Hemorrhagic Meningoencephalomyelitis Due to Ectopic Localization of Aelurostrongylus abstrusus in a Cat: First Case Report
Abstract
:Simple Summary
Abstract
1. Introduction
2. Case Details
2.1. Clinical Case
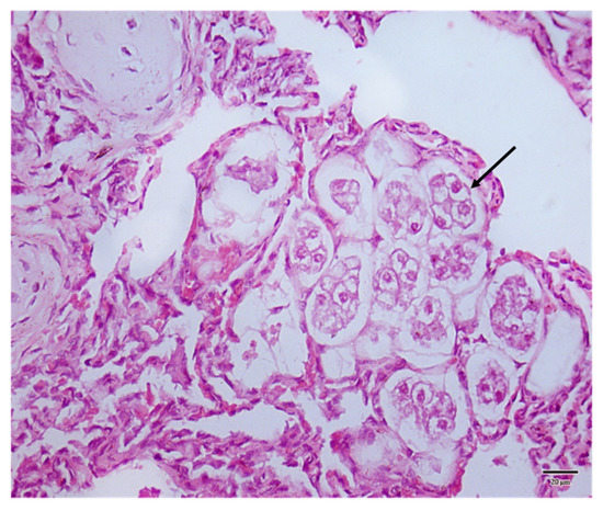
2.2. Necropsy and Histopathology
2.3. Molecular Biology
3. Discussion
4. Conclusions
Author Contributions
Funding
Institutional Review Board Statement
Informed Consent Statement
Data Availability Statement
Acknowledgments
Conflicts of Interest
References
- Morelli, S.; Diakou, A.; Colombo, M.; Di Cesare, A.; Barlaam, A.; Dimzas, D.; Traversa, D. Cat respiratory nematodes: Current knowledge, novel data and warranted studies on clinical features, treatment and control. Pathogens 2021, 10, 454. [Google Scholar] [CrossRef] [PubMed]
- Stevanović, O.; Diakou, A.; Morelli, S.; Paraš, S.; Trbojević, I.; Nedić, D.; Sladojević, Ž.; Kasagić, D.; Di Cesare, A. Severe verminous pneumonia caused by natural mixed infection with Aelurostrongylus abstrusus and Angiostrongylus chabaudi in a European Wildcat from western balkan area. Acta Parasitol. 2019, 64, 411–417. [Google Scholar] [CrossRef] [PubMed]
- Diakou, A.; Dimzas, D.; Astaras, C.; Savvas, I.; Di Cesare, A.; Morelli, S.; Neofitos, Κ.; Migli, D.; Traversa, D. Clinical investigations and treatment outcome in a European wildcat (Felis silvestris silvestris) infected by cardio-pulmonary nematodes. Vet. Parasitol. Reg. Stud. Rep. 2020, 19, 100357. [Google Scholar] [CrossRef]
- Traversa, D.; Morelli, S.; Di Cesare, A.; Diakou, A. Felid cardiopulmonary nematodes: Dilemmas solved and new questions posed. Pathogens 2021, 10, 30. [Google Scholar] [CrossRef] [PubMed]
- Hobmaier, M.; Hobmaier, A. Mammalian phase of the lung-worm Aelurostrongylus abstrusus in the cat. J. Am. Vet. Med. A 1935, 87, 191–198. [Google Scholar]
- Elsheikha, H.M.; Schnyder, M.; Traversa, D.; Di Cesare, A.; Wright, I.; Lacher, D.W. Updates on feline aelurostrongylosis and research priorities for the next decade. Parasit. Vectors 2016, 9, 1–15. [Google Scholar] [CrossRef] [Green Version]
- Dimzas, D.; Morelli, S.; Traversa, D.; Di Cesare, A.; Van Bourgonie, Y.R.; Breugelmans, K.; Backeljau, T.; di Regalbono, A.F.; Diakou, A. Intermediate gastropod hosts of major feline cardiopulmonary nematodes in an area of wildcat and domestic cat sympatry in Greece. Parasit. Vectors 2020, 13, 345. [Google Scholar] [CrossRef]
- Morelli, S.; Colombo, M.; Diakou, A.; Traversa, D.; Grillini, M.; Frangipane di Regalbono, A.; Di Cesare, A. The influence of temperature on the larval development of Aelurostrongylus abstrusus in the land snail Cornu aspersum. Pathogens 2021, 10, 960. [Google Scholar] [CrossRef]
- Jeżewski, W.; Buńkowska-Gawlik, K.; Hildebrand, J.; Perec-Matysiak, A.; Laskowski, Z. Intermediate and paratenic hosts in the life cycle of Aelurostrongylus abstrusus in natural environment. Vet. Parasitol. 2013, 198, 401–405. [Google Scholar] [CrossRef]
- Schnyder, M.; Di Cesare, A.; Basso, W.; Guscetti, F.; Riond, B.; Glaus, T.; Crisi, P.; Deplazes, P. Clinical, laboratory and pathological findings in cats experimentally infected with Aelurostrongylus abstrusus. Parasitol. Res. 2014, 113, 1425–1433. [Google Scholar] [CrossRef]
- Traversa, D.; Iorio, R.; Otranto, D. Diagnostic and clinical implications of a nested PCR specific for ribosomal DNA of the feline lungworm Aelurostrongylus abstrusus (Nematoda, Strongylida). J. Clin. Microbiol. 2008, 46, 1811–1817. [Google Scholar] [CrossRef] [Green Version]
- Di Cesare, A.; Veronesi, F.; Frangipane di Regalbono, A.; Iorio, R.; Traversa, D. Novel molecular assay for simultaneous identification of neglected lungworms and heartworms affecting cats. J. Clin. Microbiol. 2015, 53, 3009–3013. [Google Scholar] [CrossRef] [PubMed] [Green Version]
- Raue, K.; Raue, J.; Hauck, D.; Söbbeler, F.; Morelli, S.; Traversa, D.; Schnyder, M.; Volk, H.; Strube, C. Do all roads lead to Rome? The potential of different approaches to diagnose Aelurostrongylus abstrusus infection in cats. Pathogens 2021, 14, 602. [Google Scholar] [CrossRef] [PubMed]
- Oliveira-Júnior, S.D.; Barçante, J.M.P.; Barçante, T.A.; Ribeiro, V.M.; Lima, W.S. Ectopic location of adult worms and first-stage larvae of Angiostrongylus vasorum in an infected dog. Vet. Parasitol. 2004, 121, 293–296. [Google Scholar] [CrossRef]
- Wessmann, A.; Lu, D.; Lamb, C.R.; Smyth, B.; Mantis, P.; Chandler, K.; Boag, A.; Cherubini, G.B.; Cappello, R. Brain and spinal cord haemorrhages associated with Angiostrongylus vasorum infection in four dogs. Vet. Rec. 2006, 158, 858–863. [Google Scholar] [CrossRef]
- Barratt, J.; Chan, D.; Sandaradura, I.; Malik, R.; Spielman, D.; Lee, R.; Marriott, D.; Harkness, J.; Ellis, J.; Stark, D. Angiostrongylus cantonensis: A review of its distribution, molecular biology and clinical significance as a human pathogen. Parasitology 2016, 143, 1087–1118. [Google Scholar] [CrossRef] [PubMed] [Green Version]
- Gerichter, C.B. Studies on the nematodes parasitic in the lungs of Felidae in Palestine. Parasitology 1949, 39, 251–262. [Google Scholar] [CrossRef] [PubMed]
- Stockdale, P.H. The pathogenesis of the lesions elicited by Aelurostrongylus abstrusus during its prepatent period. Pathol. Vet. 1970, 7, 102–115. [Google Scholar] [CrossRef]
- López-Contreras, F.; Rojas-Barón, L.; Gómez, M.; Morera, F.; Sepúlveda, P.; Moroni, M.; Muñoz, P.; Acosta-Jammett, G.; Mieres, M.; Hirzmann, J.; et al. Molecular Detection of Gurltia paralysans by Semi-Nested PCR in Cerebrospinal Fluid and Serum Samples from Domestic Cats (Felis catus). Animals 2020, 10, 1169. [Google Scholar] [CrossRef] [PubMed]
- Mackerras, J. Observations on the life history of the cat lungworm, Aelurostrongylus abstrusus. Aust. J. Zool. 1957, 5, 188–195. [Google Scholar] [CrossRef]
- Hamilton, J.M. Aelurostrongylus abstrusus infestation of the cat. Vet. Rec. 1963, 75, 417–422. [Google Scholar]
- Giannelli, A.; Ramos, R.A.; Annoscia, G.; Di Cesare, A.; Colella, V.; Brianti, E.; Dantas-Torres, F.; Mutafchiev, Y.; Otranto, D. Development of the feline lungworms Aelurostrongylus abstrusus and Troglostrongylus brevior in Helix aspersa snails. Parasitology 2014, 141, 563–569. [Google Scholar] [CrossRef]
- Muñoz, P.; Hirzmann, J.; Rodriguez, E.; Moroni, M.; Taubert, A.; Gibbons, L.; Hermosilla, C.; Gómez, M. Redescription and first molecular characterization of the little known feline neurotropic nematode Gurltia paralysans (Nematoda: Metastrongyloidea). Vet. Parasitol. Reg. Stud. Rep. 2017, 10, 119–125. [Google Scholar] [CrossRef]
- Dazzi, C.C.; Santos, A.D.; Machado, T.P.; Ataíde, M.W.; Rodriguez, R.; Pereira, A.M.; García, P.S.; Motta, A.C.D. First case report of nematode parasitic myelopathy in a wild feline in Brazil. Rev. Bras. Parasitol. Vet. 2020, 29, e014619. [Google Scholar] [CrossRef] [PubMed] [Green Version]
- Hurníková, Z.; Čabanová, V.; Karpjak, P.; Kasenčák, M.; Miterpáková, M. Rare case of Angiostrongylus vasorum intraocular infestation in an asymptomatic dog. Helminthologia 2019, 56, 319. [Google Scholar] [CrossRef] [PubMed] [Green Version]
- Di Cesare, A.; Morelli, S.; Colombo, M.; Simonato, G.; Veronesi, F.; Marcer, F.; Diakou, A.; D’Angelosante, R.; Pantchev, N.; Psaralexi, E.; et al. Is Angiostrongylosis a Realistic Threat for Domestic Cats? Front. Vet. Sci. 2020, 7, 195. [Google Scholar] [CrossRef] [PubMed]
- Giannetto, S.; Gaglio, G.; Napoli, E.; Falsone, L.; Giannetto, S.; Latrofa, M.S.; Giannelli, A.; Dantas-Torres, F.; Otranto, D. Evidence for direct transmission of the cat lungworm Troglostrongylus brevior (Strongylida:Crenosomatidae). Parasitology 2013, 140, 821–824. [Google Scholar]
- Penagos-Tabares, F.; Lange, M.K.; Vélez, J.; Hirzmann, J.; Gutiérrez-Arboleda, J.; Taubert, A.; Hermosilla, C.; Chaparro Gutiérrez, J.J. The invasive giant African snail Lissachatina fulica as natural intermediate host of Aelurostrongylus abstrusus, Angiostrongylus vasorum, Troglostrongylus brevior, and Crenosoma vulpis in Colombia. PLoS Negl. Trop. Dis. 2019, 13, e0007277. [Google Scholar] [CrossRef]
- Philbey, A.W.; Krause, S.; Jefferies, R. Verminous pneumonia and enteritis due to hyperinfection with Aelurostrongylus abstrusus in a kitten. J. Comp. Pathol. 2014, 150, 357–360. [Google Scholar] [CrossRef] [PubMed]
- Ellis, A.E.; Brown, C.A.; Yabsley, M.J. Aelurostrongylus abstrusus larvae in the colon of two cats. J. Vet. Diagn. Investig. 2010, 22, 652–655. [Google Scholar] [CrossRef] [Green Version]
- Hartmann, K. Clinical aspects of feline retroviruses: A review. Viruses 2012, 4, 2684–2710. [Google Scholar] [CrossRef] [PubMed] [Green Version]





| Complete Blood Count | Result | Reference Ranges |
|---|---|---|
| Hematocrit% | 20.0 | 25–45 |
| Hemoglobin g/dL | 7.1 | 8.0–17.0 |
| Erythrocytes mil./mm3 | 4.80 | 5.0–10.0 |
| Reticulocytes% (absolut/mm3) | 0 | 0.5–1.0% (27,500–55,000) |
| Plasma proteins | 5.80 | 6.5–7.5 |
| Platelets/mm3 | 116.000 | 200,000–800,000 |
| Serum biochemistry | ||
| Total protein g/dL | 4.0 | 5.4–7.6 |
| Albumin g/dL | 1.7 | 2.1–3.3 |
| Globulins g/dL | 2.3 | 2.8–5.5 |
Publisher’s Note: MDPI stays neutral with regard to jurisdictional claims in published maps and institutional affiliations. |
© 2022 by the authors. Licensee MDPI, Basel, Switzerland. This article is an open access article distributed under the terms and conditions of the Creative Commons Attribution (CC BY) license (https://creativecommons.org/licenses/by/4.0/).
Share and Cite
Tinoco, F.V.; Morelli, S.; de Farias Brito, M.; Oliveira Pereira, G.; Correia Oliveira, M.; Diakou, A.; Colombo, M.; Frangipane di Regalbono, A.; Traversa, D. Hemorrhagic Meningoencephalomyelitis Due to Ectopic Localization of Aelurostrongylus abstrusus in a Cat: First Case Report. Animals 2022, 12, 128. https://doi.org/10.3390/ani12020128
Tinoco FV, Morelli S, de Farias Brito M, Oliveira Pereira G, Correia Oliveira M, Diakou A, Colombo M, Frangipane di Regalbono A, Traversa D. Hemorrhagic Meningoencephalomyelitis Due to Ectopic Localization of Aelurostrongylus abstrusus in a Cat: First Case Report. Animals. 2022; 12(2):128. https://doi.org/10.3390/ani12020128
Chicago/Turabian StyleTinoco, Fernanda Viola, Simone Morelli, Marilene de Farias Brito, Gabriela Oliveira Pereira, Mariana Correia Oliveira, Anastasia Diakou, Mariasole Colombo, Antonio Frangipane di Regalbono, and Donato Traversa. 2022. "Hemorrhagic Meningoencephalomyelitis Due to Ectopic Localization of Aelurostrongylus abstrusus in a Cat: First Case Report" Animals 12, no. 2: 128. https://doi.org/10.3390/ani12020128
APA StyleTinoco, F. V., Morelli, S., de Farias Brito, M., Oliveira Pereira, G., Correia Oliveira, M., Diakou, A., Colombo, M., Frangipane di Regalbono, A., & Traversa, D. (2022). Hemorrhagic Meningoencephalomyelitis Due to Ectopic Localization of Aelurostrongylus abstrusus in a Cat: First Case Report. Animals, 12(2), 128. https://doi.org/10.3390/ani12020128

