Colistin Resistance Genes in Broiler Chickens in Tunisia
Abstract
Simple Summary
Abstract
1. Introduction
2. Materials and Methods
2.1. Sampling
2.2. Molecular Analysis
DNA Amplification and Sequencing
2.3. Statistical Analysis
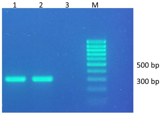
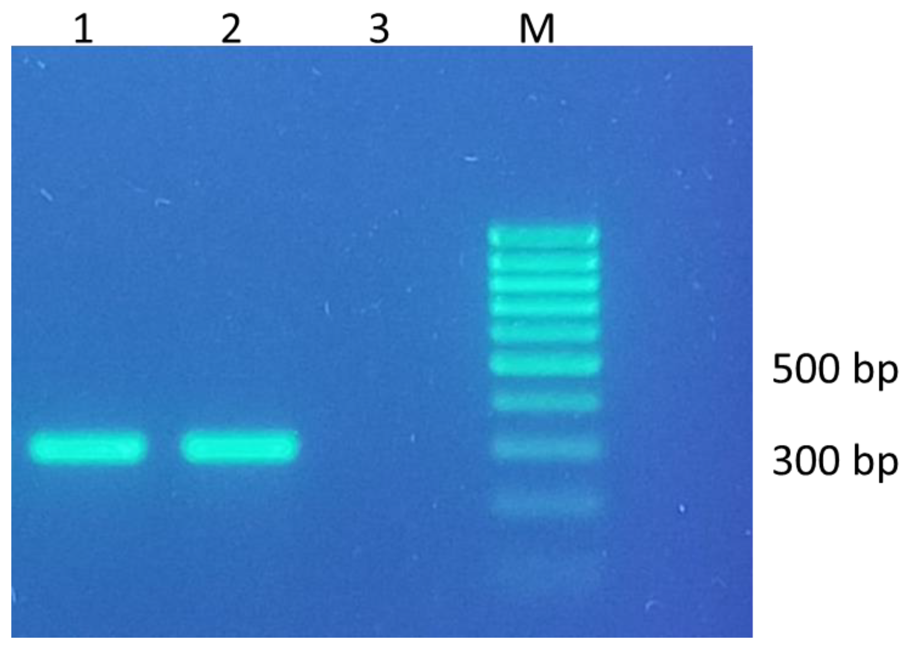
3. Results
4. Discussion
5. Conclusions
Author Contributions
Funding
Institutional Review Board Statement
Informed Consent Statement
Data Availability Statement
Conflicts of Interest
References
- Valiakos, G.; Kapna, I. Colistin resistant mcr genes prevalence in livestock animals (swine, bovine, poultry) from a multinational perspective. A systematic review. Vet Sci. 2021, 8, 265. [Google Scholar] [CrossRef] [PubMed]
- Biswas, S.; Brunel, J.M.; Dubus, J.C.; Reynaud-Gaubert, M.; Rolain, J.M. Colistin: An update on the antibiotic of the 21st century. Expert Rev. Ant-Infect. Ther. 2012, 10, 917–934. [Google Scholar] [CrossRef] [PubMed]
- Koch-Weser, J.; Sidel, V.W.; Federman, E.B.; Kanarek, P.; Finer, D.C.; Eaton, A.E. Adverse effects of sodium colistimethate. Manifestations and specific reaction rates during 317 courses of therapy. Ann. Intern. Med. 1970, 72, 857–868. [Google Scholar] [CrossRef] [PubMed]
- Falagas, M.E.; Kasiakou, S.K. Colistin: The revival of polymyxins for the management of multi-drug-resistant Gram-negative bacterial infections. Rev. Anti-infect. Agents 2005, 40, 1333. [Google Scholar] [CrossRef]
- Nasnas, R.; Saliba, G.; Hallak, P. The revival of colistin: An old antibiotic for the 21st century. Pathol. Biol. 2009, 57, 229–235. [Google Scholar] [CrossRef]
- Anyanwu, M.U.; Jaja, I.F.; Nwobi, O.C. Occurrence and characteristics of mobile colistin resistance (mcr) gene-containing isolates from the environment: A review. Int. J. Environ. Res. Public Health 2020, 17, 1028. [Google Scholar] [CrossRef]
- Dziri, O.; Dziri, R.; El Salabi, A.A.; Alawami, A.A.; Ksouri, R.; Chouchani, C. Polymyxin E-resistant Gram-negative bacteria in Tunisia and neighboring countries: Are there commonalities? Infect. Drug Resist. 2021, 14, 4821–4832. [Google Scholar] [CrossRef]
- Poirel, L.; Jayol, A.; Nordmann, P. Polymyxins: Antibacterial activity, susceptibility testing, and resistance mechanisms encoded by plasmids or chromosomes. Clin. Microbiol. Rev. 2017, 30, 557–596. [Google Scholar] [CrossRef]
- Gogry, F.A.; Siddiqui, M.T.; Sultan, I.; Haq, Q.M.R. Current update on intrinsic and acquired colistin resistance mechanisms in bacteria. Front. Med. 2021, 8, 677720. [Google Scholar] [CrossRef]
- Kieffer, N.; Royer, G.; Decousser, J.-W.; Bourrel, A.-S.; Palmieri, M.; De La Rosa, J.-M.O.; Jacquier, H.; Denamur, E.; Nordmann, P.; Poirel, L. mcr-9, an inducible gene encoding an acquired phosphoethanolamine transferase in Escherichia coli, and its origin. Antimicrob. Agents Chemother. 2019, 63, e00965-19. [Google Scholar] [CrossRef]
- Carretto, E.; Brovarone, F.; Russello, G.; Nardini, P.; El-Bouseary, M.M.; Aboklaish, A.F.; Walsh, T.R.; Tyrrell, J.M. Clinical validation of SensiTest Colistin, a broth microdilution-based method to evaluate colistin MICs. J. Clin. Microbiol. 2018, 56, e01523-17. [Google Scholar] [CrossRef] [PubMed]
- Liu, Y.-Y.; Wang, Y.; Walsh, T.R.; Yi, L.-X.; Zhang, R.; Spencer, J.; Doi, Y.; Tian, G.; Dong, B.; Huang, X.; et al. Emergence of plasmid-mediated colistin resistance mechanism MCR-1 in animals and human beings in China: A microbiological and molecular biological study. Lancet Infect. Dis. 2016, 16, 161–168. [Google Scholar] [CrossRef] [PubMed]
- Forde, B.M.; Zowawi, H.M.; Harris, P.N.A.; Roberts, L.; Ibrahim, E.; Shaikh, N.; Deshmukh, A.; Sid Ahmed, M.A.; Al Maslamani, M.; Cottrell, K.; et al. Discovery of mcr-1-mediated colistin resistance in a highly virulent Escherichia coli lineage. mSphere 2018, 3, e00486-18. [Google Scholar] [CrossRef]
- Luo, Q.; Wang, Y.; Xiao, Y. Prevalence and transmission of mobilized colistin resistance (mcr) gene in bacteria common to animals and humans. Biosaf. Health 2020, 2, 71–78. [Google Scholar] [CrossRef]
- Ling, Z.; Yin, W.; Shen, Z.; Wang, Y.; Shen, J.; Walsh, T.R. Epidemiology of mobile colistin resistance genes mcr-1 to mcr-9. J. Antimicrob. Chemother. 2020, 75, 3087–3095. [Google Scholar] [CrossRef]
- Hassen, B.; Abbassi, M.S.; Ruiz-Ripa, L.; Mama, O.M.; Hassen, A.; Torres, C.; Hammami, S. High prevalence of mcr-1 encoding colistin resistance and first identification of blaCTX-M-55 in ESBL/CMY-2-producing Escherichia coli isolated from chicken faeces and retail meat in Tunisia. Int. J. Food Microbiol. 2020, 318, 108478. [Google Scholar] [CrossRef]
- Bastidas-Caldes, C.; de Waard, J.H.; Salgado, M.S.; Villacís, M.J.; Coral-Almeida, M.; Yamamoto, Y.; Calvopiña, M. Worldwide prevalence of mcr-mediated colistin-resistance Escherichia coli in isolates of clinical samples, healthy humans, and livestock—A systematic review and meta-analysis. Pathogens 2022, 11, 659. [Google Scholar] [CrossRef]
- Zhang, J.; Chen, L.; Wang, J.; Butaye, P.; Huang, K.; Qiu, H.; Zhang, X.; Gong, W.; Wang, C. Molecular detection of colistin resistance genes (mcr-1 to mcr-5) in human vaginal swabs. BMC Res. Notes 2018, 11, 143. [Google Scholar] [CrossRef]
- Wang, X.; Wang, Y.; Zhou, Y.; Li, J.; Yin, W.; Wang, S.; Zhang, S.; Shen, J.; Shen, Z.; Wang, Y. Emergence of a novel mobile colistin resistance gene, mcr-8, in NDM-producing Klebsiella pneumoniae. Emerg. Microbes Infect. 2018, 7, 122. [Google Scholar] [CrossRef]
- Gorecki, A.; Musialowski, M.; Wolacewicz, M.; Decewicz, P.; Ferreira, C.; Vejmelkova, D.; Grzesiuk, M.; Manaia, C.M.; Bartacek, J.; Dziewit, L. Development and validation of novel PCR primers for identification of plasmid-mediated colistin resistance (mcr) genes in various environmental settings. J. Hazard Mater. 2022, 425, 127936. [Google Scholar] [CrossRef]
- Lei, C.W.; Zhang, Y.; Wang, Y.T.; Wang, H.N. Detection of mobile colistin resistance gene mcr-10.1 in a conjugative plasmid from Enterobacter roggenkampii of chicken origin in China. Antimicrob. Agents Chemother. 2020, 64, e01191-20. [Google Scholar] [CrossRef]
- Anyanwu, M.U.; Jaja, I.F.; Oguttu, J.W.; Jaja, C.J.; Chah, K.; Shodeinde Shoyinka, V. Is Africa ready for mobile colistin resistance threat? Infect. Ecol. Epidemiol. 2021, 11, 1962781. [Google Scholar] [CrossRef] [PubMed]
- Shen, Y.; Zhang, R.; Schwarz, S.; Wu, C.; Shen, J.; Walsh, T.R.; Wang, Y. Farm animals and aquaculture: Significant reservoirs of mobile colistin resistance genes. Environ. Microbiol. 2020, 22, 2469–2484. [Google Scholar] [CrossRef] [PubMed]
- Ferjani, S.; Maamar, E.; Ferjani, A.; Meftah, K.; Battikh, H.; Mnif, B.; Hamdoun, M.; Chebbi, Y.; Kanzari, L.; Achour, W.; et al. Tunisian multicenter study on the prevalence of colistin resistance in clinical isolates of Gram negative bacilli: Emergence of Escherichia coli harbouring the mcr-1 gene. Antibiotics 2022, 11, 1390. [Google Scholar] [CrossRef] [PubMed]
- Grami, R.; Mansour, W.; Mehri, W.; Bouallègue, O.; Boujaâfar, N.; Madec, J.-Y.; Haenni, M. Impact of food animal trade on the spread of mcr-1-mediated colistin resistance, Tunisia, July 2015. Eurosurveillance 2016, 21, 30144. [Google Scholar] [CrossRef] [PubMed]
- Hassen, B.; Saloua, B.; Abbassi, M.S.; Ruiz-Ripa, L.; Mama, O.M.; Hassen, A.; Hammami, S.; Torres, C. mcr-1 encoding colistin resistance in CTX-M-1/CTX-M-15-producing Escherichia coli isolates of bovine and caprine origins in Tunisia. First report of CTX-M-15-ST394/D E. coli from goats. Comp. Immunol. Microbiol. Infect. Dis. 2019, 67, 101366. [Google Scholar] [CrossRef]
- Saidani, M.; Messadi, L.; Mefteh, J.; Chaouechi, A.; Soudani, A.; Selmi, R.; Dâaloul-Jedidi, M.; Ben Chehida, F.; Mamlouk, A.; Jemli, M.H.; et al. Various Inc-type plasmids and lineages of Escherichia coli and Klebsiella pneumoniae spreading blaCTX-M-15, blaCTX-M-1 and mcr-1 genes in camels in Tunisia. J. Glob. Antimicrob. Resist. 2019, 19, 280–283. [Google Scholar] [CrossRef]
- Selmi, R.; Tayh, G.; Srairi, S.; Mamlouk, A.; Ben Chehida, F.; Lahmar, S.; Bouslama, M.; Daaloul-Jedidi, M.; Messadi, L. Prevalence, risk factors and emergence of extended-spectrum β-lactamase producing-, carbapenem- and colistin-resistant Enterobacteriales isolated from wild boar (Sus scrofa) in Tunisia. Microb. Pathog. 2022, 163, 105385. [Google Scholar] [CrossRef]
- Hassen, B.; Abbassi, M.S.; Ruiz-Ripa, L.; Mama, O.M.; Ibrahim, C.; Benlabidi, S.; Hassen, A.; Torres, C.; Hammami, S. Genetic characterization of extended-spectrum β-lactamase-producing Enterobacteriaceae from a biological industrial wastewater treatment plant in Tunisia with detection of the colistin-resistance mcr-1 gene. FEMS Microbiol. Ecol. 2021, 97, fiaa231. [Google Scholar] [CrossRef]
- Pishnian, Z.; Haeili, M.; Feizi, A. Prevalence and molecular determinants of colistin resistance among commensal Enterobacteriaceae isolated from poultry in northwest of Iran. Gut Pathog. 2019, 11, 2. [Google Scholar] [CrossRef]
- Soufi, L.; Abbassi, M.S.; Sáenz, Y.; Vinué, L.; Somalo, S.; Zarazaga, M.; Abbas, A.; Dbaya, R.; Khanfir, L.; As-sia Ben Hassen, A.; et al. Prevalence and diversity of integrons and associated resistance genes in Escherichia coli isolates from poultry meat in Tunisia. Foodborne Pathog. Dis. 2009, 6, 1067–1073. [Google Scholar] [CrossRef] [PubMed]
- Maamar, E.; Alonso, C.A.; Hamzaoui, Z.; Dakhli, N.; Abbassi, M.S.; Ferjani, S.; Saidani, M.; Boubaker, I.B.B.; Torres, C. Emergence of plasmid-mediated colistin-resistance in CMY-2-producing Escherichia coli of lineage ST2197 in a Tunisian poultry farm. Int. J. Food Microbiol. 2018, 269, 60–63. [Google Scholar] [CrossRef] [PubMed]
- Saidani, M.; Messadi, L.; Chaouechi, A.; Tabib, I.; Saras, E.; Soudani, A.; Daaloul-Jedidi, M.; Mamlouk, A.; Ben Chehida, F.; Chakroun, C.; et al. High genetic diversity of Enterobacteriaceae clones and plasmids disseminating resistance to extended-spectrum cephalosporins and colistin in healthy chicken in Tunisia. Microb. Drug Resist. 2019, 25, 1507–1513. [Google Scholar] [CrossRef]
- Dhaouadi, S.; Soufi, L.; Hamza, A.; Fedida, D.; Zied, C.; Awadhi, E.; Mtibaa, M.; Hassen, B.; Cherif, A.; Torres, C.; et al. Co-occurrence of mcr-1 mediated colistin resistance and β-lactamase-encoding genes in multidrug-resistant Escherichia coli from broiler chickens with colibacillosis in Tunisia. J. Glob. Antimicrob. Resist. 2020, 22, 538–545. [Google Scholar] [CrossRef]
- Oueslati, W.; Rjeibi, M.R.; Benyedem, H.; Mamlouk, A.; Souissi, F.; Selmi, R.; Ettriqui, A. Prevalence, risk factors, antimicrobial resistance and molecular characterization of Salmonella in Northeast Tunisia broiler flocks. Vet. Sci. 2021, 30, 12. [Google Scholar] [CrossRef] [PubMed]
- Guardabassi, L.; Agerso, Y. Genes homologous o glycopeptide resistance vanA are widespread in soil microbial communities. FEMS Microbiol. Lett. 2006, 259, 221–225. [Google Scholar] [CrossRef]
- Seyfried, E.E.; Newton, R.J.; Rubert, K.F.; Pedersen, J.A.; McMahon, K.D. Occurrence of tetracycline resistance genes in aquaculture facilities with varying use of oxytetracycline. Microb. Ecol. 2010, 59, 799–807. [Google Scholar] [CrossRef]
- Blanco-Peña, K.; Esperón, F.; Torres-Mejía, A.M.; de la Torre, A.; de la Cruz, E.; Jiménez-Soto, M. Antimicrobial resistance genes in pigeons from public parks in Costa Rica. Zoonoses Public Health 2017, 64, e23–e30. [Google Scholar] [CrossRef]
- Di Francesco, A.; Renzi, M.; Borel, N.; Marti, H.; Salvatore, D. Detection of tetracycline resistance genes in European hedgehogs (Erinaceus europaeus) and crested porcupines (Hystrix cristata). J. Wildl. Dis. 2020, 56, 219–233. [Google Scholar] [CrossRef]
- Smoglica, C.; Di Francesco, C.E.; Angelucci, S.; Antonucci, A.; Marsilio, F. Occurrence of the tetracycline resistance gene tetA(P) in Apennine wolves (Canis lupus italicus) from different human–wildlife interfaces. J. Global Antimicrob. Res. 2020, 23, 184–185. [Google Scholar] [CrossRef]
- Di Francesco, C.; Smoglica, C.; Profeta, F.; Farooq, M.; Di Giannatale, E.; Toscani, T.; Marsilio, F. Research Note: Detection of antibiotic-resistance genes in commercial poultry and turkey flocks from Italy. Poult. Sci. 2021, 100, 101084. [Google Scholar] [CrossRef] [PubMed]
- Luo, Y.; Tan, L.; Zhang, H.; Bi, W.; Zhao, L.; Wang, X.; Lu, X.; Xu, X.; Sun, R.; Alvarez, P.J.J. Characteristics of wild bird resistomes and dissemination of antibiotic resistance genes in interconnected bird-habitat systems revealed by similarity of blaTEM polymorphic sequences. Environ. Sci. Technol. 2022, 56, 15084–15095. [Google Scholar] [CrossRef] [PubMed]
- Di Francesco, A.; Salvatore, D.; Bertelloni, F.; Ebani, V.V. Tetracycline resistance genes in wild birds from a wildlife recovery centre in Central Italy. Animals 2022, 13, 76. [Google Scholar] [CrossRef]
- Galhano, B.S.P.; Ferrari, R.G.; Panzenhagen, P.; de Jesus, A.C.S.; Conte-Junior, C.A. Antimicrobial resistance gene detection methods for bacteria in animal-based foods: A brief review of highlights and advantages. Microorganisms 2021, 9, 923. [Google Scholar] [CrossRef] [PubMed]
- Farooq, M.; Smoglica, C.; Ruffini, F.; Soldati, L.; Marsilio, F.; Di Francesco, C.E. Antibiotic resistance genes occurrence in conventional and antibiotic-free poultry farming, Italy. Animals 2022, 12, 2310. [Google Scholar] [CrossRef]
- Di Francesco, A.; Salvatore, D.; Sakhria, S.; Catelli, E.; Lupini, C.; Abbassi, M.S.; Bessoussa, G.; Ben Yahia, S.; Ben Chehida, N. High frequency and diversity of tetracycline resistance genes in the microbiota of broiler chickens in Tunisia. Animals 2021, 11, 377. [Google Scholar] [CrossRef]

| Primer Name | PCR Primer Sequence 5′-3′ | Amplicon Size (bp) | Target Gene | Reference |
|---|---|---|---|---|
| MCR1-F MCR1-R | 5′-CGGTCAGTCCGTTTGTTC-3′ 5′-CTTGGTCGGTCTGTAGGG-3′ | 308 | mcr-1 | [12] |
| MCR2-F MCR2-R | 5′-CTGTTGCTTGTGCCGATTGGACTA-3′ 5′-ACGGCCATAGCCATTGAACTGC-3′ | 282 | mcr-2 | [18] |
| MCR3-F MCR3-R | 5′-CGCTTATGTTCTTTTTGGCACTGTATT -3′ 5′-TGAGCAATTTCACTATCGAGGTCTTG-3′ | 1063 | mcr-3 | [18] |
| MCR4-F MCR4-R | 5′-AATTGTCGTGGGAAAAGCCGC-3′ 5′-CTGCTGACTGGGCTATTACCG-3′ | 1062 | mcr-4 | [18] |
| MCR5-F MCR5-R | 5′-GTGAAACAGGTGATCGTGACTTACCG-3′ 5′-CGTGCTTTACACCGATCATGTGCT-3′ | 271 | mcr-5 | [18] |
| MCR6-F MCR6-R | 5′-GTCCGGTCAATCCCTATCTGT-3′ 5′-ATCACGGGATTGACATAGCTAC-3′ | 556 | mcr-6 | [19] |
| MCR7-F MCR7-R | 5′-TGCTCAAGCCCTTCTTTTCGT-3′ 5′-TTCATCTGCGCCACCTCGT-3′ | 892 | mcr-7 | [19] |
| MCR8-F MCR8-R | 5′-TTGTCGTCGTGGGCGAAAC-3′ 5′-CTGTCGCAAGTTGGGCTAAAG3′ | 514 | mcr-8 | [20] |
| MCR9-F MCR9-R | 5′-CGGCGAACTACGCTTACAG-3′ 5′-CGCACAGTTTCGGGTTATCAC-3′ | 465 | mcr-9 | [20] |
| MCR10-F MCR10-R | 5′-GGACCGACCTATTACCAGCG-3′ 5′-GGCATTATGCTGCAGACACG-3′ | 365 | mcr-10 | [21] |
| Farm/Lot | mcr-1 | mcr-2 | mcr-3 | mcr-4 | mcr-5 | mcr-6 | mcr-7 | mcr-8 | mcr-9 | mcr-10 |
|---|---|---|---|---|---|---|---|---|---|---|
| A/1 | 13 | 0 | 0 | 0 | 0 | 0 | 0 | 0 | 0 | 0 |
| A/2 | 7 | 0 | 0 | 0 | 0 | 0 | 0 | 0 | 0 | 0 |
| B/3 | 0 | 0 | 0 | 0 | 0 | 0 | 0 | 0 | 0 | 0 |
| B/13 | 2 | 0 | 0 | 0 | 0 | 0 | 0 | 0 | 0 | 0 |
| C/4 | 14 | 0 | 0 | 0 | 0 | 0 | 0 | 0 | 0 | 0 |
| C/6 | 13 | 0 | 0 | 0 | 0 | 0 | 0 | 0 | 0 | 0 |
| D/5 | 0 | 0 | 0 | 0 | 0 | 0 | 0 | 0 | 0 | 0 |
| D/8 | 0 | 0 | 0 | 0 | 0 | 0 | 0 | 0 | 0 | 0 |
| D/10 | 5 | 0 | 0 | 0 | 0 | 0 | 0 | 0 | 0 | 0 |
| D/12 | 0 | 0 | 0 | 0 | 0 | 0 | 0 | 0 | 0 | 0 |
| E/7 | 3 | 0 | 0 | 0 | 0 | 0 | 0 | 0 | 0 | 0 |
| F/9 | 11 | 0 | 0 | 0 | 0 | 0 | 0 | 0 | 0 | 0 |
| F/11 | 13 | 0 | 0 | 0 | 0 | 0 | 0 | 0 | 0 | 0 |
| Total | 81 | 0 | 0 | 0 | 0 | 0 | 0 | 0 | 0 | 0 |
| N (%) | (41.5%) | 0% | 0% | 0% | 0% | 0% | 0% | 0% | 0% | 0% |
Disclaimer/Publisher’s Note: The statements, opinions and data contained in all publications are solely those of the individual author(s) and contributor(s) and not of MDPI and/or the editor(s). MDPI and/or the editor(s) disclaim responsibility for any injury to people or property resulting from any ideas, methods, instructions or products referred to in the content. |
© 2023 by the authors. Licensee MDPI, Basel, Switzerland. This article is an open access article distributed under the terms and conditions of the Creative Commons Attribution (CC BY) license (https://creativecommons.org/licenses/by/4.0/).
Share and Cite
Di Francesco, A.; Salvatore, D.; Sakhria, S.; Bertelloni, F.; Catelli, E.; Ben Yahia, S.; Tlatli, A. Colistin Resistance Genes in Broiler Chickens in Tunisia. Animals 2023, 13, 1409. https://doi.org/10.3390/ani13081409
Di Francesco A, Salvatore D, Sakhria S, Bertelloni F, Catelli E, Ben Yahia S, Tlatli A. Colistin Resistance Genes in Broiler Chickens in Tunisia. Animals. 2023; 13(8):1409. https://doi.org/10.3390/ani13081409
Chicago/Turabian StyleDi Francesco, Antonietta, Daniela Salvatore, Sonia Sakhria, Fabrizio Bertelloni, Elena Catelli, Salma Ben Yahia, and Aida Tlatli. 2023. "Colistin Resistance Genes in Broiler Chickens in Tunisia" Animals 13, no. 8: 1409. https://doi.org/10.3390/ani13081409
APA StyleDi Francesco, A., Salvatore, D., Sakhria, S., Bertelloni, F., Catelli, E., Ben Yahia, S., & Tlatli, A. (2023). Colistin Resistance Genes in Broiler Chickens in Tunisia. Animals, 13(8), 1409. https://doi.org/10.3390/ani13081409

