Cutaneous Mucormycosis in Buffalos in the Brazilian Amazon Biome
Abstract
Simple Summary
Abstract
1. Introduction
2. Materials and Methods
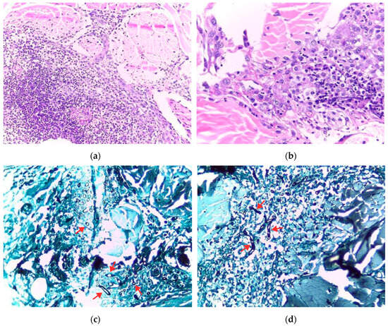
3. Results
4. Discussion
5. Conclusions
Supplementary Materials
Author Contributions
Funding
Institutional Review Board Statement
Informed Consent Statement
Data Availability Statement
Acknowledgments
Conflicts of Interest
References
- Santos, C.L.R.D.; Santos, J.B.D.; Cunha, M.C.D.; Nunes, S.R.F.; Bezerra, D.C.; Torres, J.R.D.S.; Chaves, N.P. Nível tecnológico e organizacional da cadeia produtiva da bubalinocultura de corte no estado do Maranhão. Arq. Inst. Biol. 2016, 83, 1–8. [Google Scholar] [CrossRef][Green Version]
- I.B.B.E.–Instituto Brasileiro de Geografia e Estatística. Rebanho de Bubalinos (Búfalos) No Brasil. Available online: https://www.ibge.gov.br/explica/producao-agropecuaria/bubalinos/br (accessed on 1 October 2023).
- Ikeda, T.; Tabuchi, K.; Shirota, K.; Une, Y.; Nomura, Y. Mucormycosis in a cow. Nihon Juigaku Zasshi. 1987, 49, 527–530. [Google Scholar] [CrossRef] [PubMed]
- Jensen, H.E.; Olsen, S.N.; Aalbaek, B. Gastrointestinal aspergillosis and Zygomycosis of cattle. Vet. Pathol. 1994, 31, 28–36. [Google Scholar] [CrossRef] [PubMed]
- Morton, J.; Nguyen, V.; Ali, T. Mucormycosis of the intestine: A rare complication in Crohn’s disease. Gastroenterol. Hepatol. 2012, 8, 137–140. [Google Scholar]
- Choi, W.T.; Chang, T.T.; Gill, R.M. Gastrointestinal Zygomycosis masquerading as acute appendicitis. Case Rep. Gastroenterol. 2016, 10, 81–87. [Google Scholar] [CrossRef] [PubMed]
- Uzal, F.A.; Plattner, B.L.; Hostetter, J.M. Alimentary System. In Jubb, Kennedy and Palmer’s Pathology of Domestic Animals, 6th ed.; Maxie, M.G., Jubb, K., Eds.; Elsevier: St. Louis, MO, USA, 2016; pp. 1–257. [Google Scholar]
- Ortega, J.; Uzal, F.A.; Walker, R.; Kinde, H.; Diab, S.S.; Shahriar, F.; Pamma, R.; Eigenheer, A.; Read, D.H. Zygomycotic lymphadenitis in slaughtered feedlot cattle. Vet. Pathol. 2010, 47, 108–115. [Google Scholar] [CrossRef] [PubMed]
- Bouza, E.; Muñoz, P.; Guinea, J. Mucormycosis: An emerging disease? Clin. Microbiol. Infect. 2006, 12, 7–23. [Google Scholar] [CrossRef]
- Dirksen, G.; Gründer, H.D.; Stöber, M. Rosenberger Exame Clínico dos Bovinos, 3rd ed.; Guanabara Koogan: Rio de Janeiro, Brasil, 1993. [Google Scholar]
- White, T.J.; Bruns, T.; Lee, S. Amplification and direct sequencing of fungal ribosomal RNA genes for phylogenetics. In PCR Protocols: A Guide to Methods and Applications, 1st ed.; Innis, T.W.M., Gelfand, D.H., Sninsky, J.J., Eds.; Academic Press: Cambridge, MA, USA, 1990; pp. 315–322. [Google Scholar]
- Gnat, S.; Łagowski, D.; Nowakiewicz, A.; Dyląg, M. A global view on fungal infections in humans and animals: Opportunistic infections and microsporidioses. J. Appl. Microbiol. 2021, 131, 2095–2113. [Google Scholar] [CrossRef] [PubMed]
- Chihaya, Y.; Okada, H.; Matsukawa, K.; Matsui, Y. Disseminated mycoses in cattle. A study on nine autopsy cases. J. Vet. Med. Sci. 1992, 54, 485–491. [Google Scholar] [CrossRef] [PubMed][Green Version]
- Bernabucci, U.; Lacetera, N.; Baumgard, L.H.; Rhoads, R.P.; Ronchi, B.; Nardone, A. Metabolic and hormonal acclimation to heat stress in domesticated ruminants. Animal 2010, 4, 1167–1183. [Google Scholar] [CrossRef] [PubMed]
- Awadin, W.; Mosbah, E.; Youssef, E.S.; El-Satar, A.A. A case of subcutaneous destructive facial swelling in a dog caused by Mucor species. J. Vet. Sci. Med. Diagn. 2015, 3, 1–3. [Google Scholar]
- Lee, K.; Kim, H.; Sohn, J.; So, B.; Choi, E. Systemic mucormycosis caused by Lichtheimia ramosa in a pregnant cow. Vet. Med. 2020, 65, 506–510. [Google Scholar] [CrossRef]
- Slaviero, M.; Vargas, T.P.; Bianchi, M.V.; Ehlers, L.P.; Spanamberg, A.; Ferreiro, L.; Araújo, R.; Pavarini, S.P. Rhizopus microsporus segmental enteritis in a cow. Med. Mycol. Case Rep. 2020, 28, 20–22. [Google Scholar] [CrossRef] [PubMed]
- Guillot, J.; Collobert, C.; Jensen, H.E.; Huerre, M.; Chermette, R. Two cases of equine mucormycosis caused by Absidia corymbifera. Equine Vet. J. 2000, 32, 453–456. [Google Scholar] [CrossRef] [PubMed]
- Alves, R.C.; Ferreira, J.S.; Alves, A.S.; Maia, L.A.; Dutra, V.; Souza, A.P.; Galiza, G.J.N.; Dantas, A.F.M. Systemic and gastrohepatic mucormycosis in dogs. J. Comp. Pathol. 2020, 175, 90–94. [Google Scholar] [CrossRef] [PubMed]
- Barbosa, C.C.; Ferreira, T.T.A.; Oliveira, C.M.C.; Serruya, A.; Silva, T.C.; Oliveira, M.C.; Brito, M.F.; Barbosa, J.D. Dermatite Piogranulomatosa em Bubalino Causada por Espinhos de Mimosa Pudica no Município de Castanhal, Pará. In Proceedings of the Anais Revista Brasileira de Buiatria, XIV Congresso Brasileiro de Buiatria, Pernambuco, Brasil, 11–15 September 2023; p. 48. [Google Scholar]



Disclaimer/Publisher’s Note: The statements, opinions and data contained in all publications are solely those of the individual author(s) and contributor(s) and not of MDPI and/or the editor(s). MDPI and/or the editor(s) disclaim responsibility for any injury to people or property resulting from any ideas, methods, instructions or products referred to in the content. |
© 2024 by the authors. Licensee MDPI, Basel, Switzerland. This article is an open access article distributed under the terms and conditions of the Creative Commons Attribution (CC BY) license (https://creativecommons.org/licenses/by/4.0/).
Share and Cite
Barbosa, J.D.; Barbosa, C.C.; Ferreira Filho, C.E.d.S.; Moran, J.F.G.; Oliveira, C.M.C.; Bomjardim, H.d.A.; Costa, P.S.C.d.; Brito, M.d.F.; Paz, M.C.; Lamego, E.C.; et al. Cutaneous Mucormycosis in Buffalos in the Brazilian Amazon Biome. Animals 2024, 14, 1327. https://doi.org/10.3390/ani14091327
Barbosa JD, Barbosa CC, Ferreira Filho CEdS, Moran JFG, Oliveira CMC, Bomjardim HdA, Costa PSCd, Brito MdF, Paz MC, Lamego EC, et al. Cutaneous Mucormycosis in Buffalos in the Brazilian Amazon Biome. Animals. 2024; 14(9):1327. https://doi.org/10.3390/ani14091327
Chicago/Turabian StyleBarbosa, José Diomedes, Camila Cordeiro Barbosa, Carlos Eduardo da Silva Ferreira Filho, José Francisco Gimenez Moran, Carlos Magno Chaves Oliveira, Henrique dos Anjos Bomjardim, Paulo Sérgio Chagas da Costa, Marilene de Farias Brito, Milena Carolina Paz, Eryca Ceolin Lamego, and et al. 2024. "Cutaneous Mucormycosis in Buffalos in the Brazilian Amazon Biome" Animals 14, no. 9: 1327. https://doi.org/10.3390/ani14091327
APA StyleBarbosa, J. D., Barbosa, C. C., Ferreira Filho, C. E. d. S., Moran, J. F. G., Oliveira, C. M. C., Bomjardim, H. d. A., Costa, P. S. C. d., Brito, M. d. F., Paz, M. C., Lamego, E. C., Spanamberg, A., & Driemeier, D. (2024). Cutaneous Mucormycosis in Buffalos in the Brazilian Amazon Biome. Animals, 14(9), 1327. https://doi.org/10.3390/ani14091327

