Health and Mortality Monitoring in Threatened Mammals: A First Post Mortem Study of Otters (Lutra lutra L.) in Italy
Abstract
Simple Summary
Abstract
1. Introduction
2. Materials and Methods
3. Results
3.1. Numbers, Origin, and Sex of Otters
3.2. Size, Weight, and Body Conditions
3.3. Age
3.4. Reproductive Status
3.5. Causes and Conditions of Death
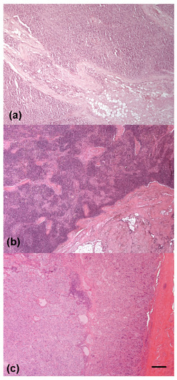
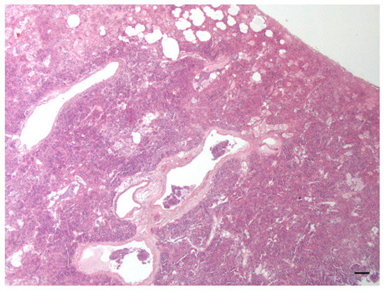
3.6. Necropsy and Histological Findings
3.6.1. Parasites
3.6.2. External Lesions
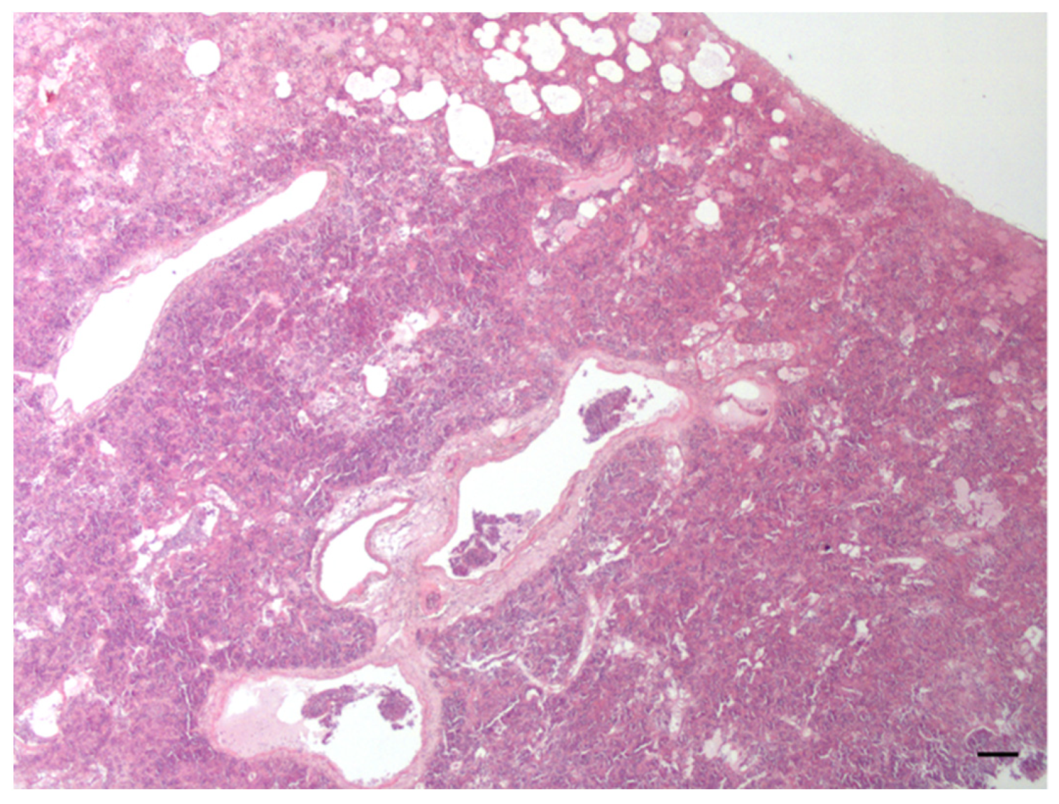
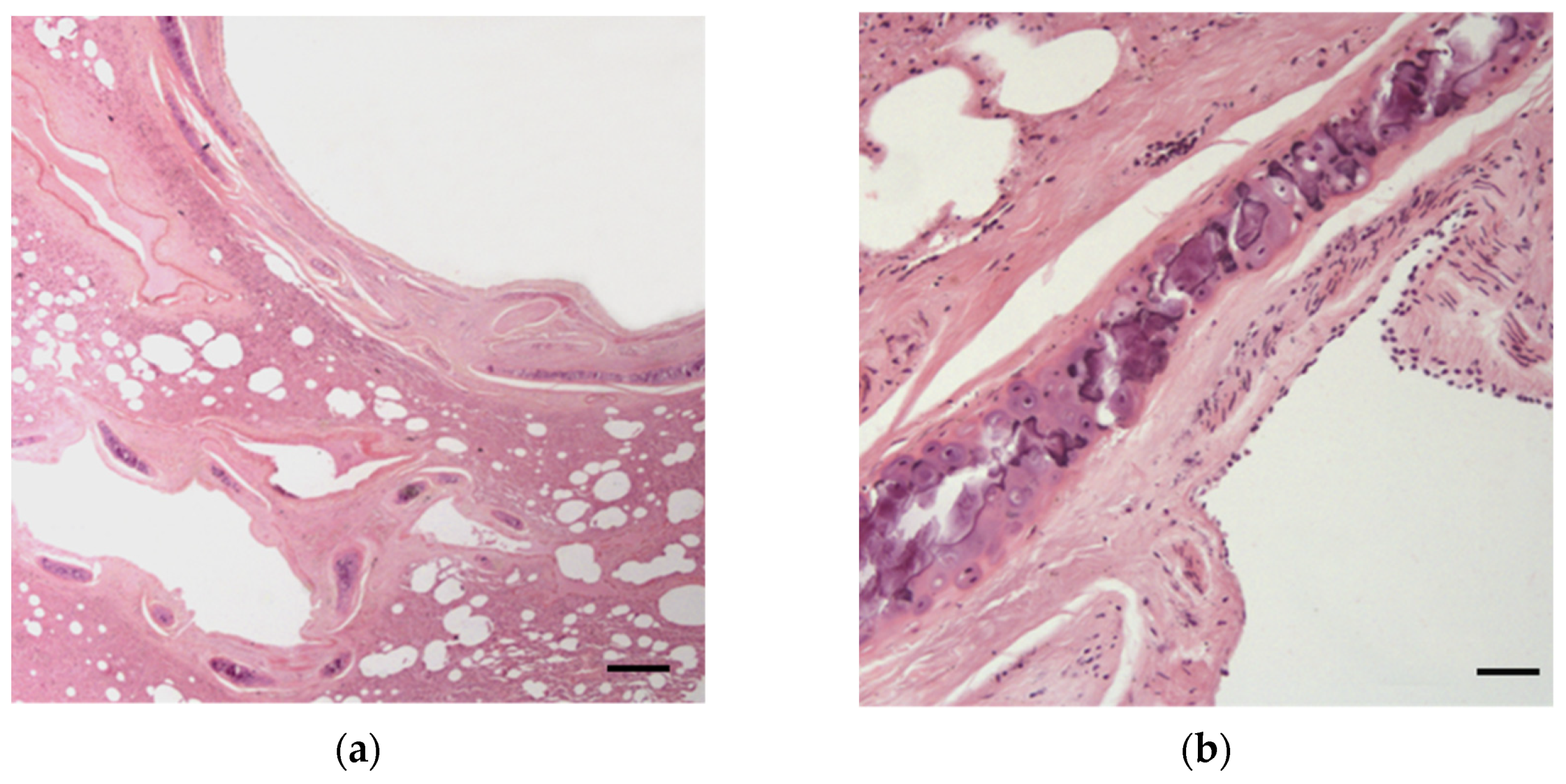
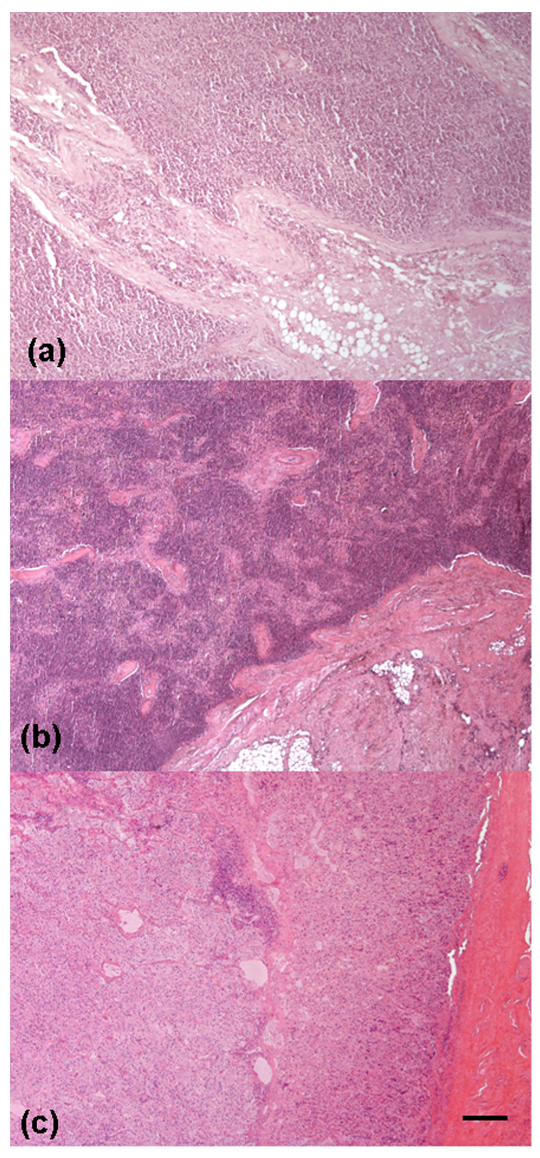
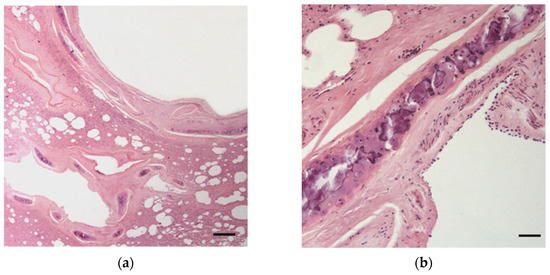
3.6.3. Internal Organs
4. Discussion
5. Conclusions
Supplementary Materials
Author Contributions
Funding
Institutional Review Board Statement
Informed Consent Statement
Data Availability Statement
Acknowledgments
Conflicts of Interest
References
- Roos, A.; Loy, A.; Savage, M.; Kranz, A. Lutra Lutra The IUCN Red List of Threatened Species. 2021: E.T12419A164578163. Available online: https://www.iucnredlist.org/species/12419/164578163 (accessed on 24 January 2022).
- Rondinini, C.; Battistoni, A.; Peronace, V.; Teofili, C. (Eds.) Lista Rossa IUCN dei Vertebrati Italiani; Comitato Italiano IUCN e Ministero dell’Ambiente e della Tutela del Territorio e del Mare: Roma, Italia, 2013. [Google Scholar]
- Marcelli, M.; Fusillo, R. Assessing range re–expansion and recolonization of human–impacted landscapes by threatened species: A case study of the otter (Lutra lutra) in Italy. Biodiv. Conserv. 2009, 18, 2941–2959. [Google Scholar] [CrossRef]
- Giovacchini, S.; Marrese, M.; Loy, A. Good News from the South: Filling the gap between two otter populations in Italy. IUCN Otter Spec. Group Bull. 2018, 35, 212–221. [Google Scholar]
- Banish, L.D.; Gilmartin, W.G. Pathological findings in the Hawaiian monk seal. J. Wildlife Dis. 1992, 28, 428–434. [Google Scholar] [CrossRef]
- Leendertz, F.H.; Pauli, G.; Maetz-Rensing, K.; Boardman, W.; Nunn, C.; Ellebrok, H.; Jense, S.; Junglen, S.; Boesch, C. Pathogens as drivers of population declines: The importance of systematic monitoring in great apes and other threatened mammals. Biol. Conserv. 2006, 131, 325–337. [Google Scholar] [CrossRef]
- Gerber, L.R.; Tinker, T.; Doak, D.F.; Estes, J.A.; Jessup, D.A. Mortality sensitivity in life stage simulation analysis: A case study of Southern Sea Otters. Ecol. Appl. 2004, 14, 1554–1565. [Google Scholar] [CrossRef]
- Roos, A.; Greyerz, E.; Olsson, M.; Sandergen, F. The otter (Lutra lutra) in Sweden—Population trends in relation to ΣDDT and total PCB concentrations during 1968–99. Environ. Pollut. 2000, 111, 457–469. [Google Scholar] [CrossRef]
- Simpson, V.R.; Bain, M.S.; Brown, R.; Brown, B.F.; Lacey, R.F. A long–term study of vitamin A and polychlorinated hydrocarbon levels in otters (Lutra lutra) in south west England. Environ. Pollut. 2000, 110, 267–275. [Google Scholar] [CrossRef]
- Roos, A.M.; Bäcklin, B.-M.V.M.; Helander, B.O.; Rigét, F.F.; Eriksson, U.C. Improved reproductive success in otters (Lutra lutra), grey seals (Halichoerus grypus) and sea eagles (Haliaeetus albicilla) from Sweden in relation to concentrations of organochlorine contaminants. Environ. Pollut. 2012, 170, 268–275. [Google Scholar] [CrossRef]
- Gaydos, J.K.; Balcomb, K.C.; Richard, W.; Osborne, R.W.; Dierauf, L. Evaluating potential infectious disease threats for southern resident killer whales, Orcinus orca: A model for endangered species. Biol. Conserv. 2004, 117, 253–262. [Google Scholar] [CrossRef]
- Hauer, S.; Ansorge, H.; Zinke, O. Reproductive performance of otters Lutra lutra (Linnaeus, 1758) in Eastern Germany: Low reproduction in a long-term strategy. Biol. J. Linn. Soc. 2002, 77, 329–340. [Google Scholar] [CrossRef]
- Lanszki, J.; Sugár, L.; Orosz, E.; Nagy, D. Biological data from post mortem analysis of otters in Hungary. Acta Zool. Acad. Sci. Hung. 2008, 54, 201–212. [Google Scholar]
- Chadwick, E.A.; Sherrard-Smith, E. Pregnancy among otters (Lutra lutra) found dead in 588 England and Wales: Foetal development and lack of seasonality. IUCN Otter Spec. Group Bull. 2010, 27, 33–41. [Google Scholar]
- Simpson, V.R. Health status of otters (Lutra lutra) in south–west England based on postmortem findings. Vet. Record 1997, 141, 191–197. [Google Scholar] [CrossRef] [PubMed]
- Bradshaw, A.; Slater, F.A. Postmortem Study of Otters (Lutra lutra) in England and Wales; Environment Agency: Bristol, UK, 2002. [Google Scholar]
- Simpson, V.R. Health status of Otters in Southern and South West England 1996–2003; Science Report: SC010064/SR1; Environment Agency: Bristol, UK, 2007. [Google Scholar]
- Chadwick, E.A. Post Mortem Study of Otters in England and Wales 1992–2003; Report SCHO0307BMKP–E–P; Environment Agency: Bristol, UK, 2007. [Google Scholar]
- Calvario, E.; Sarrocco, S. (Eds.) Lista Rossa Dei Vertebrati Italiani; WWF Italia Settore Diversità Biologica Serie Ecosistema Italia DB6: Roma, Italy, 1997. [Google Scholar]
- Simpson, V.R. Post mortem protocol for otters. J. Int. Otter Surviv. Fund 2001, 1, 159–165. [Google Scholar]
- Kruuk, H.; Conroy, J.; Moorhouse, A. Seasonal reproduction, mortality and food of otters Lutra lutra L. in Shetland. Sym. Zool. Soc. 1987, 58, 263–278. [Google Scholar]
- Heggberget, T.M. Age determination in the European Otter (Lutra lutra). Z. Fürsäugetierkd. 1984, 49, 299–305. [Google Scholar]
- Romanucci, R.; Fusillo, R.; Marcelli, M.; Massimini, M.; Malatesta, D.; Bongiovanni, L.; Della Salda, L. Left atrial appendage rupture due to blunt chest trauma in an Eurasian otter (Lutra lutra). Vet. Ital. 2019, 55, 275–278. [Google Scholar] [PubMed]
- Malatesta, D.; Simpson, V.R.; Fusillo, R.; Marcelli, M.; Bongiovanni, L.; Romanucci, M.; Palmieri, C.; Della Salda, L. First description of adiaspiromycosis in an Eurasian otter (Lutra lutra) in Italy. Vet. Ital. 2014, 50, 199–202. [Google Scholar]
- Chanin, P. Otter Road Casualties. Hystrix Ital. J. Mammal. 2006, 17, 79–90. [Google Scholar]
- Mucci, N.; Arrendal, J.; Ansorge, H.; Bailey, M.; Bodner, M.; Delibes, M.; Ferrando, A.; Fournier, P.; Fournier, C.; Godoy, J.A.; et al. Genetic diversity and landscape genetic structure of otter (Lutra lutra) populations in Europe. Conserv. Genet. 2010, 11, 583–599. [Google Scholar] [CrossRef]
- Simpson, V.R. An Illustrated Post Mortem Protocol for the Eurasian Otter (Lutra lutra) [DVD]; Wildlife Veterinary Investigation Center: Chacewater, UK; Truro, UK; Cornwall, UK, 2011. [Google Scholar]
- Chanin, P. The Natural History of Otters; Croom Helm: Kent, UK, 1985; p. 179. [Google Scholar]
- Madsen, A.B.; Dietz, H.H.; Henriksen, P.; Clausen, B. Survey of Danish free living otters: A consecutive collection and necropsy of dead bodies. IUCN Otter Spec. Group Bull. 1999, 16, 58–110. [Google Scholar]
- Lanszki, J.; Nagyapati, N.; Heltai, M.; Szeles, G. Mortality causes and body dimensions of otters (Lutra lutra) determined by means of post–mortem analysis in Hungary. 2018. Available online: https://www.researchgate.net/profile/Jozsef–Lanszki/publication/329756076 (accessed on 16 January 2022).
- Reuther, C. Lutra lutra Linnaeus 1758: Fischotter. In Handbuch der Säugetierkunde Europas. Band 5. Raubsäuger—Carnivora (Fissipedia). Teil II: Mustelidae 2, Viverridae, Herpestidae, Felidae; Stubbe, M., Krapp, F., Eds.; Aula Verlag: Wiesbaden, Germany, 1993; pp. 907–961. [Google Scholar]
- Poledníková, K.; Poledník, L.; Beran, V.; Mináriková, T.; Hlaváè, V.; Vìtrovcová, J.; Husáková, L.; Vadlejch, J.; Bártová, E.; Hájková, P. Sbìr a Analýzy Uhynulých Vyder v Èeské Republice; ALKA Wildlife, o. p. s.: Dacice, Czech Republic, 2017. (In Czech) [Google Scholar]
- Ruiz-Olmo, J.; Delibes, M.; Zapata, S.C. External morphometry, demography and mortality of the otter Lutra lutra (Linneus, 1758) in the Iberian Peninsula. Galemys 1998, 10, 239–251. [Google Scholar]
- Yom-Tov, Y.; Heggberget, T.M.; Wiig, O.; Yom-Tov, S. Body size changes among otters Lutra lutra in Norway: The possible effects of food availability and global warming. Oecologia 2006, 150, 155–160. [Google Scholar] [CrossRef]
- Meiri, S.; Yom-Tov, Y.; Geffen, E. What determines conformity to Bergmann’s rule? Global Ecol. Biogeogr. 2007, 16, 788–794. [Google Scholar] [CrossRef]
- Clavero, M.; Prenda, J.; Delibes, M. Trophic diversity of the otter (Lutralutra, L.) in temperate and Mediterranean freshwater habitats. J. Biogeogr. 2003, 30, 761–769. [Google Scholar] [CrossRef]
- Fusillo, R. Habitat and Food Resources of the Otter (Lutra lutra L.) in Southern Italy. Variation Factors and Selection. Ph.D. Thesis, Department of Biology ‘Charles Darwin’, “La Sapienza” University of Rome, Rome, Italy, 2006. (In Italian). [Google Scholar]
- Nelson, K.; Kruuk, H. The Prey of Otters: Calorific Content of Eels (Anguilla anguilla) and other Fish, Frogs (Rana temporaria) and Toads (Bufo bufo). IUCN Otter Spec. Group Bull. 1997, 14, 75–80. [Google Scholar]
- Kruuk, H. Otters: Ecology, Behaviour and Conservation; Oxford University Press: Oxford, UK, 2006. [Google Scholar]
- Ansorge, H.; Schipke, R.; Zinke, O. Population structure of the otter, Lutra lutra. Parameters and model for a Central European region. Z. Fur Saugetierkd.-Int. J. Mammal. Biol. 1997, 62, 143–151. [Google Scholar]
- Poledník, L.; Poledníkova, K.; Vetrovcova, J.; Hlavac, V.; Beran, V. Causes of deaths of Lutra lutra in the Czech Republic (Carnivora: Mustelidae). Lynx 2011, 42, 145–157. [Google Scholar]
- Rohner, S.; Wohlsein, P.; Prenger-Berninghoff, E.; Ewers, C.; Waindok, P.; Strube, C.; Baechlein, C.; Becher, P.; Wilmes, D.; Rickerts, V.; et al. Pathological Findings in Eurasian Otters (Lutra lutra) Found Dead between 2015−2020 in Schleswig-Holstein, Germany. Animals 2022, 12, 59. [Google Scholar] [CrossRef] [PubMed]
- Sherrard-Smith, E.; Chadwick, E.A. Age structure of the otter (Lutra lutra) population in England and Wales and problems with cementum ageing. IUCN Otter Spec. Group Bull. 2010, 27, 42–49. [Google Scholar]
- Elmeros, M.; Hammershøj, M. Experimental evaluation of the reliability of placental scar counts in American mink (Mustela vison). Eur. J. Wildl. Res. 2006, 52, 132–135. [Google Scholar] [CrossRef]
- Heggberget, T.M.; Christensen, H. Reproductive Timing in Eurasian Otters on the Coast of Norway. Ecography 1994, 17, 339–348. [Google Scholar] [CrossRef]
- Sidorovich, V.E.; Tumanov, I.L. Reproduction in otters in Belarus and north-west Russia. Acta Theriol. 1994, 39, 59–66. [Google Scholar] [CrossRef]
- Elmeros, M.; Madsen, A.B. On the reproduction biology of otters (Lutra lutra) from Denmark. Z. Saugetierkd. 1999, 64, 193–200. [Google Scholar]
- Sherrard-Smith, E.; Chadwick, E.; Cable, J. Abiotic and Biotic Factors Associated with Tick Population Dynamics on a Mammalian Host: Ixodes hexagonus Infesting Otters, Lutra lutra. PLoS ONE 2012, 7, e47131. [Google Scholar] [CrossRef] [PubMed]
- Christian, A. Tick infestation (Ixodes) on feral mink (Neovion vison) in central Germany. Soil Org. 2010, 82, 209–216. [Google Scholar]
- Christian, A. Tick infestation (Ixodes) on the Eurasian Otter (Lutra lutra). A long–term study. Soil Org. 2012, 84, 481–487. [Google Scholar]
- Santoro, M.; D’Alessio, N.; Cerrone, A.; Lucibelli, M.G.; Borriello, G.; Aloise, G.; Auriemma, C.; Riccone, N.; Galiero, G. The Eurasian otter (Lutra lutra) as a potential host for rickettsial pathogens in southern Italy. PLoS ONE 2017, 12, e0173556. [Google Scholar] [CrossRef] [PubMed]
- Torres, J.; Feliu, C.; Fernández-Morán, J.; Ruíz-Olmo, J.; Rosoux, R.; Santos-Reis, M.; Miquel, J.; Fons, R. Helminth parasites of the Eurasian otter Lutra lutra in southwest. Eur. J. Helminthol. 2004, 78, 353–359. [Google Scholar] [CrossRef] [PubMed]
- Penezić, A.; Moriano, R.; Spasic, M.; Ćirović, D. First report of a naturally patent infection with Dirofilaria immitis in an otter (Lutra lutra). Parasitol. Res. 2018, 117, 929–931. [Google Scholar] [CrossRef]
- Sherrard-Smith, E.; Stanton, D.W.G.; Cable, J.; Orozco, P.; Simpson, V.R.; Elmeros, M.; Dijk, J.; Simonnet, F.; Roos, A.; Lemarchand, C.; et al. Distribution and molecular phylogeny of biliary trematodes (Opisthorchiidae) infecting native Lutra lutra and alien Neovison vison across Europe. Parasitol. Int. 2016, 65, 163–170. [Google Scholar] [CrossRef] [PubMed]
- Takeuchi-Storm, N.; Al Sabi, M.N.S.; Chriel, M.; Enemark, H.L. Systematic examination of the cardiopulmonary, urogenital, muscular and gastrointestinal parasites of the Eurasian otters (Lutra lutra) in Denmark, a protected species recovering from a dramatic decline. Parasitol. Int. 2021, 84, 102418. [Google Scholar] [CrossRef]
- Mulville, W. A Non-Invasive Investigation of the Intestinal Helminths of the Eurasian Otter, Lutra lutra, in Freshwater and Estuarine Habitats. Master’s Thesis, University College Cork, Cork, Ireland, 2016. [Google Scholar]
- Kim, J.-H.; Kim, B.-H.; Kim, J.-H.; Yoo, M.-J.; Kim, D.-Y. Lymphosarcoma in a Sea Otter (Enhydra lutris). J. Wildl. Dis. 2002, 38, 616–617. [Google Scholar] [CrossRef] [PubMed][Green Version]
- Tanaka, N.; Izawa, T.; Kashiwagi-Yamamoto, E.; Kuwamura, M.; Ozaki, M.; Nakao, T.; Yamate, J. Primary cerebral T-cell lymphoma in a sea otter (Enhydra lutris). J. Vet. Med. Sci. 2013, 75, 1667–1669. [Google Scholar] [CrossRef] [PubMed]
- Matt, C.L.; Mans, C.; Doss, G.; Pinkerton, M.; Elsmo, B. Splenic T-cell lymphoma in a North American River Otter (Lontra canadensis). Open Vet. J. 2020, 10, 272–275. [Google Scholar] [CrossRef]
- Stedman, N.L.; Mills, Z.V. Splenic marginal zone lymphoma in an Asian small–clawed otter (Aonyx cinerea). J. Zoo Wildl. Med. 2014, 45, 719–722. [Google Scholar] [CrossRef]
- Bartlett, S.L.; Imai, D.M.; Trupkiewicz, J.G.; Garner, M.M.; Ogasawara, S.; Stokol, T.; Kiupel, M.; Abou-Madi, N.; Kollias, G.V. Intestinal lymphoma of granular lymphocytes in a fisher (Martes pennanti) and a Eurasian otter (Lutra lutra). J. Zoo Wildl. Med. 2010, 41, 309–315. [Google Scholar] [CrossRef] [PubMed]
- Bochmann, M.; Steinlechner, S.; Hesse, A.; Dietz, H.H.; Weber, H. Urolithiasis in free ranging and captive otters (Lutra lutra and Aonyx cinerea) in Europe. J. Zoo Wildl. Med. 2017, 48, 725–731. [Google Scholar] [CrossRef]
- Gutleb, A.C.; Kranz, A.; Nechay, G.; Toman, A. Heavy metal concentrations in livers and kidneys of the otter (Lutra lutra) from Central Europe. Bull. Environ. Contam. Toxicol. 1998, 60, 273–279. [Google Scholar] [CrossRef]
- Kalisinska, E.; Lanocha-Arendarczyk, N.; Podlasinska, J. Current and historical nephric and hepatic mercury concentrations in terrestrial mammals in Poland and other European countries. Sci. Total Environ. 2021, 775, 145808. [Google Scholar] [CrossRef]
- Denison, D.M.; Kooyman, G.L. The structure and the function of the small airways in pinniped and sea otter lungs. Respir. Physiol. 1973, 17, 1–10. [Google Scholar] [CrossRef]
- Tarasoff, F.J.; Kooyman, G.L. Observations on the anatomy of the respiratory system of the river otter, sea otter and harp seal. I. The topography, weight and measurements of the lungs. Can. J. Zool. 1973, 51, 163–170. [Google Scholar] [CrossRef] [PubMed]
- Guter, A.; Dolev, A.; Saltz, D.; Kronfeld-Schor, N. Temporal and spatial influences on road mortality in otters: Conservation implications. Isr. J. Zool. 2005, 51, 199–207. [Google Scholar] [CrossRef]
- Hauer, S.; Ansorge, H.; Zinke, O. Mortality patterns of otters (Lutra lutra) from eastern Germany. J. Zool. 2002, 256, 361–368. [Google Scholar] [CrossRef]
- Jancke, S.; Giere, P. Patterns of otter road mortality in a landscape abundant in lakes. Eur. J. Wildl. Res. 2010, 57, 373–381. [Google Scholar] [CrossRef]
- Grogan, A.; Green, R.; Rushton, S. The Impacts of Roads on Eurasian Otters (Lutra lutra). IUCN/SCC Otter Spec. Group Bull. 2013, 30, 44–58. [Google Scholar]
- Seiler, A.; Helldin, J.O. Mortality in wildlife due to transportation. In The Ecology of Transportation: Managing Mobility for the Environment; Davenport, J., Davenport, G.L., Eds.; Springer: Dordrecht, The Netherlands, 2006. [Google Scholar]
- Philcox, C.K.; Grogan, A.L.; Macdonald, D.W. Patterns of otter Lutra lutra road mortality in Britain. J. Appl. Ecol. 1999, 36, 748–762. [Google Scholar] [CrossRef]
- Fabrizio, M.; Di Febraro, M.; Loy, A. Where will it cross next? Optimal management of road collision risk for otters in Italy. J. Environ. Manag. 2019, 251, 109609. [Google Scholar] [CrossRef] [PubMed]
- Chanin, P. Ecology of the European otter. Conserving Natura 2000 Rivers Ecology Series No. 10; English Nature: Peterborough, UK, 2003. [Google Scholar]
- Heggberget, T.M. Sex and age distribution in Eurasian otters (Lutra lutra) killed by human activity. In Habitat 6: Proceedings V International Otter Colloquium Hankensbuttel 1989; Reuther, C., Rochert, R., Eds.; GN-Gruppe Naturschutz GmbH: Hankensbüttel, Germany, 1991; pp. 123–125. [Google Scholar]
- Poledniìková, K.; Vìtrovcová, J.; Polednìk, L.V.; Hlavác, V. Carbofuran: A new and effective method of illegal killing of otters (Lutra lutra) in the Czech Republic. IUCN Otter Spec. Group Bull. 2010, 27, 137–146. [Google Scholar]
- Klenke, R.A.; Ring, I.; SchwerdnerManez, K.; Habighorst, K.; Weiss, V.; Wittner, H.; Gruber, B.; Lampa, S.; Henle, K. Otters in Saxony: A story of successful conflict resolution. Part I: Lessons learned from the analysis of model conflicts. In Human-Wildlife Conflict in Europe: Fisheries and Fish—Eating Vertebrates; Klenke, R.A., Henle, K., Ring, I., Kranz, A., Jepson, N., Rauschmayer, F., Eds.; Springer Environmental Sciences: Berlin/Heidelberg, Germany, 2004; pp. 141–164. [Google Scholar]
- Polenikova, K.; Kranz, A.; Polednik, L.; Mysiak, J. Otters causing conflict. Part I: Lessons learned from the analysis of model conflicts. In Human-Wildlife Conflict in Europe: Fisheries and Fish–Eating Vertebrates; Klenke, R.A., Henle, K., Ring, I., Kranz, A., Jepson, N., Rauschmayer, F., Eds.; Springer Environmental Sciences: Berlin/Heidelberg, Germany, 2004; pp. 81–106. [Google Scholar]
- Freitas, D.; Gomes, J.; Sales Luis, T. Otters and fish farms in the Sado Estuary: Ecological and socio–economic basis of a conflict. Hyrobiologia 2007, 587, 51–62. [Google Scholar] [CrossRef]
- Simpson, V.R. Patterns and significance of bite wounds in Eurasian otters (Lutra Lutra) in southern and south–west England. Vet. Rec. 2006, 158, 113–119. [Google Scholar] [CrossRef] [PubMed]









| Animal Code | Collection Date | Locality | Province | Sex | Weight (kg) | TL (cm) | CI | Age | Cause of Death |
|---|---|---|---|---|---|---|---|---|---|
| M1 | 08/01/2005 | Serre | SA | Male | 7.20 | - | - | 5 | Consequence of otter bites |
| M2 | 18/10/2009 | Salento | SA | Male | 6.80 | 117 | 0.7973 | 1 | RTC |
| M3 | 10/04/2010 | Aquara | SA | Male | 4.59 | 114 | 0.5781 | 3 | Ulcerative gastritis |
| M4 | 05/09/2011 | Castelnuovo C. | SA | Male | - | - | - | 1 | RTC |
| M5 | 28/09/2012 | Valva | SA | Male | - | - | - | 10 | RTC |
| M6 | 25/09/2012 | Grumento Nova | PZ | Male | 5.88 | 103 | 0.9350 | 1 | RTC |
| M7 | 09/12/2012 | Melfi | PZ | Male | 7.20 | 112 | 0.9412 | 2 | RTC |
| M8 | 21/01/2013 | Vallo di L. | SA | Male | 7.20 | 113 | 0.9174 | 5 | RTC |
| M9 | 12/01/2010 | Policoro | MT | Male | 3.11 | 89 | - | Juvenile | Other trauma |
| M10 | 05/11/2012 | Pisticci | MT | Male | - | - | - | Adult | RTC |
| M11 | 08/05/2013 | Pisticci | MT | Male | 7.35 | - | - | 3 | RTC |
| M12 | 25/11/2013 | Bernalda | MT | Male | 4.8 | 107 | 0.6906 | Immature | RTC |
| M13 | 06/04/2014 | Policastro B. | SA | Male | 7.10 | 113 | 0.9047 | 6 | Other trauma |
| M14 | 28/05/2014 | Matera | MT | Male | - | - | - | 1 | RTC |
| M15 | 30/08/2014 | Cupello | CH | Male | 6.70 | 105 | 1.0175 | 1 | RTC |
| M16 | 22/09/2014 | Pizzo Calabro | VV | Male | 7.40 | 115 | 0.9042 | 8–9 | Other trauma |
| M17 | 28/03/2016 | Gravina di P. | BA | Male | 6.40 | 105 | 0.9719 | 5 | Dog attack |
| M18 | 27/08/2017 | Belvedere di S. | KR | Male | 6.40 | - | - | Subadult | RTC |
| M19 | 11/11/2019 | Marcellinara | CZ | Male | 7.12 | 114 | 0.8940 | Adult | RTC |
| F1 | 08/11/2009 | Vallo di L. | SA | Female | 4.5 | - | - | 8 | RTC |
| F2 | 15/12/2009 | Capaccio | SA | Female | 5 | 99 | 1.0196 | Subadult | RTC |
| F3 | 28/06/2010 | Felitto | SA | Female | 3.8 | 101 | 0.7348 | 7 | Fibrino-purulent pleuropneumonia and peritonitis |
| F4 | 14/11/2011 | Calciano | MT | Female | 4.47 | 100 | 0.8904 | 1 | RTC |
| F5 | 12/01/2010 | Policoro | MT | Female | 2.78 | 88 | - | Juvenile | Other trauma |
| F6 | 20/11/2013 | Bernalda | MT | Female | - | - | - | 1 | RTC |
| F7 | 14/12/2014 | Brindisi di M. | PZ | Female | 5.1 | 99 | 1.0327 | 1 | RTC |
| F8 | 19/12/2014 | Metaponto | MT | Female | - | - | - | 3 | RTC |
| F9 | 14/10/2015 | Cassano delle M. | BA | Female | 4.3 | 93 | 1.0272 | 2 | RTC |
| PM Examination | Findings | Number of Cases |
|---|---|---|
| Ectoparasites | Ixodes spp. | 3 |
| Cardio-pulmonary parasites | Dirofilaria immitis adult | 1 |
| Metastrongyloid larvae L1 | 1 | |
| Intestinal helminthes | Capillaria spp. eggs | 1 |
| Contracaecum spp. adults | 1 | |
| External lesions | Otter bite wounds | 4 |
| Dog bite wounds | 1 | |
| Lead shots | 1 | |
| Dental and oral lesions | Fractured canines | 8 |
| Damaged/missing incisors | 3 | |
| Dental malocclusion | 3 | |
| Mucosal lesions associated with malocclusion | 1 | |
| Dental caries | 2 | |
| Periodontitis and palatal stomatitis | 1 | |
| Suspected osteomyelitis with bone loss due to chronic periodontitis | 1 | |
| Cardiovascular system | Left atrial appendage rupture | 1 |
| Respiratory system | Adiaspiromycosis | 1 |
| Mineralized granulomas (unknown etiology) | 3 | |
| Fibrino-purulent pleuropneumonia | 1 | |
| Foreign material without lesions | 1 | |
| Mineralization foci in tracheal and bronchial cartilages | 13 | |
| Alimentary system | Ulcerative gastritis | 1 |
| Erosions of gastric mucosa | 1 | |
| Chronic peritonitis with multifocal adhesions | 1 | |
| Urinary system | Multifocal tubular necrosis with dystrophic calcification | 3 |
| Spleen | Nodular lymphoid proliferation | 1 |
| Lymph nodes | Multicentric lymphoma | 1 |
| Reactive lymphadenopathy | 1 | |
| Endocrine system | Nodular adrenal hyperplasia | 5 |
| Lymphoid infiltrations in enlarged adrenal glands | 1 |
Publisher’s Note: MDPI stays neutral with regard to jurisdictional claims in published maps and institutional affiliations. |
© 2022 by the authors. Licensee MDPI, Basel, Switzerland. This article is an open access article distributed under the terms and conditions of the Creative Commons Attribution (CC BY) license (https://creativecommons.org/licenses/by/4.0/).
Share and Cite
Fusillo, R.; Romanucci, M.; Marcelli, M.; Massimini, M.; Della Salda, L. Health and Mortality Monitoring in Threatened Mammals: A First Post Mortem Study of Otters (Lutra lutra L.) in Italy. Animals 2022, 12, 609. https://doi.org/10.3390/ani12050609
Fusillo R, Romanucci M, Marcelli M, Massimini M, Della Salda L. Health and Mortality Monitoring in Threatened Mammals: A First Post Mortem Study of Otters (Lutra lutra L.) in Italy. Animals. 2022; 12(5):609. https://doi.org/10.3390/ani12050609
Chicago/Turabian StyleFusillo, Romina, Mariarita Romanucci, Manlio Marcelli, Marcella Massimini, and Leonardo Della Salda. 2022. "Health and Mortality Monitoring in Threatened Mammals: A First Post Mortem Study of Otters (Lutra lutra L.) in Italy" Animals 12, no. 5: 609. https://doi.org/10.3390/ani12050609
APA StyleFusillo, R., Romanucci, M., Marcelli, M., Massimini, M., & Della Salda, L. (2022). Health and Mortality Monitoring in Threatened Mammals: A First Post Mortem Study of Otters (Lutra lutra L.) in Italy. Animals, 12(5), 609. https://doi.org/10.3390/ani12050609

