Application of Ultrasound in Detecting and Removing Migrating Grass Awns in Dogs and Cats: A Systematic Review
Abstract
Simple Summary
Abstract
1. Introduction
2. Materials and Methods
- Ultrasonography (ultrasound) AND vegetal foreign body;
- Ultrasonography (ultrasound) AND grass awn;
- Ultrasonography (ultrasound) AND removal AND vegetal foreign body;
- Ultrasonography (ultrasound) AND removal AND grass awn;
- Ultrasonography (ultrasound) AND plant foreign body AND veterinary.
3. Results
- Intrathoracic migration (10 papers);
- Retroperitoneal migration (13 papers)
- Intraabdominal migration (6 papers);
- Periocular migration (8 papers);
- Genitourinary tract migration (8 papers);
- Subcutaneous tissue migration (8 papers).
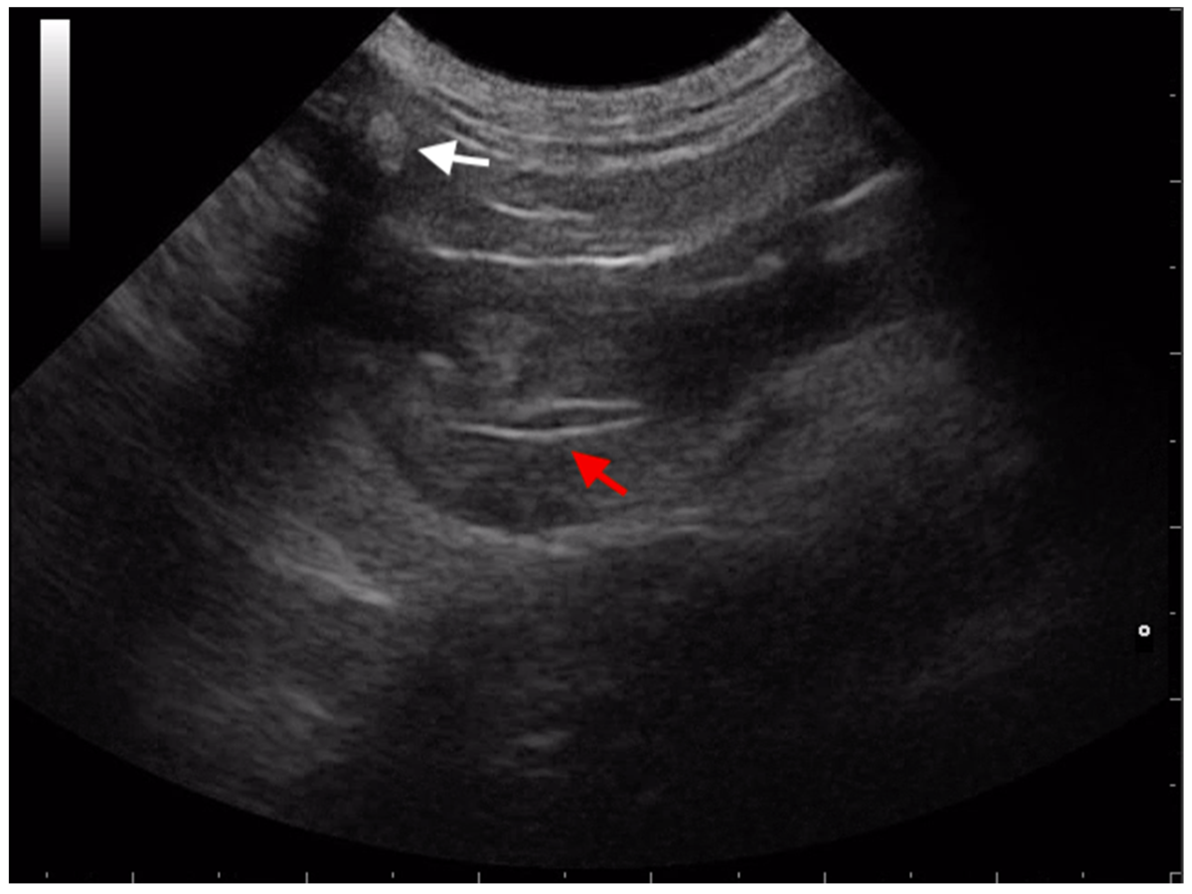
3.1. Intrathoracic Migration
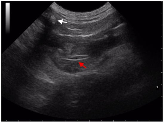
3.2. Retroperitoneal Migration
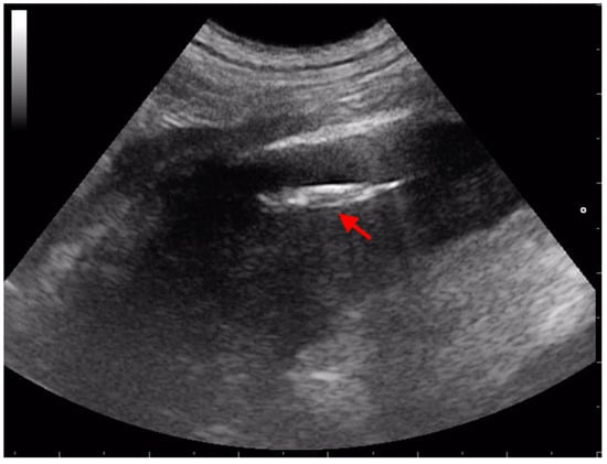
3.3. Intraabdominal Migration
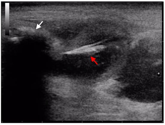
3.4. Ocular Region Migration
3.5. Genitourinary Tract Migration
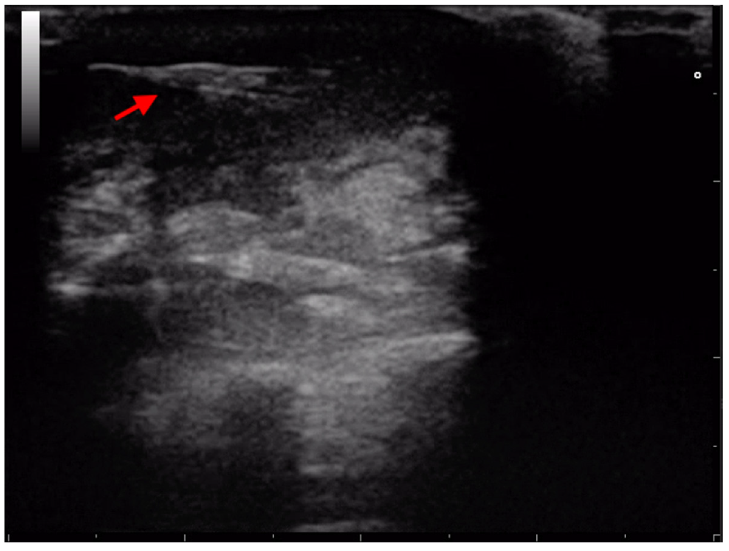
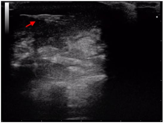
3.6. Subcutaneous Tissue Migration
4. Discussion
5. Conclusions
Author Contributions
Funding
Institutional Review Board Statement
Informed Consent Statement
Data Availability Statement
Conflicts of Interest
References
- Lamb, C.R.; Wite, R.N.; McEvoy, F.J. Sinography in the Investigation of Draining Tracts in Small Animals: Retrospective Review of 25 Cases. Vet. Surg. 1994, 23, 129–134. [Google Scholar] [CrossRef] [PubMed]
- Frendin, J.; Hansson, K.; Lonnemark, M.; Carlsten, J. Diagnostic imaging of foreign body reactions in dogs with diffuse back pain. J. Small Anim. Pract. 1999, 40, 278–285. [Google Scholar] [CrossRef] [PubMed]
- Armbrust, L.J.; Biller, D.S.; Radlinsky, M.A.G.; Hoskinson, J.J. Ultrasonographic diagnosis of foreign bodies associated with chronic draining tracts and abscesses in dogs. Vet. Radiol. Ultrasound 2003, 44, 66–70. [Google Scholar] [CrossRef] [PubMed]
- Schultz, R.M.; Zwingenberger, A. Radiographic, computed tomographic, and ultrasonographic findings with migrating intrathoracic grass awns in dogs and cats. Vet. Radiol. Ultrasound 2008, 49, 249–255. [Google Scholar] [CrossRef]
- Bouabdallah, R.; Moissonnier, P.; Delisle, F.; De Fornel, P.; Manassero, M.; Maaoui, M.; Fayolle, P.; Viateau, V. Use of preoperative computed tomography for surgical treatment ofrecurrent draining tracts. J. Small Anim. Pract. 2014, 55, 89–94. [Google Scholar] [CrossRef]
- Vansteenkiste, D.P.; Lee, K.C.L.; Lamb, C.R. Computed tomographic findings in 44 dogs and 10 cats with grass seed foreign bodies. J. Small Anim. Pract. 2014, 55, 579–584. [Google Scholar] [CrossRef]
- Whitty, C.C.; Milner, H.R.; Oram, B. Use of Magnetic Resonance Imaging in the diagnosis of spinal empyema caused by a migrating grass awn in a dog. N. Z. Vet. J. 2013, 61, 115–118. [Google Scholar] [CrossRef]
- Gnudi, G.; Volta, A.; Bonazzi, M.; Gazzola, M.; Bertoni, G. Ultrasonographic features of grass awn migration in the dog. Vet. Radiol. Ultrasound 2005, 46, 423–426. [Google Scholar] [CrossRef]
- Caivano, D.; Birettoni, F.; Rishniw, M.; Bufalari, A.; De Monte, V.; Proni, A.; Giorgi, M.E.; Porciello, F. Ultrasonographic findings and outcomes of dogs with suspected migrating intrathoracic grass awns: 43 cases (2010–2013). J. Am. Vet. Med. Assoc. 2016, 248, 413–421. [Google Scholar] [CrossRef]
- Birettoni, F.; Caivano, D.; Rishniw, M.; Moretti, G.; Porciello, F.; Giorgi, M.E.; Crovace, A.; Bianchini, E.; Bufalari, A. Preoperative and intraoperative ultrasound aids removal of migrating plant material causing iliopsoas myositis via ventral midline laparotomy: A study of 22 dogs. Acta Vet. Scand. 2017, 59, 12. [Google Scholar] [CrossRef]
- Frendin, J.; Grekot, C.; Hellmen, E.; Iwarssons, M.; Gunnarsson, A.; Chryssantou, E. Thoracic and abdominal wall swellings in dogs caused by foreign bodies. J. Small Anim. Pract. 1994, 35, 499–508. [Google Scholar] [CrossRef]
- Hopper, B.J.; Lester, N.V.; Irwin, P.J.; Eger, C.E.; Richardson, J.L. Imaging diagnosis: Pneumothorax and focal peritonitis in a dog due to migration of an inhaled grass awn. Vet. Radiol. Ultrasound 2004, 45, 136–138. [Google Scholar] [CrossRef]
- Philp, H.S.; Epstein, S.E.; Hopper, K. Clinical and clinicopathological characteristics, treatment, and outcome for dogs and cats with confirmed foxtail foreign body lesions: 791 cases (2009–2018). J. Vet. Emerg. Crit. Care 2022, 32, 653–662. [Google Scholar] [CrossRef] [PubMed]
- Flisi, S.; Dall’Aglio, M.; Spadini, C.; Cabassi, C.S.; Quintavalla, F. Microbial Isolates from Vegetable Foreign Bodies Inhaled by Dogs. Vet. Med. Int. 2018, 2018, 3089282. [Google Scholar] [CrossRef] [PubMed]
- Caivano, D.; Birettoni, F.; Marchesi, M.C.; Moretti, G.; Corda, A.; Petrescu, V.F.; Porciello, F.; Bufalari, A. Septic pericarditis and cardiac tamponade caused by migrating intrathoracic grass awn in an English setter dog. Isr. J. Vet. Med. 2019, 74, 82–87. [Google Scholar]
- Caivano, D.; Bufalari, A.; Elena Giorgi, M.; Conti, M.B.; Marchesi, M.C.; Angeli, G.; Porciello, F.; Birettoni, F. Imaging diagnosis-transesophageal ultrasound-guided removal of a migrating grass awn foreign body in a dog. Vet. Radiol. Ultrasound 2014, 55, 561–564. [Google Scholar] [CrossRef] [PubMed]
- Koutinas, C.K.; Papazoglou, L.G.; Saridomichelakis, M.N.; Koutinas, A.F.; Patsikas, M.N. Caudal mediastinal abscess due to a grass awn (Hordeum spp.) in a cat. J. Feline Med. Surg. 2003, 5, 43–46. [Google Scholar] [CrossRef]
- Shah, R.A.; Ruth, J.D. What is your diagnosis? J. Am. Vet. Med. Assoc. 2018, 2, 159–162. [Google Scholar] [CrossRef]
- Cola, V.; Del Magno, S.; Valentini, S.; Zanardi, S.; Foglia, A.; Spinella, G.; Capitani, O.; Buracco, P.; Pisoni, L. Deep vegetal foreign bodies in cats: A retrospective study of 10 cases. J. Am. Anim. Hosp. Assoc. 2019, 55, 249–255. [Google Scholar] [CrossRef]
- Denroche, K.; Fox, P.R.; Prittie, J.; Crecraft, C. Septic pericarditis caused by a migrating grass awn in a cat. J. Vet. Cardiol. 2021, 36, 14–19. [Google Scholar] [CrossRef]
- Woodbridge, N.; Martinoli, S.; Cherubini, G.B.; Caine, A.; Nelissen, P.; White, R. Omentalisation in the treatment of sublumbar abscessation: Long-term outcome in 10 dogs. Vet. Rec. 2014, 175, 625. [Google Scholar] [CrossRef] [PubMed]
- Sériot, P.; Dunié-Mérigot, A.; Tréhiou, C.B.; Blond, L.; Bernardin, F.; Poujol, L.; Gibert, S. Treatment and outcome of spontaneous pneumothorax secondary to suspected migrating vegetal foreign body in 37 dogs. Vet. Rec. 2021, 189, e22. [Google Scholar] [CrossRef]
- Véran, E.; Gory, G.; Guillaumot, P.; Gallay-Lepoutre, J. Renal subcapsular abscess secondary to a migrating grass awn in a dog. J. Small Anim. Pract. 2021, 62, 609. [Google Scholar] [CrossRef] [PubMed]
- Johnston, D.E.; Summers, B.A. Osteomyelitis of the Lumbar Vertebrae in Dogs Caused By Grass-Seed Foreign Bodies. Aust. Vet. J. 1971, 47, 289–294. [Google Scholar] [CrossRef] [PubMed]
- Moretti, G.; Birettoni, F.; Caivano, D.; Nannarone, S.; Crovace, A.; Porciello, F.; Bufalari, A. Mini-invasive approach for removal of iliopsoas migrating grass awns with an atraumatic wound retractor. J. Small Anim. Pract. 2021, 62, 150–155. [Google Scholar] [CrossRef] [PubMed]
- Griffeuille, E.; Seriot, P.; Baudin-Tréhiou, C.; Gibert, S.; Blond, L.; Poujol, L.; Dunié-Mérigot, A. Comparison of computed tomography and surgical findings and investigation of their associations with outcomes for dogs with sublumbar abscesses. J. Am. Vet. Med. Assoc. 2021, 259, 1300–1308. [Google Scholar] [CrossRef]
- Hennessey, E.; Cassel, N.; Nuth, E.; Biller, D. CT can identify characteristic features of hypaxial muscle abscesses in dogs due to presumed migrating vegetal foreign material as well as additional changes along the migratory tract in other anatomic regions. Vet. Radiol. Ultrasound 2022, 63, 691–698. [Google Scholar] [CrossRef]
- Staudte, K.L.; Hopper, B.J.; Gibson, N.R.; Read, R.A. Use of ultrasonography to facilitate surgical removal of non-enteric foreign bodies in 17 dogs. J. Small Anim. Pract. 2004, 45, 395–400. [Google Scholar] [CrossRef]
- Llabrés-Díaz, F.J.; Brissot, H.; Ibarrola, P. Imaging diagnosis—Celiac artery pseudoaneurysm associated with a migrating grass awn. Vet. Radiol. Ultrasound 2010, 51, 508–511. [Google Scholar] [CrossRef]
- Mastora, H.; Papazoglou, L.G.; Patsikas, M.; Kirmanidou, G.; Donas, A. Retroperitoneal Abscess Associated with a Migrating Grass Awn in a Cat: Treatment with Omentalization and Grass Awn Removal. Top. Companion Anim. Med. 2018, 33, 97–99. [Google Scholar] [CrossRef]
- Della Santa, D.; Mannucci, T.; Busoni, G.; Citi, S. Sublumbar grass awns in two cats: Ultrasonographic features and ultrasound-guided retrieval. J. Feline Med. Surg. Open Rep. 2019, 5, 1–5. [Google Scholar] [CrossRef]
- Culp, W.T.N.; Aronson, L.R. Splenic foreign body in a cat. J. Feline Med. Surg. 2008, 10, 380–383. [Google Scholar] [CrossRef] [PubMed]
- Citi, S.; Mannucci, T.; Pedala, F.; Vannozzi, I.; Vignoli, M. Acute pancreatitis associated with peritoneal migration of grass awn in two dogs. Acta Vet. Brno. 2017, 67, 587–592. [Google Scholar] [CrossRef]
- Brioschi, V.; Rousset, N.; Ladlow, J.F. Imaging diagnosis-extrahepatic biliary tract obstruction secondary to a biliary foreign body in a cat. Vet. Radiol. Ultrasound 2014, 55, 628–631. [Google Scholar] [CrossRef]
- Tovar, M.C.; Huguet, E.; Gomezi, M.A. Orbital cellulitis and intraocular abscess caused by migrating grass in a cat. Vet. Ophthalmol. 2005, 8, 353–356. [Google Scholar] [CrossRef]
- Welihozkiy, A.; Pirie, C.G.; Pizzirani, S. Scleral and suprachoroidal foreign body in a dog—A case report. Vet. Ophthalmol. 2011, 14, 345–351. [Google Scholar] [CrossRef]
- Pope, E.R.; Champagne, E.S.; Fox, D. Intraosseous approach to the nasolacrimal duct for removal of a foreign body in a dog. J. Am. Vet. Med. Assoc. 2001, 218, 541–542. [Google Scholar] [CrossRef] [PubMed]
- Marchegiani, A.; Fruganti, A.; Cerquetella, M.; Cassarani, M.P.; Laus, F.; Spaterna, A. Penetrating palpebral grass awn in a dog: Unusual case of a penetrating grass awn in an eyelid. J. Ultrasound 2017, 20, 81–84. [Google Scholar] [CrossRef] [PubMed]
- Hoyt, L.; Greenberg, M.; MacPhail, C.; Eichelberger, B.; Marolf, A.; Kraft, S. Imaging diagnosis—Magnetic resonance imaging of an organizing abscess secondary to a retrobulbar grass awn. Vet. Radiol. Ultrasound 2009, 50, 646–648. [Google Scholar] [CrossRef]
- Lavaud, A.; Lautenschläger, I.E.; Voelter, K.; Ivan, D.; Dennler, M.; Pot, S.A. The localization of a conjunctivoscleral foreign body via high-resolution microscopy coil magnetic resonance imaging in a dog. Vet. Ophthalmol. 2019, 22, 703–709. [Google Scholar] [CrossRef]
- Collard, C.; Garnier, P.; Gory, G.; Cabon, Q. Migrating grass awn within the intraconal part of the retrobulbar space in a dog. J. Small Anim. Pract. 2021, 62, 1122–1126. [Google Scholar] [CrossRef]
- Wait, C.; Meekins, J.M.; Tucker-Mohl, K.; Biller, D. Use of ultrasonography to identify a periocular plant foreign body in a dog. Vet. Rec. Case Rep. 2018, 6, e000683. [Google Scholar] [CrossRef]
- Barsotti, G.; Mannucci, T.; Citi, S. Ultrasonography-guided removal of plant-based foreign bodies from the lacrimal sac in four dogs. BMC Vet. Res. 2019, 15, 76. [Google Scholar] [CrossRef] [PubMed]
- Agut, A.; Carrillo, J.D.; Anson, A.; Belda, E.; Soler, M. Imaging diagnosis-urethrovaginal fistula caused by a migrating grass awn in the vagina. Vet. Radiol. Ultrasound 2016, 57, E30–E33. [Google Scholar] [CrossRef]
- Cherbinsky, O.; Westropp, J.; Tinga, S.; Jones, B.; Pollard, R. Ultrasonographic features of grass awns in the urinary bladder. Vet. Radiol. Ultrasound 2010, 51, 462–465. [Google Scholar] [CrossRef]
- Lomax, K.G. Mean seeds, migrating plant awns embedded in a miniature poodle’s bladder wall. Open Vet. J. 2021, 11, 418–421. [Google Scholar] [CrossRef] [PubMed]
- Bergamini, I.; Linta, N.; Gaspardo, A.; Cunto, M.; Peli, A.; Zambelli, D.; Pietra, M. Penile Foreign Bodies in Dogs: A Retrospective Study. Acta Vet. 2019, 69, 450–460. [Google Scholar] [CrossRef]
- Del Signore, F.; Terragni, R.; Carloni, A.; Stehlik, L.; Proks, P.; Cavallo, L.; Febo, E.; Luciani, A.; Crisi, P.E.; Vignoli, M. An uncommon localisation of a vegetal foreign body in a dog: A case report. Vet. Med. 2017, 62, 579–582. [Google Scholar] [CrossRef]
- Marchesi, M.C.; Moretti, G.; Angeli, G.; Birettoni, F.; Porciello, F.; Bufalari, A.; Caivano, D. Prostatic localization of a migrating grass awn foreign body in a dog. Vet. Sci. 2020, 7, 192. [Google Scholar] [CrossRef]
- Fabbi, M.; Manfredi, S.; Di Ianni, F.; Bresciani, C.; Cantoni, A.M.; Gnudi, G.; Bigliardi, E. A vaginal fornix foreign body in a bitch: A case report. Vet. Med. 2014, 59, 457–460. [Google Scholar] [CrossRef]
- Gatel, L.; Gory, G.; De Pauw, B.; Rault, D.N. Diagnosis and ultrasound-guided retrieval of a vaginal foreign body in a dog and a cat. Vlaams Diergeneeskd. Tijdschr. 2014, 83, 55–59. [Google Scholar] [CrossRef]
- Della Santa, D.; Rossi, F.; Carlucci, F.; Vignoli, M.; Kircher, P. Ultrasound-guided retrieval of plant awns. Vet. Radiol. Ultrasound 2008, 49, 484–486. [Google Scholar] [CrossRef] [PubMed]
- Fauchon, E.; Lassaigne, C.; Ragetly, G.; Gomes, E. Ultrasound-guided removal of vegetal foreign bodies in the lower extremities of dogs: A retrospective study of 19 cases. Vlaams Diergeneeskd. Tijdschr. 2017, 86, 285–290. [Google Scholar] [CrossRef]
- Manfredi, S.; Covi, G.; Bonazzi, M.; Gnudi, G.; Fumeo, M.; Miduri, F.; Daga, E.; Volta, A. Ultrasound-guided removal of soft tissue foreign bodies in companion animals: A case series. Vet. Med. 2020, 65, 49–55. [Google Scholar] [CrossRef]
- Keane, S.; Cassel, N.; Berke, K. An unusual presentation of a migrating grass awn in a dog and a review of the imaging modalities used to diagnose and determine the extent of disease. Vet. Rec. Case Rep. 2021, 9, e76. [Google Scholar] [CrossRef]
- Baudin Tréhiou, C.; Gibert, S.; Sériot, P.; Dunié-Mérigot, A.; Blond, L. CT is helpful for the detection and presurgical planning of lung perforation in dogs with spontaneous pneumothorax induced by grass awn migration: 22 cases. Vet. Radiol. Ultrasound 2020, 61, 157–166. [Google Scholar] [CrossRef]






Disclaimer/Publisher’s Note: The statements, opinions and data contained in all publications are solely those of the individual author(s) and contributor(s) and not of MDPI and/or the editor(s). MDPI and/or the editor(s) disclaim responsibility for any injury to people or property resulting from any ideas, methods, instructions or products referred to in the content. |
© 2023 by the authors. Licensee MDPI, Basel, Switzerland. This article is an open access article distributed under the terms and conditions of the Creative Commons Attribution (CC BY) license (https://creativecommons.org/licenses/by/4.0/).
Share and Cite
Caivano, D.; Corda, F.; Corda, A.; Moretti, G.; Bufalari, A. Application of Ultrasound in Detecting and Removing Migrating Grass Awns in Dogs and Cats: A Systematic Review. Animals 2023, 13, 2071. https://doi.org/10.3390/ani13132071
Caivano D, Corda F, Corda A, Moretti G, Bufalari A. Application of Ultrasound in Detecting and Removing Migrating Grass Awns in Dogs and Cats: A Systematic Review. Animals. 2023; 13(13):2071. https://doi.org/10.3390/ani13132071
Chicago/Turabian StyleCaivano, Domenico, Francesca Corda, Andrea Corda, Giulia Moretti, and Antonello Bufalari. 2023. "Application of Ultrasound in Detecting and Removing Migrating Grass Awns in Dogs and Cats: A Systematic Review" Animals 13, no. 13: 2071. https://doi.org/10.3390/ani13132071
APA StyleCaivano, D., Corda, F., Corda, A., Moretti, G., & Bufalari, A. (2023). Application of Ultrasound in Detecting and Removing Migrating Grass Awns in Dogs and Cats: A Systematic Review. Animals, 13(13), 2071. https://doi.org/10.3390/ani13132071

