Construction and Analysis of miRNA–mRNA Interaction Network in Ovarian Tissue of Wanxi White Geese Across Different Breeding Stages
Simple Summary
Abstract
1. Introduction
2. Materials and Methods
2.1. Ethics Statement
2.2. Animals
2.3. Ovarian Histological Analysis
2.4. Analysis of RNA-Seq Data
2.5. Analysis of miRNA Expression
2.6. Gene Ontology (GO) and Kyoto Encyclopedia of Genes and Genomes (KEGG) Enrichment Analyses
2.7. Combined Analysis of mRNA–miRNA Data
2.8. Reverse Transcription Real-Time Quantitative PCR (RT-qPCR) Verification
2.9. Dual-Luciferase Assay
2.10. Data Analysis
3. Results
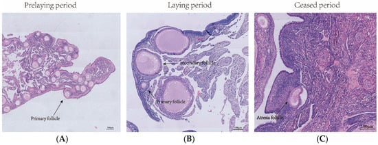
3.1. Ovarian Histological Analysis of Wanxi White Geese Across Different Periods
3.2. Analysis of Differential mRNA Expression Across Various Periods
3.3. GO Functional Enrichment Analysis of Differentially Expressed Genes
3.4. KEGG Enrichment Analysis of Differentially Expressed Genes
3.5. Differentially Expressed miRNA Expression Analysis Across Different Breeding Periods
3.6. GO Functional Enrichment Analysis of DEMs
3.7. KEGG Enrichment Analysis of Differentially Expressed miRNA
3.8. mRNA Short Time-Series Expression Miner (STEM) Analysis
3.9. miRNA Short Time-Series Expression Miner (STEM) Analysis
3.10. Construction of miRNA–mRNA Interaction Network
3.11. RNA-Seq Quantitative Verification
3.12. Dual-Luciferase Reporter Assay System
4. Discussion
5. Conclusions
Author Contributions
Funding
Institutional Review Board Statement
Informed Consent Statement
Data Availability Statement
Acknowledgments
Conflicts of Interest
References
- Campbell, D.; Lee, C.; Hinch, G.N.; Roberts, J.R. Egg production and egg quality in free-range laying hens housed at different outdoor stocking densities. Poult. Sci. 2017, 96, 3128–3137. [Google Scholar] [CrossRef] [PubMed]
- Niu, C.; Zhang, S.; Mo, G.; Jiang, Y.; Li, L.; Xu, H.; Han, C.; Zhao, H.; Yan, Y.; Hu, S.; et al. Effects of ODC on polyamine metabolism, hormone levels, cell proliferation and apoptosis in goose ovarian granulosa cells. Poult. Sci. 2021, 100, 101226. [Google Scholar] [CrossRef] [PubMed]
- Zhu, Y.; Ye, J.; Qin, P.; Yan, X.; Gong, X.; Li, X.; Liu, Y.; Li, Y.; Yu, T.; Zhang, Y.; et al. Analysis of serum reproductive hormones and ovarian genes in pubertal female goats. J. Ovarian Res. 2023, 16, 69. [Google Scholar] [CrossRef] [PubMed]
- Manyu, L.; Xiuhua, Z.; Guojun, L.; Guixue, Z. Impacts of Colored Light-Emitting Diode Illumination on the Reproductive Performance and Bioactive Constituents and the Molecular Mechanism of Hypothalamus Gland in Zi-geese. Front. Vet. Sci. 2022, 9, 874679. [Google Scholar] [CrossRef] [PubMed]
- Lin, B.; Zhou, X.; Jiang, D.; Shen, X.; Ouyang, H.; Li, W.; Xu, D.; Fang, L.; Tian, Y.; Li, X.; et al. Comparative transcriptomic analysis reveals candidate genes for seasonal breeding in the male Lion-Head goose. Br. Poult. Sci. 2023, 64, 157–163. [Google Scholar] [CrossRef] [PubMed]
- Liu, L.; Xiao, Q.; Gilbert, E.R.; Cui, Z.; Zhao, X.; Wang, Y.; Yin, H.; Li, D.; Zhang, H.; Zhu, Q. Whole-transcriptome analysis of atrophic ovaries in broody chickens reveals regulatory pathways associated with proliferation and apoptosis. Sci. Rep. 2018, 8, 7231. [Google Scholar] [CrossRef]
- Chen, J.; Zhang, S.; Chen, G.; Deng, X.; Zhang, D.; Wen, H.; Yin, Y.; Lin, Z.; Zhang, X.; Luo, W. Transcriptome Sequencing Reveals Pathways Related to Proliferation and Differentiation of Shitou Goose Myoblasts. Animals 2022, 12, 2956. [Google Scholar] [CrossRef]
- Wang, Y.; Wang, S.; Zang, Z.; Li, B.; Liu, G.; Huang, H.; Zhao, X. Molecular and transcriptomic analysis of the ovary during laying and brooding stages in Zhedong white geese (Anser cygnoides domesticus). Br. Poult. Sci. 2024, 65, 631–644. [Google Scholar] [CrossRef]
- Huang, X.; Zhou, W.; Cao, H.; Zhang, H.; Xiang, X.; Yin, Z. Ovarian Transcriptomic Analysis of Ninghai Indigenous Chickens at Different Egg-Laying Periods. Genes 2022, 13, 595. [Google Scholar] [CrossRef]
- Salas-Huetos, A.; James, E.R.; Aston, K.I.; Jenkins, T.G.; Carrell, D.T.; Yeste, M. The Expression of miRNAs in Human Ovaries, Oocytes, Extracellular Vesicles, and Early Embryos: A Systematic Review. Cells 2019, 8, 1564. [Google Scholar] [CrossRef]
- Li, Q.; Zhang, K.; Zhao, X.; Wang, Y.; Li, J.; Xie, Y.; Zhong, H.; Wang, Q. miR-199-3p suppresses cellular migration and viability and promotes progesterone production in goose ovarian follicles before selection through regulating ITGB8 and other ECM-related genes. Br. Poult. Sci. 2023, 64, 275–282. [Google Scholar] [CrossRef] [PubMed]
- Liu, J.; Dai, S.; Dai, Z.; Feng, Y.; Lei, M.; Chen, R.; Zhu, H. Transcriptome Profiling of Goose Ovarian Follicle Granulosa Cells Reveals Key Regulatory Networks for Follicle Selection. Animals 2023, 13, 2132. [Google Scholar] [CrossRef] [PubMed]
- Du, Y.; Chen, X.; Yang, H.; Sun, L.; Wei, C.; Yang, W.; Zhao, Y.; Liu, Z.; Geng, Z. Expression of Oocyte Vitellogenesis Receptor Was Regulated by C/EBPalpha in Developing Follicle of Wanxi White Goose. Animals 2022, 12, 874. [Google Scholar] [CrossRef] [PubMed]
- Yang, Y.Z.; Yao, Y.; Cao, Z.F.; Gu, T.T.; Xu, Q.; Chen, G.H. Histological characteristics of follicles and reproductive hormone secretion during ovarian follicle development in laying geese. Poult. Sci. 2019, 98, 6063–6070. [Google Scholar] [CrossRef]
- Bakhtiarizadeh, M.R.; Salehi, A.; Alamouti, A.A.; Abdollahi-Arpanahi, R.; Salami, S.A. Deep transcriptome analysis using RNA-Seq suggests novel insights into molecular aspects of fat-tail metabolism in sheep. Sci. Rep. 2019, 9, 9203. [Google Scholar] [CrossRef]
- Pertea, M.; Kim, D.; Pertea, G.M.; Leek, J.T.; Salzberg, S.L. Transcript-level expression analysis of RNA-seq experiments with HISAT, StringTie and Ballgown. Nat. Protoc. 2016, 11, 1650–1667. [Google Scholar] [CrossRef]
- Yang, X.; Liu, F.; Zhang, Y.; Wang, L.; Cheng, Y.F. Cold-responsive miRNAs and their target genes in the wild eggplant species Solanum aculeatissimum. BMC Genom. 2017, 18, 1000. [Google Scholar] [CrossRef]
- Subramaniam, R.; Selvan, C.J.; Selvan, C.J.; Venkatachalam, S.; Rossan, M.M.; Venkatachalam, K.; Kalimuthu, K.; Yesudhason, B.V. Profiling microRNAs of earthworm, Perionyx excavatus and deciphering the expression of distinct novel miRNAs regulating epimorphosis regeneration. Gene 2024, 926, 148636. [Google Scholar] [CrossRef]
- Xiang, R.; Chen, P.; Zeng, Z.; Liu, H.; Zhou, J.; Zhou, C.; Peng, J.; Zeng, H. Transcriptomic analysis shows that surgical treatment is likely to influence the endometrial receptivity of patients with stage III/IV endometriosis. Front. Endocrinol. 2022, 13, 932339. [Google Scholar] [CrossRef]
- Li, Y.; Wang, M.; Li, Q.; Gao, Y.; Li, Q.; Li, J.; Cao, Y. Transcriptome profiling of longissimus lumborum in Holstein bulls and steers with different beef qualities. PLoS ONE 2020, 15, e235218. [Google Scholar] [CrossRef]
- Su, Z.; Xiong, H.; Liu, Y.; Pang, J.; Lin, H.; Zhang, W.; Zheng, Y. Transcriptomic analysis highlights cochlear inflammation associated with age-related hearing loss in C57BL/6 mice using next generation sequencing. Peerj 2020, 8, e9737. [Google Scholar] [CrossRef] [PubMed]
- He, J.H.; Han, Z.P.; Zou, M.X.; Wang, L.; Lv, Y.B.; Zhou, J.B.; Cao, M.R.; Li, Y.G. Analyzing the LncRNA, miRNA, and mRNA Regulatory Network in Prostate Cancer with Bioinformatics Software. J. Comput. Biol. 2018, 25, 146–157. [Google Scholar] [CrossRef] [PubMed]
- Asri, N.; Fallah, S.; Rostami-Nejad, M.; Fallah, Z.; Khanlari-Kochaksaraei, M.; Jafari-Marandi, S.; Forouzesh, F.; Shahrokh, S.; Jahani-Sherafat, S.; Zali, M.R. The role of mir-197-3p in regulating the tight junction permeability of celiac disease patients under gluten free diet. Mol. Biol. Rep. 2023, 50, 2007–2014. [Google Scholar] [CrossRef] [PubMed]
- Ying, S.; Guo, J.; Dai, Z.; Zhu, H.; Yu, J.; Ma, W.; Li, J.; Akhtar, M.F.; Shi, Z. Time course effect of lipopolysaccharide on Toll-like receptors expression and steroidogenesis in the Chinese goose ovary. Reproduction 2017, 153, 509–518. [Google Scholar] [CrossRef] [PubMed]
- Wang, Z.; Wang, L.; Zhang, Y.; Yao, Y.; Zhao, W.; Xu, Q.; Chen, G. Characterization of ovarian morphology and reproductive hormones in Zhedong white geese (Anser cygnoides domesticus) during the reproductive cycle. J. Anim. Physiol. Anim. Nutr. 2021, 105, 938–945. [Google Scholar] [CrossRef]
- Xu, Q.; Zhang, Y.; Chen, Y.; Tong, Y.Y.; Rong, G.H.; Huang, Z.Y.; Zhao, R.X.; Zhao, W.M.; Wu, X.S.; Chang, G.B.; et al. Identification and differential expression of microRNAs in ovaries of laying and Broody geese (Anser cygnoides) by Solexa sequencing. PLoS ONE 2014, 9, e87920. [Google Scholar] [CrossRef]
- Ghanem, K.; Johnson, A.L. Response of hen pre-recruitment ovarian follicles to follicle stimulating hormone, in vivo. Gen. Comp. Endocrinol. 2019, 270, 41–47. [Google Scholar] [CrossRef]
- Lan, D.; Xiong, X.; Huang, C.; Mipam, T.D.; Li, J. Toward Understanding the Genetic Basis of Yak Ovary Reproduction: A Characterization and Comparative Analyses of Estrus Ovary Transcriptiome in Yak and Cattle. PLoS ONE 2016, 11, e152675. [Google Scholar] [CrossRef]
- Zhao, X.; Wu, Y.; Li, H.; Li, J.; Yao, Y.; Cao, Y.; Mei, Z. Comprehensive analysis of differentially expressed profiles of mRNA, lncRNA, and miRNA of Yili geese ovary at different egg-laying stages. BMC Genom. 2022, 23, 607. [Google Scholar] [CrossRef]
- Liu, H.; Zhang, W.; Li, Q.; Liu, J.; Zhang, T.; Zhou, T.; Li, L.; Wang, J.; Xu, H.; He, H. The comprehensive mechanisms underlying nonhierarchical follicular development in geese (Anser cygnoides). Anim. Reprod. Sci. 2015, 159, 131–140. [Google Scholar] [CrossRef]
- Li, X.; Lin, B.; Zhang, X.; Shen, X.; Ouyang, H.; Wu, Z.; Tian, Y.; Fang, L.; Huang, Y. Comparative transcriptomics in the hypothalamic-pituitary-gonad axis of mammals and poultry. Genomics 2022, 114, 110396. [Google Scholar] [CrossRef]
- Tan, Y.; Huang, Y.; Xu, C.; Huang, X.; Li, S.; Yin, Z. Long noncoding RNAs and mRNAs profiling in ovary during laying and broodiness in Taihe Black-Bone Silky Fowls (Gallus gallus Domesticus Brisson). BMC Genom. 2024, 25, 357. [Google Scholar] [CrossRef] [PubMed]
- Bello, S.F.; Xu, H.; Guo, L.; Li, K.; Zheng, M.; Xu, Y.; Zhang, S.; Bekele, E.J.; Bahareldin, A.A.; Zhu, W.; et al. Hypothalamic and ovarian transcriptome profiling reveals potential candidate genes in low and high egg production of white Muscovy ducks (Cairina moschata). Poult. Sci. 2021, 100, 101310. [Google Scholar] [CrossRef]
- Yan, X.; Liu, H.; Hu, J.; Han, X.; Qi, J.; Ouyang, Q.; Hu, B.; He, H.; Li, L.; Wang, J.; et al. Transcriptomic analyses of the HPG axis-related tissues reveals potential candidate genes and regulatory pathways associated with egg production in ducks. BMC Genom. 2022, 23, 281. [Google Scholar] [CrossRef] [PubMed]
- Bishop, C.V. Progesterone inhibition of oxytocin signaling in endometrium. Front. Neurosci. 2013, 7, 138. [Google Scholar] [CrossRef] [PubMed]
- Zhu, H.; Ding, Y.; Zhu, J.; Zhao, L.; Su, Y.; Zhao, S. RNA-seq identifies differentially expressed genes involved in csal1 overexpression in granulosa cells of prehierarchical follicles in Chinese Dagu hens. Poult. Sci. 2023, 102, 102310. [Google Scholar] [CrossRef]
- Gao, Q.; Xie, W.; Lu, W.; Liu, Y.; Zhang, H.; Han, Y.; Weng, Q. Seasonal patterns of prolactin, prolactin receptor, and STAT5 expression in the ovaries of wild ground squirrels (Citellus dauricus Brandt). Eur. J. Histochem. 2023, 67. [Google Scholar] [CrossRef]
- Abedpour, N.; Javanmard, M.Z.; Karimipour, M.; Farjah, G.H. Chlorogenic acid improves functional potential of follicles in mouse whole ovarian tissues in vitro. Mol. Biol. Rep. 2022, 49, 10327–10338. [Google Scholar] [CrossRef]
- Zhang, C.; Yu, C.; Lin, Z.; Pan, H.; Li, K.; Ma, H. MiRNAs expression profiling of rat ovaries displaying PCOS with insulin resistance. Arch. Gynecol. Obstet. 2020, 302, 1205–1213. [Google Scholar] [CrossRef]
- Jiang, M.; Han, Q.; Xu, L.; Peng, R.; Zhang, T.; Jiang, X. Comparative transcriptomic analysis of the different developmental stages of ovary in the cuttlefish Sepia pharaonis. BMC Genom. 2024, 25, 94. [Google Scholar] [CrossRef]
- Gu, B.; Liu, H.; Han, Y.; Chen, Y.; Jiang, H. Integrated analysis of miRNA and mRNA expression profiles in 2-, 6-, and 12-month-old Small Tail Han Sheep ovaries reveals that oar-miR-432 downregulates RPS6KA1 expression. Gene 2019, 710, 76–90. [Google Scholar] [CrossRef] [PubMed]
- Qin, P.; Pan, Z.; Zhang, W.; Wang, R.; Li, X.; Lu, J.; Xu, S.; Gong, X.; Ye, J.; Yan, X.; et al. Integrative proteomic and transcriptomic analysis in the female goat ovary to explore the onset of puberty. J. Proteom. 2024, 301, 105183. [Google Scholar] [CrossRef] [PubMed]
- Yang, C.; Xiong, X.; Jiang, X.; Du, H.; Li, Q.; Liu, H.; Gan, W.; Yu, C.; Peng, H.; Xia, B.; et al. Novel miRNA identification and comparative profiling of miRNA regulations revealed important pathways in Jinding duck ovaries by small RNA sequencing. 3 Biotech 2020, 10, 38. [Google Scholar] [CrossRef]
- Wang, Y.; Yuan, J.; Sun, Y.; Li, Y.; Wang, P.; Shi, L.; Ni, A.; Zong, Y.; Zhao, J.; Bian, S.; et al. Genetic Basis of Sexual Maturation Heterosis: Insights From Ovary lncRNA and mRNA Repertoire in Chicken. Front. Endocrinol. 2022, 13, 951534. [Google Scholar] [CrossRef] [PubMed]
- Li, L.; Ji, S.Y.; Yang, J.L.; Li, X.X.; Zhang, J.; Zhang, Y.; Hu, Z.Y.; Liu, Y.X. Wnt/beta-catenin signaling regulates follicular development by modulating the expression of Foxo3a signaling components. Mol. Cell. Endocrinol. 2014, 382, 915–925. [Google Scholar] [CrossRef]
- Mate, N.A.; Wadhwa, G.; Taliyan, R.; Banerjee, A. Impact of polyamine supplementation on GnRH expression, folliculogenesis, and puberty onset in young mice. Theriogenology 2024, 229, 202–213. [Google Scholar] [CrossRef] [PubMed]
- Chung, W.C.; Linscott, M.L.; Rodriguez, K.M.; Stewart, C.E. The Regulation and Function of Fibroblast Growth Factor 8 and Its Function during Gonadotropin-Releasing Hormone Neuron Development. Front. Endocrinol. 2016, 7, 114. [Google Scholar] [CrossRef]
- Wang, Y.; Madhusudan, S.; Cotellessa, L.; Kvist, J.; Eskici, N.; Yellapragada, V.; Pulli, K.; Lund, C.; Vaaralahti, K.; Tuuri, T.; et al. Deciphering the Transcriptional Landscape of Human Pluripotent Stem Cell-Derived GnRH Neurons: The Role of Wnt Signaling in Patterning the Neural Fate. Stem Cells 2022, 40, 1107–1121. [Google Scholar] [CrossRef]
- Gardner, S.; Stavrou, E.; Rischitor, P.E.; Faccenda, E.; Pawson, A.J. Targeting mediators of Wnt signalling pathways by GnRH in gonadotropes. J. Mol. Endocrinol. 2010, 44, 195–201. [Google Scholar] [CrossRef]
- Zhao, X.; Du, F.; Liu, X.; Ruan, Q.; Wu, Z.; Lei, C.; Deng, Y.; Luo, C.; Jiang, J.; Shi, D.; et al. Brain-derived neurotrophic factor (BDNF) is expressed in buffalo (Bubalus bubalis) ovarian follicles and promotes oocyte maturation and early embryonic development. Theriogenology 2019, 130, 79–88. [Google Scholar] [CrossRef]
- Tao, Z.; Song, W.; Zhu, C.; Xu, W.; Liu, H.; Zhang, S.; Huifang, L. Comparative transcriptomic analysis of high and low egg-producing duck ovaries. Poult. Sci. 2017, 96, 4378–4388. [Google Scholar] [CrossRef]
- Li, J.; Li, C.; Li, Q.; Li, W.T.; Li, H.; Li, G.X.; Kang, X.T.; Liu, X.J.; Tian, Y.D. Identification of the Key microRNAs and miRNA-mRNA Interaction Networks during the Ovarian Development of Hens. Animals 2020, 10, 1680. [Google Scholar] [CrossRef]
- Lu, L.; Zhang, L.; Zeng, T.; Du, X.; Tao, Z.; Li, G.; Zhong, S.; Wen, J.; Zhou, C.; Xu, X. Transcriptome analyses of potential regulators of pre- and post-ovulatory follicles in the pigeon (Columba livia). Reprod. Fertil. Dev. 2022, 34, 689–697. [Google Scholar] [CrossRef]
- Shrestha, K.; Al-Alem, L.; Garcia, P.; Wynn, M.; Hannon, P.R.; Jo, M.; Drnevich, J.; Duffy, D.M.; Curry, T.J. Neurotensin expression, regulation, and function during the ovulatory period in the mouse ovarydagger. Biol. Reprod. 2023, 108, 107–120. [Google Scholar] [CrossRef]
- Wang, C.; Sun, H.; Davis, J.S.; Wang, X.; Huo, L.; Sun, N.; Huang, Q.; Lv, X.; Wang, C.; He, C.; et al. FHL2 deficiency impairs follicular development and fertility by attenuating EGF/EGFR/YAP signaling in ovarian granulosa cells. Cell Death Dis. 2023, 14, 239. [Google Scholar] [CrossRef]
- Mu, J.; Yu, P.; Li, Q. microRNA-103 Contributes to Progression of Polycystic Ovary Syndrome Through Modulating the IRS1/PI3K/AKT Signal Axis. Arch. Med. Res. 2021, 52, 494–504. [Google Scholar] [CrossRef]
- Cui, Z.; Liu, L.; Kwame, A.F.; Zhu, Q.; Wang, Y.; Li, D.; Shu, G.; Tian, Y.; Zhao, X. High Expression of miR-204 in Chicken Atrophic Ovaries Promotes Granulosa Cell Apoptosis and Inhibits Autophagy. Front. Cell. Dev. Biol. 2020, 8, 580072. [Google Scholar] [CrossRef]
- Nie, R.; Zhang, W.; Tian, H.; Li, J.; Ling, Y.; Zhang, B.; Zhang, H.; Wu, C. Regulation of Follicular Development in Chickens: WIF1 Modulates Granulosa Cell Proliferation and Progesterone Synthesis via Wnt/beta-Catenin Signaling Pathway. Int. J. Mol. Sci. 2024, 25, 1788. [Google Scholar] [CrossRef]
- Luo, X.; Chen, X.; Lv, Y.; Han, Y.; Qu, X.; Zhang, Y.; Li, X.; Yu, Y.; Jin, Y. MicroRNA-101 regulates oocyte maturation in vitro via targeting HAS2 in porcine cumulus cells. Theriogenology 2022, 187, 119–126. [Google Scholar] [CrossRef] [PubMed]
- An, X.; Ma, H.; Liu, Y.; Li, F.; Song, Y.; Li, G.; Bai, Y.; Cao, B. Effects of miR-101-3p on goat granulosa cells in vitro and ovarian development in vivo via STC1. J. Anim. Sci. Biotechnol. 2020, 11, 102. [Google Scholar] [CrossRef] [PubMed]
- Yang, S.; Ma, Z.; Suo, C.; Cheng, L.; Su, J.; Lei, Z. Cloning and mRNA expression of NPB and its effect on hormone secretion of the reproductive cells in the pig. Gen. Comp. Endocrinol. 2018, 261, 97–103. [Google Scholar] [CrossRef] [PubMed]
- Aoki, S.; Inoue, Y.; Hara, S.; Itou, J.; Shirasuna, K.; Iwata, H. microRNAs associated with the quality of follicular fluids affect oocyte and early embryonic development. Reprod. Med. Biol. 2024, 23, e12559. [Google Scholar] [CrossRef] [PubMed]
- Kim, E.P.; Kim, C.Y.; Heo, M.Y.; Kim, S.W.; Kim, G.A. MicroRNA Expression Variation in Female Dog (Canis familiaris) Reproductive Organs with Age and Presence of Uteropathy. Animals 2022, 12, 3352. [Google Scholar] [CrossRef] [PubMed]
















Disclaimer/Publisher’s Note: The statements, opinions and data contained in all publications are solely those of the individual author(s) and contributor(s) and not of MDPI and/or the editor(s). MDPI and/or the editor(s) disclaim responsibility for any injury to people or property resulting from any ideas, methods, instructions or products referred to in the content. |
© 2024 by the authors. Licensee MDPI, Basel, Switzerland. This article is an open access article distributed under the terms and conditions of the Creative Commons Attribution (CC BY) license (https://creativecommons.org/licenses/by/4.0/).
Share and Cite
Li, R.; Wang, Y.; Xie, F.; Tong, X.; Li, X.; Ren, M.; Hu, Q.; Li, S. Construction and Analysis of miRNA–mRNA Interaction Network in Ovarian Tissue of Wanxi White Geese Across Different Breeding Stages. Animals 2024, 14, 3258. https://doi.org/10.3390/ani14223258
Li R, Wang Y, Xie F, Tong X, Li X, Ren M, Hu Q, Li S. Construction and Analysis of miRNA–mRNA Interaction Network in Ovarian Tissue of Wanxi White Geese Across Different Breeding Stages. Animals. 2024; 14(22):3258. https://doi.org/10.3390/ani14223258
Chicago/Turabian StyleLi, Ruidong, Yuhua Wang, Fei Xie, Xinwei Tong, Xiaojin Li, Man Ren, Qianqian Hu, and Shenghe Li. 2024. "Construction and Analysis of miRNA–mRNA Interaction Network in Ovarian Tissue of Wanxi White Geese Across Different Breeding Stages" Animals 14, no. 22: 3258. https://doi.org/10.3390/ani14223258
APA StyleLi, R., Wang, Y., Xie, F., Tong, X., Li, X., Ren, M., Hu, Q., & Li, S. (2024). Construction and Analysis of miRNA–mRNA Interaction Network in Ovarian Tissue of Wanxi White Geese Across Different Breeding Stages. Animals, 14(22), 3258. https://doi.org/10.3390/ani14223258

