Molecular Evolution of the Ovgp1 Gene in the Subfamily Murinae
Simple Summary
Abstract
1. Introduction
2. Materials and Methods
- Ethanol-preserved material
- Samples obtained from animals in vivo
2.1. Phylogenetic Analysis
2.1.1. Genomic DNA Extraction
2.1.2. PCR Primer Design
2.1.3. PCR and Electrophoresis
2.1.4. Phylogenetic Tree Construction and Genetic Distance Analysis
2.2. Rattus Norvegicus Oviductal Analysis
2.2.1. Oviductal RNA Extraction and In Vitro cDNA Synthesis
2.2.2. RT-qPCR Amplification
2.2.3. Proteomic Analysis
2.2.4. Immunohistochemistry
3. Results
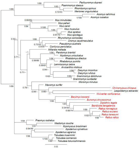
3.1. Phylogenetic Analysis of the Ovgp1 Gene in the Subfamily Murinae
3.2. The Rat Oviduct Expresses Other Chitinases Besides Ovgp1
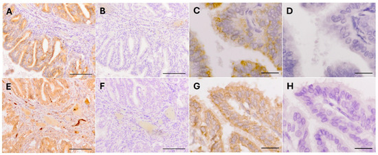
3.3. Immunohistochemistry
4. Discussion
4.1. Molecular Evolution of the Ovgp1 Gene in the Subfamily Murinae
4.2. Members of the GH18 Family of Chitinases with Expression in the Rat Oviduct
5. Conclusions
Supplementary Materials
Author Contributions
Funding
Institutional Review Board Statement
Informed Consent Statement
Data Availability Statement
Acknowledgments
Conflicts of Interest
References
- Leese, H.J. The formation and function of oviduct fluid. J. Reprod. Fertil. 1988, 82, 843–856. [Google Scholar] [CrossRef] [PubMed]
- Leese, H.J.; Tay, J.I.; Reischl, J.; Downing, S.J. Formation of Fallopian tubal fluid: Role of a neglected epithelium. Reproduction 2001, 121, 339–346. [Google Scholar] [CrossRef] [PubMed]
- Coy, P.; Avilés, M.; Latorre Reviriego, R. Fallopian tube/oviduct. Encycl. Reprod. 2018, 2, 276–281. [Google Scholar] [CrossRef]
- Rodríguez-Alonso, B.; Maillo, V.; Acuña, O.S.; López-Úbeda, R.; Torrecillas, A.; Simintiras, C.A.; Sturmey, R.; Avilés, M.; Lonergan, P.; Rizos, D. Spatial and Pregnancy-Related Changes in the Protein, Amino Acid, and Carbohydrate Composition of Bovine Oviduct Fluid. Int. J. Mol. Sci. 2020, 21, 1681. [Google Scholar] [CrossRef]
- Marins, N.; Ferst, J.G.; Goulart, R.S.; da Silveira, J.C. The role of the oviduct and extracellular vesicles during early embryo development in bovine. Anim. Reprod. 2022, 19, e20220015. [Google Scholar] [CrossRef]
- Mahé, C.; Lavigne, R.; Com, E.; Pineau, C.; Locatelli, Y.; Zlotkowska, A.M.; Almiñana, C.; Tsikis, G.; Mermillod, P.; Schoen, J.; et al. Spatiotemporal profiling of the bovine oviduct fluid proteome around the time of ovulation. Sci. Rep. 2022, 12, 4135. [Google Scholar] [CrossRef]
- Desouza, M.M.; Murray, M.K. An estrogen-dependent secretory protein, which shares identity with chitinases, is expressed in a temporally and regionally specific manner in the sheep oviduct at the time of fertilisation and embryo development. Endocrinology 1995, 136, 2485–2496. [Google Scholar] [CrossRef]
- Buhi, W.C.; Alvarez, I.M.; Choi, I.; Cleaver, B.D.; Simmen, F.A. Molecular cloning and characterization of an estrogen-dependent porcine oviductal secretory glycoprotein. Biol. Reprod. 1996, 55, 1305–1314. [Google Scholar] [CrossRef]
- Jaffe, R.C.; Arias, E.B.; O’Day-Bowman, M.B.; Donnelly, K.M.; Mavrogianis, P.A.; Verhage, H.G. Regional distribution and hormonal control of estrogen-dependent oviduct-specific glycoprotein messenger ribonucleic acid in the baboon (Papio anubis). Biol. Reprod. 1996, 55, 421–426. [Google Scholar] [CrossRef]
- Warren, W.C.; Hillier, L.W.; Marshall Graves, J.A.; Birney, E.; Ponting, C.P.; Grützner, F.; Belov, K.; Miller, W.; Clarke, L.; Chinwalla, A.T.; et al. Genome analysis of the platypus reveals unique signatures of evolution. Nature 2008, 455, 256. [Google Scholar] [CrossRef][Green Version]
- Mikkelsen, T.S.; Wakefield, M.J.; Aken, B.; Amemiya, C.T.; Chang, J.L.; Duke, S.; Garber, M.; Gentles, A.J.; Goodstadt, L.; Heger, A.; et al. Genome of the marsupial Monodelphis domestica reveals innovation in non-coding sequences. Nature 2007, 447, 167–177. [Google Scholar] [CrossRef] [PubMed]
- Donnelly, K.M.; Fazleabas, A.T.; Verhage, H.G.; Mavrogianis, P.A.; Jaffe, R.C. Cloning of a recombinant complementary DNA to a baboon (Papio anubis) estradiol-dependent oviduct-specific glycoprotein. Mol. Endocrinol. 1991, 5, 356–364. [Google Scholar] [CrossRef] [PubMed]
- Arias, E.B.; Verhage, H.G.; Jaffe, R.C. Complementary deoxyribonucleic acid cloning and molecular characterization of an estrogen-dependent human oviductal glycoprotein. Biol. Reprod. 1994, 51, 685–694. [Google Scholar] [CrossRef] [PubMed]
- Mugnier, S.; Kervella, M.; Douet, C.; Canepa, S.; Pascal, G.; Deleuze, S.; Duchamp, G.; Monget, P.; Goudet, G. The secretions of oviduct epithelial cells increase the equine in vitro fertilization rate: Are osteopontin, atrial natriuretic peptide A and oviductin involved? Reprod. Biol. Endocrinol. 2009, 7, 129. [Google Scholar] [CrossRef] [PubMed]
- Tian, X.; Pascal, G.; Fouchécourt, S.; Pontarotti, P.; Monget, P. Gene birth, death, and divergence: The different scenarios of reproduction-related gene evolution. Biol. Reprod. 2009, 80, 616–621. [Google Scholar] [CrossRef]
- Moros-Nicolás, C.; Fouchécourt, S.; Goudet, G.; Monget, P. Genes Encoding Mammalian Oviductal Proteins Involved in Fertilisation are Subjected to Gene Death and Positive Selection. J. Mol. Evol. 2018, 86, 655–667. [Google Scholar] [CrossRef]
- Goudet, G.; Mugnier, S.; Callebaut, I.; Monget, P. Phylogenetic analysis and identification of pseudogenes reveal a progressive loss of zona pellucida genes during evolution of vertebrates. Biol. Reprod. 2008, 78, 796–806. [Google Scholar] [CrossRef]
- Feng, J.M.; Tian, H.F.; Hu, Q.M.; Meng, Y.; Xiao, H.B. Evolution and multiple origins of zona pellucida genes in vertebrates. Biol. Open 2018, 7, bio036137. [Google Scholar] [CrossRef]
- Killingbeck, E.E.; Swanson, W.J. Egg coat proteins across metazoan evolution. Curr. Top. Dev. Biol. 2018, 130, 443–488. [Google Scholar] [CrossRef]
- Singh, R.S.; Kulathinal, R.J. Sex gene pool evolution and speciation: A new paradigm. Genes. Genet. Syst. 2000, 75, 119–130. [Google Scholar] [CrossRef][Green Version]
- Swanson, W.J.; Vacquier, V.D. The rapid evolution of reproductive proteins. Nat. Rev. Genet. 2002, 3, 137–144. [Google Scholar] [CrossRef] [PubMed]
- Turner, L.M.; Hoekstra, H.E. Causes and consequences of the evolution of reproductive proteins. Int. J. Dev. Biol. 2008, 52, 769–780. [Google Scholar] [CrossRef] [PubMed]
- Vacquier, V.D. Evolution of gamete recognition proteins. Science 1998, 281, 1995–1998. [Google Scholar] [CrossRef] [PubMed]
- Meslin, C.; Laurin, M.; Callebaut, I.; Druart, X.; Monget, P. Evolution of species-specific major seminal fluid proteins in placental mammals by gene death and positive selection. Contrib. Zool. 2015, 84, 217–235. [Google Scholar] [CrossRef]
- Makałowski, W.; Boguski, M.S. Evolutionary parameters of the transcribed mammalian genome: An analysis of 2,820 orthologous rodent and human sequences. Proc. Natl. Acad. Sci. USA 1998, 95, 9407–9412. [Google Scholar] [CrossRef]
- Bodmer, M.; Ashburner, M. Conservation and change in the DNA sequences coding for alcohol dehydrogenase in sibling species of Drosophila. Nature 1984, 309, 425–430. [Google Scholar] [CrossRef]
- Hellberg, M.E.; Vacquier, V.D. Rapid evolution of fertilisation selectivity and lysin cDNA sequences in teguline gastropods. Mol. Biol. Evol. 1999, 16, 839–848. [Google Scholar] [CrossRef]
- Li, W.H.; Gojobori, T.; Nei, M. Pseudogenes as a paradigm of neutral evolution. Nature 1981, 292, 237–239. [Google Scholar] [CrossRef]
- Claw, K.G.; George, R.D.; Swanson, W.J. Detecting coevolution in mammalian sperm-egg fusion proteins. Mol. Reprod. Dev. 2014, 81, 531–538. [Google Scholar] [CrossRef]
- Araki, Y.; Nohara, M.; Yoshida-Komiya, H.; Kuramochi, T.; Ito, M.; Hoshi, H.; Shinkai, Y.; Sendai, Y. Effect of a null mutation of the oviduct-specific glycoprotein gene on mouse fertilisation. Biochem. J. 2003, 374 Pt 2, 551–557. [Google Scholar] [CrossRef]
- Honda, A.; Siruntawineti, J.; Baba, T. Role of acrosomal matrix proteases in sperm–zona pellucida interactions. Hum. Reprod. Update 2002, 8, 405–412. [Google Scholar] [CrossRef] [PubMed]
- Kawano, N.; Kang, W.; Yamashita, M.; Koga, Y.; Yamazaki, T.; Hata, T.; Miyado, K.; Baba, T. Mice lacking two sperm serine proteases, ACR and PRSS21, are subfertile, but the mutant sperm are infertile in vitro. Biol. Reprod. 2010, 83, 359–369. [Google Scholar] [CrossRef] [PubMed]
- Camacho, C.; Boratyn, G.M.; Joukov, V.; Vera Alvarez, R.; Madden, T.L. ElasticBLAST: Accelerating sequence search via cloud computing. BMC Bioinform. 2023, 24, 117. [Google Scholar] [CrossRef] [PubMed]
- Sayers, E.W.; Cavanaugh, M.; Clark, K.; Pruitt, K.D.; Sherry, S.T.; Yankie, L.; Karsch-Mizrachi, I. GenBank 2024 Update. Nucleic Acids Res. 2024, 52, D134–D137. [Google Scholar] [CrossRef] [PubMed]
- Harrison, P.W.; Amode, M.R.; Austine-Orimoloye, O.; Azov, A.G.; Barba, M.; Barnes, I.; Becker, A.; Bennett, R.; Berry, A.; Bhai, J.; et al. Ensembl 2024. Nucleic Acids Res. 2024, 52, D891–D899. [Google Scholar] [CrossRef]
- Gouy, M.; Guindon, S.; Gascuel, O. SeaView version 4: A multiplatform graphical user interface for sequence alignment and phylogenetic tree building. Mol. Biol. Evol. 2010, 27, 221–224. [Google Scholar] [CrossRef]
- Guindon, S.; Gascuel, O. A Simple, Fast, and Accurate Algorithm to Estimate Large Phylogenies by Maximum Likelihood. Syst. Biol. 2003, 52, 696–704. [Google Scholar] [CrossRef]
- Ronquist, F.; Teslenko, M.; Van Der Mark, P.; Ayres, D.L.; Darling, A.; Höhna, S.; Larget, B.; Liu, L.; Suchard, M.A.; Huelsenbeck, J.P. MrBayes 3.2: Efficient Bayesian Phylogenetic Inference and Model Choice Across a Large Model Space. Syst. Biol. 2012, 61, 539–542. [Google Scholar] [CrossRef]
- Lefort, V.; Longueville, J.E.; Gascuel, O. SMS: Smart model selection in PhyML. Mol. Biol. Evol. 2017, 34, 2422–2424. [Google Scholar] [CrossRef]
- Rambaut, A.; Drummond, A.J.; Xie, D.; Baele, G.; Suchard, M.A. Posterior Summarization in Bayesian Phylogenetics Using Tracer 1.7. Syst. Biol. 2018, 67, 901–904. [Google Scholar] [CrossRef]
- Rambaut, A. v1. 4. 2012. Available online: http://tree.bio.ed.ac.uk/software/FigTree/ (accessed on 9 May 2022).
- Georgiou, A.S.; Sostaric, E.; Wong, C.H.; Snijders, A.P.L.; Wright, P.C.; Moore, H.D.; Fazeli, A. Gametes alter the oviductal secretory proteome. Mol. Cell. Proteom. 2005, 4, 1785–1796. [Google Scholar] [CrossRef] [PubMed]
- Lamy, J.; Liere, P.; Pianos, A.; Aprahamian, F.; Mermillod, P.; Saint-Dizier, M. Steroid hormones in bovine oviductal fluid during the estrous cycle. Theriogenology 2016, 86, 1409–1420. [Google Scholar] [CrossRef] [PubMed]
- Mondéjar, I.; Acuña, O.S.; Izquierdo-Rico, M.J.; Coy, P.; Avilés, M. The oviduct: Functional genomic and proteomic approach. Reprod Domest Anim. 2012, 47 (Suppl. 3), 22–29. [Google Scholar] [CrossRef]
- Smits, K.; Nelis, H.; Van Steendam, K.; Govaere, J.; Roels, K.; Ververs, C.; Leemans, B.; Wydooghe, E.; Deforce, D.; Van Soom, A. Proteome of equine oviducal fluid: Effects of ovulation and pregnancy. Reprod. Fertil. Dev. 2017, 29, 1085–1095. [Google Scholar] [CrossRef]
- Soleilhavoup, C.; Riou, C.; Tsikis, G.; Labas, V.; Harichaux, G.; Kohnke, P.; Reynaud, K.; De Graaf, S.P.; Gerard, N.; Druart, X. Proteomes of the Female Genital Tract During the Oestrous Cycle. Mol. Cell. Proteom. 2016, 15, 93–108. [Google Scholar] [CrossRef]
- Yu, H.; Reiser, J.; Besenfelder, U.; Razzazi-Fazeli, E.; Bergquist, J.; Brem, G.; Artemenko, K.; Mayrhofer, C. Exploring the oviductal fluid proteome by a lectin-based affinity approach. Proteomics 2016, 16, 2962–2966. [Google Scholar] [CrossRef]
- Pradeep, M.A.; Jagadeesh, J.; De, A.K.; Kaushik, J.K.; Malakar, D.; Kumar, S.; Dang, A.K.; Das, S.K.; Mohanty, A.K. Purification, sequence characterization and effect of goat oviduct-specific glycoprotein on in vitro embryo development. Theriogenology 2011, 75, 1005–1015. [Google Scholar] [CrossRef]
- McCauley, T.C.; Buhi, W.C.; Wu, G.M.; Mao, J.; Caamaño, J.N.; Didion, B.A.; Day, B.N. Oviduct-specific glycoprotein modulates sperm-zona binding and improves efficiency of porcine fertilisation in vitro. Biol. Reprod. 2003, 69, 828–834. [Google Scholar] [CrossRef]
- Martus, N.S.; Verhage, H.G.; Mavrogianis, P.A.; Thibodeaux, J.K. Enhancement of bovine oocyte fertilisation in vitro with a bovine oviductal specific glycoprotein. J Reprod Fertil. 1998, 113, 323–329. [Google Scholar] [CrossRef][Green Version]
- Choudhary, S.; Janjanam, J.; Kumar, S.; Kaushik, J.K.; Mohanty, A.K. Structural and functional characterization of buffalo oviduct-specific glycoprotein (OVGP1) expressed during estrous cycle. Biosci. Rep. 2019, 39, BSR20191501. [Google Scholar] [CrossRef]
- Saccary, L.; She, Y.M.; Oko, R.; Kan, F.W.K. Hamster oviductin regulates tyrosine phosphorylation of sperm proteins during in vitro capacitation. Biol. Reprod. 2013, 89, 38. [Google Scholar] [CrossRef] [PubMed]
- Schmidt, A.; Mavrogianis, P.A.; O’Day-Bowman, M.B.; Jaffe, R.C.; Verhage, H.G. Characterization of antibodies generated against a conserved portion of oviductal glycoprotein (OGP) and endogenous hamster OGP and their ability to decrease sperm binding to the zona pellucida in vitro. Am. J. Reprod. Immunol. 1997, 38, 377–383. [Google Scholar] [CrossRef]
- Yang, X.; Zhao, Y.; Yang, X.; Kan, F.W.K. Recombinant hamster oviductin is biologically active and exerts positive effects on sperm functions and sperm-oocyte binding. PLoS ONE 2015, 10, e0123003. [Google Scholar] [CrossRef]
- O’Day-Bowman, M.B.; Mavrogianis, P.A.; Reuter, L.M.; Johnson, D.E.; Fazleabas, A.T.; Verhage, H.G. Association of oviduct-specific glycoproteins with human and baboon (Papio anubis) ovarian oocytes and enhancement of human sperm binding to human hemizonae following in vitro incubation. Biol. Reprod. 1996, 54, 60–69. [Google Scholar] [CrossRef]
- Zhao, Y.; Yang, X.; Jia, Z.; Reid, R.L.; Leclerc, P.; Kan, F.W.K. Recombinant human oviductin regulates protein tyrosine phosphorylation and acrosome reaction. Reproduction 2016, 152, 561–573. [Google Scholar] [CrossRef]
- Yamatoya, K.; Kurosawa, M.; Hirose, M.; Miura, Y.; Taka, H.; Nakano, T.; Hasegawa, A.; Kagami, K.; Yoshitake, H.; Goto, K.; et al. The fluid factor OVGP1 provides a significant oviductal microenvironment for the reproductive process in golden hamster. Biol. Reprod. 2024, 110, 465–475, Erratum in Biol. Reprod. 2024, 110, 642. [Google Scholar] [CrossRef]
- Balastegui-Alarcón, M. Estudio de las Implicaciones Funcionales de la Proteína Oviductina en la Fertilidad y el Desarrollo Embrionario en Hámster Dorado y Conejo Utilizando la Tecnología CRISPR-Cas9. Ph.D. Thesis, Universidad de Murcia, Murcia, Spain, 2023. Available online: https://digitum.um.es/digitum/handle/10201/134723 (accessed on 10 November 2023).
- Swanson, W.J.; Yang, Z.; Wolfner, M.F.; Aquadro, C.F. Positive Darwinian selection drives the evolution of several female reproductive proteins in mammals. Proc. Natl. Acad. Sci. USA 2001, 98, 2509–2514. [Google Scholar] [CrossRef]
- Aghová, T.; Kimura, Y.; Bryja, J.; Dobigny, G.; Granjon, L.; Kergoat, G.J. Fossils know it best: Using a new set of fossil calibrations to improve the temporal phylogenetic framework of murid rodents (Rodentia: Muridae). Mol. Phylogenet. Evol. 2018, 128, 98–111. [Google Scholar] [CrossRef]
- Rowe, K.C.; Achmadi, A.S.; Fabre, P.H.; Schenk, J.J.; Steppan, S.J.; Esselstyn, J.A. Oceanic islands of Wallacea as a source for dispersal and diversification of murine rodents. J. Biogeogr. 2019, 46, 2752–2768. [Google Scholar] [CrossRef]
- Stetson, I.; Izquierdo-Rico, M.J.; Moros, C.; Chevret, P.; Lorenzo, P.L.; Ballesta, J.; Rebollar, P.G.; Gutiérrez-Gallego, R.; Avilés, M. Rabbit zona pellucida composition: A molecular, proteomic and phylogenetic approach. J. Proteom. 2012, 75, 5920–5935. [Google Scholar] [CrossRef]
- Moros-Nicolás, C.; Leza, A.; Chevret, P.; Guillén-Martínez, A.; González-Brusi, L.; Boué, F.; Lopez-Bejar, M.; Ballesta, J.; Avilés, M.; Izquierdo-Rico, M.J. Analysis of ZP1 gene reveals differences in zona pellucida composition in carnivores. Reprod. Fertil. Dev. 2018, 30, 272–285. [Google Scholar] [CrossRef] [PubMed]
- Moros-Nicolás, C.; Chevret, P.; Izquierdo-Rico, M.J.; Holt, W.V.; Esteban-Díaz, D.; López-Béjar, M.; Martínez-Nevado, E.; Nilsson, M.A.; Ballesta, J.; Avilés, M. Composition of marsupial zona pellucida: A molecular and phylogenetic approach. Reprod. Fertil. Dev. 2018, 30, 721–733. [Google Scholar] [CrossRef] [PubMed]
- Moros-Nicolás, C.; Chevret, P.; Jiménez-Movilla, M.; Algarra, B.; Cots-Rodríguez, P.; González-Brusi, L.; Avilés, M.; Izquierdo-Rico, M.J. New Insights into the Mammalian Egg Zona Pellucida. Int. J. Mol. Sci. 2021, 22, 3276. [Google Scholar] [CrossRef] [PubMed]
- Izquierdo-Rico, M.J.; Moros-Nicolás, C.; Pérez-Crespo, M.; Laguna-Barraza, R.; Gutiérrez-Adán, A.; Veyrunes, F.; Ballesta, J.; Laudet, V.; Chevret, P.; Avilés, M. ZP4 Is Present in Murine Zona Pellucida and Is Not Responsible for the Specific Gamete Interaction. Front. Cell. Dev. Biol. 2021, 8, 626679. [Google Scholar] [CrossRef]
- Malette, B.; Paquette, Y.; Merlen, Y.; Bleau, G. Oviductins possess chitinase- and mucin-like domains: A lead in the search for the biological function of these oviduct-specific ZP-associating glycoproteins. Mol. Reprod. Dev. 1995, 41, 384–397. [Google Scholar] [CrossRef]
- Huang, Q.S.; Xie, X.L.; Liang, G.; Gong, F.; Wang, Y.; Wei, X.Q.; Wang, Q.; Ji, Z.L.; Chen, Q.X. The GH18 family of chitinases: Their domain architectures, functions and evolutions. Glycobiology 2012, 22, 23–34. [Google Scholar] [CrossRef]
- Shuhui, L.; Mok, Y.K.; Wong, W.S.F. Role of Mammalian Chitinases in Asthma. Int. Arch. Allergy Immunol. 2009, 149, 369–377. [Google Scholar] [CrossRef]
- Bussink, A.P.; Speijer, D.; Aerts, J.M.F.G.; Boot, R.G. Evolution of Mammalian Chitinase(-Like) Members of Family 18 Glycosyl Hydrolases. Genetics 2007, 177, 959–970. [Google Scholar] [CrossRef]
- Funkhouser, J.D.; Aronson, N.N. Chitinase family GH18: Evolutionary insights from the genomic history of a diverse protein family. BMC Evol. Biol. 2007, 7, 96. [Google Scholar] [CrossRef]
- Hussain, M.; Wilson, J.B. New Paralogues and Revised Time Line in the Expansion of the Vertebrate GH18 Family. J. Mol. Evol. 2013, 76, 240–260. [Google Scholar] [CrossRef]
- Sutherland, T.E. Chitinase-like proteins as regulators of innate immunity and tissue repair: Helpful lessons for asthma? Biochem. Soc. Trans. 2018, 46, 141–151. [Google Scholar] [CrossRef] [PubMed]
- Roberson, E.C.; Battenhouse, A.M.; Garge, R.K.; Tran, N.K.; Marcotte, E.M.; Wallingford, J.B. Spatiotemporal transcriptional dynamics of the cycling mouse oviduct. Dev. Biol. 2021, 476, 240–248. [Google Scholar] [CrossRef] [PubMed]
- Persichetti, E.; Klein, K.; Paciotti, S.; Lecointe, K.; Balducci, C.; Franken, S.; Duvet, S.; Matzner, U.; Roberti, R.; Hartmann, D.; et al. Lysosomal di-N-acetylchitobiase-deficient mouse tissues accumulate Man2GlcNAc2 and Man3GlcNAc2. Biochim. Biophys. Acta 2012, 1822, 1137–1146. [Google Scholar] [CrossRef] [PubMed]
- Uhlén, M.; Fagerberg, L.; Hallström, B.M.; Lindskog, C.; Oksvold, P.; Mardinoglu, A.; Sivertsson, Å.; Kampf, C.; Sjöstedt, E.; Asplund, A.; et al. Tissue-based map of the human proteome. Science 2015, 347, 1260419. [Google Scholar] [CrossRef]
- Kzhyshkowska, J.; Mamidi, S.; Gratchev, A.; Kremmer, E.; Schmuttermaier, C.; Krusell, L.; Haus, G.; Utikal, J.; Schledzewski, K.; Scholtze, J.; et al. Novel stabilin-1 interacting chitinase-like protein (SI-CLP) is up-regulated in alternatively activated macrophages and secreted via lysosomal pathway. Blood 2006, 107, 3221–3228. [Google Scholar] [CrossRef]
- Marey, M.A.; Liu, J.; Kowsar, R.; Haneda, S.; Matsui, M.; Sasaki, M.; Shimizu, T.; Hayakawa, H.; Wijayagunawardane, M.P.; Hussein, F.M.; et al. Bovine oviduct epithelial cells downregulate phagocytosis of sperm by neutrophils: Prostaglandin E2 as a major physiological regulator. Reproduction 2013, 147, 211–219. [Google Scholar] [CrossRef]
- Marey, M.A.; Matsukawa, H.; Sasaki, M.; Ezz, M.A.; Yousef, M.S.; Takahashi, K.I.; Miyamoto, A. Bovine oviduct epithelial cells suppress the phagocytic activity of neutrophils towards sperm but not for bacteria in vitro: Immunofluorescence and electron microscopic observations. Histol. Histopathol. 2020, 35, 589–597. [Google Scholar] [CrossRef]
- Gianfrancesco, F.; Musumeci, S. The evolutionary conservation of the human chitotriosidase gene in rodents and primates. Cytogenet. Genome Res. 2004, 105, 54–56. [Google Scholar] [CrossRef]
- Sklepkiewicz, P.; Dymek, B.A.; Mlacki, M.; Koralewski, R.; Mazur, M.; Nejman-Gryz, P.; Korur, S.; Zagozdzon, A.; Rymaszewska, A.; von der Thüsen, J.H.; et al. Inhibition of CHIT1 as a novel therapeutic approach in idiopathic pulmonary fibrosis. Eur. J. Pharmacol. 2022, 919, 174792. [Google Scholar] [CrossRef]
- Hollak, C.E.; van Weely, S.; van Oers, M.H.; Aerts, J.M. Marked elevation of plasma chitotriosidase activity. A novel hallmark of Gaucher disease. J Clin Investig. 1994, 93, 1288–1292. [Google Scholar] [CrossRef]
- Boot, R.G.; Renkema, G.H.; Strijland, A.; van Zonneveld, A.J.; Aerts, J.M. Cloning of a cDNA encoding chitotriosidase, a human chitinase produced by macrophages. J. Biol. Chem. 1995, 270, 26252–26256. [Google Scholar] [CrossRef] [PubMed]
- Roslind, A.; Johansen, J.S. YKL-40: A novel marker shared by chronic inflammation and oncogenic transformation. Methods Mol. Biol. 2009, 511, 159–184. [Google Scholar] [CrossRef] [PubMed]
- Baldarelli, R.M.; Smith, C.L.; Ringwald, M.; Richardson, J.E.; Bult, C.J.; Mouse Genome Informatics Group. Mouse Genome Informatics: An integrated knowledgebase system for the laboratory mouse. Genetics 2024, 227, iyae031. [Google Scholar] [CrossRef]
- Palmer, D.J.; Kelly, V.C.; Smit, A.M.; Kuy, S.; Knight, C.G.; Cooper, G.J. Human colostrum: Identification of minor proteins in the aqueous phase by proteomics. Proteomics 2006, 6, 2208–2216. [Google Scholar] [CrossRef]
- Ohno, M.; Kimura, M.; Miyazaki, H.; Okawa, K.; Onuki, R.; Nemoto, C.; Tabata, E.; Wakita, S.; Kashimura, A.; Sakaguchi, M.; et al. Acidic mammalian chitinase is a proteases-resistant glycosidase in mouse digestive system. Sci. Rep. 2016, 6, 37756. [Google Scholar] [CrossRef]
- Emerling, C.A.; Delsuc, F.; Nachman, M.W. Chitinase genes (CHIA s) provide genomic footprints of a post-Cretaceous dietary radiation in placental mammals. Sci. Adv. 2018, 4, eaar6478. [Google Scholar] [CrossRef]
- Janiak, M.C.; Chaney, M.E.; Tosi, A.J. Evolution of acidic mammalian chitinase genes (CHIA) is related to body mass and insectivory in primates. Mol. Biol. Evol. 2018, 35, 607–622. [Google Scholar] [CrossRef]
- Janiak, M.C. No evidence of copy number variation in acidic mammalian chitinase genes (CHIA) in New World and Old World monkeys. Int. J. Primatol. 2018, 39, 269–284. [Google Scholar] [CrossRef]
- Kim, D.H.; Wang, Y.; Jung, H.; Field, R.L.; Zhang, X.; Liu, T.C.; Ma, C.; Fraser, J.S.; Brestoff, J.R.; Van Dyken, S.J. A type 2 immune circuit in the stomach controls mammalian adaptation to dietary chitin. Science 2023, 381, 1092–1098. [Google Scholar] [CrossRef]
- Holcomb, R.J.; Oura, S.; Nozawa, K.; Kent, K.; Yu, Z.; Robertson, M.J.; Coarfa, C.; Matzuk, M.M.; Ikawa, M.; Garcia, T.X. The testis-specific serine proteases PRSS44, PRSS46, and PRSS54 are dispensable for male mouse fertility. Biol. Reprod. 2020, 102, 84–91. [Google Scholar] [CrossRef]






| Subfamily | Tribe | Genus | Species | Sequence |
|---|---|---|---|---|
| Murinae | Apodemyini | Apodemus | Apodemus agrarius | OZ030007 |
| Apodemus sylvaticus | XM_052180919 (NC_067475) | |||
| Tokudaia | Tokudaia muenninki | BTHS01000002 | ||
| Tokudaia osimensis | BPMZ01000917 | |||
| Tokudaia tokunoshimensis | BTHU01000003 | |||
| Arvicanthini | Arvicanthis | Arvicanthis niloticus | XM_034500638 (NC_047661) * | |
| Dasymys | Dasymys incomtus | Sequence obtained in this study | ||
| Dasymys rufulus | Sequence obtained in this study | |||
| Grammomys | Grammomys dolichurus | JADRCF010501649 | ||
| Grammomys surdaster | XM_028755672 (NW_021620880) * | |||
| Lemniscomys | Lemniscomys zebra | Sequence obtained in this study | ||
| Rhabdomys | Rhabdomys dilectus | JADRCG010009874 | ||
| Rhabdomys pumilio | JANHMN010000001 | |||
| Hydromyini | Conilurus | Conilurus penicilatus | Sequence obtained in this study | |
| Pseudomys | Pseudomys australis | Sequence obtained in this study | ||
| Rhynchomys | Rhynchomys soricoides | JADRCH010007518 | ||
| Uromys | Uromys caudimaculatus | CM052704 | ||
| Millardini | Millardia | Millardia meltada | Sequence obtained in this study | |
| Murini | Mus | Mus caroli | XM_021159142 (NC_034572) * | |
| Mus minutoides | LR750027 | |||
| Mus musculus | NM_007696 (ENSMUSG00000074340) * | |||
| Mus pahari | XM_021197069 (NC_034593) * | |||
| Mus spicilegus | ENSMSIT00000008008 (MUSP714) * | |||
| Mus spretus | T0062152 (SPRETEiJ) * | |||
| Otomyini | Myotomys | Myotomys unisulcatus | Sequence obtained in this study | |
| Parotomys | Parotomys brantsii | Sequence obtained in this study | ||
| Praomyini | Mastomys | Mastomys coucha | XM_031376141 (NW_022196898) * | |
| Myomyscus | Myomyscus brockmani | Sequence obtained in this study | ||
| Praomys | Praomys rostratus | Sequence obtained in this study | ||
| Rattini | Bandicota | Bandicota bengalensis | Sequence obtained in this study | |
| Berylmys | Berylmys bowersi | Sequence obtained in this study | ||
| Bunomys | Bunomys chrysocomus | Sequence obtained in this study | ||
| Chryromyscus | Chriromyscus chiropus | Sequence obtained in this study | ||
| Diplothrix | Diplothrix legata | Sequence obtained in this study | ||
| Leopoldamys | Leopoldamys edwardsi | Sequence obtained in this study | ||
| Maxomys | Maxomys surifer | Sequence obtained in this study | ||
| Micromys | Micromys minutus | OZ004784 | ||
| Niviventer | Niviventer confucianus | Sequence obtained in this study | ||
| Rattus | Rattus exulans | Sequence obtained in this study | ||
| Rattus norvegicus | Rnor_6.0 (chromosome 2) | |||
| Rattus rattus | NC_046156 | |||
| Rattus tanezumi | Sequence obtained in this study | |||
| Deomyinae | Acomys | Acomys cahirinus | CM057038 | |
| Acomys russatus | LR87723 * | |||
| Gerbillinae | Meriones | Meriones unguiculatus | XM_021658779 * | |
| Pachyuromys | Pachyuromys duprasi | CM053744 | ||
| Psammomys | Psammomys obesus | XM_055628096 | ||
| Rhombomys | Rhombomys opimus | REGO01000051 |
| Gender/Species | Stop Codon Position |
|---|---|
| Rattus norvegicus | 14, 20, 56, 59, 173, 200 |
| Rattus exulans | 28, 196, 250, 494 |
| Rattus rattus | 28, 173, 179, 200, 368, 380, 417, 426, 470, 498, 519, 605 |
| Rattus tanezumi | 28, 173, 179, 196, 250, 400 |
| Bandicota bengalensis | 196, 478 |
| Diplothrix legata | 196, 478 |
| Bunomys chrysocomus | 196, 478 |
| Berylmys bowersi | 56, 59, 179, 200, 494 |
| Niviventer confucianus | 478 |
| Chriromyscus chiropus | 178 |
| Protein (Gene) | Accession Number | Peptides | Sequence | Score | SPI | m/z | n |
|---|---|---|---|---|---|---|---|
|
Chitinase domain-containing protein 1
(Chid1) | A0A0G2K3D1 1 A0A0G2JSR1 2 A0A140TAD5 3 | LALVCGSVH 1,2,3 | 10–18 1 13–21 2,3 | 6.02 | 67.1 | 898.481 | 1 |
| TDIKAEDVVLEHRSYCSARARERNFAGEVLGYVTPWNSHGYDVAKVFGS 1,2,3 | 53–101 1 56–104 2,3 | 7.64 | 73.8 | 5499.693 | 1 | ||
| VLEHRSYCSARAR 1,2,3 | 61–73 1 64–76 2,3 | 6.91 | 73.6 | 1547.786 | 1 | ||
| ITGLHDVD 1,2,3 | 123–130 1 126–133 2,3 | 5.89 | 64.6 | 869.436 | 1 | ||
| IHMLTHLAEALHQAR 1,2,3 | 206–220 1 209–223 2,3 | 8.62 | 81.9 | 1740.933 | 4 | ||
| ILLGL 1,2,3 | 355–359 1 298–302 2 264–268 3 | 5.02 | 80.2 | 528.376 | 1 | ||
| GMDYAASKDAREPVIGAR 1,2,3 | 363–380 1 306–323 2 272–289 3 | 5.3 | 85.4 | 1906.944 | 1 | ||
| DAREPVIGA 1,2,3 | 371–379 1 314–322 2 280–288 3 | 5.01 | 67.9 | 927.489 | 1 | ||
| A0A0G2K3D1 1 A0A140TAD5 3 | IWELG 1,3 | 527–531 1 348–352 3 | 5.28 | 62.9 | 617.329 | 1 | |
| A0A0G2K3D1 1 | LLPTVPSLRAQ 1 | 457–467 1 | 7.12 | 73.2 | 1194.72 | 10 | |
| A0A0G2JSR12 | WILVS2 | 396–400 | 6.22 | 63.1 | 617.366 | 1 | |
|
Chitinase-3-like protein 1
(Chi3l1) | A0A8I5ZNV1 1 A4LA56 2 | LLSAAVSAGKV 1,2 | 190–200 1 152–162 2 | 5.81 | 82.6 | 1015.615 | 5 |
| DRFSNVDYGVGYMLRL 1,2 | 249–264 1 211–226 2 | 5.41 | 79.6 | 1904.932 | 1 | ||
| LVMGIPTFGK 1,2 | 271–280 1 233–242 2 | 5.3 | 71.5 | 1062.602 | 1 | ||
| LVMGIPTFGKS 1,2 | 271–281 1 233–243 2 | 6.02 | 67.3 | 1149.634 | 11 | ||
| KNKVKYLK 1,2 | 352–359 1 314–321 2 | 5.9 | 60.5 | 1020.656 | 1 | ||
| KVKYLKNK 1,2 | 354–361 1 316–323 2 | 5.58 | 75.7 | 1020.656 | 1 | ||
| A0A8I5ZNV1 1 | PGLTLDFPTGFAVLMLLQSCSAYKLVCYYTN 1 | 18–48 1 | 5.04 | 91.3 | 3428.698 | 1 | |
| TLDFPTGFAVL 1 | 21–31 1 | 6.23 | 76.4 | 1180.625 | 3 | ||
| LSTSEWNDVTLYGMLNTLKTRLEHKRTRGGEDGQRFYPRFSRIVSNA 1 | 84–130 1 | 6.89 | 71.2 | 5499.809 | 1 | ||
| NDVTLYGMLNTLKTRLEHK 1 | 90–108 1 | 5.12 | 62.9 | 2246.196 | 1 | ||
| NDVTLYGMLNTLKTRLEHKRTRGGEDGQRFYPRFSR 1 | 90–125 1 | 6.11 | 73.2 | 4212.227 | 1 | ||
| KTRLEHKRT 1 | 102–110 1 | 7.16 | 64.9 | 1168.691 | 1 | ||
| A4LA56 2 | LVMGIPTFGKSFTLASSENQVGAPISGSGLPGRYTKEKGTLAYYEICDFLRG 2 | 233–284 2 | 5.95 | 64.7 | 5526.808 | 1 | |
|
Chitinase
(Chit1) | F7ER89 1 A0A8I6AV32 2 | SFLRTHGFDGLDLDW 1,2 | 118–132 1 125–139 2 | 5.95 | 68.4 | 1778.85 | 2 |
| INLMAYDFHSSWDKTT 1,2 | 200–215 1 207–222 2 | 5.46 | 81.4 | 1928.885 | 2 | ||
| AYDFHSSWDKTTG 1,2 | 204–216 1 211–223 2 | 6.42 | 75.9 | 1514.655 | 2 | ||
| AEKNVDAAVTLWLQKGTPASKLMLGMPAYGRSFTLASSSDSGVGAPATGPGAPGPY 1,2 | 232–287 1 239–294 2 | 7.04 | 71.2 | 5548.788 | 1 | ||
| F7ER89 1 | LVMRALALV 1 | 3–11 1 | 5.4 | 81.8 | 985.623 | 1 | |
| LALVGSAAK 1 | 8–16 1 | 6.1 | 83.3 | 829.514 | 2 | ||
| LVGSAAKLFCY 1 | 10–20 1 | 5.56 | 82.8 | 1171.618 | 3 | ||
| TEKSSFYSCGGGRLFQH 1 | 423–439 1 | 5.14 | 63.5 | 1903.876 | 2 | ||
| LVFIDSCKCC 1 | 445–454 1 | 5.96 | 82.4 | 1130.504 | 3 | ||
| A0A8I6AV32 2 | APQAWCLSTLANAVP 2 | 370–384 1 | 5.5 | 100 | 1541.778 | 1 | |
|
Acidic mammalian chitinase
(Chia) | M9YP04 1 A0A0G2K676 2 A0A8I5Y1C5 3 F1LPK5 4 | VIKFLRQYG 1,2,3,4 | 15–23 1,4 160–168 2 123–131 3 | 6.33 | 78.5 | 1123.662 | 3 |
| LDLDWEYPGSRGSPPQDK 1,2,3,4 | 27–44 1,4 172–189 2 135–152 | 6.15 | 63.7 | 2059.972 | 4 | ||
| LDLDWEYPGSRGSPPQDKHLF 1,2,3,4 | 27–47 1,4 172–192 2 135–155 3 | 5.82 | 60.4 | 2457.183 | 2 | ||
| IWAID 1,2,3,4 | 251–255 1 396–400 2 341–345 3 245–249 4 | 5.28 | 62.9 | 617329 | 1 | ||
| M9YP04 1 | DVDYVMNYWKDNGAPAEKLIVGFPEYGHTYILSNPSDTG 1 | 134–172 1 | 7.43 | 91.9 | 4376.049 | 2 | |
| MIWAIDLDDFTGSFCDQGKFPLTSTLNKALDIPTADCTAPDLPSEPVTTPPG 1 | 250–301 1 | 6.05 | 64.4 | 5522.637 | 1 | ||
| A0A0G2K676 2 | LETLVITRHSGGIK 2 | 15–24 2 | 5.25 | 61.3 | 1523.89 | 1 |
| Protein (Gene) | Accession Number | Peptides | Sequence | Score | SPI | m/z | n |
|---|---|---|---|---|---|---|---|
|
Chitinase domain-containing protein 1
(Chid1) | A0A0G2K3D1 1 A0A0G2JSR1 2 A0A140TAD5 3 | VLWLALVCGSV 1,2,3 | 7–17 1 10–20 2,3 | 6.52 | 63.9 | 580.3357 | 2 |
| VILVI 1,2,3 | 223–227 1 226–230 2,3 | 5.41 | 87 | 556.4055 | 3 | ||
| A0A0G2K3D1 1 A0A140TAD5 3 | IWELGQGLDYFY 1,3 | 527–538 1 348–359 3 | 5.92 | 86.1 | 501.9137 | 1 | |
| A0A0G2K3D1 1 | AVTPGPLEGIDEYSSRLST 1 | 230–248 1 | 6.7 | 66 | 664.6733 | 1 | |
| IQLSKSTACPNIAFVGI 1 | 381–397 1 | 6.12 | 69 | 633.6712 | 1 | ||
| LLPTVPSLRAQ 1 | 457–467 1 | 8.04 | 70.1 | 637.8669 | 15 | ||
| A0A0G2JSR1 2 | VALPLAVSSQQIWTLGRG 2 | 328–345 2 | 6.45 | 100 | 659.3501 | 1 | |
| LGRGGSTSALLLAGLGLAS 2 | 342–360 2 | 5.35 | 72.4 | 572.0094 | 1 | ||
| A0A140TAD5 3 | QWRSKILLGLNFYGMDYAASKDAREPVIGARYIQTLK 3 | 259–295 3 | 5.31 | 100 | 883.8151 | 1 | |
|
Chitinase-3-like protein 1
(Chi3l1) | A0A8I5ZNV1 1 A4LA56 2 | LLSAAVSAGKV 1,2 | 190–200 1 152–162 2 | 8.58 | 90.5 | 548.3063 | 4 |
| VAQIAQHLDFINLMTYD 1,2 | 208–224 1 170–186 2 | 6.82 | 74.6 | 664.6733 | 1 | ||
| LVMGIPTFGK 1,2 | 271–280 1 233–242 2 | 5.46 | 72.9 | 531.7895 | 1 | ||
| LVMGIPTFGKS 1,2 | 271–281 1 233–243 2 | 7.44 | 66.7 | 575.3115 | 10 | ||
| A0A8I5ZNV1 1 | VTLYGMLNTLKTRLE 1 | 92–106 1 | 5.95 | 69.9 | 611.3092 | 2 | |
| TGSGLPGRYTKEKGTLA 1 | 296–312 1 | 5.76 | 65.8 | 579.2939 | 1 | ||
| A4LA56 2 | ISGSGLPGRYTKEK 2 | 257–270 2 | 5.14 | 73.4 | 524.9144 | 1 | |
|
Chitinase
(Chit1) | F7ER89 1 A0A8I6AV32 2 | VDPNLCTHVIYAFAGLN 1,2 | 39–55 1 46–62 2 | 7.8 | 62.3 | 952.4638 | 1 |
| VSTVEPNDELFYQELNS 1,2 | 59–75 1 66–82 2 | 5.65 | 67.7 | 1032.472 | 1 | ||
| SFLRTHGFDGLDLDW 1,2 | 118–132 1 125–139 2 | 5.5 | 64.6 | 889.9392 | 1 | ||
| DAAVTLWLQK 1,2 | 237–246 1 244–253 2 | 5.59 | 65 | 572.8127 | 1 | ||
| F7ER89 1 | LVMRALALV 1 | 3–11 1 | 6.12 | 78.7 | 501.3022 | 1 | |
| LVMRALALVGSAA 1 | 3–15 1 | 5.33 | 73.7 | 456.593 | 1 | ||
| LALVGSAAK 1 | 8–16 1 | 5.71 | 70.2 | 415.2688 | 2 | ||
| LVGSAAKLFCY 1 | 10–20 1 | 7.83 | 60.9 | 586.2993 | 1 | ||
| LVFIDSCKCC 1 | 445–454 1 | 7.22 | 72 | 396.5257 | 4 | ||
|
Acidic mammalian chitinase
(Chia) | M9YP04 1 A0A0G2K676 2 A0A8I5Y1C5 3 F1LPK5 4 | VIKFLRQYG 1,2,3,4 | 15–23 1,4 160–168 2 123–131 3 | 6.39 | 88.7 | 602.3328 | 6 |
| LDLDWEYPGSRGSPPQDK 1,2,3,4 | 27–44 1,4 172–189 2 135–152 3 | 5.83 | 70.6 | 687.3472 | 18 | ||
| A0A0G2K676 2 A0A8I5Y1C5 3 F1LPK5 4 | PYAYKGNEWVGYDNIKS2,3,4 | 362–378 2 307–323 3 211–227 4 | 5.51 | 75 | 668.6433 | 2 | |
| A0A0G2K676 2 A0A8I5Y1C5 3 | LVCYFTNWAQYR 2,3 | 61–72 2 24–35 3 | 5.7 | 100 | 567.6036 | 2 | |
| IYAFAGMQNNQITTI 2,3 | 92–106 2 55–69 3 | 5.78 | 60.5 | 562.2797 | 3 | ||
| FAGMQNNQITT 2,3 | 95–105 2 58–68 3 | 5.1 | 66.6 | 435.5326 | 2 | ||
| A0A0G2K676 2 | ITRHSGGIK 2 | 16–24 2 | 7.1 | 77.6 | 564.7709 | 2 | |
| A0A8I5Y1C5 3 | AVAAGISNIQAAL 3 | 183–195 3 | 5.49 | 79.2 | 400.2401 | 1 | |
| IVSLPNSPLYKL 3 | 202–213 3 | 5.6 | 76.4 | 501.9132 | 1 | ||
| F1LPK5 4 | VAAALYLILRCIVYLDF 4 | 76–92 4 | 5.92 | 100 | 652.6861 | 2 | |
| VYLDFIHVMTYDLHGS 4 | 88–103 4 | 5.69 | 67.1 | 1043.4592 | 1 |
Disclaimer/Publisher’s Note: The statements, opinions and data contained in all publications are solely those of the individual author(s) and contributor(s) and not of MDPI and/or the editor(s). MDPI and/or the editor(s) disclaim responsibility for any injury to people or property resulting from any ideas, methods, instructions or products referred to in the content. |
© 2024 by the authors. Licensee MDPI, Basel, Switzerland. This article is an open access article distributed under the terms and conditions of the Creative Commons Attribution (CC BY) license (https://creativecommons.org/licenses/by/4.0/).
Share and Cite
Balastegui-Alarcón, M.; Moros-Nicolás, C.; Ballesta, J.; Izquierdo-Rico, M.J.; Chevret, P.; Avilés, M. Molecular Evolution of the Ovgp1 Gene in the Subfamily Murinae. Animals 2025, 15, 55. https://doi.org/10.3390/ani15010055
Balastegui-Alarcón M, Moros-Nicolás C, Ballesta J, Izquierdo-Rico MJ, Chevret P, Avilés M. Molecular Evolution of the Ovgp1 Gene in the Subfamily Murinae. Animals. 2025; 15(1):55. https://doi.org/10.3390/ani15010055
Chicago/Turabian StyleBalastegui-Alarcón, Miriam, Carla Moros-Nicolás, José Ballesta, Mª José Izquierdo-Rico, Pascale Chevret, and Manuel Avilés. 2025. "Molecular Evolution of the Ovgp1 Gene in the Subfamily Murinae" Animals 15, no. 1: 55. https://doi.org/10.3390/ani15010055
APA StyleBalastegui-Alarcón, M., Moros-Nicolás, C., Ballesta, J., Izquierdo-Rico, M. J., Chevret, P., & Avilés, M. (2025). Molecular Evolution of the Ovgp1 Gene in the Subfamily Murinae. Animals, 15(1), 55. https://doi.org/10.3390/ani15010055

