Morphometric Study of the Eyeball of the Loggerhead Turtle (Caretta caretta) Using Computed Tomography (CT)
Abstract
Simple Summary
Abstract
1. Introduction
2. Materials and Methods
2.1. Animals
2.2. CT Technique
2.3. Measurements
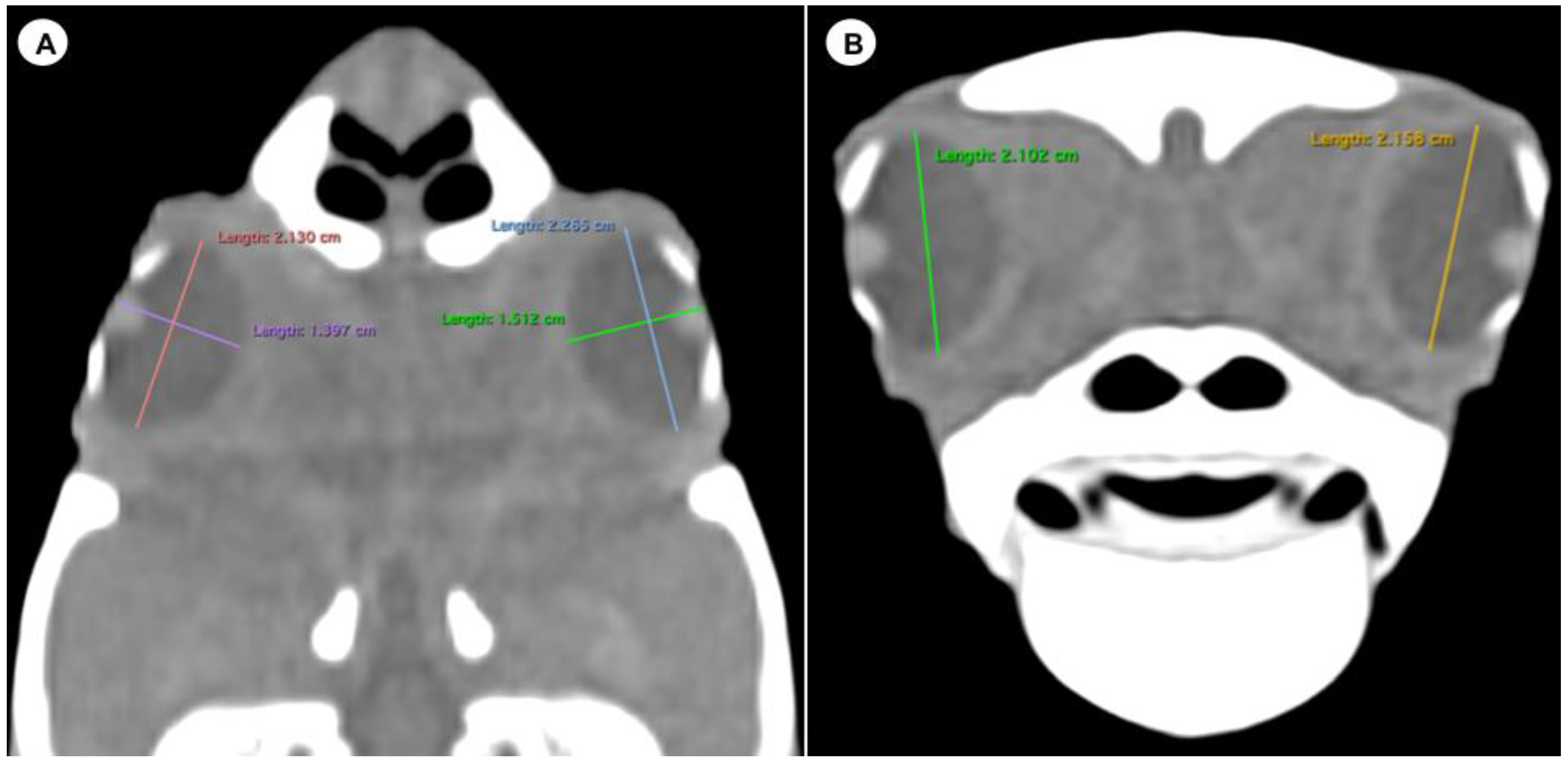
- (A)
- Transverse plane respect to the eyeball
- -
- Lens diameter, understood as the maximum distance between the lateral and medial edges of the lens (equatorial diameter) (Figure 1A).
- -
- Internal diameter of the sclerotic ring, or maximum distance between the inner lateromedial edges of the ring, close to the cornea (Figure 1A).
- -
- External diameter of the sclerotic ring or maximum distance between the outer lateromedial edges of the ring, close to the sclera (Figure 1A).
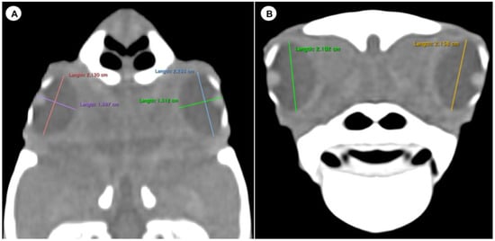
- (B)
- Transverse plane concerning the turtle’s body
- -
- Dorsal and ventral arch length: the thickness of the upper and lower regions of the scleral ring, with the corneal and scleral margins (Figure 2B).
- -
- Width of the dorsal and ventral arches of the scleral ring, that is, of the upper and lower parts of the lateral portion of the ring (Figure 2A).
- -
- Height of the eyeball or distance between the most dorsal and the most ventral portion of the eye (Figure 3B).
- -
- Attenuation of the sclerotic ring and lens, taken in the dorsal area and vitreous humour expressed in Hounsfield Units (HU) (Figure 4).
- (C)
- Dorsal plane
2.4. Statistical Analysis
3. Results
4. Discussion
Author Contributions
Funding
Institutional Review Board Statement
Informed Consent Statement
Data Availability Statement
Acknowledgments
Conflicts of Interest
References
- Monzón-Argüello, C.; Rico, C.; Carreras, C.; Calabuig, P.; Marco, A.; López-Jurado, L.F. Variation in spatial distribution of juvenile loggerhead turtles in the eastern Atlantic and western Mediterranean Sea. J. Exp. Mar. Biol. Ecol. 2009, 373, 79–86. [Google Scholar] [CrossRef]
- Ernst, C.H.; Lovich, J.E. Turtles of the United States and Canada; Smithsonian Institution Press: Washington, DC, USA; London, UK, 1994. [Google Scholar]
- Spotila, J. Sea Turtles: A Complete Guide to Their Biology, Behavior, and Conservation; The Johns Hopkins University Press: Baltimore, MD, USA, 2004. [Google Scholar]
- Duermit, L. “Caretta caretta” (Online), Animal Diversity Web. 2007. Available online: https://animaldiversity.org/accounts/Caretta_caretta/ (accessed on 9 February 2023).
- Enciclopedia Virtual de los Vertebrados Españoles. Available online: http://www.vertebradosibericos.org/ (accessed on 25 April 2022).
- Jones, T.T.; Seminoff, J.A. Feeding biology. Advances from Field-Based Observations, Physiological Studies, and Molecular Techniques. In The Biology of Sea Turtles, 1st ed.; Wyneken, J., Lohmann, K.J., Musick, J.A., Eds.; CRC Press: Boca Raton, FL, USA, 2013; Volume 3, pp. 211–247. [Google Scholar]
- Crespo, J.L.; García-Párraga, D.; Giménez, I.; Rubio-Guerri, C.; Melero, M.; Sánchez-Vizcaíno, J.M.; Marco, A.; Cuesta, J.A.; Muñoz, M.J. Description of two cases of pseudohermaphroditism in loggerhead sea turtles (Caretta caretta). Dis. Aquat. Org. 2013, 105, 183–191. [Google Scholar] [CrossRef]
- IUCN. The IUCN Red List of Threatened Species. Version 2022-2. Available online: https://www.iucnredlist.org (accessed on 30 May 2022).
- Marco, A.; Abella, E.; Carreras, C.; López-Jurado, L.F. Caretta caretta (Linnaeus, 1758). In Fauna Ibérica, 2nd ed.; de los Angeles, M., Sánchez, R., Consejo Superior de Investigaciones Científicas (España), Museo Nacional de Ciencias Naturales (España), Eds.; CSIC: Madrid, Spain, 2014; Volume 10, pp. 61–88. [Google Scholar]
- Orós, J.; Montesdeoca, N.; Camacho, M.; Arencibia, A.; Calabuig, P. Causes of Stranding and Mortality, and Final Disposition of Loggerhead Sea Turtles (Caretta caretta) Admitted to a Wildlife Rehabilitation Center in Gran Canaria Island, Spain (1998–2014): A Long-Term Retrospective Study. PLoS ONE 2016, 11, e0149398. [Google Scholar] [CrossRef]
- “NOAA Fisheries” (Online). Loggerhead Turtle (Caretta caretta). 2006. Available online: http://www.nmfs.noaa.gov/pr/species/turtles/loggerhead.htm (accessed on 7 October 2006).
- Bartol, S.M.; Musick, J.A.; Ochs, A.L. Visual acuity thresholds of juvenile loggerhead sea turtles (Caretta caretta): An electrophysiological approach. J. Comp. Physiol. Neuroethol. Sens. Neural Behav. Physiol. 2002, 187, 953–960. [Google Scholar] [CrossRef]
- Franz-Odendaal, T.A. Skeletons of the Eye: An Evolutionary and Developmental Perspective. Anat. Rec. 2020, 303, 100–109. [Google Scholar] [CrossRef]
- Zhang, G.; Boyle, D.L.; Zhang, Y.; Rogers, A.R.; Conrad, G.W. Development and mineralization of embryonic avian scleral ossicles. Mol. Visión 2012, 18, 348–361. [Google Scholar]
- Bayón, A.; Brotóns, N.J.; Albert, A.; Talavera, J. Patología ocular en reptiles. Clínica Vet. Pequeños Anim. (Avepa) 1999, 19, 227–242. [Google Scholar]
- Palumbo, C.; Cavani, F.; Sena, P.; Benincasa, M.; Ferretti, M. Osteocyte Apoptosis and Absence of Bone Remodeling in Human Auditory Ossicles and Scleral Ossicles of Lower Vertebrates: A Mere Coincidence or Linked Processes? Calcif. Tissue Int. 2012, 90, 211–218. [Google Scholar] [CrossRef]
- Fernández, M.S.; Archuby, F.; Talevi, M.; Ebner, R. Ichthyosaurian eyes: Paleobiological information content in the sclerotic ring of Caypullisaurus (Ichthyosauria, Ophthalmosauria). J. Vertebr. Paleontol. 2005, 25, 330–337. [Google Scholar] [CrossRef]
- Hall, M.I. The anatomical relationships between the avian eye, orbit and sclerotic ring: Implications for inferring activity patterns in extinct birds. J. Anat. 2008, 212, 781–794. [Google Scholar] [CrossRef]
- Salgüero, R.; Johnson, V.; Williams, D.; Hartley, C.; Holmes, M.; Dennis, R.; Herrtage, M. CT dimensions, volumes and densities of normal canine eyes. Vet. Rec. 2015, 176, 386. [Google Scholar] [CrossRef] [PubMed]
- Boroffka, S.A.E.B.; Voorhout, G. Direct and reconstructed multiplanar computed tomography of the orbits of healthy dogs. Am. J. Vet. Res. 1999, 60, 1500–1507. [Google Scholar] [PubMed]
- Andrade, S.B.D.; Araujo, N.L.L.C.D.; Raposo, A.C.S.; Muramoto, C.; Oriá, A.P. Morphometric descriptive report of scleral ossicle rings, by ultrasound and computed tomography, in three Testudines specimens. Ciência Rural. 2023, 53, 1–10. [Google Scholar] [CrossRef]
- Kuszyk, B.S.; Heath, D.G.; Bliss, D.F.; Fishman, E.K. Skeletal 3-D CT: Advantages of Volume Rendering over Surface Rendering. Skelet. Radiol. 1996, 25, 207–214. [Google Scholar] [CrossRef] [PubMed]
- Pérez, S.; Encinoso, M.; Corbera, J.A.; Morales, M.; Arencibia, A.; González-rodríguez, E.; Déniz, S.; Melián, C.; Suárez-bonnet, A.; Jaber, J.R. Cranial Structure of Varanus Komodoensis as Revealed by Computed-tomographic Imaging. Animals 2021, 11, 1078. [Google Scholar] [CrossRef]
- Pérez, S.; Encinoso, M.; Morales, M.; Arencibia, A.; Suárez-Bonnet, A.; González-Rodríguez, E.; Jaber, J.R. Comparative evaluation of the Komodo dragon (Varanus komodoensis) and the Green iguana (Iguana iguana) skull by three dimensional computed tomographic reconstruction. Slov. Vet. Res. 2021, 58, 111–116. [Google Scholar] [CrossRef]
- Banzato, T.; Selleri, P.; Veladiano, I.A.; Martin, A.; Zanetti, E.; Zotti, A. Comparative evaluation of the cadaveric, radiographic and computed tomographic anatomy of the heads of green iguana (Iguana iguana), common tegu (Tupinambis merianae) and bearded dragon (Pogona vitticeps). BMC Vet. Res. 2012, 11, 53. [Google Scholar] [CrossRef]
- Mohamad, J.R.J.; González-Rodríguez, E.; Arencibia, A.; Déniz, S.; Carrascosa, C.; Encinoso, M. Anatomical Description of Loggerhead Turtle (Caretta caretta) and Green Iguana (Iguana iguana) Skull by Three-Dimensional Computed Tomography Reconstruction and Maximum Intensity Projection Images. Animals 2023, 13, 621. [Google Scholar] [CrossRef]
- Sreenivasan, S.; Linden, A.; Owen, M.; Pemberton, S.; Pinard, C.; Matsuyama, A.; Poirier, V.J. Computed tomography measurements of intraocular structures of the feline eye. Vet. Rec. 2019, 184, 651–656. [Google Scholar]
- De Oliveira, R.L.; Hoffman, J.; Hingst-Zaher, E.; Majluf, P.; Muelbert MM, C.; Amos, W.; Morgante, J.S. Morphological and genetic evidence for two Evolutionary Significant Units (ESUs) in the South American fur seal Arctocephalus australis. Conserv. Genet. 2008, 9, 1451–1466. [Google Scholar] [CrossRef]
- Avens, L.; Taylor, J.C.; Goshe, L.R.; Jones, T.T.; Hastings, M. Use of skeletochronological analysis to estimate the age of leatherback sea turtles Dermochelys coriacea in the western North Atlantic. Endanger. Species Res. 2009, 8, 165–177. [Google Scholar] [CrossRef]
- Franz-Odendaal, T.A. Scleral ossicles of Teleostei: Evolutionary and developmental trends. Anat. Rec. 2008, 291, 161–168. [Google Scholar] [CrossRef] [PubMed]
- Franz-Odendaal, T.A.; Hall, B.K. Skeletal elements within teleost eyes and a discussion of their homology. J. Morphol. 2006, 267, 1326–1337. [Google Scholar] [CrossRef] [PubMed]




| Right Eye | Left Eye | Both Eyes | ||||||||||||
|---|---|---|---|---|---|---|---|---|---|---|---|---|---|---|
| Mean | Median | Range | SD | Mean | Median | Range | SD | Mean | Median | Range | SD | r2 | p | |
| Lens diameter (mm) | 4.26 | 4.34 | 2.8–5.11 | 0.70 | 4.40 | 4.29 | 2.6–5.36 | 0.88 | 4.33 | 4.29 | 2.6–5.6 | 0.78 | 0.40 | 0.00290 |
| Internal diameter of the sclerotic ring (mm) | 10.18 | 10.40 | 6.9–13.8 | 1.90 | 10.45 | 10.20 | 7.4–14.7 | 2.45 | 10.32 | 10.35 | 6.9–14.7 | 2.14 | 0.67 | 0.00001 |
| External diameter of the sclerotic ring (mm) | 16.63 | 16.50 | 13–22 | 2.52 | 17.29 | 16.35 | 13.4–22 | 2.97 | 16.96 | 16.35 | 13–22 | 2.70 | 0.71 | <0.00001 |
| Lens attenuation (HU) | 99.10 | 99.50 | 81–116 | 10.13 | 98.60 | 97.50 | 88–108 | 6.57 | 98.85 | 98.00 | 81–116 | 8.31 | 0.11 | 0.15480 |
| Vitreous humor attenuation (HU) | 18.10 | 17.50 | 7–28 | 5.49 | 17.50 | 18.50 | 9–23 | 4.20 | 17.80 | 18.00 | 7–28 | 4.76 | 0.00 | 0.80290 |
| Sclerotic ring attenuation (dorsal arch) (HU) | 368.00 | 360.50 | 292–500 | 60.23 | 339.70 | 359.50 | 203–417 | 65.31 | 353.85 | 360.50 | 203–500 | 62.84 | 0.05 | 0.32200 |
| Dorsal arch height (mm) | 6.88 | 6.69 | 4.6–10.0 | 1.67 | 6.76 | 6.81 | 4.44–10 | 1.80 | 6.82 | 6.81 | 4.44–10.1 | 1.69 | 0.65 | 0.00002 |
| Ventral arch height (mm) | 4.95 | 4.67 | 3.7–7.12 | 1.09 | 4.97 | 4.69 | 3.2–7.51 | 1.35 | 4.96 | 4.69 | 3.2–7.51 | 1.19 | 0.62 | 0.00004 |
| Dorsal arch width (mm) | 2.84 | 2.21 | 2–6.04 | 1.59 | 2.79 | 2.66 | 1.89–5.5 | 1.50 | 2.81 | 2.36 | 1.89–6.71 | 1.23 | 0.43 | 0.00303 |
| Ventral arch width (mm) | 2.81 | 2.20 | 1.98–6.5 | 1.71 | 2.65 | 2.29 | 1.8–5.48 | 1.52 | 2.57 | 2.15 | 1.8–5.59 | 1.08 | 0.32 | 0.01687 |
| Eyeball height (mm) | 22.28 | 23.05 | 17–25 | 2.44 | 22.17 | 23.35 | 15.9–27 | 3.79 | 22.23 | 23.10 | 15.9–27 | 0.31 | 0.36 | 0.00557 |
| Eyeball width (mm) | 15.68 | 15.80 | 12–19.10 | 1.88 | 15.86 | 15.75 | 12–19.2 | 2.27 | 15.77 | 15.75 | 12–19.2 | 2.00 | 0.31 | 0.01112 |
| Eyeball length (mm) | 22.95 | 22.80 | 16–27.9 | 3.37 | 22.71 | 22.40 | 18–27.1 | 2.83 | 22.83 | 22.40 | 16–27.9 | 3.00 | 0.61 | 0.00005 |
Disclaimer/Publisher’s Note: The statements, opinions and data contained in all publications are solely those of the individual author(s) and contributor(s) and not of MDPI and/or the editor(s). MDPI and/or the editor(s) disclaim responsibility for any injury to people or property resulting from any ideas, methods, instructions or products referred to in the content. |
© 2023 by the authors. Licensee MDPI, Basel, Switzerland. This article is an open access article distributed under the terms and conditions of the Creative Commons Attribution (CC BY) license (https://creativecommons.org/licenses/by/4.0/).
Share and Cite
Fumero-Hernández, M.; Encinoso Quintana, M.; Ramírez, A.S.; Morales Fariña, I.; Calabuig, P.; Jaber, J.R. Morphometric Study of the Eyeball of the Loggerhead Turtle (Caretta caretta) Using Computed Tomography (CT). Animals 2023, 13, 1016. https://doi.org/10.3390/ani13061016
Fumero-Hernández M, Encinoso Quintana M, Ramírez AS, Morales Fariña I, Calabuig P, Jaber JR. Morphometric Study of the Eyeball of the Loggerhead Turtle (Caretta caretta) Using Computed Tomography (CT). Animals. 2023; 13(6):1016. https://doi.org/10.3390/ani13061016
Chicago/Turabian StyleFumero-Hernández, Marcos, Mario Encinoso Quintana, Ana S. Ramírez, Inmaculada Morales Fariña, Pascual Calabuig, and José Raduan Jaber. 2023. "Morphometric Study of the Eyeball of the Loggerhead Turtle (Caretta caretta) Using Computed Tomography (CT)" Animals 13, no. 6: 1016. https://doi.org/10.3390/ani13061016
APA StyleFumero-Hernández, M., Encinoso Quintana, M., Ramírez, A. S., Morales Fariña, I., Calabuig, P., & Jaber, J. R. (2023). Morphometric Study of the Eyeball of the Loggerhead Turtle (Caretta caretta) Using Computed Tomography (CT). Animals, 13(6), 1016. https://doi.org/10.3390/ani13061016

