Canine Gastric Carcinomas: A Histopathological and Immunohistochemical Study and Similarities with the Human Counterpart
Abstract
Simple Summary
Abstract
1. Introduction
2. Materials and Methods
2.1. Case Selection
2.2. Histopathological Evaluation
2.3. Immunohistochemistry
2.4. Evaluation of E-Cadherin, CD44, p16 and 14-3-3σ Immunolabeling
2.5. Statistical Analysis
3. Results
3.1. Case Details and Signalment
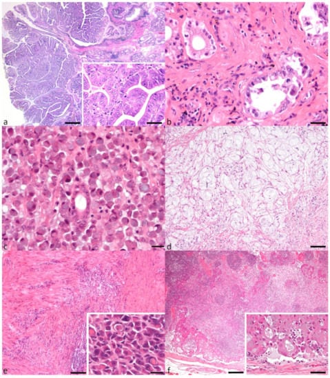
3.2. Histopathological Subtypes
3.3. Inflammation and Presence of Helicobacter spp.
3.4. Immunohistochemical Assessment of E-Cadherin, CD44, 14-3-3σ and p16
3.5. E-Cadherin Expression
3.6. CD44 Expression
3.7. 14-3-3σ Expression
3.8. p16 Expression
4. Discussion
5. Conclusions
Supplementary Materials
Author Contributions
Funding
Institutional Review Board Statement
Data Availability Statement
Conflicts of Interest
References
- Patnaik, A.K.; Hurvitz, A.I.; Johnson, G.F. Canine gastrointestinal neoplasms. Vet. Pathol. 1977, 14, 547–555. [Google Scholar] [CrossRef] [PubMed]
- Munday, J.S.; Löhr, C.V.; Kiupel, M. Tumors of the alimentary tract. Tumors Domest. Anim. 2016, 499–601. [Google Scholar] [CrossRef]
- Fonda, D.; Gualtieri, M.; Scanziani, E. Gastric-carcinoma in the dog—A clinicopathological study of 11 cases. J. Small Anim. Pract. 1989, 30, 353–360. [Google Scholar] [CrossRef]
- Crow, S.E. Tumors of the alimentary tract. Vet Clin. N. Am. Small Anim. Pract. 1985, 15, 577–596. [Google Scholar] [CrossRef]
- De Stefani, E.; Correa, P.; Boffetta, P.; Deneo-Pellegrini, H.; Ronco, A.L.; Mendilaharsu, M. Dietary patterns and risk of gastric cancer: A case-control study in uruguay. Gastric Cancer Off. J. Int. Gastric Cancer Assoc. Jpn. Gastric Cancer Assoc. 2004, 7, 211–220. [Google Scholar] [CrossRef]
- Seim-Wikse, T.; Jorundsson, E.; Nodtvedt, A.; Grotmol, T.; Bjornvad, C.R.; Kristensen, A.T.; Skancke, E. Breed predisposition to canine gastric carcinoma—A study based on the norwegian canine cancer register. Acta. Vet. Scand. 2013, 55, 25. [Google Scholar] [CrossRef]
- Sullivan, M.; Lee, R.; Fisher, E.W.; Nash, A.S.; McCandlish, I.A. A study of 31 cases of gastric carcinoma in dogs. Vet. Rec. 1987, 120, 79–83. [Google Scholar] [CrossRef] [PubMed]
- Head, K. Tumors of the alimentary system of domestic animals. WHO Collab. Cent. Worldw. Ref. Comp. Oncol. 2003, 54–55. [Google Scholar]
- Lauren, P. The two histological main types of gastric carcinoma: Diffuse and so-called intestinal-type carcinoma: An attempt at a histo-clinical classification. Acta Pathol. Microbiol. Scand. 1965, 64, 31–49. [Google Scholar] [CrossRef]
- Morrison, W.B. Inflammation and cancer: A comparative view. J. Vet. Intern. Med. 2012, 26, 18–31. [Google Scholar] [CrossRef] [PubMed]
- Shacter, E.; Weitzman, S.A. Chronic inflammation and cancer. Oncology (Williston Park) 2002, 16, 217–226. [Google Scholar] [PubMed]
- Piazuelo, M.B.; Epplein, M.; Correa, P. Gastric cancer: An infectious disease. Infect. Dis. Clin. N. Am. 2010, 24, 853–869. [Google Scholar] [CrossRef] [PubMed]
- Hatakeyama, M. Structure and function of helicobacter pylori caga, the first-identified bacterial protein involved in human cancer. Proc. Jpn. Acad. Ser. B Phys. Biol. Sci. 2017, 93, 196–219. [Google Scholar] [CrossRef] [PubMed]
- Amorim, I.; Smet, A.; Alves, O.; Teixeira, S.; Saraiva, A.L.; Taulescu, M.; Reis, C.; Haesebrouck, F.; Gartner, F. Presence and significance of helicobacter spp. In the gastric mucosa of portuguese dogs. Gut Pathog. 2015, 7, 12. [Google Scholar] [CrossRef]
- Priestnall, S.L.; Wiinberg, B.; Spohr, A.; Neuhaus, B.; Kuffer, M.; Wiedmann, M.; Simpson, K.W. Evaluation of “helicobacter heilmannii” subtypes in the gastric mucosas of cats and dogs. J. Clin. Microbiol. 2004, 42, 2144–2151. [Google Scholar] [CrossRef]
- Rossi, G.; Rossi, M.; Vitali, C.G.; Fortuna, D.; Burroni, D.; Pancotto, L.; Capecchi, S.; Sozzi, S.; Renzoni, G.; Braca, G.; et al. A conventional beagle dog model for acute and chronic infection with helicobacter pylori. Infect. Immun. 1999, 67, 3112–3120. [Google Scholar] [CrossRef]
- Pugacheva, E.N.; Roegiers, F.; Golemis, E.A. Interdependence of cell attachment and cell cycle signaling. Curr. Opin. Cell Biol. 2006, 18, 507–515. [Google Scholar] [CrossRef] [PubMed]
- Berx, G.; van Roy, F. Involvement of members of the cadherin superfamily in cancer. Cold Spring Harb. Perspect. Biol. 2009, 1, a003129. [Google Scholar] [CrossRef]
- Rodriguez, F.J.; Lewis-Tuffin, L.J.; Anastasiadis, P.Z. E-cadherin’s dark side: Possible role in tumor progression. Biochim. Biophys. Acta 2012, 1826, 23–31. [Google Scholar] [CrossRef]
- Saito, T.; Chambers, J.K.; Nakashima, K.; Nibe, K.; Ohno, K.; Tsujimoto, H.; Uchida, K.; Nakayama, H. Immunohistochemical analysis of beta-catenin, e-cadherin and p53 in canine gastrointestinal epithelial tumors. J. Vet. Med. Sci. 2020, 82, 1277–1286. [Google Scholar] [CrossRef]
- Aruffo, A.; Stamenkovic, I.; Melnick, M.; Underhill, C.B.; Seed, B. Cd44 is the principal cell surface receptor for hyaluronate. Cell 1990, 61, 1303–1313. [Google Scholar] [CrossRef]
- Orian-Rousseau, V.; Sleeman, J. Cd44 is a multidomain signaling platform that integrates extracellular matrix cues with growth factor and cytokine signals. In Advances in Cancer Research; Elsevier: Amsterdam, The Netherlands, 2014; Volume 123, pp. 231–254. [Google Scholar]
- Yan, Y.; Zuo, X.; Wei, D. Concise review: Emerging role of cd44 in cancer stem cells: A promising biomarker and therapeutic target. Stem Cells Transl. Med. 2015, 4, 1033–1043. [Google Scholar] [CrossRef] [PubMed]
- Da Cunha, C.B.; Oliveira, C.; Wen, X.; Gomes, B.; Sousa, S.; Suriano, G.; Grellier, M.; Huntsman, D.G.; Carneiro, F.; Granja, P.L.; et al. De novo expression of cd44 variants in sporadic and hereditary gastric cancer. Lab. Investig. 2010, 90, 1604–1614. [Google Scholar] [CrossRef]
- Li, H.; Guo, L.; Li, J.W.; Liu, N.; Qi, R.; Liu, J. Expression of hyaluronan receptors cd44 and rhamm in stomach cancers: Relevance with tumor progression. Int. J. Oncol. 2000, 17, 927–932. [Google Scholar] [CrossRef]
- Li, M.; Zhang, B.; Zhang, Z.; Liu, X.; Qi, X.; Zhao, J.; Jiang, Y.; Zhai, H.; Ji, Y.; Luo, D. Stem cell-like circulating tumor cells indicate poor prognosis in gastric cancer. Biomed. Res. Int. 2014, 2014, 981261. [Google Scholar] [CrossRef]
- Fang, M.; Wu, J.; Lai, X.; Ai, H.; Tao, Y.; Zhu, B.; Huang, L. Cd44 and cd44v6 are correlated with gastric cancer progression and poor patient prognosis: Evidence from 42 studies. Cell Physiol. Biochem. 2016, 40, 567–578. [Google Scholar] [CrossRef] [PubMed]
- Myung, N.; Kim, M.R.; Chung, I.P.; Kim, H.; Jang, J.J. Loss of p16 and p27 is associated with progression of human gastric cancer. Cancer. Lett. 2000, 153, 129–136. [Google Scholar] [CrossRef]
- Carrasco, V.; Canfran, S.; Rodriguez-Franco, F.; Benito, A.; Sainz, A.; Rodriguez-Bertos, A. Canine gastric carcinoma: Immunohistochemical expression of cell cycle proteins (p53, p21, and p16) and heat shock proteins (hsp27 and hsp70). Vet. Pathol. 2011, 48, 322–329. [Google Scholar] [CrossRef]
- Muhlmann, G.; Ofner, D.; Zitt, M.; Muller, H.M.; Maier, H.; Moser, P.; Schmid, K.W.; Zitt, M.; Amberger, A. 14-3-3 sigma and p53 expression in gastric cancer and its clinical applications. Dis. Markers 2010, 29, 21–29. [Google Scholar] [CrossRef] [PubMed]
- Li, Y.L.; Liu, L.; Xiao, Y.; Zeng, T.; Zeng, C. 14-3-3σ is an independent prognostic biomarker for gastric cancer and is associated with apoptosis and proliferation in gastric cancer. Oncol. Lett. 2015, 9, 290–294. [Google Scholar] [CrossRef] [PubMed]
- Lodygin, D.; Hermeking, H. Epigenetic silencing of 14-3-3sigma in cancer. In Seminars in Cancer Biology; Elsevier: Amsterdam, The Netherlands, 2006; pp. 214–224. [Google Scholar]
- Suarez-Bonnet, A.; Herraez, P.; de las Mulas, J.M.; Rodriguez, F.; Deniz, J.M.; de los Monteros, A.E. Expression of 14-3-3 sigma protein in normal and neoplastic canine mammary gland. Vet. J. 2011, 190, 345–351. [Google Scholar] [CrossRef] [PubMed]
- Suárez-Bonnet, A.; Herráez, P.; Aguirre, M.; Suárez-Bonnet, E.; Andrada, M.; Rodríguez, F.; de los Monteros, A.E. Expression of cell cycle regulators, 14-3-3σ and p53 proteins, and vimentin in canine transitional cell carcinoma of the urinary bladder. Urol. Oncol. Semin. Orig. Investig. 2015, 33, 332.e1. [Google Scholar]
- Fenoglio-Preiser, C.; Carneiro, F.; Correa, P.; Guilford, P.; Lambert, R.; Megraud, F.; Muñoz, N.; Powell, S.M.; Rugge, M.; Sasako, M.; et al. Tumours of the stomach. In World Health Organization Classification of Tumours. Pathology and Genetics of Tumours of the Digestive System; Hamilton, S., Aaltonen, L., Eds.; IARC Press: Lyon, France, 2000; pp. 37–67. [Google Scholar]
- Head, K.W.; Armed Forces Institute of Pathology (U.S.); American Registry of Pathology; WHO Collaborating Center for Worldwide Reference on Comparative Oncology. Histological Classification of Tumors of the Alimentary System of Domestic Animals; International Histological Classification of Tumors of Domestic Animals Series; Armed Forces Institute of Pathology: Washington, DC, USA, 2003. [Google Scholar]
- Allenspach, K.A.; Mochel, J.P.; Du, Y.; Priestnall, S.L.; Moore, F.; Slayter, M.; Rodrigues, A.; Ackermann, M.; Krockenberger, M.; Mansell, J.; et al. Correlating gastrointestinal histopathologic changes to clinical disease activity in dogs with idiopathic inflammatory bowel disease. Vet. Pathol. 2019, 56, 435–443. [Google Scholar] [CrossRef]
- Day, M.J.; Bilzer, T.; Mansell, J.; Wilcock, B.; Hall, E.J.; Jergens, A.; Minami, T.; Willard, M.; Washabau, R. Histopathological standards for the diagnosis of gastrointestinal inflammation in endoscopic biopsy samples from the dog and cat: A report from the world small animal veterinary association gastrointestinal standardization group. J. Comp. Pathol. 2008, 138, S1–S43. [Google Scholar] [CrossRef]
- Querzoli, P.; Coradini, D.; Pedriali, M.; Boracchi, P.; Ambrogi, F.; Raimondi, E.; La Sorda, R.; Lattanzio, R.; Rinaldi, R.; Lunardi, M. An immunohistochemically positive e-cadherin status is not always predictive for a good prognosis in human breast cancer. Br. J. Cancer 2010, 103, 1835–1839. [Google Scholar] [CrossRef] [PubMed]
- Da Cunha, I.W.; Souza, M.J.L.; da Costa, W.H.; Amâncio, A.M.; Fonseca, F.P.; de Cassio Zequi, S.; Lopes, A.; Guimarães, G.C.; Soares, F. Epithelial-mesenchymal transition (emt) phenotype at invasion front of squamous cell carcinoma of the penis influences oncological outcomes. Urol. Oncol. Semin. Orig. Investig. 2016, 34, 433.e19. [Google Scholar]
- Rogez, B.; Pascal, Q.; Bobillier, A.; Machuron, F.; Lagadec, C.; Tierny, D.; Le Bourhis, X.; Chopin, V. Cd44 and cd24 expression and prognostic significance in canine mammary tumors. Vet. Pathol. 2019, 56, 377–388. [Google Scholar] [CrossRef] [PubMed]
- Roma, A.A.; Goldblum, J.R.; Fazio, V.; Yang, B. Expression of 14-3-3σ, p16 and p53 proteins in anal squamous intraepithelial neoplasm and squamous cell carcinoma. Int. J. Clin. Exp. Pathol. 2008, 1, 419. [Google Scholar] [PubMed]
- Suárez-Bonnet, A.; Lara-García, A.; Stoll, A.L.; Carvalho, S.; Priestnall, S.L. 14-3-3σ protein expression in canine renal cell carcinomas. Vet. Pathol. 2018, 55, 233–240. [Google Scholar] [CrossRef]
- Patnaik, A.K.; Lieberman, P.H. Gastric squamous cell carcinoma in a dog. Vet. Pathol. 1980, 17, 250–253. [Google Scholar] [CrossRef] [PubMed]
- Washabau, R.; Day, M. Canine and Feline Gastroenterology-e-Book; Elsevier Health Sciences: Philadelphia, PA, USA, 2012. [Google Scholar]
- Fléjou, J.-F. Classification oms 2010 des tumeurs digestives: La quatrième édition. Ann. Pathol. 2011, 31, S27–S31. (In French) [Google Scholar] [CrossRef]
- Jergens, A.E.; Willard, M.D.; Allenspach, K. Maximizing the diagnostic utility of endoscopic biopsy in dogs and cats with gastrointestinal disease. Vet. J. 2016, 214, 50–60. [Google Scholar] [CrossRef]
- Standards of Practice Comittee; Faulx, A.L.; Kothari, S.; Acosta, R.D.; Agrawal, D.; Bruining, D.H.; Chandrasekhara, V.; Eloubeidi, M.A.; Fanelli, R.D.; Gurudu, S.R.; et al. The role of endoscopy in subepithelial lesions of the gi tract. Gastrointest. Endosc. 2017, 85, 1117–1132. [Google Scholar] [CrossRef]
- Papanikolaou, I.S.; Triantafyllou, K.; Kourikou, A.; Rosch, T. Endoscopic ultrasonography for gastric submucosal lesions. World J. Gastrointest. Endosc. 2011, 3, 86–94. [Google Scholar] [CrossRef] [PubMed]
- Lee, J.; Oh, S.J. Signet ring cell carcinoma mimicking gastric gastrointestinal stromal tumor: A case report. Case Rep. Oncol. 2020, 13, 538–543. [Google Scholar] [CrossRef]
- Kim, H.; Kim, J.-H.; Lee, Y.C.; Kim, H.; Youn, Y.H.; Park, H.; Choi, S.H.; Noh, S.H.; Gotoda, T. Growth patterns of signet ring cell carcinoma of the stomach for endoscopic resection. Gut Liver 2015, 9, 720. [Google Scholar] [CrossRef] [PubMed]
- Tanaka, T.; Akiyoshi, H.; Mie, K.; Okamoto, M.; Yoshida, Y.; Kurokawa, S. Contrast-enhanced computed tomography may be helpful for characterizing and staging canine gastric tumors. J. Vet. Radiol. Ultrasound 2019, 60, 7–18. [Google Scholar] [CrossRef]
- Hanahan, D.; Weinberg, R.A. Hallmarks of cancer: The next generation. Cell 2011, 144, 646–674. [Google Scholar] [CrossRef]
- Macarthur, M.; Hold, G.L.; El-Omar, E.M. Inflammation and cancer ii. Role of chronic inflammation and cytokine gene polymorphisms in the pathogenesis of gastrointestinal malignancy. Am. J. Physiol. Gastrointest. Liver Physiol. 2004, 286, G515–G520. [Google Scholar] [CrossRef] [PubMed]
- Jergens, A.E.; Evans, R.B.; Ackermann, M.; Hostetter, J.; Willard, M.; Mansell, J.; Bilzer, T.; Wilcock, B.; Washabau, R.; Hall, E.J.; et al. Design of a simplified histopathologic model for gastrointestinal inflammation in dogs. Vet. Pathol. 2014, 51, 946–950. [Google Scholar] [CrossRef] [PubMed]
- Poutahidis, T.; Doulberis, M.; Karamanavi, E.; Angelopoulou, K.; Koutinas, C.K.; Papazoglou, L.G. Primary gastric choriocarcinoma in a dog. J. Comp. Pathol. 2008, 139, 146–150. [Google Scholar] [CrossRef]
- Taulescu, M.A.; Valentine, B.A.; Amorim, I.; Gartner, F.; Dumitrascu, D.L.; Gal, A.F.; Sevastre, B.; Catoi, C. Histopathological features of canine spontaneous non-neoplastic gastric polyps—A retrospective study of 15 cases. Histol. Histopathol. 2014, 29, 65–75. [Google Scholar]
- Harris, T.J.; Tepass, U. Adherens junctions: From molecules to morphogenesis. Nat. Rev. Mol. Cell Biol 2010, 11, 502–514. [Google Scholar] [CrossRef]
- Handschuh, G.; Candidus, S.; Luber, B.; Reich, U.; Schott, C.; Oswald, S.; Becke, H.; Hutzler, P.; Birchmeier, W.; Hofler, H.; et al. Tumour-associated e-cadherin mutations alter cellular morphology, decrease cellular adhesion and increase cellular motility. Oncogene 1999, 18, 4301–4312. [Google Scholar] [CrossRef]
- Gabbert, H.E.; Mueller, W.; Schneiders, A.; Meier, S.; Moll, R.; Birchmeier, W.; Hommel, G. Prognostic value of e-cadherin expression in 413 gastric carcinomas. Int. J. Cancer. 1996, 69, 184–189. [Google Scholar] [CrossRef]
- Moon, K.C.; Cho, S.Y.; Lee, H.S.; Jeon, Y.K.; Chung, J.H.; Jung, K.C.; Chung, D.H. Distinct expression patterns of e-cadherin and beta-catenin in signet ring cell carcinoma components of primary pulmonary adenocarcinoma. Arch. Pathol. Lab. Med. 2006, 130, 1320–1325. [Google Scholar] [CrossRef] [PubMed]
- Fearon, E.R. Cancer: Context is key for e-cadherin in invasion and metastasis. Curr. Biol. 2019, 29, R1140–R1142. [Google Scholar] [CrossRef] [PubMed]
- Han, Y.; Lu, S.; Wen, Y.G.; Yu, F.D.; Zhu, X.W.; Qiu, G.Q.; Tang, H.M.; Peng, Z.H.; Zhou, C.Z. Overexpression of hoxa10 promotes gastric cancer cells proliferation and hoxa10(+)/cd44(+) is potential prognostic biomarker for gastric cancer. Eur. J. Cell Biol. 2015, 94, 642–652. [Google Scholar] [CrossRef] [PubMed]
- Isozaki, H.; Ohyama, T.; Mabuchi, H. Expression of cell adhesion molecule cd44 and sialyl lewis a in gastric carcinoma and colorectal carcinoma in association with hepatic metastasis. Int. J. Oncol. 1998, 13, 935–942. [Google Scholar] [CrossRef] [PubMed]
- Watanabe, T.; Okumura, T.; Hirano, K.; Yamaguchi, T.; Sekine, S.; Nagata, T.; Tsukada, K. Circulating tumor cells expressing cancer stem cell marker cd44 as a diagnostic biomarker in patients with gastric cancer. Oncol. Lett. 2017, 13, 281–288. [Google Scholar] [CrossRef]
- Yoon, C.; Park, D.J.; Schmidt, B.; Thomas, N.J.; Lee, H.J.; Kim, T.S.; Janjigian, Y.Y.; Cohen, D.J.; Yoon, S.S. Cd44 expression denotes a subpopulation of gastric cancer cells in which hedgehog signaling promotes chemotherapy resistance. Clin. Cancer Res. 2014, 20, 3974–3988. [Google Scholar] [CrossRef]
- Thorne, R.F.; Legg, J.W.; Isacke, C.M. The role of the cd44 transmembrane and cytoplasmic domains in co-ordinating adhesive and signalling events. J. Cell Sci. 2004, 117, 373–380. [Google Scholar] [CrossRef] [PubMed]
- Orian-Rousseau, V. Cd44 acts as a signaling platform controlling tumor progression and metastasis. Front. Immunol. 2015, 6, 154. [Google Scholar] [CrossRef]
- Ko, S.; Kim, J.Y.; Jeong, J.; Lee, J.E.; Yang, W.I.; Jung, W.H. The role and regulatory mechanism of 14-3-3 sigma in human breast cancer. J. Breast Cancer 2014, 17, 207–218. [Google Scholar] [CrossRef] [PubMed]
- Mikami, T.; Maruyama, S.; Abé, T.; Kobayashi, T.; Yamazaki, M.; Funayama, A.; Shingaki, S.; Kobayashi, T.; Jun, C.; Saku, T. Keratin 17 is co-expressed with 14-3-3 sigma in oral carcinoma in situ and squamous cell carcinoma and modulates cell proliferation and size but not cell migration. Virchows Arch. 2015, 466, 559–569. [Google Scholar] [CrossRef]
- Suárez-Bonnet, A.; de las Mulas, J.M.; Herráez, P.; Rodríguez, F.; de los Monteros, A.E. Immunohistochemical localisation of 14-3-3 σ protein in normal canine tissues. Vet. J. 2010, 185, 218–221. [Google Scholar] [CrossRef] [PubMed]
- Suarez-Bonnet, A.; Willis, C.; Pittaway, R.; Smith, K.; Mair, T.; Priestnall, S.L. Molecular carcinogenesis in equine penile cancer: A potential animal model for human penile cancer. Urol. Oncol. Semin. Orig. Investig. 2018, 36, 532.e9. [Google Scholar] [CrossRef] [PubMed]
- Herman, J.G.; Merlo, A.; Mao, L.; Lapidus, R.G.; Issa, J.P.J.; Davidson, N.E.; Sidransky, D.; Baylin, S.B. Inactivation of the cdkn2/p16/mts1 gene is frequently associated with aberrant DNA methylation in all common human cancers. Cancer Res. 1995, 55, 4525–4530. [Google Scholar]
- Otterson, G.A.; Kratzke, R.A.; Coxon, A.; Kim, Y.W.; Kaye, F.J. Absence of p16(ink4) protein is restricted to the subset of lung-cancer lines that retains wildtype rb. Oncogene 1994, 9, 3375–3378. [Google Scholar]
- Kelley, M.J.; Nakagawa, K.; Steinberg, S.M.; Mulshine, J.L.; Kamb, A.; Johnson, B.E. Differential inactivation of cdkn2 and rb protein in non—Small-cell and small-cell lung cancer cell lines. J. Natl. Cancer Inst. 1995, 87, 756–761. [Google Scholar] [CrossRef][Green Version]
- Rocco, A.; Schandl, L.; Nardone, G.; Tulassay, Z.; Staibano, S.; Malfertheiner, P.; Ebert, M. Loss of expression of tumor suppressor p16ink4 protein in human primary gastric cancer is related to the grade of differentiation. J. Dig. Dis. 2002, 20, 102–105. [Google Scholar] [CrossRef] [PubMed]
- Wu, J.F.; Shao, J.C.; Wang, D.B.; Qin, R.; Zhang, H. Expression and significance of cell cycle regulators in gastric carcinoma. Ai Zheng Chin. J. Cancer 2005, 24, 175–179. [Google Scholar]
- Romagosa, C.; Simonetti, S.; Lopez-Vicente, L.; Mazo, A.; Lleonart, M.E.; Castellvi, J.; Ramon y Cajal, S. P16(ink4a) overexpression in cancer: A tumor suppressor gene associated with senescence and high-grade tumors. Oncogene 2011, 30, 2087–2097. [Google Scholar] [CrossRef] [PubMed]
- Liu, Q.; Song, L.J.; Xu, W.Q.; Zhao, L.; Zheng, L.; Yan, Z.W.; Fu, G.H. Expression of cytoplasmic p16 and anion exchanger 1 is associated with the invasion and absence of lymph metastasis in gastric carcinoma. Mol. Med. Rep. 2009, 2, 169–174. [Google Scholar] [PubMed]





| Gastric Carcinoma Subtype | Male | Female | Not Recorded | Total |
|---|---|---|---|---|
| Undifferentiated | 32 | 26 | 1 | 59 (39.6%) |
| Signet-ring | 22 | 24 | 1 | 47 (31.5%) |
| Tubular | 17 | 12 | 3 | 32(21.5%) |
| Mucinous | 4 | 6 | - | 10 (6.7%) |
| Papillary | 0 | 1 | - | 1 (0.7%) |
| Total | 75 | 69 | 5 | 149 |
| Protein | Canine Gastric Carcinoma Subtype | ||||
|---|---|---|---|---|---|
| Undifferentiated | Signet-Ring | Mucinous | Tubular | Papillary | |
| E-cadherin | 4.6 (9) | 4.3 (6) | 0 | 3.2 (10) | 6 |
| CD44 | 4.7 (6.3) | 3 (6.3) | 4 | 2.4 (3.6) | 6 |
| 14-3-3σ | 3.4 (9) | 0 | 0 | 2.4 (9) | 0 |
| p16 | 4.3 (9) | 6.9 | 9 | 6.8 (10.5) | 6 |
Publisher’s Note: MDPI stays neutral with regard to jurisdictional claims in published maps and institutional affiliations. |
© 2021 by the authors. Licensee MDPI, Basel, Switzerland. This article is an open access article distributed under the terms and conditions of the Creative Commons Attribution (CC BY) license (https://creativecommons.org/licenses/by/4.0/).
Share and Cite
Hardas, A.; Suárez-Bonnet, A.; Beck, S.; Becker, W.E.; Ramírez, G.A.; Priestnall, S.L. Canine Gastric Carcinomas: A Histopathological and Immunohistochemical Study and Similarities with the Human Counterpart. Animals 2021, 11, 1409. https://doi.org/10.3390/ani11051409
Hardas A, Suárez-Bonnet A, Beck S, Becker WE, Ramírez GA, Priestnall SL. Canine Gastric Carcinomas: A Histopathological and Immunohistochemical Study and Similarities with the Human Counterpart. Animals. 2021; 11(5):1409. https://doi.org/10.3390/ani11051409
Chicago/Turabian StyleHardas, Alexandros, Alejandro Suárez-Bonnet, Sam Beck, William E. Becker, Gustavo A. Ramírez, and Simon L. Priestnall. 2021. "Canine Gastric Carcinomas: A Histopathological and Immunohistochemical Study and Similarities with the Human Counterpart" Animals 11, no. 5: 1409. https://doi.org/10.3390/ani11051409
APA StyleHardas, A., Suárez-Bonnet, A., Beck, S., Becker, W. E., Ramírez, G. A., & Priestnall, S. L. (2021). Canine Gastric Carcinomas: A Histopathological and Immunohistochemical Study and Similarities with the Human Counterpart. Animals, 11(5), 1409. https://doi.org/10.3390/ani11051409

