The Role of Dietary Fatty Acids in Modulating Blue Crab (Callinectes sapidus) Physiology, Reproduction, and Quality Traits in Captivity
Simple Summary
Abstract
1. Introduction
2. Materials and Methods
2.1. Ethics
2.2. Experimental Diets
2.3. Experimental Design
2.4. Chemical Analyses
2.5. Histological Analysis
2.6. Molecular Analysis
2.7. Statistical Analysis
3. Results
3.1. Survival and Biometric Measurements
3.2. Lipid Content and Fatty Acid Profile of Breast Muscles and Ovaries
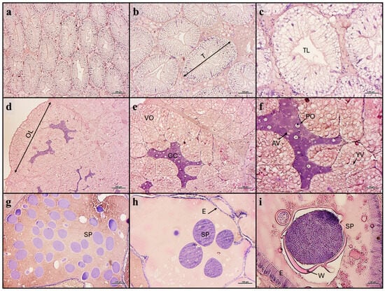
3.3. Histology of the Hepatopancreas and Gonads
3.4. Real-Time PCR Results
4. Discussion
5. Conclusions
Author Contributions
Funding
Institutional Review Board Statement
Informed Consent Statement
Data Availability Statement
Acknowledgments
Conflicts of Interest
References
- Prado, P.; Peñas, A.; Ibáñez, C.; Cabanes, P.; Jornet, L.; Álvarez, N.; Caiola, N. Prey size and species preferences in the invasive blue crab, Callinectes sapidus: Potential effects in marine and freshwater ecosystems. Estuar. Coast. Shelf Sci. 2020, 245, 106997. [Google Scholar] [CrossRef]
- Anton, A.; Geraldi, N.R.; Lovelock, C.E.; Apostolaki, E.T.; Bennett, S.; Cebrian, J.; Krause-Jensen, D.; Marbà, N.; Martinetto, P.; Pandolfi, J.M.; et al. Global ecological impacts of marine exotic species. Nat. Ecol. Evol. 2019, 3, 787–800. [Google Scholar] [CrossRef] [PubMed]
- Coll, M.; Piroddi, C.; Steenbeek, J.; Kaschner, K.; Ben Rais Lasram, F.; Aguzzi, J.; Ballesteros, E.; Bianchi, C.N.; Corbera, J.; Dailianis, T.; et al. The biodiversity of the Mediterranean Sea: Estimates, patterns, and threats. PLoS ONE 2010, 5, e11842. [Google Scholar] [CrossRef]
- Chainho, P.; Fernandes, A.; Amorim, A.; Ávila, S.P.; Canning-Clode, J.; Castro, J.J.; Costa, A.C.; Costa, J.L.; Cruz, T.; Gollasch, S.; et al. Non-indigenous species in Portuguese coastal areas, coastal lagoons, estuaries and islands. Estuar. Coast. Shelf Sci. 2015, 167, 199–211. [Google Scholar] [CrossRef]
- Nunes, A.L.; Katsanevakis, S.; Zenetos, A.; Cardoso, A.C. Gateways to alien invasions in the European seas. Aquat. Invasions 2014, 9, 133–144. [Google Scholar] [CrossRef]
- Brockerhoff, A.; McLay, C. Human-Mediated Spread of Alien Crabs. In Wrong Place—Alien Marine Crustaceans: Distribution, Biology and Impacts; Springer: Dordrecht, The Netherlands, 2011; pp. 27–106. [Google Scholar] [CrossRef]
- Nehring, S. Invasion History and Success of the American Blue Crab Callinectes sapidus in European and Adjacent Waters. In The Wrong Place—Alien Marine Crustaceans: Distribution, Biology and Impacts; Galil, B.S., Clark, P.F., Carlton, J.T., Eds.; Springer: Dordrecht, The Netherlands, 2011; pp. 607–624. ISBN 978-94-007-0591-3. [Google Scholar]
- Zenetos, A.; Corsini-Foka, M.; Crocetta, F.; Gerovasileiou, V.; Karachle, P.K.; Simboura, N.; Tsiamis, K.; Pancucci-Papadopoulou, M.-A. Deep cleaning of alien and cryptogenic species records in the Greek Seas (2018 update). Manag. Biol. Invasions 2018, 9, 209–226. [Google Scholar] [CrossRef]
- Mancinelli, G.; Bardelli, R.; Zenetos, A. A global occurrence database of the Atlantic blue crab Callinectes sapidus. Sci. Data 2021, 8, 111. [Google Scholar] [CrossRef] [PubMed]
- Mancinelli, G.; Chainho, P.; Cilenti, L.; Falco, S.; Kapiris, K.; Katselis, G.; Ribeiro, F. The Atlantic blue crab Callinectes sapidus in southern European coastal waters: Distribution, impact and prospective invasion management strategies. Mar. Pollut. Bull. 2017, 119, 5–11. [Google Scholar] [CrossRef]
- González-Ortegón, E.; Berger, S.; Encarnação, J.; Chairi, H.; Morais, P.; Teodósio, M.A.; Oliva-Paterna, F.J.; Schubart, C.D.; Cuesta, J.A. Free pass through the Pillars of Hercules? Genetic and historical insights into the recent expansion of the Atlantic blue crab Callinectes sapidus to the West and the East of the Strait of Gibraltar. Front. Mar. Sci. 2022, 9, 918026. [Google Scholar] [CrossRef]
- Encarnação, J.; Baptista, V.; Teodósio, M.A.; Morais, P. Low-cost citizen science effectively monitors the rapid expansion of a marine invasive species. Front. Environ. Sci. 2021, 9, 752705. [Google Scholar] [CrossRef]
- Zenetos, A.; Cinar, M.E.; Pancucci-Papadopoulou, M.A.; Harmelin, J.G.; Furnari, G.; Andaloro, F.; Bellou, N.; Streftaris, N.; Zibrowius, H. Annotated list of marine alien species in the Mediterranean with records of the worst invasive species. Mediterr. Mar. Sci. 2005, 6, 63–118. [Google Scholar] [CrossRef]
- Katsanevakis, S.; Wallentinus, I.; Zenetos, A.; Leppäkoski, E.; Çinar, M.E.; Oztürk, B.; Grabowski, M.; Golani, D.; Cardoso, A.C. Impacts of invasive alien marine species on ecosystem services and biodiversity: A pan-European review. Aquat. Invasions 2014, 9, 391–423. [Google Scholar] [CrossRef]
- Marchessaux, G.; Veyssiere, D.; Durieux, E.D.; Sarà, G.; Garrido, M. Using species population structure to assist in management and decision-making in the fight against invasive species: The case of the Atlantic blue crab Callinectes sapidus. Glob. Ecol. Conserv. 2024, 54, e03168. [Google Scholar] [CrossRef]
- Marchessaux, G.; Mangano, M.C.; Bizzarri, S.; M’Rabet, C.; Principato, E.; Lago, N.; Veyssiere, D.; Garrido, M.; Scyphers, S.B.; Sarà, G. Invasive blue crabs and small-scale fisheries in the Mediterranean sea: Local ecological knowledge, impacts and future management. Mar. Policy 2023, 148, 105461. [Google Scholar] [CrossRef]
- Mancinelli, G.; Guerra, M.T.; Alujević, K.; Raho, D.; Zotti, M.; Vizzini, S. Trophic flexibility of the Atlantic blue crab Callinectes sapidus in invaded coastal systems of the Apulia region (SE Italy): A stable isotope analysis. Estuar. Coast. Shelf Sci. 2017, 198, 421–431. [Google Scholar] [CrossRef]
- Epifanio, C.E. Early Life History of the Blue Crab Callinectes sapidus: A Review. J. Shellfish Res. 2019, 38, 1–22. [Google Scholar] [CrossRef]
- Jivoff, P.; Hines, A.H.; Quackenbush, L.S. Reproduction biology and embryonic development. In The Blue Crab: Callinectes Sapidus; Kennedy, V.S., Cronin, L.E., Eds.; Maryland Sea Grant: College Park, MD, USA, 2007; pp. 255–298. [Google Scholar]
- Hines, A.H. Allometric constraints and variables of reproductive effort in brachyuran crabs. Mar. Biol. 1982, 69, 309–320. [Google Scholar] [CrossRef]
- Hines, A.H. Fecundity and reproductive output in nine species of Cancer crabs (Crustacea, Brachyura, Cancridae). Can. J. Fish. Aquat. Sci. 1991, 48, 267–275. [Google Scholar] [CrossRef]
- Prager, M.H.; McConaugha, J.R.; Jones, C.; Geer, P.J. Fecundity of Blue Crab, Callinectes sapidus, in Chesapeake Bay: Biological, Statistical and Management Considerations. Bull. Mar. Sci. 1990, 46, 170–179. [Google Scholar]
- Hines, A.H.; Jivoff, P.; Bushman, P.J.; van Montfrans, J.; Reed, S.A.; Wolcott, T.G. Evidence for sperm limitation in the blue crab, Callinectes sapidus: Ingenta Connect. Bull. Mar. Sci. 2003, 72, 287–310. [Google Scholar]
- Turner, H.V.; Wolcott, D.L.; Wolcott, T.G.; Hines, A.H. Post-mating behavior, intramolt growth, and onset of migration to Chesapeake Bay spawning grounds by adult female blue crabs, Callinectes sapidus Rathbun. J. Exp. Mar. Bio. Ecol. 2003, 295, 107–130. [Google Scholar] [CrossRef]
- Ulbrich, U.; Xoplaki, E.; Dobricic, S.; García-Herrera, R.; Lionello, P.; Adani, M.; Baldi, M.; Barriopedro, D.; Coccimiglio, P.; Dalu, G.; et al. Past and Current Climate Changes in the Mediterranean Region. In Advances in Global Change Research; Springer: Dordrecht, The Netherlands, 2013; Volume 50, pp. 9–51. ISBN 978-94-007-5781-3. [Google Scholar]
- Neri, F.; Romagnoli, T.; Accoroni, S.; Campanelli, A.; Marini, M.; Grilli, F.; Totti, C. Phytoplankton and environmental drivers at a long-term offshore station in the northern Adriatic Sea (1988–2018). Cont. Shelf Res. 2022, 242, 104746. [Google Scholar] [CrossRef]
- Nagle, L.; Place, A.; Schott, E.; Jagus, R.; Messick, G.; Pitula, J. Real-time PCR-based assay for quantitative detection of Hematodinium sp. in the blue crab Callinectes sapidus. Dis. Aquat. Organ. 2009, 84, 79–87. [Google Scholar] [CrossRef]
- Mancinelli, G.; Glamuzina, B.; Petric, M.; Carrozzo, L.; Glamuzina, L.; Zotti, M.; Raho, D.; Vizzini, S. The trophic position of the Atlantic blue crab Callinectes sapidus Rathbun 1896 in the food web of Parila Lagoon (South Eastern Adriatic, Croatia): A first assessment using stable isotopes. Mediterr. Mar. Sci. 2016, 17, 634–643. [Google Scholar] [CrossRef]
- Marchessaux, G.; Vojsava, G.; Sarà, G. Environmental drivers of size-based population structure, sexual maturity and fecundity: A study of the invasive blue crab Callinectes sapidus (Rathbun, 1896) in the Mediterranean Sea. PLoS ONE 2023, 18(8), e0289611. [Google Scholar] [CrossRef] [PubMed]
- Hill, J.; Weissburg, M. Habitat complexity and predator size mediate interactions between intraguild blue crab predators and mud crab prey in oyster reefs. Mar. Ecol. Prog. Ser. 2013, 488, 209–219. [Google Scholar] [CrossRef]
- Page, J.L.; Dickman, B.D.; Webster, D.R.; Weissburg, M.J. Getting ahead: Context-dependent responses to odorant filaments drive alongstream progress during odor tracking in blue crabs. J. Exp. Biol. 2011, 214, 1498–1512. [Google Scholar] [CrossRef]
- Micheli, F. Behavioural plasticity in prey-size selectivity of the blue crab Callinectes sapidus feeding on bivalve prey. J. Anim. Ecol. 1995, 64, 63–74. [Google Scholar] [CrossRef]
- Mancinelli, G.; Carrozzo, L.; Costantini, M.L.; Rossi, L.; Marini, G.; Pinna, M. Occurrence of the Atlantic blue crab Callinectes sapidus Rathbun, 1896 in two Mediterranean coastal habitats: Temporary visitor or permanent resident? Estuar. Coast. Shelf Sci. 2013, 135, 46–56. [Google Scholar] [CrossRef]
- Mancinelli, G.; Chainho, P.; Cilenti, L.; Falco, S.; Kapiris, K.; Katselis, G.; Ribeiro, F. On the Atlantic blue crab (Callinectes sapidus Rathbun 1896) in southern European coastal waters: Time to turn a threat into a resource? Fish. Res. 2017, 194, 1–8. [Google Scholar] [CrossRef]
- Kampouris, T.E.; Porter, J.S.; Sanderson, W.G. Callinectes sapidus Rathbun, 1896 (Brachyura: Portunidae): An assessment on its diet and foraging behaviour, Thermaikos Gulf, NW Aegean Sea, Greece: Evidence for ecological and economic impacts. Crustac. Res. 2019, 48, 23–37. [Google Scholar] [CrossRef]
- Guijarro-García, E.; Vivas, M.; García, E.; Barcala, E.; Trives, M.; Muñoz, A. Atlantic blue crab (Callinectes sapidus Rathbun, 1896) in a protected coastal lagoon in SE Spain. In Proceedings of the Frontiers in Marine Science Conference Abstract: XX Iberian Symposium on Marine Biology Studies (SIEBM XX, Frontiers Media SA), Braga, Portugal, 9–12 September 2019; Volume 6. [Google Scholar]
- Fuentes, M. Rapid invasion of the American blue crab Callinectes sapidus Rathbun, 1896 in the North-East of the Iberian Peninsula. BioInvasions Rec. 2019, 8, 113–118. [Google Scholar] [CrossRef]
- Clavero, M.; Franch, N.; Bernardo-Madrid, R.; López, V.; Abelló, P.; Queral, J.M.; Mancinelli, G. Severe, rapid and widespread impacts of an Atlantic blue crab invasion. Mar. Pollut. Bull. 2022, 176, 113479. [Google Scholar] [CrossRef] [PubMed]
- Ortega-Jiménez, E.; Cuesta, J.A.; Laiz, I.; González-Ortegón, E. Diet of the Invasive Atlantic Blue Crab Callinectes sapidus Rathbun, 1896 (Decapoda, Portunidae) in the Guadalquivir Estuary (Spain). Estuaries Coasts 2024, 47, 1075–1085. [Google Scholar] [CrossRef]
- Meise, C.J.; Stehlik, L.L. Habitat use, temporal abundance variability, and diet of blue crabs from a New Jersey estuarine system. Estuaries 2003, 26, 731–745. [Google Scholar] [CrossRef]
- Bauer, L.J.; Miller, T.J. Spatial and interannual variability in winter mortality of the blue crab (Callinectes sapidus) in the Chesapeake Bay. Estuaries Coasts 2010, 33, 678–687. [Google Scholar] [CrossRef]
- Belgrad, B.A.; Griffen, B.D. The influence of diet composition on fitness of the blue crab, Callinectes sapidus. PLoS ONE 2016, 11, e0145481. [Google Scholar] [CrossRef]
- Huang, S.; Wang, J.; Yue, W.; Chen, J.; Gaughan, S.; Lu, W.; Lu, G.; Wang, C. Transcriptomic variation of hepatopancreas reveals the energy metabolism and biological processes associated with molting in Chinese mitten crab, Eriocheir sinensis. Sci. Rep. 2015, 5, 14015. [Google Scholar] [CrossRef]
- Abdullah-Zawawi, M.; Afiqah-Aleng, N.; Ikhwanuddin, M.; Sung, Y.Y.; Tola, S.; Fazhan, H.; Waiho, K. Recent development in ecdysone receptor of crustaceans: Current knowledge and future applications in crustacean aquaculture. Rev. Aquac. 2021, 13, 1938–1957. [Google Scholar] [CrossRef]
- Benrabaa, S.A.; Chang, S.A.; Chang, E.S.; Mykles, D.L. Effects of molting on the expression of ecdysteroid responsive genes in the crustacean molting gland (Y-organ). Gen. Comp. Endocrinol. 2024, 355, 114548. [Google Scholar] [CrossRef]
- Esmaeili, N.; Ma, H.; Kadri, S.; Tocher, D.R. Protein and lipid nutrition in crabs. Rev. Aquac. 2024, 16, 1499–1519. [Google Scholar] [CrossRef]
- Aaqillah-Amr, M.A.; Hidir, A.; Ahmad-Ideris, A.R.; Muhamad-Zulhilmi, R.; Peng, T.H.; Abualreesh, M.H.; Noordiyana, M.N.; Ma, H.; Ikhwanuddin, M. The effect of lipid level on the growth and reproductive performance of female orange mud crab, Scylla olivacea (Herbst, 1796), during the fattening period. Aquac. Nutr. 2021, 27, 2497–2513. [Google Scholar] [CrossRef]
- Wang, X.; Jin, M.; Cheng, X.; Luo, J.; Jiao, L.; Betancor, M.B.; Tocher, D.R.; Zhou, Q. Dietary lipid and n-3 long-chain PUFA levels impact growth performance and lipid metabolism of juvenile mud crab, Scylla paramamosain. Br. J. Nutr. 2021, 125, 876–890. [Google Scholar] [CrossRef] [PubMed]
- Zeng, X.; Li, Z.; Zhang, Z.; Shi, X.; Wang, Y. Variations in lipid composition of ovaries and hepatopancreas during vitellogenesis in the mud crab Scylla paramamosain: Implications of lipid transfer from hepatopancreas to ovaries. Aquac. Rep. 2024, 35, 102008. [Google Scholar] [CrossRef]
- Wen, X.B.; Chen, L.Q.; Zhou, Z.L.; Ai, C.X.; Deng, G.Y. Reproduction response of Chinese mitten-handed crab (Eriocheir sinensis) fed different sources of dietary lipid. Comp. Biochem. Physiol. Part A Mol. Integr. Physiol. 2002, 131, 675–681. [Google Scholar] [CrossRef]
- Koussoroplis, A.; Lemarchand, C.; Bec, A.; Desvilettes, C.; Amblard, C.; Fournier, C.; Berny, P.; Bourdier, G. From aquatic to terrestrial food webs: Decrease of the docosahexaenoic acid/linoleic acid ratio. Lipids 2008, 43, 461–466. [Google Scholar] [CrossRef]
- Vogt, G. Functional cytology of the hepatopancreas of decapod crustaceans. J. Morphol. 2019, 280, 1405–1444. [Google Scholar] [CrossRef]
- Zara, F.J.; Toyama, M.H.; Caetano, F.H.; López-Greco, L.S. Spermatogenesis, spermatophore, and seminal fluid production in the adult blue crab callinestes danae (Portunidae). J. Crustac. Biol. 2012, 32, 249–262. [Google Scholar] [CrossRef]
- Çelik, M.; Türeli, C.; Çelik, M.; Yanar, Y.; Erdem, Ü.; Küçükgülmez, A. Fatty acid composition of the blue crab (Callinectes sapidus Rathbun, 1896) in the north eastern Mediterranean. Food Chem. 2004, 88, 271–273. [Google Scholar] [CrossRef]
- Stevenson, J.R. Changing activities of the crustacean epidermis during the molting cycle. Integr. Comp. Biol. 1972, 12, 373–379. [Google Scholar] [CrossRef]
- Hardy, K.M.; Dillaman, R.M.; Locke, B.R.; Kinsey, S.T. A skeletal muscle model of extreme hypertrophic growth reveals the influence of diffusion on cellular design. Am. J. Physiol.—Regul. Integr. Comp. Physiol. 2009, 296, 1855–1867. [Google Scholar] [CrossRef] [PubMed]
- Bento, M.G.; Nascimento, F.; Mantelatto, F.; Zara, F. Ovarian development in swimming crabs: Comparative histochemistry and ultrastructure of Callinectes ornatus and Arenaeus cribrarius (Brachyura, Portunidae). Tissue Cell 2020, 66, 101395. [Google Scholar] [CrossRef] [PubMed]
- Folch, J.; Lees, M.; Stanley, G.H.S. A simple method for the isolation and purification of total lipides from animal tissues. J. Biol. Chem. 1957, 226, 497–509. [Google Scholar] [CrossRef] [PubMed]
- Christie, W.W. A simple procedure for rapid transmethylation of glycerolipids and cholesteryl esters. J. Lipid Res. 1982, 23, 1072–1075. [Google Scholar] [CrossRef] [PubMed]
- Randazzo, B.; Zarantoniello, M.; Gioacchini, G.; Giorgini, E.; Truzzi, C.; Notarstefano, V.; Cardinaletti, G.; Huyen, K.T.; Carnevali, O.; Olivotto, I. Can insect-based diets affect Zebrafish (Danio rerio) reproduction? A multidisciplinary study. Zebrafish 2020, 17, 287–304. [Google Scholar] [CrossRef]
- Johnston, D.; Calvert, K.; Crear, B.; Carter, C. Dietary carbohydrate/lipid ratios and nutritional condition in juvenile southern rock lobster, Jasus edwardsii. Aquaculture 2003, 220, 667–682. [Google Scholar] [CrossRef]
- Zarantoniello, M.; Chemello, G.; Ratti, S.; Pulido-Rodríguez, L.F.; Daniso, E.; Freddi, L.; Salinetti, P.; Nartea, A.; Bruni, L.; Parisi, G.; et al. Growth and welfare status of giant freshwater prawn (Macrobrachium rosenbergii) post-larvae reared in aquaponic systems and fed diets including enriched black soldier fly (Hermetia illucens) prepupae meal. Animals 2023, 13, 715. [Google Scholar] [CrossRef]
- Arapandian, P.S. Male reproductive system of blue swimming crab, Portunus pelagicus (Linnaeus, 1758). J. Cytol. Histol. 2013, 05, 1000206. [Google Scholar] [CrossRef]
- Cattaneo, N.; Zarantoniello, M.; Conti, F.; Frontini, A.; Chemello, G.; Dimichino, B.; Marongiu, F.; Cardinaletti, G.; Gioacchini, G.; Olivotto, I. Dietary microplastic administration during zebrafish (Danio rerio) development: A comprehensive and comparative study between larval and juvenile stages. Animals 2023, 13, 2256. [Google Scholar] [CrossRef]
- Drolet, D.; Riley, C.; Robert, S.; Estrada, R.; Gianasi, B.L.; McKindsey, C.W. Effect of aquaculture-related diets on the long-term performance and condition of the rock crab, Cancer irroratus. Front. Mar. Sci. 2022, 9, 865390. [Google Scholar] [CrossRef]
- Griffen, B.D.; Riley, M.E. Potential impacts of invasive crabs on one life history strategy of native rock crabs in the Gulf of Maine. Biol. Invasions 2015, 17, 2533–2544. [Google Scholar] [CrossRef]
- Sun, P.; Jin, M.; Jiao, L.; Monroig, Ó.; Navarro, J.C.; Tocher, D.R.; Betancor, M.B.; Wang, X.; Yuan, Y.; Zhou, Q. Effects of dietary lipid level on growth, fatty acid profiles, antioxidant capacity and expression of genes involved in lipid metabolism in juvenile swimming crab, Portunus trituberculatus. Br. J. Nutr. 2020, 123, 149–160. [Google Scholar] [CrossRef] [PubMed]
- Sarower, G.; Hasan, M.A.; Rahman, S.; Hasan, M.; Ahmmed, M.K.; Ali, M.Y.; Giteru, S.G.; Banu, G.R. Comparative growth and morphometric assessment between cultures of wild and hatchery-produced mud crabs. Heliyon 2021, 7, e07964. [Google Scholar] [CrossRef] [PubMed]
- Morris, S.; Postel, U.; Mrinalini; Turner, L.M.; Palmer, J.; Webster, S.G. The adaptive significance of crustacean hyperglycaemic hormone (CHH) in daily and seasonal migratory activities of the Christmas Island red crab Gecarcoidea natalis. J. Exp. Biol. 2010, 213, 3062–3073. [Google Scholar] [CrossRef]
- Turner, L.M.; Webster, S.G.; Morris, S. Roles of crustacean hyperglycaemic hormone in ionic and metabolic homeostasis in the christmas island blue crab, Discoplax celeste. J. Exp. Biol. 2013, 216, 1191–1201. [Google Scholar] [CrossRef]
- Vinagre, A.S.; Model, J.F.A.; Vogt, É.L.; Manara, L.M.; Trapp, M.; Da Silva, R.S.M.; Chung, J.S. Diet composition and long-term starvation do not affect crustacean hyperglycemic hormone (CHH) transcription in the burrowing crab Neohelice granulata (Dana, 1851). Comp. Biochem. Physiol.-Part A Mol. Integr. Physiol. 2020, 247, 110738. [Google Scholar] [CrossRef]
- Chung, J.S.; Zmora, N.; Katayama, H.; Tsutsui, N. Crustacean hyperglycemic hormone (CHH) neuropeptides family: Functions, titer, and binding to target tissues. Gen. Comp. Endocrinol. 2010, 166, 447–454. [Google Scholar] [CrossRef]
- Webster, S.G.; Keller, R.; Dircksen, H. The CHH-superfamily of multifunctional peptide hormones controlling crustacean metabolism, osmoregulation, moulting, and reproduction. Gen. Comp. Endocrinol. 2012, 175, 217–233. [Google Scholar] [CrossRef]
- Chung, J.S.; Zmora, N. Functional studies of crustacean hyperglycemic hormones (CHHs) of the blue crab, Callinectes sapidus—the expression and release of CHH in eyestalk and pericardial organ in response to environmental stress. FEBS J. 2008, 275, 693–704. [Google Scholar] [CrossRef]
- Toullec, J.-Y.; Serrano, L.; Lopez, P.; Soyez, D.; Spanings-Pierrot, C. The crustacean hyperglycemic hormones from an euryhaline crab Pachygrapsus marmoratus and a fresh water crab Potamon ibericum: Eyestalk and pericardial isoforms. Peptides 2006, 27, 1269–1280. [Google Scholar] [CrossRef]
- Dircksen, H.; Bocking, D.; Heyn, U.; Mandel, C.; Chung, J.S.; Baggerman, G.; Verhaert, P.; Daufeldt, S.; Plosh, T.; Jaros, P.P.; et al. Crustacean hyperglycaemic hormone (CHH)-like peptides and CHH-precursor-related peptides from pericardial organ neurosecretory cells in the shore crab, Carcinus maenas, are putatively spliced and modified products of multiple genes. Biochem. J. 2001, 356, 159–170. [Google Scholar] [CrossRef]
- Li, W.; Chiu, K.-H.; Tien, Y.-C.; Tsai, S.-F.; Shih, L.-J.; Lee, C.-H.; Toullec, J.-Y.; Lee, C.-Y. Differential effects of silencing crustacean hyperglycemic hormone gene expression on the metabolic profiles of the muscle and hepatopancreas in the crayfish Procambarus clarkii. PLoS ONE 2017, 12, e0172557. [Google Scholar] [CrossRef]
- Sacristán, H.J.; Rodríguez, Y.E.; Pereira, N.D.L.A.; Greco, L.S.L.; Lovrich, G.A.; Gimenez, A.V.F. Energy reserves mobilization: Strategies of three decapod species. PLoS ONE 2017, 12, e0184060. [Google Scholar] [CrossRef]
- Vinagre, A.S.; Da Silva, R.S. Effects of fasting and refeeding on metabolic processes in the crab Chasmagnathus granulata (Dana, 1851). Can. J. Zool. 2002, 80, 1413–1421. [Google Scholar] [CrossRef]
- Sacristán, H.J.; Ansaldo, M.; Franco-Tadic, L.M.; Gimenez, A.V.F.; Greco, L.S.L. Long-term starvation and posterior feeding effects on biochemical and physiological responses of midgut gland of Cherax quadricarinatus juveniles (Parastacidae). PLoS ONE 2016, 11, e0150854. [Google Scholar] [CrossRef]
- Zhang, B.-Y.; Wang, W.-J.; Zhu, R.; Zhang, D.-M.; Wang, N.; Zheng, N.; Wang, S.; Liu, H.-J.; Wan, J.-W.; Chen, Y.-K.; et al. Comparative study on growth performance and edible portion nutritional composition of male Eriocheir sinensis at different growth stages in rice-crab culture systems. J. Food Compos. Anal. 2024, 130, 106156. [Google Scholar] [CrossRef]
- Zhang, W.; Wang, F.; Tan, B.; Yang, Q.; Chi, S.; Dong, X.; Wang, H.; Liu, H.; Zhang, S. Effects of dietary n-3HUFA on different growth stages of the white shrimp, Litopenaeus vannamei: Growth, haematological characteristics, enzyme activities and fatty acid profiles. Aquac. Nutr. 2019, 25, 1098–1114. [Google Scholar] [CrossRef]
- Wang, X.; Jin, M.; Cheng, X.; Hu, X.; Zhao, M.; Yuan, Y.; Sun, P.; Jiao, L.; Betancor, M.B.; Tocher, D.R.; et al. Dietary DHA/EPA ratio affects growth, tissue fatty acid profiles and expression of genes involved in lipid metabolism in mud crab Scylla paramamosain supplied with appropriate n-3 LC-PUFA at two lipid levels. Aquaculture 2021, 532, 736028. [Google Scholar] [CrossRef]
- Mei, J.; Liang, X.; Yu, Y.; Lang, Y.; Li, X. The comparison and analysis of nutritional qualities of Chinese mitten crabs (Eriocheir sinensis) in rice field and pond culture modes. Food Chem. X 2023, 20, 100937. [Google Scholar] [CrossRef]
- Suprayudi, M.; Takeuchi, T.; Hamasaki, K. Essential fatty acids for larval mud crab Scylla serrata: Implications of lack of the ability to bioconvert C18 unsaturated fatty acids to highly unsaturated fatty acids. Aquaculture 2004, 231, 403–416. [Google Scholar] [CrossRef]
- Romano, N.; Zeng, C.; Noordin, N.M.; Ng, W.-K. Improving the survival, growth and hemolymph ion maintenance of early juvenile blue swimmer crabs, Portunus pelagicus, at hypo- and hyper-osmotic conditions through dietary long chain PUFA supplementation. Aquaculture 2012, 342–343, 24–30. [Google Scholar] [CrossRef]
- Yuan, Y.; Jin, M.; Fang, F.; Tocher, D.R.; Betancor, M.B.; Jiao, L.; Hong, Y.; Zhou, Q. New insight into the molting and growth in crustaceans: Regulation of energy homeostasis through the lipid nutrition. Front. Mar. Sci. 2022, 9, 914590. [Google Scholar] [CrossRef]
- Zara, F.J.; Gaeta, H.H.; Costa, T.M.; Toyama, M.H.; Caetano, F.H. The ovarian cycle histochemistry and its relationship with hepatopancreas weight in the blue crab Callinectes danae (Crustacea: Portunidae). Acta Zool. 2013, 94, 134–146. [Google Scholar] [CrossRef]
- Wu, Q.; Waiho, K.; Huang, Z.; Li, S.; Zheng, H.; Zhang, Y.; Ikhwanuddin, M.; Lin, F.; Ma, H. Growth performance and biochemical composition dynamics of ovary, hepatopancreas and muscle tissues at different ovarian maturation stages of female mud crab, Scylla paramamosain. Aquaculture 2020, 515, 734560. [Google Scholar] [CrossRef]
- Alava, V.R.; Quinitio, E.T.; de Pedro, J.B.; Priolo, F.M.P.; A Orozco, Z.G.; Wille, M. Lipids and fatty acids in wild and pond-reared mud crab Scylla serrata (Forsskål) during ovarian maturation and spawning. Aquac. Res. 2007, 38, 1468–1477. [Google Scholar] [CrossRef]
- Wang, W.; Wu, X.; Liu, Z.; Zheng, H.; Cheng, Y. Insights into hepatopancreatic functions for nutrition metabolism and ovarian development in the crab Portunus trituberculatus: Gene discovery in the comparative transcriptome of different hepatopancreas stages. PLoS ONE 2014, 9, e84921. [Google Scholar] [CrossRef]
- Wu, X.; Zhu, S.; Zhang, H.; Liu, M.; Wu, N.; Pan, J.; Luo, M.; Wang, X.; Cheng, Y. Fattening culture improves the gonadal development and nutritional quality of male Chinese mitten crab Eriocheir sinensis. Aquaculture 2020, 518, 734865. [Google Scholar] [CrossRef]
- Zheng, X.; Liu, W.; Liu, J.; Zhang, C.; Zhang, L.; Gao, F.; Zhang, D.; Chi, C. Dietary supplementation with icariin affects estrogen synthesis, vitellogenesis, and oocyte development in the Chinese mitten crab, Eriocheir sinensis. Front. Mar. Sci. 2020, 7, 509274. [Google Scholar] [CrossRef]
- Wang, X.; Tjale, P.M.; Yao, Q.; Zhang, D.-M.; Zhang, B.-Y.; Chen, Y.-K.; Zhao, Y.-L.; Liu, H.-J.; Wang, Q.-J.; Guo, Z.-X. Comparison of the growth performance and nutritional qualities of Chinese mitten crab (Eriocheir sinensis) with different stocking densities in rice-crab culture systems. Aquac. Rep. 2021, 20, 100761. [Google Scholar] [CrossRef]
- Girish, B.; Swetha, C.; Reddy, P.S. Hepatopancreas but not ovary is the site of vitellogenin synthesis in female fresh water crab, Oziothelphusa senex senex. Biochem. Biophys. Res. Commun. 2014, 447, 323–327. [Google Scholar] [CrossRef]
- Liu, M.; Pan, J.; Liu, Z.; Cheng, Y.; Gong, J.; Wu, X. Effect of estradiol on vitellogenesis and oocyte development of female swimming crab, Portunus trituberculatus. Aquaculture 2018, 486, 240–245. [Google Scholar] [CrossRef]
- Aaqillah-Amr, M.A.; Hidir, A.; Noordiyana, M.N.; Ikhwanuddin, M. Morphological, biochemical and histological analysis of mud crab ovary and hepatopancreas at different stages of development. Anim. Reprod. Sci. 2018, 195, 274–283. [Google Scholar] [CrossRef] [PubMed]
- Chen, L.; Jiang, H.; Zhou, Z.; Li, K.; Li, K.; Deng, G.Y.; Liu, Z. Purification of vitellin from the ovary of Chinese mitten-handed crab (Eriocheir sinensis) and development of an antivitellin ELISA. Comp. Biochem. Physiol. Part B Biochem. Mol. Biol. 2004, 138, 305–311. [Google Scholar] [CrossRef] [PubMed]
- Feng, W.; Zhao, Z.; Wang, J.; Han, T. Nutrient composition of ovary, hepatopancreas and muscle tissues in relation to ovarian development stage of female swimming crab, Portunus trituberculatus. Animals 2023, 13, 3220. [Google Scholar] [CrossRef] [PubMed]
- Taufik, M.; Shahrul, I.; Nordin, A.R.M.; Abol-Munafi, A.B.; Ikhwanuddin, M. Fatty acid composition of hepatopancreas and gonads in both sexes of orange mud crab, Scylla olivacea cultured at various water flow velocities. Trop. Life Sci. Res. 2020, 31, 79–105. [Google Scholar] [CrossRef]
- Dvoretsky, A.G.; Bichkaeva, F.A.; Baranova, N.F.; Dvoretsky, V.G. Fatty acid profiles in the gonads of red king crab (Paralithodes camtschaticus) from the Barents Sea. Animals 2023, 13, 336. [Google Scholar] [CrossRef]
- Mykles, D.L.; Chang, E.S. Hormonal control of the crustacean molting gland: Insights from transcriptomics and proteomics. Gen. Comp. Endocrinol. 2020, 294, 113493. [Google Scholar] [CrossRef]
- Chen, X.; Hou, X.; Yang, H.; Liu, H.; Wang, J.; Wang, C. Molecular interplay between ecdysone receptor and retinoid X receptor in regulating the molting of the Chinese mitten crab, Eriocheir sinensis. Front. Endocrinol. 2023, 14, 1251723. [Google Scholar] [CrossRef]



| Marine Diet | Terrestrial Diet | |
|---|---|---|
| Total lipids | 2.83 ± 1.56 | 3.52 ± 0.58 |
| Fatty acids | ||
| C14:0 | 3.16 ± 0.25 | 2.74 ± 0.90 |
| C16:0 | 24.62 ± 0.77 | 18.51 ± 2.34 |
| C16:1n-7 | 8.16 ± 0.06 | 1.12 ± 0.02 |
| C18:0 | 8.65 ± 0.15 | 16.04 ± 0.62 |
| C18:1n-9 | 21.91 ± 3.61 | 21.78 ± 1.87 |
| C18:1n-7 | 3.90 ± 0.22 | 3.12 ± 0.07 |
| C18:2n-6; LNA | 0.89 ± 0.38 | 24.13 ± 3.26 |
| C20:4n-6, ARA | 2.63 ± 0.50 | 7.48 ± 1.93 |
| C20:5n-3, EPA | 5.10 ± 0.33 | N.D. |
| C22:5n-3 | 1.72 ± 0.13 | 0.36 ± 0.12 |
| C24:0 | 0.12 ± 0.06 | 0.16 ± 0.05 |
| C22:6n-3, DHA | 11.27 ± 2.86 | 0.27 ± 0.08 |
| ΣSFA | 39.33 ± 0.57 | 39.33 ± 4.15 |
| ΣMUFA | 35.97 ± 3.94 | 26.85 ± 1.68 |
| Σn-3 PUFA | 18.85 ± 3.28 | 1.19 ± 0.21 |
| Σn-6 PUFA | 5.19 ± 1.23 | 32.55 ± 5.59 |
| Genes | Forward Sequence (5′-3′) | Reverse Sequence (5′-3′) | NCBI ID |
|---|---|---|---|
| ecr | GCATTGTGTTTGGAAATACCTTGCC | GCCCTCAATGCATCGAGGTATATTT | HQ630857 |
| rxr | CACCATCGACAAGAGACAGAGGAA | AGATAGCGCCACAGGAGGACTCT | HQ630860 |
| vtg | TGTACAGCTGAAAGGCGTGG | CATGGGCCGAGAACAGTCA | DQ314748 |
| hsp90 | CACCGACAACATCAAGCTGTAC | ACACCACGCACAAAGTTGAG | DQ667139 |
| chh | CTGTATGATGGCCACGCTCTCA | CAGCTCGTTGAAGATGGCTCTGT | AY536012 |
| 18s (hk) | TCAAGTGTCTGCCTTATCAGCT | TCGGATGAGTCTCGCATCGT | AY743951.1 |
| β-actin (hk) | TCGAGCACGGTATTGTCACC | GTACATGGCGGGAGTGTTGA | DQ084066.1 |
| Mar | Mix | Ter | p-Value | |
|---|---|---|---|---|
| Males | ||||
| SR (%) | 95.1 ± 2.7 | 91.6 ± 1.3 | 92.3 ± 2.8 | 0.2388 |
| CL (cm) | 6.2 ± 0.6 | 5.8 ± 0.3 | 5.9 ± 0.3 | 0.362 |
| CW (cm) | 13.3 ± 0.6 | 13.2 ± 0.7 | 12.8 ±1.3 | 0.764 |
| FBW (g) | 176.8 ± 20.7 a | 164.7 ± 6.5 a | 107.0 ± 14.7 b | 0.002 |
| WG (g) | 88.8 ± 20.3 a | 80.1 ± 8.2 a | 25.3 ± 17.3 b | 0.0112 |
| HSI (%) | 8.1 ± 0.3 | 8.1 ± 0.5 | 7.8 ± 2.5 | 0.959 |
| GSI (%) | 1.6 ± 0.5 | 1.6 ± 0.7 | 2.3 ± 1.0 | 0.462 |
| Females | ||||
| SR (%) | 91.1 ± 3.3 | 90.8 ± 1.6 | 88.8 ± 2.7 | 0.5425 |
| CL (cm) | 5.8 ± 0.3 | 5.5 ± 0.3 | 5.4 ± 0.1 | 0.720 |
| CW (cm) | 12.4 ± 0.9 | 11.6 ± 0.7 | 11.4 ± 1.2 | 0.472 |
| FBW (g) | 156.0 ± 14.1 a | 145.7 ± 18.8 a | 87.7 ± 8.0 b | 0.002 |
| WG (g) | 76.7 ± 25.7 a | 60.7 ± 20.0 a | 9.0 ± 4.6 b | 0.0043 |
| HSI (%) | 8.9 ± 1.3 b | 8.5 ± 1.0 b | 14.1 ± 1.1 a | 0.001 |
| GSI (%) | 4.8 ± 0.8 b | 5.3 ± 1.0 b | 7.9 ± 0.8 a | 0.009 |
| Mar | Mix | Ter | RMSE | p-Value | |
|---|---|---|---|---|---|
| Total lipids | 1.25 | 1.04 | 1.60 | 0.477 | ns |
| Cholesterol | 39.54 | 35.90 | 50.20 | 10.472 | ns |
| Fatty acids | |||||
| C14:0 | 2.16 a | 0.96 b | 1.28 b | 0.342 | 0.0007 |
| C16:0 | 20.18 a | 18.03 b | 17.63 b | 1.123 | 0.01 |
| C16:1n-7 | 4.80 a | 4.33 ab | 3.60 b | 0.057 | 0.04 |
| C18:0 | 7.59 c | 10.07 b | 11.80 a | 0.917 | 0.0002 |
| C18:1n-9 | 18.39 b | 16.55 b | 20.80 a | 1.369 | 0.0002 |
| C18:1n-7 | 2.80 | 2.79 | 2.86 | 0.269 | ns |
| C18:2n-6, LNA | 2.36 c | 6.26 b | 14.24 a | 1.629 | <0.0001 |
| C20:1n-9 | 1.04 a | 0.37 b | 0.36 b | 0.113 | <0.0001 |
| C20:4n-6, ARA | 3.42 c | 5.96 b | 7.77 a | 0.462 | <0.0001 |
| C20:5n-3, EPA | 10.19 a | 12.70 a | 6.68 b | 1.932 | 0.007 |
| C22:6n-3, DHA | 18.51 a | 15.15 b | 5.83 c | 1.890 | <0.0001 |
| ∑SFA | 32.71 | 31.78 | 34.09 | 1.364 | ns |
| ∑MUFA | 29.08 a | 24.53 b | 28.16 a | 1.836 | 0.01 |
| ∑n-3 PUFA | 30.65 a | 29.68 a | 13.66 b | 3.346 | <0.0001 |
| ∑n-6 PUFA | 6.85 c | 13.38 b | 23.52 a | 1.715 | <0.0001 |
| Mar | Mix | Ter | RMSE | p-Value | |
|---|---|---|---|---|---|
| Total lipids | 1.17 | 1.15 | 1.06 | 0.13 | ns |
| Cholesterol | 35.56 | 37.03 | 33.12 | 4.60 | ns |
| Fatty acids | |||||
| C14:0 | 1.68 | 1.22 | 1.09 | 0.36 | ns |
| C16:0 | 19.90 | 18.13 | 17.55 | 1.13 | ns |
| C16:1n-7 | 4.71 | 5.03 | 5.21 | 1.35 | ns |
| C18:0 | 7.86 b | 9.35 ab | 10.64 a | 0.95 | 0.02 |
| C18:1n-9 | 20.04 | 19.36 | 19.95 | 1.43 | ns |
| C18:1n-7 | 2.93 | 2.95 | 2.66 | 0.26 | ns |
| C18:2n-6, LNA | 2.39 c | 6.08 b | 10.67 a | 0.51 | <0.0001 |
| C20:1n-9 | 1.02 a | 0.54 b | 0.30 b | 0.21 | 0.01 |
| C20:4n-6, ARA | 2.98 b | 5.74 a | 6.33 a | 0.59 | 0.0003 |
| C20:5n-3, EPA | 10.34 | 10.72 | 10.28 | 1.68 | ns |
| C22:6n-3, DHA | 18.83 a | 13.90 b | 8.22 c | 2.32 | 0.002 |
| ∑SFA | 31.88 | 31.53 | 32.28 | 1.27 | ns |
| ∑MUFA | 30.51 | 28.50 | 28.64 | 2.60 | ns |
| ∑n-3 PUFA | 30.71 a | 26.17 a | 20.12 b | 3.30 | 0.01 |
| ∑n-6 PUFA | 6.43 c | 13.33 b | 18.37 a | 1.13 | <0.0001 |
| Mar | Mix | Ter | RMSE | p-Value | |
|---|---|---|---|---|---|
| Total lipids | 9.21 | 9.72 | 5.27 | 2.68 | ns |
| Fatty acids | |||||
| C14:0 | 3.29 a | 2.43 b | 1.61 c | 0.22 | 0.01 |
| C16:0 | 23.45 | 21.61 | 20.58 | 0.70 | ns |
| C16:1n-7 | 8.48 | 6.22 | 6.95 | 2.74 | ns |
| C18:0 | 6.67 c | 7.17 b | 10.96 a | 0.21 | 0.001 |
| C18:1n-9 | 18.86 | 20.38 | 19.71 | 1.94 | ns |
| C18:1n-7 | 2.94 a | 3.45 a | 2.49 b | 0.19 | 0.04 |
| C18:2n-6; LNA | 2.10 c | 5.45 b | 11.58 a | 1.02 | 0.01 |
| C20:4n-6; ARA | 2.38 c | 3.71 b | 7.88 a | 0.19 | 0.0002 |
| C20:5n-3; EPA | 7.47 a | 6.58 a | 3.91 b | 0.69 | 0.03 |
| C22:6n-3; DHA | 15.28 a | 15.04 a | 5.20 b | 1.64 | 0.01 |
| ∑SFA | 36.51 a | 33.93 b | 36.99 a | 0.47 | 0.01 |
| ∑MUFA | 32.91 | 31.70 | 30.82 | 1.62 | ns |
| ∑n-3 PUFA | 24.72 a | 23.51 a | 10.75 b | 1.15 | 0.002 |
| ∑n-6 PUFA | 5.55 c | 10.60 b | 21.18 a | 0.71 | 0.001 |
Disclaimer/Publisher’s Note: The statements, opinions and data contained in all publications are solely those of the individual author(s) and contributor(s) and not of MDPI and/or the editor(s). MDPI and/or the editor(s) disclaim responsibility for any injury to people or property resulting from any ideas, methods, instructions or products referred to in the content. |
© 2024 by the authors. Licensee MDPI, Basel, Switzerland. This article is an open access article distributed under the terms and conditions of the Creative Commons Attribution (CC BY) license (https://creativecommons.org/licenses/by/4.0/).
Share and Cite
Conti, F.; Pulido-Rodriguez, L.F.; Chemello, G.; Cattaneo, N.; Resente, M.; Parisi, G.; Olivotto, I.; Zarantoniello, M. The Role of Dietary Fatty Acids in Modulating Blue Crab (Callinectes sapidus) Physiology, Reproduction, and Quality Traits in Captivity. Animals 2024, 14, 3304. https://doi.org/10.3390/ani14223304
Conti F, Pulido-Rodriguez LF, Chemello G, Cattaneo N, Resente M, Parisi G, Olivotto I, Zarantoniello M. The Role of Dietary Fatty Acids in Modulating Blue Crab (Callinectes sapidus) Physiology, Reproduction, and Quality Traits in Captivity. Animals. 2024; 14(22):3304. https://doi.org/10.3390/ani14223304
Chicago/Turabian StyleConti, Federico, Lina Fernanda Pulido-Rodriguez, Giulia Chemello, Nico Cattaneo, Mattia Resente, Giuliana Parisi, Ike Olivotto, and Matteo Zarantoniello. 2024. "The Role of Dietary Fatty Acids in Modulating Blue Crab (Callinectes sapidus) Physiology, Reproduction, and Quality Traits in Captivity" Animals 14, no. 22: 3304. https://doi.org/10.3390/ani14223304
APA StyleConti, F., Pulido-Rodriguez, L. F., Chemello, G., Cattaneo, N., Resente, M., Parisi, G., Olivotto, I., & Zarantoniello, M. (2024). The Role of Dietary Fatty Acids in Modulating Blue Crab (Callinectes sapidus) Physiology, Reproduction, and Quality Traits in Captivity. Animals, 14(22), 3304. https://doi.org/10.3390/ani14223304

