Health Status of Bycaught Common Eiders (Somateria mollissima) from the Western Baltic Sea
Abstract
Simple Summary
Abstract
1. Introduction
2. Materials and Methods
2.1. Histology
2.2. Microbiology and Virology
2.3. Parasitology
2.4. Molecular and Phylogenetic Analyses of Acanthocephalans
2.5. Statistical Analyses
3. Results
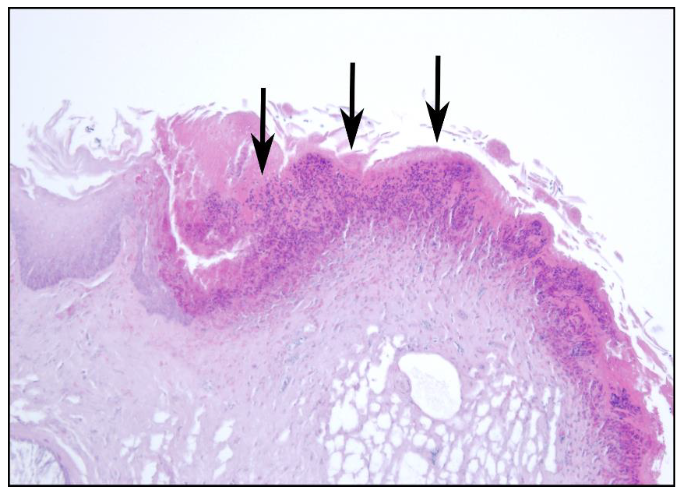
3.1. Skin and Subcutis
3.2. Bones and Beak
3.3. Gastrointestinal Tract
3.4. Liver
3.5. Urinary and Reproductive Tract
3.6. Haematopoietic and Endocrine System
3.7. Cardiovascular System and Lung
3.8. Parasitic Infections
3.9. Virology
3.10. Bacteriology
4. Discussion
5. Conclusions
Supplementary Materials
Author Contributions
Funding
Institutional Review Board Statement
Data Availability Statement
Acknowledgments
Conflicts of Interest
References
- BirdLife International. Somateria mollissima. IUCN Red List of Threatened Species; Birdlife International: Cambridge, UK, 2018; p. eT22680405A132525971. [Google Scholar]
- Desholm, M.; Christensen, T.K.; Scheiffarth, G.; Hario, M.; Andersson, Å.; Ens, B.; Camphuysen, C.J.; Nilsson, L.; Waltho, C.M.; Lorentsen, S.H.; et al. Status of the Baltic/Wadden Sea Population of the Common Eider Somateria m. mollissima. Wildfowl 2002, 53, 167–203. [Google Scholar]
- Swennen, C. Dispersal and Migratory Movements of Eiders Somateria mollissima Breeding in The Netherlands. Ornis Scand. 1990, 21, 17–27. [Google Scholar] [CrossRef]
- Alerstam, T.; Bauer, C.-A.; Roos, G. Spring Migration of Eiders Somateria mollissima in Southern Scandinavia. Ibis 1974, 116, 194–210. [Google Scholar] [CrossRef]
- Noer, H. Distribution and Movements of Eider Somateria mollissima Populations Wintering in Danish Waters, Analysed from Ringing Recoveries. Danish Rev. Game Biol. 1991, 17, 1–28. [Google Scholar]
- Brager, S.; Meissner, J.; Thiel, M. Temporal and Spatial Abundance of Wintering Common Eider Somateria Mollissima, Long-Tailed Duck Clangula Hyemalis, and Common Scoter Melanitta Nigra in Shallow Water Areas of the Southwestern Baltic Sea. Ornis Fenn. 1995, 72, 19–28. [Google Scholar]
- Franzmann, N. Status of the Danish Breeding Population of the Eider Somateria mollissima 1980-83, with Notes on General Population Trends in Northem Europe. Medd. Vildtbiologisk Stn. 1989, 83, 62–67. [Google Scholar]
- Hario, M.; Rintala, J. Fledgling Production and Population Trends in Finnish Common Eiders (Somateria mollissima Mollissima)—Evidence for Density Dependence. Can. J. Zool. 2006, 84, 1038–1046. [Google Scholar] [CrossRef]
- Ekroos, J.; Fox, A.D.; Christensen, T.K.; Petersen, I.K.; Kilpi, M.; Jónsson, J.E.; Green, M.; Laursen, K.; Cervencl, A.; De Boer, P.; et al. Declines amongst Breeding Eider Somateria mollissima Numbers in the Baltic/Wadden Sea Flyway. Ornis Fenn. 2012, 89, 81–90. [Google Scholar]
- Öst, M.; Ramula, S.; Lindén, A.; Karell, P.; Kilpi, M. Small-Scale Spatial and Temporal Variation in the Demographic Processes Underlying the Large-Scale Decline of Eiders in the Baltic Sea. Popul. Ecol. 2016, 58, 121–133. [Google Scholar] [CrossRef]
- Tjørnløv, R.S.; Pradel, R.; Choquet, R.; Christensen, T.K.; Frederiksen, M. Consequences of Past and Present Harvest Management in a Declining Flyway Population of Common Eiders Somateria mollissima. Ecol. Evol. 2019, 9, 12515–12530. [Google Scholar] [CrossRef]
- Morelli, F.; Laursen, K.; Svitok, M.; Benedetti, Y.; Møller, A.P. Eiders, Nutrients and Eagles: Bottom-up and Top-down Population Dynamics in a Marine Bird. J. Anim. Ecol. 2021, 90, 1844–1853. [Google Scholar] [CrossRef]
- Jaatinen, K.; Hermansson, I.; Mohring, B.; Stelle, B.B.; Öst, M. Mitigating Impacts of Invasive Alien Predators on an Endangered Sea Duck amidst High Native Predation Pressure. Oecologia 2022, 198, 543–552. [Google Scholar] [CrossRef]
- Öst, M.; Lindén, A.; Karell, P.; Ramula, S.; Kilpi, M. To Breed or Not to Breed: Drivers of Intermittent Breeding in a Seabird under Increasing Predation Risk and Male Bias. Oecologia 2018, 188, 129–138. [Google Scholar] [CrossRef]
- Laursen, K.; Møller, A.P. Long-Term Changes in Nutrients and Mussel Stocks Are Related to Numbers of Breeding Eiders Somateria mollissima at a Large Baltic Colony. PLoS ONE 2014, 9, e95851. [Google Scholar] [CrossRef]
- Laursen, K.; Asferg, K.S.; Frikke, J.; Sunde, P. Mussel Fishery Affects Diet and Reduces Body Condition of Eiders Somateria mollissima in the Wadden Sea. J. Sea Res. 2009, 62, 22–30. [Google Scholar] [CrossRef]
- Camphuysen, C.J.; Berrevoets, C.M.; Cremers, H.J.W.M.; Dekinga, A.; Dekker, R.; Ens, B.J.; van der Have, T.M.; Kats, R.K.H.; Kuiken, T.; Leopold, M.F.; et al. Mass Mortality of Common Eiders (Somateria mollissima) in the Dutch Wadden Sea, Winter 1999/2000: Starvation in a Commercially Exploited Wetland of International Importance. Biol. Conserv. 2002, 106, 303–317. [Google Scholar] [CrossRef]
- Swennen, C.; Smit, T. Pasteurellosis among Breeding Eiders Somateria mollissima in the Netherlands. Wildfowl 1991, 42, 94–97. [Google Scholar]
- Christensen, T.K.; Bregnballe, T.; Andersen, T.H.; Dietz, H.H. Outbreak of Pasteurellosis among Wintering and Breeding Common Elders Somateria mollissima in Denmark. Wildlife Biol. 1997, 3, 125–128. [Google Scholar] [CrossRef]
- Botzler, R.G. Epizootiology of Avian Cholera in Wildfowl. J. Wildl. Dis. 1991, 27, 367–395. [Google Scholar] [CrossRef]
- Brand, C.J. Avian Cholera in the Central and Mississippi Flyways during 1979-80. J. Wildl. Manag. 1984, 48, 399–406. [Google Scholar] [CrossRef]
- Pedersen, K.; Dietz, H.H.; Jørgensen, J.C.; Christensen, T.K.; Bregnballe, T.; Andersen, T.H. Pasteurella Multocida from Outbreaks of Avian Cholera in Wild and Captive Birds in Denmark. J. Wildl. Dis. 2003, 39, 808–816. [Google Scholar] [CrossRef] [PubMed]
- Garbus, S.E.; Lyngs, P.; Christensen, J.P.; Buchmann, K.; Eulaers, I.; Mosbech, A.; Dietz, R.; Gilchrist, H.G.; Sonne, C. Common Eider (Somateria mollissima) Body Condition and Parasitic Load during a Mortality Event in the Baltic Proper. Avian Biol. Res. 2018, 11, 167–172. [Google Scholar] [CrossRef]
- Garbus, S.E.; Christensen, J.P.; Buchmann, K.; Jessen, T.B.; Lyngs, P.; Jacobsen, M.L.; Garbus, G.; Lund, E.; Garbus, P.G.; Madsen, J.J.; et al. Haematology, Blood Biochemistry, Parasites and Pathology of Common Eider (Somateria mollisima) Males during a Mortality Event in the Baltic. Sci. Total Environ. 2019, 683, 559–567. [Google Scholar] [CrossRef]
- Hollmén, T. Biomarkers of Health and Disease in Common Eider (Somateria mollissima) in Finland; University of Helsinki: Helsinki, Finland, 2002. [Google Scholar]
- Hollmén, T.; Lehtonen, J.T.; Sankari, S.; Soveri, T.; Hario, M. An Experimental Study on the Effects of Polymorphiasis in Common Eider Ducklings. J. Wildl. Dis. 1999, 35, 466–473. [Google Scholar] [CrossRef]
- Borgsteede, F.H.M.; Okulewicz, A.; Zoun, P.E.F.; Okulewicz, J. The Gastrointestinal Helminth Fauna of the Eider Duck (Somateria mollissima L.) in the Netherlands. Helminthologia 2005, 42, 83–87. [Google Scholar]
- Borgsteede, F.H.M. The Gizzard Worm, Amidostomum Acutum (Lundahl, 1848) Seurat, 1918 in Common Eiders (Somateria mollissima L.) in the Netherlands. Helminthologia 2005, 42, 215–218. [Google Scholar]
- Thieltges, D.W.; Hussel, B.; Baekgaard, H. Endoparasites in Common Eiders Somateria mollissima from Birds Killed by an Oil Spill in the Northern Wadden Sea. J. Sea Res. 2006, 55, 301–308. [Google Scholar] [CrossRef]
- Clark, G.M.; O’Meara, D.; Van Weelden, J.W. An Epizootic among Eider Ducks Involving an Acanthocephalid Worm. J. Wildl. Manag. 1958, 22, 204–205. [Google Scholar] [CrossRef]
- Hollmén, T.; Christian Franson, J.; Kilpi, M.; Docherty, D.E.; Hansen, W.R.; Hario, M. Isolation and Characterization of a Reovirus from Common Eiders (Somateria mollissima) from Finland. Avian Dis. 2002, 46, 478–484. [Google Scholar] [CrossRef]
- Hollmén, T.E.; Franson, J.C.; Kilpi, M.; Docherty, D.E.; Myllys, V. An Adenovirus Associated with Intestinal Impaction and Mortality of Male Common Eiders (Somateria Molissima) in the Baltic Sea. J. Wildl. Dis. 2003, 39, 114–120. [Google Scholar] [CrossRef]
- Hollmén, T.; Franson, J.C.; Docherty, D.E.; Kilpi, M.; Hario, M.; Creekmore, L.H.; Petersen, M.R. Infectious Bursal Disease Virus Antibodies in Eider Ducks and Herring Gulls. Condor 2000, 102, 688–691. [Google Scholar] [CrossRef]
- Sandhu, T.S.; Metwally, S.A. Duck Virus Enteritis (Duck plague). In Diseases of Poultry; Saif, Y.M., Ed.; Blackwell Publishing: Ames, IA, USA, 2008; pp. 384–393. [Google Scholar]
- Adlhoch, C.; Fusaro, A.; Gonzales, J.L.; Kuiken, T.; Marangon, S.; Niqueux, É.; Staubach, C.; Terregino, C.; Aznar, I.; Muñoz Guajardo, I.; et al. Avian Influenza Overview December 2021–March 2022. EFSA J. 2022, 20, e07289. [Google Scholar] [PubMed]
- Lam, S.S.; Tjørnløv, R.S.; Therkildsen, O.R.; Christensen, T.K.; Madsen, J.; Daugaard-Petersen, T.; Ortiz, J.M.C.; Peng, W.; Charbonneaux, M.; Rivas, E.I.; et al. Seroprevalence of Avian Influenza in Baltic Common Eiders (Somateria mollissima) and Pink-Footed Geese (Anser Brachyrhynchus). Environ. Int. 2020, 142, 105873. [Google Scholar] [CrossRef] [PubMed]
- Aznar, I.; Baldinelli, F.; Papanikolaou, A.; Stoicescu, A.; Van der Stede, Y. Annual Report on Surveillance for Avian Influenza in Poultry and Wild Birds in Member States of the European Union in 2020. EFSA J. 2021, 19, e06953. [Google Scholar] [PubMed]
- Pohlmann, A.; Starick, E.; Harder, T.; Grund, C.; Höper, D.; Globig, A.; Staubach, C.; Dietze, K.; Strebelow, G.; Ulrich, R.G.; et al. Outbreaks among Wild Birds and Domestic Poultry Caused by Reassorted Influenza A(H5N8) Clade 2.3.4.4 Viruses, Germany, 2016. Emerg. Infect. Dis. 2017, 23, 633–636. [Google Scholar] [CrossRef]
- Friedrich-Loeffler-Institute. Rapid Risk Assessment on the Occurrence of HPAIV H5 in Germany; Insel Riems; Friedrich-Loeffler-Institute: Greifswald, Germany, 2022. [Google Scholar]
- Camphuysen, C.J.; Bao, R.; Nijkamp, H.; Heubeck, M. (Eds.) Handbook on Oil Impact Assessment. Online edition, Version 1.0. Available online: www.oiledwildlife.eu (accessed on 5 July 2022).
- Van Franeker, J.A. Save the North Sea Fulmar-Litter-EcoQO Manual Part 1: Collection and Dissection Procedures; Alterra: Wageningen, The Netherlands, 2004. [Google Scholar]
- IJsseldijk, L.L.; Brownlow, A.C.; Mazzariol, S. (Eds.) Best Practice on Cetacean Post Mortem Investigation and Tissue Sampling; ASCOBANS: Bonn, Germany; Monaco City, Monaco, 2019. [Google Scholar]
- Eck, S.; Fiebig, J.; Fiedler, W.; Heynen, I.; Nicolai, B.; Töpfer, T.; van den Elzen, R.; Winkler, R.; Woog, F. Vögel Vermessen—Measuring Birds; DO-G Fachgruppe >>Ornithologische Sammlungen<<; Christ Media Natur: Minden, Germany, 2011; ISBN 978-3-923757-05-3. [Google Scholar]
- Mignard, S.; Flandrois, J.P. 16S RRNA Sequencing in Routine Bacterial Identification: A 30-Month Experiment. J. Microbiol. Methods 2006, 67, 574–581. [Google Scholar] [CrossRef]
- Marcordes, S.; Lueders, I.; Grund, L.; Sliwa, A.; Maurer, F.P.; Hillemann, D.; Möbius, P.; Barth, S.A. Clinical Outcome and Diagnostic Methods of Atypical Mycobacteriosis Due to Mycobacterium Avium ssp. Hominissuis in a Group of Captive Lowland Tapirs (Tapirus Terrestris). Transbound. Emerg. Dis. 2021, 68, 1305–1313. [Google Scholar] [CrossRef]
- Kirschner, P.; Bottger, E.C. Species Identification of Mycobacteria Using RDNA Sequencing. In Mycobacteria Protocols. Methods in Molecular BiologyTM; Parish, T., Stoker, N.G., Eds.; Humana Press: Totowa, NJ, USA, 1998. [Google Scholar]
- Kunze, Z.M.; Portaels, F.; McFadden, J.J. Biologically Distinct Subtypes of Mycobacterium Avium Differ in Possession of Insertion Sequence IS901. J. Clin. Microbiol. 1992, 30, 2366–2372. [Google Scholar] [CrossRef]
- Guerrero, C.; Bernasconi, C.; Burki, D.; Bodmer, T.; Telenti, A. A Novel Insertion Element from Mycobacterium Avium, IS1245, Is a Specific Target for Analysis of Strain Relatedness. J. Clin. Microbiol. 1995, 33, 304–307. [Google Scholar] [CrossRef]
- Barbezange, C.; Jestin, V. Development of a RT-Nested PCR Test Detecting Pigeon Paramyxovirus-1 Directly from Organs of Infected Animals. J. Virol. Methods 2002, 106, 197–207. [Google Scholar] [CrossRef]
- Lehnert, K.; Raga, J.A.; Siebert, U. Parasites in Harbour Seals (Phoca vitulina) from the German Wadden Sea between Two Phocine Distemper Virus Epidemics. Helgol. Mar. Res. 2007, 61, 239–245. [Google Scholar] [CrossRef]
- Bush, A.O.; Lafferty, K.D.; Lotz, J.M.; Shostak, A.W. Parasitology Meets Ecology on Its Own Terms: Margolis et al. revisited. J. Parasitol. 1997, 83, 575–583. [Google Scholar] [CrossRef] [PubMed]
- McDonald, M.E. Key to Acanthocephala Reported in Waterfowl; US Fish & Wildlife Publications: Washington, DC, USA, 1988.
- García-Varela, M.; Pérez-Ponce De León, G.; Aznar, F.J.; Nadler, S.A. Systematic Position of Pseudocorynosoma and Andracantha (Acanthocephala, Polymorphidae) Based on Nuclear and Mitochondrial Gene Sequences. J. Parasitol. 2009, 95, 178–185. [Google Scholar] [CrossRef] [PubMed]
- Katoh, K.; Standley, D.M. MAFFT Multiple Sequence Alignment Software Version 7: Improvements in Performance and Usability. Mol. Biol. Evol. 2013, 30, 772–780. [Google Scholar] [CrossRef]
- Castresana, J. Selection of Conserved Blocks from Multiple Alignments for Their Use in Phylogenetic Analysis. Mol. Biol. Evol. 2000, 17, 540–552. [Google Scholar] [CrossRef]
- Kumar, S.; Stecher, G.; Li, M.; Knyaz, C.; Tamura, K. MEGA X: Molecular Evolutionary Genetics Analysis across Computing Platforms. Mol. Biol. Evol. 2018, 35, 1547–1549. [Google Scholar] [CrossRef]
- Darriba, D.; Taboada, G.L.; Doallo, R.; Posada, D. JModelTest 2: More Models, New Heuristics and Parallel Computing. Nat. Methods 2012, 9, 772. [Google Scholar] [CrossRef]
- Nishimaki, T.; Sato, K. An Extension of the Kimura Two-Parameter Model to the Natural Evolutionary Process. J. Mol. Evol. 2019, 87, 60–67. [Google Scholar] [CrossRef]
- R Core Team, R. A Language and Environment for Statistical Computing; R Foundation for Statistical Computing: Vienna, Austria, 2019. [Google Scholar]
- Kassambara, A. Rstatix: Pipe-Friendly Framework for Basic Statistical Tests. 2021. Available online: https://rpkgs.datanovia.com/rstatix/ (accessed on 5 July 2022).
- Simpson, V.R.; Fisher, D.N. A Description of the Gross Pathology of Drowning and Other Causes of Mortality in Seabirds. BMC Vet. Res. 2017, 13, 1–14. [Google Scholar] [CrossRef]
- Žydelis, R.; Bellebaum, J.; Österblom, H.; Vetemaa, M.; Schirmeister, B.; Stipniece, A.; Dagys, M.; van Eerden, M.; Garthe, S. Bycatch in Gillnet Fisheries—An Overlooked Threat to Waterbird Populations. Biol. Conserv. 2009, 142, 1269–1281. [Google Scholar] [CrossRef]
- ICES. Working Group on Bycatch of Protected Species (WGBYC); International Council for the Exploration of the Sea: Copenhagen, Denmark, 2021. [Google Scholar]
- Farrugia, A.; Ludes, B. Diagnostic of Drowning in Forensic Medicine. In Forensic Medicine—From Old Problems to New Challenges; Nuno Vieira, D., Ed.; InTechOpen: London, UK, 2011; pp. 53–60. ISBN 978–953–307-262-3. [Google Scholar]
- Ewbank, A.C.; Sacristán, C.; Costa-Silva, S.; Antonelli, M.; Lorenço, J.R.; Nogueira, G.A.; Ebert, M.B.; Kolesnikovas, C.K.M.; Catão-Dias, J.L. Postmortem Findings in Magellanic Penguins (Spheniscus Magellanicus) Caught in a Drift Gillnet. BMC Vet. Res. 2020, 16, 153. [Google Scholar] [CrossRef] [PubMed]
- Hamel, N.J.; Burger, A.E.; Charleton, K.; Davidson, P.; Lee, S.; Bertram, D.F.; Parrish, J.K. Bycatch and Beached Birds: Assessing Mortality Impacts in Coastal Net Fisheries Using Marine Bird Strandings. Mar. Ornithol. 2009, 37, 41–60. [Google Scholar]
- Darby, J.T.; Dawson, S.M. Bycatch of Yellow-Eyed Penguins (Megadyptes antipodes) in Gillnets in New Zealand Waters 1979–1997. Biol. Conserv. 2000, 93, 327–332. [Google Scholar] [CrossRef]
- Garden, E.A.; Rayski, C.; Thom, V.M. A Parasitic Disease in Eider Ducks. Bird Study 1964, 11, 280–287. [Google Scholar] [CrossRef]
- Vestbo, S.; Hindberg, C.; Forbes, M.R.; Mallory, M.L.; Merkel, F.; Steenweg, R.J.; Funch, P.; Gilchrist, H.G.; Robertson, G.J.; Provencher, J.F. Helminths in Common Eiders (Somateria mollissima): Sex, Age, and Migration Have Differential Effects on Parasite Loads. Int. J. Parasitol. Parasites Wildl. 2019, 9, 184–194. [Google Scholar] [CrossRef]
- Goedknegt, M.A.; Havermans, J.; Waser, A.M.; Luttikhuizen, P.C.; Velilla, E.; Camphuysen, K.C.J.; van der Meer, J.; Thieltges, D.W. Cross-Species Comparison of Parasite Richness, Prevalence, and Intensity in a Native Compared to Two Invasive Brachyuran Crabs. Aquat. Invasions 2017, 12, 201–212. [Google Scholar] [CrossRef]
- Lakemeyer, J.; Lehnert, K.; Woelfing, B.; Pawliczka, I.; Silts, M.; Dähne, M.; von Vietinghoff, V.; Wohlsein, P.; Siebert, U. Pathological Findings in North Sea and Baltic Grey Seal and Harbour Seal Intestines Associated with Acanthocephalan Infections. Dis. Aquat. Organ. 2020, 138, 97–110. [Google Scholar] [CrossRef]
- Dezfuli, B.S.; Manera, M.; Rubini, S. Intestinal Histopathology Due to an Acanthocephalan in Two Corvid Species from Northern Italy. J. Wildl. Dis. 2021, 57, 215–219. [Google Scholar] [CrossRef]
- Loktionov, A. Eosinophils in the Gastrointestinal Tract and Their Role in the Pathogenesis of Major Colorectal Disorders. World J. Gastroenterol. 2019, 25, 3503–3526. [Google Scholar] [CrossRef]
- Yantiss, R.K. Eosinophils in the GI Tract: How Many Is Too Many and What Do They Mean? Mod. Pathol. 2015, 28, S7–S21. [Google Scholar] [CrossRef]
- Balla, K.M.; Lugo-Villarino, G.; Spitsbergen, J.M.; Stachura, D.L.; Hu, Y.; Bañuelos, K.; Romo-Fewell, O.; Aroian, R.V.; Traver, D. Eosinophils in the Zebrafish: Prospective Isolation, Characterization, and Eosinophilia Induction by Helminth Determinants. Blood 2010, 116, 3944–3954. [Google Scholar] [CrossRef] [PubMed]
- Garbus, S.E.; Havnse Krogh, A.K.; Jacobsen, M.L.; Sonne, C. Pathology and Plasma Biochemistry of Common Eider (Somateria mollissima) Males Wintering in the Danish Part of the Western Baltic. J. Avian Med. Surg. 2019, 33, 302–307. [Google Scholar] [CrossRef] [PubMed]
- Monleon, R.; Martin, M.P.; John Barnes, H. Bacterial Orchitis and Epididymo-Orchitis in Broiler Breeders. Avian Pathol. 2008, 37, 613–617. [Google Scholar] [CrossRef] [PubMed]
- John Barnes, H.; Nolan, L.K.; Vaillancourt, J.-P. Colibacillosis. In Diseases of Poultry; Saif, Y.M., Ed.; Blackwell Publishing: Ames, IA, USA, 2008; pp. 691–732. [Google Scholar]
- Villarreal, L.Y.B.; Brandão, P.E.; Chacón, J.L.; Assayag, M.S.; Maiorka, P.C.; Raffi, P.; Saidenberg, A.B.S.; Jones, R.C.; Ferreira, A.J.P. Orchitis in Roosters with Reduced Fertility Associated with Avian Infectious Bronchitis Virus and Avian Metapneumovirus Infections. Avian Dis. 2007, 51, 900–904. [Google Scholar] [CrossRef] [PubMed][Green Version]
- Sonne, C.; Siebert, U.; Gonnsen, K.; Desforges, J.-P.; Eulaers, I.; Persson, S.; Roos, A.; Bäcklin, B.-M.; Kauhala, K.; Tange Olsen, M.; et al. Health Effects from Contaminant Exposure in Baltic Sea Birds and Marine Mammals: A Review. Environ. Int. 2020, 139, 105725. [Google Scholar] [CrossRef] [PubMed]
- Helander, B.; Olsson, M.; Reutergårdh, L. Residue Levels of Organochlorine and Mercury Compounds in Unhatched Eggs and the Relationships to Breeding Success in White-tailed Sea Eagles Haliaeetus Albicilla in Sweden. Ecography 1982, 5, 349–366. [Google Scholar] [CrossRef]
- Helander, B.; Olsson, A.; Bignert, A.; Asplund, L.; Litzén, K. The Role of DDE, PCB, Coplanar PCB and Eggshell Parameters for Reproduction in the White-Tailed Sea Eagle (Haliaeetus albicilla) in Sweden. Ambio 2002, 31, 386–403. [Google Scholar] [CrossRef]
- Christensen, T.K. Factors Affecting Population Size of Baltic Common Eiders Somateria mollissima; NERI (National Environmen-tal Research Institute), University of Aarhus: Aarhus, Denmark, 2008. [Google Scholar]
- Gobbo, F.; Fornasiero, D.; De Marco, M.A.; Zecchin, B.; Mulatti, P.; Delogu, M.; Terregino, C. Active Surveillance for Highly Pathogenic Avian Influenza Viruses in Wintering Waterbirds in Northeast Italy, 2020–2021. Microorganisms 2021, 9, 2188. [Google Scholar] [CrossRef]
- Sipiä, V.O.; Karlsson, K.M.; Meriluoto, J.A.O.; Kankaanpää, H.T. Eiders (Somateria mollissima) Obtain Nodularin, a Cyanobacterial Hepatotoxin, in Baltic Sea Food Web. Environ. Toxicol. Chem. 2004, 23, 1256–1260. [Google Scholar] [CrossRef]
- Laursen, K.; Møller, A.P.; Haugaard, L.; Öst, M.; Vainio, J. Allocation of Body Reserves during Winter in Eider Somateria mollissima as Preparation for Spring Migration and Reproduction. J. Sea Res. 2019, 144, 49–56. [Google Scholar] [CrossRef]








| Sex | Age | ||||
|---|---|---|---|---|---|
| Juvenile | Immature | Subadult | Adult | Total | |
| Male | 9 | 4 | 9 | 57 | 79 |
| Female | 9 | 4 | 8 | 21 | 42 |
| Total | 18 | 8 | 17 | 78 | 121 |
| Age | Nutritional Condition | ||||
|---|---|---|---|---|---|
| Good | Moderate | Poor | Emaciated | Total | |
| Juvenile | 2 | 5 | 1 | 0 | 8 |
| Immature | 5 | 7 | 6 | 0 | 18 |
| Subadult | 7 | 10 | 0 | 0 | 17 |
| Adult | 39 | 32 | 5 | 2 | 78 |
| Total | 53 | 54 | 12 | 2 | 121 |
| Organ | Pathological Finding | Number of animals Affected |
|---|---|---|
| Cardiovascular system and lung | ||
| Air sacs | Aerosacculitis | 1 |
| Heart | Valvular fibrosis | 1 |
| Lung | Emphysema | 1 |
| Haemorrhage | 1 | |
| Hyperaemia | 121 | |
| Oedema | 118 | |
| Gastrointestinal tract | ||
| Oesophagus | Epithelial hyperplasia | 4 |
| Hyperkeratosis | 2 | |
| Oesophagitis | 82 | |
| Proventriculus | Amyloid deposition | 2 |
| Gastritis | 4 | |
| Gizzard | Fibrosis | 1 |
| Gastritis | 7 | |
| Parasite infection | 6 | |
| Cuticular perforation | 2 | |
| Serositis | 1 | |
| Intestine | Amyloid deposition | 1 |
| Enteritis | 24 | |
| Fibrosis | 4 | |
| Parasite infection | 95 | |
| Serositis | 2 | |
| Liver | Amyloid deposition | 3 |
| Congestion | 2 | |
| Fibrosis | 3 | |
| Hepatitis | 65 | |
| Parasite infection | 1 | |
| Proliferation of bile ducts | 1 | |
| Haematopoietic and endocrine system | ||
| Adrenal glands | Amyloid deposition | 3 |
| Spleen | Amyloid deposition | 4 |
| Follicular hyperplasia | 2 | |
| Splenitis | 3 | |
| Thyroid gland | Amyloidosis | 2 |
| Skin and bones | ||
| Bones | Fracture | 21 |
| Beak | Fracture | 9 |
| Skin | Skin abrasion | 2 |
| Subcutis | Foreign body | 2 |
| Haemorrhages | 66 | |
| Panniculitis | 1 | |
| Urinary and reproductive tract | ||
| Kidneys | Amyloid deposition | 4 |
| Concrements | 1 | |
| Hyalinosis of glomerular mesangium and medullary interstitium | 1 | |
| Nephritis/Pyelitis | 78 | |
| Parasite infection | 4 | |
| Ovary | Hyalinosis of ovarian vessels | 1 |
| Oophoritis | 1 | |
| Testes | Amyloid deposition | 1 |
| Orchitis | 32 |
| Nutritional Condition | Grade of Enteritis | |||
|---|---|---|---|---|
| Mild | Moderate | Severe | Total | |
| Good | 8 | 14 | 3 | 25 |
| Moderate | 8 | 10 | 1 | 19 |
| Poor | 1 | 0 | 1 | 2 |
| Emaciated | 1 | 0 | 0 | 1 |
| Total | 18 | 24 | 5 | 47 |
| Nutritional Condition | Parasite Infection | ||||
|---|---|---|---|---|---|
| Mild | Moderate | Severe | None | Total | |
| Good | 23 | 18 | 4 | 8 | 53 |
| Moderate | 15 | 22 | 4 | 13 | 54 |
| Poor | 5 | 3 | 1 | 3 | 12 |
| Emaciated | 2 | 0 | 0 | 0 | 2 |
| Total | 45 | 43 | 9 | 24 | 121 |
| Organ | |||||||||
|---|---|---|---|---|---|---|---|---|---|
| Lung | Liver | Intestine | Spleen | Kidneys | Brain | Oesophagus | Reproductive tract | Stomach | |
| Number of Organs Examined | 25 | 26 | 25 | 25 | 26 | 25 | 10 | 22 | 1 |
| Bacterial species | |||||||||
| Actinomyces marimammalium | 1 | ||||||||
| Bacillus licheniformis | 3 | ||||||||
| Bacillus sp. | 1 | 2 | |||||||
| Cardiobacterium sp. | 1 | ||||||||
| Citrobacter sp. | 1 | ||||||||
| Deinococcus sp. | 1 | ||||||||
| Enterococcus faecalis | 1 | ||||||||
| Enterococcus gallinarum | 1 | ||||||||
| Escherichia coli | 1 | ||||||||
| Kocuria sp. | 1 | ||||||||
| Lelliottia amnigena | 1 | ||||||||
| Leucobacter sp. | 1 | ||||||||
| Mycobacterium avium subspecies avium | 1 | 1 | 1 | ||||||
| Pasteurellaceae | 1 | ||||||||
| Psychrobacter arenosus | 1 | ||||||||
| Psychrobacter sp. | 1 | 1 | 2 | 1 | |||||
| Serratia sp. | 1 | ||||||||
| Staphylococcus hominis | 1 | ||||||||
| Stenotrophomonas rhizophila | 1 | ||||||||
| Stenotrophomonas sp. | 2 | 1 | |||||||
| Streptococcus pharyngis | 1 | ||||||||
| Total | 10 | 6 | 2 | 1 | 7 | 2 | 5 | 0 | 0 |
Publisher’s Note: MDPI stays neutral with regard to jurisdictional claims in published maps and institutional affiliations. |
© 2022 by the authors. Licensee MDPI, Basel, Switzerland. This article is an open access article distributed under the terms and conditions of the Creative Commons Attribution (CC BY) license (https://creativecommons.org/licenses/by/4.0/).
Share and Cite
Schick, L.A.; Wohlsein, P.; Rautenschlein, S.; Jung, A.; Boyi, J.O.; Glemarec, G.; Kroner, A.-M.; Barth, S.A.; Siebert, U. Health Status of Bycaught Common Eiders (Somateria mollissima) from the Western Baltic Sea. Animals 2022, 12, 2002. https://doi.org/10.3390/ani12152002
Schick LA, Wohlsein P, Rautenschlein S, Jung A, Boyi JO, Glemarec G, Kroner A-M, Barth SA, Siebert U. Health Status of Bycaught Common Eiders (Somateria mollissima) from the Western Baltic Sea. Animals. 2022; 12(15):2002. https://doi.org/10.3390/ani12152002
Chicago/Turabian StyleSchick, Luca A., Peter Wohlsein, Silke Rautenschlein, Arne Jung, Joy Ometere Boyi, Gildas Glemarec, Anne-Mette Kroner, Stefanie A. Barth, and Ursula Siebert. 2022. "Health Status of Bycaught Common Eiders (Somateria mollissima) from the Western Baltic Sea" Animals 12, no. 15: 2002. https://doi.org/10.3390/ani12152002
APA StyleSchick, L. A., Wohlsein, P., Rautenschlein, S., Jung, A., Boyi, J. O., Glemarec, G., Kroner, A.-M., Barth, S. A., & Siebert, U. (2022). Health Status of Bycaught Common Eiders (Somateria mollissima) from the Western Baltic Sea. Animals, 12(15), 2002. https://doi.org/10.3390/ani12152002

