Preductal Segmental Tubular Aortic Hypoplasia in Perinatally Died Stabyhoun Puppies
Abstract
Simple Summary
Abstract
1. Introduction
2. Materials and Methods
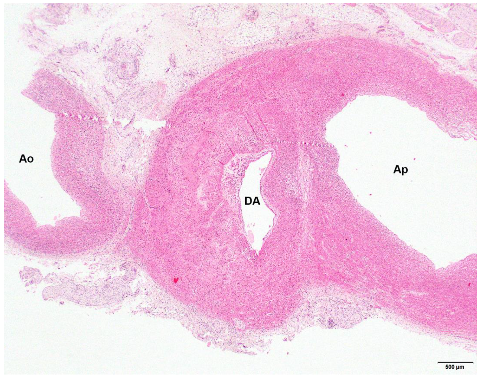
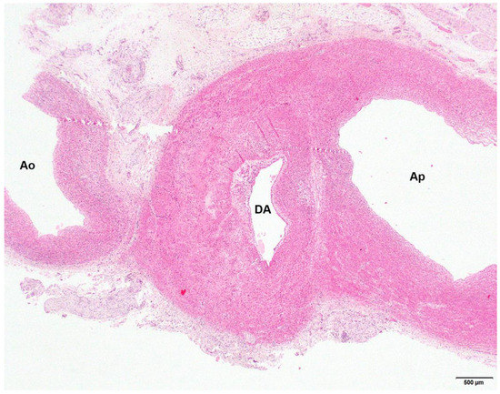
3. Results
4. Discussion
5. Conclusions
Author Contributions
Funding
Institutional Review Board Statement
Informed Consent Statement
Data Availability Statement
Acknowledgments
Conflicts of Interest
References
- Brambilla, P.G.; Polli, M.; Pradelli, D.; Papa, M.; Rizzi, R.; Bagardi, M.; Bussadori, C. Epidemiological study of congenital heart diseases in dogs: Prevalence, popularity, and volatility throughout twenty years of clinical practice. PLoS ONE 2020, 15, e0230160. [Google Scholar] [CrossRef] [PubMed]
- Saunders, A.B.; Gordon, S.G.; Boggess, M.M.; Miller, M.W. Long-term outcome in dogs with patent ductus arteriosus: 520 cases (1994–2009). J. Vet. Intern. Med. 2014, 28, 401–410. [Google Scholar] [CrossRef] [PubMed]
- den Toom, M.L.; Meiling, A.E.; Thomas, R.E.; Leegwater, P.A.; Heuven, H.C. Epidemiology, presentation and population genetics of patent ductus arteriosus (PDA) in the Dutch Stabyhoun dog. BMC Vet. Res. 2016, 12, 105. [Google Scholar] [CrossRef] [PubMed][Green Version]
- Ho, S.Y.; Anderson, R.H. Coarctation, tubular hypoplasia, and the ductus arteriosus. Histological study of 35 specimens. Br. Heart J. 1979, 41, 268–274. [Google Scholar] [CrossRef] [PubMed]
- Elzenga, N.J.; Gittenberger-de Groot, A.C.; Oppenheimer-Dekker, A. Coarctation and other obstructive aortic arch anomalies: Their relationship to the ductus arteriosus. Interv. J. Cardiol. 1986, 13, 289–308. [Google Scholar]
- Singh, S.; Hakim, F.A.; Sharma, A.; Roy, R.R.; Panse, P.M.; Chandrasekaran, K.; Alegria, J.R.; Mookadam, F. Hypoplasia, pseudocoarctation and coarctation of the aorta—A systematic review. Heart Lung Circ. 2015, 24, 110–118. [Google Scholar] [CrossRef] [PubMed]
- Peng, D.M.; Punn, R.; Maeda, K.; Tierney, E.S.S. Diagnosing neonatal aortic coarctation in the setting of patent ductus arteriosus. Ann. Thorac. Surg. 2016, 101, 1005–1011. [Google Scholar] [CrossRef][Green Version]
- Yokoyama, U.; Ichikawa, Y.; Minamisawa, S.; Ishikawa, Y. Pathology and molecular mechanism of coarctation of the aorta and its association with the ductus arteriosus. J. Physiol. Sci. 2017, 67, 259–270. [Google Scholar] [CrossRef]
- Ganigara, M.; Doshi, A.; Naimi, I.; Mahadevaiah, G.P.; Buddhe, S.; Chikkabyrappa, S.M. Preoperative physiology, imaging, and management of coarctation of aorta in children. Semin. Cardiothorac. Vasc. Anesth. 2019, 23, 379–386. [Google Scholar] [CrossRef] [PubMed]
- Hornberger, L.K.; Eckersley, L.G. Aortic coarctation: The fetal cardiologist’s Achilles heel. Circ. Cardiovasc. Imaging 2021, 14, e012877. [Google Scholar] [CrossRef]
- Barnes, J.A.; Gerlis, L.M.; Cunningham, A.A. Preductal aortic coarctation and patent ductus arteriosus in a Sumatran tiger (Panthera tigris sumatrae) cub. J. Zoo. Wildl. Med. 2001, 32, 111–114. [Google Scholar]
- Sandusky, G.E.; Breitschwerdt, E.R.; Duplantier, D.R. Tubular hypoplasia of the ascending aorta and patent ductus arteriosus in a dog. J. Am. Vet. Med. Assoc. 1980, 176, 536–538. [Google Scholar]
- Robinson, N.A.; Armien, A.G. Tubular hypoplasia of the aorta and right atrioventricular valve dysplasia in a bulldog. J. Vet. Diagn. Investig. 2010, 22, 667–670. [Google Scholar] [CrossRef] [PubMed]
- Fox, P.R.; Donovan, T.A. Sudden death in a dog with aortic coarctation. J. Vet. Cardiol. 2020, 31, 23–29. [Google Scholar] [CrossRef] [PubMed]
- Tonessen, R.; Sverdrup Borge, K.; Nodtvedt, A.; Indrebo, A. Canine perinatal mortality: A cohort study of 224 breeds. Theriogenology 2012, 77, 1788–1801. [Google Scholar] [CrossRef]
- Nobre Pacifico Pereira, K.H.; Cruz dos Santos Correia, L.E.; Ritir Oliveira, E.L.; Bastos Bernardo, R.; Lemos Nagib Jorge, M.; Mezzana Gobato, M.L.; Ferreira de Souza, F.; Sousa Rocha, N.; Biagio Chiacchio, S.; Gomez Lourenco, M.L. Incidence of congenital malformations and impact on the mortality of neonatal canines. Theriogenology 2019, 140, 52–57. [Google Scholar] [CrossRef] [PubMed]
- Mila, H.; Guerard, C.; Raymond-Letron, I. Guidelines for postmortem examination of newborn dogs. Anim. Health Res. Rev. 2021, 22, 109–119. [Google Scholar] [CrossRef] [PubMed]
- Gittenberger-de Groot, A.C.; Strengers, J.L.M.; Mentink, M.; Poelmann, R.E.; Patterson, D.F. Histologic studies on normal and persistent ductus arteriosus in the dog. J. Am. Coll. Cardiol. 1985, 6, 394–404. [Google Scholar] [CrossRef] [PubMed]
- Buchanan, J.W.; Patterson, D.F. Etiology of patent ductus arteriosus in dogs. J. Vet. Intern. Med. 2003, 17, 167–171. [Google Scholar] [CrossRef] [PubMed]



| Sex | Weight at Necropsy | Birth | Clinical Signs | Death | Known Data on the Litter | |
|---|---|---|---|---|---|---|
| #1 | female | 440 g | normal | on day 5, non-specific signs | spontaneous death on day 6 | largest pup of a litter of 6 pups |
| #2 | female | 220 g | dead | not applicable | stillborn | littermate of #3 |
| #3 | male | 270 g | normal | palatoschisis 2 cm of the hard and soft palate | euthanasia on day 1 | littermate of #2 |
| #4 | male | 750 g | normal | dyspnea | euthanasia on day 16 | litter of 10 pups |
| #5 | male | 210 g | dead | not applicable | stillborn | lightest pup of the litter |
Disclaimer/Publisher’s Note: The statements, opinions and data contained in all publications are solely those of the individual author(s) and contributor(s) and not of MDPI and/or the editor(s). MDPI and/or the editor(s) disclaim responsibility for any injury to people or property resulting from any ideas, methods, instructions or products referred to in the content. |
© 2023 by the authors. Licensee MDPI, Basel, Switzerland. This article is an open access article distributed under the terms and conditions of the Creative Commons Attribution (CC BY) license (https://creativecommons.org/licenses/by/4.0/).
Share and Cite
van Staveren, M.D.B.; Grinwis, G.C.M.; den Toom, M.L.; Szatmári, V. Preductal Segmental Tubular Aortic Hypoplasia in Perinatally Died Stabyhoun Puppies. Animals 2023, 13, 2423. https://doi.org/10.3390/ani13152423
van Staveren MDB, Grinwis GCM, den Toom ML, Szatmári V. Preductal Segmental Tubular Aortic Hypoplasia in Perinatally Died Stabyhoun Puppies. Animals. 2023; 13(15):2423. https://doi.org/10.3390/ani13152423
Chicago/Turabian Stylevan Staveren, Marie D. B., Guy C. M. Grinwis, Marjolein L. den Toom, and Viktor Szatmári. 2023. "Preductal Segmental Tubular Aortic Hypoplasia in Perinatally Died Stabyhoun Puppies" Animals 13, no. 15: 2423. https://doi.org/10.3390/ani13152423
APA Stylevan Staveren, M. D. B., Grinwis, G. C. M., den Toom, M. L., & Szatmári, V. (2023). Preductal Segmental Tubular Aortic Hypoplasia in Perinatally Died Stabyhoun Puppies. Animals, 13(15), 2423. https://doi.org/10.3390/ani13152423

