Safety of Mealworm Meal in Layer Diets and their Influence on Gut Morphology
Abstract
Simple Summary
Abstract
1. Introduction
2. Materials and Methods
2.1. Animals and Diets
2.2. Measurement of Digestive Tract and Ileum Viscosity
2.3. Histo-Morphological Measurements
2.3.1. Histopathological Examination
2.3.2. Morphometric Examination
2.4. Microbiologically Analysis
2.5. Preparation of Samples for the Analyses of Mycotoxins by HPLC
2.6. Statistical Analysis
3. Results
3.1. Measurements of Digestive Tract
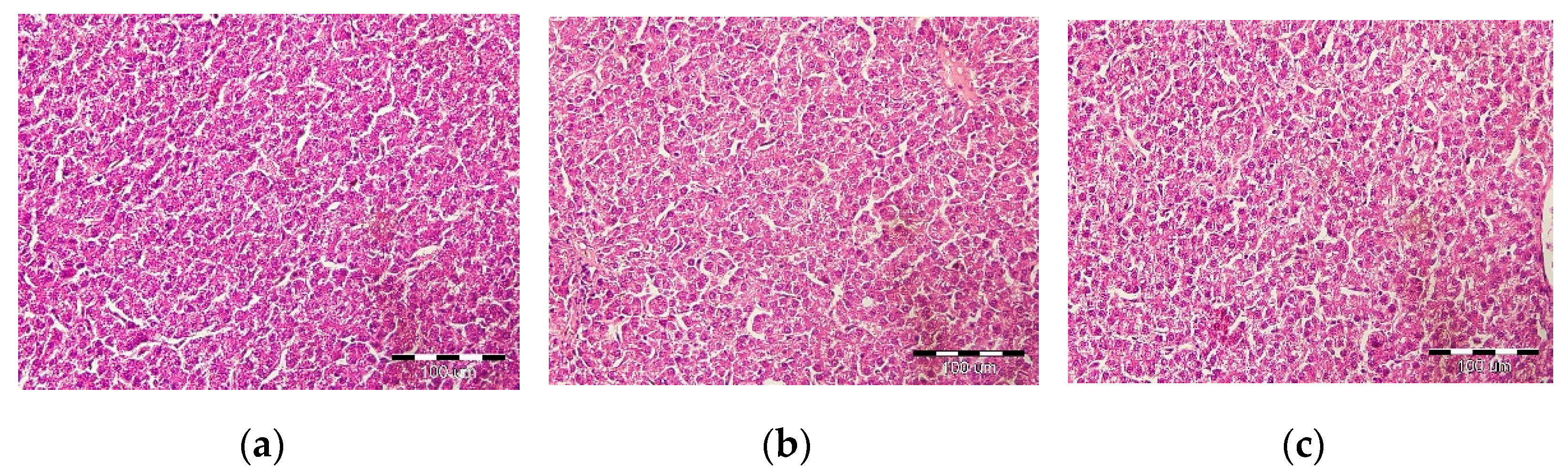
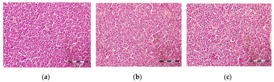
3.2. Histo-Morphological Examination and Digesta Viscosity
3.3. Microbial Colonization in Cecal Chyme
3.4. Microbiological Analysis of Experimental Feeds
4. Discussion
5. Conclusions
Author Contributions
Funding
Institutional Review Board Statement
Data Availability Statement
Acknowledgments
Conflicts of Interest
References
- Zadeh, Z.S.; Kheiri, F.; Faghani, M. Productive performance, egg-related indices, blood profiles, and interferon-Ɣ gene expression of laying Japanese quails fed on Tenebrio molitor larva meal as a replacement for fish meal. Ital. J. Anim. Sci. 2020, 19, 274–281. [Google Scholar] [CrossRef]
- FAO. World Livestock 2011—Livestock in Food Security; Food and Agriculture Organization of the United Nations: Rome, Italy, 2011; pp. 1–130. Available online: http://www.fao.org/docrep/014/i2373e/i2373e.pdf (accessed on 20. March 2021).
- Miranda, J.M.; Anton, X.; Redondo-Valbuena, C.; Roca-Saavedra, P.; Rodriguez, J.A.; Lamas, A.; Franco, C.M.; Cepeda, A. Egg and Egg-Derived Foods: Effects on Human Health and Use as Functional Foods. Nutrients 2015, 7, 706–729. [Google Scholar] [CrossRef]
- Secci, G.; Bovera, F.; Nizza, S.; Baronti, N. Quality of eggs from Lohmann Brown Classic laying hens fed black soldier fly meal as substitute for soya bean. Animal 2018, 12, 1–7. [Google Scholar] [CrossRef]
- Da Silva, V.P.; van der Werf, H.M.; Spies, A.; Soares, S.R. Variability in environmental impacts of Brazilian soybean according to crop production and transport scenarios. J. Environ. Manag. 2010, 91, 1831–1839. [Google Scholar] [CrossRef]
- Woyengo, T.A.; Beltranena, E.; Zijlstra, R.T. Nonruminant Nutrition Symposium: Controlling feed cost by including alternative ingredients into pig diets: A review. J. Anim. Sci. 2014, 92, 1293–1305. [Google Scholar] [CrossRef]
- Liu, X.; Liu, X.; Yao, Y.; Qu, X.; Chen, J.; Xie, K.; Wang, X.; Qi, Y.; Xiao, B.; He, C. Effects of different levels of Hermetia illucens larvae meal on performance, egg quality, yolk fatty acid composition and oxidative status of laying hens. Ital. J. Anim. Sci. 2021, 20, 256–266. [Google Scholar] [CrossRef]
- Bovera, F.; Loponte, R.; Marono, S.; Piccolo, G.; Parisi, G.; Iaconisi, V.; Gasco, L.; Nizza, A. Use of Tenebrio molitor larvae meal as protein source in broiler diet: Effect on growth performance, nutrient digestibility, and carcass and meat traits. J. Anim. Sci. 2016, 94, 639–647. [Google Scholar] [CrossRef] [PubMed]
- Gasco, L.; Acuti, G.; Bani, P.; Dalle Zotte, A.; Danieli, P.P.; De Angelis, A.; Fortina, R.; Marino, R.; Parisi, G.; Piccolo, G.; et al. Insect and fish by-products as sustainable alternatives to conventional animal proteins in animal nutrition. Ital. J. Anim. Sci. 2020, 19, 360–372. [Google Scholar] [CrossRef]
- Kogut, M.H.; Arsenault, R.J. Editorial: Gut health: The new paradigm in food animal production. Front. Vet. Sci. 2016, 3, 71. [Google Scholar] [CrossRef] [PubMed]
- Wei, S.; Morrison, M.; Yu, Z. Bacterial census of poultry intestinal microbiome. Poult. Sci. 2013, 92, 671–683. [Google Scholar] [CrossRef]
- Gong, J.; Si, W.; Forster, R.J.; Huang, R.; Yu, H.; Yin, Y.; Yang, C.; Han, Y. 16S rRNA gene-based analysis of mucosa-associated bacterial community and phylogeny in the chicken gastrointestinal tracts: From crops to ceca. FEMS Microbiol. Ecol. 2007, 59, 147–157. [Google Scholar] [CrossRef] [PubMed]
- Danzeisen, J.L.; Kim, H.B.; Isaacson, R.E.; Tu, Z.J.; Johnson, T.J. Modulations of the chicken cecal microbiome and metagenome in response to anticoccidial and growth promoter treatment. PLoS ONE 2011, 6, e27949. [Google Scholar] [CrossRef] [PubMed]
- Stanley, D.; Denman, S.E.; Hughes, R.J.; Geier, M.S.; Crowley, T.M.; Chen, H.; Haring, V.R.; Moore, R.J. Intestinal microbiota associated with differential feed conversion efficiency in chickens. Appl. Microbiol. Biotechnol. 2012, 96, 1361–1369. [Google Scholar] [CrossRef]
- Costa, M.C.; Bessegatto, J.A.; Alfieri, A.A.; Weese, J.S.; Filho, J.A.; Oba, A. Different antibiotic growth promoters induce specific changes in the cecal microbiota membership of broiler chicken. PLoS ONE 2017, 12, e0171642. [Google Scholar] [CrossRef] [PubMed]
- Dabbou, S.; Ferrocino, I.; Gasco, L.; Schiavone, A.; Trocino, A.; Xiccato, G.; Barroeta, A.C.; Maione, S.; Soglia, D.; Biasato, I.; et al. Antimicrobial Effects of Black Soldier Fly and Yellow Mealworm Fats and Their Impact on Gut Microbiota of Growing Rabbits. Animals 2020, 10, 1292. [Google Scholar] [CrossRef]
- Franco, J.R.G.; Murakami, A.E.; Natali, M.R.M.; Garcia, E.R.M.; Furlan, A.C. Influence of delayed placement and dietary lysine levels on small intestine morphometrics and performance of broilers. Braz. J. Poult. Sci. 2006, 8, 233–241. [Google Scholar] [CrossRef]
- Lenhardt, L.; Mozes, S. Morphological and functional changes of the small intestine in growth-stunted broilers. Acta Vet. Brno 2003, 72, 353–358. [Google Scholar] [CrossRef]
- Biasato, I.; Ferrocino, I.; Grego, E.; Dabbou, S.; Gai, F.; Gasco, L.; Cocolin, L.; Capucchio, M.T.; Schiavone, A. Gut Microbiota and Mucin Composition in Female Broiler Chickens Fed Diets including Yellow Mealworm (Tenebrio molitor, L.). Animals 2019, 9, 213. [Google Scholar] [CrossRef]
- Wang, X.C.; Zhang, H.J.; Wu, S.G.; Yue, H.Y.; Li, J.; Qi, G.H. Effect of dietary protein sources on egg performance and egg quality of Jinghong laying hens at peak production. Sci. Agric. Sin. 2015, 48, 2049–2057. [Google Scholar] [CrossRef]
- Lohmann Tierzucht, Management Guide. 2018. Available online: https://lohmann-breeders.com/strains/lohmann-brown-classic-cage-housing/ (accessed on 5 January 2020).
- Commission Regulation (EC) 152/2009. Laying down the Methods of Sampling and Analysis for the Official Control of Feed. 2009. Available online: http://data.europa.eu/eli/reg/2009/152/2020-11-16 (accessed on 1 April 2021).
- Yasar, S. Performance and gastro-intestinal response of broiler chickens fed on cereal grain-based foods soaked in water. Br. Poult. Sci. 1999, 40, 65–76. [Google Scholar] [CrossRef]
- Vacek, Z. Histology and Histological Technique, 3rd ed.; Avicennum: Prague, Czech Republic, 1972; pp. 160–174. (In Czech) [Google Scholar]
- Clark, G. General Methods. In Staining Procedures; Clark, G., Ed.; Wiliams+Wilkins: Baltimore, MD, USA, 1981; pp. 23–25. [Google Scholar]
- Langseth, W.; Rundberget, T. Instrumental methods for determination of nonmacrocyclic trichothecenes in cereals, foodstuffs and cultures. J. Chromatogr. A 1998, 815, 103–121. [Google Scholar] [CrossRef]
- Biasato, I.; Gasco, L.; De Marco, M.; Renna, M.; Rotolo, L.; Dabbou, S.; Schiavone, A. Effects of yellow mealworm larvae (Tenebrio molitor) inclusion in diets for female broiler chickens: Implications for animal health and gut histology. Anim. Feed Sci. Technol. 2017, 234, 253–263. [Google Scholar] [CrossRef]
- Biasato, I.; De Marco, M.; Rotolo, L.; Renna, M.; Lussiana, C.; Dabbou, S.; Schiavone, A. Effects of dietary Tenebrio molitor meal inclusion in free-range chickens. J. Anim. Physiol. Anim. Nutr. 2016, 100, 1104–1112. [Google Scholar] [CrossRef] [PubMed]
- Mwaniki, Z.; Shoveller, A.K.; Huber, L.A.; Kiarie, E.G. Complete replacement of soybean meal with defatted black soldier fly larvae meal in Shaver White hens feeding program (28–43 wks of age): Impact on egg production, egg quality, organ weight, and apparent retention of components. Poult. Sci. 2020, 99, 959–965. [Google Scholar] [CrossRef]
- Kiarie, E.; Romero, L.F.; Nyachoti, C.M. The role of added feed enzymes in promoting gut health in swine and poultry. Nutr. Res. Rev. 2013, 26, 71–88. [Google Scholar] [CrossRef]
- Borgogno, M.; Dinnella, C.; Iaconisi, V.; Fusi, R.; Scarpaleggia, C.; Schiavone, A.; Monteleone, E.; Gasco, L.; Parisi, G. Inclusion of Hermetia illucens larvae meal on rainbow trout (Oncorhynchus mykiss) feed: Effect on sensory profile according to static and dynamic evaluations. J. Sci. Food Agric. 2017, 97, 3402–3411. [Google Scholar] [CrossRef]
- Marono, S.; Loponte, R.; Lombardi, P.; Vassalotti, G.; Pero, M.E.; Russo, F.; Gasco, L.; Parisi, G.; Piccolo, G.; Nizza, S.; et al. Productive performance and blood profiles of laying hens fed Hermetia illucens larvae meal as total replacement of soybean meal from 24 to 45 weeks of age. Poult. Sci. 2017, 96, 1783–1790. [Google Scholar] [CrossRef]
- Józefiak, D.; Engberg, R.M. Insects as poultry feed. In Proceedings of the 20th European Symposium on Poultry Nutrition (ESPN), Prague, Czech Republic, 24–27 August 2015; pp. 24–27. [Google Scholar]
- Smits, C.H.; Annison, G. Non-starch plant polysaccharides in broiler nutrition–towards a physiologically valid approach to their determination. Worlds Poult. Sci. J. 1996, 52, 203–221. [Google Scholar] [CrossRef]
- Bedford, M.R.; Classen, H.L. Reduction of intestinal viscosity through manipulation of dietary rye and pentosanase concentration is effected through changes in the carbohydrate composition of the intestinal aqueous phase and results in improved growth rate and food conversion efficiency of broiler chicks. J. Nutr. 1992, 122, 560–569. [Google Scholar] [CrossRef]
- Van Krimpen, M.; Torki, M.; Schokker, D. Effects of rye inclusion in grower diets on immune competence-related parameters and performance in broilers. Poult. Sci. 2017, 96, 3324–3337. [Google Scholar] [CrossRef]
- Choct, M.; Annison, G. Anti-nutritive activity of wheat pentosans in broiler diets. Br. Poult. Sci. 1990, 31, 811–821. [Google Scholar] [CrossRef] [PubMed]
- Bach Knudsen, K.E. Fiber and nonstarch polysaccharide content and variation in common crops used in broiler diets. Poult. Sci. 2014, 93, 2380–2393. [Google Scholar] [CrossRef] [PubMed]
- Teirlynck, E.; Bjerrum, L.; Eeckhaut, V.; Huygebaert, G.; Pasmans, F.; Haesebrouck, F.; Dewulf, J.; Ducatelle, R.; Van Immerseel, F. The cereal type in feed influences gut wall morphology and intestinal immune cell infiltration in broiler chickens. Br. J. Nutr. 2009, 102, 1453–1461. [Google Scholar] [CrossRef]
- Arczewska-Wlosek, A.; Swiatkiewicz, S.; Bederska-Lojewska, D.; Orczewska-Dudek, S.; Szczurek, W.; Boros, D.; Fras, A.; Tomaszewska, E.; Dobrowolski, P.; Muszynski, S. The efficiency of xylanase in broiler chickens fed with increasing dietary levels of rye. Animals 2019, 9, 46. [Google Scholar] [CrossRef] [PubMed]
- El-Wahab, A.A.; Lingens, J.B.; Chuppava, B.; Ahmed, M.F.E.; Osman, A.; Langeheine, M.; Brehm, R.; Taube, V.; Grone, R.; von Felde, A.; et al. Impact of Rye Inclusion in Diets for Broilers on Performance, Litter Quality, Foot Pad Health, Digesta Viscosity, Organ Traits and Intestinal Morphology. Sustainability 2020, 12, 7753. [Google Scholar] [CrossRef]
- Agabou, A.; Alloui, N. Importance of Alphitobius diaperinus (Panzer) as a reservoir for pathogenic bacteria in Algerian broiler houses. Vet. World 2010, 3, 71–73. [Google Scholar]
- Amadi, E.N.; Ogbalu, O.K.; Barimalaa, I.S.; Pius, M. Microbiology and nutritional composition of an edible larva (Bunaea alcinoe Stoll) of the Niger Delta. J. Food Saf. 2005, 25, 193–197. [Google Scholar] [CrossRef]
- Braide, W.; Oranusi, S.; Udegbunam, L.I.; Oguoma, O.; Akobondu, C.; Nwaoguikpe, R.N. Microbiological quality of an edible caterpillar of an emperor moth, Bunaea alcinoe. J. Ecol. Nat. Environ. 2011, 3, 176–180. [Google Scholar]
- Giaccone, V. Hygiene and health features of mini livestock. In Ecological Implications of Mini Livestock: Role of Rodents, Frogs, Snails and Insects for Sustainable Development; Paoletti, M.G., Ed.; Science Publisher: Plymouth, UK, 2005; pp. 579–598. [Google Scholar]
- Vandeweyer, D.; Crauwels, S.; Lievens, B.; Van Campenhout, L. Microbial counts of mealworm larvae (Tenebrio molitor) and crickets (Acheta domesticus and Gryllodes sigillatus) from different rearing companies and different production batches. Int. J. Food Microbiol. 2017, 242, 13–18. [Google Scholar] [CrossRef]
- Shin, C.S.; Kim, D.Y.; Shin, W.S. Characterization of chitosan extracted from Mealworm Beetle (Tenebrio molitor, Zophobas morio) and Rhinoceros Beetle (Allomyrina dichotoma) and their antibacterial activities. Int. J. Biol. Macromol. 2019, 125, 72–77. [Google Scholar] [CrossRef]
- Commission Recommendation (2006/576/EC). On the Presence of Deoxynivalenol, Zearalenone, Ochratoxin A, T-2 and HT-2 and Fumonisins in Products Intended for Animal Feeding. 2006. Available online: https://eur-lex.europa.eu/legal-content/EN/TXT/?uri=CELEX%3A02006H0576-20160802 (accessed on 1 April 2021).
- Commision Regulation (EC) 574/2011. Maximum Levels for Nitrite, Melamine, Ambrosia spp. and Carry-Over of Certain Coccidiostats and Histomonostats. 2011. Available online: https://eur-lex.europa.eu/legal-content/EN/TXT/?uri=CELEX%3A32011R0574 (accessed on 1 April 2021).
- Biasato, I.; Gasco, L.; De Marco, M.; Renna, M.; Rotolo, L.; Dabbou, S.; Capucchio, M.T.; Biasibetti, E.; Tarantola, M.; Sterpone, L.; et al. Yellow mealworm larvae (Tenebrio molitor) inclusion in diets for male broiler chickens: Effects on growth performance, gut morphology and histological findings. Poult. Sci. 2018, 97, 540–548. [Google Scholar] [CrossRef] [PubMed]
- Sogari, G.; Amato, M.; Biasato, I.; Chiesa, S.; Gasco, L. The Potential Role of Insects as Feed: A Multi-Perspective Review. Animals 2019, 9, 119. [Google Scholar] [CrossRef] [PubMed]

| Component (%) | TM0 | TM2 | TM5 |
|---|---|---|---|
| Maize | 32.60 | 32.30 | 31.40 |
| Soybean meal | 30.30 | 27.90 | 24.10 |
| Wheat | 19.19 | 20.04 | 22.54 |
| CaCO3 | 7.75 | 7.75 | 7.75 |
| Rapeseed oil | 4.35 | 4.20 | 3.50 |
| Vitamin-mineral premix * | 3.00 | 3.00 | 3.00 |
| Monocalcium phosphate | 2.20 | 2.20 | 2.20 |
| Mealworm meal | 0.00 | 2.00 | 5.00 |
| NaCl | 0.30 | 0.30 | 0.30 |
| DL-Methionine | 0.20 | 0.20 | 0.20 |
| NaHCO3 | 0.10 | 0.10 | - |
| L-Threonine | 0.01 | 0.01 | 0.01 |
| Analyzed composition (as fed) | |||
| Metabolizable energy (MJ/kg) | 11.42 | 11.48 | 11.48 |
| Crude protein (%) | 18.83 | 18.13 | 18.18 |
| Ether extract (%) | 5.52 | 5.97 | 6.01 |
| Crude fiber (%) | 1.79 | 1.93 | 1.97 |
| Crude ash (%) | 14.50 | 14.76 | 14.50 |
| Calcium (%) | 3.55 | 3.70 | 3.52 |
| Total phosphorus (%) | 0.78 | 0.80 | 0.79 |
| TM0 | TM2 | TM5 | p Values | |
|---|---|---|---|---|
| n | 7 | 7 | 7 | |
| mean ± SEM | ||||
| Final live weight (g) | 1912 ± 47.58 | 1978 ± 37.94 | 1950 ± 52.60 | 0.612 |
| Crop, weight (g) | 3.78 ± 0.40 | 3.26 ± 0.22 | 3.72 ± 0.31 | 0.465 |
| Proventriculus, weight (g) | 4.40 ± 0.13 | 4.81 ± 0.24 | 4.66 ± 0.19 | 0.320 |
| Gizzard, weight (g) | 12.19 ± 0.55 | 12.90 ± 0.47 | 13.04 ± 0.48 | 0.447 |
| Gizzard, length (mm) | 25.34 ± 0.49 | 25.95 ± 0.30 | 26.10 ± 0.69 | 0.557 |
| Gizzard, width (mm) | 19.85 ± 0.55 a | 21.63 ± 0.43 b | 21.45 ± 0.27 ab | 0.017 |
| Gizzard, height (mm) | 11.01 ± 0.29 a | 11.72 ± 0.20 ab | 12.42 ± 0.23 b | 0.003 |
| Gizzard, muscle height (mm) | 7.76 ± 0.37 b | 6.37 ± 0.43 a | 6.88 ± 0.22 ab | 0.038 |
| Duodenum, weight (g) | 4.30 ± 0.26 | 4.47 ± 0.32 | 4.39 ± 0.24 | 0.930 |
| Duodenum, length (mm) | 154.68 ± 4.52 | 163.28 ± 6.06 | 156.45 ± 7.10 | 0.277 |
| Jejunum, weight (g) | 8.30 ± 0.51 | 9.72 ± 0.61 | 9.16 ± 0.53 | 0.384 |
| Jejunum, length (mm) | 312.40 ± 17.00 | 323.60 ± 12.90 | 301.90 ± 11.90 | 0.749 |
| Ileum, weight (g) | 11.72 ± 0.91 | 10.86 ± 0.62 | 9.56 ± 0.64 | 0.902 |
| Ileum, length (mm) | 233.30 ± 24.90 | 233.30 ± 11.30 | 222.70 ± 10.30 | 0.573 |
| Ceca, weight (g) | 4.67 ± 0.20 | 5.03 ± 0.27 | 4.65 ± 0.21 | 0.214 |
| Ceca, length (mm) | 78.7 ± 03.2 | 77.5 ± 02.0 | 77.2 ± 04.2 | 0.562 |
| Colon, weight (g) | 3.13 ± 0.17 | 3.21 ± 0.17 | 2.84 ± 0.14 | 0.140 |
| Colon, length (mm) | 73.90 ± 3.50 b | 64.0 ± 2.00 ab | 59.90 ± 03.10 a | 0.876 |
| Liver, weight (g) | 17.12 ± 0.38 | 17.41 ± 0.90 | 17.45 ± 0.62 | 0.269 |
| Spleen, weight (g) | 0.97 ± 0.06 | 1.19 ± 0.15 | 1.11 ± 0.04 | 0.277 |
| Heart, weight (g) | 3.62 ± 0.13 | 3.72 ± 0.20 | 3.41 ± 0.12 | 0.431 |
| Abdominal fat, weight (g) | 48.44 ± 3.49 | 50.94 ± 4.92 | 44.98 ± 7.41 | 0.936 |
| n | Villus Height (µm) | Digesta Viscosity (mPa·s) | |
|---|---|---|---|
| mean ± SEM | |||
| TM0 | 7 | 571.96 ± 26.63 | 4.49 ± 0.22 a |
| TM2 | 7 | 602.32 ± 35.37 | 4.74 ± 0.15 ab |
| TM5 | 7 | 591.08 ± 28.51 | 5.43 ± 0.30 b |
| p values | 0.778 | 0.026 | |
| n | E. coli | Other Coliform Bacteria | Clostridium perfringens | |
|---|---|---|---|---|
| mean ± SEM | ||||
| TM0 | 7 | 7.41 ± 6.98 | 7.17 ± 7.05 | 0.70 ± 0.56 |
| TM2 | 7 | 6.72 ± 6.38 | 4.04 ± 3.85 | 1.29 ± 1.27 |
| TM5 | 7 | 6.89 ± 6.55 | 2.81 ± 2.81 | 2.16 ± 2.01 |
| p Values | 0.056 | 0.203 | 0.219 | |
| Other Coliform Bacteria | Enterococci | Clostridium perfringens | TPC | LAB | Yeasts | S. aureus | Molds | DON | OTA | AFB1 | AF |
|---|---|---|---|---|---|---|---|---|---|---|---|
| 2.08 | 1.62 | 0.23 | 3.13 | 0.32 | 0.23 | 1.80 | 2.30 | <40.0 | 1.7 | <0.1 | <0.1 |
| E. coli | Other Coliform Bacteria | Enterococci | Clostridium perfringens | TPC | LAB | Yeasts | Molds | S. aureus | |
|---|---|---|---|---|---|---|---|---|---|
| TM0 | ND | 5.20 | 2.36 | ND | 5.63 | 2.74 | 2.64 | 3.64 | 2.32 |
| TM2 | ND | 5.27 | 2.24 | ND | 5.48 | 2.63 | 1.62 | 3.62 | 1.60 |
| TM5 | ND | 5.14 | 2.13 | ND | 5.84 | 2.48 | 2.47 | 3.60 | 1.68 |
| E. coli | Other Coliform Bacteria | Enterococci | Clostridium perfringens | TPC | LAB | Yeasts | Molds | S. aureus | |
|---|---|---|---|---|---|---|---|---|---|
| TM0 | ND | 4.99 | 2.42 | ND | 5.34 | ND | 2.40 | 3.54 | 2.70 |
| TM2 | ND | 5.02 | 2.45 | ND | 5.45 | ND | 2.40 | 3.35 | 2.50 |
| TM5 | ND | 5.11 | 2.57 | ND | 5.54 | ND | 2.40 | 3.60 | 2.16 |
Publisher’s Note: MDPI stays neutral with regard to jurisdictional claims in published maps and institutional affiliations. |
© 2021 by the authors. Licensee MDPI, Basel, Switzerland. This article is an open access article distributed under the terms and conditions of the Creative Commons Attribution (CC BY) license (https://creativecommons.org/licenses/by/4.0/).
Share and Cite
Stastnik, O.; Novotny, J.; Roztocilova, A.; Kouril, P.; Kumbar, V.; Cernik, J.; Kalhotka, L.; Pavlata, L.; Lacina, L.; Mrkvicova, E. Safety of Mealworm Meal in Layer Diets and their Influence on Gut Morphology. Animals 2021, 11, 1439. https://doi.org/10.3390/ani11051439
Stastnik O, Novotny J, Roztocilova A, Kouril P, Kumbar V, Cernik J, Kalhotka L, Pavlata L, Lacina L, Mrkvicova E. Safety of Mealworm Meal in Layer Diets and their Influence on Gut Morphology. Animals. 2021; 11(5):1439. https://doi.org/10.3390/ani11051439
Chicago/Turabian StyleStastnik, Ondrej, Jakub Novotny, Andrea Roztocilova, Petr Kouril, Vojtech Kumbar, Julius Cernik, Libor Kalhotka, Leos Pavlata, Lubor Lacina, and Eva Mrkvicova. 2021. "Safety of Mealworm Meal in Layer Diets and their Influence on Gut Morphology" Animals 11, no. 5: 1439. https://doi.org/10.3390/ani11051439
APA StyleStastnik, O., Novotny, J., Roztocilova, A., Kouril, P., Kumbar, V., Cernik, J., Kalhotka, L., Pavlata, L., Lacina, L., & Mrkvicova, E. (2021). Safety of Mealworm Meal in Layer Diets and their Influence on Gut Morphology. Animals, 11(5), 1439. https://doi.org/10.3390/ani11051439

