Protective Effect of Litchi chinensis Peel Extract-Prepared Nanoparticles on Rabbits Experimentally Infected with Eimeria stiedae
Abstract
Simple Summary
Abstract
1. Introduction
2. Materials and Methods
2.1. Animals
2.2. Plant Material and Extract Preparation
2.3. Total Phenolics
2.4. Total Flavonoids
2.5. 2,2-Diphenyl-1-picrylhydrazyl (DPPH) Radical Scavenging Activity
2.6. 2,4,6-Tri(2-Pyridyl)-s-triazine (ABTS) Radical Scavenging Activity
2.7. Ferric Reducing Antioxidant Power (FRAP)
2.8. Synthesis of Silver Nanoparticles (AgNPs)
2.9. Biochemical Analysis
2.10. Experimental Design
2.11. Experimental Infection of Rabbits with Isolated and Identified E. stiedae
2.12. Efficacy of the L. chinensis Peel Extract (RLW)
2.12.1. Clinical Signs, Postmortem Lesions, and Mortality Rates
2.12.2. Body Weight (BW) and Relative Liver Weights
2.12.3. Gross Liver Lesion Scores
2.12.4. Fecal Oocyst Count (FOC)
2.12.5. Histopathology and Lesion Scoring
2.13. Statistical Analysis
3. Results
3.1. Determinations of the Total Phenolic and Flavonoid Contents in the L. chinensis Extract
3.2. Effects of the Different Treatments on Clinical Symptoms, Postmortem Lesions, and Mortality Rate
3.3. Effects of the Different Treatments on Body Weight and Relative Liver Weight
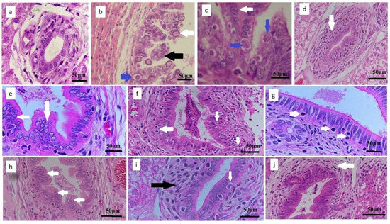
3.4. Effects of the Different Treatments on the Histopathological Lesions
3.5. Effects of the Different Treatments on the Biochemical and Hematological Parameters
4. Discussion
5. Conclusions
6. Limitations
Author Contributions
Funding
Institutional Review Board Statement
Informed Consent Statement
Data Availability Statement
Conflicts of Interest
References
- Cedric, Y.; Payne, V.K.; Nadia, N.A.; Kodjio, N.; Kollins, E.; Leonelle, M.; Kuiate, J.R.; Mbida, M. In vivo Anticoccidial and Antioxidant Activities of Psidium guajava Methanol Extract. Eur. J. Med. Plants 2017, 21, 1–12. [Google Scholar] [CrossRef]
- KN, A.M.; NM, A.E.; Abdel-Rahman, E.H. Protective effect of Eimeria stiedae coproantigen against hepatic coccidiosis in rabbits. J. Egypt. Soc. Parasitol. 2005, 35, 581–595. [Google Scholar]
- Çam, Y.; Atasever, A.; Eraslan, G.; Kibar, M.; Atalay, Ö.; Beyaz, L.; İnci, A.; Liman, B.C. Eimeria stiedae: Experimental infection in rabbits and the effect of treatment with toltrazuril and ivermectin. Exp. Parasitol. 2008, 119, 164–172. [Google Scholar] [CrossRef]
- Al-Mathal, E.M. Hepatic coccidiosis of the domestic rabbit (Oryctolagus cuniculus domesticus L.) in Saudi Arabia. World J. Zool. 2008, 3, 30–35. [Google Scholar]
- Al-Mathal, E.M. Efficacy of Commiphora molmol against hepatic coccidiosis (Eimeria stiedae) in the domestic rabbit. J. Food Agric. Environ. 2010, 8 Pt 2, 1072–1080. [Google Scholar]
- Al-Naimi, R.A.; Khalaf, O.H.; Tano, S.Y.; Al-Taee, E.H. Pathological study of hepatic coccidiosis in naturally infected rabbits. Al-Qadisiyah J. Vet. Med. Sci. 2012, 11, 63–69. [Google Scholar]
- Dalle Zotte, A.; Celia, C.; Szendrő, Z. Herbs and spices inclusion as feedstuff or additive in growing rabbit diets and as additive in rabbit meat: A review. Livest. Sci. 2016, 189, 82–90. [Google Scholar] [CrossRef]
- Darzi, M.M.; Mir, M.S.; Kamil, S.A.; Nashiruddullah, N.; Munshi, Z.H. Pathological changes and local defense reaction occurring in spontaneous hepatic coccidiosis in rabbits (Oryctolagus cuniculus). World Rabbit. Sci. 2007, 15, 23–28. [Google Scholar] [CrossRef][Green Version]
- Mousa, W.M.; Arafa, W.M.; Aboelhadid, S.M. Molecular diagnosis of Eimeria stiedae in hepatic tissue of experimentally infected rabbits in comparison with traditional methods Original. Egypt. Vet. Med. Soc. Parasitol. J. 2015, 11, 51–57. [Google Scholar] [CrossRef]
- Hinton, M.; Jones, D.R.; Festing, M.F. Haematological findings in healthy and diseased rabbits, a multivariate analysis. Lab. Anim. 1982, 16, 123–129. [Google Scholar] [CrossRef]
- Harkness, J.E.; Turner, P.V.; VandeWoude, S.; Wheler, C.L. Harkness, and Wagner’s Biology and Medicine of Rabbits and Rodents; John Wiley & Sons: Hoboken, NJ, USA, 2013. [Google Scholar]
- Nidaullah, H.; Durrani, F.R.; Ahmad, S.; Jan, I.U.; Gul, S. Aqueous extract from different medicinal plants as anticoccidial, growth promotive and immunostimulant in broilers. J. Agric. Biol. Sci. 2010, 5, 53–59. [Google Scholar]
- Wunderlich, F.; Al-Quraishy, S.; Steinbrenner, H.; Sies, H.; Dkhil, M.A. Towards identifying novel anti-Eimeria agents: Trace elements, vitamins, and plant-based natural products. Parasitol. Res. 2014, 113, 3547–3556. [Google Scholar] [CrossRef]
- Hong, S.; Oh, G.W.; Kang, W.G.; Kim, O. Anticoccidial effects of the Plantago asiatica extract on experimental Eimeria tenella infection. Lab. Anim. Res. 2016, 32, 65–69. [Google Scholar] [CrossRef]
- Steinfeld, B.; Scott, J.; Vilander, G.; Marx, L.; Quirk, M.; Lindberg, J.; Koerner, K. The role of lean process improvement in implementation of evidence-based practices in behavioral health care. J. Behav. Health Serv. Res. 2015, 42, 504–518. [Google Scholar] [CrossRef]
- Gouveia, S.; Castilho, P.C. Antioxidant potential of Artemisia argentea L’Hér alcoholic extract and its relation with the phenolic composition. Food Res. Int. 2011, 44, 1620–1631. [Google Scholar] [CrossRef]
- Wang, X.; Yuan, S.; Wang, J.; Lin, P.; Liu, G.; Lu, Y.; Zhang, J.; Wang, W.; Wei, Y. Anticancer activity of litchi fruit pericarp extract against human breast cancer in vitro and in vivo. Toxicol. Appl. Pharmacol. 2006, 215, 168–178. [Google Scholar] [CrossRef]
- Contreras-Castro, A.I.; Oidor-Chan, V.H.; Bustamante-Camilo, P.; Pelayo-Zaldívar, C.; Díaz de León-Sánchez, F.; Mendoza-Espinoza, J.A. Chemical Characterization and Evaluation of the Antihyperglycemic Effect of Lychee (L. chinensis Sonn.) cv. Brewster. J. Med. Food 2022, 25, 61–69. [Google Scholar] [CrossRef]
- Bai, X.Y.; Yang, Z.M.; Shen, W.J.; Shao, Y.Z.; Zeng, J.K.; Li, W. Polyphenol treatment delays the browning of litchi pericarps and promotes the total antioxidant capacity of litchi fruit. Sci. Hortic. 2022, 291, 110563. [Google Scholar] [CrossRef]
- Kong, F.; Zhang, M.; Liao, S.; Yu, S.; Chi, J.; Wei, Z. Antioxidant activity of polysaccharide-enriched fractions extracted from pulp tissue of L. chinensis sonn. Molecules 2010, 15, 2152–2165. [Google Scholar] [CrossRef]
- Mohanpuria, P.; Rana, N.K.; Yadav, S.K. Biosynthesis of nanoparticles: Technological concepts and future applications. J. Nanoparticle Res. 2008, 10, 507–517. [Google Scholar] [CrossRef]
- Kulkarni, N.; Muddapur, U. Biosynthesis of metal nanoparticles: A review. J. Nanotechnol. 2014, 2014, 510246. [Google Scholar] [CrossRef]
- Rauwel, P.; Küünal, S.; Ferdov, S.; Rauwel, E. A review on the green synthesis of silver nanoparticles and their morphologies studied via TEM. Adv. Mater. Sci. Eng. 2015, 2015, 682749. [Google Scholar] [CrossRef]
- Heelan, J.S.; Ingersoll, F.W.; Ingersoll, F.W. Essentials of Human Parasitology; Delmar Publishers: Albany, NY, USA, 2002. [Google Scholar]
- Safdar, N.; Yasmin, A. Antimicrobial investigations from crude and peptide extracts of Glycine max Linn. Merr varieties. Arab. J. Sci. Eng. 2017, 42, 105–113. [Google Scholar]
- E Abdel Moneim, A. The neuroprotective effects of purslane (Portulaca oleracea) on rotenone-induced biochemical changes and apoptosis in brain of rat. CNS Neurol. Disord. Drug Targets (Former. Curr. Drug Targets CNS Neurol. Disord.) 2013, 12, 830–841. [Google Scholar] [CrossRef]
- Akillioglu, H.G.; Karakaya, S. Changes in total phenols, total flavonoids, and antioxidant activities of common beans and pinto beans after soaking, cooking, and in vitro digestion process. Food Sci. Biotechnol. 2010, 19, 633–639. [Google Scholar] [CrossRef]
- Abdel-Moneim, A.E.; Dkhil, M.A.; Al-Quraishy, S. The redox status in rats treated with flaxseed oil and lead-induced hepatotoxicity. Biol. Trace Elem. Res. 2011, 143, 457–467. [Google Scholar] [CrossRef]
- Reitman, S.; Frankel, S. A colorimetric method for the determination of serum glutamic oxalacetic and glutamic pyruvic transaminases. Am. J. Clin. Pathol. 1957, 28, 56–63. [Google Scholar] [CrossRef]
- Dkhil, M.A.; Al-Quraishy, S.; Wahab, R. Anticoccidial and antioxidant activities of zinc oxide nanoparticles on Eimeria papillata-induced infection in the jejunum. Int. J. Nanomed. 2015, 10, 1961. [Google Scholar] [CrossRef]
- Abu-Akkada, S.S.; Oda, S.S.; Ashmawy, K.I. Garlic and hepatic coccidiosis: Prophylaxis or treatment? Trop. Anim. Health Prod. 2010, 42, 1337–1343. [Google Scholar] [CrossRef]
- El Sayed Ahmed, S.; Abdel Razek, M.; El Sherbeny Ramadan, M.; Esmail Mohamed Esmail, E. Hepatic coccidiosis in rabbits and comparative study on treatment with herbal drug. Zagazig Vet. J. 2014, 42, 41–50. [Google Scholar] [CrossRef][Green Version]
- Eladl, A.H.; Mahgoub, H.A.; El-Shafei, R.A.; Al-Kappany, Y.M. Comparative effects of Herba Cox®, a commercial herbal extract, on rabbits (Oryctolagus cuniculus) experimentally infected with Eimeria stiedae. Comp. Immunol. Microbiol. Infect. Dis. 2020, 68, 101378. [Google Scholar] [CrossRef] [PubMed]
- Gomez-Bautista, M.; Rojo-Vazquez, F.A.; Alunda, J.M. The effect of the host’s age on the pathology of Eimeria stiedae infection in rabbits. Vet. Parasitol. 1987, 24, 47–57. [Google Scholar] [CrossRef]
- Peeters, J.E.; Geeroms, R. Efficacy of toltrazuril against intestinal and hepatic coccidiosis in rabbits. Vet. Parasitol. 1986, 22, 21–35. [Google Scholar] [CrossRef]
- Long, P.L.; Millard, B.J.; Joyner, L.P.; Norton, C.C. A guide to laboratory techniques used in the study and diagnosis of avian coccidiosis. Folia Vet. Lat. 1976, 6, 201–217. [Google Scholar]
- Vadlejch, J.; Petrtýl, M.; Lukešová, D.; Cadková, Z.; Kudrnácová, M.; Jankovská, I.; Langrová, I. The Concentration McMaster Technique is Suitable for Quantification of Coccidia Oocysts in Bird Droppings. Pak. Vet. J. 2013, 33, 291–295. [Google Scholar]
- A Seddiek, S.H.; MM Metwally, A.M. Anticoccidial activity of black cumin (Nigella sativa) in rabbits. Assiut Vet. Med. J. 2013, 59, 85–96. [Google Scholar]
- Bancroft, J.D.; Gamble, M. (Eds.) Theory and Practice of Histological Techniques; Elsevier Health Sciences: Amsterdam, The Netherlands, 2008. [Google Scholar]
- Snedecor, G.; Cochran, W. Statistical Method, 8th ed.; Low State University Press: Ames, IA, USA, 1989. [Google Scholar]
- Farag, R.S.; El-Baroty, G.S.; Basuny, A.M. Safety evaluation of olive phenolic compounds as natural antioxidants. Int. J. Food Sci. Nutr. 2003, 54, 159–174. [Google Scholar] [CrossRef]
- Solomon, A.; Golubowicz, S.; Yablowicz, Z.; Grossman, S.; Bergman, M.; Gottlieb, H.E.; Altman, A.; Kerem, Z.; Flaishman, M.A. Antioxidant activities and anthocyanin content of fresh fruits of common fig (Ficus carica L.). J. Agric. Food Chem. 2006, 54, 7717–7723. [Google Scholar] [CrossRef]
- Singh, K.; Agrawal, K.K.; Gupta, J.K. Comparative anthelmintic activity of Aegle marmelos Linn leaves and pulp. J. Pharm. 2012, 2, 395–397. [Google Scholar] [CrossRef]
- Hassan, K.M.; Arafa, W.M.; Mousa, W.M.; Shokier, K.A.; Shany, S.A.; Aboelhadid, S.M. Molecular diagnosis of Eimeria stiedae in hepatic tissue of experimentally infected rabbits. Exp. Parasitol. 2016, 169, 1–5. [Google Scholar] [CrossRef]
- Srivastava, A.; Shivanandappa, T. Hepatoprotective effect of the aqueous extract of the roots of Decalepis hamiltonii against ethanol-induced oxidative stress in rats. Hepatol. Res. 2006, 35, 267–275. [Google Scholar] [CrossRef] [PubMed]
- Lin, S.C.; Chung, T.C.; Lin, C.C.; Ueng, T.H.; Lin, Y.H.; Lin, S.Y.; Wang, L.Y.; Sharma, N.; Shukla, S. Hepatoprotective potential of aqueous extract of Butea monosperma against CCl4 induced damage in rats. Exp. Toxicol. Pathol. 2011, 63, 671–676. [Google Scholar]





| Day | Groups | ||||||
|---|---|---|---|---|---|---|---|
| G1 | G2 | G3 | G4 | G5 | G6 | G7 | |
| Day 1 | Healthy rabbits (negative control group) | Rabbits were orally infected with E. stiedae oocysts followed by daily fecal examination until the appearance of oocysts in feces | Rabbits received AgNPs daily for 14 days | ||||
| Day 10 | Fecal examination | Start treatment with AgNPs for 3 days | Start treatment with amprolium for 3 days | Daily fecal examination | |||
| Day 12 | Stop treatment for 4 days with a daily fecal examination | Oral infection followed by daily fecal examination for 18 days for the presence or absence of oocysts | |||||
| Day 14 | |||||||
| Day 16 | Start treatment with AgNPs for 3 days | Start treatment with amprolium for 3 days | Fecal examination | ||||
| Day 18 | Euthanasia, examination of the liver and intestine | Stoptreatment with AgNPs, begin daily fecal examination for 10 days | Stoptreatment with amprolium, begin daily fecal examination for 10 days | Start treatment with AgNPs for 3 days | Start treatment with amprolium for 3 days | ||
| Day 21 | Finished | Daily fecal examination | Stop treatment and continue a fecal examination for 4 days for the presence of oocysts | Fecal examination | |||
| Day 25 | Start treatment with AgNPs for 3 days | Start treatment with amprolium for 3 days | Fecal examination | ||||
| Day 28 | Euthanasia | Stop treatment, begin daily fecal examination for 10 days | Stop treatment, begin daily fecal examination for 10 days | Fecal examination | |||
| Day 32 | Fecal examination | Fecal examination | Fecal examination and euthanasia | ||||
| Day 37 | Euthanasia | Fecal examination and euthanasia | Fecal examination and euthanasia | ||||
| Parameter | Mean ± SD |
|---|---|
| Total phenolics (mg eq. gallic acid/g sample) | 10.457 ± 0.843 |
| Total flavonoids (mg eq. rutin/g sample) | 0.819 ± 0.045 |
| DPPH (%) | 39.91 ± 1.86 |
| ABTS (μmol eq. Trolox/g sample) | 6.887 ± 0.053 |
| FAB (μmol eq. Trolox/g sample) | 0.375 ± 0.003 |
| Treatment | Day | OPG | Oocyst Reduction (Mean ± SE) (%) |
|---|---|---|---|
| Negative control | Day 0 | 0.0 ± 0.0 k | - |
| Day 21 | 0.0 ± 0.0 k | - | |
| Day 22 | 0.0 ± 0.0 k | - | |
| Day 23 | 0.0 ± 0.0 k | - | |
| Day 24 | 0.0 ± 0.0 k | - | |
| Day 25 | 0.0 ± 0.0 k | - | |
| Day 26 | 0.0 ± 0.0 k | - | |
| Day 27 | 0.0 ± 0.0 k | - | |
| Day 28 | 0.0 ± 0.0 k | - | |
| Infected control | Day 0 | 0.0 ± 0.0 k | - |
| Day 21 | 65.00 ± 1.4 f | - | |
| Day 22 | 73.00 ± 1.14 e | - | |
| Day 23 | 88.80 ± 0.66 d | - | |
| Day 24 | 94.00 ± 1.14 cd | - | |
| Day 25 | 95.80 ± 1.28 cd | - | |
| Day 26 | 98.80 ± 1.02 bc | - | |
| Day 27 | 105.20 ± 1.02 ab | - | |
| Day 28 | 110.40 ± 1.72 a | - | |
| Treated with AgNPs on day 10 PI | Day 0 | 0.0 ± 0.0 k | - |
| Day 21 | 7.80 ± 0.37 hijk | 87.98 ± 0.62 lm (88.00) | |
| Day 22 | 7.40 ± 0.51 hijk | 89.83 ± 0.78 kl (89.86) | |
| Day 23 | 6.40 ± 0.51 hijk | 92.80 ± 0.55 ghij (92.79) | |
| Day 24 | 5.20 ± 0.58 hijk | 94.49 ± 0.58 efg (94.47) | |
| Day 25 | 4.80 ± 0.58 hijk | 94.99 ± 0.60 efg (94.99) | |
| Day 26 | 3.80 ± 0.49 hijk | 96.16 ± 0.49 cde (96.15) | |
| Day 27 | 1.80 ± 0.37 hijk | 98.28 ± 0.37 abc (98.29) | |
| Day 28 | 0.40 ± 0.24 jk | 99.63 ± 0.23 ab (99.64) | |
| T reated with amprolium on day 10 PI | Day 0 | 0.0 ± 0.0 k | - |
| Day 21 | 9.20 ± 0.58 hijk | 85.77 ± 1.13 no (85.85) | |
| Day 22 | 9.00 ± 0.71 hijk | 87.64 ± 1.05 mn (87.67) | |
| Day 23 | 7.20 ± 0.58 hijk | 91.90 ± 0.64 hijk (91.89) | |
| Day 24 | 6.80 ± 0.58 hijk | 92.78 ± 0.57 hijk (92.77) | |
| Day 25 | 6.40 ± 0.51 hijk | 93.32 ± 0.52 fghijk (93.32) | |
| Day 26 | 5.20 ± 0.37 hijk | 94.55 ± 0.37 efg (94.53) | |
| Day 27 | 2.60 ± 0.24 hijk | 97.52 ± 0.25 bcd (97.53) | |
| Day 28 | 1.20 ± 0.49 ijk | 98.90 ± 0.45 ab (98.91) | |
| Treated with AgNPs on day 18 PI | Day 0 | 0.0 ± 0.0 kk | - |
| Day 21 | 10.00 ± 0.45 hi | 84.57 ± 0.83 op (84.62) | |
| Day 22 | 9.60 ± 0.24 hij | 86.83 ± 0.48 mn (86.85) | |
| Day 23 | 7.80 ± 0.37 hijk | 91.20 ± 0.48 jk (91.22) | |
| Day 24 | 6.40 ± 0.93 hijk | 93.16 ± 1.04 ghij (93.19) | |
| Day 25 | 6.20 ± 0.37 hijk | 93.52 ± 0.42 fghi (93.53) | |
| Day 26 | 5.20 ± 0.73 hijk | 94.75 ± 0.73 efg (94.74) | |
| Day 27 | 2.60 ± 0.60 hijk | 97.51 ± 0.59 bcd (97.53) | |
| Day 28 | 1.00 ± 0.45 ijk | 99.08 ± 0.41 ab (99.09) | |
| Treated with amprolium on day 18 PI | Day 0 | 0.0 ± 0.0 k | - |
| Day 21 | 9.20 ± 0.58 hijk | 85.77 ± 1.13 no (83.69) | |
| Day 22 | 9.00 ± 0.71 hijk | 87.64 ± 1.05 mn (87.67) | |
| Day 23 | 7.20 ± 0.58 hijk | 91.90 ± 0.64 hijk (91.44) | |
| Day 24 | 6.80 ± 0.58 hijk | 92.78 ± 0.57 hijk (93.40) | |
| Day 25 | 6.40 ± 0.51 hijk | 93.32 ± 0.52 fghijk (93.95) | |
| Day 26 | 5.20 ± 0.37 hijk | 94.55 ± 0.37 efg (95.55) | |
| Day 27 | 2.60 ± 0.24 hijk | 97.52 ± 0.25 bcd (97.91) | |
| Day 28 | 1.20 ± 0.49 ijk | 98.90 ± 0.45 ab (99.46) | |
| Protected with AgNPs | Day 0 | 0.0 ± 0.0 k | - |
| Day 21 | 0.0 ± 0.0 k | 100.00 ± 0.00 a (100) | |
| Day 22 | 0.0 ± 0.0 k | 100.00 ± 0.00 a (100) | |
| Day 23 | 0.0 ± 0.0 k | 100.00 ± 0.00 a (100) | |
| Day 24 | 0.0 ± 0.0 k | 100.00 ± 0.00 a (100) | |
| Day 25 | 0.0 ± 0.0 k | 100.00 ± 0.00 a (100) | |
| Day 26 | 0.0 ± 0.0 k | 100.00 ± 0.00 a (100) | |
| Day 27 | 1.40 ± 0.60 hijk | 98.66 ± 0.58 ab (98.67) | |
| Day 28 | 1.60 ± 0.51 hijk | 98.52 ± 0.48 ab (98.55) |
| Treatment | BW (g) Day 1 | BW (g) Day 28 | BWG (g) | LW (g) | RLW (g) (%) |
|---|---|---|---|---|---|
| Negative control | 1240.00 ± 25.05 | 1636.00 ± 25.17 bc | 396.00 ± 26.57 b | 35.30 ± 0.26 c | 1.47 ± 0.34 c (1.47) |
| Infected control | 1345.00 ± 54.85 | 1520.00 ± 64.29 c | 175.00 ± 13.23 c | 105.10 ± 0.55 a | 6.73 ± 0.60 a (6.73) |
| Treated with AgNPs on day 10 PI | 1308.00 ± 16.85 | 1934.00 ± 42.50 a | 626.00 ± 45.56 a | 64.56 ± 0.85 b | 3.07 ± 0.48 b (3.07) |
| Treated with amprolium on day 10 PI | 1295.00 ± 19.88 | 1687.00 ± 39.93 bc | 392.00 ± 23.54 b | 63.16 ± 2.05 b | 3.56 ± 0.70 b (3.56) |
| Treated with AgNPs on day 18 PI | 1236.00 ± 17.49 | 1660.00 ± 79.69 bc | 424.00 ± 89.92 b | 65.62 ± 0.81 b | 4.06 ± 0.46 b (4.06) |
| Treated with amprolium on day 18 PI | 1261.00 ± 16.91 | 1744.00 ± 81.15 b | 483.00 ± 69.64 ab | 66.74 ± 1.70 b | 3.98 ± 0.25 b (3.98) |
| AgNPs Protected | 1250.00 ± 31.46 | 1620.00 ± 46.80 bc | 370.00 ± 31.46 b | 62.98 ± 1.47 b | 3.62 ± 0.41 b (3.62) |
| Treatment | Lesion Score | Gross Lesions | Mortality Rate (%) |
|---|---|---|---|
| Negative control | 0.0 ± 0.0 C | 0.0 ± 0.0 B | 0/5 (0.0) |
| Infected control | 2.40 ± 0.98 AB | 35.00 ± 14.35 A | 2/5 (40) |
| Treated with AgNPs on day 10 PI | 2.00 ± 0.00 A | 2.4 ± 1.5 B | 0/5 (0.0) |
| Treated with amprolium on day 10 PI | 2.00 ± 0.00 A | 4.4 ± 2.23 B | 0/5 (0.0) |
| Treated with AgNPs on day 18 PI | 2.00 ± 0.00 A | 4.8 ± 0.66 B | 0/5 (0.0) |
| Treated with amprolium on day 18 PI | 2.00 ± 0.00 A | 3.4 ± 1.47 B | 0/5 (0.0) |
| Protected with AgNPs | 1.00 ± 0.00 B | 0.0 ± 0.0 B | 0/5 (0.0) |
Publisher’s Note: MDPI stays neutral with regard to jurisdictional claims in published maps and institutional affiliations. |
© 2022 by the authors. Licensee MDPI, Basel, Switzerland. This article is an open access article distributed under the terms and conditions of the Creative Commons Attribution (CC BY) license (https://creativecommons.org/licenses/by/4.0/).
Share and Cite
Metwally, D.M.; Alkhuriji, A.F.; Barakat, I.A.H.; Baghdadi, H.B.; El-Khadragy, M.F.; Al-Megrin, W.A.I.; Alanazi, A.D.; Alajmi, F.E. Protective Effect of Litchi chinensis Peel Extract-Prepared Nanoparticles on Rabbits Experimentally Infected with Eimeria stiedae. Animals 2022, 12, 3098. https://doi.org/10.3390/ani12223098
Metwally DM, Alkhuriji AF, Barakat IAH, Baghdadi HB, El-Khadragy MF, Al-Megrin WAI, Alanazi AD, Alajmi FE. Protective Effect of Litchi chinensis Peel Extract-Prepared Nanoparticles on Rabbits Experimentally Infected with Eimeria stiedae. Animals. 2022; 12(22):3098. https://doi.org/10.3390/ani12223098
Chicago/Turabian StyleMetwally, Dina M., Afrah F. Alkhuriji, Ibrahim A. H. Barakat, Hanadi B. Baghdadi, Manal F. El-Khadragy, Wafa Abdullah I. Al-Megrin, Abdullah D. Alanazi, and Fatemah E. Alajmi. 2022. "Protective Effect of Litchi chinensis Peel Extract-Prepared Nanoparticles on Rabbits Experimentally Infected with Eimeria stiedae" Animals 12, no. 22: 3098. https://doi.org/10.3390/ani12223098
APA StyleMetwally, D. M., Alkhuriji, A. F., Barakat, I. A. H., Baghdadi, H. B., El-Khadragy, M. F., Al-Megrin, W. A. I., Alanazi, A. D., & Alajmi, F. E. (2022). Protective Effect of Litchi chinensis Peel Extract-Prepared Nanoparticles on Rabbits Experimentally Infected with Eimeria stiedae. Animals, 12(22), 3098. https://doi.org/10.3390/ani12223098

