Antimicrobial Resistance and Transconjugants Characteristics of sul3 Positive Escherichia coli Isolated from Animals in Nanning, Guangxi Province
Abstract
Simple Summary
Abstract
1. Introduction
2. Methods
2.1. Sample Collection and Processing
2.2. Isolation and Identification of sul3 Positive E. coli
2.3. MLST Typing Detection
2.4. Antibiotic Sensitivity Experiment
2.5. Resistant Genes Detection
2.6. Conjugative Experiment
2.7. Growth Curve
2.8. In Vitro Competitive Test
2.9. Plasmid Stability
2.10. Statistical Analysis
3. Results
3.1. Isolates and MLST
3.2. Antibiotic Resistance and Resistance Gene
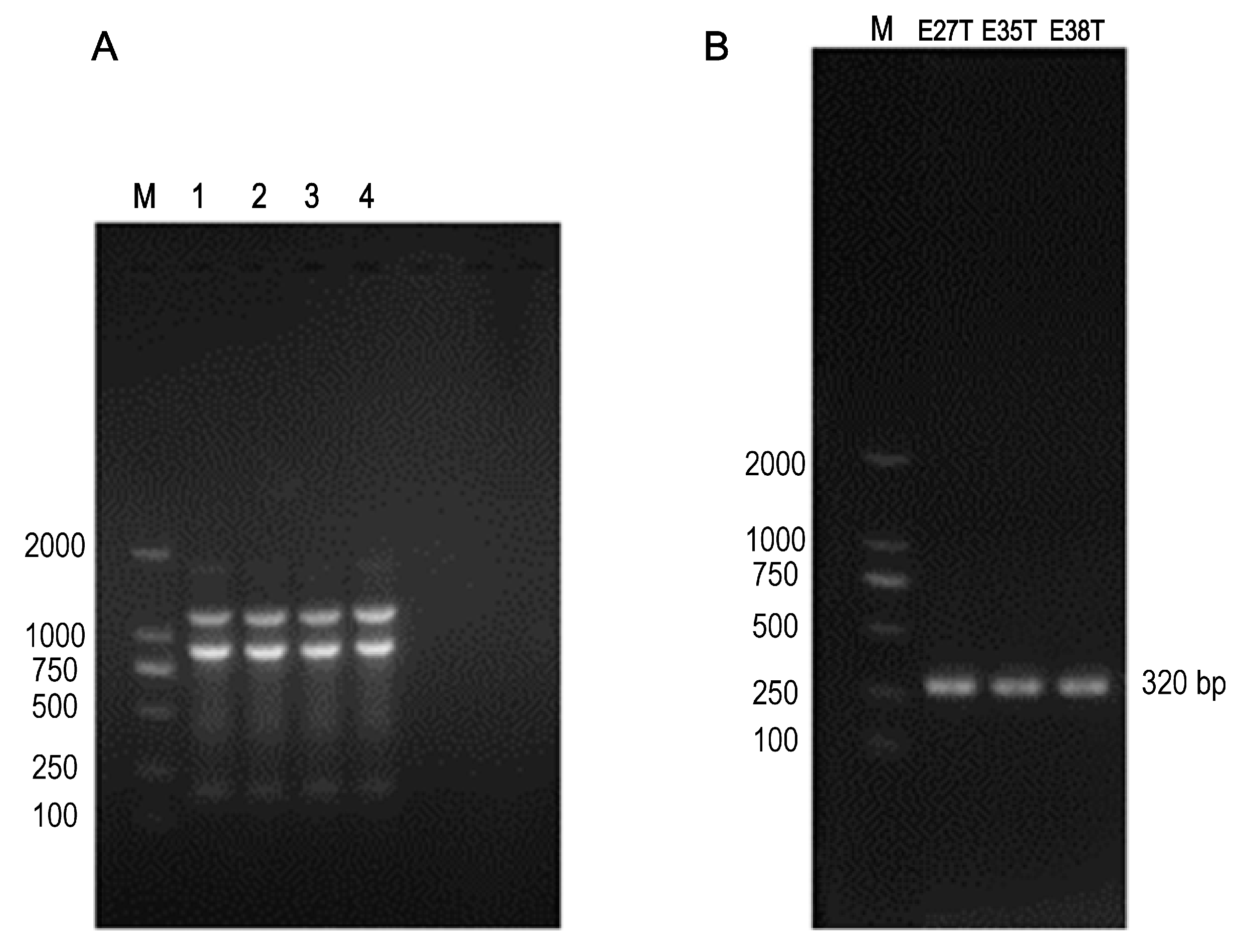
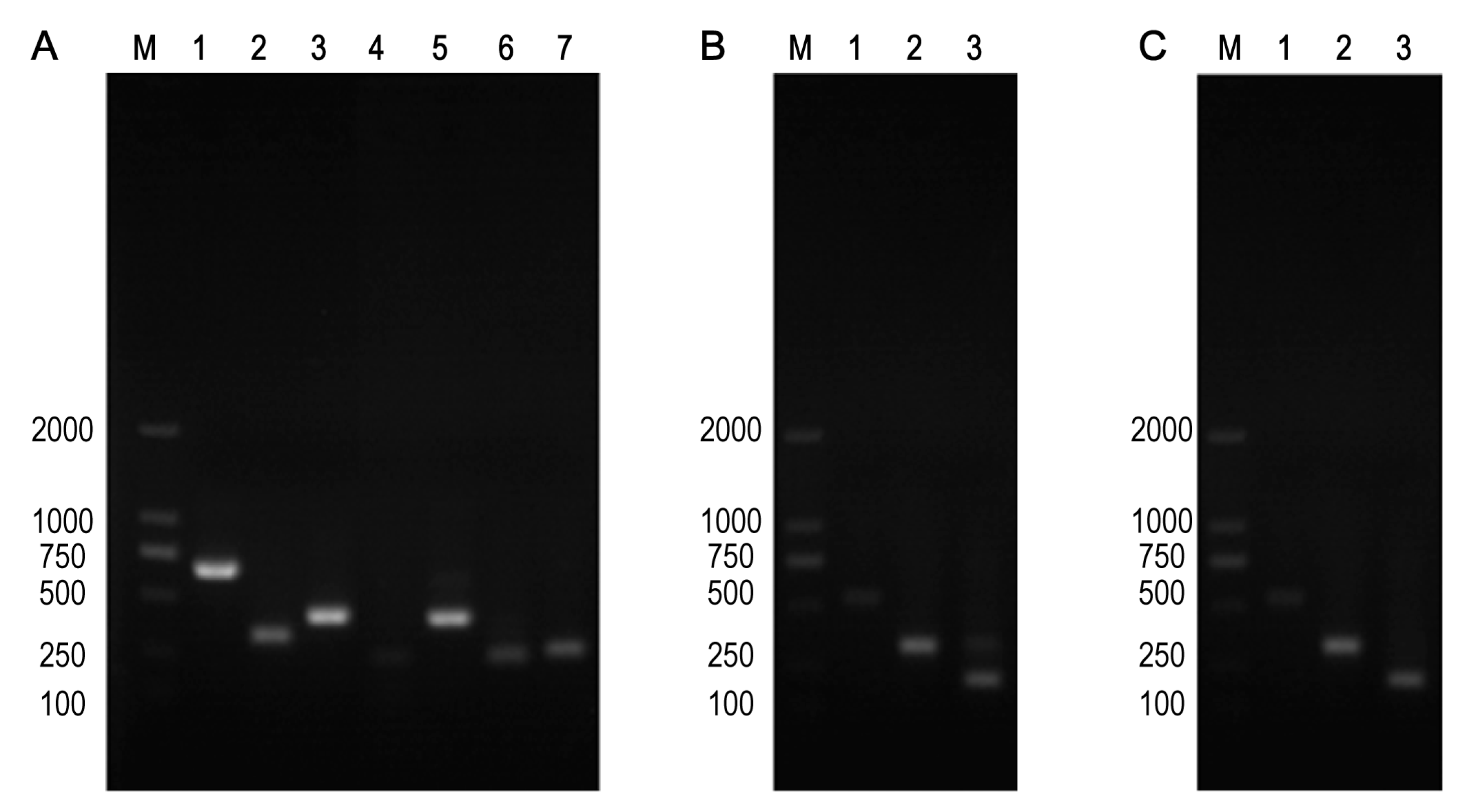
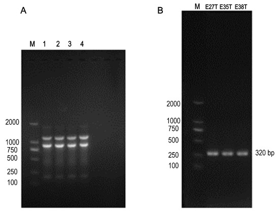
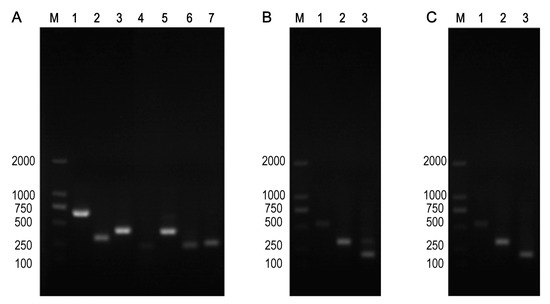
3.3. Transconjugants and Related Experiments
3.4. The Adaptive Cost of Plasmid C600
4. Discussion
5. Conclusions
Supplementary Materials
Author Contributions
Funding
Institutional Review Board Statement
Informed Consent Statement
Data Availability Statement
Acknowledgments
Conflicts of Interest
Abbreviations
References
- Tao, R.; Ying, G.; Su, H.; Zhou, H.; Sidhu, J.P.S. Detection of antibiotic resistance and tetracycline resistance genes in Enterobacteriaceae isolated from the Pearl rivers in South China. Environ. Pollut. 2010, 158, 2101–2109. [Google Scholar] [CrossRef] [PubMed]
- Kabir, S.M.L. Avian colibacillosis and salmonellosis: A closer look at epidemiology, pathogenesis, diagnosis, control and public health concerns. Int. J. Environ. Res. Public Health 2010, 7, 89–114. [Google Scholar] [CrossRef] [PubMed]
- De Lorenzo, C.; de Andrade, C.P.; Machado, V.S.L.; Bianchi, M.V.; Rolim, V.M.; Cruz, R.A.S.; Driemeier, D. Piglet colibacillosis diagnosis based on multiplex polymerase chain reaction and immunohistochemistry of paraffin-embedded tissues. J. Vet. Sci. 2018, 19, 27. [Google Scholar] [CrossRef]
- Franklin, A.M.; Aga, D.S.; Cytryn, E.; Durso, L.M.; McLain, J.E.; Pruden, A.; Roberts, M.C.; Rothrock, M.J.; Snow, D.D.; Watson, J.E.; et al. Antibiotics in agroecosystems: Introduction to the special section. J. Environ. Qual. 2016, 45, 377–393. [Google Scholar] [CrossRef] [PubMed]
- Du, J.; Zhao, H.; Liu, S.; Xie, H.; Wang, Y.; Chen, J. Antibiotics in the coastal water of the South Yellow Sea in China: Occurrence, distribution and ecological risks. Sci. Total Environ. 2017, 595, 521–527. [Google Scholar] [CrossRef] [PubMed]
- Nnadozie, C.F.; Odume, O.N. Freshwater environments as reservoirs of antibiotic resistant bacteria and their role in the dissemination of antibiotic resistance genes. Environ. Pollut. 2019, 254, 113067. [Google Scholar] [CrossRef]
- Bílková, Z.; Malá, J.; Hrich, K. Fate and behaviour of veterinary sulphonamides under denitrifying conditions. Sci. Total Environ. 2019, 695, 133824. [Google Scholar] [CrossRef]
- Chen, J.; Xie, S. Overview of sulfonamide biodegradation and the relevant pathways and microorganisms. Sci. Total Environ. 2018, 640–641, 1465–1477. [Google Scholar]
- Sánchez-Osuna, M.; Cortés, P.; Barbé, J.; Erill, I. Origin of the mobile di-hydro-pteroate synthase gene determining sulfonamide resistance in clinical isolates. Front. Microbiol. 2019, 9, 3332. [Google Scholar] [CrossRef]
- Lye, Y.L.; Bong, C.W.; Lee, C.W.; Zhang, R.J.; Zhang, G.; Suzuki, S.; Chai, L.C. Anthropogenic impacts on sulfonamide residues and sulfonamide resistant bacteria and genes in Larut and Sangga Besar River, Perak. Sci. Total Environ. 2019, 688, 1335–1347. [Google Scholar] [CrossRef]
- Liao, X.; Li, B.; Zou, R.; Xie, S.; Yuan, B. Antibiotic sulfanilamide biodegradation by acclimated microbial populations. Appl. Microbiol. Biotechnol. 2016, 100, 2439–2447. [Google Scholar] [CrossRef] [PubMed]
- Sköld, O. Resistance to trimethoprim and sulfonamides. Vet. Res. 2001, 32, 261–273. [Google Scholar] [CrossRef] [PubMed]
- Hoa, P.T.P.; Nonaka, L.; Viet, P.H.; Suzuki, S. Detection of the sul1, sul2, and sul3 genes in sulfonamide-resistant bacteria from wastewater and shrimp ponds of north Vietnam. Sci. Total Environ. 2008, 405, 377–384. [Google Scholar]
- Swedberg, G.; Castensson, S.; Sköld, O. Characterization of mutationally altered dihydropteroate synthase and its ability to form a sulfonamide-containing dihydrofolate analog. J. Bacteriol. 1979, 137, 129–136. [Google Scholar] [PubMed]
- Sundström, L.; Rådström, P.; Swedberg, G.; Sköld, O. Site-specific recombination promotes linkage between trimethoprim- and sulfonamide resistance genes. Sequence characterization of dhfrV and sulI and a recombination active locus of Tn21. Mol. Gen. Genet. MGG 1988, 213, 191–201. [Google Scholar] [CrossRef] [PubMed]
- Razavi, M.; Marathe, N.P.; Gillings, M.R.; Flach, C.F.; Kristiansson, E.; Joakim Larsson, D.G. Discovery of the fourth mobile sulfonamide resistance gene. Microbiome 2017, 5, 160. [Google Scholar] [CrossRef]
- Martin, C.; Timm, J.; Rauzier, J.; Gomez-Lus, R.; Davies, J.; Gicquel, B. Transposition of an antibiotic resistance element in mycobacteria. Nature 1990, 345, 739–743. [Google Scholar]
- Tian, X.Y.; Zheng, N.; Han, R.W.; Ho, H.; Wang, J.; Wang, Y.T.; Wang, S.Q.; Li, H.G.; Liu, H.W.; Yu, Z.N. Antimicrobial resistance and virulence genes of Streptococcus isolated from dairy cows with mastitis in China. Microb. Pathog. 2019, 131, 33–39. [Google Scholar] [CrossRef]
- Hammerum, A.M.; Sandvang, D.; Andersen, S.R.; Seyfarth, A.M.; Porsbo, L.J.; Frimodt-Møller, N.; Heuer, O.E. Detection of sul1, sul2 and sul3 in sulphonamide resistant Escherichia coli isolates obtained from healthy humans, pork and pigs in Denmark. Int. J. Food Microbiol. 2006, 106, 235–237. [Google Scholar] [CrossRef]
- Jiang, H.; Cheng, H.; Liang, Y.; Yu, S.; Yu, T.; Fang, J.; Zhu, C. Diverse mobile genetic elements and conjugal transferability of sulfonamide resistance genes (sul1, sul2, and sul3) in Escherichia coli isolates from Penaeus vannamei and pork from large markets in Zhejiang, China. Front. Microbiol. 2019, 10, 1787. [Google Scholar] [CrossRef]
- Guerra, B.; Junker, E.; Helmuth, R. Incidence of the recently described sulfonamide resistance gene sul3 among German Salmonella enterica strains isolated from livestock and food. Antimicrob. Agents Chemother. 2004, 48, 2712–2715. [Google Scholar] [CrossRef] [PubMed][Green Version]
- Grape, M. Sulphonamide resistance gene sul3 found in Escherichia coli isolates from human sources. J. Antimicrob. Chemother. 2003, 52, 1022–1024. [Google Scholar] [CrossRef] [PubMed]
- Wu, Y. Study on the Inhibitory Effect of Total Flavonoids from Ilex rotunda Thunb on Multi-Drug Resistant Bacteria. Ph.D. Thesis, Guangxi University, Nanning, China, October 2017. [Google Scholar]
- Wang, Y. Drug Resistance and Resistance Transmission Mechanism of Escherichia coli in Central and South China. Ph.D. Thesis, Henan Agricultural University, Zhengzhou, China, December 2018. [Google Scholar]
- Eckert, C.; Gautier, V.; Arlet, G. DNA sequence analysis of the genetic environment of various blaCTX-M genes. J. Antimicrob. Chemother. 2006, 57, 14–23. [Google Scholar] [CrossRef] [PubMed]
- Du, J.; Li, P.; Liu, H.; Lu, D.; Liang, H.; Dou, Y. Phenotypic and molecular characterization of multidrug resistant Klebsiella pneumoniae isolated from a university teaching hospital, China. PLoS ONE 2014, 9, e95181. [Google Scholar] [CrossRef]
- Pan, Y. Molecular Characteristics of Multiple Drug Resistance of Avian Escherichia coli and Proteus Singular and Mechanism of Transmission and Diffusion of CTX-M Gene. Ph.D. Thesis, Henan Agricultural University, Zhengzhou, China, June 2012. [Google Scholar]
- Chen, Y.; Pei, Y.; Wu, H.; Pan, Y.; Liu, J.; Yuan, L.; Du, X.; Meng, C.; Hu, G. Detection of aminoglycoside resistance gene in Escherichia coli isolates from ducks and its dissemination mechanism. Chin. J. Zoonoses 2013, 29, 138–141. [Google Scholar]
- Yamane, K.; Doi, Y.; Yokoyama, K.; Yagi, T.; Kurokawa, H.; Shibata, N.; Shibayama, K.; Kato, H.; Arakawa, Y. Genetic environments of the rmtA gene in Pseudomonas aeruginosa clinical isolates. Antimicrob. Agents Chemother. 2004, 48, 2069–2074. [Google Scholar] [CrossRef][Green Version]
- Liu, Z. Study on the Mechanism of High-Level Resistance to Aminoglycosides in Acinetobacter baumannii Isolates. Ph.D. Thesis, North Sichuan Medical College, Nanchong, China, May 2012. [Google Scholar]
- Wang, W.; He, S.; Gao, J. Analysis of the drug resistance of Escherichaia coil infecting pediatric patients of its drug resistance genes and mobile genetic elements. J. Pathog. Biol. 2015, 10, 1131–1135. [Google Scholar]
- Ng, L.K.; Martin, I.; Alfa, M.; Mulvey, M. Multiplex PCR for the detection of tetracycline resistant genes. Mol. Cell. Probes 2001, 15, 209–215. [Google Scholar] [CrossRef]
- Ye, H.; Li, Y.; Li, Z.; Gao, R.; Zhang, H.; Wen, R.; Gao, G.F.; Hu, Q.; Feng, Y. Diversified mcr-1-harbouring plasmid reservoirs confer resistance to colistin in human gut microbiota. MBio 2016, 7, e00177-16. [Google Scholar] [CrossRef]
- Wei, Q.; Zhang, J.; Tan, L.; Ren, T.; Chen, J. Drug resistance and sulfonamides resistance gene detection of Escherichia coli from waterfowl in Guangdong. China Poult. 2015, 37, 54–56. [Google Scholar]
- Messai, Y.; Iabadene, H.; Benhassine, T.; Alouache, S.; Tazir, M.; Gautier, V.; Arlet, G.; Bakour, R. Prevalence and characterization of extended-spectrum β-lactamases in Klebsiella pneumoniae in Algiers hospitals (Algeria). Pathol. Biol. 2008, 56, 319–325. [Google Scholar] [CrossRef] [PubMed]
- Ibrahim, Y.K.; Adedare, T.A.; Ehinmidu, J.O. Antibiotic sensitivity profiles of salmonella organisms isolated from presumptive typhoid patients in Zaria, northern Nigeria. Afr. J. Med. Med. Sci. 2005, 34, 109–114. [Google Scholar] [PubMed]
- Wang, C.; Fang, R.; Zhou, B.; Tian, X.; Zhang, X.; Zheng, X.; Zhang, S.; Dong, G.; Cao, J.; Zhou, T. Evolution of resistance mechanisms and biological characteristics of rifampicin-resistant Staphylococcus aureus strains selected in vitro. BMC Microbiol. 2019, 19, 220. [Google Scholar] [CrossRef] [PubMed]
- Li, X.; Mu, X.; Zhang, P.; Zhao, D.; Ji, J.; Quan, J.; Zhu, Y.; Yu, Y. Detection and characterization of a clinical Escherichia coli ST3204 strain coproducing NDM-16 and MCR-1. Infect. Drug Resist. 2018, 11, 1189–1195. [Google Scholar] [CrossRef] [PubMed]
- Yahiaoui, M.; Robin, F.; Bakour, R.; Hamidi, M.; Bonnet, R.; Messai, Y. Antibiotic resistance, virulence, and genetic background of community-acquired uropathogenic Escherichia coli from Algeria. Microb. Drug Resist. 2015, 21, 516–526. [Google Scholar] [CrossRef] [PubMed]
- Fazel, F.; Jamshidi, A.; Khoramian, B. Phenotypic and genotypic study on antimicrobial resistance patterns of E. coli isolates from bovine mastitis. Microb. Pathog. 2019, 132, 355–361. [Google Scholar] [CrossRef] [PubMed]
- Ombarak, R.A.; Hinenoya, A.; Elbagory, A.M.; Yamasaki, S. Prevalence and molecular characterization of antimicrobial resistance in Escherichia coli isolated from raw milk and raw milk cheese in Egypt. J. Food Protect. 2018, 81, 226–232. [Google Scholar] [CrossRef]
- Messaili, C.; Messai, Y.; Bakour, R. Virulence gene profiles, antimicrobial resistance and phylogenetic groups of fecal Escherichia coli strains isolated from broiler chickens in Algeria. Vet. Ital. 2019, 55, 35. [Google Scholar]
- Yamaji, R.; Friedman, C.R.; Rubin, J.; Suh, J.; Thys, E.; McDermott, P.; Hung-Fan, M.; Riley, L.W. A population-based surveillance study of shared genotypes of Escherichia coli isolates from retail meat and suspected cases of urinary tract infections. Msphere 2018, 3, e00179-18. [Google Scholar] [CrossRef]
- Guillouzouic, A.; Caroff, N.; Dauvergne, S.; Lepelletier, D.; Perrin, G.A.; Kempf, I.; Reynaud, A.; Corvec, S. MLST typing of Escherichia coli isolates overproducing AmpC {beta}-lactamase. J. Antimicrob. Chemother. 2009, 63, 1290–1292. [Google Scholar] [CrossRef]
- Corvec, S.; Crémet, L.; Leprince, C.; Dauvergne, S.; Reynaud, A.; Lepelletier, D.; Caroff, N. Epidemiology of Escherichia coli clinical isolates producing AmpC plasmidic β-lactamase during a 5-year period in a French teaching Hospital. Diagn. Microbiol. Infect. Dis. 2010, 67, 277–281. [Google Scholar] [CrossRef] [PubMed]
- Cheng, P.; Li, F.; Liu, R.; Yang, Y.; Xiao, T.; Ishfaq, M.; Xu, G.; Zhang, X. Prevalence and molecular epidemiology characteristics of carbapenem-resistant Escherichia coli in Heilongjiang Province, China. Infect. Drug Resist. 2019, 12, 2505–2518. [Google Scholar] [CrossRef] [PubMed]
- Hsu, J.T.; Chen, C.Y.; Young, C.W.; Chao, W.L.; Li, M.H.; Liu, Y.H.; Lin, C.M.; Ying, C. Prevalence of sulfonamide-resistant bacteria, resistance genes and integron-associated horizontal gene transfer in natural water bodies and soils adjacent to a swine feedlot in northern Taiwan. J. Hazard. Mater 2014, 277, 34–43. [Google Scholar] [CrossRef] [PubMed]
- Enne, V.I.; Bennett, P.M.; Livermore, D.M.; Hall, L.M. Enhancement of host fitness by the sul2-coding plasmid p9123 in the absence of selective pressure. J. Antimicrob. Chemother. 2004, 53, 958–963. [Google Scholar] [CrossRef] [PubMed]
- Ma, Q.; Zhu, C.; Yao, M.; Yuan, G.; Sun, Y. Correlation between the sulfamethoxazole-trimethoprim resistance of Shigella flexneri and the sul genes. Medicine 2021, 100, e24970. [Google Scholar] [CrossRef] [PubMed]
- Khan, S.A.; Sung, K.; Nawaz, M.S. Detection of aacA-aphD, qacEδ1, marA, floR, and tetA genes from multidrug-resistant bacteria: Comparative analysis of real-time multiplex PCR assays using EvaGreen® and SYBR® Green I dyes. Mol. Cell. Probes 2011, 25, 78–86. [Google Scholar] [CrossRef] [PubMed]
- Ohore, O.E.; Addo, F.G.; Zhang, S.; Han, N.; Anim-Larbi, K. Distribution and relationship between antimicrobial resistance genes and heavy metals in surface sediments of Taihu Lake, China. J. Environ. Sci. 2019, 77, 323–335. [Google Scholar] [CrossRef]
- He, X.; Xu, Y.; Chen, J.; Ling, J.; Li, Y.; Huang, L.; Zhou, X.; Zheng, L.; Xie, G. Evolution of corresponding resistance genes in the water of fish tanks with multiple stresses of antibiotics and heavy metals. Water Res. 2017, 124, 39–48. [Google Scholar] [CrossRef]
- Sun, J.; Chen, C.; Cui, C.; Zhang, Y.; Liu, X.; Cui, Z.; Ma, X.; Feng, Y.; Fang, L.; Lian, X.; et al. Plasmid-encoded tet(X) genes that confer high-level tigecycline resistance in Escherichia coli. Nat. Microbiol. 2019, 4, 1457–1464. [Google Scholar] [CrossRef]





| Gene | Primer Sequence (5′→3′) | Product Size (bp) | Annealing Temp (°C) | References |
|---|---|---|---|---|
| 16Sr RNA | Fw: AGAGTTTGATCCTGGCTCAG | 1466 | 55 | [23] |
| Rev: ACGGCTACCTTGTTACGACTT | ||||
| blaTEM | Fw: AGGAAGAGTATGATTCAACA | 511 | 52.5 | [23] |
| Rev: CTCGTCGTTTGGTATGGC | ||||
| blaSHV | Fw: GGTTATGCGTTATATTCGCCTGTG | 1031 | 56.5 | [23] |
| Rev: TTAGCGTTGCCAGTGCTCGATCA | ||||
| blaCTX-M1 | Fw: GGTTAAAAAATCACTGCGTC | 864 | 56 | [25] |
| Rev: TTGGTGACGATTTTAGCCGC | ||||
| blaCTX-M9 | Fw: ATGGTGACAAAGAGAGTGCA | 870 | 50 | [26] |
| Rev: CCCTTCGGCGATGATTCTC | ||||
| blaCTX-MU | Fw: ATGTGCAGTACCAGTAAAGT | 593 | 56 | [24] |
| Rev: TGGGTRAAGTARGTCACCAGAA | ||||
| blaOXA-1 | Fw: TTGAAGGAACTGAAGGTTGT | 651 | 54 | [27] |
| Rev: CCAAGTTTCCTGTAAGTGCG | ||||
| armA | Fw: AGGTTGTTTCCATTTCTGAG | 591 | 55 | [28] |
| Rev: TCTCTTCCATTCCCTTCTCC | ||||
| rmtA | Fw: CTAGCGTCCATCCTTTCCTC | 635 | 60 | [29] |
| Rev: TTTGCTTCCATGCCCTTGCC | ||||
| rmtB | Fw: ATCAACGATGCCCTCACCTCC | 631 | 61 | [28] |
| Rev: TTCCACGCCCGCCTAAACT | ||||
| aac(6′)-Ib | Fw: CAAGAGTCCGTCACTCCATACA | 396 | 61 | [30] |
| Rev: ATGGAAGGGTTAGGCATCACT | ||||
| aac(3′)-II | Fw: ACTGTGATGGGATACGCGTC | 237 | 60 | [31] |
| Rev: CTCCGTCAGCGTTTCAGCTA | ||||
| tetA | Fw: GCTACATCCTGCTTGCCTTC | 210 | 60 | [32] |
| Rev: CATAGATCGCCGTGAAGAGG | ||||
| tetB | Fw: TTGGTTAGGGGCAAGTTTTG | 659 | 65 | [32] |
| Rev: GTAATGGGCCAATAACACCG | ||||
| tetM | Fw: GTGGACAAAGGTACAACGAG | 406 | 55 | [32] |
| Rev: CGGTAAAGTTCGTCACACAC | ||||
| qnrA | Fw: CAAGAGGATTTCTCACGCCAG | 628 | 67 | [27] |
| Rev: AATCCGGCAGCACTATTACTCC | ||||
| qnrB | Fw: ATGACGCCATTACTGTATAA | 562 | 57 | [27] |
| Rev: GATCGCAATGTGTGAAGTTT | ||||
| floR | Fw: GTCATTCCTCACCTTCATCCTAC | 243 | 60 | [31] |
| Rev: GACACCAGCACTGCCATTG | ||||
| mcr-1 | Fw: ATGATGCAGCATACTTCTGTG | 1626 | 65 | [33] |
| Rev: TCAGCGGATGAATGCGGTG | ||||
| oqxA | Fw: GATCAGTCAGTGGGATAGTTT | 670 | 56 | [24] |
| Rev: TACTCGGCGTTAACTGATTA | ||||
| oqxB | Fw: TTCTCCCCCGGCGGGAAGTAC | 512 | 68 | [24] |
| Rev: CTCGGCCATTTTGGCGCGTA | ||||
| sul1 | Fw: GGCTGGTGGTTATGCACTCA | 263 | 64 | [34] |
| Rev: CGAGACCAATAGCGGAAGC | ||||
| sul2 | Fw: ACGCAAGCCTATGCCTTGTCG | 234 | 62 | [34] |
| Rev: TTGCGTTTGATACCGGCACCC | ||||
| sul3 | Fw: CGTAAATATAACCACCGAT | 326 | 55 | [34] |
| Rev: CCAAGCCTGAATAAATCTCA | ||||
| fosA3 | Fw: GCGTCAAGCCTGGCATTTT | 258 | 55 | [23] |
| Rev: GCCGTCAGGGTCGAGAAA | ||||
| ERIC-2 | AAGTAAGTGACTGGGGTGACGC | Variable | 50 | [35] |
| adk | Fw: CTCGCCATTAACCGTTTCAG | 739 | 55 | [24] |
| Rev: CCAGATCAGCGCGAACTTCA | ||||
| fumC | Fw: TCACAGGTCGCCAGCGCTTC | 769 | 64 | [24] |
| Rev: TCCCGGCAGATAAGCTGTGG | ||||
| gyrB | Fw: ATCGGCGACACGGATGAC | 816 | 66 | [24] |
| Rev: GTCCATGTAGGCGTTCAGG | ||||
| lcd | Fw: CCGGCACAAGGCAAGAAGATC | 857 | 59.5 | [24] |
| Rev: GGACGCAGCAGGATCTGTT | ||||
| mdh | Fw:GCCTTCAGGTTCAGAACTCTCTCT | 798 | 55 | [24] |
| Rev: TTCTGTTCAAATGCGCTCAGG | ||||
| purA | Fw: CGCGCTGATGAAAGAGATGA | 817 | 66 | [24] |
| Rev: CATACGGTAAGCCACGCAGA | ||||
| recA | Fw: CGCATTCGCTTTACCCTGACC | 731 | 55 | [24] |
| Rev:GTCGAAATCTACGGACCGAAT |
| Antibiotic Type | Antibiotic Name | Concentration (μg/mL) | CLSI (μg/mL) | ||
|---|---|---|---|---|---|
| S | I | R | |||
| Beta-lactams | penicillin | 5120 | ≤8 | 16 | ≥32 |
| ceftazidime | 6400 | ≤4 | 8 | ≥16 | |
| ceftriaxone | 6400 | ≤1 | 2 | ≥4 | |
| meropenem | 5120 | ≤1 | 2 | ≥4 | |
| Aminoglycosides | streptomycin | 6400 | ≤16 | 32 | ≥64 |
| amikacin | 5120 | ≤16 | 32 | ≥64 | |
| Tetracyclines | tetracycline | 5120 | ≤4 | 8 | ≥16 |
| Quinolones | ciprofloxacin | 5120 | ≤1 | 2 | ≥4 |
| gatifloxacin | 6400 | ≤2 | 4 | ≥8 | |
| Phenicols | chloramphenicol | 5120 | ≤8 | 16 | ≥32 |
| Fosfomycin | fosfomycin | 5120 | ≤64 | 128 | ≥256 |
| Polypeptides | colistin | 1280 | ≤2 | — | ≥4 |
| Isolates | Year | Source | ST Type | Antibiotic Resistance Genes (Except for sul3) |
|---|---|---|---|---|
| EC001 | 2017 | pig | 641 | tetA-tetM-blaTEM-floR-oqxA |
| EC004 | 2178 | tetA-blaCTX-MU-blaCTX-M9-floR-mcr-1-sul2-fosA3-oqxA | ||
| EC006 | unknown | aac(3)-II-tetA-sul2 | ||
| EC009 | 222 | tetA-blaCTX-MU-blaCTX-M9-mcr-1-sul2-fosA3 | ||
| EC012 | 2178 | aac(3)-II-tetA-tetM-blaTEM-mcr-1-oqxA-oqxB-sul1-sul2 | ||
| EC025 | 746 | tetA-blaTEM-floR-oqxA-sul1-sul2-mcr-1 | ||
| EC026 | 10 | aac(6’)-Ib-tetA-floR-mcr-1-oqxA-sul1-sul2 | ||
| EC029 | 641 | rmtA-tetA-tetM-blaTEM-floR-oqxA | ||
| EC038 | 746 | tetA-blaTEM-floR-oqxA-sul1-sul2 | ||
| EC041 | 10 | aac(6’)-Ib-tetA-blaCTX-MU-floR-oqxA-oqxB-sul2 | ||
| EC022 | chicken | 350 | tetA-tetM-blaTEM-blaCTX-MU-blaCTX-M9-qnrB-floR-oqxA-sul2 | |
| EC027 | 156 | aac(6’)-Ib-aac(3)-II-tetA-tetM-blaTEM-blaCTX-MU-blaOXA-1-floR-oqxA-sul1-sul2 | ||
| EC028 | 10 | rmtA-aac(6’)-Ib-tetA-floR-mcr-1-oqxA-sul2 | ||
| EC044 | 457 | aac(3)-II-tetA-tetM-floR | ||
| EC042 | dog | 2178 | tetA-blaCTX-MU-blaCTX-M9-floR-oqxA-sul2-fosA3 | |
| EC043 | 2178 | tetA-blaCTX-MU-blaCTX-M9-mcr-1-sul2-fosA3 | ||
| EC014 | 2016 | pig | 101 | tetA-blaTEM-blaCTX-MU-floR-oqxA-oqxB-sul2-fosA3 |
| EC034 | 641 | tetA-blaTEM-floR-oqxA-sul1 | ||
| EC039 | 746 | rmtA-tetA-blaTEM-oqxA-floR-sul2 | ||
| EC003 | chicken | 350 | tetA-tetM- blaTEM-blaCTX-MU-blaCTX-M9-qnrB-floR-oqxA-sul2 | |
| EC005 | 350 | tetA-tetM-blaCTX-MU-blaCTX-M9-floR | ||
| EC013 | 350 | tetA-tetM-blaCTX-MU-blaCTX-M9-floR | ||
| EC016 | 350 | tetA-tetM-blaTEM-blaCTX-MU-blaCTX-M9-qnrB-floR-oqxA-sul1-sul2 | ||
| EC017 | 156 | rmtB-aac(6’)-Ib-aac(3)-II-tetA-tetM-blaTEM-blaCTX-MU-blaOXA-1-floR-oqxA-oqxB-sul1-sul2 | ||
| EC018 | 350 | tetA-tetM-blaTEM-blaCTX-MU-blaCTX-M9-qnrB-floR-sul2 | ||
| EC019 | 350 | tetA-tetM-blaTEM-blaCTX-MU-blaCTX-M9-floR-oqxA-sul2 | ||
| EC023 | 350 | tetA-tetM- blaTEM-blaCTX-MU-blaCTX-M9-qnrB-floR-oqxA-sul2 | ||
| EC035 | 746 | tetA-blaTEM-blaCTX-MU-floR-oqxA-sul2 | ||
| EC036 | 350 | tetA-tetM- blaCTX-MU-blaCTX-M9-qnrB-floR-oqxA-sul1-sul2 | ||
| EC037 | 350 | tetA-tetM-blaCTX-M9-qnrB-floR-oqxA-sul1-sul2 | ||
| EC007 | dog | 950 | tetA-tetM-blaTEM-blaCTX-MU-blaCTX-M9-floR-oqxA | |
| EC010 | 2178 | tetA-blaTEM-blaCTX-MU- blaCTX-M9-floR-mcr-1-oqxA-sul1-sul2-fosA3 | ||
| EC011 | 457 | aac(3)-II-tetA-tetM-blaTEM-qnrB-floR-sul2 | ||
| EC021 | 457 | aac(3)-II-tetA-tetM-blaTEM-qnrB-floR-oqxA-sul2 | ||
| EC040 | 950 | tetA-tetM-blaTEM-blaCTX-MU-blaCTX-M9-qnrB-floR-oqxA-sul2 | ||
| EC031 | 2015 | pig | 101 | rmtB-tetA-blaTEM-qnrA-oqxA-sul2 |
| EC002 | chicken | 457 | aac(3)-II-tetA-tetM-blaTEM-qnrB-floR-oqxA-sul2 | |
| EC008 | 641 | tetA-blaTEM-floR | ||
| EC020 | 457 | aac(3)-II-tetA-tetM-blaTEM-qnrB-floR-oqxA-sul2-marA | ||
| EC024 | 350 | tetA-tetM- blaTEM- blaCTX-MU- blaCTX-M9-qnrB-floR-oqxA-sul2 | ||
| EC030 | 350 | tetA-tetM- blaTEM- blaCTX-MU-blaCTX-M9-qnrB-floR-oqxA-sul1-sul2 | ||
| EC032 | 350 | aac(6’)-Ib-tetA-tetM- blaTEM-blaCTX-MU-blaCTX-M9-qnrB-floR-oqxA-sul1-sul2 | ||
| EC033 | 746 | aac(3)-II-tetB-blaTEM-blaCTX-MU- blaCTX-M9-blaOXA-1-floR-sul2 | ||
| EC045 | 10 | tetM-blaTEM-blaCTX-MU- blaCTX-M9-floR-oqxA-sul2-fosA3 | ||
| EC046 | 23 | aac(6’)-Ib-tetA-tetM-blaCTX-MU-blaCTX-M9-blaOXA-1-floR-mcr-1-oqxA-oqxB-sul1-fosA3 | ||
| EC015 | dog | 2178 | tetA-blaCTX-MU-blaCTX-M9-floR-mcr-1-sul2-fosA3 |
| Antimicrobial Agents | The Proportion (%) (Positive Number/Total) | ||
|---|---|---|---|
| R | I | S | |
| penicillin | 100 (46/46) | 0 (0/46) | 0 (0/46) |
| ceftazidime | 26.1 (12/46) | 13.0 (6/46) | 60.9 (28/46) |
| ceftriaxone | 73.9 (34/46) | 2.2 (1/46) | 23.9 (11/46) |
| meropenem | 0 (0/46) | 0 (0/46) | 100 (46/46) |
| amikacin | 10.9 (5/46) | 0 (0/46) | 89.1 (41/46) |
| streptomycin | 82.6 (38/46) | 13.0 (6/46) | 4.4 (2/46) |
| tetracycline | 100 (46/46) | 0 (0/46) | 0 (0/46) |
| ciprofloxacin | 80.4 (37/46) | 0 (0/46) | 19.6 (9/46) |
| gatifloxacin | 71.7 (33/46) | 17.4 (8/46) | 10.9 (5/46) |
| chloramphenicol | 97.8 (45/46) | 2.2 (1/46) | 0 (0/46) |
| fosfomycin | 21.7 (10/46) | 0 (0/46) | 78.3 (36/46) |
| colistin | 10.9 (5/46) | 8.7 (4/46) | 80.4 (37/46) |
| Drug-Resistant Genes | Positive Prevalence (Positive Number/Total) |
|---|---|
| blaTEM | 67.4% (31/46) |
| blaSHV | 0.0% (0/46) |
| blaCTX-MU | 60.9% (28/46) |
| blaCTX-M9 | 52.2% (24/46) |
| blaOXA-1 | 8.7% (4/46) |
| armA | 0.0% (0/46) |
| rmtA | 6.5% (3/46) |
| rmtB | 4.3% (2/46) |
| aac(6’)-1b | 15.2% (7/46) |
| aac(3)-II | 21.7% (10/46) |
| tetA | 95.7% (44/46) |
| tetB | 2.2% (1/46) |
| tetM | 58.7% (27/46) |
| qnrA | 2.2% (1/46) |
| qnrB | 32.6% (15/46) |
| floR | 89.1% (41/46) |
| mcr-1 | 21.7% (10/46) |
| oqxA | 76.1% (35/46) |
| oqxB | 10.9% (5/46) |
| sul1 | 30.4% (14/46) |
| sul2 | 80.4% (37/46) |
| fosA3 | 19.6% (9/46) |
| Antimicrobial Agents | C600 | EC027/T | EC035/T | EC038/T | EC027 | EC035 | EC038 |
|---|---|---|---|---|---|---|---|
| penicillin | 8 | >512 | >512 | 32 | 512 | 256 | 512 |
| ceftazidime | 1.25 | 10 | 1.25 | 1.25 | 80 | 1.25 | 1.25 |
| streptomycin | 16 | 256 | 128 | 128 | >512 | 128 | 512 |
| amikacin | 8 | 128 | 16 | 4 | >512 | 4 | 4 |
| tetracycline | 4 | 256 | 128 | 128 | 256 | 256 | 256 |
| ciprofloxacin | <0.25 | 64 | <0.25 | <0.25 | 128 | 32 | 32 |
| chloramphenicol | 32 | 128 | 128 | 256 | 512 | 256 | 512 |
| Isolates | Positive Resistance Genes |
|---|---|
| EC027/T | blaOXA-1, sul3, tetM, floR, aac(6′)-Ib, sul2, sul1 |
| EC035/T | blaTEM, sul3, tetA |
| EC038/T | blaTEM, sul3, tetA |
Publisher’s Note: MDPI stays neutral with regard to jurisdictional claims in published maps and institutional affiliations. |
© 2022 by the authors. Licensee MDPI, Basel, Switzerland. This article is an open access article distributed under the terms and conditions of the Creative Commons Attribution (CC BY) license (https://creativecommons.org/licenses/by/4.0/).
Share and Cite
Li, Q.; Li, Z.; Wang, Y.; Chen, Y.; Sun, J.; Yang, Y.; Si, H. Antimicrobial Resistance and Transconjugants Characteristics of sul3 Positive Escherichia coli Isolated from Animals in Nanning, Guangxi Province. Animals 2022, 12, 976. https://doi.org/10.3390/ani12080976
Li Q, Li Z, Wang Y, Chen Y, Sun J, Yang Y, Si H. Antimicrobial Resistance and Transconjugants Characteristics of sul3 Positive Escherichia coli Isolated from Animals in Nanning, Guangxi Province. Animals. 2022; 12(8):976. https://doi.org/10.3390/ani12080976
Chicago/Turabian StyleLi, Qinmei, Zheng Li, Yuhan Wang, Yunru Chen, Junying Sun, Yunqiao Yang, and Hongbin Si. 2022. "Antimicrobial Resistance and Transconjugants Characteristics of sul3 Positive Escherichia coli Isolated from Animals in Nanning, Guangxi Province" Animals 12, no. 8: 976. https://doi.org/10.3390/ani12080976
APA StyleLi, Q., Li, Z., Wang, Y., Chen, Y., Sun, J., Yang, Y., & Si, H. (2022). Antimicrobial Resistance and Transconjugants Characteristics of sul3 Positive Escherichia coli Isolated from Animals in Nanning, Guangxi Province. Animals, 12(8), 976. https://doi.org/10.3390/ani12080976

