Pulmonary and Systemic Skeletal Muscle Embolism in a Beaked Whale with a Massive Trauma of Unknown Aetiology
Abstract
Simple Summary
Abstract
1. Introduction
2. Materials and Methods
2.1. Evidence of Ethical Approval
2.2. Gross, Histological and Histochemical Analyses
2.3. Immunohistochemical Analyses
2.4. Molecular Virological Analyses
3. Results
3.1. Gross Findings
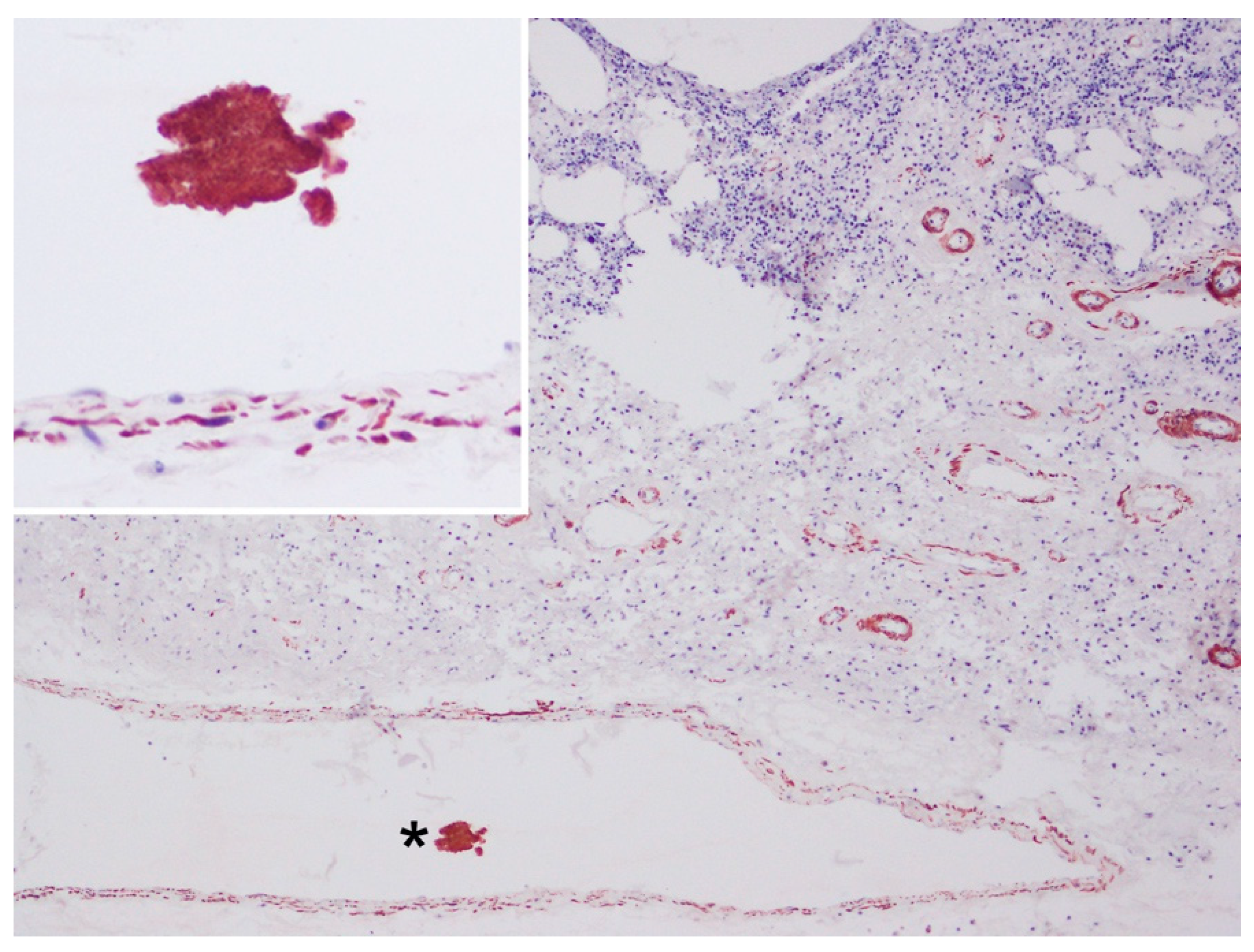
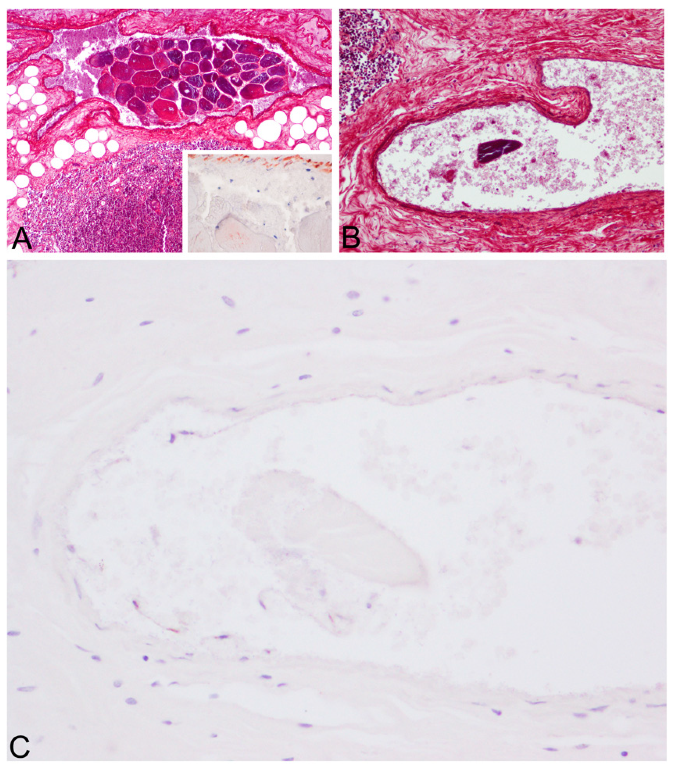
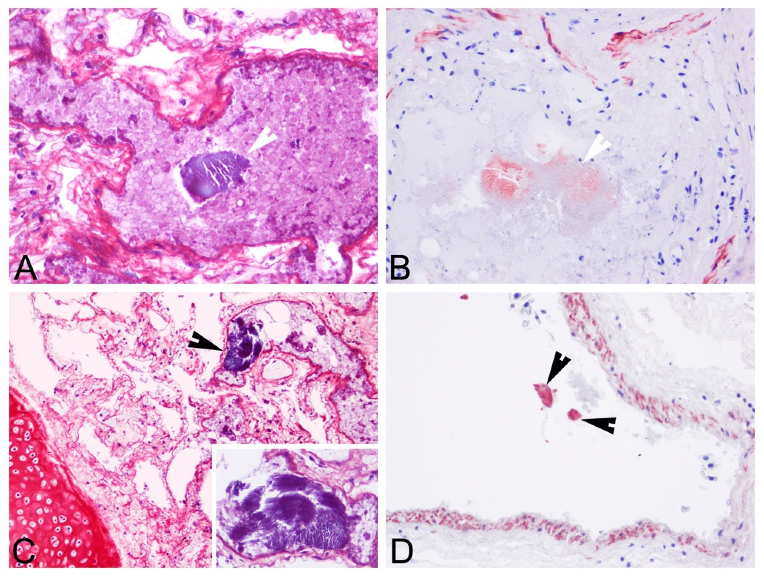
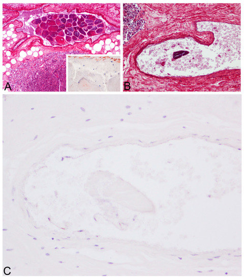
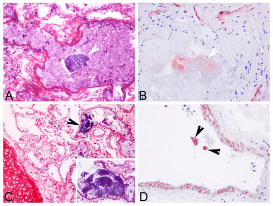
3.2. Histopathological and Histochemical Findings
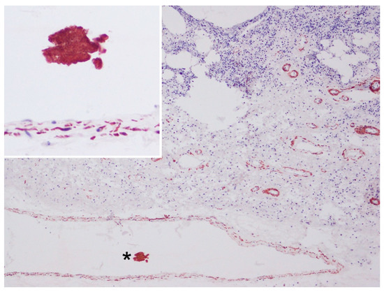
3.3. Immunohistochemical Findings
3.4. Molecular Results
4. Discussion
5. Conclusions
Author Contributions
Funding
Institutional Review Board Statement
Informed Consent Statement
Data Availability Statement
Acknowledgments
Conflicts of Interest
References
- Goldhaber, S.Z. Pulmonary Embolism. N. Engl. J. Med. 1998, 339, 93–104. [Google Scholar] [CrossRef] [PubMed]
- Terrell, S.P.; Sundeep Chandra, A.M.; Pablo, L.S.; Lewis, D.D. Fatal intraoperative pulmonary fat embolism during cemented total hip arthroplasty in a dog. J. Am. Anim. Hosp. Assoc. 2004, 40, 345–348. [Google Scholar] [CrossRef] [PubMed]
- Verstappen, F.T.; Bernards, J.A.; Kreuzer, F. Effects of pulmonary gas embolism on circulation and respiration in the dog. II. Effects on respiration. Pflüg. Arch. 1977, 368, 97–104. [Google Scholar] [CrossRef] [PubMed]
- Neto, R.; Vieson, M.D. Brain Tissue Pulmonary Embolism Due to Severe Blunt Force Head Trauma in a Dog. J. Comp. Pathol. 2020, 175, 75–78. [Google Scholar] [CrossRef]
- Bach, A.G.; Restrepo, C.S.; Abbas, J.; Villanueva, A.; Lorenzo Dus, M.J.; Schopf, R.; Imanaka, H.; Lehmkuhl, L.; Tsang, F.H.; Saad, F.F.; et al. Imaging of nonthrombotic pulmonary embolism: Biological materials, nonbiological materials, and foreign bodies. Eur. J. Radiol. 2013, 82, e120–e141. [Google Scholar] [CrossRef] [PubMed]
- Chan, K.W. Pulmonary skeletal muscle embolism. Pathology 1985, 17, 537. [Google Scholar] [CrossRef]
- Cecchi, R.; Cipolloni, L.; Sestili, C.; Aromatario, M.; Ciallella, C. Pulmonary embolisation of bone fragments from penetrating cranial gunshot wounds. Int. J. Leg. Med. 2012, 126, 473–476. [Google Scholar] [CrossRef]
- Watson, A.J. Genesis of fat emboli. J. Clin. Pathol. 1970, 4 (Suppl. S3), 132–142. [Google Scholar] [CrossRef]
- Jorens, P.G.; Van Marck, E.; Snoeckx, A.; Parizel, P.M. Nonthrombotic pulmonary embolism. Eur. Respir. J. 2009, 34, 452–474. [Google Scholar] [CrossRef]
- Han, D.; Lee, K.S.; Franquet, T.; Müller, N.L.; Kim, T.S.; Kim, H.; Kwon, O.J.; Byun, H.S. Thrombotic and nonthrombotic pulmonary arterial embolism: Spectrum of imaging findings. Radiographics 2003, 23, 1521–1539. [Google Scholar] [CrossRef]
- IJsseldijk, L.L.; Brownlow, A.C.; Mazzariol, S. (Eds.) Best Practice on Cetacean Post Mortem Investigation and Tissue Sampling; ASCOBANS: Bonn, Germany, 2019; p. 73. [Google Scholar]
- Arbelo, M.; Los Monteros, A.E.; Herraez, P.; Andrada, M.; Sierra, E.; Rodriguez, F.; Jepson, P.D.; Fernandez, A. Pathology and causes of death of stranded cetaceans in the Canary Islands (1999–2005). Dis. Aquat. Org. 2013, 103, 87–99. [Google Scholar] [CrossRef] [PubMed]
- Díaz-Delgado, J.; Fernández, A.; Sierra, E.; Sacchini, S.; Andrada, M.; Vela, A.I.; Quesada-Canales, Ó.; Paz, Y.; Zucca, D.; Groch, K.; et al. Pathologic findings and causes of death of stranded cetaceans in the Canary Islands (2006–2012). PLoS ONE 2018, 13, e0204444. [Google Scholar] [CrossRef] [PubMed]
- Joblon, M.J.; Pokras, M.A.; Morse, B.; Harry, C.T.; Rose, K.S.; Sharp, S.M.; Niemeyer, M.E.; Patchett, K.M.; Sharp, W.B.; Moore, M.J. Body Condition Scoring System for Delphinids Based on Short-beaked Common Dolphins (Delphinus delphis). J. Mar. Anim. Ecol. 2014, 7, 5–13. [Google Scholar]
- Arnicia, E.; Downing, A.E. Neuropathological histotechnology. In AFIP Laboratory Methods in Histotechnology, 1st ed.; Prophet, E.B., Mills, B., Arrington, J.B., Sobin, L.H., Eds.; American Registry of Pathology: Washington, DC, USA, 1992; pp. 98–100. [Google Scholar]
- Sierra, E.; de Los Monteros, A.E.; Fernandez, A.; Arbelo, M.; Caballero, M.J.; Rivero, M.; Herraez, P. Sarcoplasmic Masses in the Skeletal Muscle of a Stranded Pigmy Sperm Whale (Kogia breviceps). J. Wildl. Dis. 2013, 49, 679–683. [Google Scholar] [CrossRef] [PubMed][Green Version]
- Mompeó, B.; Pérez, L.; Fernández, A.; Saavedra, P.; Rivero, M.; Arbelo, M.; Arregui, M.; Suárez-Santana, C.; Bernaldo-de-Quiros, Y. Morphological structure of the aortic wall in three Delphinid species with shallow or intermediate diving habits: Evidence for diving adaptation. J. Morphol. 2020, 281, 377–387. [Google Scholar] [CrossRef] [PubMed]
- VanDevanter, D.R.; Warrener, P.; Bennett, L.; Schultz, E.R.; Coulter, S.; Garber, R.L.; Rose, T.M. Detection and analysis of diverse herpesviral species by consensus primer PCR. J. Clin. Microbiol. 1996, 34, 1666–1671. [Google Scholar] [CrossRef]
- Groch, K.R.; Taniwaki, S.A.; Favero, C.M.; Brandão, P.E.; Díaz-Delgado, J.; Fernández, A.; Catão-Dias, J.L.; Sierra, E. A novel real-time PCR to detect Cetacean morbillivirus in Atlantic cetaceans. J. Virol. Methods 2020, 285, 113964. [Google Scholar] [CrossRef]
- Felipe-Jiménez, I.; Fernández, A.; Andrada, M.; Arbelo, M.; Segura-Göthlin, S.; Colom-Rivero, A.; Sierra, E. Contribution to Herpesvirus Surveillance in Beaked Whales Stranded in the Canary Islands. Animals 2021, 11, 1923. [Google Scholar] [CrossRef]
- Fernández, A.; Edwards, J.F.; Rodriguez, F.; Espinosa de los Monteros, A.; Herraez, P.; Castro, P.; Jaber, J.R.; Martin, V.; Arbelo, M. “Gas and fat embolic syndrome” involving a mass stranding of beaked whales (family Ziphiidae) exposed to anthropogenic sonar signals. Vet. Pathol. 2005, 42, 446–457. [Google Scholar] [CrossRef] [PubMed]
- Bernaldo de Quirós, Y.; Fernandez, A.; Baird, R.W.; Brownell, R.L., Jr.; Aguilar de Soto, N.; Allen, D.; Arbelo, M.; Arregui, M.; Costidis, A.; Fahlman, A.; et al. Advances in research on the impacts of anti-submarine sonar on beaked whales. Proc. Biol. Sci. 2019, 286, 20182533. [Google Scholar] [CrossRef]
- Hulman, G. The pathogenesis of fat embolism. J. Pathol. 1995, 176, 3–9. [Google Scholar] [CrossRef]
- ten Duis, H.J. The fat embolism syndrome. Injury 1997, 28, 77–85. [Google Scholar] [CrossRef]
- Sierra, E.; Rodriguez, F.; Herraez, P.; Fernandez, A.; de Los Monteros, A.E. Post-traumatic fat embolism causing haemothorax in a cat. Vet. Rec. 2007, 161, 170–172. [Google Scholar] [CrossRef]
- Arregui, M.; Bernaldo de Quirós, Y.; Saavedra, P.; Sierra, E.; Suárez-Santana, C.M.; Arbelo, M.; Díaz-Delgado, J.; Puig-Lozano, R.; Andrada, M.; Fernández, A. Fat Embolism and Sperm Whale Ship Strikes. Front. Mar. Sci. 2019, 6, 379. [Google Scholar] [CrossRef]
- Cotten, P.B.; Piscitelli, M.A.; McLellan, W.A.; Rommel, S.A.; Dearolf, J.L.; Pabst, D.A. The gross morphology and histochemistry of respiratory muscles in bottlenose dolphins, Tursiops truncatus. J. Morphol. 2008, 269, 1520–1538. [Google Scholar] [CrossRef]
- Cozzi, B.; Huggenberger, S.; Oelschläger, H.A. (Eds.) Anatomy of Dolphins: Insights into Body Structure and Function; Academic Press: Cambridge, MA, USA, 2018. [Google Scholar]
- Nagel, E.L.; Morgane, P.J.; McFarlane, W.L.; Galliano, R.E. Rete mirabile of dolphin: Its pressure-damping effect on cerebral circulation. Science 1968, 161, 898–900. [Google Scholar] [CrossRef]
- Fulde, G.W.; Harrison, P. Fat embolism—A review. Arch. Emerg. Med. 1991, 8, 233–239. [Google Scholar] [CrossRef]
- Evarts, C.M. The fat embolism syndrome: A review. Surg. Clin. N. Am. 1970, 50, 493–507. [Google Scholar] [CrossRef]
- Brinkmann, B.; Borgner, M.; von Bülow, M. Fat embolism of the lungs as the cause of death. Etiology, pathogenesis and reasoning (author’s transl). Z. Rechtsmed. 1976, 78, 255–272. [Google Scholar] [CrossRef]
- Levy, D. The fat embolism syndrome. A review. Clin. Orthop. Relat. Res. 1990, 261, 281–286. [Google Scholar] [CrossRef]
- Puig-Lozano, R.; Fernández, A.; Saavedra, P.; Tejedor, M.; Sierra, E.; De la Fuente, J.; Xuriach, A.; Díaz-Delgado, J.; Rivero, M.A.; Andrada, M.; et al. Retrospective Study of Traumatic Intra-Interspecific Interactions in Stranded Cetaceans, Canary Islands. Front. Vet. Sci. 2020, 7, 107. [Google Scholar] [CrossRef]
- Armstrong, J.A.; Fryer, D.I.; Stewart, W.K.; Whittingham, H.E. Interpretation of injuries in the Comet aircraft disasters; an experimental approach. Lancet 1955, 268, 1135–1144. [Google Scholar] [CrossRef]






Publisher’s Note: MDPI stays neutral with regard to jurisdictional claims in published maps and institutional affiliations. |
© 2022 by the authors. Licensee MDPI, Basel, Switzerland. This article is an open access article distributed under the terms and conditions of the Creative Commons Attribution (CC BY) license (https://creativecommons.org/licenses/by/4.0/).
Share and Cite
Sierra, E.; Ramírez, T.; Bernaldo de Quirós, Y.; Arregui, M.; Mompeó, B.; Rivero, M.A.; Fernández, A. Pulmonary and Systemic Skeletal Muscle Embolism in a Beaked Whale with a Massive Trauma of Unknown Aetiology. Animals 2022, 12, 508. https://doi.org/10.3390/ani12040508
Sierra E, Ramírez T, Bernaldo de Quirós Y, Arregui M, Mompeó B, Rivero MA, Fernández A. Pulmonary and Systemic Skeletal Muscle Embolism in a Beaked Whale with a Massive Trauma of Unknown Aetiology. Animals. 2022; 12(4):508. https://doi.org/10.3390/ani12040508
Chicago/Turabian StyleSierra, Eva, Tania Ramírez, Yara Bernaldo de Quirós, Marina Arregui, Blanca Mompeó, Miguel A. Rivero, and Antonio Fernández. 2022. "Pulmonary and Systemic Skeletal Muscle Embolism in a Beaked Whale with a Massive Trauma of Unknown Aetiology" Animals 12, no. 4: 508. https://doi.org/10.3390/ani12040508
APA StyleSierra, E., Ramírez, T., Bernaldo de Quirós, Y., Arregui, M., Mompeó, B., Rivero, M. A., & Fernández, A. (2022). Pulmonary and Systemic Skeletal Muscle Embolism in a Beaked Whale with a Massive Trauma of Unknown Aetiology. Animals, 12(4), 508. https://doi.org/10.3390/ani12040508

