Leptospirosis in the Platypus (Ornithorhynchus anatinus) in Australia: Who Is Infecting Whom?
Abstract
Simple Summary
Abstract
1. Introduction
2. Materials and Methods
2.1. General
2.2. Study Sites
2.3. Trapping and Sampling from Free-Living Platypuses
2.4. Routine Processing of Platypus Blood Samples
2.5. Platypus Serum Bank
2.6. Necropsy Samples
2.7. Collection and Processing of Blood Samples from Cattle
2.8. Culture of Leptospires
2.9. Microscopic Agglutination Test
2.10. Statistical Analysis
2.10.1. Serology
2.10.2. Spatial Analysis
3. Results
3.1. Validation of Testing of Archival Samples
3.2. Seroprevalence of Leptospiral Infection in Platypuses
3.3. Platypus Hot-Spot Analysis
3.4. Age
3.5. Sex
3.6. Seroprevalence over Time in the Upper Shoalhaven River
3.7. Repeated Sampling of Individual Platypuses over Time
3.7.1. Shoalhaven River
3.7.2. Wollondilly River
3.8. Lactation
3.9. Culture of Leptospires
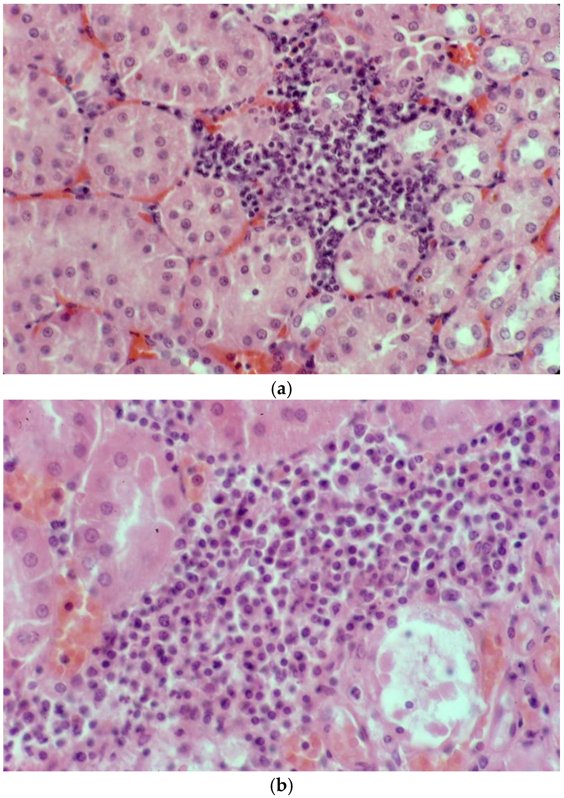
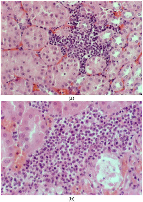
3.10. Histopathology
3.11. Seroprevalence of Leptospiral Infection in Sympatric Cattle
3.12. Platypus and Cattle Colocation Analysis
3.13. Captive Platypuses
4. Discussion
4.1. Overall Findings
4.2. Potential Transmission Locations
4.3. Age
4.4. Sex
4.5. Impact of Leptospirosis on Platypuses
4.6. Effects of Quality and Consistency of MAT Data
4.7. Platypus Serum Bank
4.8. Biological Meaning of MAT Titres
4.9. Who Is Infecting Whom?
4.9.1. Exchange of Leptospiral Infection between Platypus and Cattle
4.9.2. Independent Infection Cycles
4.9.3. Alternative Maintenance Hosts
4.10. Lower Prevalence of Leptospirosis in Tasmania
4.11. Confirming Transmission between Host Species Requires the Genomic Identification of Leptospires
4.12. Is the Platypus a Maintenance Host?
4.13. Limitations
5. Conclusions
Supplementary Materials
Author Contributions
Funding
Institutional Review Board Statement
Informed Consent Statement
Data Availability Statement
Acknowledgments
Conflicts of Interest
Appendix A
| River Basin | River/Creek | Jurisdiction | Movements (kms) | Methodology | Reference | ||
|---|---|---|---|---|---|---|---|
| Range | Mean | Max | |||||
| Border Rivers | Severn River | NSW | 0.4–5.9 | - | 11.1 * | AT | [119] |
| Shoalhaven River | Shoalhaven River | NSW | 0.2–5.6 | 1.3 | 5.6 | M-R, RT | [79,120] |
| Snowy River | Thredbo River | NSW | 0.4–2.3 | - | 2.3 | RT | [79,80,81,82,83,84,85,86,87,88,89,90,91,92,93,94,95,96,97,98,99,100,101,102,103,104,105,106,107,108,109,110,111,112,113,114,115,116,117,118,119,120,121] |
| Snowy River | Snowy River | NSW | 0.2–7.1 | - | 7.08 | AT | [122] |
| Goulburn River | Goulburn River | VIC | 0.4–2.6 | - | - | RT | [123] |
| Upper Murray River | Mitta Mitta River | VIC | 1.8–8.5 | - | 8.5 | AT | [124] |
| Yarra River | Badger Creek | VIC | 0.3–2.3 | 1.4 | 2.3 | M-R, RT | [53] |
| Yarra River | Badger Creek | VIC | 2.7–7.0 | 2.0 | 15.0 * | M-R, RT | [125] |
| Yarra River | Yarra River, other | VIC | 2.9–7.3 | 4.6 | 10.4 * | RT | [126] |
References
- Grant, T. Family Ornithorhynchidae (Platypus). In Handbook of the Mammals of the World. Vol. 5 Monotremes and Marsupials; Wilson, D., Mittermeier, R., Eds.; Lynx Edicions: Barcelona, Spain, 2015; pp. 58–69. [Google Scholar]
- Australian Government Department of Climate Change Energy the Environment and Water Species Nominations Not Prioritised for Assessment. Ornithorhynchus anatinus (platypus). Available online: https://www.dcceew.gov.au/environment/biodiversity/threatened/nominations/species-not-prioritised-assessment#:~:text=The%20species%20is%20included%20in,and%20Biodiversity%20Conservation%20Act%201999 (accessed on 10 January 2024).
- Woinarski, J.; Burbidge, A.A. Ornithorhynchus anatinus. The IUCN Red List of Threatened Species. Available online: http://www.iucnredlist.org/details/40488/0 (accessed on 28 June 2017).
- Government of Victoria Flora and Fauna Guarantee Act 1988. Available online: http://www.gazette.vic.gov.au/gazette/Gazettes2021/GG2021S019.pdf (accessed on 10 January 2024).
- Grant, T.R. Historical and current distribution of the platypus, Ornithorhynchus anatinus, in Australia. In Platypus and Echidnas; Augee, M.L., Ed.; Royal Zoological Society of NSW: Sydney, Australia, 1992; pp. 232–254. [Google Scholar]
- Government of South Australia National Parks and Wildlife Act 1972. Available online: https://www.legislation.sa.gov.au/__legislation/lz/c/a/national%20parks%20and%20wildlife%20act%201972/current/1972.56.auth.pdf (accessed on 10 January 2024).
- Connolly, J.H.; Obendorf, D.L.; Whittington, R.J.; Muir, D.B. Causes of morbidity and mortality in platypus (Ornithorhynchus anatinus) from Tasmania, with particular reference to Mucor amphibiorum infection. Aust. Mammal. 1998, 20, 177–187. [Google Scholar] [CrossRef]
- Whittington, R.J. The Monotremes in Health and Disease. In Australian Wildlife. Proceedings 104, Post Graduate Foundation in Veterinary Science; University of Sydney: Sydney, Australia, 1988; pp. 727–787. [Google Scholar]
- Macgregor, J.W.; Holyoake, C.S.; Munks, S.A.; Connolly, J.H.; Robertson, I.D.; Fleming, P.A.; Warren, K.S. Investigation into individual health and exposure to infectious agents of platypuses (Ornithorhynchus anatinus) in two river catchments in northwest Tasmania. J. Wildl. Dis. 2017, 53, 258–271. [Google Scholar] [CrossRef] [PubMed]
- Moorhouse, P.; Hugh-Jones, M. Serum banks. Vet. Bull. 1981, 51, 277–290. [Google Scholar]
- McColl, K.A.; Whittington, R.J. Leptospiral titres in wild platypuses (Ornithorhynchus anatinus) in New South Wales. Aust. Vet. J. 1985, 62, 66–67. [Google Scholar] [CrossRef]
- Costa, F.; Hagan, J.E.; Calcagno, J.; Kane, M.; Torgerson, P.; Martinez-Silveira, M.S.; Stein, C.; Abela-Ridder, B.; Ko, A.I. Global morbidity and mortality of leptospirosis: A systematic review. PLoS Negl. Trop. Dis. 2015, 9, e0003898. [Google Scholar] [CrossRef]
- Andre-Fontaine, G.; Aviat, F.; Thorin, C. Waterborne leptospirosis: Survival and preservation of the virulence of pathogenic Leptospira spp. in fresh water. Curr. Microbiol. 2015, 71, 136–142. [Google Scholar] [CrossRef]
- Thibeaux, R.; Girault, D.; Bierque, E.; Soupé-Gilbert, M.-E.; Rettinger, A.; Douyère, A.; Meyer, M.; Iraola, G.; Picardeau, M.; Goarant, C. Biodiversity of environmental Leptospira: Improving identification and revisiting the diagnosis. Front. Microbiol. 2018, 9, 816. [Google Scholar] [CrossRef]
- Davignon, G.; Cagliero, J.; Guentas, L.; Bierque, E.; Genthon, P.; Gunkel-Grillon, P.; Juillot, F.; Kainiu, M.; Laporte-Magoni, C.; Picardeau, M.; et al. Leptospirosis: Toward a better understanding of the environmental lifestyle of Leptospira. Front. Water 2023, 5, 1195094. [Google Scholar] [CrossRef]
- Adler, B.; de la Peña Moctezuma, A. Leptospira and leptospirosis. Vet. Microbiol. 2010, 140, 287–296. [Google Scholar] [CrossRef]
- Schuller, S.; Francey, T.; Hartmann, K.; Hugonnard, M.; Kohn, B.; Nally, J.E.; Sykes, J. European consensus statement on leptospirosis in dogs and cats. J. Small Anim. Pract. 2015, 56, 159–179. [Google Scholar] [CrossRef]
- Adler, B. Pathogenesis of leptospirosis: Cellular and molecular aspects. Vet. Microbiol. 2014, 172, 353–358. [Google Scholar] [CrossRef] [PubMed]
- Sykes, J.E.; Reagan, K.L.; Nally, J.E.; Galloway, R.L.; Haake, D.A. Role of diagnostics in epidemiology, management, surveillance, and control of leptospirosis. Pathogens 2022, 11, 395. [Google Scholar] [CrossRef]
- Orjuela, A.G.; Parra-Arango, J.L.; Sarmiento-Rubiano, L.A. Bovine leptospirosis: Effects on reproduction and an approach to research in Colombia. Trop. Anim. Health Prod. 2022, 54, 251. [Google Scholar] [CrossRef]
- Andersen-Ranberg, E.U.; Pipper, C.; Jensen, P.M. Global patterns of leptospira prevalence in vertebrate reservoir hosts. J. Wildl. Dis. 2016, 52, 468–477. [Google Scholar] [CrossRef]
- Cilia, G.; Bertelloni, F.; Albini, S.; Fratini, F. Insight into the epidemiology of leptospirosis: A review of Leptospira isolations from “unconventional” hosts. Animals 2021, 11, 191. [Google Scholar] [CrossRef]
- Cordonin, C.; Turpin, M.; Bringart, M.; Bascands, J.L.; Flores, O.; Dellagi, K.; Mavingui, P.; Roche, M.; Tortosa, P. Pathogenic Leptospira and their animal reservoirs: Testing host specificity through experimental infection. Sci. Rep. 2020, 10, 7239. [Google Scholar] [CrossRef]
- Ellis, W.A. Animal leptospirosis. In Leptospira and Leptospirosis; Springer: Berlin, Germany, 2015; Volume 387, pp. 99–137. [Google Scholar]
- Loewenstein, L.; McLachlan-Troup, T.; Hartley, M.; English, A. Serological survey for evidence of Leptospira interrogans in free-living platypuses (Ornithorhynchus anatinus). Aust. Vet. J. 2008, 86, 242–245. [Google Scholar] [CrossRef]
- Bureau of Meteorology Topographic Drainage Divisions and River Regions. Available online: http://www.bom.gov.au/water/about/riverBasinAuxNav.shtml (accessed on 10 January 2024).
- Grant, T.R.; Carrick, F.N. Capture and marking of the platypus, Ornithorhynchus anatinus, in the wild. Aust. Zool. 1974, 18, 133–135. [Google Scholar]
- Macgregor, J.; Holyoake, C.; Munks, S.; Robertson, I.; Warren, K. Preliminary investigation into the prevalence of mucormycosis in the platypus (Ornithorhynchus anatinus) in three catchments in north-west Tasmania. Aust. Vet. J. 2010, 88, 190–196. [Google Scholar] [CrossRef]
- Connolly, J.H.; Obendorf, D.L. Distribution, captures and physical characteristics of the platypus (Ornithorhynchus anatinus) in Tasmania. Aust. Mammal. 1998, 20, 231–237. [Google Scholar] [CrossRef]
- Handasyde, K.A.; McDonald, I.R.; Evans, B.K. Plasma glucocorticoid concentrations in free-ranging platypuses (gr): Response to capture and patterns in relation to reproduction. Comp. Biochem. Physiol. A Mol. Integr. Physiol. 2003, 136, 895–902. [Google Scholar] [CrossRef]
- Grant, T.; Whittington, R. The use of freeze-branding and implanted transponder tags as a permanent marking method for the platypus, Ornithorhynchus anatinus (Monotremata: Ornithorhynchidae). Aust. Mammal. 1991, 14, 147–150. [Google Scholar] [CrossRef]
- Temple-Smith, P.D. Seasonal Breeding Biology of the Platypus, Ornithorhynchus anatinus (Shaw 1799) with Special Reference to the Male. Ph.D. Thesis, Australian National University, Canberra, Australia, 1973. [Google Scholar]
- Williams, G.A.; Serena, M.; Grant, T.R. Age-related change in spurs and spur sheaths of the platypus (Ornithorhynchus anatinus). Aust. Mammal. 2012, 35, 107–114. [Google Scholar] [CrossRef]
- Whittington, R.J.; Grant, T.R. Haematology and blood chemistry of the conscious platypus, Ornithorhynchus anatinus (Shaw) (Monotremata: Ornithorhynchidae). Aust. J. Zool. 1984, 32, 631–635. [Google Scholar] [CrossRef]
- Whittington, R.J.; Grant, T.R. Haematology and blood chemistry of the free-living platypus, Ornithorhynchus anatinus (Shaw) (Monotremata: Ornithorhynchidae). Aust. J. Zool. 1983, 31, 475–482. [Google Scholar] [CrossRef]
- Booth, R.; Connolly, J. Chapter 6 Platypus. In Medicine of Australian Mammals; Vogelnest, L., Woods, R., Eds.; CSIRO Publishing: Clayton, Australia, 2008; pp. 103–132. [Google Scholar]
- Grant, T.R.; Griffiths, M. Aspects of lactation and determination of sex ratios and longevity in a free-ranging population of platypuses, Ornithorhynchus anatinus, in the Shoalhaven River, New South Wales. In Platypus and Echidnas; Augee, M.L., Ed.; Royal Zoological Society of NSW: Sydney, Australia, 1992; pp. 80–89. [Google Scholar]
- Grant, T.R.; Griffiths, M.; Temple-Smith, P.D. Breeding in a free-ranging population of platypuses, Ornithorhynchus anatinus, in the Upper Shoalhaven River, New South Wales-a 27 year study. Proc. Linn. Soc. N. S. Wales 2004, 125, 227–234. [Google Scholar]
- Luna, L. Manual of Histologic Staining Methods of the Armed Forces Institute of Pathology, 3rd ed.; McGraw-Hill Book Company: New York, NY, USA, 1968; p. 258. [Google Scholar]
- Chappel, R. Australian Standard Diagnostic Techniques for Animal Diseases. Leptospirosis; Australian Government Sub-Committee on Animal Health Laboratory Standards: Canberra, Australia, 1980; p. 9.
- Smythe, L. Australian and New Zealand Standard Diagnostic Procedures—Leptospirosis; Australian Government Sub-Committee on Animal Health Laboratorty Standards: Canberra, Australia, 2008; p. 17.
- Getis, A.; Ord, J.K. The analysis of spatial association by use of distance statistics. Geogr. Anal. 1992, 24, 189–206. [Google Scholar] [CrossRef]
- Leslie, T.F.; Kronenfeld, B.J. The colocation quotient: A new measure of spatial association between categorical subsets of points. Geogr. Anal. 2011, 43, 306–326. [Google Scholar] [CrossRef]
- Shimabukuro, F.H.; Costa, V.M.d.; Silva, R.C.d.; Langoni, H.; Silva, A.V.d.; Carvalho, L.R.d.; Domingues, P.F. Prozone effects in microscopic agglutination tests for leptospirosis in the sera of mice infected with the pathogenic Leptospira interrogans serovar Canicola. Memórias Do Inst. Oswaldo Cruz 2013, 108, 668–670. [Google Scholar] [CrossRef]
- Whittington, R.J.; Bell, I.G.; Searson, J.E. A viral infection causing cytomegalic inclusion disease in the renal epithelium of the platypus (Ornithorhynchus anatinus). J. Wildl. Dis. 1990, 26, 55–61. [Google Scholar] [CrossRef]
- Emanuel, M.L.; Mackerras, I.M.; Smith, D.J.W. The epidemiology of leptospirosis in North Queensland: I. General survey of animal hosts. Epidemiol. Infect. 1964, 62, 451–484. [Google Scholar] [CrossRef] [PubMed]
- Gautam, R.; Guptill, L.F.; Wu, C.C.; Potter, A.; Moore, G.E. Spatial and spatio-temporal clustering of overall and serovar-specific Leptospira microscopic agglutination test (MAT) seropositivity among dogs in the United States from 2000 through 2007. Prev. Vet. Med. 2010, 96, 122–131. [Google Scholar] [CrossRef] [PubMed]
- Bedoya-Pérez, M.A.; Westman, M.E.; Loomes, M.; Chung, N.Y.N.; Knobel, B.; Ward, M.P. Pathogenic Leptospira species are present in urban rats in Sydney, Australia. Microorganisms 2023, 11, 1731. [Google Scholar] [CrossRef]
- Durfee, P.T.; Presidente, P.J. A sero-epidemiological study of Leptospira interrogans serovar balcanica in four brush-tailed possum populations in Victoria, Australia. Aust. J. Exp. Biol. Med. Sci. 1979, 57, 191–201. [Google Scholar] [CrossRef]
- Hathaway, S.; Blackmore, D.; Marshall, R. The serologic and cultural prevalence of Leptospira interrogans serovar balcanica in possums (Trichosurus vulpecula) in New Zealand. J. Wildl. Dis. 1978, 14, 345–350. [Google Scholar] [CrossRef]
- Vallée, E.; Heuer, C.; Collins-Emerson, J.M.; Benschop, J.; Wilson, P.R. Serological patterns, antibody half-life and shedding in urine of Leptospira spp. in naturally exposed sheep. N. Z. Vet. J. 2015, 63, 301–312. [Google Scholar] [CrossRef]
- Thomas, J.L.; Parrott, M.L.; Handasyde, K.A.; Temple-Smith, P.D. Female control of reproductive behaviour in the platypus (Ornithorhynchus anatinus), with notes on female competition for mating. Behaviour 2018, 155, 27–53. [Google Scholar] [CrossRef]
- Serena, M. Use of time and space by platypus (Ornithorhynchus anatinus: Monotremata) along a Victorian stream. J. Zool. 1994, 232, 117–131. [Google Scholar] [CrossRef]
- Bino, G.; Grant, T.R.; Kingsford, R.T. Life history and dynamics of a platypus (Ornithorhynchus anatinus) population: Four decades of mark-recapture surveys. Sci. Rep. 2015, 5, 16073. [Google Scholar] [CrossRef]
- McColl, K.A. Pathology in captive platypus (Ornithorhynchus anatinus) in Victoria, Australia. J. Wildl. Dis. 1983, 19, 118–122. [Google Scholar] [CrossRef]
- Grant, T.R. Captures, capture mortality, age and sex ratios of platypuses, Ornithorhynchus anatinus, during studies over 30 years in the upper Shoalhaven River in New South Wales. Proc. Linn. Soc. N. S. Wales 2004, 125, 217–226. [Google Scholar]
- Serena, M.; Grant, T.R. Effect of flow on platypus (Ornithorhynchus anatinus) reproduction and related population processes in the upper Shoalhaven River. Aust. J. Zool. 2017, 65, 130–139. [Google Scholar] [CrossRef]
- Levett, P.N. Leptospirosis. Clin. Microbiol. Rev. 2001, 14, 296–326. [Google Scholar] [CrossRef]
- Gislefoss, R.E.; Grimsrud, T.K.; Mørkrid, L. Stability of selected serum proteins after long-term storage in the Janus Serum Bank. Clin. Chem. Lab. Med. 2009, 47, 596–603. [Google Scholar] [CrossRef]
- WOAH. Leptospirosis. In Manual of Diagnostic Tests and Vaccines for Terrestrial Animals, 12th ed.; World Organisation for Animal Health: Paris, France, 2023. [Google Scholar]
- Gomard, Y.; Dellagi, K.; Goodman, S.M.; Mavingui, P.; Tortosa, P. Tracking animal reservoirs of pathogenic Leptospira: The right test for the right claim. Trop. Med. Infect. Dis. 2021, 6, 205. [Google Scholar] [CrossRef]
- Azevedo, I.R.; Amamura, T.A.; Isaac, L. Human leptospirosis: In search for a better vaccine. Scand. J. Immunol. 2023, 98, e13316. [Google Scholar] [CrossRef]
- Hartskeerl, P.; Terpstra, W. Leptospirosis in wild animals. Vet. Q. 1996, 18 (Suppl. 3), 149–150. [Google Scholar] [CrossRef]
- Wong, M.; Katz, A.R.; Li, D.; Wilcox, B.A. Leptospira infection prevalence in small mammal host populations on three Hawaiian islands. Am. J. Trop. Med. Hyg. 2012, 87, 337–341. [Google Scholar] [CrossRef]
- Grimm, K.; Rivera, N.A.; Fredebaugh-Siller, S.; Weng, H.Y.; Warner, R.E.; Maddox, C.W.; Mateus-Pinilla, N.E. Evidence of Leptospira serovars in wildlife and leptospiral DNA in water sources in a natural area in east-central Illinois, USA. J. Wildl. Dis. 2020, 56, 316–327. [Google Scholar] [CrossRef]
- Chacko, C.S.; Lakshmi, S.S.; Jayakumar, A.; Binu, S.L.; Pant, R.D.; Giri, A.; Chand, S.; Nandakumar, U.P. A short review on leptospirosis: Clinical manifestations, diagnosis and treatment. Clin. Epidemiol. Glob. Health 2021, 11, 100741. [Google Scholar] [CrossRef]
- Fornazari, F.; Langoni, H.; Marson, P.M.; Nóbrega, D.B.; Teixeira, C.R. Leptospira reservoirs among wildlife in Brazil: Beyond rodents. Acta Trop. 2018, 178, 205–212. [Google Scholar] [CrossRef] [PubMed]
- Moinet, M.; Oosterhof, H.; Nisa, S.; Haack, N.; Wilkinson, D.A.; Aberdein, D.; Russell, J.C.; Vallee, E.; Collins-Emerson, J.; Heuer, C.; et al. A cross-sectional investigation of Leptospira at the wildlife-livestock interface in New Zealand. PLoS Negl. Trop. Dis. 2023, 17, e0011624. [Google Scholar] [CrossRef]
- Faria, M.T.d.; Calderwood, M.S.; Athanazio, D.A.; McBride, A.J.A.; Hartskeerl, R.A.; Pereira, M.M.; Ko, A.I.; Reis, M.G. Carriage of Leptospira interrogans among domestic rats from an urban setting highly endemic for leptospirosis in Brazil. Acta Trop. 2008, 108, 1–5. [Google Scholar] [CrossRef] [PubMed]
- Costa, F.; Wunder, E.A., Jr.; De Oliveira, D.; Bisht, V.; Rodrigues, G.; Reis, M.G.; Ko, A.I.; Begon, M.; Childs, J.E. Patterns in Leptospira shedding in norway rats (Rattus norvegicus) from Brazilian slum communities at high risk of disease transmission. PLoS Negl. Trop. Dis. 2015, 9, e0003819. [Google Scholar] [CrossRef] [PubMed]
- Helman, S.K.; Tokuyama, A.F.N.; Mummah, R.O.; Stone, N.E.; Gamble, M.W.; Snedden, C.E.; Borremans, B.; Gomez, A.C.R.; Cox, C.; Nussbaum, J.; et al. Pathogenic Leptospira are widespread in the urban wildlife of southern California. Sci. Rep. 2023, 13, 14368. [Google Scholar] [CrossRef] [PubMed]
- Prager, K.C.; Buhnerkempe, M.G.; Greig, D.J.; Orr, A.J.; Jensen, E.D.; Gomez, F.; Galloway, R.L.; Wu, Q.; Gulland, F.M.D.; Lloyd-Smith, J.O. Linking longitudinal and cross-sectional biomarker data to understand host-pathogen dynamics: Leptospira in California sea lions (Zalophus californianus) as a case study. PLoS Negl. Trop. Dis. 2020, 14, e0008407. [Google Scholar] [CrossRef]
- Rahelinirina, S.; Léon, A.; Harstskeerl, R.A.; Sertour, N.; Ahmed, A.; Raharimanana, C.; Ferquel, E.; Garnier, M.; Chartier, L.; Duplantier, J.-M.; et al. First Isolation and direct evidence for the existence of large small-mammal reservoirs of Leptospira sp. in Madagascar. PLoS ONE 2010, 5, e14111. [Google Scholar] [CrossRef]
- Pedersen, K.; Anderson, T.D.; Maison, R.M.; Wiscomb, G.W.; Pipas, M.J.; Sinnett, D.R.; Baroch, J.A.; Gidlewski, T. Leptospira antibodies detected in wildlife in the USA and the US Virgin Islands. J. Wildl. Dis. 2018, 54, 450–459. [Google Scholar] [CrossRef]
- Brenner, D.J.; Kaufmann, A.F.; Sulzer, K.R.; Steigerwalt, A.G.; Rogers, F.C.; Weyant, R.S. Further determination of DNA relatedness between serogroups and serovars in the family Leptospiraceae with a proposal for Leptospira alexanderi sp. nov. and four new Leptospira Genomospecies. Int. J. Syst. Evol. Microbiol. 1999, 49, 839–858. [Google Scholar] [CrossRef]
- Durfee, P.; Presidente, P. Isolation of Leptospira interrogans, serotype balcanica from a brush-tailed opossum (Trichosurus vulpecula). Aust. Vet. J. 1977, 53, 508. [Google Scholar] [CrossRef]
- Durfee, P.T.; Presidente, P.J. Experimental infection of calves and sheep with Leptospira interrogans serovar balcanica. Aust. J. Exp. Biol. Med. Sci. 1979, 57, 447–453. [Google Scholar] [CrossRef] [PubMed]
- Sullivan, N.D. Leptospirosis in animals and man. Aust. Vet. J. 1974, 50, 216–223. [Google Scholar] [CrossRef] [PubMed]
- Grant, T.R. Body temperatures of free-ranging platypuses, Ornithorhynchus anatinus (Monotremata), with observations on their use of burrows. Aust. J. Zool. 1983, 31, 117–122. [Google Scholar] [CrossRef]
- Palmer, M.F.; Zochowski, W.J. Survival of leptospires in commercial blood culture systems revisited. J. Clin. Pathol. 2000, 53, 713–714. [Google Scholar] [CrossRef][Green Version]
- Hornsby, R.L.; Alt, D.P.; Nally, J.E. Isolation and propagation of leptospires at 37 °C directly from the mammalian host. Sci. Rep. 2020, 10, 9620. [Google Scholar] [CrossRef]
- Putz, E.J.; Nally, J.E. Investigating the immunological and biological equilibrium of reservoir hosts and pathogenic Leptospira: Balancing the solution to an acute problem? Front. Mhicrobiol. 2020, 11, 2005. [Google Scholar] [CrossRef]
- Hoare, R.J.; Claxton, P.D. Observations on Leptospira hardjo infection in New South Wales. Aust. Vet. J. 1972, 48, 228–232. [Google Scholar] [CrossRef]
- Gordon, L.M. Leptospira interrogans serovar hardjo infection of cattle. Aust. Vet. J. 1979, 55, 1–5. [Google Scholar] [CrossRef]
- Milner, A.R.; Wilks, C.R.; Calvert, K. The prevalence of antibodies to members of Leptospira interrogans in cattle. Aust. Vet. J. 1980, 56, 327–330. [Google Scholar] [CrossRef]
- Corbould, A. Leptospira hardjo in Tasmania. Aust. Vet. J. 1971, 47, 26. [Google Scholar] [CrossRef]
- Erregger, E.; Stevenson, M.; Beggs, D.; Oswin, S.; Jagoe, S.; Mansell, P.; Pyman, M. A cross-sectional pilot study to estimate the prevalence of and risk factors for leptospirosis in South-Western Victorian dairy herds, 2017. Aust. Vet. J. 2020, 98, 417–423. [Google Scholar] [CrossRef] [PubMed]
- Iglesias, R.; East, I. Cattle movement patterns in Australia: An analysis of the NLIS database 2008–2012. Aust. Vet. J. 2015, 93, 394–403. [Google Scholar] [CrossRef] [PubMed]
- Thibeaux, R.; Genthon, P.; Govan, R.; Selmaoui-Folcher, N.; Tramier, C.; Kainiu, M.; Soupé-Gilbert, M.E.; Wijesuriya, K.; Goarant, C. Rainfall-driven resuspension of pathogenic Leptospira in a leptospirosis hotspot. Sci. Total Environ. 2024, 911, 168700. [Google Scholar] [CrossRef]
- Icon Water Limited Cotter Dam. Available online: https://www.iconwater.com.au/water-education/water-and-sewerage-system/dams/cotter-dam (accessed on 26 March 2024).
- Gordon, L.M. Isolation of Leptospira interrogans serovar hardjo from sheep. Aust. Vet. J. 1980, 56, 348–349. [Google Scholar] [CrossRef]
- Ellis, G.; Partington, D.; Hindmarsh, M.; Barton, M. Seroprevalence to Leptospira interrogans serovar hardjo in Merino stud rams in South Australia. Aust. Vet. J. 1994, 71, 203–206. [Google Scholar] [CrossRef]
- Hartley, M.P.; English, A.W. Serological survey for leptospires of agricultural importance in common wombats (Vombatus ursinus). Vet. Rec. 2004, 154, 476–477. [Google Scholar] [CrossRef]
- Durfee, P.T.; Presidente, P.J. A serological survey of Australian wildlife for antibodies to leptospires of the Hebdomadis serogroup. Aust. J. Exp. Biol. Med. Sci. 1979, 57, 177–189. [Google Scholar] [CrossRef]
- Durfee, P.T.; Presidente, P.J. Experimental infections of brush-tailed possums, common wombats and water rats with Leptospira interrogans serovars balcanica and hardjo. Aust. J. Exp. Biol. Med. Sci. 1979, 57, 231–240. [Google Scholar] [CrossRef]
- Milner, A.R.; Wilks, C.R.; Spratt, D.M.; Presidente, P.J.A. The prevalence of anti-leptospiral agglutinins in sera of wildlife in southeastern Australia. J. Wildl. Dis. 1981, 17, 197–202. [Google Scholar] [CrossRef]
- Glazebrook, J.; Campbell, R.; Hutchinson, G. The pathology of feral rodents in North Queensland. II. Studies on zoonotic infections. Tropenmedizin Und Parasitol. 1977, 28, 545–551. [Google Scholar]
- Whittington, R.J. Chronic fascioliasis in a brushtail possum (Trichosurus vulpecula). Aust. Vet. J. 1982, 59, 192. [Google Scholar] [CrossRef] [PubMed]
- Munday, B. A serological study of some infectious diseases of Tasmanian wildlife. J. Wildl. Dis. 1972, 8, 169–175. [Google Scholar] [CrossRef]
- Munday, B. Marsupial disease. In Fauna, Post Graduate Committee in Veterinary Science; University of Sydney: Sydney, Australia, 1978; Volume Proceedings 36, pp. 335–386. [Google Scholar]
- Munday, B.; Corbould, A. Leptospira pomona infection in wombats. J. Wildl. Dis. 1973, 9, 72–73. [Google Scholar] [CrossRef] [PubMed]
- Grant, T.R.; Dawson, T.J. Temperature regulation in the platypus, Ornithorhynchus anatinus: Production and loss of metabolic heat in air and water. Physiol. Zool. 1978, 51, 315–332. [Google Scholar] [CrossRef]
- Marchant, R.; Grant, T.R. The productivity of the macroinvertebrate prey of the platypus in the upper Shoalhaven River, New South Wales. Mar. Freshw. Res. 2015, 66, 1128–1137. [Google Scholar] [CrossRef]
- Vincent, A.T.; Schiettekatte, O.; Goarant, C.; Neela, V.K.; Bernet, E.; Thibeaux, R.; Ismail, N.; Mohd Khalid, M.K.N.; Amran, F.; Masuzawa, T.; et al. Revisiting the taxonomy and evolution of pathogenicity of the genus Leptospira through the prism of genomics. PLoS Negl. Trop. Dis. 2019, 13, e0007270. [Google Scholar] [CrossRef]
- Arent, Z.; Pardyak, L.; Dubniewicz, K.; Plachno, B.; Kotula-Balak, M. Leptospira taxonomy: Then and now. Med. Weter. Vet. Med. Sci. Pract. 2022, 78, 489–496. [Google Scholar] [CrossRef]
- Cerqueira, G.M.; Picardeau, M. A century of Leptospira strain typing. Infect. Genet. Evol. 2009, 9, 760–768. [Google Scholar] [CrossRef]
- Yasuda, P.H.; Steigerwalt, A.G.; Sulzer, K.R.; Kaufmann, A.F.; Rogers, F.; Brenner, D.J. Deoxyribonucleic acid relatedness between serogroups and serovars in the Family Leptospiraceae with proposals for seven new Leptospira species. Int. J. Syst. Evol. Microbiol. 1987, 37, 407–415. [Google Scholar] [CrossRef]
- Skilbeck, N.; Forsyth, W.; Dohnt, M. Bovine leptospirosis: Microbiological and histological findings in cattle slaughter. Aust. Vet. J. 1988, 65, 73–75. [Google Scholar] [CrossRef]
- Silbreck, N.; Davies, W. Restriction endonuclease analysis of Australian isolates of Leptospira interrogans serovar hardjo. Aust. Vet. J. 1989, 66, 183–184. [Google Scholar] [CrossRef]
- Djordjevic, S.; Hornitzky, M.; Ross, A.; Whittington, R. Restriction-endonuclease analysis of Australian isolates of Leptospira interrogans serovar hardjo from cattle with agalactia and abortion. Aust. Vet. J. 1993, 70, 98–100. [Google Scholar] [CrossRef] [PubMed]
- Slack, A.T.; Galloway, R.L.; Symonds, M.L.; Dohnt, M.F.; Smythe, L.D. Reclassification of Leptospira meyeri serovar Perameles to Leptospira interrogans serovar Perameles through serological and molecular analysis: Evidence of a need for changes to current procedures in Leptospira taxonomy. Int. J. Syst. Evol. Microbiol. 2009, 59, 1199–1203. [Google Scholar] [CrossRef] [PubMed]
- Sato, Y.; Hermawan, I.; Kakita, T.; Okano, S.; Imai, H.; Nagai, H.; Kimura, R.; Yamashiro, T.; Kajita, T.; Toma, C. Analysis of human clinical and environmental Leptospira to elucidate the eco-epidemiology of leptospirosis in Yaeyama, subtropical Japan. PLoS Negl. Trop. Dis. 2022, 16, e0010234. [Google Scholar] [CrossRef]
- Ashford, R.W. When is a reservoir not a reservoir? Emerg. Infect. Dis. 2003, 9, 1495. [Google Scholar] [CrossRef]
- Viana, M.; Mancy, R.; Biek, R.; Cleaveland, S.; Cross, P.C.; Lloyd-Smith, J.O.; Haydon, D.T. Assembling evidence for identifying reservoirs of infection. Trends Ecol. Evol. 2014, 29, 270–279. [Google Scholar] [CrossRef]
- Hathaway, S.; Blackmore, D.; Marshall, R. Leptospirosis and the maintenance host: A laboratory mouse model. Res. Vet. Sci. 1983, 34, 82–89. [Google Scholar] [CrossRef]
- Harran, E.; Pinot, A.; Kodjo, A.; Djelouadji, Z.; Le Gudayer, M.; Daouda, S.S.; Groud, K.; Lattard, V.; Ayral, F. Identification of pathogenic Leptospira kirschneri serogroup grippotyphosa in water voles (Arvicola terrestris) from ruminant pastures in Puy-de-Dome, central France. Pathogens 2023, 12, 260. [Google Scholar] [CrossRef]
- Lloyd-Smith, J.O.; Greig, D.J.; Hietala, S.; Ghneim, G.S.; Palmer, L.; St Leger, J.; Grenfell, B.T.; Gulland, F.M.D. Cyclical changes in seroprevalence of leptospirosis in California sea lions: Endemic and epidemic disease in one host species? BMC Infect. Dis. 2007, 7, 125. [Google Scholar] [CrossRef]
- Munday, B.L.; Whittington, R.J.; Stewart, N.J. Disease conditions and subclinical infections of the platypus (Ornithorhynchus anatinus). Philos. Trans. R. Soc. Lond. B Biol. Sci. 1998, 353, 1093–1099. [Google Scholar] [CrossRef]
- Bino, G.; Kingsford, R.T.; Grant, T.; Taylor, M.D.; Vogelnest, L. Use of implanted acoustic tags to assess platypus movement behaviour across spatial and temporal scales. Sci. Rep. 2018, 8, 5117. [Google Scholar] [CrossRef] [PubMed]
- Grant, T.R. Captures, movements and dispersal of platypuses, Ornithorhynchus anatinus, in the Shoalhaven River New South Wales, with evaluation of capture and marking techniques. In Platypus and Echidnas; Augee, M., Ed.; Royal Zoological Society of NSW: Sydney, Australia, 1992; pp. 255–262. [Google Scholar]
- Grant, T.R.; Grigg, G.C.; Beard, L.A.; Augee, M.L. Movements and burrow use by platypuses, Ornithorhynchus anatinus, in the Thredbo River, New South Wales. In Platypus and Echidnas; Augee, M.L., Ed.; Royal Zoological Society of NSW: Sydney, Australia, 1992; pp. 263–267. [Google Scholar]
- Hawke, T.; Bino, G.; Kingsford, R.T.; Iervasi, D.; Iervasi, K.; Taylor, M.D. Fine-scale movements and interactions of platypuses, and the impact of an environmental flushing flow. Freshw. Biol. 2021, 66, 177–188. [Google Scholar] [CrossRef]
- Gust, N.; Handasyde, K. Seasonal-variation in the ranging behavior of the platypus (Ornithorhynchus anatinus) on the Goulburn River, Victoria. Aust. J. Zool. 1995, 43, 193–208. [Google Scholar] [CrossRef]
- Hawke, T.; Bino, G.; Kingsford, R.T.; Iervasi, D.; Iervasi, K.; Taylor, M.D. Long-term movements and activity patterns of platypus on regulated rivers. Sci. Rep. 2021, 11, 3590. [Google Scholar] [CrossRef]
- Gardner, J.L.; Serena, M. Spatial organization and movement patterns of adult male platypus, Ornithorhynchus anatinus (Monotremata, Ornithorhynchidae). Aust. J. Zool. 1995, 43, 91–103. [Google Scholar] [CrossRef]
- Serena, M.; Thomas, J.L.; Williams, G.A.; Officer, R.C.E. Use of stream and river habitats by the platypus, Ornithorhynchus anatinus, in an urban fringe environment. Aust. J. Zool. 1998, 46, 267–282. [Google Scholar] [CrossRef]












| River Basin | Years | No. Tested | No. Positive | Seroprevalence % | 95% c.l. % |
|---|---|---|---|---|---|
| New South Wales (NSW) | All | 256 | 171 | 67 | 61–73 |
| Lachlan River | 1985 | 1 | 0 | 0 | 0–98 |
| Murrumbidgee River | 1986, 1997, 2009 | 26 | 19 | 73 | 52–88 |
| Hawkesbury River 1 | 2001 | 22 | 14 | 64 | 41–83 |
| Shoalhaven River 2 | 1981–2007 | 206 | 137 | 67 | 60–73 |
| Captive | 1997 | 1 | 1 | 100 | 3–100 |
| Australian Capital Territory (ACT) | All | 7 | 6 | 86 | 42–100 |
| Murrumbidgee River 3 | 2007, 2009 | 7 | 6 | 86 | 42–100 |
| Victoria (VIC) | All | 26 | 14 | 54 | 35–73 |
| Goulburn River | 1991–1992 | 11 | 8 | 73 | 39–94 |
| Loddon River | 1989–1990 | 2 | 1 | 5 | 13–98 |
| Yarra River | 1991–1992 | 6 | 3 | 5 | 12–88 |
| Captive | 1993 | 4 | 1 | 25 | 1–81 |
| nr | nr, 1995 | 3 | 1 | 33 | 1–91 |
| Tasmania (TAS) | All | 175 | 40 | 23 | 17–30 |
| Derwent River | 1994–1995 | 4 | 1 | 25 | 1–81 |
| East Coast | nr | 2 | 0 | 0 | 0–84 |
| Forth River | 1994–1995 | 2 | 1 | 50 | 13–98 |
| Mersey River | 1994–1995 | 8 | 0 | 0 | 0–37 |
| Piper-Ringarooma Rivers | 1994–1995 | 11 | 1 | 09 | 0–41 |
| Smithton-Burnie-Coast | nr, 1994, 2001–2012 | 59 | 9 | 15 | 7–27 |
| Tamar River | nr, 1994–1995 | 87 | 28 | 32 | 23–43 |
| nr | nr, 1997 | 2 | 0 | 0 | 0–84 |
| Total | 464 | 231 | 50 | 45–54 |
| Region | Sex | No. Sera Tested | MAT | Seroprevalence | 95% c.l | ||
|---|---|---|---|---|---|---|---|
| No. Negative | No. Positive | % | % | ||||
| ACT | F | 2 | 0 | 2 | 100 | 16–100 | nt |
| M | 5 | 1 | 4 | 67 | 28–100 | ||
| NSW 1 | F | 159 | 50 | 109 | 69 | 61–76 | Chi sq 0.58, p = 0.45 |
| M | 97 | 35 | 62 | 64 | 54–73 | ||
| TAS | F | 76 | 57 | 19 | 25 | 15–35 | Chi-sq 0.17, p = 0.68 |
| M | 94 | 73 | 21 | 22 | 14–31 | ||
| nr | 5 | 5 | 0 | 0 | 0–52 | ||
| VIC | F | 19 | 8 | 11 | 58 | 36–80 | Fishers exact, p > 0.99 |
| M | 6 | 3 | 3 | 50 | 10–90 | ||
| nr | 1 | 1 | 0 | 0 | 0–98 | ||
| Total | 464 | 233 | 231 | ||||
| No. of Times Sampled | No. of Individual Platypuses | Interval between 1st and Last Sampling (Months) | Max. Titre | Change in Titre over Time (No. Doubling Dilutions) | ||
|---|---|---|---|---|---|---|
| Min. | Max. | Min. | Max. | |||
| Persistent titre (always >50) | ||||||
| 2 | 13 1 | 0.5 | 59.4 | 3200 | 0 | 2 |
| 3 | 2 | 15.0 | 22.3 | 400 | 2 | 2 |
| 4 | 1 | 12.4 | 12.4 | 3200 | 0 | 0 |
| 5 | 3 | 13.1 | 46.0 | 3200 | 1 | 2 |
| 6 | 2 | 58.4 | 70.2 | 3200 | 2 | 5 |
| Titre resolved (>50 then <50) | ||||||
| 2 | 1 | 11.7 | 11.7 | 3200 | 7 | 7 |
| 3 | 1 | 24.2 | 24.2 | 3200 | 7 | 7 |
| No titre (always <50) | ||||||
| 2 | 3 | 0.9 | 2.6 | <50 | - | - |
| 3 | 2 | 10.9 | 11.8 | <50 | - | - |
| Seroconverted (<50 then >50) | ||||||
| 2 | 1 2 | 17 | 17 | 1600 | 5 | 5 |
| Lactation | No. Animals Tested 1 | MAT | Fisher’s Exact Test | ||
|---|---|---|---|---|---|
| No. NEG | No. POS | Percent Positive | |||
| No | 17 | 2 | 15 | 88.2 | p = 0.52 |
| Yes | 10 | 0 | 10 | 100 | |
| 27 | 2 | 25 | |||
| Platypus Number | Location (River) | Date Necropsied | Sex and Age | MAT Titre L. interrogans Serovar Hardjo 1 | Histopathology | Dark-Field Examination of Urine for Leptospires | Leptospiral Culture of Kidney/Urine/Blood | |
|---|---|---|---|---|---|---|---|---|
| Interstitial Nephritis | Warthin Starry Stain for Leptospires | |||||||
| RN85/756 | Abercrombie | Apr 1985 | MJ | <100 | Neg 2 | Neg | nt | Neg/Neg/Neg |
| RN86/112-1 | Murrumbidgee | Jan 1986 | MA | 100 | Pos 2 | Pos | nt | Neg/nt/nt |
| RN86/112-2 | Murrumbidgee | Jan 1986 | MA | 300 | Pos 2 | Pos | Neg | Neg/Neg/nt |
| RN86/1112 | Queanbeyan | May 1986 | FA | 100 | Pos | Pos | nt | Neg/nt/nt |
| Lab Accession Number | Date Collected | No. Animals Tested |
|---|---|---|
| RN85/518 | Mar 1985 | 41 |
| RN85/2803 | Dec 1985 | 13 |
| RN86/595 | Mar 1986 | 32 |
| Total | 86 |
| Farm (Herd) | Location | Date Collected | No. Samples | No. MAT Positive for L. interrogans Serovar Hardjo | Seroprevalence % | 95% c.l. % | Highest Titre |
|---|---|---|---|---|---|---|---|
| 1a(1) | Shoalhaven R | Jun-85 | 50 | 24 | 48 | 34–63 | 300 |
| 1b (2) | Shoalhaven R | Jun-85 | 10 | 0 | 0 | 0–31 | <100 |
| 2 (3) | Shoalhaven R | May-85 | 43 | 1 | 2.3 | 0–12 | 100 |
| 2 (4) | Shoalhaven R | May-85 | 40 | 0 | 0 | 0–9 | <100 |
| 2 (5) | Shoalhaven R | May-85 | 80 | 1 | 1.3 | 0–7 | 100 |
| 3 (6) | Jerrabattgulla Ck | Jul-85 | 46 | 4 | 8.7 | 2–21 | 100 |
| 4 (7) | Jerrabattgulla Ck | Nov-85 | 41 | 0 | 0 | 0–9 | <100 |
| 5 (8) | Jerrabattgulla Ck | Aug-85 | 79 | 7 | 8.9 | 4–17 | 2700 |
| 6 (9) | Jerrabattgulla Ck | Jun-85 | 64 | 11 | 17 | 9–29 | 300 |
| 7 (10) | Shoalhaven R | Jun-85 | 62 | 0 | 0 | 0–6 | <100 |
Disclaimer/Publisher’s Note: The statements, opinions and data contained in all publications are solely those of the individual author(s) and contributor(s) and not of MDPI and/or the editor(s). MDPI and/or the editor(s) disclaim responsibility for any injury to people or property resulting from any ideas, methods, instructions or products referred to in the content. |
© 2024 by the authors. Licensee MDPI, Basel, Switzerland. This article is an open access article distributed under the terms and conditions of the Creative Commons Attribution (CC BY) license (https://creativecommons.org/licenses/by/4.0/).
Share and Cite
Whittington, R.J.; Grant, T.R.; McKercher, J.; Suann, M.; Hart, K.; Handasyde, K.A.; Macgregor, J.; Westman, M.E.; Connolly, J.H. Leptospirosis in the Platypus (Ornithorhynchus anatinus) in Australia: Who Is Infecting Whom? Animals 2024, 14, 2834. https://doi.org/10.3390/ani14192834
Whittington RJ, Grant TR, McKercher J, Suann M, Hart K, Handasyde KA, Macgregor J, Westman ME, Connolly JH. Leptospirosis in the Platypus (Ornithorhynchus anatinus) in Australia: Who Is Infecting Whom? Animals. 2024; 14(19):2834. https://doi.org/10.3390/ani14192834
Chicago/Turabian StyleWhittington, Richard J., Thomas R. Grant, Jarrad McKercher, Monica Suann, Keith Hart, Kathrine A. Handasyde, James Macgregor, Mark E. Westman, and Joanne H. Connolly. 2024. "Leptospirosis in the Platypus (Ornithorhynchus anatinus) in Australia: Who Is Infecting Whom?" Animals 14, no. 19: 2834. https://doi.org/10.3390/ani14192834
APA StyleWhittington, R. J., Grant, T. R., McKercher, J., Suann, M., Hart, K., Handasyde, K. A., Macgregor, J., Westman, M. E., & Connolly, J. H. (2024). Leptospirosis in the Platypus (Ornithorhynchus anatinus) in Australia: Who Is Infecting Whom? Animals, 14(19), 2834. https://doi.org/10.3390/ani14192834

