Herpetic Pneumonia in Indian Ringneck Parrots (Psittacula krameri): First Report of Novel Psittacid Alphaherpesvirus-5 Infection in Europe
Abstract
Simple Summary
Abstract
1. Introduction
2. Materials and Methods
2.1. Case Description and Diagnostic Investigations
2.2. Bacterial Culturing
2.3. Histopathological Examination
2.4. Transmission Electron Microscopy
2.5. DNA Extraction and Sequencing
3. Results
3.1. Outbreak Information
3.2. Gross Necropsy Findings
3.3. Microbiology
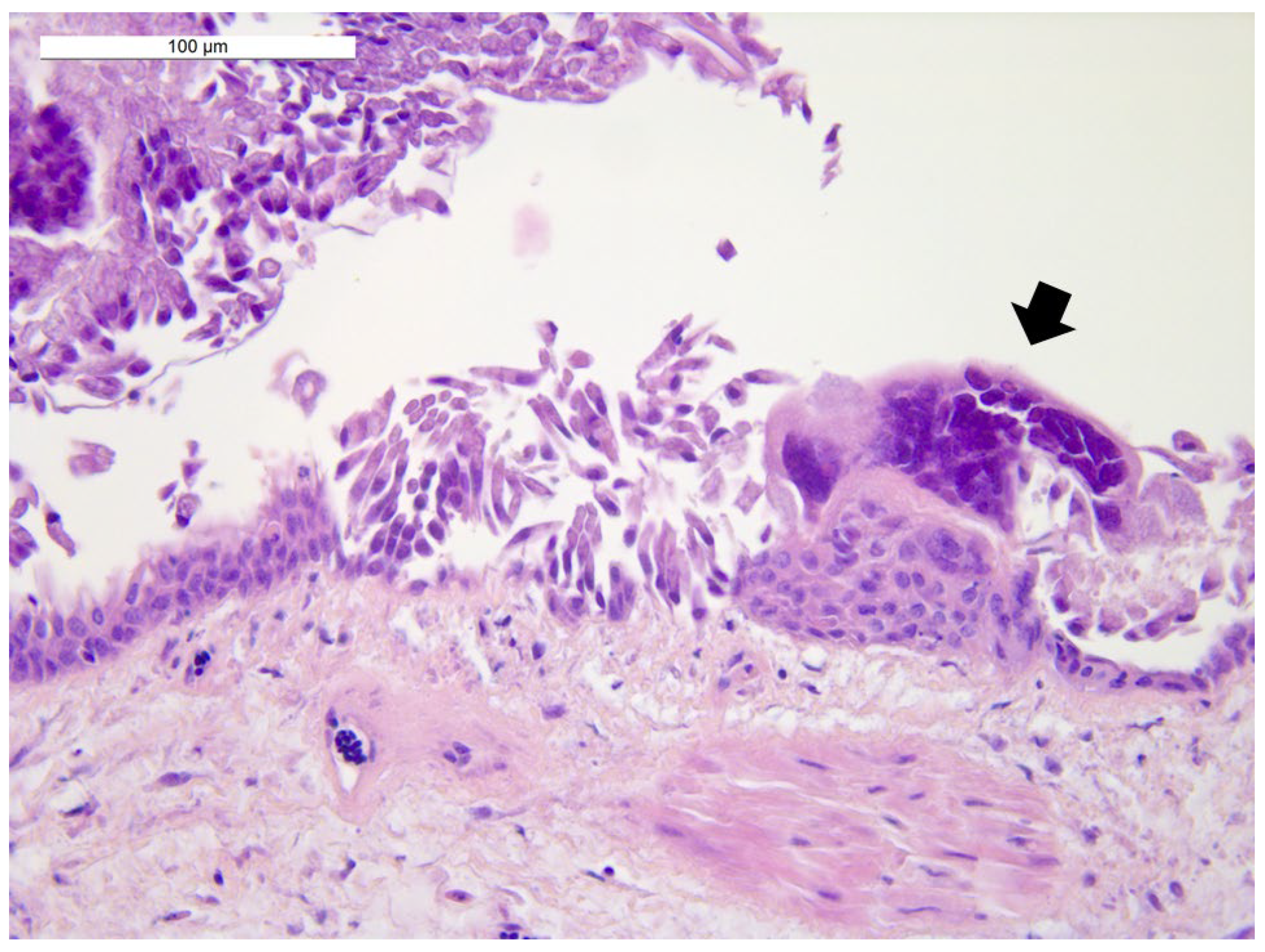
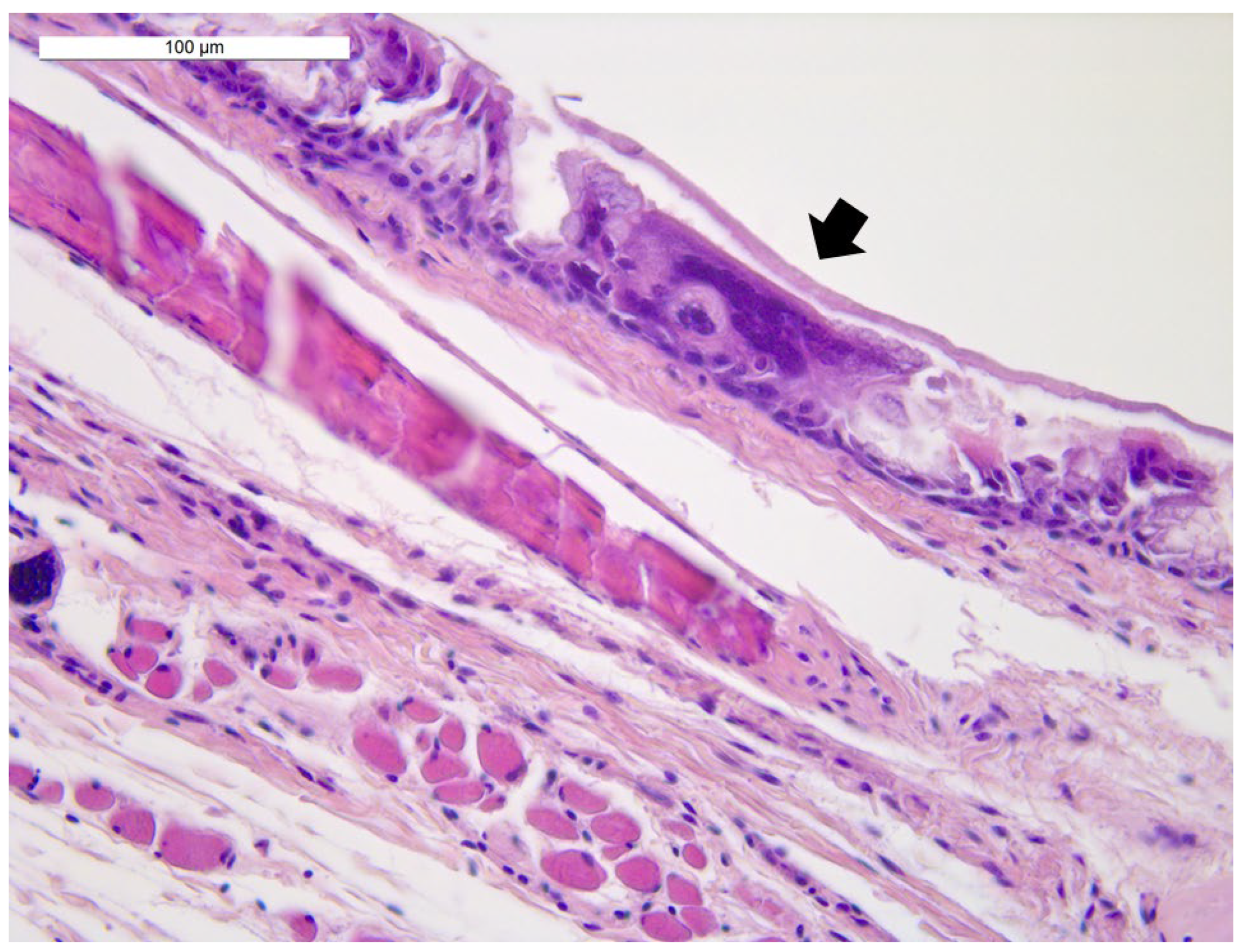
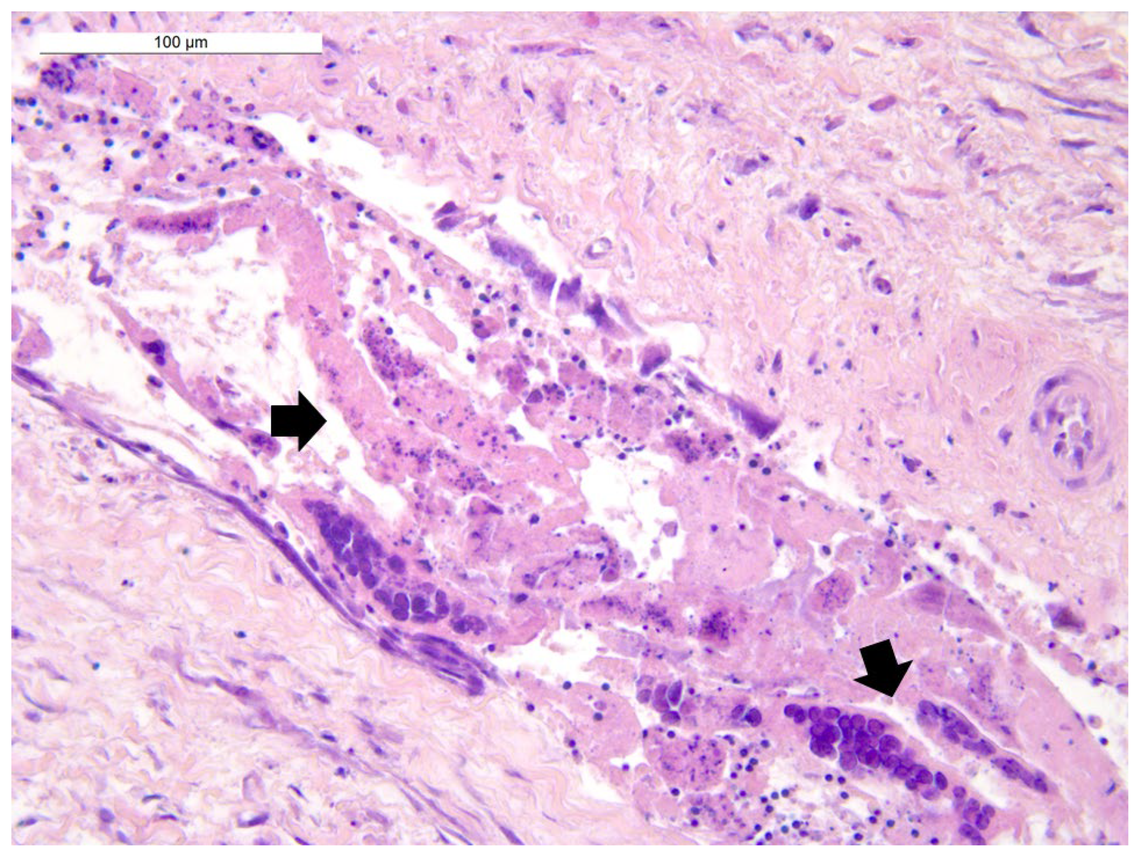
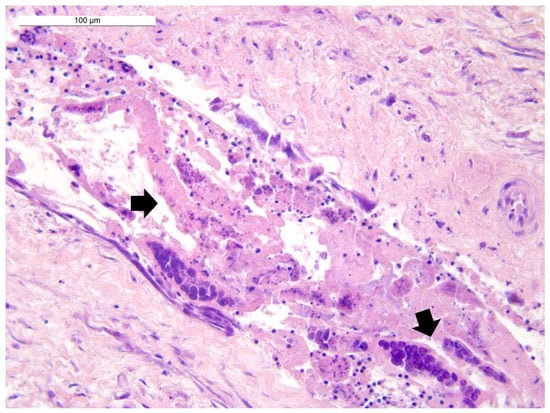
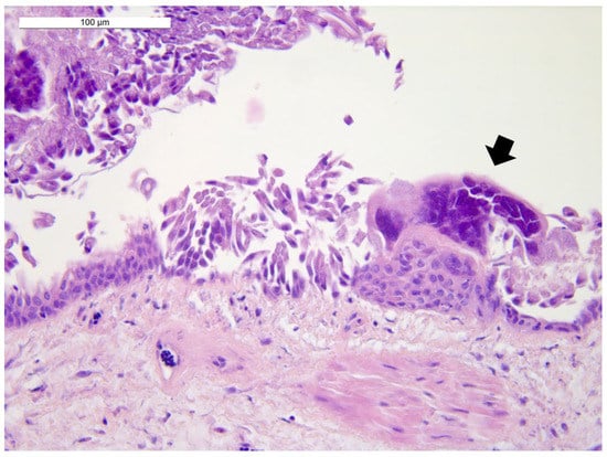
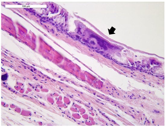
3.4. Histopathological Findings
3.5. Electron Microscopic Findings
3.6. Sequencing and BLAST Results
4. Discussion
5. Conclusions
Author Contributions
Funding
Data Availability Statement
Acknowledgments
Conflicts of Interest
References
- Jenkins, R.J. Avian critical care and emergency medicine. In Avian Medicine and Surgery; Altman, R.B., Clubb, S.L., Dorrestein, G.M., Quesenberry, K.E., Eds.; W.B. Saunders Ltd.: Philadelphia, PA, USA, 1997; pp. 839–863. [Google Scholar]
- Dorrestein, G.M. Respiratory Disease. In Handbook of Avian Medicine; Tully, T.N., Dorrestein, G.M., Jones, A.K., Eds.; W.B. Saunders Ltd.: Philadelphia, PA, USA, 2009; pp. 97–98. [Google Scholar]
- Arca-Ruibal, B. Disorders of the respiratory system. In Avian Medicine; Samour, J., Ed.; Elsevier Ltd.: Saint Louis, MO, USA, 2016; pp. 385–395. [Google Scholar]
- Wernery, U. Herpesvirus infections. In Avian Medicine; Samour, J., Ed.; Elsevier Ltd.: Saint Louis, MO, USA, 2016; pp. 443–448. [Google Scholar]
- Kaleta, E.F.; Doherty, D.E. Avian Herpesviruses. In Infectious Diseases of Wild Birds; Thomas, N.J., Hunter, D.B., Atkinson, C.T., Eds.; Blackwell Publishing Ltd.: Oxford, UK, 2007; pp. 63–86. [Google Scholar]
- Davison, A.J. Evolution of the herpesviruses. Vet. Microbiol. 2002, 86, 69–88. [Google Scholar] [CrossRef]
- Ritchie, B.W.; Carter, K. Avian Viruses: Function and Control; Wingers Publishing: Lake Worth, FL, USA, 1995. [Google Scholar]
- Lazic, T.; Ackermann, M.R.; Drahos, J.M.; Stasko, J.; Haynes, J.S. Respiratory herpesvirus infection in two Indian Ringneck parakeets. J. Vet. Diagn. Investig. 2008, 20, 235–238. [Google Scholar] [CrossRef]
- Katoh, H.; Ogawa, H.; Ohya, K.; Fukushi, H. A review of DNA viral infections in psittacine birds. J. Vet. Med. Sci. 2010, 72, 1099–1106. [Google Scholar] [CrossRef] [PubMed]
- Styles, D.; Tomaszewski, E.; Phalen, D. A novel psittacid herpesvirus found in African grey parrots (Psittacus erithacus erithacus). Avian Pathol. 2005, 34, 150–154. [Google Scholar] [CrossRef]
- Shivaprasad, H.L.; Phalen, D.N. A novel herpesvirus associated with respiratory disease in Bourke’s parrots (Neopsephotus bourkii). Avian Pathol. 2012, 41, 531–539. [Google Scholar] [CrossRef][Green Version]
- Johne, R.; Konrath, A.; Krautwald-Junghanns, M.E.; Kaleta, E.F.; Gerlach, H.; Müller, H. Herpesviral, but no papovaviral sequences, are detected in cloacal papillomas of parrots. Arch. Virol. 2002, 147, 1869–1880. [Google Scholar] [CrossRef]
- Styles, D.K.; Tomaszewski, E.K.; Jaeger, L.A.; Phalen, D.N. Psittacid herpesviruses associated with mucosal papillomas in neotropical parrots. Virology 2004, 325, 24–35. [Google Scholar] [CrossRef] [PubMed]
- Mundhenk, L.; Müller, K.; Lierz, M.; Lüschow, D.; Stahl, T.; Müller, H.; Johne, R. Psittacid herpesvirus DNA in a pancreatic duct carcinoma in a macaw. Vet. Rec. 2009, 164, 306–308. [Google Scholar] [CrossRef] [PubMed]
- Murer, L.; Ribeiro, M.; Kommers, G.; Soares, M.; Cargnelutti, J.; Flores, E.; Lovato, M. Psittacid herpesvirus 3 infection in rose-ringed parakeets in southern Brazil. J. Vet. Diagn. Investig. 2020, 32, 409–412. [Google Scholar] [CrossRef]
- Sutherland, M.; Sarker, S.; Raidal, S. Molecular and microscopic characterisation of a novel pathogenic herpesvirus from Indian ringneck parrots (Psittacula krameri). Vet. Microbiol. 2019, 239. [Google Scholar] [CrossRef]
- Richert-Pöggeler, K.R.; Franzke, K.; Hipp, K.; Kleespies, R.G. Electron Microscopy Methods for Virus Diagnosis and High Resolution Analysis of Viruses. Front. Microbiol. 2018, 9, 3255. [Google Scholar] [CrossRef]
- Schramlová, J.; Arientová, S.; Hulìnská, D. The role of electron microscopy in the rapid diagnosis of viral infections—Review. Folia Microbiol. 2010, 55, 88–101. [Google Scholar] [CrossRef]
- Goldsmith, C.; Miller, S. Modern uses of electron microscopy for detection of viruses. Clin. Microbiol. Rev. 2009, 22, 552–563. [Google Scholar] [CrossRef]
- Waltzek, T.; Kelley, G.; Alfaro, M.; Kurobe, T.; Davison, A.; Hedrick, R. Phylogenetic relationships in the family Alloherpesviridae. Dis. Aquat. Organ. 2009, 84, 179–194. [Google Scholar] [CrossRef]
- Altschul, S.; Gish, W.; Miller, W.; Myers, E.; Lipman, D. Basic local alignment search tool. J. Mol. Biol. 1990, 215, 403–410. [Google Scholar] [CrossRef]
- Liu, F.; Zhou, Z.H. Comparative virion structures of human herpesviruses. In Human Herpesviruses: Biology, Therapy, and Immunoprophylaxis; Cambridge University Press: Cambridge, UK, 2007; pp. 27–43. [Google Scholar] [CrossRef]
- Doane, F.W.; Anderson, N. Electron Microscopy in Diagnostic Virology: A Practical Guide and Atlas; Cambridge University Press: Cambridge, UK, 1987; p. 17. [Google Scholar]
- Wildy, P.; Russell, W.; Horne, R. The morphology of herpes virus. Virology 1960, 12, 204–222. [Google Scholar] [CrossRef]
- Gabor, M.; Gabor, L.J.; Peacock, L.; Srivastava, M.; Rosenwax, A.; Phalen, D. Psittacid Herpesvirus 3 Infection in the Eclectus Parrot (Eclectus roratus) in Australia. Vet. Pathol. 2013, 50, 1053–1057. [Google Scholar] [CrossRef] [PubMed]
- Helfer, D.; Schmitz, J.; Seefeldt, S.; Lowenstine, L. A new viral respiratory infection in parakeets. Avian Dis. 1980, 24, 781–783. [Google Scholar] [CrossRef]
- Tsai, S.S.; Park, J.H.; Hirai, K.; Itakura, C. Herpesvirus infections in psittacine birds in Japan. Avian Pathol. 1993, 22, 141–156. [Google Scholar] [CrossRef]
- Wellehan, J.F.X.; Gagea, M.; Smith, D.A.; Taylor, W.M.; Berhane, Y.; Bienzle, D. Characterization of a herpesvirus associated with tracheitis in Gouldian finches (Erythrura [Chloebia] gouldiae). J. Clin. Microbiol. 2003, 41, 4054–4057. [Google Scholar] [CrossRef]
- McGeoch, D.J.; Davison, A.J. The Molecular Evolutionary History of the Herpesviruses; Academic Press: San Diego, CA, USA, 1999. [Google Scholar]
- Sutherland, M.; Baron, H.; Llinas, J. Recommended Health Care and Disease-Prevention Programs for Herds/Flocks of Exotic Animals. Vet. Clin. Exot. Anim. Pract. 2021, 24, 697–737. [Google Scholar] [CrossRef] [PubMed]
- Rasidi, E.K.; Cornejo, J. Managing the Health of Captive Flocks of Birds. Vet. Clin. Exot. Anim. Pract. 2021, 24, 521–530. [Google Scholar] [CrossRef]
- Rasidi, E.K.; Xie, S. Managing Disease Outbreaks in Captive Flocks of Birds. Vet. Clin. Exot. Anim. Pract. 2021, 24, 531–545. [Google Scholar] [CrossRef] [PubMed]
- Lim, Z.J.K.; Xie, S. Application of Epidemiology and Principles of Herd/Flock Health for the Exotic Animal Veterinarian. Vet. Clin. Exot. Anim. Pract. 2021, 24, 495–507. [Google Scholar] [CrossRef] [PubMed]
- Dimmock, N.J.; Easton, A.J.; Leppard, K.N. Introduction to Modern Virology, 6th ed.; Dimmock, N.J., Easton, A.J., Leppard, K.N., Eds.; Blackwell Publishing Ltd.: Malden, MA, USA, 2006. [Google Scholar]






Publisher’s Note: MDPI stays neutral with regard to jurisdictional claims in published maps and institutional affiliations. |
© 2022 by the authors. Licensee MDPI, Basel, Switzerland. This article is an open access article distributed under the terms and conditions of the Creative Commons Attribution (CC BY) license (https://creativecommons.org/licenses/by/4.0/).
Share and Cite
Bottinelli, M.; Fortin, A.; Zanardello, C.; Budai, J.; Gobbo, F.; Antonazzo, G.; Leone, S.; Merenda, M.; Terregino, C.; Catania, S. Herpetic Pneumonia in Indian Ringneck Parrots (Psittacula krameri): First Report of Novel Psittacid Alphaherpesvirus-5 Infection in Europe. Animals 2022, 12, 188. https://doi.org/10.3390/ani12020188
Bottinelli M, Fortin A, Zanardello C, Budai J, Gobbo F, Antonazzo G, Leone S, Merenda M, Terregino C, Catania S. Herpetic Pneumonia in Indian Ringneck Parrots (Psittacula krameri): First Report of Novel Psittacid Alphaherpesvirus-5 Infection in Europe. Animals. 2022; 12(2):188. https://doi.org/10.3390/ani12020188
Chicago/Turabian StyleBottinelli, Marco, Andrea Fortin, Claudia Zanardello, Jane Budai, Federica Gobbo, Gianmaria Antonazzo, Stefania Leone, Marianna Merenda, Calogero Terregino, and Salvatore Catania. 2022. "Herpetic Pneumonia in Indian Ringneck Parrots (Psittacula krameri): First Report of Novel Psittacid Alphaherpesvirus-5 Infection in Europe" Animals 12, no. 2: 188. https://doi.org/10.3390/ani12020188
APA StyleBottinelli, M., Fortin, A., Zanardello, C., Budai, J., Gobbo, F., Antonazzo, G., Leone, S., Merenda, M., Terregino, C., & Catania, S. (2022). Herpetic Pneumonia in Indian Ringneck Parrots (Psittacula krameri): First Report of Novel Psittacid Alphaherpesvirus-5 Infection in Europe. Animals, 12(2), 188. https://doi.org/10.3390/ani12020188

