Molecular Characterization and Phylogenetic Analysis of a Variant Recombinant Porcine Epidemic Diarrhea Virus Strain in China
Abstract
Simple Summary
Abstract
1. Introduction
2. Methods
2.1. Ethics Statement
2.2. Viral Isolation and Identification
2.3. Extraction of Viral RNA, Reverse Transcription PCR (RT-PCR), and Complete Genome Sequencing
2.4. Electron Microscopy and Pathology
2.5. Sequence Alignment and Phylogenetic and Recombination Analyses
3. Results
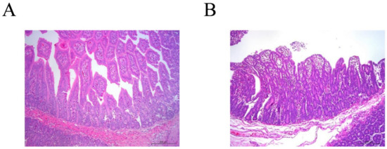
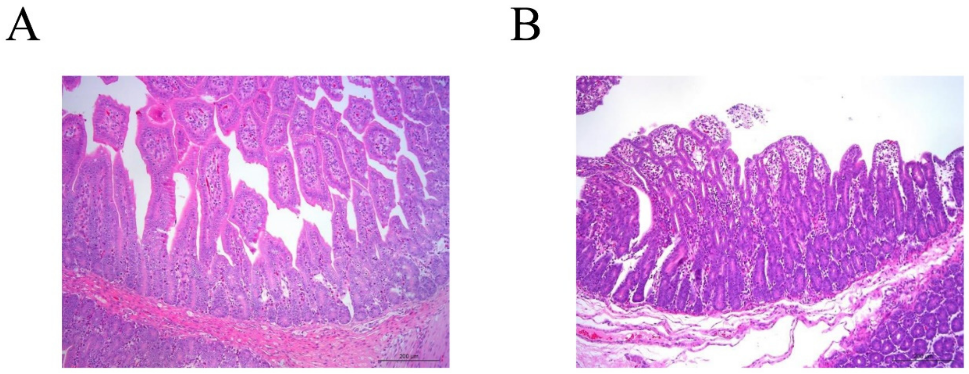
3.1. Virus Isolation and Identification
3.2. Phylogenetic Analysis and Recombination of SC-YB73
4. Discussion
5. Conclusions
Supplementary Materials
Author Contributions
Funding
Institutional Review Board Statement
Informed Consent Statement
Data Availability Statement
Conflicts of Interest
Availability of Data and Materials
Abbreviations
References
- Pensaert, M.B.; de Bouck, P. A new coronavirus-like particle associated with diarrhea in swine. Arch. Virol. 1978, 58, 243–247. [Google Scholar] [CrossRef] [PubMed]
- Kaewborisuth, C.; He, Q.; Jongkaewwattana, A. The Accessory Protein ORF3 Contributes to Porcine Epidemic Diarrhea Virus Replication by Direct Binding to the Spike Protein. Viruses 2018, 10, 399. [Google Scholar] [CrossRef]
- Lee, C. Porcine epidemic diarrhea virus: An emerging and re-emerging epizootic swine virus. Virol. J. 2015, 12, 193. [Google Scholar] [CrossRef] [PubMed]
- Si, F.; Hu, X.; Wang, C.; Chen, B.; Wang, R.; Dong, S.; Yu, R.; Li, Z. Porcine Epidemic Diarrhea Virus (PEDV) ORF3 Enhances Viral Proliferation by Inhibiting Apoptosis of Infected Cells. Viruses 2020, 12, 214. [Google Scholar] [CrossRef] [PubMed]
- Si, F.; Chen, B.; Hu, X.; Yu, R.; Dong, S.; Wang, R.; Li, Z. Porcine Epidemic Diarrhea Virus ORF3 Protein Is Transported through the Exocytic Pathway. J. Virol. 2020, 94, e00808-20. [Google Scholar] [CrossRef] [PubMed]
- Sun, D.; Wang, X.; Wei, S.; Chen, J.; Feng, L. Epidemiology and vaccine of porcine epidemic diarrhea virus in China: A mini-review. J. Vet. Med. Sci. 2016, 78, 355–363. [Google Scholar] [CrossRef]
- Li, W.; Li, H.; Liu, Y.; Pan, Y.; Deng, F.; Song, Y.; Tang, X.; He, Q. New variants of porcine epidemic diarrhea virus, China, 2011. Emerg. Infect. Dis. 2012, 18, 1350–1353. [Google Scholar] [CrossRef]
- Chen, J.; Liu, X.; Shi, D.; Shi, H.; Zhang, X.; Feng, L. Complete genome sequence of a porcine epidemic diarrhea virus variant. J. Virol. 2012, 86, 3408. [Google Scholar] [CrossRef]
- Hanke, D.; Pohlmann, A.; Sauter-Louis, C.; Höper, D.; Stadler, J.; Ritzmann, M.; Steinrigl, A.; Schwarz, B.A.; Akimkin, V.; Fux, R.; et al. Porcine epidemic diarrhea in Europe: In-detail analyses of disease dynamics and molecular epidemiology. Viruses 2017, 9, 177. [Google Scholar] [CrossRef]
- Guo, J.; Fang, L.; Ye, X.; Chen, J.; Xu, S.; Zhu, X.; Miao, Y.; Wang, D. Evolutionary and genotypic analyses of global porcine epidemic diarrhea virus strains. Transbound. Emerg. Dis. 2019, 66, 111–118. [Google Scholar] [CrossRef]
- Sun, Y.; Chen, Y.; Han, X.; Yu, Z.; Wei, Y.; Zhang, G. Porcine epidemic diarrhea virus in Asia: An alarming threat to the global pig industry. Infect. Genet. Evol. J. Mol. Epidemiol. Evol. Genet. Infect. Dis. 2019, 70, 24–26. [Google Scholar] [CrossRef] [PubMed]
- Zhu, T.; Du, S.; Cao, D.; Pei, Z.; Guo, Y.; Shao, H.; Wang, H.; Wang, K.; Hu, G. Isolation and identification of a variant subtype G 2b porcine epidemic diarrhea virus and S gene sequence characteristic. Infect. Genet. Evol. J. Mol. Epidemiol. Evol. Genet. Infect. Dis. 2019, 71, 82–90. [Google Scholar] [CrossRef] [PubMed]
- Vlasova, A.N.; Marthaler, D.; Wang, Q.; Culhane, M.R.; Rossow, K.D.; Rovira, A.; Collins, J.; Saif, L.J. Distinct characteristics and complex evolution of PEDV strains, North America, May 2013–February 2014. Emerg. Infect. Dis. 2014, 20, 1620–1628. [Google Scholar] [CrossRef] [PubMed]
- Li, R.; Qiao, S.; Yang, Y.; Guo, J.; Xie, S.; Zhou, E.; Zhang, G. Genome sequencing and analysis of a novel recombinant porcine epidemic diarrhea virus strain from Henan, China. Virus Genes 2016, 52, 91–98. [Google Scholar] [CrossRef] [PubMed]
- Chen, Q.; Gauger, P.C.; Stafne, M.R.; Thomas, J.T.; Madson, D.M.; Huang, H.; Zheng, Y.; Li, G.; Zhang, J. Pathogenesis comparison between the United States porcine epidemic diarrhoea virus prototype and S-INDEL-variant strains in conventional neonatal piglets. J. Gen. Virol. 2016, 97, 1107–1121. [Google Scholar] [CrossRef]
- Hu, X., Jr.; Li, N., Jr.; Tian, Z., Jr.; Yin, X., Jr.; Qu, L.; Qu, J. Molecular characterization and phylogenetic analysis of transmissible gastroenteritis virus HX strain isolated from China. BMC Vet. Res. 2015, 11, 72. [Google Scholar] [CrossRef]
- Song, D.; Zhou, X.; Peng, Q.; Chen, Y.; Zhang, F.; Huang, T.; Zhang, T.; Li, A.; Huang, D.; Wu, Q.; et al. Newly emerged porcine deltacoronavirus associated with diarrhoea in swine in China: Identification, prevalence and full-length genome sequence analysis. Transbound. Emerg. Dis. 2015, 62, 575–580. [Google Scholar] [CrossRef]
- Nagai, M.; Shimada, S.; Fujii, Y.; Moriyama, H.; Oba, M.; Katayama, Y.; Tsuchiaka, S.; Okazaki, S.; Omatsu, T.; Furuya, T.; et al. H2 genotypes of G4P[6], G5P[7], and G9[23] porcine rotaviruses show super-short RNA electropherotypes. Vet. Microbiol. 2015, 176, 250–256. [Google Scholar] [CrossRef]
- Tuchiya, K.; Kasaoka, T.; Azetaka, M.; Takahashi, E.; Konishi, S. Plaque assay for canine coronavirus in CRFK cells. Nihon Juigaku Zasshi Jpn. J. Vet. Sci. 1987, 49, 571–573. [Google Scholar] [CrossRef][Green Version]
- Pizzi, M. Sampling variation of the fifty percent end-point, determined by the Reed-Muench (Behrens) method. Hum. Biol. 1950, 22, 151–190. [Google Scholar]
- Liu, Q.; Zhang, Y.L.; Hu, S.P.; Ma, Z.L.; Gao, S.L.; Sun, B.; Xiao, F.; Zhang, Z.; Cai, X.H.; He, X.J. Expression of immunoproteasome subunits in the porcine lung: Alterations during normal and inflammatory conditions. Vet. Microbiol. 2017, 210, 134–141. [Google Scholar] [CrossRef] [PubMed]
- Laude, H.; Van Reeth, K.; Pensaert, M. Porcine respiratory coronavirus: Molecular features and virus-host interactions. Vet. Res. 1993, 24, 125–150. [Google Scholar] [PubMed]
- Guan, Y.; Zheng, B.J.; He, Y.Q.; Liu, X.L.; Zhuang, Z.X.; Cheung, C.L.; Luo, S.W.; Li, P.H.; Zhang, L.J.; Guan, Y.J.; et al. Isolation and characterization of viruses related to the SARS coronavirus from animals in southern China. Science 2003, 302, 276–278. [Google Scholar] [CrossRef] [PubMed]
- Chen, S.; Liu, D.; Tian, J.; Kang, H.; Guo, D.; Jiang, Q.; Liu, J.; Li, Z.; Hu, X. Molecular characterization of HLJ-073, a recombinant canine coronavirus strain from China with an ORF3abc deletion. Arch. Virol. 2019, 164, 2159–2164. [Google Scholar] [CrossRef]
- Kim, L.; Hayes, J.; Lewis, P.; Parwani, A.V.; Chang, K.O.; Saif, L.J. Molecular characterization and pathogenesis of transmissible gastroenteritis coronavirus (TGEV) and porcine respiratory coronavirus (PRCV) field isolates co-circulating in a swine herd. Arch. Virol. 2000, 145, 1133–1147. [Google Scholar] [CrossRef]
- Britton, P.; Mawditt, K.L.; Page, K.W. The cloning and sequencing of the virion protein genes from a British isolate of porcine respiratory coronavirus: Comparison with transmissible gastroenteritis virus genes. Virus Res. 1991, 21, 181–198. [Google Scholar] [CrossRef]
- Yang, D.; Su, M.; Li, C.; Zhang, B.; Qi, S.; Sun, D.; Yin, B. Isolation and characterization of a variant subgroup GII-a porcine epidemic diarrhea virus strain in China. Microb. Pathog. 2020, 140, 103922. [Google Scholar] [CrossRef]
- Huan, C.; Pan, H.; Fu, S.; Xu, W.; Gao, Q.; Wang, X.; Gao, S. Characterization and evolution of the coronavirus porcine epidemic diarrhoea virus HLJBY isolated in China. Transbound. Emerg. Dis. 2020, 67, 65–79. [Google Scholar] [CrossRef]
- Diep, N.V.; Norimine, J.; Sueyoshi, M.; Lan, N.T.; Yamaguchi, R. Novel porcine epidemic diarrhea virus (PEDV) variants with large deletions in the spike (S) gene coexist with PEDV strains possessing an intact S gene in domestic pigs in Japan: A new disease situation. PLoS ONE 2017, 12, e0170126. [Google Scholar] [CrossRef]
- Wang, D.; Ge, X.; Chen, D.; Li, J.; Cai, Y.; Deng, J.; Zhou, L.; Guo, X.; Han, J.; Yang, H. The S Gene Is Necessary but Not Sufficient for the Virulence of Porcine Epidemic Diarrhea Virus Novel Variant Strain BJ2011C. J. Virol. 2018, 92, e00603-18. [Google Scholar] [CrossRef]
- Bos, E.C.; Luytjes, W.; van der Meulen, H.V.; Koerten, H.K.; Spaan, W.J. The production of recombinant infectious DI-particles of a murine coronavirus in the absence of helper virus. Virology 1996, 218, 52–60. [Google Scholar] [CrossRef] [PubMed]
- Vennema, H.; Godeke, G.J.; Rossen, J.W.; Voorhout, W.F.; Horzinek, M.C.; Opstelten, D.J.; Rottier, P.J. Nucleocapsid-independent assembly of coronavirus-like particles by co-expression of viral envelope protein genes. EMBO J. 1996, 15, 2020–2028. [Google Scholar] [CrossRef] [PubMed]





| Name | Sequence (5′-3′) | Position |
|---|---|---|
| Porf3-U | GGAGCTCAATGTAGTTCCAA | 24,886–24,905 |
| Porf3-L | AGCTGCTTTACCATTGAGGA | 25,185–25,204 |
| 1-F | AGCTCTTTCTCTAGACTCTT | 32–51 |
| 1-R | AGCTGCTCCCAAGCTGCGCT | 1511–1530 |
| 2-F | TTTTTGAATGACTCGAGCAT | 1331–1350 |
| 2-R | TAAACTGGGTCAATGGTTCT | 3011–3030 |
| 3-F | GAATTAGAAGAGACGACATT | 2831–2850 |
| 3-R | TGTCATAATTAGCATCACCA | 5011–5030 |
| 4-F | TACAAATTCCAATTTGGATT | 4831–4850 |
| 4-R | AATAAAAGTGCAGCCTGGAC | 7011–7030 |
| 5-F | ATGTTTTCCTTGGCTGCGAT | 6831–6850 |
| 5-R | TCAAAAGAGCCTACGAACTT | 9011–9030 |
| 6-F | TTGTACTTTTTGTGCACTAA | 8831–8850 |
| 6-R | GTTAGCAACCATATACTTAA | 10,911–10,930 |
| 7-F | CTACGGTATTCTCTACTGGT | 10,831–10,850 |
| 7-R | AGAACTTAACGCATTTAAGC | 13,131–13,150 |
| 8-F | ACCGAGTATACTATGATGGA | 12,931–12,950 |
| 8-R | GTTTTGTTGTGGCGGTAGTT | 16,011–16,030 |
| 9-F | ACAGGTTGGCAAATGATGTC | 15,731–15,750 |
| 9-R | CGGTATATTTACAGACATCC | 19,011–19,030 |
| 10-F | GTTAGAGATGGTACTGTTGA | 18,811–18,830 |
| 10-R | GGGCCTAATGTTTTAATGCT | 21,021–21,040 |
| 11-F | CTGTGCTGGCCAACATCCAA | 20,831–20,850 |
| 11-R | ATTAGAATGGTAGAAGAAAC | 22,831–22,850 |
| 12-F | GCTTTAGAGGTGAGGGTATC | 22,600–22,619 |
| 12-R | ATCACCCGGTACAAGTACTG | 24,100–24,119 |
| 13-F | GTCAAATCGCAATCTCAGCG | 24,000–24,019 |
| 13-R | TATAATAAGCAGGAAAAAGA | 25,516–25,535 |
| 14-F | TCAATTCAACTAGACGAGTA | 25,430–25,449 |
| 14-R | TCTGTTCTTGGACTGGTTAC | 26,986–27,005 |
| 15-F | CTACTTCACGTGCAAACTCA | 26,806–26,825 |
| 15-R | TATCAACACCGTCAGGTCTT | 28,016–28,035 |
| 5′RACE | GCCCACATACGCACTAAGCT | 501–520 |
| 3′RACE | ACTGGCTTATTCTGGCTATG | 27,721–27,740 |
Publisher’s Note: MDPI stays neutral with regard to jurisdictional claims in published maps and institutional affiliations. |
© 2022 by the authors. Licensee MDPI, Basel, Switzerland. This article is an open access article distributed under the terms and conditions of the Creative Commons Attribution (CC BY) license (https://creativecommons.org/licenses/by/4.0/).
Share and Cite
Hu, X.; Lian, Y.; He, Y.; Liu, X.; Tian, Z.; Dai, Y.; Liu, M.; Fan, H.; Shi, Y.; Cong, F. Molecular Characterization and Phylogenetic Analysis of a Variant Recombinant Porcine Epidemic Diarrhea Virus Strain in China. Animals 2022, 12, 2189. https://doi.org/10.3390/ani12172189
Hu X, Lian Y, He Y, Liu X, Tian Z, Dai Y, Liu M, Fan H, Shi Y, Cong F. Molecular Characterization and Phylogenetic Analysis of a Variant Recombinant Porcine Epidemic Diarrhea Virus Strain in China. Animals. 2022; 12(17):2189. https://doi.org/10.3390/ani12172189
Chicago/Turabian StyleHu, Xiaoliang, Yuexiao Lian, Yucan He, Xiangxiao Liu, Zhige Tian, Yi Dai, Mengyuan Liu, Huayan Fan, Yue Shi, and Feng Cong. 2022. "Molecular Characterization and Phylogenetic Analysis of a Variant Recombinant Porcine Epidemic Diarrhea Virus Strain in China" Animals 12, no. 17: 2189. https://doi.org/10.3390/ani12172189
APA StyleHu, X., Lian, Y., He, Y., Liu, X., Tian, Z., Dai, Y., Liu, M., Fan, H., Shi, Y., & Cong, F. (2022). Molecular Characterization and Phylogenetic Analysis of a Variant Recombinant Porcine Epidemic Diarrhea Virus Strain in China. Animals, 12(17), 2189. https://doi.org/10.3390/ani12172189
