Poisoning by Nerium oleander L. in Franconia Geese
Abstract
Simple Summary
Abstract
1. Introduction
2. Materials and Methods
2.1. Case Description
2.2. Necropsy and Histopathology
2.3. Oleandrin Detection and Quantification
2.4. Bacteriological and Virological Investigations
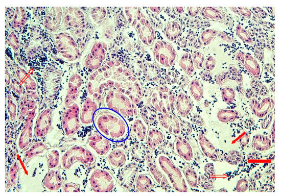
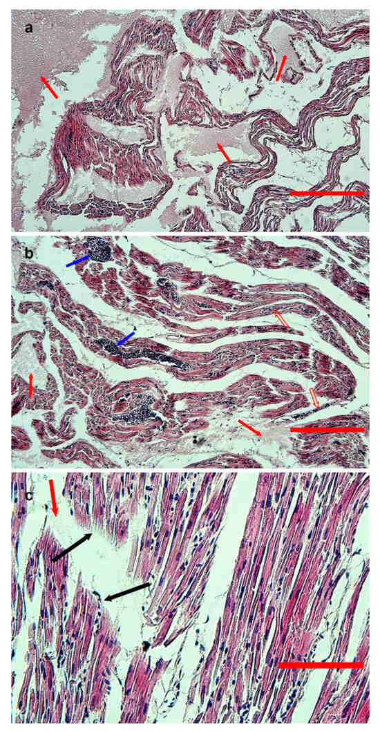
3. Results
4. Discussion
5. Conclusions
Supplementary Materials
Author Contributions
Funding
Institutional Review Board Statement
Informed Consent Statement
Data Availability Statement
Acknowledgments
Conflicts of Interest
References
- Sharma, P.; Choudhary, A.S.; Parashar, P.; Sharma, M.C.; Dobhal, M.P. Chemical constituents of plants from the genus Nerium. Chem. Biodivers. 2009, 7, 1198–1207. [Google Scholar] [CrossRef] [PubMed]
- Langford, S.; Boor, P. Oleander toxicity: An examination of human and animal toxic exposures. Toxicology 1996, 109, 1–13. [Google Scholar] [CrossRef] [PubMed]
- Amend, N.; Worek, F.; Thiermann, H.; Wille, T. Investigation of cardiac glycosides from oleander in a human induced pluripotent stem cells derived cardiomyocyte model. Toxicol. Lett. 2021, 350, 261–266. [Google Scholar] [CrossRef] [PubMed]
- Galey, F.D.; Holstege, D.M.; Plumlee, K.H.; Tor, E.; Johnson, B.; Anderson, M.L.; Blanchard, P.C.; Brown, F. Diagnosis of oleander poisoning in livestock. J. Vet. Diagn. Investig. 1996, 8, 358–364. [Google Scholar] [CrossRef] [PubMed]
- Singh, Y.; Nimoriya, R.; Rawat, P.; Mishra, D.K.; Kanojiya, S. Structural analysis of diastereomeric cardiac glycosides and their genins using ultraperformance liquid chromatography-tandem mass spectrometry. J. Am. Soc. Mass Spectrom. 2021, 32, 1205–1214. [Google Scholar] [CrossRef] [PubMed]
- Kytidou, K.; Artola, M.; Overkleeft, H.S.; Aerts, J.M.F.G. Plant glycosides and glycosidases: A treasure-trove for therapeutics. Front. Plant Sci. 2020, 11, 357. [Google Scholar] [CrossRef] [PubMed]
- Hollman, A. Plants and cardiac glycosides. Br. Heart J. 1985, 54, 258–261. [Google Scholar] [CrossRef]
- Abdou, R.H.; Basha, W.A.; Khalil, W.F. Subacute toxicity of Nerium oleander ethanolic extract in mice. Toxicol. Res. 2019, 35, 233–239. [Google Scholar] [CrossRef]
- Ruta, L.L.; Popa, C.V.; Farcasanu, I.C. Cytotoxicity of oleandrin is mediated by calcium influx and by increased manganese uptake in Saccharomyces cerevisiae cells. Molecules 2020, 25, 4259. [Google Scholar] [CrossRef]
- Prassas, I.; Diamandis, E.P. Novel therapeutic applications of cardiac glycosides. Nat. Rev. Drug Discov. 2008, 7, 926–935. [Google Scholar] [CrossRef]
- Roberts, D.M.; Gallapatthy, G.; Dunuwille, A.; Chan, B.S. Pharmacological treatment of cardiac glycoside poisoning. Br. J. Clin. Pharmacol. 2016, 81, 488–495. [Google Scholar] [CrossRef]
- de Melo, B.S.; de Morais, B.P.; de Souza Ferreira Sá, V.S.; Lourinho, F.D.; Pinheiro Toda, I.P.S.; do Nascimento, J.L.M.; Marques, D.N.; da Silva, M.C.F.; Cardoso, G.T.M.; Luz Barbas, L.A.; et al. Behavioural, electrocorticographic, and electromyographic alterations induced by Nerium oleander ethanolic extract: Anticonvulsant therapeutics assessment. Neurotoxicology 2020, 78, 21–28. [Google Scholar] [CrossRef]
- Renier, A.C.; Kass, P.H.; Magdesian, K.G.; Madigan, J.E.; Aleman, M.; Pusterla, N. Oleander toxicosis in equids: 30 cases (1995–2010). J. Am. Vet. Med. Assoc. 2013, 242, 540–549. [Google Scholar] [CrossRef]
- Omidi, A.; Razavizadeh, A.T.; Movassaghi, A.R.; Aslani, M.R. Experimental oleander (Nerium oleander) intoxication in broiler chickens (Gallus gallus). Hum. Exp. Toxicol. 2012, 31, 853–858. [Google Scholar] [CrossRef]
- Rubini, S.; Rossi, S.S.; Mestria, S.; Odoardi, S.; Chendi, S.; Poli, A.; Merialdi, G.; Andreoli, G.; Frisoni, P.; Gaudio, R.M.; et al. A probable fatal case of oleander (Nerium oleander) poisoning on a cattle farm: A new method of detection and quantification of the oleandrin toxin in rumen. Toxins 2019, 11, 442. [Google Scholar] [CrossRef] [PubMed]
- Pao-Franco, A.; Hammond, T.N.; Weatherton, L.K.; DeClementi, C.; Forney, S.D. Successful use of digoxin-specific immune Fab in the treatment of severe Nerium oleander toxicosis in a dog. J. Vet. Emerg. Crit. Care 2017, 27, 596–604. [Google Scholar] [CrossRef] [PubMed]
- Tinelli, A.; Passantino, G.; Perillo, A.; Zizzo, N. Accidental oleander (Nerium oleander L.) ingestion: Anatomo-pathological consequences in livestock species. J. Hellenic Vet. Med. Soc. 2023, 23, 5089–5094. [Google Scholar] [CrossRef]
- Alfonso, H.A.; Sanchez, L.M.; Merino, N.; Gomez, B.C. Intoxication due to Nerium oleander in geese. Vet. Hum. Toxicol. 1994, 36, 47. [Google Scholar]
- Okuda, H.; Fukushima, H.; Nakatsukasa, T.; Yamamoto, K.; Kaizaki-Mitsumoto, A.; Numazawa, S.; Kamijo, Y. Fatal poisoning due to ingestion of boiled oleander leaf extract. J. Forensic Sci. 2024, 69, 351–354. [Google Scholar] [CrossRef] [PubMed]
- Sharma, R.; Singh, S.; Tewari, N.; Dey, P. A toxic shrub turned therapeutic: The dichotomy of Nerium oleander bioactivities. Toxicon 2023, 224, 107047. [Google Scholar] [CrossRef]
- Sykes, C.A.; Uzal, F.A.; Mete, A.; Ochoa, J.; Filigenzi, M.; Poppenga, R.H.; Asin, J. Renal lesions in horses with oleander (Nerium oleander) poisoning. Animals 2022, 12, 1443. [Google Scholar] [CrossRef]
- Fouchier, R.A.; Bestebroer, T.M.; Herfst, S.; Van Der Kemp, L.; Rimmelzwaan, G.F.; Osterhaus, A.D. Detection of influenza A viruses from different species by PCR amplification of conserved sequences in the matrix gene. J. Clin. Microbiol. 2000, 38, 4096–4101. [Google Scholar] [CrossRef]
- Gohm, D.S.; Thur, B.; Hofmann, M.A. Detection of Newcastle disease virus in organs and faeces of experimentally infected chickens using RT-PCR. Avian Pathol. 2000, 29, 143–152. [Google Scholar] [CrossRef]
- Lubian, E.; Capitelli, R.; Nappi, S.; Semenza Esposito, R.; Russo, R.P.; Lodi, G.; Ravasio, G.; Bardi, E. Use of intralipid emulsion therapy to treat suspected oleander toxicosis in a domestic goose (Anser anser domesticus). J. Exot. Pet. Med. 2021, 39, 78–80. [Google Scholar] [CrossRef]
- Flores Olivares, C.A.; Moraga Muñoz, C.A.; López Eldredge, F.; Pinto Morales, J.I.; Navarrete Figueroa, L.A.; Rodriguez Latorre, C.A.; de María Peña Meza, R.J.; Sam Rodríguez, S. Accidental poisoning with Nerium oleander in dairy goat in the Santiago metropolitan region in Chile. Rev. Med. Vet. 2020, 39, 43–48. [Google Scholar] [CrossRef]
- Abbasi, M.H.; Fatima, S.; Khawar, M.B.; Jahan, S.; Sheikh, N. An in vivo study on intoxicating effects of Nerium oleander water based extract on multiorgans of Wistar rat. Can. J. Gastroenterol. Hepatol. 2018, 4739637. [Google Scholar] [CrossRef] [PubMed]
- Ni, D.; Madden, T.L.; Johansen, M.; Felix, E.; Ho, D.H.; Newman, R.A. Murine pharmacokinetics and metabolism of oleandrin, a cytotoxic component of Nerium oleander. J. Exp. Ther. Oncol. 2002, 2, 278–285. [Google Scholar] [CrossRef] [PubMed]
- Ceci, L.; Girolami, F.; Capucchio, M.T.; Colombino, E.; Nebbia, C.; Gosetti, F.; Marengo, E.; Iarussi, F.; Carelli, G. Outbreak of oleander (Nerium oleander) poisoning in dairy cattle: Clinical and food safety implications. Toxins 2020, 12, 471. [Google Scholar] [CrossRef]
- Blum, L.M.; Rieders, F. Oleandrin distribution in a fatality from rectal and oral Nerium oleander extract administration. J. Anal. Toxicol. 1987, 11, 219–221. [Google Scholar] [CrossRef]
- Jortani, S.A.; Helm, R.A.; Valdes, R., Jr. Inhibition of Na,K-ATPase by oleandrin and oleandrigenin, and their detection by digoxin immunoassays. Clin. Chem. 1996, 42, 1654–1658. [Google Scholar] [CrossRef]
- Smith, T.W.; Rasmusson, R.L.; Lobaugh, L.A.; Lieberman, M. Na+/K+ pump inhibition induces cell shrinkage in cultured chick cardiac myocytes. Basic Res. Cardiol. 1993, 88, 411–420. [Google Scholar] [CrossRef] [PubMed]
- Barbosa, R.R.; Fontenele-Neto, J.D.; Soto-Blanco, B. Toxicity in goats caused by oleander (Nerium oleander). Res. Vet. Sci. 2008, 85, 279–281. [Google Scholar] [CrossRef] [PubMed]
- McKenzie, R. Australia’s Poisonous Plants, Fungi and Cyanobacteria; Csiro: Clayton, Australia, 2020. [Google Scholar]
- Poppenga, R.H. Herbal Medicine: Potential for Intoxication and Interactions with Conventional Drugs. In Veterinary Herbal Medicine; Wynn, S.G., Fougère, B.J., Eds.; Mosby Elsevier: St. Louis, MO, USA, 2007; p. 188. [Google Scholar]





| Oleandrin Concentration (ng/g of Tissue) | |||
|---|---|---|---|
| Goose 169 | Goose 170 | Goose 176 | |
| Gastric muscle | 195.2 ± 16.7 | 50.9 ± 7.7 | 32.7 ± 10.3 |
| Thigh muscle | 57.6 ± 13.2 | 151.9 ± 35.6 | 66.5 ± 2.6 |
| Brain | 87.4 ± 3.1 | 197.8 ± 17.2 | 80.2 ± 7.3 |
| Liver | 257.6 ± 29.9 | 252.1 ± 26.2 | 88.1 ± 21.3 |
| Heart | 132.5 ± 23.1 | NA | 203.1 ± 7.1 |
| Kidney | 942.6 ± 33.3 | 1130.2 ± 41.6 | 102.4 ± 2.1 |
Disclaimer/Publisher’s Note: The statements, opinions and data contained in all publications are solely those of the individual author(s) and contributor(s) and not of MDPI and/or the editor(s). MDPI and/or the editor(s) disclaim responsibility for any injury to people or property resulting from any ideas, methods, instructions or products referred to in the content. |
© 2024 by the authors. Licensee MDPI, Basel, Switzerland. This article is an open access article distributed under the terms and conditions of the Creative Commons Attribution (CC BY) license (https://creativecommons.org/licenses/by/4.0/).
Share and Cite
Pugliese, N.; Tinelli, A.; Crescenzo, G.; Nieddu, M.; Baralla, E.; Schiavone, A.; Zizzo, N.; Samarelli, R.; Dessì, F.; Circella, E.; et al. Poisoning by Nerium oleander L. in Franconia Geese. Animals 2024, 14, 612. https://doi.org/10.3390/ani14040612
Pugliese N, Tinelli A, Crescenzo G, Nieddu M, Baralla E, Schiavone A, Zizzo N, Samarelli R, Dessì F, Circella E, et al. Poisoning by Nerium oleander L. in Franconia Geese. Animals. 2024; 14(4):612. https://doi.org/10.3390/ani14040612
Chicago/Turabian StylePugliese, Nicola, Antonella Tinelli, Giuseppe Crescenzo, Maria Nieddu, Elena Baralla, Antonella Schiavone, Nicola Zizzo, Rossella Samarelli, Filomena Dessì, Elena Circella, and et al. 2024. "Poisoning by Nerium oleander L. in Franconia Geese" Animals 14, no. 4: 612. https://doi.org/10.3390/ani14040612
APA StylePugliese, N., Tinelli, A., Crescenzo, G., Nieddu, M., Baralla, E., Schiavone, A., Zizzo, N., Samarelli, R., Dessì, F., Circella, E., Zizzadoro, C., Saleh, M. S., & Camarda, A. (2024). Poisoning by Nerium oleander L. in Franconia Geese. Animals, 14(4), 612. https://doi.org/10.3390/ani14040612

