Ultrasound-Guided Deep Serratus Plane Block in Cat Cadavers (Felis catus): A Description of Dye and Contrast Media Distribution
Simple Summary
Abstract
1. Introduction
2. Materials and Methods
2.1. Phase 1: Anatomical Study
2.2. Phase 2
2.2.1. Ultrasound-Guided Technique
2.2.2. Computed Tomography (CT) Study
2.2.3. Spread Study
2.3. Statistical Analysis
3. Results
3.1. Phase 1: Anatomical Study
3.2. Phase 2
3.2.1. Demographic Distribution
3.2.2. Ultrasound-Guided Technique
3.2.3. Computed Tomography (CT) Study
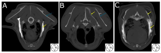
3.2.4. Spread Study
4. Discussion
5. Conclusions
Author Contributions
Funding
Institutional Review Board Statement
Informed Consent Statement
Data Availability Statement
Acknowledgments
Conflicts of Interest
References
- Evans, H.E.; de Lahunta, A. Miller’s Anatomy of the Dog, 4th ed.; Elsevier: St. Louis, MO, USA, 2013; ISBN 978-1-4377-0812-7. [Google Scholar]
- Getty, R. Sisson and Grossman’s-The Anatomy of the Domestic Animals, 5th ed.; Aufl, W.B., Ed.; Saunders Company: Philadelphia, PA, USA, 1975; Volume 2, ISBN 978-0-7216-4107-2. [Google Scholar]
- Portela, D.A.; Romano, M. The Thoracic Spinal Nerves: Overview and Functional Anatomy. In Small Animal Regional Anesthesia and Analgesia; Read, M., Campoy, L., Fischer, B., Eds.; Wiley: Hoboken, NJ, USA, 2024; pp. 113–116. ISBN 978-1-119-51415-2. [Google Scholar]
- Anatomie Comparée des Mammifères Domestiques, 5th ed.; Vigot Frères: Paris, France, 2010; Volume 7, ISBN 978-2-7114-9160-5.
- Illustrated Veterinary Anatomical Nomenclature, 4th ed.; Constantinescu, G.M., Ed.; Georg Thieme Verlag: Stuttgart, NY, USA, 2018; ISBN 978-3-13-242517-0. [Google Scholar]
- Read, M. Ultrasound-Guided Serratus Plane Block. In Small Animal Regional Anesthesia and Analgesia; Read, M., Campoy, L., Fischer, B., Eds.; Wiley: Hoboken, NJ, USA, 2024; pp. 145–152. ISBN 978-1-119-51415-2. [Google Scholar]
- Blanco, R.; Parras, T.; McDonnell, J.G.; Prats-Galino, A. Serratus Plane Block: A Novel Ultrasound-Guided Thoracic Wall Nerve Block. Anaesthesia 2013, 68, 1107–1113. [Google Scholar] [CrossRef]
- Xie, C.; Ran, G.; Chen, D.; Lu, Y. A Narrative Review of Ultrasound-Guided Serratus Anterior Plane Block. Ann. Palliat. Med. 2021, 10, 700–706. [Google Scholar] [CrossRef]
- Kunhabdulla, N.P.; Agarwal, A.; Gaur, A.; Gautam, S.K.; Gupta, R.; Agarwal, A. Serratus Anterior Plane Block for Multiple Rib Fractures. Pain Physician 2014, 17, E553–E555. [Google Scholar] [CrossRef] [PubMed]
- Paul, S.; Bhoi, S.; Sinha, T.; Kumar, G. Ultrasound-Guided Serratus Anterior Plane Block for Rib Fracture-Associated Pain Management in Emergency Department. J. Emerg. Trauma Shock 2020, 13, 208. [Google Scholar] [CrossRef] [PubMed]
- Viti, A.; Bertoglio, P.; Zamperini, M.; Tubaro, A.; Menestrina, N.; Bonadiman, S.; Avesani, R.; Guerriero, M.; Terzi, A. Serratus Plane Block for Video-Assisted Thoracoscopic Surgery Major Lung Resection: A Randomized Controlled Trial. Interact. CardioVascular Thorac. Surg. 2020, 30, 366–372. [Google Scholar] [CrossRef] [PubMed]
- Kazior, M.R.; King, A.B.; Lopez, M.G.; Billings, F.T.; Costello, W.T. Serratus Anterior Plane Block for Minimally Invasive Valve Surgery Thoracotomy Pain. J. Clin. Anesth. 2019, 56, 48–49. [Google Scholar] [CrossRef] [PubMed]
- Freitag, F.A.V.; Gaio, T.S.; dos Santos, A.A.M.; Muehlbauer, E.; Machado, M.; Duque, J.C.M. Ultrasound-Guided Superficial Serratus Plane Block in Dog Cadavers: An Anatomical Evaluation and Volume Dispersion Study. Vet. Anaesth. Analg. 2020, 47, 88–94. [Google Scholar] [CrossRef]
- Drozdzynska, M.; Fitzgerald, E.; Neilson, D.; Viscasillas, J. Description of Ultrasound-Guided Serratus Plane Block in Dogs: Cadaveric Study. Vet. Anaesth. Analg. 2017, 44, 389–395. [Google Scholar] [CrossRef]
- Teixeira, L.G.; Pujol, D.M.; Pazzim, A.F.; Souza, R.P.; Fadel, L. Combination of Transversus Abdominis Plane Block and Serratus Plane Block Anesthesia in Dogs Submitted to Masctetomy. Pesq. Vet. Bras. 2018, 38, 315–319. [Google Scholar] [CrossRef]
- Asorey, I.; Sambugaro, B.; Bhalla, R.J.; Drozdzynska, M. Ultrasound-Guided Serratus Plane Block as an Effective Adjunct to Systemic Analgesia in Four Dogs Undergoing Thoracotomy. Open Vet. J. 2021, 10, 407–411. [Google Scholar] [CrossRef]
- Bosak, V.L.; Piontkovsky, R.J.; Mazur Dos Santos, A.; Gonçalves Sousa, M.; Triches Dornbusch, P.; Duque, J.C. Ultrasound-Guided Superficial Serratus Plane Block in Multimodal Analgesia for Three Dogs Undergoing Surgical Correction of Persistent Ductus Arteriosus. Vet. Anaesth. Analg. 2022, 49, 330–332. [Google Scholar] [CrossRef] [PubMed]
- Salmeron Castillo, A.; Viscasillas Monteagudo, J.; Engel Manchado, J. Bloqueo Locorregional Del Plano Del Serrato Para Toracotomía Intercostal Craneal En Perros: A Propósito de Cinco Casos Clínicos de Cirugía Correctora de CAP. Clinanesvet 2019, 16, 11–16. [Google Scholar]
- Martinez i Ferre, B.; Re Bravo, V.; Drozdzynska, M. Opioid-sparing Anaesthesia Techniques in Dog and Cat Undergoing Bilateral Thoracotomy. Vet. Rec. Case Rep. 2023, 11, e516. [Google Scholar] [CrossRef]
- WSAVA Nutritional Assessment Guidelines Task Force Members; Freeman, L.; Becvarova, I.; Cave, N.; MacKay, C.; Nguyen, P.; Rama, B.; Takashima, G.; Tiffin, R.; Tsjimoto, H.; et al. WSAVA Nutritional Assessment Guidelines. JSAP 2011, 52, 385–396. [Google Scholar] [CrossRef]
- Polo-Paredes, G.; Laredo, F.G.; Gil, F.; Soler, M.; Agut, A.; Belda, E. Modified Ultrasound-Guided Dorsal Quadratus Lumborum Block in Cat Cadavers. Animals 2023, 13, 3798. [Google Scholar] [CrossRef]
- Polo-Paredes, G.; Soler, M.; Gil, F.; Laredo, F.G.; Agut, A.; Carrillo-Flores, S.; Belda, E. Description and Evaluation of Dye and Contrast Media Distribution of Ultrasound-Guided Rectus Sheath Block in Cat Cadavers. Animals 2024, 14, 1743. [Google Scholar] [CrossRef]
- Raymond, S.A.; Steffensen, S.C.; Gugino, L.D.; Strichartz, G.R. The Role of Length of Nerve Exposed to Local Anesthetics in Impulse Blocking Action. Anesth. Analg. 1989, 68, 563–570. [Google Scholar] [CrossRef]
- Vélez-García, J.F.; Kfoury Junior, J.R.; Miglino, M.A. Evolutionary Study of the Extrinsic Thoracic Limb Muscles of the Domestic Cat (Felis Catus, Feliformia, Carnivora) Based on Their Topology and Innervation. Acta Zool. 2023, 105, 419–438. [Google Scholar] [CrossRef]
- Grubb, T.; Lobprise, H. Local and Regional Anaesthesia in Dogs and Cats: Overview of Concepts and Drugs (Part 1). Vet. Med. Sci. 2020, 6, 209–217. [Google Scholar] [CrossRef]
- Monteiro, B.P.; Lascelles, B.D.X.; Murrell, J.; Robertson, S.; Steagall, P.V.M.; Wright, B. 2022 WSAVA Guidelines for the Recognition, Assessment and Treatment of Pain. JSAP 2023, 64, 177–254. [Google Scholar] [CrossRef]
- Martin-Flores, M. Clinical Pharmacology and Toxicology of Local Anesthetics and Adjuncts. In Small Animal Regional Anesthesia and Analgesia; Campoy, L., Read, M.R., Eds.; Wiley: Hoboken, NJ, USA, 2013; pp. 25–40. ISBN 978-0-8138-1994-5. [Google Scholar]
- Bloc, S.; Ecoffey, C.; Dhonneur, G. Controlling Needle Tip Progression during Ultrasound-Guided Regional Anesthesia Using the Hydrolocalization Technique. Reg. Anesth. Pain Med. 2008, 33, 382. [Google Scholar] [CrossRef] [PubMed]
- Thompson, S.E.; Johnson, J.M. Analgesia in Dogs after Intercostal Thoracotomy A Comparison of Morphine, Selective Intercostal Nerve Block, and Interpleural Regional Analgesia with Bupivacaine. Vet. Surg. 1991, 20, 73–77. [Google Scholar] [CrossRef] [PubMed]
- Flecknell, P.A.; Kirk, A.J.B.; Liles, J.H.; Hayes, P.H.; Dark, J.H. Post-Operative Analgesia Following Thoracotomy in the Dog: An Evaluation of the Effects of Bupivacaine Intercostal Nerve Block and Nalbuphine on Respiratory Function. Lab. Anim. 1991, 25, 319–324. [Google Scholar] [CrossRef]
- Pascoe, P.J.; Dyson, D.H. Analgesia After Lateral Thoracotomy in Dogs Epidural Morphine vs. Intercostal Bupivacaine. Vet. Surg. 1993, 22, 141–147. [Google Scholar] [CrossRef] [PubMed]
- Chin, K.J.; Versyck, B.; Elsharkawy, H.; Rojas Gomez, M.F.; Sala-Blanch, X.; Reina, M.A. Anatomical Basis of Fascial Plane Blocks. Reg. Anesth. Pain Med. 2021, 46, 581–599. [Google Scholar] [CrossRef]
- Machin, H.; Merlin, T.; Viscasillas, J. Use of Ultrasonography to Confirm Epidural Catheter Position in a Cat. Vet. Anaesth. Analg. 2018, 45, 711–713. [Google Scholar] [CrossRef]
- Ferreira, T.H. Ultrasound-Guided Erector Spinae Plane Block. In Small Animal Regional Anesthesia and Analgesia; Read, M., Campoy, L., Fischer, B., Eds.; Wiley: Hoboken, NJ, USA, 2024; pp. 161–175. ISBN 978-1-119-51415-2. [Google Scholar]
- Portela, D.A. Ultrasound-Guided Thoracic Paravertebral Block. In Small Animal Regional Anesthesia and Analgesia; Read, M., Campoy, L., Fischer, B., Eds.; Wiley: Hoboken, NJ, USA, 2024; pp. 127–135. ISBN 978-1-119-51415-2. [Google Scholar]
- Thomson, A.C.S. Ultrasound-Guided Intercostal Nerve Block. In Small Animal Regional Anesthesia and Analgesia; Read, M., Campoy, L., Fischer, B., Eds.; Wiley: Hoboken, NJ, USA, 2024; pp. 137–144. ISBN 978-1-119-51415-2. [Google Scholar]
- De Miguel Garcia, C.; Whyte, M.; St James, M.; Ferreira, T.H. Effect of Contrast and Local Anesthetic on Dye Spread Following Transversus Abdominis Plane Injection in Dog Cadavers. Vet. Anaesth. Analg. 2020, 47, 391–395. [Google Scholar] [CrossRef]
- Kim, S.-C.; Hauser, S.; Staniek, A.; Weber, S. Learning Curve of Medical Students in Ultrasound-Guided Simulated Nerve Block. J. Anesth. 2014, 28, 76–80. [Google Scholar] [CrossRef]









| Location of the Staining | ||
|---|---|---|
| Nerve | Deep Plane | Superficial Plane |
| RCL2 | 17.39% (4/23) | 8.70% (2/23) |
| RCL3 | 52.17% (12/23) | 26.09% (6/23) |
| RCL4 | 78.26% (18/23) | 43.48% (10/23) |
| RCL5 | 91.30% (21/23) | 65.22% (15/23) |
| RCL6 | 78.26% (18/23) | 26.09% (6/23) |
| RCL7 | 8.70% (2/23) | 0% (0/23) |
| RCL8 | 0% (0/23) | 0% (0/23) |
Disclaimer/Publisher’s Note: The statements, opinions and data contained in all publications are solely those of the individual author(s) and contributor(s) and not of MDPI and/or the editor(s). MDPI and/or the editor(s) disclaim responsibility for any injury to people or property resulting from any ideas, methods, instructions or products referred to in the content. |
© 2024 by the authors. Licensee MDPI, Basel, Switzerland. This article is an open access article distributed under the terms and conditions of the Creative Commons Attribution (CC BY) license (https://creativecommons.org/licenses/by/4.0/).
Share and Cite
Polo-Paredes, G.; Soler, M.; Gil, F.; Laredo, F.G.; Agut, A.; Carrillo-Flores, S.; Belda, E. Ultrasound-Guided Deep Serratus Plane Block in Cat Cadavers (Felis catus): A Description of Dye and Contrast Media Distribution. Animals 2024, 14, 2978. https://doi.org/10.3390/ani14202978
Polo-Paredes G, Soler M, Gil F, Laredo FG, Agut A, Carrillo-Flores S, Belda E. Ultrasound-Guided Deep Serratus Plane Block in Cat Cadavers (Felis catus): A Description of Dye and Contrast Media Distribution. Animals. 2024; 14(20):2978. https://doi.org/10.3390/ani14202978
Chicago/Turabian StylePolo-Paredes, Gonzalo, Marta Soler, Francisco Gil, Francisco G. Laredo, Amalia Agut, Sara Carrillo-Flores, and Eliseo Belda. 2024. "Ultrasound-Guided Deep Serratus Plane Block in Cat Cadavers (Felis catus): A Description of Dye and Contrast Media Distribution" Animals 14, no. 20: 2978. https://doi.org/10.3390/ani14202978
APA StylePolo-Paredes, G., Soler, M., Gil, F., Laredo, F. G., Agut, A., Carrillo-Flores, S., & Belda, E. (2024). Ultrasound-Guided Deep Serratus Plane Block in Cat Cadavers (Felis catus): A Description of Dye and Contrast Media Distribution. Animals, 14(20), 2978. https://doi.org/10.3390/ani14202978

