Arterial Blood Supply to the Cerebral Arterial Circle in the Selected Species of Carnivora Order from Poland
Abstract
Simple Summary
Abstract
1. Introduction
2. Materials and Methods
2.1. Animals
2.2. Methods
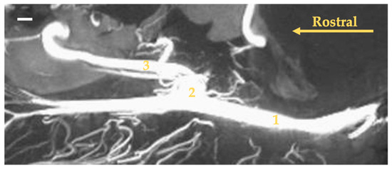
3. Results
4. Discussion
5. Conclusions
Author Contributions
Funding
Institutional Review Board Statement
Informed Consent Statement
Data Availability Statement
Acknowledgments
Conflicts of Interest
References
- Mittermeier, R.A.; Wilson, D.E. Handbook of the Mammals of the World: Vol. 1: Carnivores; Lynx Edicions: Barcelona, Spain, 2009; pp. 1–727. [Google Scholar]
- Fernández-Sepúlveda, J.; Martín, C.A. Conservation status of the world’s carnivorous mammals (order Carnivora). Mamm. Biol. 2022, 102, 1911–1925. [Google Scholar]
- Brudnicki, W. Brain Base Arteries: Pattern and Variation in the European Otter (Lutra Lutra). Anat. Histol. Embryol. 2012, 41, 358–361. [Google Scholar] [CrossRef] [PubMed]
- Depedrini, J.; Campos, R. A systematic study of the brain base arteries in the pampas fox Braz. J. Morphol. Sci. 2003, 20, 181–188. [Google Scholar]
- Ozudogru, Z.; Can, M.; Balkaya, H. Macro-anatomical investigation of the cerebral arterial circle (Circle of Willis) in red fox (Vulpes vulpes). J. Anim. Vet. Adv. 2012, 11, 2861–2864. [Google Scholar]
- International Committee on Veterinary Gross Anatomical Nomenclature. Nomina Anatomica Veterinária, 6th ed.; Editorial Committee: Hanover, Germany, 2017; pp. 73–147. [Google Scholar]
- Frąckowiak, H. Magistrale tętnicze głowy u niektorych rzedów ssaków [Arterial patterns of the head in selected mammalian orders]. In Roczniki Akademii Rolniczej w Poznaniu; Uniwersytet Przyrodniczy w Poznaniu: Poznań, Poland, 2003; pp. 5–80. [Google Scholar]
- Tanuma, K. A morphological study on the circle of Willis in the dog. Okajimas Folia Anat. Jap. 1981, 58, 155–175. [Google Scholar] [CrossRef]
- Wiland, C. Badania porównawcze gałęzi korowych tętnicy środkowej mózgu u niektórych gatunków drapieżnych (Carnivora). Zesz. Nauk. ATR Bydgoszcz. 1991, 44, 1–52. [Google Scholar]
- Wiland, C. Zakres zmienności układu tętnic podstawy mózgowia u piesaków. In Roczniki Wyższej Szkoły Rolniczej w Poznaniu; Dział Wydawnictw WSR: Poznań, Poland, 1967; Volume 10. [Google Scholar]
- Frąckowiak, H. Tętnice głowy u lisa pospolitego. In Roczniki Akademii Rolniczej w Poznaniu; Uniwersytet Przyrodniczy w Poznaniu: Poznań, Poland, 1978; Volume 101, pp. 59–66. [Google Scholar]
- Skoczylas, B.; Brudnicki, W.; Kirkiłło-Stacewicz, K.; Nowicki, W.; Wach, J. Cortical branches of the middle cerebral artery in silver fox (Vulpes vulpes). Pesqui. Veterinária Bras. 2016, 36, 1053–1057. [Google Scholar] [CrossRef]
- Frąckowiak, H.; Zawidzka, B. Tętnice głowy u lisa srebrzystego. Rocz. Akad. Rol. W Pozn. Zootech. 1990, 220, 27–36. [Google Scholar]
- Frąckowiak, H.; Godynicki, S. Brain basal arteries in various species of Felidae. Pol. J. Vet. Sci. 2003, 6, 195–200. [Google Scholar]
- Ziemak, H.; Frackowiak, H.; Zdun, M. Domestic cat’s internal carotid artery in ontogenesis. Vet. Med. 2021, 66, 292–297. [Google Scholar] [CrossRef]
- Frąckowiak, H.; Śmiełowski, J. Cephalic arteries in the european beaver Castor fiber. Acta Theriol. 1998, 43, 219–224. [Google Scholar] [CrossRef]
- Pilleri, G. Central nervous system, craniocerebral topography and cerebral hierarchy of the Canadian beaver (Castor canadensis). In Investigations on Beavers; Pilleri, G., Ed.; Institute of Brain Anatomy, University of Berne: Bern, Switzerland, 1983; Volume 1, pp. 19–59. [Google Scholar]
- Szczurkowski, A.; Kuchinka, J.; Nowak, E.; Kuder, T. Topography of arterial circle of the brain in Egyptian spiny mouse (Acomys cahirinus, Desmarest). Anat. Histol. Embryol. 2007, 36, 147–150. [Google Scholar] [CrossRef] [PubMed]
- Esteves, A.; Freitas, A.C.; Rossi-Junior, W.C.; Fernandes, G.J.M. Anatomical arrangement and distribution of the cerebral arterial circle in rats. J. Morphol. Sci. 2013, 30, 132–139. [Google Scholar]
- Zietzschmann, O. Die Arteria carotis interna des Pferdes und die Frage der Regulation ihrer pulsatorischen Schwankungen. Schw. Arch. Tierheilkd. 1922, 64, 509–515. [Google Scholar]
- Nickiel, R.; Schwarz, R. Vergleichende Betrachtung der Kopfarterien der Haussaugetiere (Katze, Hund, Schwein, Rind, Schaf, Ziege, Pferd). Comparative analysis of the head arteries of domestic mammals (cat, dog, pig, cattle, sheep, goat, horse). Zentralblatt Veterinärmedizin Reihe A 1963, 10, 89–120. (In German) [Google Scholar] [CrossRef]
- Godynicki, S. Tętnice głowy u zająca szaraka. Pol. Arch. Wet. 1976, 19, 101–114. [Google Scholar]
- Zdun, M.; Ruszkowski, J.J.; Gogulski, M.; Józefiak, A.; Hetman, M. Arterial Circle of the Brain of the Red-Necked Wallaby (Notamacropus rufogriseus). Animals 2022, 12, 2796. [Google Scholar] [CrossRef] [PubMed]
- Zdun, M.; Ruszkowski, J.J.; Gogulski, M. Cerebral Vascularization and the Remaining Area Supply of the Internal Carotid Artery Derivatives of the Red Kangaroo (Osphranter rufus). Animals 2023, 13, 2744. [Google Scholar] [PubMed]
- Watson, M. Contributions to the anatomy of the Indian elephant. Part IV. Muscel and blood vessels of the face and head. J. Anat. 1875, 9, 118–133. [Google Scholar]
- Mariappa, D. Anatomy and Histology of the Indian Elephant. In Circulatory System; Indira Pub. House: Michigan, IN, USA, 1986; pp. 129–146. [Google Scholar]
- Du Boulay, G.; Kendall, B.E.; Crockard, A.; Sage, M.; Belloni, G. The Autoregulatory Capability of Galen’s Rete Cerebri and Its Connections. Neuroradiology 1975, 9, 171–181. [Google Scholar] [CrossRef]
- Nanda, B. Blood supply to the brain. In Sisson and Grossman’s the Anatomy of the Domestic Animals; Getty, R., Ed.; Sounders Company: Philadelphia, PA, USA, 1975; Volume 1, pp. 973–1011. [Google Scholar]
- Colles, C.M.; Cook, W.R. Carotid and cerebral angiography in the horse. Vet. Rec. 1983, 113, 483–489. [Google Scholar] [CrossRef] [PubMed]
- MacDonald, D.; Fretz, P.; Baptiste, K.; Hamilton, D. Anatomic, Radiographic and Physiologic Comparisons of the Internal Carotid and Maxillary Artery in the Horse. Vet. J. 1999, 158, 182–189. [Google Scholar]
- Khairuddin, N.; Sullivan, M.; Pollock, P. Angiographic anatomy of the extracranial and intracranial portions of the internal carotid arteries in donkeys. Ir. Vet. J. 2017, 70, 12. [Google Scholar] [CrossRef] [PubMed][Green Version]
- Gillilan, L. Extra- and intra-cranial blood supply to brains of dog and cat. Am. J. Anat. 1976, 146, 237–254. [Google Scholar] [CrossRef] [PubMed]
- Zedenov, W. Sosudistaja sistema Bovinae w sravnitelno-anatomiočeskom izučeni i voprosy specyfičnosti jeje morfołogii. IV. K voprosu obliteracji vnutrennoj sonnoj arterii u krupnogo rogatego skota. Arch. Anat. Gist. Embriol. 1937, 16, 490–508. [Google Scholar]
- Cozzi, B.; Huggenberger, S.; Oelschläger, H. Diving: Breathing, Respiration, and the Circulatory System. In Anatomy of Dolphins; Academic Press: London, UK, 2017; pp. 91–131. [Google Scholar]
- Vogl, A.W.; Fisher, H.D. The internal carotid artery does not directly supply the brain in the Monodontidae (Order Cetacea). J. Morphol. 1981, 170, 207–214. [Google Scholar] [CrossRef]
- Majewska-Michalska, E. The vertebrobasilar arterial system in guinea pig as compared with dog and human. Folia Morphol. 1998, 2, 121–131. [Google Scholar]
- Da Silva, R.S.B.; De Oliveira, G.B.; Oliveira, C.M.; Bezerra, F.V.F.; Câmara, F.V.; De Oliveira, R.E.M.; De Oliveira, M.F. Arterial vascularization of the brain of the agouti (Dasyprocta aguti Linnaeus, 1766). Semin. Ciências Agrárias 2016, 37, 773–784. [Google Scholar] [CrossRef][Green Version]
- Aydın, A.; Yılmaz, S.; Dinç, G.; Özdemir, D.; Karan, M. The morphology of circulus arteriosus cerebri in the porcupine (Hystrix cristata). Vet. Med. 2005, 50, 131–135. [Google Scholar] [CrossRef]
- Reckziegel, S.H.; Lindemann, T. A systematic study of the brain base arteries in capybara (Hydrochoerus hydrochaeris). J. Morphol. Sci. 2017, 18, 103–110. [Google Scholar]
- Brudnicki, W.; Skoczylas, B.; Jabłoński, R.; Nowicki, W.; Brudnicki, A.; Kirkiłło-Stacewicz, K.; Wach, J. The arteries of the brain base in the degu (Octodon degus Molina 1782). Vet. Med. 2014, 7, 343–348. [Google Scholar] [CrossRef]
- Azambuja, R.; Goltz, L.; Campos, R. Systematization of the brain base arteries in nutria (Myocastor coypus). Acta Sci. Vet. 2018, 46, 1580. [Google Scholar] [CrossRef]
- Aydin, A.; Yilmaz, S.; Ozkan, Z.E.; Ilgun, R. The morphology of the circulus arteriosus cerebri in the ground squirrel (Spermophilus citellus). Vet. Med. 2009, 54, 537–542. [Google Scholar] [CrossRef]
- Kuchinka, J. Morphometry and variability of the brain arterial circle in chinchilla (Chinchilla laniger, Molina). Anat. Rec. 2017, 8, 1472–1480. [Google Scholar] [CrossRef] [PubMed]
- Aydin, A. The morphology of circulus arteriosus cerebri in the red squirrel (Sciurus vulgaris). Vet. Med. 2008, 53, 272–276. [Google Scholar] [CrossRef]
- Al Aiyan, A.; Menon, P.; AlDarwich, A.; Qablan, M.; Hammoud, M.; Shawaf, T.; Richardson, K. Vertebrobasilar contribution to cerebral arterial system of dromedary camels (Camelus dromedarius). Front. Vet. Sci. 2021, 8, 696707. [Google Scholar] [CrossRef]
- Ocal, M.; Erden, H.; Ogut, I.; Kara, M. A quantitative study on the retial arteries in one-humped camels. Ann. Anat. 1998, 180, 369–437. [Google Scholar] [CrossRef]
- Baldwin, B.A.; Bell, F.R. The contribution of the carotid and cerebral arteries to the blood pressure in sheep. J. Physiol. 1960, 151, 9–10. [Google Scholar]
- Baldwin, B.A.; Bell, F.R. Effect of clamping cartotid and vertebral arteries on the blood pressure in sheep. J. Physiol. 1960, 151, 39–40. [Google Scholar]
- Baldwin, B.A.; Bell, F.R. The anatomy of the cerebral circulation in the sheep and ox. J. Anat. 1963, 97, 203–215. [Google Scholar]
- Maloney, S.; Fuller, A.; Mitchell, G.; Mitchell, D. On the guttural pouch and selective brain cooling in equids. S. Afr. J. Sci. 2002, 98, 189–191. [Google Scholar]
- Hayward, J.N.; Baker, M.A. A comparative study of the role of the cerebral arterial blood in the regulation of brain temperature in five mammals. Brain Res. 1969, 16, 417–440. [Google Scholar] [CrossRef] [PubMed]
- Strauss, W.M.; Hetem, R.S.; Mitchell, D.; Maloney, S.K.; O′Brien, H.D.; Meyer, L.C.; Fuller, A. Body water conservation through selective brain cooling by the carotid rete: A physiological feature for surviving climate change? Conserv. Physiol. 2017, 5, cow078. [Google Scholar] [CrossRef]
- Ruedi, M. Topographie, Bau und Funktion der Arteria Carotis Interna des Pferdes; Gebr. Leemann & Co.: Zürich, Germany, 1922; pp. 1–39. [Google Scholar]
- Zdun, M.; Grzeczka, A.; Zawadzki, M.; Frąckowiak, H. The rostral epidural rete mirabile of the llama as a place of retrograde transport of various substances–anatomical basics. J. Cell Biol. 2021, 9, 105–109. [Google Scholar] [CrossRef]











| Family | Species | Method 1 | Method 2 | Method 3 |
|---|---|---|---|---|
| Canidae | Raccoon dog (Nyctereutes procyonoides) | 5 | 10 | - |
| Red fox (Vulpes vulpes) | 5 | 13 | 2 | |
| Gray wolf (Canis lupus) | 1 | 2 | 1 | |
| Mustelidae | American mink (Mustela vison) | 5 | 13 | 2 |
| European badger (Meles meles) | 5 | 13 | 2 | |
| Eurasian otter (Lutra lutra) | 3 | 7 | 2 | |
| Procyonidae | Common raccoon (Procyon lotor) | 3 | 8 | - |
| Phocidae | Gray seal (Halichoerus grypus) | 1 | 1 | 1 |
Disclaimer/Publisher’s Note: The statements, opinions and data contained in all publications are solely those of the individual author(s) and contributor(s) and not of MDPI and/or the editor(s). MDPI and/or the editor(s) disclaim responsibility for any injury to people or property resulting from any ideas, methods, instructions or products referred to in the content. |
© 2023 by the authors. Licensee MDPI, Basel, Switzerland. This article is an open access article distributed under the terms and conditions of the Creative Commons Attribution (CC BY) license (https://creativecommons.org/licenses/by/4.0/).
Share and Cite
Zdun, M.; Ruszkowski, J.J.; Butkiewicz, A.F.; Gogulski, M. Arterial Blood Supply to the Cerebral Arterial Circle in the Selected Species of Carnivora Order from Poland. Animals 2023, 13, 3144. https://doi.org/10.3390/ani13193144
Zdun M, Ruszkowski JJ, Butkiewicz AF, Gogulski M. Arterial Blood Supply to the Cerebral Arterial Circle in the Selected Species of Carnivora Order from Poland. Animals. 2023; 13(19):3144. https://doi.org/10.3390/ani13193144
Chicago/Turabian StyleZdun, Maciej, Jakub Jędrzej Ruszkowski, Aleksander F. Butkiewicz, and Maciej Gogulski. 2023. "Arterial Blood Supply to the Cerebral Arterial Circle in the Selected Species of Carnivora Order from Poland" Animals 13, no. 19: 3144. https://doi.org/10.3390/ani13193144
APA StyleZdun, M., Ruszkowski, J. J., Butkiewicz, A. F., & Gogulski, M. (2023). Arterial Blood Supply to the Cerebral Arterial Circle in the Selected Species of Carnivora Order from Poland. Animals, 13(19), 3144. https://doi.org/10.3390/ani13193144

