Prolactin Expression in the Baboon (Papio hamadryas) Eye
Abstract
Simple Summary
Abstract
1. Introduction
2. Materials and Methods
2.1. Animal Model
2.2. Biological Material
2.3. RNA Isolation of Ocular Tissues
2.4. Reverse Transcription (RT) and Polymerase Chain Reaction (PCR)
2.5. Molecular Cloning, Sequencing, and Sequence Analysis of PRL mRNA
2.6. Phylogenetic Analysis
2.7. IF Assays
3. Results
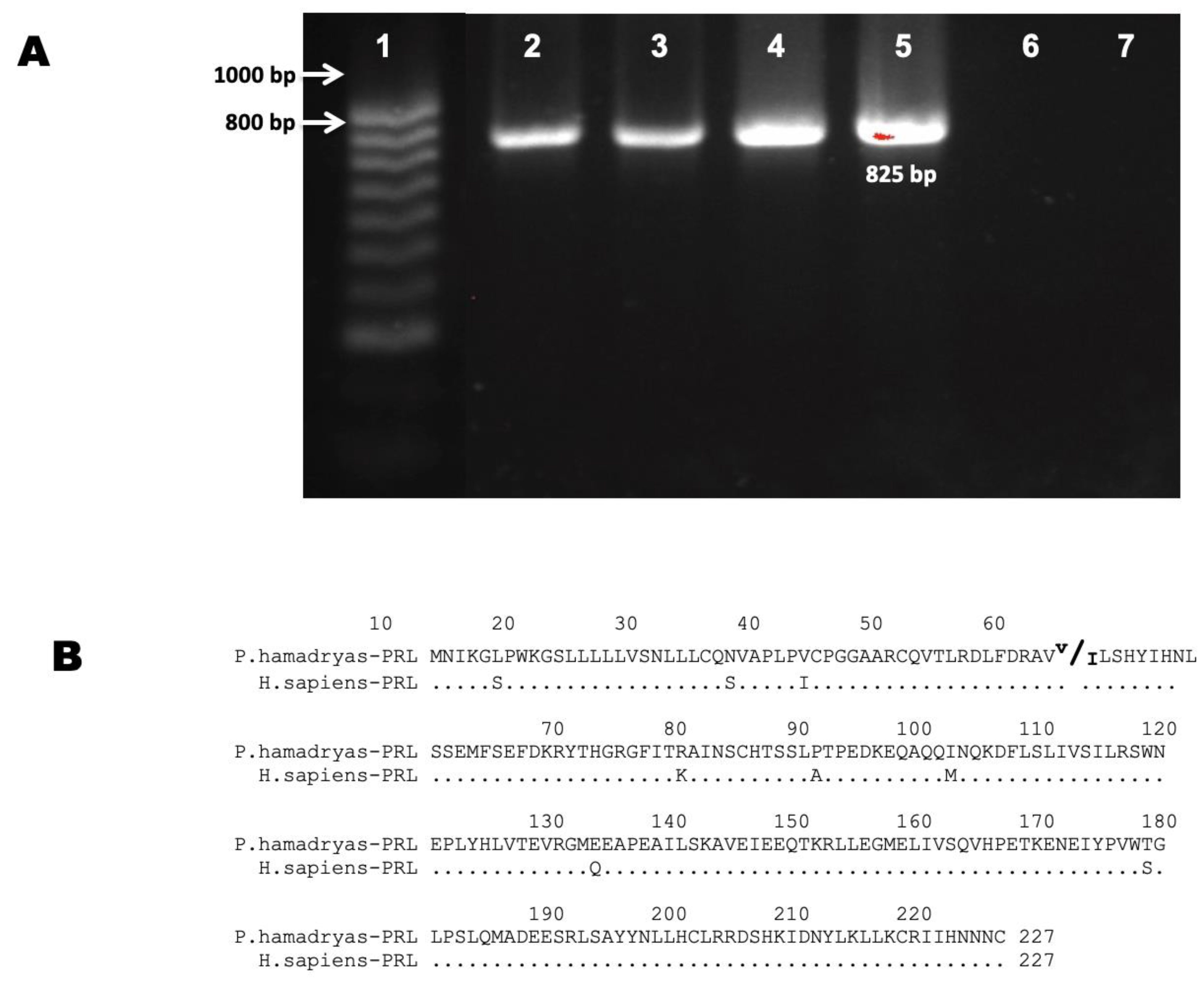
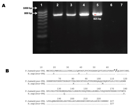
3.1. PRL mRNA Is Expressed in the Baboon Eye Retina
3.2. PRL and PRLR Protein Expression in Fetus and Adult Baboon’s Retina
3.3. Phylogenetic Analysis Demonstrates Gene Purifying Selection
4. Discussion
5. Conclusions
Supplementary Materials
Author Contributions
Funding
Institutional Review Board Statement
Informed Consent Statement
Data Availability Statement
Acknowledgments
Conflicts of Interest
References
- Clapp, C.; Gonzalez, C.; Macotela, Y.; Aranda, J.; Rivera, J.C.; Garcia, C.; Guzman, J.; Zamorano, M.; Vega, C.; Martin, C.; et al. Vasoinhibins: A family of N-terminal prolactin fragments that inhibit angiogenesis and vascular function. Front. Horm. Res. 2006, 35, 64–73. [Google Scholar] [CrossRef] [PubMed]
- Freeman, M.E.; Kanyicska, B.; Lerant, A.; Nagy, G. Prolactin: Structure, function, and regulation of secretion. Physiol. Rev. 2000, 80, 1523–1631. [Google Scholar] [CrossRef] [PubMed]
- Stewart, C.; Marshall, C.J. Seasonality of prolactin in birds and mammals. J. Exp. Zool A Ecol. Integr. Physiol. 2022. Early View. [Google Scholar] [CrossRef] [PubMed]
- Dobolyi, A.; Olah, S.; Keller, D.; Kumari, R.; Fazekas, E.A.; Csikos, V.; Renner, E.; Cservenak, M. Secretion and Function of Pituitary Prolactin in Evolutionary Perspective. Front. Neurosci. 2020, 14, 621. [Google Scholar] [CrossRef]
- Wallis, M. Episodic evolution of protein hormones: Molecular evolution of pituitary prolactin. J. Mol. Evol. 2000, 50, 465–473. [Google Scholar] [CrossRef]
- Wallis, M. Molecular evolution of prolactin in Chiroptera: Accelerated evolution and a large insertion in vespertilionid bats. Gen. Comp. Endocrinol. 2018, 269, 102–111. [Google Scholar] [CrossRef]
- Pare, P.; Reales, G.; Paixao-Cortes, V.R.; Vargas-Pinilla, P.; Viscardi, L.H.; Fam, B.; Pissinatti, A.; Santos, F.R.; Bortolini, M.C. Molecular evolutionary insights from PRLR in mammals. Gen. Comp. Endocrinol. 2021, 309, 113791. [Google Scholar] [CrossRef]
- Wallis, O.C.; Mac-Kwashie, A.O.; Makri, G.; Wallis, M. Molecular evolution of prolactin in primates. J. Mol. Evol. 2005, 60, 606–614. [Google Scholar] [CrossRef]
- Rana, M.; Jain, S.; Choubey, P. Prolactin and its significance in the placenta. Hormones (Athens) 2022, 21, 209–219. [Google Scholar] [CrossRef]
- Si, Y.; Li, H.; Gong, X.; Bao, B. Isolation of prolactin gene and its differential expression during metamorphosis involving eye migration of Japanese flounder Paralichthys olivaceus. Gene 2021, 780, 145522. [Google Scholar] [CrossRef]
- Bole-Feysot, C.; Goffin, V.; Edery, M.; Binart, N.; Kelly, P.A. Prolactin (PRL) and its receptor: Actions, signal transduction pathways and phenotypes observed in PRL receptor knockout mice. Endocr. Rev. 1998, 19, 225–268. [Google Scholar] [CrossRef]
- Ben-Jonathan, N.; Hugo, E.R.; Brandebourg, T.D.; LaPensee, C.R. Focus on prolactin as a metabolic hormone. Trends Endocrinol Metab 2006, 17, 110–116. [Google Scholar] [CrossRef] [PubMed]
- Grattan, D.R.; Kokay, I.C. Prolactin: A pleiotropic neuroendocrine hormone. J. Neuroendocrinol. 2008, 20, 752–763. [Google Scholar] [CrossRef] [PubMed]
- Clapp, C.; Thebault, S.; Macotela, Y.; Moreno-Carranza, B.; Triebel, J.; Martinez de la Escalera, G. Regulation of blood vessels by prolactin and vasoinhibins. Adv. Exp. Med. Biol. 2015, 846, 83–95. [Google Scholar] [CrossRef] [PubMed]
- Vazquez-Membrillo, M.; Siqueiros-Marquez, L.; Nunez, F.F.; Diaz-Lezama, N.; Adan-Castro, E.; Ramirez-Hernandez, G.; Adan, N.; Macotela, Y.; Martinez de la Escalera, G.; Clapp, C. Prolactin stimulates the vascularisation of the retina in newborn mice under hyperoxia conditions. J. Neuroendocrinol. 2020, 32, e12858. [Google Scholar] [CrossRef]
- Marano, R.J.; Ben-Jonathan, N. Minireview: Extrapituitary prolactin: An update on the distribution, regulation, and functions. Mol. Endocrinol. 2014, 28, 622–633. [Google Scholar] [CrossRef]
- Ochoa, A.; Montes de Oca, P.; Rivera, J.C.; Duenas, Z.; Nava, G.; de La Escalera, G.M.; Clapp, C. Expression of prolactin gene and secretion of prolactin by rat retinal capillary endothelial cells. Investig. Ophthalmol. Vis. Sci. 2001, 42, 1639–1645. [Google Scholar]
- Aranda, J.; Rivera, J.C.; Jeziorski, M.C.; Riesgo-Escovar, J.; Nava, G.; Lopez-Barrera, F.; Quiroz-Mercado, H.; Berger, P.; Martinez de la Escalera, G.; Clapp, C. Prolactins are natural inhibitors of angiogenesis in the retina. Investig. Ophthalmol. Vis. Sci. 2005, 46, 2947–2953. [Google Scholar] [CrossRef]
- Rivera, J.C.; Aranda, J.; Riesgo, J.; Nava, G.; Thebault, S.; Lopez-Barrera, F.; Ramirez, M.; Martinez de la Escalera, G.; Clapp, C. Expression and cellular localization of prolactin and the prolactin receptor in mammalian retina. Exp. Eye Res. 2008, 86, 314–321. [Google Scholar] [CrossRef]
- Sudharsan, R.; Murgiano, L.; Tang, H.Y.; Olsen, T.W.; Chavali, V.R.M.; Aguirre, G.D.; Beltran, W.A. Short prolactin isoforms are expressed in photoreceptors of canine retinas undergoing retinal degeneration. Sci. Rep. 2021, 11, 460. [Google Scholar] [CrossRef]
- Perez-Ibave, D.C.; Rodriguez-Sanchez, I.P.; Garza-Rodriguez, M.L.; Perez-Maya, A.A.; Luna, M.; Aramburo, C.; Tsin, A.; Perry, G.; Mohamed-Noriega, K.; Mohamed-Noriega, J.; et al. Expression of growth hormone gene in the baboon eye. Exp. Eye Res. 2018, 169, 157–169. [Google Scholar] [CrossRef] [PubMed]
- Melendez Garcia, R.; Arredondo Zamarripa, D.; Arnold, E.; Ruiz-Herrera, X.; Noguez Imm, R.; Baeza Cruz, G.; Adan, N.; Binart, N.; Riesgo-Escovar, J.; Goffin, V.; et al. Prolactin protects retinal pigment epithelium by inhibiting sirtuin 2-dependent cell death. EBioMedicine 2016, 7, 35–49. [Google Scholar] [CrossRef]
- Garcia, C.; Aranda, J.; Arnold, E.; Thebault, S.; Macotela, Y.; Lopez-Casillas, F.; Mendoza, V.; Quiroz-Mercado, H.; Hernandez-Montiel, H.L.; Lin, S.H.; et al. Vasoinhibins prevent retinal vasopermeability associated with diabetic retinopathy in rats via protein phosphatase 2A-dependent eNOS inactivation. J. Clin. Investig. 2008, 118, 2291–2300. [Google Scholar] [CrossRef] [PubMed]
- Nunez-Amaro, C.D.; Moreno-Vega, A.I.; Adan-Castro, E.; Zamora, M.; Garcia-Franco, R.; Ramirez-Neria, P.; Garcia-Roa, M.; Villalpando, Y.; Robles, J.P.; Ramirez-Hernandez, G.; et al. Levosulpiride Increases the Levels of Prolactin and Antiangiogenic Vasoinhibin in the Vitreous of Patients with Proliferative Diabetic Retinopathy. Transl Vis. Sci. Technol. 2020, 9, 27. [Google Scholar] [CrossRef]
- Ramirez, M.; Wu, Z.; Moreno-Carranza, B.; Jeziorski, M.C.; Arnold, E.; Diaz-Lezama, N.; Martinez de la Escalera, G.; Colosi, P.; Clapp, C. Vasoinhibin gene transfer by adenoassociated virus type 2 protects against VEGF- and diabetes-induced retinal vasopermeability. Investig. Ophthalmol. Vis. Sci. 2011, 52, 8944–8950. [Google Scholar] [CrossRef] [PubMed]
- Arnold, E.; Rivera, J.C.; Thebault, S.; Moreno-Paramo, D.; Quiroz-Mercado, H.; Quintanar-Stephano, A.; Binart, N.; Martinez de la Escalera, G.; Clapp, C. High levels of serum prolactin protect against diabetic retinopathy by increasing ocular vasoinhibins. Diabetes 2010, 59, 3192–3197. [Google Scholar] [CrossRef] [PubMed]
- Saitou, N.; Nei, M. The neighbor-joining method: A new method for reconstructing phylogenetic trees. Mol. Biol. Evol. 1987, 4, 406–425. [Google Scholar] [CrossRef] [PubMed]
- Li, W.H.; Wu, C.I.; Luo, C.C. A new method for estimating synonymous and nonsynonymous rates of nucleotide substitution considering the relative likelihood of nucleotide and codon changes. Mol. Biol. Evol. 1985, 2, 150–174. [Google Scholar] [CrossRef] [PubMed]
- Perez-Ibave, D.C.; Gonzalez-Alvarez, R.; de La Luz Martinez-Fierro, M.; Ruiz-Ayma, G.; Luna-Munoz, M.; Martinez-De-Villarreal, L.E.; De Lourdes Garza-Rodriguez, M.; Resendez-Perez, D.; Mohamed-Noriega, J.; Garza-Guajardo, R.; et al. Olfactomedin-like 2 A and B (OLFML2A and OLFML2B) expression profile in primates (human and baboon). Biol. Res. 2016, 49, 44. [Google Scholar] [CrossRef]
- Hendrickx, A.G.; Peterson, P.E. Perspectives on the use of the baboon in embryology and teratology research. Hum. Reprod. Update 1997, 3, 575–592. [Google Scholar] [CrossRef]
- Rodriguez-Sanchez, I.P.; Tejero, M.E.; Cole, S.A.; Comuzzie, A.G.; Nathanielsz, P.W.; Wallis, M.; Barrera-Saldana, H.A. Growth hormone-related genes from baboon (Papio hamadryas): Characterization, placental expression and evolutionary aspects. Gene 2010, 450, 1–7. [Google Scholar] [CrossRef] [PubMed][Green Version]
- EMBL-EBI. Clustal W2- Multiple Sequence Alingment. Available online: https://www.ebi.ac.uk/Tools/msa/clustalw2/ (accessed on 20 July 2021).
- Tamura, K.; Stecher, G.; Peterson, D.; Filipski, A.; Kumar, S. MEGA6: Molecular Evolutionary Genetics Analysis version 6.0. Mol. Biol. Evol. 2013, 30, 2725–2729. [Google Scholar] [CrossRef]
- Cabrera-Reyes, E.A.; Limon-Morales, O.; Rivero-Segura, N.A.; Camacho-Arroyo, I.; Cerbon, M. Prolactin function and putative expression in the brain. Endocrine 2017, 57, 199–213. [Google Scholar] [CrossRef]
- Salman, A.; McClements, M.E.; MacLaren, R.E. Insights on the Regeneration Potential of Muller Glia in the Mammalian Retina. Cells 2021, 10, 1957. [Google Scholar] [CrossRef] [PubMed]
- Grattan, D.R. The Eyes Have it! Protective Role of Prolactin in the Retina. EBioMedicine 2016, 8, 26–27. [Google Scholar] [CrossRef] [PubMed][Green Version]
- Patel, J.B.; Chauhan, J.B. Polymorphism of the Prolactin Gene and Its Relationship with Milk Production in Gir and Kankrej Cattle. J. Nat. Sci. Biol. Med. 2017, 8, 167–170. [Google Scholar] [CrossRef]
- Bai, D.P.; Hu, Y.Q.; Li, Y.B.; Huang, Z.B.; Li, A. Polymorphisms of the prolactin gene and their association with egg production traits in two Chinese domestic ducks. Br. Poult. Sci. 2019, 60, 125–129. [Google Scholar] [CrossRef]
- Kmiec, M.; Terman, A. Associations between the prolactin receptor gene polymorphism and reproductive traits of boars. J. Appl. Genet. 2006, 47, 139–141. [Google Scholar] [CrossRef]
- Kim, J.J.; Choi, Y.M.; Lee, S.K.; Yang, K.M.; Paik, E.C.; Jeong, H.J.; Jun, J.K.; Han, A.R.; Hwang, K.R.; Hong, M.A. Prolactin receptor gene polymorphism and the risk of recurrent pregnancy loss: A case-control study. J. Obstet. Gynaecol. 2018, 38, 261–264. [Google Scholar] [CrossRef]
- Ibrahem Jawasreh, K.; Ismail, Z.B. Polymorphism of prolactin, growth differentiation factor 9, and calpastatin genes and their effects on weight traits in Awassi lambs. J. Adv. Vet. Anim. Res. 2019, 6, 86–91. [Google Scholar] [CrossRef]
- Duenas, Z.; Rivera, J.C.; Quiroz-Mercado, H.; Aranda, J.; Macotela, Y.; Montes de Oca, P.; Lopez-Barrera, F.; Nava, G.; Guerrero, J.L.; Suarez, A.; et al. Prolactin in eyes of patients with retinopathy of prematurity: Implications for vascular regression. Investig. Ophthalmol. Vis. Sci. 2004, 45, 2049–2055. [Google Scholar] [CrossRef] [PubMed]
- Wang, Y.; Liu, X.; Quan, X.; Qin, X.; Zhou, Y.; Liu, Z.; Chao, Z.; Jia, C.; Qin, H.; Zhang, H. Pigment epithelium-derived factor and its role in microvascular-related diseases. Biochimie 2022, 200, 153–171. [Google Scholar] [CrossRef] [PubMed]
- Zhao, F.; Fei, W.; Li, Z.; Yu, H.; Xi, L. Pigment Epithelium-Derived Factor-Loaded PEGylated Nanoparticles as a New Antiangiogenic Therapy for Neovascularization. J. Diabetes Res. 2022, 2022, 1193760. [Google Scholar] [CrossRef] [PubMed]
- Zhu, Y.; Song, D.; Tran, N.T.; Nguyen, N. The effects of the members of growth hormone family knockdown in zebrafish development. Gen. Comp. Endocrinol. 2007, 150, 395–404. [Google Scholar] [CrossRef]






| Condition | mRNA | Tissue | ||||||
|---|---|---|---|---|---|---|---|---|
| Retina | Cornea | Lens | Sclera | Iris | Pituitary (Positive Control) | Liver (Negative Control) | ||
| Adult | PRL | + | - | - | - | - | + | - |
| Condition | Protein | Cell type or layer (of retina) | ||||||
| Pigmented epithelia | Rods and cones | Outer nuclear layer | Outer plexiform layer | Inner nuclear layer | Inner plexiform layer | Ganglion cell layer | ||
| Adult | PRL | +++ | +++ | ++ | + | ++ | ++ | ++ |
| PRLR | +++ | +++ | + | ++ | + | ++ | ++ | |
| Fetus | PRL | +++ | +++ | ++ | ++ | ++ | ++ | ++ |
| PRLR | +++ | +++ | + | ++ | + | ++ | ++ | |
Publisher’s Note: MDPI stays neutral with regard to jurisdictional claims in published maps and institutional affiliations. |
© 2022 by the authors. Licensee MDPI, Basel, Switzerland. This article is an open access article distributed under the terms and conditions of the Creative Commons Attribution (CC BY) license (https://creativecommons.org/licenses/by/4.0/).
Share and Cite
Garza-Rodríguez, M.L.; Rodríguez-Sanchez, I.P.; González-Álvarez, R.; Luna, M.; Burciaga-Flores, C.H.; Alcorta-Nuñez, F.; Solis-Coronado, O.; Bautista de Lucio, V.M.; Ramírez-Correa, G.A.; Vidal-Gutiérrez, O.; et al. Prolactin Expression in the Baboon (Papio hamadryas) Eye. Animals 2022, 12, 2288. https://doi.org/10.3390/ani12172288
Garza-Rodríguez ML, Rodríguez-Sanchez IP, González-Álvarez R, Luna M, Burciaga-Flores CH, Alcorta-Nuñez F, Solis-Coronado O, Bautista de Lucio VM, Ramírez-Correa GA, Vidal-Gutiérrez O, et al. Prolactin Expression in the Baboon (Papio hamadryas) Eye. Animals. 2022; 12(17):2288. https://doi.org/10.3390/ani12172288
Chicago/Turabian StyleGarza-Rodríguez, María Lourdes, Iram Pablo Rodríguez-Sanchez, Rafael González-Álvarez, Maricela Luna, Carlos Horacio Burciaga-Flores, Fernando Alcorta-Nuñez, Orlando Solis-Coronado, Víctor Manuel Bautista de Lucio, Genaro A. Ramírez-Correa, Oscar Vidal-Gutiérrez, and et al. 2022. "Prolactin Expression in the Baboon (Papio hamadryas) Eye" Animals 12, no. 17: 2288. https://doi.org/10.3390/ani12172288
APA StyleGarza-Rodríguez, M. L., Rodríguez-Sanchez, I. P., González-Álvarez, R., Luna, M., Burciaga-Flores, C. H., Alcorta-Nuñez, F., Solis-Coronado, O., Bautista de Lucio, V. M., Ramírez-Correa, G. A., Vidal-Gutiérrez, O., & Pérez-Ibave, D. C. (2022). Prolactin Expression in the Baboon (Papio hamadryas) Eye. Animals, 12(17), 2288. https://doi.org/10.3390/ani12172288

