; Li, X.Y.; Wang, X.X.; Chen, S.R.; Chang, C.S.; et al. Melatonin promotes sheep Leydig cell testosterone secretion in a co-culture with Sertoli cells. Theriogenology 2017, 106, 170–177. [Google Scholar] [CrossRef]
- Liu, W.; Chen, Z.; Li, R.; Zheng, M.; Pang, X.; Wen, A.; Yang, B.; Wang, S. High and low dose of luzindole or 4-phenyl-2-propionamidotetralin (4-P-PDOT) reverse bovine granulosa cell response to melatonin. PeerJ 2023, 11, e14612. [Google Scholar] [CrossRef]
- Fujinoki, M. Melatonin-enhanced hyperactivation of hamster sperm. Reproduction 2008, 136, 533. [Google Scholar] [CrossRef]
- Cogé, F.; Guenin, S.; Fery, I.; Migaud, M.; Devavry, S.; Slugocki, C.; Legros, C.; Ouvry, C.; Cohen, W.; Renault, N.; et al. The end of a myth: Cloning and characterization of the ovine melatonin MT2 receptor. Br. J. Pharmacol. 2009, 158, 1248–1262. [Google Scholar] [CrossRef] [PubMed]
- De Pauw, I.M.C.; Van Soom, A.; Mintiens, K.; Verberckmoes, S.; De Kruif, A. In vitro survival of bovine spermatozoa stored at room temperature under epididymal conditions. Theriogenology 2003, 59, 1093–1107. [Google Scholar] [CrossRef]







| Season | Months | Daylength (h) | Temperature (°C) | Humidity (%) |
|---|---|---|---|---|
| S1 (2017–2018) | N–D | 10.04 ± 0.05 | 14.23 ± 0.46 b | 61.92 ± 2.11 a |
| J | 10.02 ± 0.01 | 13.60 ± 0.35 a | 69.43± 1.71 a | |
| F | 10.80 ± 0.06 | 12.8 ± 0.27 b | 68.80 ± 2.85 a | |
| M | 11.78 ± 0.07 | 18.0 ± 0.61 a | 56.08 ± 1.62 a | |
| Mean | 10.53 ± 0.77 | 14.75 ± 0.29 B | 62.58 ± 1.31 A | |
| S2 (2018–2019) | N–D | 9.99 ± 0.04 | 15.15 ± 0.33 a | 59.49 ± 1.50 a |
| J | 10.12 ± 0.02 | 10.97 ± 0.33 b | 68.84 ± 1.91 a | |
| F | 10.79 ± 0.06 | 12.22 ± 0.41 b | 66.12 ± 2.26 a | |
| M | 11.77 ± 0.06 | 15.92 ± 0.39 b | 62.47± 2.27 a | |
| Mean | 10.53 ± 0.76 | 14.75 ± 0.29 B | 63.10 ± 1.00 A | |
| S3 (2019–2020) | N–D | 9.99 ± 0.04 | 15.61 ± 0.36 a | 52.61 ± 1.58 b |
| J | 10.10 ± 0.03 | 13.97 ± 0.35 a | 59.28 ± 0.67 b | |
| F | 10.79 ± 0.06 | 14.8 ± 0.39 a | 59.36 ± 2.04 b | |
| M | 11.80 ± 0.06 | 15.86 ± 0.27 b | 46.68 ± 1.92 b | |
| Mean | 10.54 ± 0.06 | 15.24 ± 0.19 A | 54.03 ± 1.10 B |
| Parameters | Daylength | Temperature | Humidity | |
|---|---|---|---|---|
| Melatonin | r | −0.174 | −0.125 | 0.218 |
| P | 0.0688 | 0.2935 | 0.0675 | |
| Testosterone | r | −0.256 | −0.130 | 0.215 |
| P | 0.0089 | 0.2873 | 0.0776 |
Disclaimer/Publisher’s Note: The statements, opinions and data contained in all publications are solely those of the individual author(s) and contributor(s) and not of MDPI and/or the editor(s). MDPI and/or the editor(s) disclaim responsibility for any injury to people or property resulting from any ideas, methods, instructions or products referred to in the content. |
© 2025 by the authors. Licensee MDPI, Basel, Switzerland. This article is an open access article distributed under the terms and conditions of the Creative Commons Attribution (CC BY) license (https://creativecommons.org/licenses/by/4.0/).
Share and Cite
Doghbri, L.; Carvajal-Serna, M.; Atigui, M.; Casao, A.; Peña-Delgado, V.; Seddik, M.-M.; Dbara, M.; Pérez-Pé, R.; Hammadi, M. Melatonin in Male Dromedary Camel (Camelus dromedarius) Seminal Plasma and Its Specific MT1 and MT2 Receptors on Sperm Membranes. Animals 2025, 15, 83. https://doi.org/10.3390/ani15010083
Doghbri L, Carvajal-Serna M, Atigui M, Casao A, Peña-Delgado V, Seddik M-M, Dbara M, Pérez-Pé R, Hammadi M. Melatonin in Male Dromedary Camel (Camelus dromedarius) Seminal Plasma and Its Specific MT1 and MT2 Receptors on Sperm Membranes. Animals. 2025; 15(1):83. https://doi.org/10.3390/ani15010083
Chicago/Turabian StyleDoghbri, Lamia, Melissa Carvajal-Serna, Moufida Atigui, Adriana Casao, Victoria Peña-Delgado, Mabrouk-Mouldi Seddik, Mohamed Dbara, Rosaura Pérez-Pé, and Mohamed Hammadi. 2025. "Melatonin in Male Dromedary Camel (Camelus dromedarius) Seminal Plasma and Its Specific MT1 and MT2 Receptors on Sperm Membranes" Animals 15, no. 1: 83. https://doi.org/10.3390/ani15010083
APA StyleDoghbri, L., Carvajal-Serna, M., Atigui, M., Casao, A., Peña-Delgado, V., Seddik, M.-M., Dbara, M., Pérez-Pé, R., & Hammadi, M. (2025). Melatonin in Male Dromedary Camel (Camelus dromedarius) Seminal Plasma and Its Specific MT1 and MT2 Receptors on Sperm Membranes. Animals, 15(1), 83. https://doi.org/10.3390/ani15010083

