Tibial Plateau Leveling Osteotomy following Tibial Tuberosity Advancement Cage Removal: A Case Report
Abstract
:Simple Summary
Abstract
1. Introduction
2. Materials and Methods
2.1. Patient
2.2. Measurements
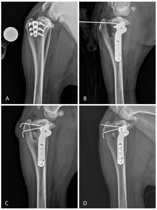
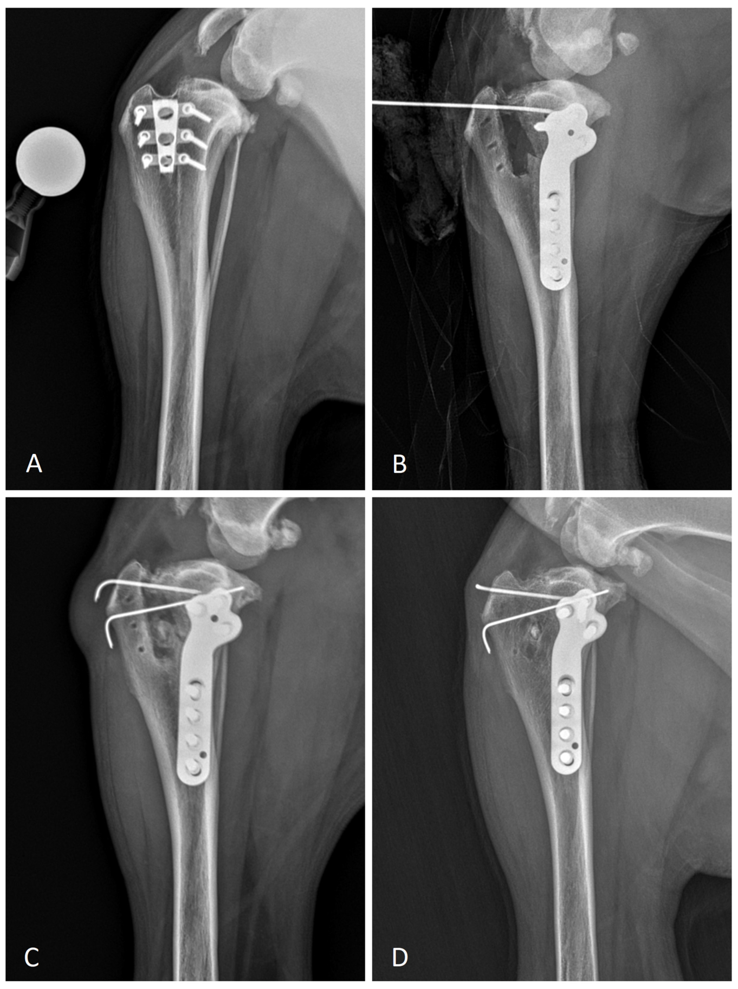
2.3. Surgery
2.4. Follow-Up
3. Results
4. Discussion
5. Conclusions
Author Contributions
Funding
Institutional Review Board Statement
Informed Consent Statement
Data Availability Statement
Conflicts of Interest
References
- Johnson, J.A.; Austin, C.; Breur, G.J. Incidence of canine appendicular musculoskeletal disorders in 16 veterinary teaching hospitals from 1980 through 1989. Vet. Comp. Orthop. Traumatol. 1994, 7, 56–69. [Google Scholar] [CrossRef]
- Apelt, D.; Kowaleski, M.P.; Boudrieau, R.J. Effect of tibial tuberosity advancement on cranial tibial subluxation in canine cranial cruciate-deficient stifle joints: An in vitro experimental study. Vet. Surg. 2007, 36, 170–177. [Google Scholar] [CrossRef] [PubMed]
- Kipfer, N.M.; Tepic, S.; Damur, D.M.; Guerrero, T.; Hässig, M.; Montavon, P.M. Effect of tibial tuberosity advancement on femorotibial shear in cranial cruciate-deficient stifles. An in vitro study. Vet. Comp. Orthop. Traumatol. 2008, 21, 385–390. [Google Scholar] [PubMed]
- Bruce, W.J.; Rose, A.; Tuke, J.; Robins, G.M. Evaluation of the Triple Tibial Osteotomy. A new technique for the management of the canine cruciate-deficient stifle. Vet. Comp. Orthop. Traumatol. 2007, 20, 159–168. [Google Scholar] [PubMed]
- Slocum, B.; Slocum, T.D. Tibial plateau leveling osteotomy for repair of cranial cruciate ligament rupture in the canine. Vet. Clin. N. Am. Small Anim. Pract. 1993, 23, 777–795. [Google Scholar] [CrossRef] [PubMed]
- Tepic, S.; Damur, D.M.; Montavon, P.M. Biomechanics of the stifle joint. In Proceedings of the 1st World Orthopaedic Veterinary Congress, Munich, Germany, 5–8 September 2002; pp. 189–190. [Google Scholar]
- Montavon, P.M.; Damur, D.M.; Tepic, S. Advancement of the Tibial Tuberosity for the Treatment of Cranial Cruciate Deficient Canine Stifle. In Proceedings of the 1st World Orthopedic Veterinary Congress, Munich, Germany, 5–8 September 2002; p. 152. [Google Scholar]
- Beer, P.; Bockstahler, B.; Schnabl-Feichter, E. Tibial plateau levelling osteotomy and tibial tuberosity advancement—A systemic review. Tierärztliche Prax. Ausg. K. Kleintiere Heimtiere 2018, 46, 223–225. [Google Scholar] [CrossRef] [PubMed]
- Livet, V.; Baldinger, A.; Viguier, É.; Taroni, M.; Harel, M.; Carozzo, C.; Cachon, T. Comparison of Outcomes Associated with Tibial Plateau Levelling Osteotomy and a Modified Technique for Tibial Tuberosity Advancement for the Treatment of Cranial Cruciate Ligament Disease in Dogs: A Randomized Clinical Study. Vet. Comp. Orthop. Traumatol. 2019, 2, 314–323. [Google Scholar] [CrossRef] [PubMed]
- Moore, E.V.; Weeren, R.; Paek, M. Extended long-term radiographic and functional comparison of tibial plateau leveling osteotomy vs. tibial tuberosity advancement for cranial cruciate ligament rupture in the dog. Vet. Surg. 2020, 49, 146–154. [Google Scholar] [CrossRef]
- Christopher, S.A.; Beetem, J.; Cook, J.L. Comparison of long-termoutcomes associated with three surgical techniques for treatment of cranial cruciate ligament disease in dogs. Vet. Surg. 2013, 42, 329–334. [Google Scholar] [CrossRef]
- Krotscheck, U.; Nelson, S.A.; Todhunter, R.J.; Stone, M.; Zhang, Z. Long term functional outcome of tibial tuberosity advancement vs. tibial plateau leveling osteotomy and extracapsular repair in a heterogeneous population of dogs. Vet. Surg. 2016, 45, 261–268. [Google Scholar] [CrossRef]
- Ferreira, M.P.; Ferrigno, C.R.; de Souza, A.N.; Caquias, D.F.; de Figueiredo, A.V. Short-term comparison of tibial tuberosity advancement and tibial plateau levelling osteotomy in dogs with cranial cruciate ligament disease using kinetic analysis. Vet. Comp. Orthop. Traumatol. 2016, 29, 209–213. [Google Scholar] [PubMed]
- Jeong, J.; Jeong, S.M.; Kim, S.E.; Lewis, D.D.; Lee, H. Subsequent meniscal tears following tibial tuberosity advancement and tibial plateau leveling osteotomy in dogs with cranial cruciate ligament deficiency: An in vivo experimental study. Vet. Surg. 2021, 50, 966–974. [Google Scholar] [CrossRef] [PubMed]
- Schwede, M.; Rey, J.; Böttcher, P. In vivo fluoroscopic kinematography of cranio-caudal stifle stability after tibial tuberosity advancement (TTA): A retrospective case series of 10 stifles. Open Vet. J. 2018, 8, 295–304. [Google Scholar] [CrossRef] [PubMed]
- Tinga, S.; Kim, S.E.; Banks, S.A. Femorotibial kinematics in dogs treated with tibial plateau levelling osteotomy for cranial cruciate ligament insufficiency: An in vivo fluoroscopic analysis during walk. Vet. Surg. 2019, 49, 187–199. [Google Scholar] [CrossRef] [PubMed]
- Gatineau, M.; Dupuis, J.; Planté, J.; Moreau, M. Retrospective study of 476 tibial plateau levelling osteotomy procedures. Rate of subsequent pivot shift, meniscal tear and other complications. Vet. Comp. Orthop. Traumatol. 2011, 24, 333–341. [Google Scholar] [PubMed]
- Au, K.K.; Gordon-Evans, W.J.; Dunning, D. Comparison of short- and long-term function and radiographic osteoarthrosis in dogs after postoperative physical rehabilitation and tibial plateau leveling osteotomy or lateral fabellar suture stabilization. Vet. Surg. 2010, 39, 173–180. [Google Scholar] [CrossRef] [PubMed]
- Tuan, S.; Farrel, M. Tibial tuberosity advancement: What have we learned so far? Companion Anim. 2015, 20, 92–103. [Google Scholar] [CrossRef]
- Boudrieau, R.J. Tibial plateau leveling osteotomy or tibial tuberosity advancement? Vet. Surg. 2009, 38, 1–22. [Google Scholar] [CrossRef]
- Bush, M.A.; Bowlt, K.; Gines, J.A.; Owen, M.R. Effect of use of different landmark methods on determining stifle angle and on calculated tibial tuberosity advancement. Vet. Comp. Orthop. Traumatol. 2011, 24, 205–210. [Google Scholar]
- Ritzo, M.E.; Ritzo, B.A.; Siddens, A.D.; Summerlott, S.; Cook, J.L. Incidence and type of meniscal injury and associated long-term clinical outcomes in dogs treated surgically for cranial cruciate ligament disease. Vet. Surg. 2014, 43, 952–958. [Google Scholar] [CrossRef]
- Engdahl, K.S.; Boge, G.S.; Bergstrom, A.F.; Moldal, E.R.; Hoglund, O.V. Risk factors for severe postoperative complications in dogs with cranial cruciate ligament disease—A survival analysis. Prev. Vet. Med. 2021, 191, 105350. [Google Scholar] [CrossRef] [PubMed]
- Mehrkens, L.R.; Hudson, C.C.; Cole, G.L. Factors associated with early tibial tuberosity fracture after tibial plateau leveling osteotomy. Vet. Surg. 2018, 47, 634–639. [Google Scholar] [CrossRef] [PubMed]
- Hans, E.C.; Barnhart, M.D.; Kennedy, S.C.; Naber, S.J. Comparison of complications following tibial tuberosity advancement and tibial pla- teau levelling osteotomy in very large and giant dogs 50 kg or more in body weight. Vet. Comp. Orthop. Traumatol. 2017, 30, 299–305. [Google Scholar] [PubMed]
- Nanda, A.; Hans, E.C. Tibial Plateau Leveling Osteotomy for Cranial Cruciate Ligament Rupture in Canines: Patient Selection and Reported Outcomes. Vet. Med. 2019, 27, 249–255. [Google Scholar] [CrossRef] [PubMed]
- Slocum, B.; Devine-Slocum, T. Tibial Plateau Leveling Osteotomy for Cranial Cruciate Ligament Rupture. In Current Techniques in Small Animal Surgery, 4th ed.; Bojrab, M.J., Ed.; Lea and Febiger: Philadelphia, PA, USA, 1998; pp. 1209–1215. [Google Scholar]
- Caylor, K.B.; Zumpano, C.A.; Evans, L.M.; Moore, R.W. Intra- and interobserver measurement variability of tibial plateau slope from lateral radiographs in dogs. J. Am. Anim. Hosp. Assoc. 2001, 37, 263–268. [Google Scholar] [CrossRef] [PubMed]
- Serrani, D.; Picavet, P.P.; Marti, J.; Bouvy, B.; Balligand, M.; Witte, P.G. Tibial plateau leveling following tibial tuberosity advancement: A case series. Vet. Sci. 2022, 9, 16. [Google Scholar] [CrossRef]

Disclaimer/Publisher’s Note: The statements, opinions and data contained in all publications are solely those of the individual author(s) and contributor(s) and not of MDPI and/or the editor(s). MDPI and/or the editor(s) disclaim responsibility for any injury to people or property resulting from any ideas, methods, instructions or products referred to in the content. |
© 2023 by the authors. Licensee MDPI, Basel, Switzerland. This article is an open access article distributed under the terms and conditions of the Creative Commons Attribution (CC BY) license (https://creativecommons.org/licenses/by/4.0/).
Share and Cite
Zhalniarovich, Y.; Mieszkowska, M.; Morawska-Kozłowska, M. Tibial Plateau Leveling Osteotomy following Tibial Tuberosity Advancement Cage Removal: A Case Report. Animals 2023, 13, 3444. https://doi.org/10.3390/ani13223444
Zhalniarovich Y, Mieszkowska M, Morawska-Kozłowska M. Tibial Plateau Leveling Osteotomy following Tibial Tuberosity Advancement Cage Removal: A Case Report. Animals. 2023; 13(22):3444. https://doi.org/10.3390/ani13223444
Chicago/Turabian StyleZhalniarovich, Yauheni, Marta Mieszkowska, and Magdalena Morawska-Kozłowska. 2023. "Tibial Plateau Leveling Osteotomy following Tibial Tuberosity Advancement Cage Removal: A Case Report" Animals 13, no. 22: 3444. https://doi.org/10.3390/ani13223444
APA StyleZhalniarovich, Y., Mieszkowska, M., & Morawska-Kozłowska, M. (2023). Tibial Plateau Leveling Osteotomy following Tibial Tuberosity Advancement Cage Removal: A Case Report. Animals, 13(22), 3444. https://doi.org/10.3390/ani13223444

