Level of Necrosis in Feline Mammary Tumors: How to Quantify, Why and for What Purpose?
Simple Summary
Abstract
1. Introduction
2. Materials and Methods
3. Results
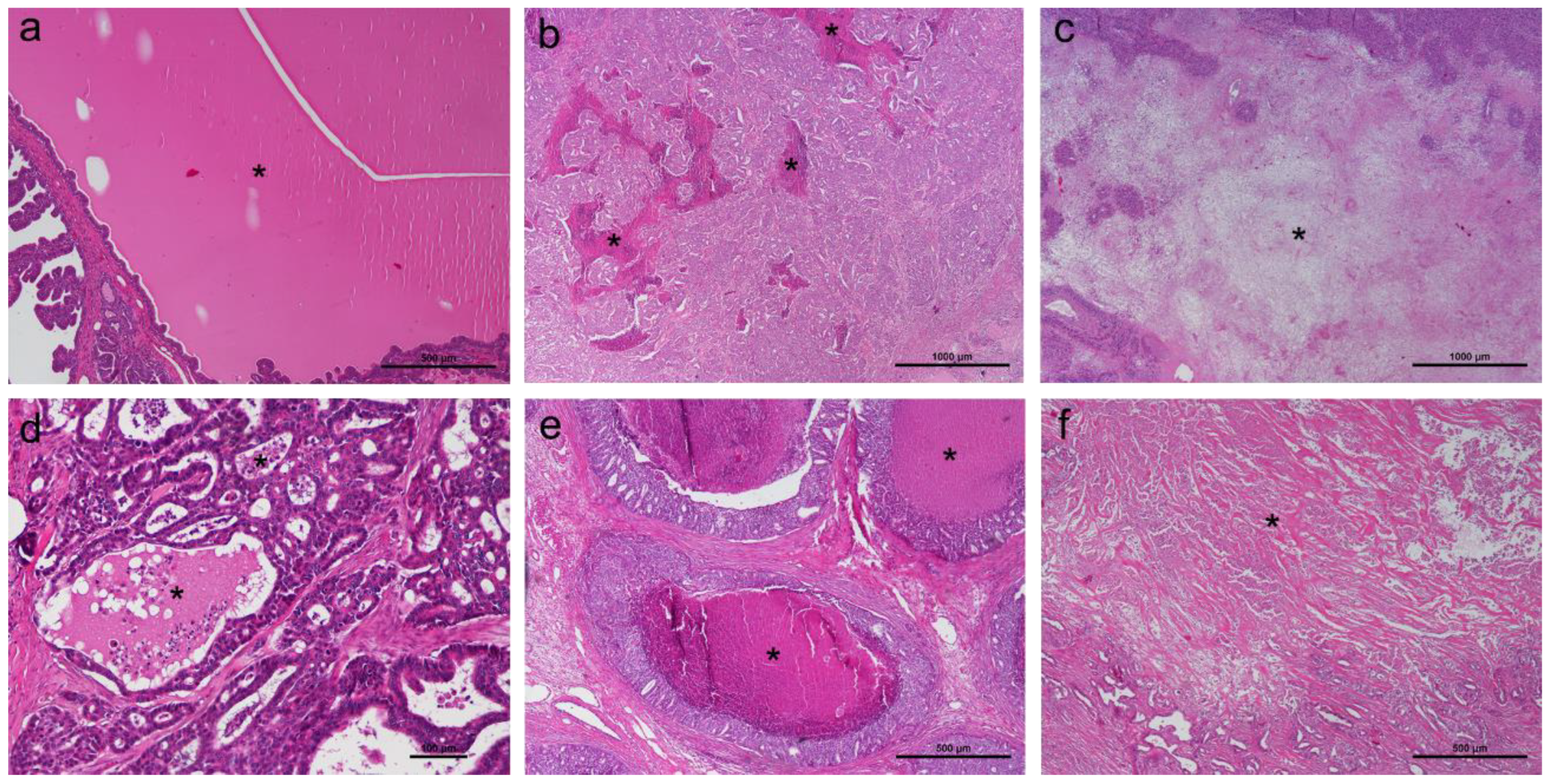
3.1. Presence vs. Absence of Necrosis and Clinicopathological Features
3.2. Level of Necrosis: Semi-Quantitative Assessment and Interobserver Agreement
3.3. Level of Necrosis: Quantitative Stereological Assessment
3.4. Survival Analysis
4. Discussion
5. Conclusions
Author Contributions
Funding
Institutional Review Board Statement
Informed Consent Statement
Data Availability Statement
Acknowledgments
Conflicts of Interest
References
- D’Arcy, M.S. Cell Death: A Review of the Major Forms of Apoptosis, Necrosis and Autophagy. Cell Biol. Int. 2019, 43, 582–592. [Google Scholar] [CrossRef] [PubMed]
- Miller, M.A.; Zachary, J.F. General Pathology. In Pathologic Basis of Veterinary Disease; Elsevier: St. Louis, MO, USA, 2017; pp. 2–321. ISBN 978-0-323-35775-3. [Google Scholar]
- Proskuryakov, S.Y.; Gabai, V.L. Mechanisms of Tumor Cell Necrosis. Curr. Pharm. Des. 2010, 16, 56–68. [Google Scholar] [CrossRef] [PubMed]
- Yee, P.P.; Li, W. Tumor Necrosis: A Synergistic Consequence of Metabolic Stress and Inflammation. Bioessays 2021, 43, e2100029. [Google Scholar] [CrossRef] [PubMed]
- Coussens, L.M.; Werb, Z. Inflammation and Cancer. Nature 2002, 420, 860–867. [Google Scholar] [CrossRef]
- Marioli-Sapsakou, G.-K.; Kourti, M. Targeting Production of Reactive Oxygen Species as an Anticancer Strategy. Anticancer Res. 2021, 41, 5881–5902. [Google Scholar] [CrossRef]
- Nakamura, H.; Takada, K. Reactive Oxygen Species in Cancer: Current Findings and Future Directions. Cancer Sci. 2021, 112, 3945–3952. [Google Scholar] [CrossRef]
- Avallone, G.; Rasotto, R.; Chambers, J.K.; Miller, A.D.; Behling-Kelly, E.; Monti, P.; Berlato, D.; Valenti, P.; Roccabianca, P. Review of Histological Grading Systems in Veterinary Medicine. Vet. Pathol. 2021, 58, 809–828. [Google Scholar] [CrossRef]
- Moore, F.M.; Williams; Bertram, C.A.; Donovan, T.A.; Klopfleisch, R.; Meuten, D.J. Santos Tumor Necrosis Guideline, Version 1.1. In Veterinary Cancer Guidelines and Protocols; WordPress: San Francisco, CA, USA, 2021. [Google Scholar]
- Richards, C.H.; Mohammed, Z.; Qayyum, T.; Horgan, P.G.; McMillan, D.C. The Prognostic Value of Histological Tumor Necrosis in Solid Organ Malignant Disease: A Systematic Review. Future Oncol. 2011, 7, 1223–1235. [Google Scholar] [CrossRef]
- Chen, B.; Lin, S.J.-H.; Li, W.-T.; Chang, H.-W.; Pang, V.F.; Chu, P.-Y.; Lee, C.-C.; Nakayama, H.; Wu, C.-H.; Jeng, C.-R. Expression of HIF-1α and VEGF in Feline Mammary Gland Carcinomas: Association with Pathological Characteristics and Clinical Outcomes. BMC Vet. Res. 2020, 16, 125. [Google Scholar] [CrossRef]
- Dagher, E.; Abadie, J.; Loussouarn, D.; Campone, M.; Nguyen, F. Feline Invasive Mammary Carcinomas: Prognostic Value of Histological Grading. Vet. Pathol. 2019, 56, 660–670. [Google Scholar] [CrossRef]
- Mills, S.W.; Musil, K.M.; Davies, J.L.; Hendrick, S.; Duncan, C.; Jackson, M.L.; Kidney, B.; Philibert, H.; Wobeser, B.K.; Simko, E. Prognostic Value of Histologic Grading for Feline Mammary Carcinoma: A Retrospective Survival Analysis. Vet. Pathol. 2015, 52, 238–249. [Google Scholar] [CrossRef] [PubMed]
- Nascimento, C.; Gameiro, A.; Correia, J.; Ferreira, J.; Ferreira, F. The Landscape of Tumor-Infiltrating Immune Cells in Feline Mammary Carcinoma: Pathological and Clinical Implications. Cells 2022, 11, 2578. [Google Scholar] [CrossRef] [PubMed]
- Weijer, K.; Hart, A.A. Prognostic Factors in Feline Mammary Carcinoma. J. Natl. Cancer Inst. 1983, 70, 709–716. [Google Scholar] [PubMed]
- Gameiro, A.; Nascimento, C.; Correia, J.; Ferreira, F. HER2-Targeted Immunotherapy and Combined Protocols Showed Promising Antiproliferative Effects in Feline Mammary Carcinoma Cell-Based Models. Cancers 2021, 13, 2007. [Google Scholar] [CrossRef]
- Gameiro, A.; Nascimento, C.; Urbano, A.C.; Correia, J.; Ferreira, F. Serum and Tissue Expression Levels of Leptin and Leptin Receptor Are Putative Markers of Specific Feline Mammary Carcinoma Subtypes. Front. Vet. Sci. 2021, 8, 83. [Google Scholar] [CrossRef]
- Zappulli, V.; Peña, L.; Rasotto, R.; Goldschmidt, M.H.; Gama, A.; Scruggs, J.L.; Kiupel, M. Surgical Pathology of Tumors of Domestic Animals—Volume 2: Mammary Tumors, 3rd ed.; Surgical Pathology of Tumors of Domestic Animals; Davis-Thompson DVM Foundation: Gurnee, IL, USA, 2019; Volume 2, ISBN 978-1-73374-911-4. [Google Scholar]
- Seixas, F.; Palmeira, C.; Pires, M.A.; Bento, M.J.; Lopes, C. Grade Is an Independent Prognostic Factor for Feline Mammary Carcinomas: A Clinicopathological and Survival Analysis. Vet. J. 2011, 187, 65–71. [Google Scholar] [CrossRef]
- Meyer, J.S.; Alvarez, C.; Milikowski, C.; Olson, N.; Russo, I.; Russo, J.; Glass, A.; Zehnbauer, B.A.; Lister, K.; Parwaresch, R. Breast Carcinoma Malignancy Grading by Bloom–Richardson System vs Proliferation Index: Reproducibility of Grade and Advantages of Proliferation Index. Mod. Pathol. 2005, 18, 1067–1078. [Google Scholar] [CrossRef]
- Santos, M.; Correia-Gomes, C.; Santos, A.; de Matos, A.; Dias-Pereira, P.; Lopes, C. Interobserver Reproducibility of Histological Grading of Canine Simple Mammary Carcinomas. J. Comp. Pathol. 2015, 153, 22–27. [Google Scholar] [CrossRef]
- Santos, M.; Dias-Pereira, P.; Correia-Gomes, C.; Marcos, R.; de Matos, A.; Rocha, E.; Lopes, C. Use of the Optical Disector in Canine Mammary Simple and Complex Carcinomas. APMIS 2017, 125, 833–839. [Google Scholar] [CrossRef]
- Santos, M.; Monteiro, R.A.F.; Rocha, E. A Stereological Study of the Volume-Weighted Volume and of the Relative Volume of the Nucleus of Normal and Preneoplastic Hepatocytes in a Trout Model of Hepatocarcinogenesis. Exp. Toxicol. Pathol. 2013, 65, 623–630. [Google Scholar] [CrossRef]
- Casanova, M.; Branco, S.; Veiga, I.B.; Barros, A.; Faísca, P. Stereology in Grading and Prognosis of Canine Cutaneous Mast Cell Tumors. Vet. Pathol. 2021, 58, 483–490. [Google Scholar] [CrossRef] [PubMed]
- Elston, C.W.; Ellis, I.O. Pathological Prognostic Factors in Breast Cancer. I. The Value of Histological Grade in Breast Cancer: Experience from a Large Study with Long-Term Follow-Up. Histopathology 1991, 19, 403–410. [Google Scholar] [CrossRef] [PubMed]
- Rodrigues-Jesus, J.; Canadas-Sousa, A.; Oliveira, P.; Figueira, A.C.; Marrinhas, C.; Petrucci, G.N.; Gregório, H.; Tinoco, F.; Goulart, A.; Felga, H.; et al. Distribution of Inflammatory Infiltrate in Feline Mammary Lesions: Relationship With Clinicopathological Features. Vet. Comp. Oncol. 2024, 22, 398–409. [Google Scholar] [CrossRef] [PubMed]
- McNeill, C.J.; Sorenmo, K.U.; Shofer, F.S.; Gibeon, L.; Durham, A.C.; Barber, L.G.; Baez, J.L.; Overley, B. Evaluation of Adjuvant Doxorubicin-Based Chemotherapy for the Treatment of Feline Mammary Carcinoma. J. Vet. Intern. Med. 2009, 23, 123–129. [Google Scholar] [CrossRef] [PubMed]
- Freere, R.H.; Weibel, E.R. Stereologic Techniques in Microscopy. J. R. Microsc. Soc. 1967, 87, 25–34. [Google Scholar] [CrossRef]
- Zappulli, V.; Rasotto, R.; Caliari, D.; Mainenti, M.; Peña, L.; Goldschmidt, M.H.; Kiupel, M. Prognostic Evaluation of Feline Mammary Carcinomas: A Review of the Literature. Vet. Pathol. 2015, 52, 46–60. [Google Scholar] [CrossRef]
- Sim, J.; Wright, C.C. The Kappa Statistic in Reliability Studies: Use, Interpretation, and Sample Size Requirements. Phys. Ther. 2005, 85, 257–268. [Google Scholar] [CrossRef]
- Fisher, E.R.; Gregorio, R.M.; Fisher, B.; Redmond, C.; Vellios, F.; Sommers, S.C. The Pathology of Invasive Breast Cancer. A Syllabus Derived from Findings of the National Surgical Adjuvant Breast Project (Protocol No. 4). Cancer 1975, 36, 1–85. [Google Scholar] [CrossRef]
- Fisher, E.R.; Palekar, A.S.; Gregorio, R.M.; Redmond, C.; Fisher, B. Pathological Findings from the National Surgical Adjuvant Breast Project (Protocol No. 4). IV. Significance of Tumor Necrosis. Hum. Pathol. 1978, 9, 523–530. [Google Scholar] [CrossRef]
- Leek, R.D.; Landers, R.J.; Harris, A.L.; Lewis, C.E. Necrosis Correlates with High Vascular Density and Focal Macrophage Infiltration in Invasive Carcinoma of the Breast. Br. J. Cancer 1999, 79, 991–995. [Google Scholar] [CrossRef]
- Northrup, N.C.; Howerth, E.W.; Harmon, B.G.; Brown, C.A.; Carmicheal, K.P.; Garcia, A.P.; Latimer, K.S.; Munday, J.S.; Rakich, P.M.; Richey, L.J.; et al. Variation among Pathologists in the Histologic Grading of Canine Cutaneous Mast Cell Tumors with Uniform Use of a Single Grading Reference. J. Vet. Diagn. Investig. 2005, 17, 561–564. [Google Scholar] [CrossRef] [PubMed]
- Papparella, S.; Crescio, M.I.; Baldassarre, V.; Brunetti, B.; Burrai, G.P.; Cocumelli, C.; Grieco, V.; Iussich, S.; Maniscalco, L.; Mariotti, F.; et al. Reproducibility and Feasibility of Classification and National Guidelines for Histological Diagnosis of Canine Mammary Gland Tumours: A Multi-Institutional Ring Study. Vet. Sci. 2022, 9, 357. [Google Scholar] [CrossRef] [PubMed]
- Yap, F.W.; Rasotto, R.; Priestnall, S.L.; Parsons, K.J.; Stewart, J. Intra- and Inter-Observer Agreement in Histological Assessment of Canine Soft Tissue Sarcoma. Vet. Comp. Oncol. 2017, 15, 1553–1557. [Google Scholar] [CrossRef] [PubMed]
- Hamilton, P.W.; van Diest, P.J.; Williams, R.; Gallagher, A.G. Do We See What We Think We See? The Complexities of Morphological Assessment. J. Pathol. 2009, 218, 285–291. [Google Scholar] [CrossRef] [PubMed]
- Sabih, D.-e.; Sabih, A.; Sabih, Q.; Khan, A.N. Image Perception and Interpretation of Abnormalities; Can We Believe Our Eyes? Can We Do Something about It? Insights Imaging 2010, 2, 47–55. [Google Scholar] [CrossRef]
- Simundic, A.-M.; Nikolac, N.; Ivankovic, V.; Ferenec-Ruzic, D.; Magdic, B.; Kvaternik, M.; Topic, E. Comparison of Visual vs. Automated Detection of Lipemic, Icteric and Hemolyzed Specimens: Can We Rely on a Human Eye? Clin. Chem. Lab. Med. 2009, 47, 1361–1365. [Google Scholar] [CrossRef]
- Taqi, S.A.; Sami, S.A.; Sami, L.B.; Zaki, S.A. A Review of Artifacts in Histopathology. J. Oral Maxillofac. Pathol. 2018, 22, 279. [Google Scholar] [CrossRef]
- Aaltomaa, S.; Lipponen, P.; Eskelinen, M.; Kosma, V.M.; Mari, S.; Alhava, E.; Syrjänen, K. Histological Assessment of the Prognostic Factors in Female Breast Cancer. Oncology 1992, 49, 1–8. [Google Scholar] [CrossRef]
- Carlomagno, C.; Perrone, F.; Lauria, R.; de Laurentiis, M.; Gallo, C.; Morabito, A.; Pettinato, G.; Panico, L.; Bellelli, T.; Apicella, A. Prognostic Significance of Necrosis, Elastosis, Fibrosis and Inflammatory Cell Reaction in Operable Breast Cancer. Oncology 1995, 52, 272–277. [Google Scholar] [CrossRef]
- Carter, D.; Pipkin, R.D.; Shepard, R.H.; Elkins, R.C.; Abbey, H. Relationship of Necrosis and Tumor Border to Lymph Node Metastases and 10-Year Survival in Carcinoma of the Breast. Am. J. Surg. Pathol. 1978, 2, 39–46. [Google Scholar] [CrossRef]
- Meuten, D.J.; Moore, F.M.; Donovan, T.A.; Bertram, C.A.; Klopfleisch, R.; Foster, R.A.; Smedley, R.C.; Dark, M.J.; Milovancev, M.; Stromberg, P.; et al. International Guidelines for Veterinary Tumor Pathology: A Call to Action. Vet. Pathol. 2021, 58, 766–794. [Google Scholar] [CrossRef] [PubMed]



| Benign Tumors (n = 18) | Malignant Tumors (n = 213) | |||
|---|---|---|---|---|
| n | % | n | % | |
| Ischemic central necrosis | ||||
| Absent | 16 | 88.9 | 104 | 48.8 |
| Present | 2 | 11.1 | 109 | 51.2 |
| Random necrosis 1 | ||||
| Absent | 14 | 77.8 | 46 | 21.6 |
| Present | 4 | 22.2 | 167 | 78.4 |
| Comedo necrosis | ||||
| Absent | 18 | 100 | 138 | 64.8 |
| Present | - | - | 75 | 35.2 |
| Ischemic Necrosis | Random Necrosis | Comedo Necrosis | |||||||
|---|---|---|---|---|---|---|---|---|---|
| Absent n (%) | Present n (%) | p Value | Absent n (%) | Present n (%) | p Value | Absent n (%) | Present n (%) | p Value | |
| Age | |||||||||
| ≤10 years | 24 (40.0%) | 36 (60.0%) | 5 (8.3%) | 55 (91.7%) | 39 (65.0%) | 21 (35.0%) | |||
| >10 years | 34 (40.4%) | 53 (59.6%) | NS | 7 (7.9%) | 82 (92.1%) | NS | 48 (53.9%) | 41 (46.1%) | NS |
| Tumor growth | |||||||||
| Expansive | 11 (55.0%) | 9 (45.0%) | 5 (25.0%) | 15 (75.0%) | 16 (80.0%) | 4 (20.0%) | |||
| Infiltrative | 49 (37.7%) | 81 (62.3%) | NS | 7 (5.4%) | 123 (94.6%) | 0.011 | 72 (55.4%) | 58 (44.6%) | 0.050 |
| Ulceration | |||||||||
| Absent | 45 (47.9%) | 49 (52.1%) | 11 (11.7%) | 83 (88.3%) | 59 (62.8%) | 35 (37.2%) | |||
| Present | 15 (26.8%) | 41 (73.2%) | 0.015 | 1 (1.8%) | 55 (98.2%) | 0.032 | 29 (51.8%) | 27 (48.2%) | NS |
| Tumor size | |||||||||
| <2 cm | 25 (59.5%) | 18 (40.5%) | 8 (19.0%) | 34 (81.0%) | 24 (57.1%) | 18 (42.9%) | |||
| 2–3 cm | 15 (37.5%) | 25 (62.5%) | 2 (5.0%) | 38 (95.0%) | 25 (62.5%) | 15 (37.5%) | |||
| >3 cm | 18 (29.5%) | 43 (70.5%) | 0.009 | 2 (3.3%) | 59 (96.7%) | 0.018 | 34 (55.7%) | 27 (44.3%) | NS |
| Clinical stage | |||||||||
| I | 10 (50.0%) | 10 (50.0%) | 4 (20.0%) | 16 (80.0%) | 12 (60.0%) | 8 (40.0%) | |||
| II | 10 (47.6%) | 11 (52.4%) | 2 (9.5%) | 19 (90.5%) | 13 (61.9%) | 8 (38.1%) | |||
| III | 38 (44.2%) | 48 (55.8%) | 5 (5.8%) | 81 (94.2%) | 51 (59.3%) | 35 (40.7%) | |||
| IV | 1 (5.0%) | 19 (95.0%) | 0.003 | - | 20 (100%) | NS | 10 (50.0%) | 10 (50.0%) | NS |
| Histological classification | |||||||||
| Simple carcinomas | 29 (38.7%) | 46 (61.3%) | 5 (6.7%) | 70 (93.3%) | 39 (52.0%) | 36 (48.0%) | |||
| Ductal-associated carcinomas | 4 (50.0%) | 4 (50.0%) | 3 (37.5%) | 5 (62.5%) | 8 (100%) | - | |||
| Special-type carcinomas | 2 (28.6%) | 5 (71.4%) | - | 7 (100%) | 6 (85.7%) | 1 (14.3%) | |||
| Other a | 2 (50.0%) | 2 (50.0%) | NS | - | 4 (100%) | NS | 2 (50.0%) | 2 (50.0%) | 0.012 |
| Histological grade (MGS) | |||||||||
| I | 15 (53.6%) | 13 (46.4%) | 7 (25.9%) | 21 (75.0%) | 21 (75.0%) | 7 (25.0%) | |||
| II | 26 (47.3%) | 29 (52.7%) | 2 (3.6%) | 53 (96.4%) | 30 (54.5%) | 25 (45.5%) | |||
| III | 17 (27.0%) | 46 (73.0%) | 0.020 | 3 (4.7%) | 60 (95.2%) | 0.005 | 35 (55.6%) | 28 (44.4%) | NS |
| Histological grade (EE) | |||||||||
| I | 7 (77.8%) | 2 (22.2%) | 2 (22.2%) | 7 (77.8%) | 8 (88.9%) | 1 (11.1%) | |||
| II | 28 (44.4%) | 35 (55.6%) | 8 (12.7%) | 55 (87.3%) | 41 (65.1%) | 22 (34.9%) | |||
| III | 23 (31.1%) | 51 (68.9%) | 0.013 | 2 (2.7%) | 72 (97.3%) | 0.040 | 37 (50.0%) | 37 (50.0%) | 0.032 |
| EE mitotic score | |||||||||
| ≤8 | 4 (80.0%) | 1 (20.0%) | 1 (20.0%) | 4 (80.0%) | 4 (80.0%) | 1 (20.0%) | |||
| 9–17 | 17 (73.9%) | 6 (26.1%) | 5 (21.7%) | 18 (78.3%) | 19 (82.6%) | 4 (17.4%) | |||
| ≥18 | 37 (31.4%) | 81 (68.6%) | <0.001 | 6 (5.1%) | 112 (94.9%) | 0.015 | 63 (53.4%) | 55 (46.6%) | 0.016 |
| Mills mitotic score | |||||||||
| ≤62 | 56 (41.5%) | 79 (58.5%) | 12 (8.9%) | 123 (91.1%) | 78 (57.8%) | 57 (42.2%) | |||
| >62 | 2 (18.2%) | 9 (81.8%) | NS | - | 11 (100%) | NS | 8 (72.7%) | 3 (27.3%) | NS |
| Nuclear pleomorphism | |||||||||
| Mild | 1 (33.3%) | 2 (66.7%) | 1 (33.3%) | 2 (66.7%) | 3 (100%) | - | |||
| Moderate | 32 (46.4%) | 37 (53.6%) | 8 (11.6%) | 61 (88.4%) | 41 (59.4%) | 28 (40.6%) | |||
| Marked | 25 (33.8%) | 49 (66.2%) | NS | 3 (4.1%) | 71 (95.9%) | NS | 42 (56.8%) | 32 (43.2%) | NS |
| Abnormal nuclear form | |||||||||
| ≤5% | 18 (47.4%) | 21 (53.8%) | 7 (18.4%) | 32 (82.1%) | 29 (76.3%) | 10 (25.6%) | |||
| >5% | 40 (37.0%) | 67 (62.6%) | NS | 5 (4.6%) | 102 (95.3%) | 0.016 | 57 (52.8%) | 50 (46.7%) | 0.024 |
| Perilesional inflammatory infiltrate | |||||||||
| Absent to focal | 5 (62.5%) | 3 (37.5%) | 3 (37.5%) | 5 (62.5%) | 8 (100%) | - | |||
| Multifocal to diffuse | 55 (38.7%) | 87 (62.3%) | NS | 9 (6.3%) | 133 (93.7%) | 0.018 | 80 (56.3%) | 62 (43.7%) | 0.021 |
| Lymphovascular invasion | |||||||||
| Absent | 40 (52.6%) | 36 (47.4%) | 9 (11.8%) | 67 (88.2%) | 48 (63.2%) | 28 (36.8%) | |||
| Present | 20 (27.0%) | 54 (73.0%) | 0.002 | 3 (4.1%) | 71 (95.9%) | NS | 40 (54.1%) | 34 (45.9%) | NS |
| Lymph node metastasis | |||||||||
| Absent | 18 (42.9%) | 24 (57.1%) | 2 (4.8%) | 40 (95.2%) | 23 (54.8%) | 19 (45.2%) | |||
| Present | 21 (30.9%) | 47 (69.1%) | NS | 3 (4.4%) | 65 (95.6%) | NS | 41 (60.3%) | 27 (39.7%) | NS |
| Distant metastasis | |||||||||
| Absent | 58 (45.7%) | 69 (54.3%) | 11 (8.7%) | 116 (91.3%) | 76 (59.8%) | 51 (40.2%) | |||
| Present | 1 (5.0%) | 19 (95.0%) | <0.001 | - | 20 (100%) | NS | 10 (50.0%) | 10 (50.0%) | NS |
| Semi-Quantitative Assessment of Necrosis | ||||||
|---|---|---|---|---|---|---|
| Observer 1 | Absent | <10% | 10–24% | 25–49% | ≥50% | |
| Observer 2 | ||||||
| Absent | 38 | 0 | 0 | 0 | 0 | |
| <10% | 0 | 61 | 14 | 2 | 1 | |
| 10–24% | 0 | 5 | 14 | 23 | 1 | |
| 25–49% | 1 | 0 | 3 | 16 | 33 | |
| ≥50% | 0 | 0 | 0 | 1 | 18 | |
Disclaimer/Publisher’s Note: The statements, opinions and data contained in all publications are solely those of the individual author(s) and contributor(s) and not of MDPI and/or the editor(s). MDPI and/or the editor(s) disclaim responsibility for any injury to people or property resulting from any ideas, methods, instructions or products referred to in the content. |
© 2024 by the authors. Licensee MDPI, Basel, Switzerland. This article is an open access article distributed under the terms and conditions of the Creative Commons Attribution (CC BY) license (https://creativecommons.org/licenses/by/4.0/).
Share and Cite
Rodrigues-Jesus, J.; Canadas-Sousa, A.; Santos, M.; Oliveira, P.; Figueira, A.C.; Marrinhas, C.; Petrucci, G.N.; Gregório, H.; Tinoco, F.; Goulart, A.; et al. Level of Necrosis in Feline Mammary Tumors: How to Quantify, Why and for What Purpose? Animals 2024, 14, 3280. https://doi.org/10.3390/ani14223280
Rodrigues-Jesus J, Canadas-Sousa A, Santos M, Oliveira P, Figueira AC, Marrinhas C, Petrucci GN, Gregório H, Tinoco F, Goulart A, et al. Level of Necrosis in Feline Mammary Tumors: How to Quantify, Why and for What Purpose? Animals. 2024; 14(22):3280. https://doi.org/10.3390/ani14223280
Chicago/Turabian StyleRodrigues-Jesus, Joana, Ana Canadas-Sousa, Marta Santos, Pedro Oliveira, Ana Catarina Figueira, Carla Marrinhas, Gonçalo N. Petrucci, Hugo Gregório, Flora Tinoco, Andrea Goulart, and et al. 2024. "Level of Necrosis in Feline Mammary Tumors: How to Quantify, Why and for What Purpose?" Animals 14, no. 22: 3280. https://doi.org/10.3390/ani14223280
APA StyleRodrigues-Jesus, J., Canadas-Sousa, A., Santos, M., Oliveira, P., Figueira, A. C., Marrinhas, C., Petrucci, G. N., Gregório, H., Tinoco, F., Goulart, A., Felga, H., Vilhena, H., & Dias-Pereira, P. (2024). Level of Necrosis in Feline Mammary Tumors: How to Quantify, Why and for What Purpose? Animals, 14(22), 3280. https://doi.org/10.3390/ani14223280

