De Novo Assembly, Characterization and Comparative Transcriptome Analysis of the Gonads of Jade Perch (Scortum barcoo)
Abstract
Simple Summary
Abstract
1. Introduction
2. Materials and Methods
2.1. Sample Collection
2.2. RNA Extraction and Library Construction
2.3. Library Sequencing, De Novo Assembly and Annotation
2.4. Identification of DEGs and Enrichment Analysis
2.5. Validation of DEGs Using Quantitative Real-Time PCR (qRT-PCR)
2.6. Gonadal Histology
3. Results
3.1. Overview of Illumina Sequencing and Assembly Results
3.2. Unigenes Annotation
3.3. Differential Genes Expression Analysis
3.4. Validation of Transcriptomic Results by qRT-PCR
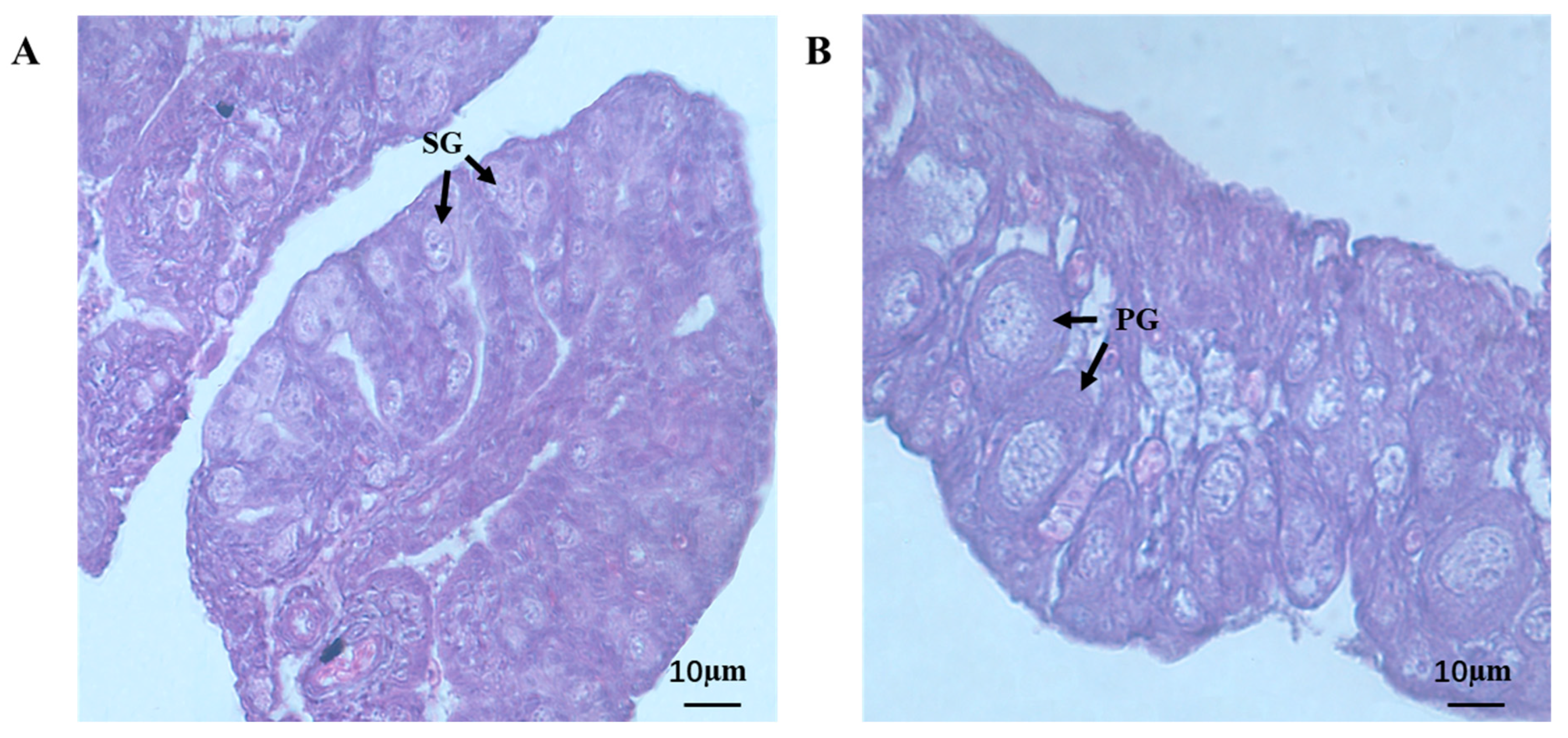
3.5. Gonads Histology Analysis
4. Discussion
4.1. DEGs Involved in Steroidogenesis Pathway
4.2. DEGs Involved in Gonad Differentiation and Development
4.3. DEGs Involved in Gametogenesis and Gamete Maturation
5. Conclusions
Author Contributions
Funding
Institutional Review Board Statement
Informed Consent Statement
Data Availability Statement
Conflicts of Interest
References
- Zhao, L.X.; Dong, J.J.; Sun, C.F.; Tian, Y.Y.; Hu, J.; Ye, X. Phylogenetic analysis of sooty grunter and other major freshwater fishes in the suborder Percoidei based on mitochondrial DNA. Mitochondrial DNA Part A DNA Mapp. Seq. Anal. 2019, 30, 234–248. [Google Scholar] [CrossRef] [PubMed]
- Ihwan, M.; Syahnon, M.; Fakhrul, I.; Marina, H.; Ambak, M. New Report on Trichodiniasis (Protozoa: Ciliophora: Peritrichida) in Jade Perch; Scortum barcoo from Peninsular Malaysia. Can. J. Fish. Aquat. Sci. 2016, 11, 437–443. [Google Scholar]
- Iberahim, N.I.; Hann, Y.C.; Hamzah, Z.; Syairah, K. Extraction of omega-3 fatty acid from jade perch (Scortum barcoo) using enzymatic hydrolysis technique. Ind. J. Chem. 2020, 20, 282–291. [Google Scholar] [CrossRef]
- Kent, M.I.A.; Herbert-Read, J.E.; McDonald, G.; Wood, A.J.; Ward, A.J.W. Fine-scale behavioural adjustments of prey on a continuum of risk. Proc. Biol. Sci. 2019, 286, 20190448. [Google Scholar] [CrossRef]
- Luo, G.Z.; Liu, G.; Tan, H.X. Effects of stocking density and food deprivation-related stress on the physiology and growth in adult Scortum barcoo (McCulloch & Waite). Aquac. Res. 2013, 44, 885–894. [Google Scholar]
- Liu, C.; Li, K.B.; Wang, Q.; Wang, F.; Zeng, W.W.; Mai, X.M.; Wu, S.Q. The complete mitochondrial genome of jade perch, Scortum barcoo (Perciformes: Terapontidae: Scortum). Mitochondrial DNA Part A DNA Mapp. Seq. Anal. 2016, 27, 3346–3347. [Google Scholar] [CrossRef]
- Elhag, A.I.; Rahmah, S.; Sheriff, S.M.; Tan, W.C.; Jong, K.F.; Ambak, M.A.; Liew, H.J. Sexual characteristic differences between male and female of jade perch Scortum barcoo. Int. J. Fish. Aquat. Stud. 2019, 7, 258–264. [Google Scholar]
- Suntronpong, A.; Panthum, T.; Laopichienpong, N.; Nguyen, D.H.M.; Kraichak, E.; Singchat, W.; Srikulnath, K.; Ariyaraphong, N.; Ahmad, S.F.; Muangmai, N.; et al. Implications of genome-wide single nucleotide polymorphisms in jade perch (Scortum barcoo) reveals the putative XX/XY sex-determination system, facilitating a new chapter of sex control in aquaculture. Aquaculture 2022, 548, 737587. [Google Scholar] [CrossRef]
- Stephan, P. De lhermaphrodisme chez les vertebres. Ann. Fac. Sc. Marseille 1901, 12, 23–157. [Google Scholar]
- Liu, C.K. Rudimentary hermaphrodi tism in the symbranchoid eel. Monopterus Javanensis Sin. 1944, 15, 1–8. [Google Scholar]
- D’Ancona, U. Preliminary observations and considerations on hermaphroditism and sexual differientiation of Sparus auratus. L. Publ. Staz. Zool. Nap. 1940, 18, 313–316. [Google Scholar]
- Marshall Graves, J.A. Weird animal genomes and the evolution of vertebrate sex and sex chromosomes. Annu. Rev. Genet. 2008, 42, 565–586. [Google Scholar] [CrossRef] [PubMed]
- Budd, A.M.; Banh, Q.Q.; Domingos, J.A.; Jerry, D.R. Sex control in fish: Approaches, challenges and opportunities for aquaculture. J. Mar. Sci. Eng. 2015, 3, 329–355. [Google Scholar] [CrossRef]
- Mustapha, U.F.; Peng, Y.X.; Huang, Y.Q.; Assan, D.; Zhi, F.; Shi, G.; Jiang, D.N. Comparative transcriptome analysis of the differentiating gonads in Scatophagus argus. Front. Mar. Sci. 2022, 9, 962534. [Google Scholar] [CrossRef]
- Heule, C.; Salzburger, W.; Böhne, A. Genetics of sexual development: An evolutionary playground for fish. Genetics 2014, 196, 579–591. [Google Scholar] [CrossRef]
- Du, X.X.; Wang, B.; Liu, X.M.; Liu, X.B.; He, Y.; Zhang, Q.Q.; Wang, X.B. Comparative transcriptome analysis of ovary and testis reveals potential sex-related genes and pathways in spotted knifejaw Oplegnathus punctatus. Gene 2017, 637, 203–210. [Google Scholar] [CrossRef]
- Song, L.P.; An, L.; Zhu, Y.A.; Li, X.; Wang, A.Y. Effects of dietary lipids on growth and feed utilization of jade perch, Scortum barcoo. J. World Aquacult. Soc. 2009, 40, 266–273. [Google Scholar] [CrossRef]
- Xie, X.Y.; Ye, G.L.; Bao, Y.Y.; Ying, Z.W.; Xie, M.J.; Zhu, C.B.; Wang, R.X. Effects of starvation stress on jade perch Scortum barcoo based on proteomics analysis. Aquac. Res. 2021, 52, 2840–2851. [Google Scholar] [CrossRef]
- Hassan, S.M.; Sulaiman, M.A.; Madlul, N.S.; Fadel, A.H.; Abdul Rahman, R. Influence of continuous magnetic field exposure on water properties and subsequent effects on the growth performance, plasma biochemistry, nutritive value and liver histopathology of Jade Perch Scortum barcoo in a recirculating system. Aquac. Res. 2019, 50, 1931–1941. [Google Scholar] [CrossRef]
- Gao, S.Z.; Han, C.; Ye, H.Y.; Chen, Q.H.; Huang, J.R. Transcriptome analysis of the spleen provides insight into the immunoregulation of Scortum barcoo under Streptococcus agalactiae infection. Ecotoxicol. Environ. Saf. 2022, 245, 114095. [Google Scholar] [CrossRef]
- Han, C.; Huang, W.W.; Peng, S.H.; Zhou, J.W.; Zhan, H.W.; Zhang, Y.Y.; Li, W.J.; Gong, J.; Li, Q. De Novo Assembly, Characterization and Comparative Transcriptome Analysis of the Mature Gonads in Spinibarbus hollandi. Animals 2022, 13, 166. [Google Scholar] [CrossRef] [PubMed]
- Zhu, Q.Y.; Han, C.; Peng, C.; Zhou, X.; Wang, C.W.; Han, L.Q.; Li, S.S.; Li, G.F.; Lin, H.R.; Zhang, Y. Identification of potential sex-related genes in Siniperca chuatsi. J. Oceanol. Limnol. 2021, 39, 1500–1512. [Google Scholar] [CrossRef]
- Tao, W.J.; Yuan, J.; Zhou, L.Y.; Sun, L.N.; Sun, Y.L.; Yang, S.J.; Li, M.H.; Zheng, S.; Huang, B.F.; Wang, D.H. Characterization of gonadal transcriptomes from Nile tilapia (Oreochromis niloticus) reveals differentially expressed genes. PLoS ONE 2013, 8, 63604. [Google Scholar] [CrossRef]
- He, F.X.; Jiang, D.N.; Huang, Y.Q.; Mustapha, U.F.; Yang, W.; Cui, X.F.; Tian, C.X.; Chen, H.P.; Shi, H.J.; Deng, S.P.; et al. Comparative transcriptome analysis of male and female gonads reveals sexbiased genes in spotted scat (Scatophagus argus). Fish Physiol. Biochem. 2019, 45, 1963–1980. [Google Scholar] [CrossRef]
- Wang, Q.; Liu, K.Q.; Feng, B.; Zhang, Z.H.; Wang, R.K.; Tang, L.L.; Li, W.S.; Li, Q.Y.; Piferrer, F.; Shao, C.W. Transcriptome of gonads from high temperature induced sex reversal during sex determination and differentiation in Chinese tongue sole, Cynoglossus semilaevis. Front. Genet. 2019, 10, 1128. [Google Scholar] [CrossRef] [PubMed]
- Wang, Z.C.; Qiu, X.M.; Kong, D.; Zhou, X.X.; Guo, Z.B.; Gao, C.F.; Ma, S.; Hao, W.W.; Jiang, Z.Q.; Liu, S.C.; et al. Comparative RNA-Seq analysis of differentially expressed genes in the testis and ovary of Takifugu rubripes. Comp. Biochem. Physiol. Part D Genom. Proteom. 2017, 22, 50–57. [Google Scholar] [CrossRef] [PubMed]
- Tian, C.X.; Li, Z.Y.; Dong, Z.D.; Huang, Y.; Du, T.; Chen, H.P.; Jiang, D.N.; Deng, S.P.; Zhang, Y.L.; Wanida, S.; et al. Transcriptome analysis of male and female mature gonads of silver sillago (Sillago sihama). Genes 2019, 10, 129. [Google Scholar] [CrossRef]
- Sun, F.Y.; Liu, S.K.; Gao, X.Y.; Jiang, Y.L.; Perera, D.; Wang, X.L.; Li, C.; Sun, L.Y.; Zhang, J.R.; Kaltenboeck, L.; et al. Male-biased genes in catfish as revealed by RNASeq analysis of the testis transcriptome. PLoS ONE 2013, 8, e68452. [Google Scholar]
- Chen, H.P.; Li, Z.Y.; Wang, Y.R.; Huang, H.; Yang, X.W.; Li, S.F.; Yang, W.; Li, G.L. Comparison of gonadal transcriptomes uncovers reproduction-related genes with sexually dimorphic expression patterns in Diodon hystrix. Animals 2021, 11, 1042. [Google Scholar] [CrossRef]
- Lu, Y.S.; Li, R.H.; Xia, L.Q.; Cheng, J.; Xia, H.L.; Zhan, Q.Y.; Yu, D.P.; You, X.X.; Gu, R.B.; Xu, J.M.; et al. A chromosome-level genome assembly of the jade perch (Scortum barcoo). Sci. Data 2022, 9, 408. [Google Scholar] [CrossRef]
- Chen, S.F.; Zhou, Y.Q.; Chen, Y.R.; Gu, J. Fastp: An ultra-fast all-in-one FASTQ preprocessor. Bioinformatics 2018, 34, i884–i890. [Google Scholar] [CrossRef] [PubMed]
- Haas, B.J.; Papanicolaou, A.; Yassour, M.; Grabherr, M.; Blood, P.D.; Bowden, J.; Couger, M.B.; Eccles, D.; Li, B.; Lieber, M.; et al. De novo transcript sequence reconstruction from RNA-seq using the Trinity platform for reference generation and analysis. Nat. Protoc. 2013, 8, 1494–1512. [Google Scholar] [CrossRef]
- Simao, F.A.; Waterhouse, R.M.; Ioannidis, P.; Kriventseva, E.V.; Zdobnov, E.M. BUSCO: Assessing genome assembly and annotation completeness with single-copy orthologs. Bioinformatics 2015, 31, 3210–3212. [Google Scholar] [CrossRef] [PubMed]
- Conesa, A.; Gotz, S.; Garcia-Gomez, J.M.; Terol, J.; Talon, M.; Robles, M. Blast2GO: A universal tool for annotation, visualization and analysis in functional genomics research. Bioinformatics 2005, 21, 3674–3676. [Google Scholar] [CrossRef] [PubMed]
- Kim, D.; Langmead, B.; Salzberg, S.L. HISAT: A fast spliced aligner with low memory requirements. Nat. Methods 2015, 12, 357–360. [Google Scholar] [CrossRef]
- Pertea, M.; Pertea, G.M.; Antonescu, C.M.; Chang, T.C.; Mendell, J.T.; Salzberg, S.L. StringTie enables improved reconstruction of a transcriptome from RNA-seq reads. Nat. Biotechnol. 2015, 33, 290–295. [Google Scholar] [CrossRef]
- Anders, S.; McCarthy, D.J.; Chen, Y.; Okoniewski, M.; Smyth, G.K.; Huber, W.; Robinson, M.D. Count-based differential expression analysis of RNA sequencing data using R and Bioconductor. Nat. Protoc. 2013, 8, 1765–1786. [Google Scholar] [CrossRef]
- Robinson, M.D.; McCarthy, D.J.; Smyth, G.K. edgeR: A Bioconductor package for differential expression analysis of digital gene expression data. Bioinformatics 2010, 26, 139–140. [Google Scholar] [CrossRef]
- Yu, G.; Wang, L.G.; Han, Y.; He, Q.Y. Cluster profiler: An R package for comparing biological themes among gene clusters. Omics J. Integr. Biol. 2012, 16, 284–287. [Google Scholar] [CrossRef]
- Livak, K.J.; Schmittgen, T.D. Analysis of relative gene expression data using real-time quantitative PCR and the 2−ΔΔCT Method. Methods 2001, 25, 402–408. [Google Scholar] [CrossRef]
- Li, M.; Sun, L.N.; Wang, D.S. Roles of estrogens in fish sexual plasticity and sex differentiation. Gen. Comp. Endocrinol. 2019, 277, 9–16. [Google Scholar] [CrossRef]
- Shi, H.J.; Gao, T.; Liu, Z.L.; Sun, L.N.; Jiang, X.L.; Chen, L.L.; Wang, D.S. Blockage of androgen and administration of estrogen induce transdifferentiation of testis into ovary. J. Endocrinol. 2017, 233, 65–80. [Google Scholar] [CrossRef]
- Raghuveer, K.; Senthilkumaran, B.; Sudhakumari, C.C.; Sridevi, P.; Rajakumar, A.; Singh, R.; Murugananthkumar, R.; Majumdar, K.C. Dimorphic expression of various transcription factor and steroidogenic enzyme genes during gonadal ontogeny in the air-breathing catfish, Clarias gariepinus. Sex. Dev. 2011, 5, 213–223. [Google Scholar] [CrossRef]
- Tokarz, J.; Möller, G.; Hrabě de Angelis, M.; Adamski, J. Steroids in teleost fishes: A functional point of view. Steroids 2015, 103, 123–144. [Google Scholar] [CrossRef]
- Tugaeva, K.V.; Sluchanko, N.N. Steroidogenic acute regulatory protein: Structure, functioning, and regulation. Biochemistry 2019, 84, 233–253. [Google Scholar] [CrossRef]
- Li, L.; Wu, Y.; Zhao, C.H.; Miao, Y.Y.; Cai, J.; Song, L.Y.; Wei, J.; Chakraborty, T.; Wu, L.M.; Wang, D.S.; et al. The role of StAR2 gene in testicular differentiation and spermatogenesis in Nile tilapia (Oreochromis niloticus). J. Steroid Biochem. Mol. Biol. 2021, 214, 105974. [Google Scholar] [CrossRef] [PubMed]
- Shang, G.H.; Peng, X.Y.; Ji, C.; Zhai, G.; Ruan, Y.L.; Lou, Q.Y.; Jin, X.; He, J.Y.; Wang, H.; Yin, Z. Steroidogenic acute regulatory protein and luteinizing hormone are required for normal ovarian steroidogenesis and oocyte maturation in zebrafish. Biol. Reprod. 2019, 101, 760–770. [Google Scholar] [CrossRef] [PubMed]
- Fan, Z.F.; You, F.; Wang, L.J.; Weng, S.D.; Wu, Z.H.; Hu, J.W.; Zou, Y.X.; Tan, X.G.; Zhang, P.J. Gonadal transcriptome analysis of male and female olive flounder (Paralichthys olivaceus). Biomed. Res. Int. 2014, 2014, 291067. [Google Scholar] [CrossRef]
- Nagahama, Y. 17α, 20β-Dihydroxy-4-pregnen-3-one, a maturation-inducing hormone in fish oocytes: Mechanisms of synthesis and action. Steroids 1997, 62, 190–196. [Google Scholar] [CrossRef] [PubMed]
- Zhou, L.Y.; Wang, D.S.; Kobayashi, T.; Yano, A.; Paul-Prasanth, B.; Suzuki, A.; Sakai, F.; Nagahama, Y. A novel type of P450c17 lacking the lyase activity is responsible for C21-steroid biosynthesis in the fish ovary and head kidney. Endocrinology 2007, 148, 4282–4291. [Google Scholar] [CrossRef]
- Rajakumar, A.; Senthilkumaran, B. Dynamic expression of 11β-hydroxylase during testicular development, recrudescence and after hCG induction, in vivo and in vitro in catfish, Clarias batrachus. Gen. Comp. Endocrinol. 2015, 211, 69–80. [Google Scholar] [CrossRef] [PubMed]
- Kusakabe, M.; Kobayashi, T.; Todo, T.; Mark, L.P.; Nagahama, Y.; Young, G. Molecular cloning and expression during spermatogenesis of a cDNA encoding testicular 11beta-hydroxylase (P45011beta) in rainbow trout (Oncorhynchus mykiss). Mol. Reprod. Dev. 2002, 62, 456–469. [Google Scholar] [CrossRef] [PubMed]
- Miura, C.; Miura, T.; Yamashita, M.; Yamauchi, K.; Nagahama, Y. Hormonal induction of all stages of spermatogenesis in germ-somatic cell coculture from immature Japanese eel testis. Dev. Growth Differ. 1996, 38, 257–262. [Google Scholar] [CrossRef] [PubMed]
- Liu, S.; Govoroun, M.; d’Cotta, H.; Ricordel, M.J.; Lareyre, J.J.; McMeel, O.M.; Smith, T.; Nagahama, Y.; Guiguen, Y. Expression of cytochrome P45011β (11β-hydroxylase) gene during gonadal sex differentiation and spermatogenesis in rainbow trout, Oncorhynchus mykiss. J. Steroid Biochem. Mol. Biol. 2000, 75, 291–298. [Google Scholar] [CrossRef]
- Yokota, H.; Abe, T.; Nakai, M.; Murakami, H.; Eto, C.; Yakabe, Y. Effects of 4-tert-pentylphenol on the gene expression of P450 11β-hydroxylase in the gonad of medaka (Oryzias latipes). Aquat. Toxicol. 2005, 71, 121–132. [Google Scholar] [CrossRef]
- Ijiri, S.; Kaneko, H.; Kobayashi, T.; Wang, D.S.; Sakai, F.; Paul-Prasanth, B.; Nakamura, M.; Nagahama, Y. Sexual dimorphic expression of genes in gonads during early differentiation of a teleost fish, the Nile tilapia Oreochromis niloticus. Biol. Reprod. 2008, 78, 333–341. [Google Scholar] [CrossRef]
- Maugars, G.; Schmitz, M. Gene expression profiling during spermatogenesis in early maturing male Atlantic salmon parr testes. Gen. Comp. Endocrinol. 2008, 159, 178–187. [Google Scholar] [CrossRef]
- Guiguen, Y.; Baroiller, J.F.; Ricordel, M.J.; Iseki, K.; McMeel, O.M.; Martin, S.A.M.; Fostier, A. Involvement of estrogens in the process of sex differentiation in two fish species: The rainbow trout (Oncorhynchus mykiss) and a tilapia (Oreochromis niloticus). Mol. Reprod. Dev. 1999, 54, 154–162. [Google Scholar] [CrossRef]
- Kitano, T.; Takamune, K.; Kobayashi, T.; Nagahama, Y.; Abe, S.I. Suppression of P450 aromatase gene expression in sex-reversed males produced by rearing genetically female larvae at a high water temperature during a period of sex differentiation in the Japanese flounder (Paralichthys olivaceus). J. Mol. Endocrinol. 1999, 23, 167–176. [Google Scholar] [CrossRef]
- Nakamoto, M.; Shibata, Y.; Ohno, K.; Usami, T.; Kamei, Y.; Taniguchi, Y.; Todo, T.; Sakamoto, T.; Young, G.; Swanson, P.; et al. Ovarian aromatase loss-of-function mutant medaka undergo ovary degeneration and partial female-to-male sex reversal after puberty. Mol. Cell. Endocrinol. 2018, 460, 104–122. [Google Scholar] [CrossRef]
- Lau, E.S.; Zhang, Z.W.; Qin, M.M.; Ge, W. Knockout of Zebrafish Ovarian Aromatase Gene (cyp19a1a) by TALEN and CRISPR/Cas9 Leads to All-male Offspring Due to Failed Ovarian Differentiation. Sci. Rep. 2016, 6, 37357. [Google Scholar] [CrossRef] [PubMed]
- Yin, Y.K.; Tang, H.P.; Liu, Y.; Chen, Y.; Li, G.F.; Liu, X.C.; Lin, H.R. Targeted disruption of aromatase reveals dual functions of cyp19a1a during sex differentiation in zebrafish. Endocrinology 2017, 158, 3030–3041. [Google Scholar] [CrossRef]
- Zhang, X.B.; Li, M.R.; Ma, H.; Liu, X.Y.; Shi, H.J.; Li, M.H.; Wang, D.S. Mutation of foxl2 or cyp19a1a results in female to male sex reversal in XX Nile tilapia. Endocrinology 2017, 158, 2634–2647. [Google Scholar] [CrossRef] [PubMed]
- Ruksana, S.; Pandit, N.P.; Nakamura, M. Efficacy of exemestane, a new generation of aromatase inhibitor, on sex differentiation in a gonochoristic fish. Comp. Biochem. Physiol. C Toxicol. Pharmacol. 2010, 152, 69–74. [Google Scholar] [CrossRef]
- Ozisik, G.; Achermann, J.C.; Meeks, J.J.; Jameson, J.L. SF1 in the development of the adrenal gland and gonads. Horm. Res. 2003, 59, 94–98. [Google Scholar] [CrossRef] [PubMed]
- Chen, S.L.; Zhang, G.J.; Shao, C.W.; Huang, Q.F.; Liu, G.; Zhang, P.; Song, W.T.; An, N.; Chalopin, D.; Volff, J.N.; et al. Whole-genome sequence of a flatfish provides insights into ZW sex chromosome evolution and adaptation to a benthic lifestyle. Nat. Genet. 2014, 46, 253–260. [Google Scholar] [CrossRef] [PubMed]
- Wang, L.; Sun, F.; Wan, Z.Y.; Yang, Z.; Tay, Y.X.; Lee, M.; Ye, B.; Wen, Y.; Meng, Z.; Fan, B.; et al. Transposon-induced epigenetic silencing in the X chromosome as a novel form of dmrt1 expression regulation during sex determination in the fighting fish. BMC Biol. 2022, 20, 5. [Google Scholar] [CrossRef] [PubMed]
- Wu, G.C.; Tomy, S.; Chang, C.F. The expression of nr0b1 and nr5a4 during gonad development and sex change in protandrous black porgy fish, Acanthopagrus schlegeli. Biol. Reprod. 2008, 78, 200–210. [Google Scholar] [CrossRef]
- Jiang, D.N.; Mustapha, U.F.; Shi, H.J.; Huang, Y.Q.; Si-Tu, J.X.; Wang, M.; Deng, S.P.; Chen, H.P.; Tian, C.X.; Zhu, C.H.; et al. Expression and transcriptional regulation of gsdf in spotted scat (Scatophagus argus). Comp. Biochem. Physiol. B Biochem. Mol. Biol. 2019, 233, 35–45. [Google Scholar] [CrossRef]
- Li, X.Y.; Gui, J.F. Diverse and variable sex determination mechanisms in vertebrates. Sci. China Life Sci. 2018, 61, 1503–1514. [Google Scholar] [CrossRef]
- Lin, Q.; Mei, J.; Li, Z.H.; Zhang, X.; Zhou, L.; Gui, J.F. Distinct and cooperative roles of amh and dmrt1 in self-renewal and differentiation of male germ cells in zebrafish. Genetics 2017, 207, 1007–1022. [Google Scholar] [CrossRef]
- Hattori, R.S.; Murai, Y.; Oura, M.; Masuda, S.; Majhi, S.K.; Sakamoto, T.; Fernandino, J.I.; Somoza, G.M.; Yokota, M.; Strüssmann, C.A. A Y-linked anti-Müllerian hormone duplication takes over a critical role in sex determination. Proc. Natl. Acad. Sci. USA 2012, 109, 2955–2959. [Google Scholar] [CrossRef]
- Li, M.H.; Sun, Y.L.; Zhao, J.; Shi, H.J.; Zeng, S.; Ye, K.; Jiang, D.N.; Zhou, L.Y.; Sun, L.; Tao, W.J.; et al. A Tandem Duplicate of Anti-Müllerian Hormone with a Missense SNP on the Y Chromosome Is Essential for Male Sex Determination in Nile Tilapia, Oreochromis niloticus. PLoS Genet. 2015, 11, e1005678. [Google Scholar] [CrossRef] [PubMed]
- Pan, Q.W.; Feron, R.; Yano, A.; Guyomard, R.; Jouanno, E.; Vigouroux, E.; Wen, M.; Busnel, J.M.; Bobe, J.; Concordet, J.P.; et al. Identification of the master sex determining gene in Northern pike (Esox lucius) reveals restricted sex chromosome differentiation. PLoS Genet. 2019, 15, e1008013. [Google Scholar] [CrossRef] [PubMed]
- Myosho, T.; Otake, H.; Masuyama, H.; Matsuda, M.; Kuroki, Y.; Fujiyama, A.; Naruse, K.; Hamaguchi, S.; Sakaizumi, M. Tracing the emergence of a novel sex-determining gene in medaka, Oryzias luzonensis. Genetics 2012, 191, 163–170. [Google Scholar] [CrossRef] [PubMed]
- Rondeau, E.B.; Messmer, A.M.; Sanderson, D.S.; Jantzen, S.G.; von Schalburg, K.R.; Minkley, D.R.; Leong, J.S.; Macdonald, G.M.; Davidsen, A.E.; Parker, W.A.; et al. Genomics of sablefish (Anoplopoma fimbria): Expressed genes, mitochondrial phylogeny, linkage map and identification of a putative sex gene. BMC Genom. 2013, 14, 452. [Google Scholar] [CrossRef] [PubMed]
- Einfeldt, A.L.; Kess, T.; Messmer, A.; Duffy, S.; Wringe, B.F.; Fisher, J.; den Heyer, C.; Bradbury, I.R.; Ruzzante, D.E.; Bentzen, P. Chromosome level reference of Atlantic halibut Hippoglossus hippoglossus provides insight into the evolution of sexual determination systems. Mol. Ecol. Resour. 2021, 21, 1686–1696. [Google Scholar] [CrossRef]
- García-López, Á.; Sánchez-Amaya, M.I.; Halm, S.; Astola, A.; Prat, F. Bone morphogenetic protein 15 and growth differentiation factor 9 expression in the ovary of European sea bass (Dicentrarchus labrax): Cellular localization, developmental profiles, and response to unilateral ovariectomy. Gen. Comp. Endocrinol. 2011, 174, 326–334. [Google Scholar] [CrossRef]
- Yu, H.Y.; Wang, Y.J.; Wang, M.Y.; Liu, Y.X.; Cheng, J.; Zhang, Q.Q. Growth differentiation factor 9 (gdf9) and bone morphogenetic protein 15 (bmp15) are potential intraovarian regulators of steroidogenesis in Japanese flounder (Paralichthys olivaceus). Gen. Comp. Endocrinol. 2020, 297, 113547. [Google Scholar] [CrossRef]
- Clelland, E.S.; Kelly, S.P. Exogenous GDF9 but not Activin A, BMP15 or TGFβ alters tight junction protein transcript abun-dance in zebrafish ovarian follicles. Gen. Comp. Endocrinol. 2011, 171, 211–217. [Google Scholar] [CrossRef]
- Tsuda, M.; Sasaoka, Y.; Kiso, M.; Abe, K.; Haraguchi, S.; Kobayashi, S.; Saga, Y. Conserved role of nanos proteins in germ cell development. Science 2003, 301, 1239–1241. [Google Scholar] [CrossRef]
- Jin, Y.H.; Davie, A.; Migaud, H. Expression pattern of nanos, piwil, dnd, vasa and pum genes during ontogenic development in Nile tilapia Oreochromis niloticus. Gene 2019, 688, 62–70. [Google Scholar] [CrossRef]
- Julaton, V.T.; Reijo Pera, R.A. NANOS3 function in human germ cell development. Hum. Mol. Genet. 2011, 20, 2238–2250. [Google Scholar] [CrossRef]
- Beer, R.L.; Draper, B.W. nanos3 maintains germline stem cells and expression of the conserved germline stem cell gene nanos2 in the zebrafish ovary. Dev. Biol. 2013, 374, 308–318. [Google Scholar] [CrossRef] [PubMed]
- Han, K.H.; Chen, S.H.; Cai, M.Y.; Jiang, Y.H.; Zhang, Z.P.; Wang, Y.L. Nanos3 not nanos1 and nanos2 is a germ cell marker gene in large yellow croaker during embryogenesis. Comp. Biochem. Physiol. B Biochem. Mol. Biol. 2018, 218, 13–22. [Google Scholar] [CrossRef] [PubMed]
- Meeks, J.J.; Crawford, S.E.; Russell, T.A.; Morohashi, K.; Weiss, J.; Jameson, J.L. Dax1 regulates testis cord organization during gonadal differentiation. Development 2003, 130, 1029–1036. [Google Scholar] [CrossRef]
- Meeks, J.J.; Weiss, J.; Jameson, J.L. Dax1 is required for testis determination. Nat. Genet. 2003, 34, 32–33. [Google Scholar] [CrossRef]
- Clipsham, R.; Niakan, K.; McCabe, E.R. Nr0b1 and its network partners are expressed early in murine embryos prior to steroidogenic axis organogenesis. Gene Expr. Patterns 2004, 4, 3–14. [Google Scholar] [CrossRef]
- Chen, S.J.; Zhang, H.F.; Wang, F.H.; Zhang, W.; Peng, G. nr0b1 (DAX1) mutation in zebrafish causes female-to-male sex reversal through abnormal gonadal proliferation and differentiation. Mol. Cell. Endocrinol. 2016, 433, 105–116. [Google Scholar] [CrossRef] [PubMed]
- Nakamoto, M.; Wang, D.S.; Suzuki, A.; Matsuda, M.; Nagahama, Y.; Shibata, N. Dax1 suppresses P450arom expression in medaka ovarian follicles. Mol. Reprod. Dev. 2007, 74, 1239–1246. [Google Scholar] [CrossRef]
- Wang, D.S.; Kobayashi, T.; Senthilkumaran, B.; Sakai, F.; Sudhakumari, C.C.; Suzuki, T.; Yoshikuni, M.; Matsuda, M.; Morohashi, K.; Nagahama, Y. Molecular cloning of DAX1 and SHP cDNAs and their expression patterns in the Nile tilapia, Oreochromis niloticus. Biochem. Biophys. Res. Commun. 2002, 297, 632–640. [Google Scholar] [CrossRef] [PubMed]
- Shi, H.J.; Ru, X.Y.; Mustapha, U.F.; Jiang, D.N.; Huang, Y.; Pan, S.H.; Zhu, C.H.; Li, G.L. Characterization, expression, and regulatory effects of nr0b1a and nr0b1b in spotted scat (Scatophagus argus). Comp. Biochem. Physiol. B Biochem. Mol. Biol. 2021, 256, 110644. [Google Scholar] [CrossRef]
- Yuan, J.; Tao, W.J.; Cheng, Y.Y.; Huang, B.F.; Wang, D.S. Genome-wide identification, phylogeny, and gonadal expression of fox genes in Nile tilapia, Oreochromis niloticus. Fish Physiol. Biochem. 2014, 40, 1239–1252. [Google Scholar] [CrossRef] [PubMed]
- Yamamoto, A.; Amacher, S.L.; Kim, S.H.; Geissert, D.; Kimmel, C.B.; De Robertis, E.M. Zebrafish Paraxial protocadherin is a downstream target of spadetail involved in morphogenesis of gastrula mesoderm. Development 1998, 125, 3389–3397. [Google Scholar] [CrossRef]
- Pogoda, H.M.; Solnica-Krezel, L.; Driever, W.; Meyer, D. The zebrafish forkhead transcription factor FoxH1/Fast1 is a modulator of nodal signaling required for organizer formation. Curr. Biol. 2000, 10, 1041–1049. [Google Scholar] [CrossRef] [PubMed]
- Tao, W.J.; Shi, H.J.; Yang, J.; Diakite, H.D.; Kocher, T.D.; Wang, D.S. Homozygous mutation of foxh1 arrests oogenesis causing infertility in female Nile tilapia. Biol. Reprod. 2020, 102, 758–769. [Google Scholar] [CrossRef] [PubMed]
- Iwamatsu, T.; Onitake, K.; Matsuyama, K.; Satoh, M.; Yukawa, S. Effect of micropylar morphology and size on rapid spermentry into the eggs of the medaka. Zool. Sci. 2009, 14, 623–628. [Google Scholar] [CrossRef]
- Yue, H.M.; Cao, H.; Chen, X.H.; Ye, H.; Li, C.J.; Du, H. Molecular characterization of the cDNAs of two zona pellucida genes in the Chinese sturgeon, Acipenser sinensis Gray, 1835. J. Appl. Ichthyol. 2014, 30, 1273–1281. [Google Scholar] [CrossRef]







| Gene | Sequence (5′-3′) | Product Size (bp) | |
|---|---|---|---|
| Forward Primer | Reverse Primer | ||
| hsd11b1 | TCCTCGTGTACTCATCTTG | ACCTAATGGCTATTGGTG | 167 |
| gsdf | AGTAATGCCCGTGTTGTG | GCATCCTGGACATTGGTG | 157 |
| sf1 | CTGTTCAAATGTTGGGAGAC | AGGTGAGCAGACCGTAGTG | 135 |
| dmrtb1 | CCTGTGATTCACTTTCCGTTTA | GAGGTGCGGGTTCTGGTT | 196 |
| dmrt3 | AGCCCAAATCTTCATTTCATG | GGGACACTTTCGGAGGTCA | 146 |
| nanos2 | AACAGCCTCCATCGTGAA | TGCCCTGGAATAAAGTGTC | 124 |
| amh | TAAGTCCCGTGCTCATTC | AACACCGCCAACATCTAC | 182 |
| sox9 | AGGAGGCTGAGCGTTTGA | CCTTGAAGATCGCATTTGG | 147 |
| dscam | GGGTTCTTCGGGCTTACA | TTTGCCGCTGGTCCTATT | 193 |
| cyp11a1 | AATAGCCGAGACCGAGAT | TGGTGTTACCGATTAGTATG | 165 |
| figla | TCGCCGAGGACTTCAATG | ATTCCGTCGCAGCCTTTA | 171 |
| hsd17b1 | TACTCATCCCTCCGTTGC | AGTCACTCCCTCCTGTTG | 200 |
| dmrt2b | TACTCACGCCAACTCTGTC | CACTATGCTGCTAACCATTT | 125 |
| bmp15 | TCTCGAAGTCCCGTCTGTT | AAGGGTCTTTGGGCTCTG | 173 |
| nanos3 | CCTCCAGACTCGTTTCGC | GACTCACCGTTGTGCTTG | 191 |
| foxl2 | GCCTCGGTGTTGTAGTCAT | GCAACGGTCAGGATAAGC | 162 |
| foxh1 | TTATCAGACCAGCCTTTG | GTGTCCGTGTTTCAGTTT | 132 |
| gmnn | AAACAGTGGAGCACAGAA | GTAGGTGGAAGGAGGAGT | 150 |
| β-actin | TGCTGTCCCTGTATGCCTCTGG | TGATGTCACGCACGATTTCCCT | 230 |
| Sample | Reads Number | Total Base | GC Content (%) | Q20 (%) | Q30 (%) |
|---|---|---|---|---|---|
| Ovary 1 | 45,819,196 | 6,872,879,400 | 51.05 | 97.52 | 93.09 |
| Ovary 2 | 52,776,122 | 7,916,418,300 | 51.30 | 97.46 | 92.96 |
| Ovary 3 | 44,164,748 | 6,624,712,200 | 51.27 | 97.38 | 92.65 |
| Testis 1 | 38,521,802 | 5,778,270,300 | 48.68 | 97.77 | 93.51 |
| Testis 2 | 43,325,712 | 6,498,856,800 | 48.64 | 97.57 | 93.01 |
| Testis 3 | 49,925,956 | 7,488,893,400 | 49.13 | 98.57 | 95.53 |
| Mean | 45,755,589 | 6,863,338,400 | 50.01 | 97.71 | 93.46 |
| Total | 274,533,536 | 41,180,030,400 |
| Database | Number |
|---|---|
| Assembly | |
| Gene Number (#) | 107,060 |
| Total length (nt) | 107,070,530 |
| Average length (nt) | 1000 |
| Max length (nt) | 18,090 |
| Min length (nt) | 185 |
| N50 (nt) | 2336 |
| GC | 45.09% |
| Annotation | |
| Total number of annotated unigenes | 28,514 |
| Unigenes match against NR | 27,893 |
| Unigenes match against UniProt | 28,165 |
| Unigenes match against KEGG | 17,300 |
| Unigenes match against KOG | 15,592 |
| Unigenes match against GO | 21,465 |
| Testes VS Ovaries | Number of DEGs |
|---|---|
| UP | 14,332 |
| Down | 9517 |
| Total | 23,849 |
| Unigene ID | log2 Fold Change (Testes vs. Ovaries) | p-Value (Testes vs. Ovaries) | FDR (Testes vs. Ovaries) | Gene Annotation | Gene Name |
|---|---|---|---|---|---|
| unigene016557 | −3.401 | 6.81 × 10−46 | 3.80 × 10−44 | Cytochrome P450 family 26 subfamily A | cyp26a |
| unigene078672 | −2.938 | 2.56 ×10−21 | 1.46 × 10−20 | Cytochrome P450 family 20 subfamily A | cyp20a |
| unigene076774 | −2.274 | 2.41 × 10−18 | 1.08 × 10−17 | Cytochrome P450 family 27 subfamily C1 | cyp27c1 |
| unigene017250 | −2.206 | 1.65 × 10−20 | 8.81 × 10−20 | Cytochrome P450 family 4 subfamily B1 | cyp4b1 |
| unigene019234 | −3.958 | 1.75 × 10−29 | 2.08 × 10−28 | Cytochrome P450 Family 19 Subfamily A Member 1 | cyp19a1a |
| unigene054857 | −3.604 | 6.40 × 10−29 | 7.21 × 10−28 | 17beta-estradiol 17-dehydrogenase | hsd17b2 |
| unigene003247 | −4.798 | 1.83 × 10−25 | 1.50 × 10−24 | Transcription factor SOX2 | sox2 |
| unigene009779 | −3.106 | 2.77 × 10−15 | 9.75 × 10−15 | Transcription factor SOX6 | sox6 |
| unigene065843 | −7.374 | 6.46 × 10−22 | 3.88 × 10−21 | Forkhead box protein I1 | foxi |
| unigene093705 | −4.301 | 7.81 × 10−62 | 1.79 × 10−59 | Forkhead box protein H1 | foxh |
| unigene044978 | −3.426 | 1.88 × 10−29 | 2.23 × 10−28 | Forkhead box protein K2 | foxk |
| unigene087937 | −4.816 | 4.54 × 10−30 | 5.69 × 10−29 | Bone morphogenetic protein 15 | bmp15 |
| unigene074406 | −2.156 | 2.49 × 10−11 | 6.39 × 10−11 | Bone morphogenetic protein 8 | bmp8 |
| unigene028905 | −4.548 | 3.01 × 10−17 | 1.23 × 10−16 | Growth differentiation factor 3 | gdf3 |
| unigene061344 | −6.234 | 3.08 × 10−20 | 1.61 × 10−19 | Growth differentiation factor 9 | gdf9 |
| unigene080631 | −2.147 | 3.33 × 10−14 | 1.08 × 10−13 | Factor in the germline alpha | figla |
| unigene034002 | −6.663 | 2.89 × 10−21 | 1.64 × 10−20 | Follistatin-related protein 4 | fstl4 |
| unigene075890 | −2.043 | 9.42 × 10−16 | 3.43 × 10−15 | 7alpha-diol 3beta-dehydrogenase | hsd3b7 |
| unigene033729 | −3.509 | 1.16 × 10−07 | 2.18 × 10−07 | Insulin-like growth factor 2 mRNA-binding protein 3 | igf2bp3 |
| unigene052970 | −3.108 | 1.31 × 10−13 | 4.04 × 10−13 | Insulin-like growth factor 2 mRNA-binding protein 1 | igf2bp1 |
| unigene103953 | −6.835 | 3.35 × 10−05 | 5.05 × 10−05 | Zona pellucida sperm-binding protein 3 | zp3 |
| unigene085743 | −2.694 | 1.55 × 10−16 | 5.98 × 10−16 | Zona pellucida sperm-binding protein 1 | zp1 |
| unigene053477 | −6.867 | 5.19 × 10−04 | 7.11 × 10−04 | Zona pellucida protein C | zpcx |
| unigene033757 | −4.007 | 1.53 × 10−59 | 3.02 × 10−57 | Cholesterol 25-hydroxylase | ch25h |
| unigene064052 | −5.032 | 2.11 × 10−34 | 3.99 × 10−33 | Sperm-associated antigen 1 | spag1 |
| unigene078686 | −4.308 | 5.92 × 10−19 | 2.79 × 10−18 | Nuclear autoantigenic sperm protein | nasp |
| unigene078850 | −4.126 | 9.62 × 10−35 | 1.87 × 10−33 | Sperm-associated antigen 5 | spag5 |
| unigene019789 | −2.85 | 1.31 × 10−22 | 8.31 × 10−22 | Sperm-sociated antigen 7 | spag7 |
| unigene006952 | −5.014 | 3.16 × 10−52 | 3.29 × 10−50 | Paired box protein 7 | pax7 |
| unigene076579 | −2.84 | 5.79 × 10−13 | 1.70 × 10−12 | Paired box protein 3 | pax3 |
| unigene088720 | −3.888 | 7.02 × 10−19 | 3.28 × 10−18 | Doublesex-and mab-3-related transcription factor 2 | dmrt2 |
| unigene096363 | −4.326 | 1.36 × 10−18 | 6.20 × 10−18 | 17beta-estradiol 17-dehydrogenase 1 | hsd17b1 |
| unigene054857 | −3.604 | 6.40 × 10−29 | 7.21 × 10−28 | 17beta-estradiol 17-dehydrogenase 2 | hsd17b2 |
| unigene076158 | −6.687 | 4.18 × 10−25 | 3.32 × 10−24 | WNT1-inducible-signaling pathway protein 2 | ccn5 |
| unigene077407 | −4.994 | 1.62 × 10−17 | 6.78 × 10−17 | Protein nanos 3 | nanos3 |
| unigene067731 | 7.352 | 4.42 × 10−08 | 8.63 × 10−08 | Cytochrome P450 family 2 subfamily J | cyp2j |
| unigene077896 | 3.707 | 3.22 × 10−36 | 7.09 × 10−35 | Cytochrome P450 family 1 subfamily C | cyp1c |
| unigene082681 | 3.625 | 2.87 × 10−34 | 5.35 × 10−33 | Cytochrome P450 family 3 subfamily A | cyp3a |
| unigene053000 | 3.344 | 1.05 × 10−07 | 1.98 × 10−07 | Cytochrome P450 family 1 subfamily B1 | cyp1b1 |
| unigene005081 | 3.281 | 4.53 × 10−07 | 8.05 × 10−07 | Cytochrome P450 family 2 subfamily K | cyp2k |
| unigene045134 | 2.624 | 1.31 × 10−15 | 4.72 × 10−15 | Long-chain fatty acid omega-monooxygenase | cyp2u1 |
| unigene042180 | 2.227 | 7.98 × 10−17 | 3.14 × 10−16 | 25/26-hydroxycholesterol 7alpha-hydroxylase | cyp7b |
| unigene068680 | 2.218 | 2.13 × 10−04 | 3.01 × 10−04 | Cytochrome P450 family 1 subfamily A | cyp1a |
| unigene073842 | 10.903 | 2.66 × 10−26 | 2.36 × 10−25 | Steroid 21-monooxygenase | cyp21a |
| unigene067853 | 5.26 | 4.54 × 10−41 | 1.58 × 10−39 | 3beta-hydroxy-Delta5-steroid dehydrogenase | hsd3b |
| unigene079680 | 4.966 | 1.40 × 10−40 | 4.65 × 10−39 | Steroidogenic acute regulatory protein | star |
| unigene090545 | 4.923 | 7.45 × 10−12 | 2.00 × 10−11 | Cholestenol Delta-isomerase | ebp |
| unigene050885 | 4.818 | 4.95 × 10−34 | 9.00 × 10−33 | Corticosteroid 11-beta-dehydrogenase isozyme 1 | hsd11b1 |
| unigene052718 | 4.402 | 6.14 × 10−49 | 4.49 × 10−47 | Nuclear receptor subfamily 5 group A member 2 | nr5a2 |
| unigene009338 | 3.749 | 6.39 × 10−07 | 1.12 × 10−06 | Steroidogenic acute regulatory protein | star |
| unigene091255 | 2.622 | 1.22 × 10−05 | 1.91 × 10−05 | 3-oxo-5-alpha-steroid 4-dehydrogenase 2 | srd5a2 |
| unigene080869 | 3.559 | 6.58 × 10−18 | 2.84 × 10−17 | Transcription factor SOX9B | sox9b |
| unigene027228 | 3.003 | 5.24 × 10−06 | 8.48 × 10−06 | Transcription factor SOX11 | sox11a |
| unigene026090 | 2.897 | 2.14 × 10−10 | 5.10 × 10−10 | Transcription factor SOX8 | sox8 |
| unigene077161 | 2.82 | 7.37 × 10−04 | 9.98 × 10−04 | Transcription factor SOX4B | sox4b |
| unigene009778 | 2.756 | 1.90 × 10−09 | 4.19 × 10−09 | Transcription factor SOX13 | sox13 |
| unigene027229 | 2.274 | 2.58 × 10−15 | 9.11 × 10−15 | Transcription factor SOX4A | sox4a |
| unigene083320 | 7.657 | 4.72 × 10−11 | 1.18 × 10−10 | Nuclear receptor subfamily 5 group A member 2 | nr5a2 |
| unigene044549 | 5.055 | 1.62 × 10−10 | 3.89 × 10−10 | Nuclear receptor subfamily 2 group F member 5 | nr2f5 |
| unigene086247 | 5.049 | 1.08 × 10−14 | 3.64 × 10−14 | Nuclear receptor subfamily 0 group B member 2 | nr0b2 |
| unigene008230 | 4.835 | 1.70 × 10−28 | 1.85 × 10−27 | Nuclear receptor subfamily 2 group F member 6 | nr2f6 |
| unigene037568 | 4.679 | 4.81 × 10−43 | 2.04 × 10−41 | Nuclear receptor subfamily 0 group B member 1 | nr0b1 |
| unigene033981 | 4.226 | 2.96 × 10−19 | 1.43 × 10−18 | Nuclear receptor-interacting protein 2 | nrip2 |
| unigene069894 | 2.619 | 6.39 × 10−17 | 2.54 × 10−16 | Nuclear receptor-interacting protein 1 | nrip1 |
| unigene012830 | 2.196 | 5.56 × 10−03 | 7.01 × 10−03 | Nuclear receptor subfamily 1 group D member 1 | nr1d1 |
| unigene041601 | 5.965 | 1.19 × 10−48 | 8.45 × 10−47 | Anti-mullerian hormone | amh |
| unigene043369 | 4.353 | 5.51 × 10−06 | 8.91 × 10−06 | Retinoic acid receptor alpha | rara |
| unigene034008 | 3.416 | 3.76 × 10−14 | 1.21 × 10−13 | Cellular retinoic acid-binding protein 1 | crabp1 |
| unigene015271 | 3.249 | 8.39 × 10−08 | 1.60 × 10−07 | Retinoid X receptor alpha | rxra |
| unigene097808 | 2.100 | 9.99 × 10−05 | 1.45 × 10−04 | Retinoic acid receptor gamma | rarg |
| unigene072197 | 5.474 | 2.78 × 10−65 | 8.72 × 10−63 | Insulin-like growth factor 1 | igf1 |
| unigene048289 | 4.157 | 3.18 × 10−11 | 8.10 × 10−11 | Insulin-like growth factor-binding protein 6 | igfbp6 |
| unigene064551 | 3.796 | 1.02 × 10−15 | 3.71 × 10−15 | Insulin-like growth factor 2 | igf2 |
| unigene076631 | 3.039 | 1.09 × 10−08 | 2.26 × 10−08 | Insulin-like growth factor-binding protein 5 | igfbp5 |
| unigene024310 | 2.872 | 1.16 × 10−20 | 6.26 × 10−20 | Insulin-like growth factor-binding protein 3 | igfbp3 |
| unigene048431 | 2.529 | 8.27 × 10−09 | 1.73 × 10−08 | Insulin-like growth factor 1 receptor | igf1r |
| unigene036898 | 6.412 | 1.09 × 10−67 | 4.21 × 10−65 | Doublesex-and mab-3-related transcription factor 6 | dmrt6 |
| unigene018354 | 5.909 | 4.37 × 10−70 | 2.17 × 10−67 | Doublesex-and mab-3-related transcription factor 3 | dmrt3 |
| unigene021803 | 2.791 | 1.48 × 10−07 | 2.75 × 10−07 | Star-related lipid transfer protein 10 | stard10 |
| unigene061776 | 4.711 | 4.52 × 10−46 | 2.58 × 10−44 | spermine oxidase | smox |
| unigene021908 | 3.402 | 1.03 × 10−42 | 4.16 × 10−41 | Follistatin-related protein 3 | fstl3 |
| unigene025700 | 2.978 | 2.51 × 10−32 | 3.87 × 10−31 | Follistatin-related protein 1 | fstl1 |
| unigene067853 | 5.260 | 4.54 × 10−41 | 1.58 × 10−39 | 3 beta-hydroxy-Delta 5-steroid dehydrogenase | hsd3b |
| unigene040047 | 9.351 | 3.11 × 10−21 | 1.76 × 10−20 | Fibroblast growth factor 1 | fgf1 |
| unigene013299 | 7.956 | 1.96 × 10−12 | 5.54 × 10−12 | Fibroblast growth factor 17 | fgf17 |
| unigene066839 | 5.778 | 6.17 × 10−26 | 5.30 × 10−25 | Fibroblast growth factor 20 | fgf20 |
| unigene055225 | 4.731 | 2.60 × 10−55 | 3.48 × 10−53 | Fibroblast growth factor 2 | fgf2 |
| unigene026434 | 3.735 | 3.73 × 10−09 | 8.02 × 10−09 | Fibroblast growth factor 13 | fgf13 |
| unigene085827 | 3.512 | 6.43 × 10−06 | 1.03 × 10−05 | Fibroblast growth factor 10 | fgf10 |
| unigene032503 | 3.467 | 1.09 × 10−06 | 1.87 × 10−06 | Fibroblast growth factor 24 | fgf24 |
| unigene091912 | 3.330 | 2.74 × 10−21 | 1.56 × 10−20 | Fibroblast growth factor | fgf |
| unigene044979 | 3.115 | 4.57 × 10−41 | 1.58 × 10−39 | Fibroblast growth factor receptor 2 | fgfr2 |
| unigene078396 | 2.139 | 7.27 × 10−09 | 1.53 × 10−08 | Fibroblast growth factor 12 | fgf12 |
| unigene060382 | 5.109 | 6.71 × 10−38 | 1.72 × 10−36 | Protein nanos 2 | nanos2 |
| unigene050951 | 4.940 | 5.29 × 10−48 | 3.56 × 10−46 | Follicle-stimulating hormone receptor | fshr |
| unigene074397 | 3.471 | 1.98 × 10−13 | 6.04 × 10−13 | Gonadotropin-releasing hormone receptor | gnrhr |
| unigene009338 | 3.749 | 6.39 × 10−07 | 1.12 × 10−06 | Steroidogenic acute regulatory protein | star |
| unigene035083 | 2.584 | 4.04 × 10−19 | 1.93 × 10−18 | Wilms tumor protein 1 | wt1 |
Disclaimer/Publisher’s Note: The statements, opinions and data contained in all publications are solely those of the individual author(s) and contributor(s) and not of MDPI and/or the editor(s). MDPI and/or the editor(s) disclaim responsibility for any injury to people or property resulting from any ideas, methods, instructions or products referred to in the content. |
© 2023 by the authors. Licensee MDPI, Basel, Switzerland. This article is an open access article distributed under the terms and conditions of the Creative Commons Attribution (CC BY) license (https://creativecommons.org/licenses/by/4.0/).
Share and Cite
Liu, S.; Lian, Y.; Song, Y.; Chen, Q.; Huang, J. De Novo Assembly, Characterization and Comparative Transcriptome Analysis of the Gonads of Jade Perch (Scortum barcoo). Animals 2023, 13, 2254. https://doi.org/10.3390/ani13142254
Liu S, Lian Y, Song Y, Chen Q, Huang J. De Novo Assembly, Characterization and Comparative Transcriptome Analysis of the Gonads of Jade Perch (Scortum barcoo). Animals. 2023; 13(14):2254. https://doi.org/10.3390/ani13142254
Chicago/Turabian StyleLiu, Shiyan, Yingying Lian, Yikun Song, Qinghua Chen, and Jianrong Huang. 2023. "De Novo Assembly, Characterization and Comparative Transcriptome Analysis of the Gonads of Jade Perch (Scortum barcoo)" Animals 13, no. 14: 2254. https://doi.org/10.3390/ani13142254
APA StyleLiu, S., Lian, Y., Song, Y., Chen, Q., & Huang, J. (2023). De Novo Assembly, Characterization and Comparative Transcriptome Analysis of the Gonads of Jade Perch (Scortum barcoo). Animals, 13(14), 2254. https://doi.org/10.3390/ani13142254
