Effects of the Direction of Two Kirschner Wires on Combined Tibial Plateau Leveling Osteotomy and Tibial Tuberosity Transposition in Miniature Breed Dogs: An Ex Vivo Study
Abstract
Simple Summary
Abstract
1. Introduction
2. Materials and Methods
2.1. Specimens and Preparation
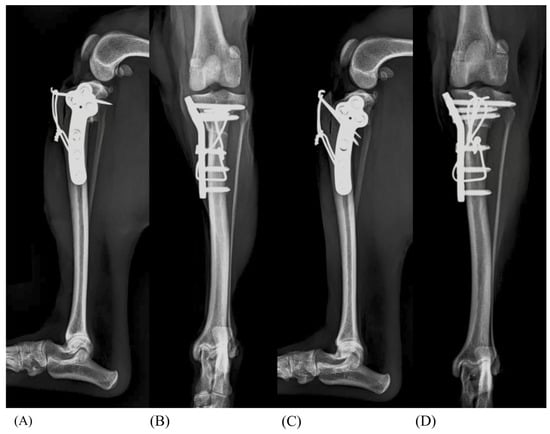
2.2. Surgical Techniques
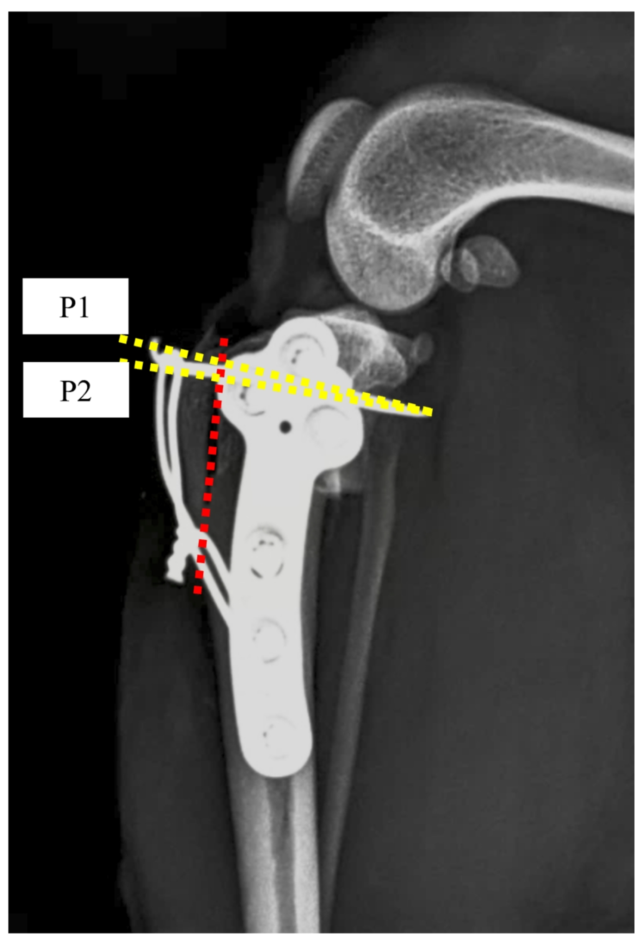
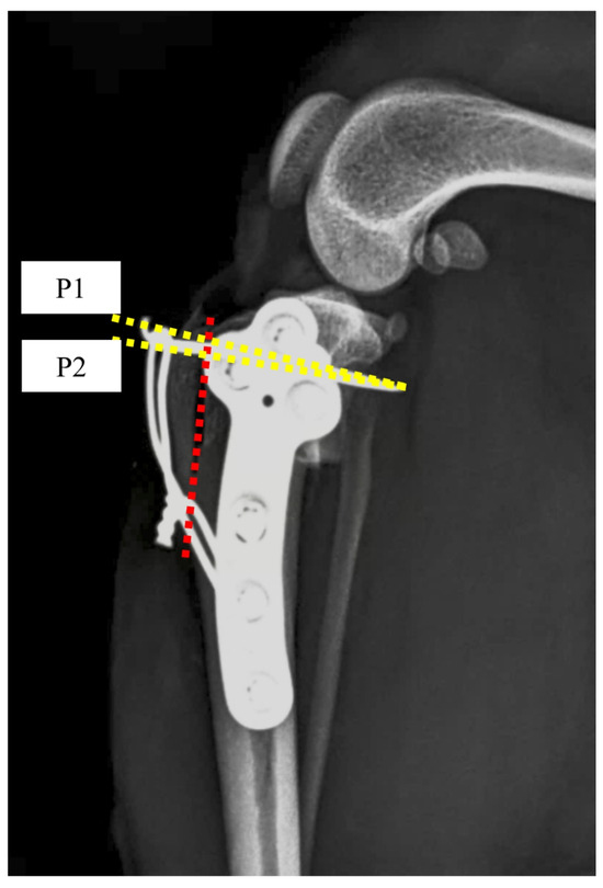
2.3. Radiographic Measurements
2.4. Mechanical Testing
2.5. Statistical Analysis
3. Results
4. Discussion
5. Conclusions
Author Contributions
Funding
Institutional Review Board Statement
Informed Consent Statement
Data Availability Statement
Acknowledgments
Conflicts of Interest
References
- Arthurs, G.I.; Langley-Hobbs, S.J. Complications associated with corrective surgery for patellar luxation in 109 dogs. Vet. Surg. 2006, 35, 559–566. [Google Scholar] [CrossRef] [PubMed]
- Kowaleski, M.P.; Boudrieau, R.J.; Pozzi, A.; Tobias, K.M.; Johnston, S.A. Stifle joint. In Veterinary Surgery: Small Animal, 2nd ed.; Johnston, S.A., Tobias, K.M., Eds.; Elsevier: St. Louis, MI, USA, 2017; Volume 1, pp. 1071–1168. [Google Scholar]
- LaFond, E.; Breur, G.J.; Austin, C.C. Breed susceptibility for developmental orthopedic diseases in dogs. J. Am. Anim. Hosp. Assoc. 2002, 38, 467–477. [Google Scholar] [CrossRef] [PubMed]
- Perry, K.L.; Dejardin, L.M. Canine medial patellar luxation. J. Small Anim. Pract. 2021, 62, 315–335. [Google Scholar] [CrossRef] [PubMed]
- Alam, M.; Lee, J.; Kang, H.; Kim, I.; Park, S.; Lee, K.; Kim, N. Frequency and distribution of patellar luxation in dogs. Vet. Comp. Orthop. Traumatol. 2007, 20, 59–64. [Google Scholar] [CrossRef] [PubMed]
- Priester, W.A. Sex, size, and breed as risk factors in canine patellar dislocation. J. Am. Vet. Med. Assoc. 1972, 160, 740–742. [Google Scholar] [PubMed]
- Campbell, C.A.; Horstman, C.L.; Mason, D.R.; Evans, R.B. Severity of patellar luxation and frequency of concomitant cranial cruciate ligament rupture in dogs: 162 cases (2004–2007). J. Am. Vet. Med. Assoc. 2010, 236, 887–891. [Google Scholar] [CrossRef] [PubMed]
- Candela Andrade, M.; Slunsky, P.; Klass, L.G.; Brunnberg, L. Risk factors and long-term surgical outcome of patellar luxation and concomitant cranial cruciate ligament rupture in small breed dogs. Vet. Med. 2020, 65, 159–167. [Google Scholar] [CrossRef]
- Singleton, W. The diagnosis and surgical treatment of some abnormal stifle conditions in the dog. Vet. Rec. 1957, 69, 1387–1394. [Google Scholar]
- Clough, W.T.; Dycus, D.L.; Barnhart, M.D.; Hulse, D.A.; Litsky, A.S. Combined center of rotation of angulation-based leveling osteotomy and tibial tuberosity transposition: An ex vivo mechanical study. Vet. Surg. 2022, 51, 489–496. [Google Scholar] [CrossRef]
- Leonard, K.C.; Kowaleski, M.P.; Saunders, W.B.; McCarthy, R.J.; Boudrieau, R.J. Combined tibial plateau levelling osteotomy and tibial tuberosity transposition for treatment of cranial cruciate ligament insufficiency with concomitant medial patellar luxation. Vet. Comp. Orthop. Traumatol. 2016, 29, 536–540. [Google Scholar] [CrossRef]
- Yeadon, R.; Fitzpatrick, N.; Kowaleski, M. Tibial tuberosity transposition-advancement for treatment of medial patellar luxation and concomitant cranial cruciate ligament disease in the dog. Vet. Comp. Orthop. Traumatol. 2011, 24, 18–26. [Google Scholar] [CrossRef] [PubMed]
- Jeong, E.; Jeon, Y.; Kim, T.; Lee, D.; Roh, Y. Assessing the Effectiveness of Modified Tibial Plateau Leveling Osteotomy Plates for Treating Cranial Cruciate Ligament Rupture and Medial Patellar Luxation in Small-Breed Dogs. Animals 2024, 14, 1937. [Google Scholar] [CrossRef] [PubMed]
- Dallago, M.; Baroncelli, A.B.; Hudson, C.; Peirone, B.; De Bakker, E.; Piras, L.A. Effect of Plate Type on Tibial Plateau Levelling and Medialization Osteotomy for Treatment of Cranial Cruciate Ligament Rupture and Concomitant Medial Patellar Luxation in Small Breed Dogs: An In Vitro Study. Vet. Comp. Orthop. Traumatol. 2023, 36, 212–217. [Google Scholar] [CrossRef] [PubMed]
- Birks, R.R.; Kowaleski, M.P. Combined Tibial Plateau Levelling Osteotomy and Tibial Tuberosity Transposition: An Ex Vivo Mechanical Study. Vet. Comp. Orthop. Traumatol. 2018, 31, 124–130. [Google Scholar] [CrossRef]
- Redolfi, G.; Grand, J.G. Complications and Long-Term Outcomes after Combined Tibial Plateau Leveling Osteotomy and Tibial Tuberosity Transposition for Treatment of Concurrent Cranial Cruciate Ligament Rupture and Grade III or IV Medial Patellar Luxation. Vet. Comp. Orthop. Traumatol. 2024, 37, 43–49. [Google Scholar] [CrossRef] [PubMed]
- Cook, J.L.; Evans, R.; Conzemius, M.G.; Lascelles, B.D.X.; McIlwraith, C.W.; Pozzi, A.; Clegg, P.; Innes, J.; Schulz, K.; Houlton, J. Proposed definitions and criteria for reporting time frame, outcome, and complications for clinical orthopedic studies in veterinary medicine. Vet. Surg. 2010, 39, 905–908. [Google Scholar] [CrossRef] [PubMed]
- Slocum, B.; Slocum, T.D. Tibial plateau leveling osteotomy for repair of cranial cruciate ligament rupture in the canine. Vet. Clin. N. Am. Small Anim. Pract. 1993, 23, 777–795. [Google Scholar] [CrossRef]
- Windolf, M.; Leitner, M.; Schwieger, K.; Pearce, S.G.; Zeiter, S.; Schneider, E.; Johnson, K.A. Accuracy of fragment positioning after TPLO and effect on biomechanical stability. Vet. Surg. 2008, 37, 366–373. [Google Scholar] [CrossRef]
- Hawbecker, T.J.; Duffy, D.J.; Chang, Y.J.; Moore, G.E. Influence of Kirschner-Wire Insertion Angle on Construct Biomechanics following Tibial Tuberosity Osteotomy Fixation in Dogs. Vet. Comp. Orthop. Traumatol. 2023, 36, 75–81. [Google Scholar] [CrossRef]
- Dismukes, D.I.; Tomlinson, J.L.; Fox, D.B.; Cook, J.L.; Song, K.J.E. Radiographic measurement of the proximal and distal mechanical joint angles in the canine tibia. Vet. Surg. 2007, 36, 699–704. [Google Scholar] [CrossRef]
- Cashmore, R.G.; Havlicek, M.; Perkins, N.R.; James, D.R.; Fearnside, S.M.; Marchevsky, A.M.; Black, A.P. Major complications and risk factors associated with surgical correction of congenital medial patellar luxation in 124 dogs. Vet. Comp. Orthop. Traumatol. 2014, 27, 263–270. [Google Scholar] [CrossRef] [PubMed]
- Natsios, P.; Capaul, R.; Kopf, N.; Pozzi, A.; Tinga, S.; Park, B. Biomechanical evaluation of a fixation technique with a modified hemicerclage for tibial tuberosity transposition: An ex vivo cadaveric study. Front. Vet. Sci. 2024, 11, 1375380. [Google Scholar] [CrossRef] [PubMed]
- Zide, A.N.; Jones, S.C.; Litsky, A.S.; Kieves, N.R. A Cadaveric Evaluation of Pin and Tension Band Configuration Strength for Tibial Tuberosity Osteotomy Fixation. Vet. Comp. Orthop. Traumatol. 2020, 33, 9–14. [Google Scholar] [CrossRef] [PubMed]
- Roe, S.C. External fixators, pins, nails, and wires. In AO Principles of Fracture Management in the Dog and Cat; Johnson, A.L., Houlton, J.E., Vannini, R., Eds.; AO Pub.: Dübendorf, Switerland, 2005; pp. 53–71. [Google Scholar]
- Newman, M.; Bertollo, N.; Walsh, W.; Voss, K. Tibial tuberosity transposition-advancement for lateralization of the tibial tuberosity: An ex vivo canine study. Vet. Comp. Orthop. Traumatol. 2014, 27, 271–276. [Google Scholar] [CrossRef] [PubMed]
- Samiezadeh, S.; Avval, P.T.; Fawaz, Z.; Bougherara, H. On optimization of a composite bone plate using the selective stress shielding approach. J. Mech. Behav. Biomed. Mater. 2015, 42, 138–153. [Google Scholar] [CrossRef] [PubMed]
- Wolff, J. The Law of Bone Remodelling, 1st ed.; Springer: Berlin/Heidelberg, Germnay, 1986. [Google Scholar]
- Lauke, B. Stress concentration along curved interfaces as basis for adhesion tests. Compos. Interfaces 2007, 14, 307–320. [Google Scholar] [CrossRef]
- Lipner, J.; Liu, W.; Liu, Y.; Boyle, J.; Genin, G.; Xia, Y.; Thomopoulos, S. The mechanics of PLGA nanofiber scaffolds with biomimetic gradients in mineral for tendon-to-bone repair. J. Mech. Behav. Biomed. Mater. 2014, 40, 59–68. [Google Scholar] [CrossRef] [PubMed]
- Neves, A.d.A.; Coutinho, E.; Cardoso, M.V.; Jaecques, S.; Lambrechts, P.; Vander Sloten, J.; Van Oosterwyck, H.; Van Meerbeek, B. Influence of notch geometry and interface on stress concentration and distribution in micro-tensile bond strength specimens. J. Dent. 2008, 36, 808–815. [Google Scholar] [CrossRef]
- Neat, B.C.; Kowaleski, M.P.; Litsky, A.S.; Boudrieau, R.J. Mechanical evaluation of pin and tension-band wire factors in an olecranon osteotomy model. Vet. Surg. 2006, 35, 398–405. [Google Scholar] [CrossRef]
- Hak, D.J.; Golladay, G.J. Olecranon fractures: Treatment options. J. Am. Acad. Orthop. Surg. 2000, 8, 266–275. [Google Scholar] [CrossRef]
- Shahar, R.; Banks-Sills, L. Biomechanical analysis of the canine hind limb: Calculation of forces during three-legged stance. Vet. J. 2002, 163, 240–250. [Google Scholar] [CrossRef] [PubMed]





| Body Weight (Kg) | Preoperative TPA | Postoperative TPA | Pin Insertion Number | Failure Mode | |
|---|---|---|---|---|---|
| Group 1 TTP | 3.62 ± 0.38 | 28.90 ± 4.35° | 6.33 ± 2.34° | 0 (n = 1),1 (n = 2), 2 (n = 2), 3 (n = 1) | Avulsion (n = 6) |
| Group 2 TTD | 3.62 ± 0.38 | 28.67 ± 3.37° | 5.33 ± 1.51° | 0 (n = 5), 1 (n = 1) | Avulsion (n = 6) |
| Group 3 TTP0.56 | 3. 92 ± 0.71 | 30.70 ± 3.16° | 6.33 ± 2.73° | 0 (n = 1), 1 (n = 2), 2 (n = 3) | Avulsion (n = 3), Fracture (n = 3) |
| Group 4 TTD0.56 | 3. 92 ± 0.71 | 30.13 ± 3.07° | 5.83 ± 2.99° | 0 (n = 5), 1 (n = 1) | Tendon rupture (n = 2), Avulsion (n = 3), Fracture (n = 1) |
| Group 5 TTP0.76 | 3.34 ± 0.37 | 30.63 ± 3.13° | 6.67 ± 2.07° | 1 (n = 2), 2 (n = 1), 3 (n = 2) | Fracture (n = 6) |
| Group 6 TTD0.76 | 3.34 ± 0.37 | 30.20 ± 3.12° | 6.33 ± 1.51° | 0 (n = 6) | Fracture (n = 6) |
| Control TPLO | 3.45 ± 0.45 | 25.47 ± 6.45° | 7.17 ± 1.33° | Fracture (n = 6) |
| Group 1 TTP | Group 2 TTD | Group 3 TTP0.56 | Group 4 TTD0.56 | Group 5 TTP0.76 | Group 6 TTD0.76 | TPLO Control | |
|---|---|---|---|---|---|---|---|
| Load at failure (N) | 124.23 ±102.62 | 142.54 ±97.01 | 302.24 ±52.92 a | 380.15 ±58.30 a | 255.20 ±44.50 | 241.07 ±66.41 | 242.38 ±31.98 |
| Yield force (N) | 119.36 ±107.05 | 132.61 ±105.61 | 229.48 ±126.57 | 282.53 ±100.06 | 210.42 ±32.22 | 172.24 ±32.55 | 214.23 ±69.95 |
| Periosteal bridge failure | 6/6 | 6/6 | 3/6 | 5/6 | N/A | N/A | N/A |
| K-wire insertion angle (°) | 72.58 ±3.71 b | 48.52 ±9.14 b | 73.81 ±3.87 a | 46.94 ±11.87 a | 76.26 ±8.16 c | 47.48 ±2.54 c | N/A |
Disclaimer/Publisher’s Note: The statements, opinions and data contained in all publications are solely those of the individual author(s) and contributor(s) and not of MDPI and/or the editor(s). MDPI and/or the editor(s) disclaim responsibility for any injury to people or property resulting from any ideas, methods, instructions or products referred to in the content. |
© 2024 by the authors. Licensee MDPI, Basel, Switzerland. This article is an open access article distributed under the terms and conditions of the Creative Commons Attribution (CC BY) license (https://creativecommons.org/licenses/by/4.0/).
Share and Cite
Nam, S.; Jeon, Y.; Lee, H.; Jeong, J. Effects of the Direction of Two Kirschner Wires on Combined Tibial Plateau Leveling Osteotomy and Tibial Tuberosity Transposition in Miniature Breed Dogs: An Ex Vivo Study. Animals 2024, 14, 2258. https://doi.org/10.3390/ani14152258
Nam S, Jeon Y, Lee H, Jeong J. Effects of the Direction of Two Kirschner Wires on Combined Tibial Plateau Leveling Osteotomy and Tibial Tuberosity Transposition in Miniature Breed Dogs: An Ex Vivo Study. Animals. 2024; 14(15):2258. https://doi.org/10.3390/ani14152258
Chicago/Turabian StyleNam, Sanghyun, Youngjin Jeon, Haebeom Lee, and Jaemin Jeong. 2024. "Effects of the Direction of Two Kirschner Wires on Combined Tibial Plateau Leveling Osteotomy and Tibial Tuberosity Transposition in Miniature Breed Dogs: An Ex Vivo Study" Animals 14, no. 15: 2258. https://doi.org/10.3390/ani14152258
APA StyleNam, S., Jeon, Y., Lee, H., & Jeong, J. (2024). Effects of the Direction of Two Kirschner Wires on Combined Tibial Plateau Leveling Osteotomy and Tibial Tuberosity Transposition in Miniature Breed Dogs: An Ex Vivo Study. Animals, 14(15), 2258. https://doi.org/10.3390/ani14152258

