A Glycosyl Hydrolase 30 Family Xylanase from the Rumen Metagenome and Its Effects on In Vitro Ruminal Fermentation of Wheat Straw
Abstract
Simple Summary
Abstract
1. Introduction
2. Materials and Methods
2.1. Gene Cloning and Recombinant Plasmid Construction
2.2. Sequence Analysis
2.3. Expression and Purification of RuXyn
2.4. Characterization of RuXyn
2.5. Hydrolysis Products of Corncob Xylan
2.6. Hydrolysis of Fiber Substrates by RuXyn
2.7. Synergistic Effects of RuXyn and Cellulase on Hydrolysis of Wheat Straw
2.8. Hydrolysis of Wheat Straw by RuXyn
2.9. In Vitro Ruminal Fermentation
2.10. Site-Directed Mutagenesis of RuXyn
2.11. Statistical Analyses
3. Results
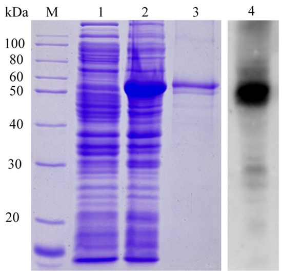
3.1. Sequence Analysis and Production of RuXyn
3.2. Characterization of RuXyn
3.3. Hydrolysis Products of Corncob Xylan by RuXyn
3.4. Hydrolysis of Fiber Substrates by RuXyn
3.5. Synergistic Effects of RuXyn and Cellulase on Wheat Straw
3.6. Hydrolysis of Wheat Straw by RuXyn
3.7. Effects of RuXyn on In Vitro Ruminal Fermentation of Wheat Straw
3.8. Site-Directed Mutagenesis of RuXyn
4. Discussion
Supplementary Materials
Author Contributions
Funding
Institutional Review Board Statement
Informed Consent Statement
Data Availability Statement
Conflicts of Interest
Abbreviations
References
- Su, C.; Hirth, K.; Liu, Z.; Cao, Y.; Zhu, J. Maleic acid hydrotropic fractionation of wheat straw to facilitate value-added multi-product biorefinery at atmospheric pressure. GCB Bioenergy 2021, 13, 1407–1424. [Google Scholar] [CrossRef]
- Liu, Z.; Sun, J.; Zhu, W.; Qu, Y. Exploring impacts of perceived value and government regulation on farmers’ willingness to adopt wheat straw incorporation in China. Land 2021, 10, 1051. [Google Scholar] [CrossRef]
- Tufail, T.; Saeed, F.; Afzaal, M.; Ain, H.B.U.; Gilani, S.A.; Hussain, M.; Anjum, F.M. Wheat straw: A natural remedy against different maladies. Food Sci. Nutr. 2021, 9, 2335–2344. [Google Scholar] [CrossRef] [PubMed]
- Malik, S.; Rana, V.; Joshi, G.; Gupta, P.K.; Sharma, A. Valorization of wheat straw for the paper industry: Pre-extraction of reducing sugars and its effect on pulping and papermaking properties. ACS Omega 2020, 5, 30704–30715. [Google Scholar] [CrossRef] [PubMed]
- Xing, B.S.; Han, Y.; Wang, X.C.; Wen, J.; Cao, S.; Zhang, K.; Li, Q.; Yuan, H. Persistent action of cow rumen microorganisms in enhancing biodegradation of wheat straw by rumen fermentation. Sci. Total Environ. 2020, 715, 136529. [Google Scholar] [CrossRef] [PubMed]
- Chaudhry, A. Nutrient composition, digestion and rumen fermentation in sheep of wheat straw treated with calcium oxide, sodium hydroxide and alkaline hydrogen peroxide. Anim. Feed Sci. Technol. 1998, 74, 315–328. [Google Scholar] [CrossRef]
- Weimer, P.J. Manipulating ruminal fermentation: A microbial ecological perspective. J. Anim. Sci. 1998, 76, 3114–3122. [Google Scholar] [CrossRef]
- Nayan, N.; Sonnenberg, A.S.; Hendriks, W.H.; Cone, J.W. Screening of white-rot fungi for bioprocessing of wheat straw into ruminant feed. J. Appl. Microbiol. 2018, 125, 468–479. [Google Scholar] [CrossRef]
- Viola, E.; Zimbardi, F.; Cardinale, M.; Cardinale, G.; Braccio, G.; Gambacorta, E. Processing cereal straws by steam explosion in a pilot plant to enhance digestibility in ruminants. Bioresour. Technol. 2008, 99, 681–689. [Google Scholar] [CrossRef]
- Ribeiro, G.O.; Gruninger, R.J.; Jones, D.R.; Beauchemin, K.A.; Yang, W.Z.; Wang, Y.; Abbott, D.W.; Tsang, A.; A McAllister, T. Effect of ammonia fiber expansion-treated wheat straw and a recombinant fibrolytic enzyme on rumen microbiota and fermentation parameters, total tract digestibility, and performance of lambs. J. Anim. Sci. 2020, 98, skaa116. [Google Scholar] [CrossRef]
- Jäger, G.; Girfoglio, M.; Dollo, F.; Rinaldi, R.; Bongard, H.; Commandeur, U.; Fischer, R.; Spiess, A.C.; Büchs, J. How recombinant swollenin from Kluyveromyces lactis affects cellulosicsubstrates and accelerates their hydrolysis. Biotechnol. Biofuels 2011, 4, 33. [Google Scholar] [CrossRef] [PubMed]
- Sarnklong, C.; Cone, J.; Pellikaan, W.; Hendriks, W. Utilization of rice straw and different treatments to improve its feed value for ruminants: A review. Asian-Australas. J. Anim. Sci. 2010, 23, 680–692. [Google Scholar] [CrossRef]
- Rouches, E.; Herpoël-Gimbert, I.; Steyer, J.P.; Carrere, H. Improvement of anaerobic degradation by white-rot fungi pretreatment of lignocellulosic biomass: A review. Renew. Sustain. Energy Rev. 2016, 59, 179–198. [Google Scholar] [CrossRef]
- Rémond, C.; Aubry, N.; Crônier, D.; Noël, S.; Martel, F.; Roge, B.; Rakotoarivonina, H.; Debeire, P.; Chabbert, B. Combination of ammonia and xylanase pretreatments: Impact on enzymatic xylan and cellulose recovery from wheat straw. Bioresour. Technol. 2010, 101, 6712–6717. [Google Scholar] [CrossRef]
- Isci, A.; Thieme, N.; Lamp, A.; Zverlov, V.; Kaltschmitt, M. Production of xylo-oligosaccharides from wheat straw using microwave assisted deep eutectic solvent pretreatment. Ind. Crops Prod. 2021, 164, 113393. [Google Scholar] [CrossRef]
- Chen, H.; Zhao, X.; Liu, D. Relative significance of the negative impacts of hemicelluloses on enzymatic cellulose hydrolysis is dependent on lignin content: Evidence from substrate structural features and protein adsorption. ACS Sustain. Chem. Eng. 2016, 4, 6668–6679. [Google Scholar] [CrossRef]
- Dos Santos, J.P.; da Rosa Zavareze, E.; Dias, A.R.G.; Vanier, N.L. Immobilization of xylanase and xylanase–β-cyclodextrin complex in polyvinyl alcohol via electrospinning improves enzyme activity at a wide pH and temperature range. Int. J. Biol. Macromol. 2018, 118, 1676–1684. [Google Scholar] [CrossRef]
- Hu, J.; Arantes, V.; Saddler, J.N. The enhancement of enzymatic hydrolysis of lignocellulosic substrates by the addition of accessory enzymes such as xylanase: Is it an additive or synergistic effect? Biotechnol. Biofuels 2011, 4, 36. [Google Scholar] [CrossRef]
- Togtokhbayar, N.; Cerrillo, M.A.; Rodríguez, G.B.; Elghandour, M.M.; Salem, A.Z.; Urankhaich, C.; Jigjidpurev, S.; Odongo, N.E.; Kholif, A.E. Effect of exogenous xylanase on rumen in vitro gas production and degradability of wheat straw. Anim. Sci. J. 2015, 86, 765–771. [Google Scholar] [CrossRef]
- Li, L.; Qu, M.; Liu, C.; Xu, L.; Pan, K.; Song, X.; OuYang, K.; Li, Y.; Zhao, X. Expression of a recombinant Lentinula edodes xylanase by Pichia pastoris and its effects on ruminal fermentation and microbial community in in vitro incubation of agricultural straws. Front. Microbiol. 2018, 9, 2944. [Google Scholar] [CrossRef]
- Hristov, A.N.; McAllister, T.A.; Cheng, K.J. Effect of dietary or abomasal supplementation of exogenous polysaccharide-degrading enzymes on rumen fermentation and nutrient digestibility. J. Anim. Sci. 1998, 76, 3146–3156. [Google Scholar] [CrossRef] [PubMed][Green Version]
- Vallejo, L.; Salem, A.; Camacho, L.; Kholif, A.; Mariezcurrena, M.; Cipriano, M.; Alonso, M.U.; Olivares, J.; Lopez, S. Effects of xylanase supplementation on feed intake, digestibility and ruminal fermentation in Rambouillet sheep. J. Agric. Sci. 2016, 154, 1110–1117. [Google Scholar] [CrossRef]
- Beauchemin, K.; Colombatto, D.; Morgavi, D.; Yang, W. Use of exogenous fibrolytic enzymes to improve feed utilization by ruminants. J. Anim. Sci. 2003, 81, E37–E47. [Google Scholar]
- Liang, J.; Nabi, M.; Zhang, P.; Zhang, G.; Cai, Y.; Wang, Q.; Zhou, Z.; Ding, Y. Promising biological conversion of lignocellulosic biomass to renewable energy with rumen microorganisms: A comprehensive review. Renew. Sustain. Energy Rev. 2020, 134, 110335. [Google Scholar] [CrossRef]
- Stewart, R.D.; Auffret, M.D.; Warr, A.; Walker, A.W.; Roehe, R.; Watson, M. Compendium of 4,941 rumen metagenome-assembled genomes for rumen microbiome biology and enzyme discovery. Nat. Biotechnol. 2019, 37, 953–961. [Google Scholar] [CrossRef] [PubMed]
- Ariaeenejad, S.; Hosseini, E.; Maleki, M.; Kavousi, K.; Moosavi-Movahedi, A.A.; Salekdeh, G.H. Identification and characterization of a novel thermostable xylanase from camel rumen metagenome. Int. J. Biol. Macromol. 2019, 126, 1295–1302. [Google Scholar] [CrossRef] [PubMed]
- Hu, D.; Zhao, X. Characterization of a new xylanase found in the rumen metagenome and its effects on the hydrolysis of wheat. J. Agric. Food Chem. 2022, 70, 6493–6502. [Google Scholar] [CrossRef]
- Li, T.; Lei, X.; Wang, L.; Liu, C.; Qiu, Q.; Li, Y.; Song, X.; Xiong, X.; Zang, Y.; Qu, M.; et al. Production of xylo-oligosaccharides with degree of polymerization 3–5 from wheat straw xylan by a xylanase derived from rumen metagenome and utilization by probiotics. Food Biosci. 2023, 56, 103360. [Google Scholar] [CrossRef]
- Lu, F.; Lu, M.; Lu, Z.; Bie, X.; Zhao, H.; Wang, Y. Purification and characterization of xylanase from Aspergillus ficuum AF-98 2023. Bioresour. Technol. 2008, 99, 5938–5941. [Google Scholar] [CrossRef]
- Li, H.; Long, C.; Zhou, J.; Liu, J.; Wu, X.; Long, M. Rapid analysis of mono-saccharides and oligo-saccharides in hydrolysates of lignocellulosic biomass by HPLC. Biotechnol. Lett. 2013, 35, 1405–1409. [Google Scholar] [CrossRef]
- Williams, S.R.O.; Hannah, M.C.; Jacobs, J.L.; Wales, W.J.; Moate, P. Volatile fatty acids in ruminal fluid can be used to predict methane yield of dairy cows. Animals 2019, 9, 1006. [Google Scholar] [CrossRef] [PubMed]
- Accetto, T.; Avguštin, G. Polysaccharide utilization locus and CAZYme genome repertoires reveal diverse ecological adaptation of Prevotella species. Syst. Appl. Microbiol. 2015, 38, 453–461. [Google Scholar] [CrossRef] [PubMed]
- St John, F.J.; González, J.M.; Pozharski, E. Consolidation of glycosyl hydrolase family 30: A dual domain 4/7 hydrolase family consisting of two structurally distinct groups. FEBS Lett. 2010, 584, 4435–4441. [Google Scholar] [CrossRef] [PubMed]
- Puchart, V.; Šuchová, K.; Biely, P. Xylanases of glycoside hydrolase family 30–An overview. Biotechnol. Adv. 2021, 47, 107704. [Google Scholar] [CrossRef] [PubMed]
- Urbániková, Ľ.; Vršanská, M.; Mørkeberg Krogh, K.B.; Hoff, T.; Biely, P. Structural basis for substrate recognition by Erwinia chrysanthemi GH30 glucuronoxylanase. FEBS J. 2011, 278, 2105–2116. [Google Scholar] [CrossRef] [PubMed]
- Castro-Costa, A.; Salama, A.; Moll, X.; Aguiló, J.; Caja, G. Using wireless rumen sensors for evaluating the effects of diet and ambient temperature in nonlactating dairy goats. J. Dairy Sci. 2015, 98, 4646–4658. [Google Scholar] [CrossRef] [PubMed]
- Kaur, R.; Garcia, S.; Horadagoda, A.; Fulkerson, W. Evaluation of rumen probe for continuous monitoring of rumen pH, temperature and pressure. Anim. Prod. Sci. 2010, 50, 98–104. [Google Scholar] [CrossRef]
- Cheng, F.; Sheng, J.; Dong, R.; Men, Y.; Gan, L.; Shen, L. Novel xylanase from a holstein cattle rumen metagenomic library and its application in xylooligosaccharide and ferulic acid production from wheat straw. J. Agric. Food Chem. 2012, 60, 12516–12524. [Google Scholar] [CrossRef]
- Hemida, S.; Omar, S.; Abdel-Mallek, A. Microbial populations and enzyme activity in soil treated with heavy metals. Water Air Soil Pollut. 1997, 95, 13–22. [Google Scholar] [CrossRef]
- Gong, X.; Gruniniger, R.; Forster, R.; Teather, R.; McAllister, T. Biochemical analysis of a highly specific, pH stable xylanase gene identified from a bovine rumen-derived metagenomic library. Appl. Microbiol. Biotechnol. 2013, 97, 2423–2431. [Google Scholar] [CrossRef]
- Chen, S.; Kaufman, M.G.; Miazgowicz, K.L.; Bagdasarian, M.; Walker, E.D. Molecular characterization of a cold-active recombinant xylanase from Flavobacterium johnsoniae and its applicability in xylan hydrolysis. Bioresour. Technol. 2013, 128, 145–155. [Google Scholar] [CrossRef] [PubMed]
- Della Torre, C.L.; Silva-Lucca, R.A.; Ferreira, R.d.S.; Andrade Luz, L.; Oliva, M.L.V.; Kadowaki, M.K. Correlation of the conformational structure and catalytic activity of the highly thermostable xylanase of Thermomyces lanuginosus PC7S1T. Biocatal. Biotransfor. 2021, 41, 81–92. [Google Scholar] [CrossRef]
- Wang, Q.; Luo, Y.; He, B.; Jiang, L.S.; Liu, J.X.; Wang, J.K. Characterization of a novel xylanase gene from rumen content of Hu sheep. Appl. Biochem. Biotechnol. 2015, 177, 1424–1436. [Google Scholar] [CrossRef] [PubMed]
- Hamid, A.; Aftab, M.N. Cloning, purification, and characterization of recombinant thermostable β-xylanase Tnap_0700 from Thermotoga naphthophila. Appl. Biochem. Biotechnol. 2019, 189, 1274–1290. [Google Scholar] [CrossRef] [PubMed]
- Terrasan, C.R.F.; Guisan, J.M.; Carmona, E.C. Xylanase and β-xylosidase from Penicillium janczewskii: Purification, characterization and hydrolysis of substrates. Electron. J. Biotechnol. 2016, 23, 54–62. [Google Scholar] [CrossRef]
- Knob, A.; Beitel, S.M.; Fortkamp, D.; Terrasan, C.R.F.; Almeida, A.F.d. Production, purification, and characterization of a major Penicillium glabrum xylanase using brewer’s spent grain as substrate. BioMed Res. Int. 2013, 2013, 728735. [Google Scholar] [CrossRef] [PubMed]
- Sun, M.-Z.; Zheng, H.-C.; Meng, L.-C.; Sun, J.-S.; Song, H.; Bao, Y.-J.; Pei, H.-S.; Yan, Z.; Zhang, X.-Q.; Zhang, J.-S.; et al. Direct cloning, expression of a thermostable xylanase gene from the metagenomic DNA of cow dung compost and enzymatic production of xylooligosaccharides from corncob. Biotechnol. Lett. 2015, 37, 1877–1886. [Google Scholar] [CrossRef]
- Han, C.; Yang, R.; Sun, Y.; Liu, M.; Zhou, L.; Li, D. Identification and characterization of a novel hyperthermostable bifunctional cellobiohydrolase-xylanase enzyme for synergistic effect with commercial cellulase on pretreated wheat straw degradation. Front. Bioeng. Biotechnol. 2020, 8, 296. [Google Scholar] [CrossRef]
- Zhang, R.; Lv, C.; Lu, J. Studies on laccase mediated conversion of lignin from ginseng residues for the production of sugars. Bioresour. Technol. 2020, 317, 123945. [Google Scholar] [CrossRef]
- Dijkstra, J. Production and absorption of volatile fatty acids in the rumen. Livest. Prod. Sci. 1994, 39, 61–69. [Google Scholar] [CrossRef]
- Terrill, T.; Douglas, G.; Foote, A.; Purchas, R.; Wilson, G.; Barry, T. Effect of condensed tannins upon body growth, wool growth and rumen metabolism in sheep grazing sulla (Hedysarum coronarium) and perennial pasture. J. Agric. Sci. 1992, 119, 265–273. [Google Scholar] [CrossRef]
- Wang, Y.; Ramirez-Bribiesca, J.; Yanke, L.; Tsang, A.; McAllister, T. Effect of exogenous fibrolytic enzyme application on the microbial attachment and digestion of barley straw in vitro. Asian-Australas. J. Anim. Sci. 2012, 25, 66–74. [Google Scholar] [CrossRef] [PubMed][Green Version]
- Subramaniyan, S.; Prema, P. Cellulase-free xylanases from Bacillus and other microorganisms. FEMS Microbiol. Lett. 2000, 183, 1–7. [Google Scholar] [CrossRef] [PubMed]
- Santibáñez, L.; Henríquez, C.; Corro-Tejeda, R.; Bernal, S.; Armijo, B.; Salazar, O. Xylooligosaccharides from lignocellulosic biomass: A comprehensive review. Carbohydr. Polym. 2021, 251, 117118. [Google Scholar] [CrossRef]








| Additives | Low Concentration | High Concentration |
|---|---|---|
| 1 mM | 5 mM | |
| Ca2+ | 109.21 ± 7.01 | 107.49 ± 7.97 |
| Na+ | 103.34 ± 0.43 | 93.03 ± 3.47 |
| Mg2+ | 77.36 ± 1.96 | 47.50 ± 2.91 |
| K+ | 86.28 ± 5.82 | 93.15 ± 7.70 |
| Zn2+ | 64.20 ± 0.82 | 21.98 ± 1.06 |
| Cu2+ | 5.09 ± 0.12 | 3.20 ± 0.28 |
| Mn2+ | 159.23 ± 9.97 | 173.20 ± 10.17 |
| β-mercaptoethanol | 85.30 ± 2.41 | 74.81 ± 5.53 |
| Dithiothreitol | 102.19 ± 0.44 | 119.67 ± 4.59 |
| EDTA | 57.21 ± 1.79 | 43.57 ± 4.26 |
| SDS | 74.54 ± 2.02 | 43.92 ± 5.08 |
| 0.05% (v/v) | 0.25% (v/v) | |
| Tween-20 | 86.42 ± 4.90 | 73.72 ± 2.28 |
| Triton X-100 | 73.13 ± 3.87 | 93.70 ± 3.38 |
| Item | Control | RuXyn | p-Value |
|---|---|---|---|
| IVDMD (%) | 57.59 ± 1.61 | 66.34 ± 1.02 | 0.001 |
| pH | 6.53 ± 0.03 | 6.44 ± 0.01 | 0.007 |
| Total VFA (mM) | 73.13 ± 3.31 | 83.54 ± 3.17 | 0.017 |
| Acetate (mM) | 44.33 ± 0.51 | 46.75 ± 0.80 | 0.011 |
| Propionate (mM) | 13.19 ± 0.41 | 16.58 ± 0.34 | <0.001 |
| Butyrate (mM) | 7.74 ± 2.67 | 7.71 ± 0.16 | 0.987 |
| Isobutyrate (mM) | 0.56 ± 0.51 | 0.51 ± 0.37 | 0.891 |
| Valerate (mM) | 1.66 ± 0.36 | 5.52 ± 1.96 | 0.029 |
| Isovalerate (mM) | 5.66 ± 0.25 | 6.47 ± 1.18 | 0.307 |
| NH3-N (mM) | 0.28 ± 0.03 | 5.80 ± 0.13 | <0.001 |
| CH4 (mmol) | 1.36 ± 0.07 | 1.39 ± 0.03 | 0.667 |
| Total bacteria (log10 of 16S rDNA copy numbers/mL) | 8.32 ± 0.13 | 8.64 ± 0.04 | 0.016 |
Disclaimer/Publisher’s Note: The statements, opinions and data contained in all publications are solely those of the individual author(s) and contributor(s) and not of MDPI and/or the editor(s). MDPI and/or the editor(s) disclaim responsibility for any injury to people or property resulting from any ideas, methods, instructions or products referred to in the content. |
© 2023 by the authors. Licensee MDPI, Basel, Switzerland. This article is an open access article distributed under the terms and conditions of the Creative Commons Attribution (CC BY) license (https://creativecommons.org/licenses/by/4.0/).
Share and Cite
Tang, L.; Lei, X.; Ouyang, K.; Wang, L.; Qiu, Q.; Li, Y.; Zang, Y.; Liu, C.; Zhao, X. A Glycosyl Hydrolase 30 Family Xylanase from the Rumen Metagenome and Its Effects on In Vitro Ruminal Fermentation of Wheat Straw. Animals 2024, 14, 118. https://doi.org/10.3390/ani14010118
Tang L, Lei X, Ouyang K, Wang L, Qiu Q, Li Y, Zang Y, Liu C, Zhao X. A Glycosyl Hydrolase 30 Family Xylanase from the Rumen Metagenome and Its Effects on In Vitro Ruminal Fermentation of Wheat Straw. Animals. 2024; 14(1):118. https://doi.org/10.3390/ani14010118
Chicago/Turabian StyleTang, Longzhang, Xiaowen Lei, Kehui Ouyang, Lei Wang, Qinghua Qiu, Yanjiao Li, Yitian Zang, Chanjuan Liu, and Xianghui Zhao. 2024. "A Glycosyl Hydrolase 30 Family Xylanase from the Rumen Metagenome and Its Effects on In Vitro Ruminal Fermentation of Wheat Straw" Animals 14, no. 1: 118. https://doi.org/10.3390/ani14010118
APA StyleTang, L., Lei, X., Ouyang, K., Wang, L., Qiu, Q., Li, Y., Zang, Y., Liu, C., & Zhao, X. (2024). A Glycosyl Hydrolase 30 Family Xylanase from the Rumen Metagenome and Its Effects on In Vitro Ruminal Fermentation of Wheat Straw. Animals, 14(1), 118. https://doi.org/10.3390/ani14010118

