Variants in CLCN1 and PDE4C Associated with Muscle Hypertrophy, Dysphagia, and Gait Abnormalities in Young French Bulldogs
Abstract
Simple Summary
Abstract
1. Introduction
2. Materials and Methods
2.1. Animals
2.2. Light Microscopy, Immunofluorescent Staining, and DNA Extraction
2.3. Whole Genome Sequencing and Variant Analysis
2.4. Sanger Sequencing
3. Results
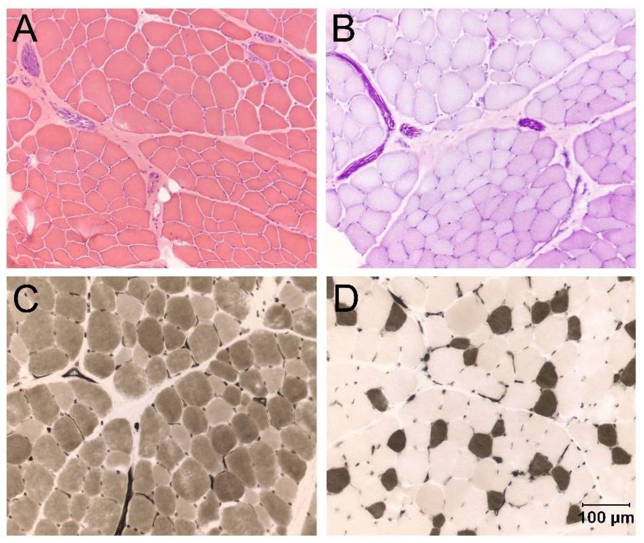
3.1. Animals and Histopathology
3.2. Whole Genome Sequencing and Variant Analysis
4. Discussion
5. Conclusions
Supplementary Materials
Author Contributions
Funding
Institutional Review Board Statement
Informed Consent Statement
Data Availability Statement
Acknowledgments
Conflicts of Interest
References
- Ryckman, L.R.; Krahwinkel, D.J.; Sims, M.H.; Donnell, R.L.; Moore, P.F.; Shelton, G.D. Dysphagia as the primary clinical abnormality in two dogs with inflammatory myopathy. J. Am. Vet. Med. Assoc. 2005, 226, 1519–1523. [Google Scholar] [CrossRef]
- Haley, A.C.; Platt, S.R.; Kent, M.; Schatzberg, S.J.; Durham, A.; Cochrane, S.; Westworth, D.; Shelton, G.D. Breed-specific polymyositis in Hungarian Vizsla dogs. J. Vet. Intern. Med. 2011, 25, 393–397. [Google Scholar] [CrossRef] [PubMed]
- Hong, H.P.; Thomovsky, S.A.; Lewis, M.J.; Bentley, R.T.; Shelton, G.D. Clinical characteristics of non-infectious inflammatory myopathy in the boxer dog. J. Small Anim. Pract. 2021, 62, 765–774. [Google Scholar] [CrossRef] [PubMed]
- Opmeer, Y.; Grinwis, G.C.M.; Shelton, G.D.; Rosati, M.; Alf, V.; Fieten, H.; Leegwater, P.A.J.; Matiasek, K.; Mandigers, P.J.J. An Inflammatory Myopathy in the Dutch Kooiker Dog. Animals 2023, 13, 1508. [Google Scholar] [CrossRef]
- Wetterman, C.A.; Harkin, K.R.; Cash, W.C.; Nietfield, J.C.; Shelton, G.D. Hypertrophic muscular dystrophy in a young dog. J. Am. Vet. Med. Assoc. 2000, 216, 878–881, 864. [Google Scholar] [CrossRef]
- Kornegay, J.N.; Childers, M.K.; Bogan, D.J.; Bogan, J.R.; Nghiem, P.; Wang, J.; Fan, Z.; Howard, J.F., Jr.; Schatzberg, S.J.; Dow, J.L.; et al. The paradox of muscle hypertrophy in muscular dystrophy. Phys. Med. Rehabil. Clin. N. Am. 2012, 23, 149–172, xii. [Google Scholar] [CrossRef]
- McAtee, B.B.; Heseltine, J.C.; Guo, L.T.; Willard, M.D.; Shelton, G.D. Dysphagia and esophageal dysfunction due to dystrophin deficient muscular dystrophy in a male Spanish water spaniel. Vet. Q. 2018, 38, 28–32. [Google Scholar] [CrossRef]
- Rhodes, T.H.; Vite, C.H.; Giger, U.; Patterson, D.F.; Fahlke, C.; George, A.L., Jr. A missense mutation in canine C1C-1 causes recessive myotonia congenita in the dog. FEBS Lett. 1999, 456, 54–58. [Google Scholar] [CrossRef] [PubMed]
- Finnigan, D.F.; Hanna, W.J.; Poma, R.; Bendall, A.J. A novel mutation of the CLCN1 gene associated with myotonia hereditaria in an Australian cattle dog. J. Vet. Intern. Med. 2007, 21, 458–463. [Google Scholar] [CrossRef]
- Rodrigues, D.J.; Damasceno, A.D.; Araújo, C.E.T.; Torelli, S.R.; Fonseca, L.G.H.; Delfiol, D.J.Z.; Oliveira-Filho, J.P.; Araújo-Júnior, J.P.; Borges, A.S. Hereditary myotonia in American Bulldog associated with a novel frameshift mutation in the CLCN1 gene. Neuromuscul. Disord. 2020, 30, 991–998. [Google Scholar] [CrossRef]
- Quitt, P.R.; Hytönen, M.K.; Matiasek, K.; Rosati, M.; Fischer, A.; Lohi, H. Myotonia congenita in a Labrador Retriever with truncated CLCN1. Neuromuscul. Disord. 2018, 28, 597–605. [Google Scholar] [CrossRef] [PubMed]
- Chimenes, N.D.; Caramalac, S.M.; Caramalac, S.M.; Fernandes, T.D.; Basso, R.M.; Cerri, F.M.; Oliveira-Filho, J.P.; Borges, A.S.; Palumbo, M.I.P. A complex CLCN1 variant associated with hereditary myotonia in a mixed-breed dog. J. Vet. Diagn. Investig. 2023, 35, 413–416, Erratum in J. Vet. Diagn. Investig. 2023, 35, 811–812. [Google Scholar] [CrossRef] [PubMed]
- Mosher, D.S.; Quignon, P.; Bustamante, C.D.; Sutter, N.B.; Mellersh, C.S.; Parker, H.G.; Ostrander, E.A. A mutation in the myostatin gene increases muscle mass and enhances racing performance in heterozygote dogs. PLoS Genet. 2007, 3, e79. [Google Scholar] [CrossRef] [PubMed]
- Shelton, G.D.; Engvall, E. Gross muscle hypertrophy in whippet dogs is caused by a mutation in the myostatin gene. Neuromuscul. Disord. 2007, 17, 721–722. [Google Scholar] [CrossRef] [PubMed]
- Shelton, G.D.; Minor, K.M.; Friedenberg, S.G.; Cullen, J.N.; Guo, L.T.; Mickelson, J.R. Current Classification of Canine Muscular Dystrophies and Identification of New Variants. Genes 2023, 14, 1557. [Google Scholar] [CrossRef] [PubMed]
- Brunetti, B.; Bacci, B.; Abbate, J.M.; Tura, G.; Paciello, O.; Vaccaro, E.; Prisco, F.; Gandini, G.; Okonji, S.; Paola, A.D.; et al. SGCD Missense Variant in a Lagotto Romagnolo Dog with Autosomal Recessively Inherited Limb-Girdle Muscular Dystrophy. Genes 2023, 14, 1641. [Google Scholar] [CrossRef] [PubMed]
- Dubowitz, V.; Sewry, C.A.; Oldfors, A. Histological and histochemical stains and reactions. In Muscle Biopsy: A Practical Approach, 5th ed.; Elsevier: Amsterdam, The Netherlands, 2021. [Google Scholar]
- Guo, L.T.; Moore, S.A.; Forcales, S.; Engvall, E.; Shelton, G.D. Evaluation of commercial dysferlin antibodies on canine, mouse and human skeletal muscle. Neuromuscul. Disord. 2010, 20, 820–825. [Google Scholar] [CrossRef]
- Leivo, I.; Engvall, E. Merosin, a protein specific for basement membranes of Schwann cells, striated muscle, and trophoblast, is expressed late in nerve and muscle development. Proc. Natl. Acad. Sci. USA 1988, 85, 1544–1548. [Google Scholar] [CrossRef]
- Hessle, H.; Engvall, E. Type VI collagen. Studies on its localization, structure, and biosynthetic form with monoclonal antibodies. J. Biol. Chem. 1984, 259, 3955–3961. [Google Scholar] [CrossRef]
- Cullen, J.N.; Friedenberg, S.G. WAGS: User-friendly, rapid, containerized pipelines for processing, variant discovery, and annotation of short read whole genome sequencing data. G3 2023, 13, jkad117. [Google Scholar] [CrossRef]
- Genome Sequencing of 2000 Canids by the Dog 10K Consortium. Available online: https://www.ncbi.nlm.nih.gov/pmc/articles/pmc10426128/ (accessed on 24 February 2024).
- The Ensembl Variant Predictor. Available online: https://genomebiology.biomedcentral.com/articles/10.1186/s13059-016-0974-4 (accessed on 24 February 2024).
- The Gene Cards Suite: From Gene Data Mining to Disease. Available online: https://pubmed.ncbi.nlm.nih.gov/27322403 (accessed on 24 February 2024).
- Morales, F.; Pusch, M. An Up-to-Date Overview of the Complexity of Genotype-Phenotype Relationships in Myotonic Channelopathies. Front. Neurol. 2020, 10, 1404. [Google Scholar] [CrossRef] [PubMed]
- Hinkle, R.T.; Dolan, E.; Cody, D.B.; Bauer, M.B.; Isfort, R.J. Phosphodiesterase 4 inhibition reduces skeletal muscle atrophy. Muscle Nerve 2005, 32, 775–781. [Google Scholar] [CrossRef] [PubMed]
- Balasubramaniam, A.; Sheriff, S.; Friend, L.A.; James, J.H. Phosphodiesterase 4B knockout prevents skeletal muscle atrophy in rats with burn injury. Am. J. Physiol. Regul. Integr. Comp. Physiol. 2018, 315, R429–R433. [Google Scholar] [CrossRef] [PubMed]
- Bloom, T.J. Cyclic nucleotide phosphodiesterase isozymes expressed in mouse skeletal muscle. Can. J. Physiol. Pharmacol. 2002, 80, 1132–1135. [Google Scholar] [CrossRef]
- Bingham, J.; Sudarsanam, S.; Srinivasan, S. Profiling human phosphodiesterase genes and splice isoforms. Biochem. Biophys. Res. Commun. 2006, 350, 25–32. [Google Scholar] [CrossRef]
- Wright, T.A.; Gemmell, A.O.; Tejeda, G.S.; Blair, C.M.; Baillie, G.S. Cancer: Phosphodiesterase type 4C (PDE4C), the forgotten subfamily as a therapeutic target. Int. J. Biochem. Cell Biol. 2023, 162, 106453. [Google Scholar] [CrossRef]







| Primers | Sequence | Size |
|---|---|---|
| CLCN1 F | TATCCTGTGCTGCTCAAACG | 564 bp |
| CLCN1 R | GGAAGAGCTGGAAGACATGC | |
| PDE4C F | CTCAGTTTCCCCATTTGTCC | 437 bp |
| PDE4C R | AAGAGAGGGAGGAGCAGAGC |
Disclaimer/Publisher’s Note: The statements, opinions and data contained in all publications are solely those of the individual author(s) and contributor(s) and not of MDPI and/or the editor(s). MDPI and/or the editor(s) disclaim responsibility for any injury to people or property resulting from any ideas, methods, instructions or products referred to in the content. |
© 2024 by the authors. Licensee MDPI, Basel, Switzerland. This article is an open access article distributed under the terms and conditions of the Creative Commons Attribution (CC BY) license (https://creativecommons.org/licenses/by/4.0/).
Share and Cite
Shelton, G.D.; Mickelson, J.R.; Friedenberg, S.G.; Cullen, J.N.; Graham, K.; Carpentier, M.C.; Guo, L.T.; Minor, K.M. Variants in CLCN1 and PDE4C Associated with Muscle Hypertrophy, Dysphagia, and Gait Abnormalities in Young French Bulldogs. Animals 2024, 14, 722. https://doi.org/10.3390/ani14050722
Shelton GD, Mickelson JR, Friedenberg SG, Cullen JN, Graham K, Carpentier MC, Guo LT, Minor KM. Variants in CLCN1 and PDE4C Associated with Muscle Hypertrophy, Dysphagia, and Gait Abnormalities in Young French Bulldogs. Animals. 2024; 14(5):722. https://doi.org/10.3390/ani14050722
Chicago/Turabian StyleShelton, G. Diane, James R. Mickelson, Steven G. Friedenberg, Jonah N. Cullen, Karina Graham, Missy C. Carpentier, Ling T. Guo, and Katie M. Minor. 2024. "Variants in CLCN1 and PDE4C Associated with Muscle Hypertrophy, Dysphagia, and Gait Abnormalities in Young French Bulldogs" Animals 14, no. 5: 722. https://doi.org/10.3390/ani14050722
APA StyleShelton, G. D., Mickelson, J. R., Friedenberg, S. G., Cullen, J. N., Graham, K., Carpentier, M. C., Guo, L. T., & Minor, K. M. (2024). Variants in CLCN1 and PDE4C Associated with Muscle Hypertrophy, Dysphagia, and Gait Abnormalities in Young French Bulldogs. Animals, 14(5), 722. https://doi.org/10.3390/ani14050722

