V-Set and Immunoglobulin Domain-Containing 1 (VSIG1), Predominantly Expressed in Testicular Germ Cells, Is Dispensable for Spermatogenesis and Male Fertility in Mice
Abstract
Simple Summary
Abstract
1. Introduction
2. Materials and Methods
2.1. Mouse Care
2.2. Generation of VSIG1 KO Mice
2.3. Genomic DNA Isolation and PCR Analysis
2.4. Preparation of Agarose Gels and Electrophoresis of PCR Products.
2.5. Total RNA Extraction and Reverse Transcription-PCR
2.6. Isolation of Testiscular Germ Cells (TGC) and Preparation of Protein Extracts
2.7. SDS-PAGE Electrophoresis and Western Blot Analysis
2.8. Fertility Testing
2.9. Epididymal Sperm Analysis with Computer-Assisted Sperm Analysis (CASA) Systems
2.10. In Vitro Fertilization Assay
2.11. Histological Analysis
2.12. Statistical Analysis
3. Results
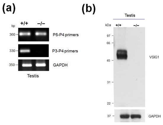
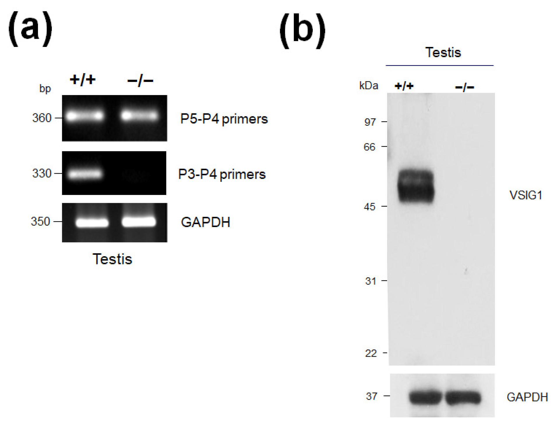
3.1. Establishment and Characterization of the V-Set and Immunoglobulin Domain-Containing 1 (VSIG1) KO Mouse Line
3.2. VSIG1 KO Male Mice Are Fertile and Have Normal Sperm Parameters
3.3. VSIG1 KO Male Mice Exhibit Normal Fertility in IVF
4. Discussion
5. Conclusions
Supplementary Materials
Author Contributions
Funding
Institutional Review Board Statement
Data Availability Statement
Conflicts of Interest
References
- Greenstein, B. The Physiology of Reproduction, 2nd ed.; Knobii, E., Neill, J.D., Eds.; Raven Press: New York, NY, USA, 1994; ISBN 0-7817-0086-8. [Google Scholar]
- Myles, D.G.; Primakoff, P. Why did the sperm cross the cumulus? To get to the oocyte. Functions of the sperm surface proteins PH-20 and fertilin in arriving at, and fusing with, the egg. Biol. Reprod. 1997, 56, 320–327. [Google Scholar] [PubMed]
- Cherr, G.N.; Yudin, A.I.; Overstreet, J.W. The dual functions of GPI-anchored PH-20: Hyaluronidase and intracellular signaling. Matrix Biol. 2001, 20, 515–525. [Google Scholar] [CrossRef]
- Primakoff, P.; Myles, D.G. Penetration, adhesion, and fusion in mammalian sperm-egg interaction. Science 2002, 296, 2183–2185. [Google Scholar] [CrossRef] [PubMed]
- Kovac, J.R.; Pastuszak, A.W.; Lamb, D.J. The use of genomics, proteomics, and metabolomics in identifying biomarkers of male infertility. Fertil Steril 2013, 99, 998–1007. [Google Scholar] [CrossRef] [PubMed]
- Song, S.H.; Chiba, K.; Ramasamy, R.; Lamb, D.J. Recent advances in the genetics of testicular failure. Asian J. Androl 2016, 18, 350–355. [Google Scholar] [PubMed]
- Chandley, A.C.; Edmond, P.; Christie, S.; Gowans, L.; Fletcher, J.; Frackiewicz, A.; Newton, M. Cytogenetics and infertility in man. I. Karyotype and seminal analysis: Results of a five-year survey of men attending a subfertility clinic. Ann. Hum. Genet. 1975, 39, 231–254. [Google Scholar] [CrossRef] [PubMed]
- Ke, C.C.; Lin, Y.H.; Wang, Y.Y.; Wu, Y.Y.; Chen, M.F.; Ku, W.C.; Chiang, H.S.; Lai, T.H. TBC1D21 Potentially Interacts with and Regulates Rap1 during Murine Spermatogenesis. Int. J. Mol. Sci. 2018, 19, 3292. [Google Scholar] [CrossRef] [PubMed]
- Mruk, D.D.; Cheng, C.Y. Sertoli-Sertoli and Sertoli-germ cell interactions and their significance in germ cell movement in the seminiferous epithelium during spermatogenesis. Endocr. Rev. 2004, 25, 747–806. [Google Scholar] [CrossRef] [PubMed]
- Scanlan, M.J.; Ritter, G.; Yin, B.W.; Williams, C., Jr.; Cohen, L.S.; Coplan, K.A.; Fortunato, S.R.; Frosina, D.; Lee, S.Y.; Murray, A.E.; et al. Glycoprotein A34, a novel target for antibody-based cancer immunotherapy. Cancer Immun. 2006, 6, 2. [Google Scholar]
- Kim, E.; Lee, Y.; Kim, J.S.; Song, B.S.; Kim, S.U.; Huh, J.W.; Lee, S.R.; Kim, S.H.; Hong, Y.; Chang, K.T. Extracellular domain of V-set and immunoglobulin domain containing 1 (VSIG1) interacts with sertoli cell membrane protein, while its PDZ-binding motif forms a complex with ZO-1. Mol. Cells 2010, 30, 443–448. [Google Scholar] [CrossRef] [PubMed]
- Oidovsambuu, O.; Nyamsuren, G.; Liu, S.; Goring, W.; Engel, W.; Adham, I.M. Adhesion protein VSIG1 is required for the proper differentiation of glandular gastric epithelia. PLoS ONE 2011, 6, e25908. [Google Scholar] [CrossRef] [PubMed]
- Chen, Y.; Pan, K.; Li, S.; Xia, J.; Wang, W.; Chen, J.; Zhao, J.; Lu, L.; Wang, D.; Pan, Q.; et al. Decreased expression of V-set and immunoglobulin domain containing 1 (VSIG1) is associated with poor prognosis in primary gastric cancer. J. Surg. Oncol. 2012, 106, 286–293. [Google Scholar] [CrossRef] [PubMed]
- Li, Y.; Guo, M.; Fu, Z.; Wang, P.; Zhang, Y.; Gao, Y.; Yue, M.; Ning, S.; Li, D. Immunoglobulin superfamily genes are novel prognostic biomarkers for breast cancer. Oncotarget 2017, 8, 2444–2456. [Google Scholar] [CrossRef] [PubMed][Green Version]
- Arcangeli, M.L.; Frontera, V.; Aurrand-Lions, M. Function of junctional adhesion molecules (JAMs) in leukocyte migration and homeostasis. Arch. Immunol. Ther. Exp. 2013, 61, 15–23. [Google Scholar] [CrossRef] [PubMed]
- Mandell, K.J.; Parkos, C.A. The JAM family of proteins. Adv. Drug Deliv. Rev. 2005, 57, 857–867. [Google Scholar] [CrossRef] [PubMed]
- Leonova, E.I.; Gainetdinov, R.R. CRISPR/Cas9 Technology in Translational Biomedicine. Cell Physiol. Biochem. 2020, 54, 354–370. [Google Scholar] [PubMed]
- Fujihara, Y.; Ikawa, M. CRISPR/Cas9-based genome editing in mice by single plasmid injection. Methods Enzymol. 2014, 546, 319–336. [Google Scholar] [PubMed]
- Mizuno, S.; Dinh, T.T.; Kato, K.; Mizuno-Iijima, S.; Tanimoto, Y.; Daitoku, Y.; Hoshino, Y.; Ikawa, M.; Takahashi, S.; Sugiyama, F.; et al. Simple generation of albino C57BL/6J mice with G291T mutation in the tyrosinase gene by the CRISPR/Cas9 system. Mamm. Genome 2014, 25, 327–334. [Google Scholar] [CrossRef] [PubMed]
- Bhattacharya, D.; Van Meir, E.G. A simple genotyping method to detect small CRISPR-Cas9 induced indels by agarose gel electrophoresis. Sci. Rep. 2019, 9, 4437. [Google Scholar] [CrossRef] [PubMed]
- Kim, E.; Nishimura, H.; Baba, T. Differential localization of ADAM1a and ADAM1b in the endoplasmic reticulum of testicular germ cells and on the surface of epididymal sperm. Biochem. Biophys. Res. Commun. 2003, 304, 313–319. [Google Scholar] [CrossRef]
- Yoon, S.; Chang, K.T.; Cho, H.; Moon, J.; Kim, J.S.; Min, S.H.; Koo, D.B.; Lee, S.R.; Kim, S.H.; Park, K.E.; et al. Characterization of pig sperm hyaluronidase and improvement of the digestibility of cumulus cell mass by recombinant pSPAM1 hyaluronidase in an in vitro fertilization assay. Anim. Reprod. Sci. 2014, 150, 107–114. [Google Scholar] [CrossRef] [PubMed]
- Kim, E.; Lee, Y.; Lee, H.J.; Kim, J.S.; Song, B.S.; Huh, J.W.; Lee, S.R.; Kim, S.U.; Kim, S.H.; Hong, Y.; et al. Implication of mouse Vps26b-Vps29-Vps35 retromer complex in sortilin trafficking. Biochem. Biophys. Res. Commun. 2010, 403, 167–171. [Google Scholar] [CrossRef] [PubMed]
- Park, S.; Kim, Y.H.; Jeong, P.S.; Park, C.; Lee, J.W.; Kim, J.S.; Wee, G.; Song, B.S.; Park, B.J.; Kim, S.H.; et al. SPAM1/HYAL5 double deficiency in male mice leads to severe male subfertility caused by a cumulus-oocyte complex penetration defect. FASEB J. 2019, 33, 14440–14449. [Google Scholar] [CrossRef] [PubMed]
- Prisco, M.; Rosati, L.; Agnese, M.; Aceto, S.; Andreuccetti, P.; Valiante, S. Pituitary adenylate cyclase-activating polypeptide in the testis of the quail Coturnix coturnix: Expression, localization, and phylogenetic analysis. Evol. Dev. 2019, 21, 145–156. [Google Scholar] [CrossRef] [PubMed]
- Prisco, M.; Rosati, L.; Morgillo, E.; Mollica, M.P.; Agnese, M.; Andreuccetti, P.; Valiante, S. Pituitary adenylate cyclase-activating peptide (PACAP) and its receptors in Mus musculus testis. Gen. Comp. Endocrinol. 2020, 286, 113297. [Google Scholar] [CrossRef] [PubMed]
- Rosati, L.; Di Fiore, M.M.; Prisco, M.; Di Giacomo Russo, F.; Venditti, M.; Andreuccetti, P.; Chieffi Baccari, G.; Santillo, A. Seasonal expression and cellular distribution of star and steroidogenic enzymes in quail testis. J. Exp. Zool. B Mol. Dev. Evol. 2019, 332, 198–209. [Google Scholar] [CrossRef] [PubMed]
- Nishimura, H.; Kim, E.; Nakanishi, T.; Baba, T. Possible function of the ADAM1a/ADAM2 Fertilin complex in the appearance of ADAM3 on the sperm surface. J. Biol. Chem. 2004, 279, 34957–34962. [Google Scholar] [CrossRef] [PubMed]
- Ikawa, M.; Nakanishi, T.; Yamada, S.; Wada, I.; Kominami, K.; Tanaka, H.; Nozaki, M.; Nishimune, Y.; Okabe, M. Calmegin is required for fertilin alpha/beta heterodimerization and sperm fertility. Dev. Biol. 2001, 240, 254–261. [Google Scholar] [CrossRef] [PubMed]
- Yamaguchi, R.; Yamagata, K.; Ikawa, M.; Moss, S.B.; Okabe, M. Aberrant distribution of ADAM3 in sperm from both angiotensin-converting enzyme (Ace)- and calmegin (Clgn)-deficient mice. Biol. Reprod. 2006, 75, 760–766. [Google Scholar] [CrossRef] [PubMed]
- Chretien, I.; Marcuz, A.; Courtet, M.; Katevuo, K.; Vainio, O.; Heath, J.K.; White, S.J.; Du Pasquier, L. CTX, a Xenopus thymocyte receptor, defines a molecular family conserved throughout vertebrates. Eur. J. Immunol. 1998, 28, 4094–4104. [Google Scholar] [CrossRef]
- Raschperger, E.; Engstrom, U.; Pettersson, R.F.; Fuxe, J. CLMP, a novel member of the CTX family and a new component of epithelial tight junctions. J. Biol. Chem. 2004, 279, 796–804. [Google Scholar] [CrossRef] [PubMed]
- Sultana, T.; Hou, M.; Stukenborg, J.B.; Tohonen, V.; Inzunza, J.; Chagin, A.S.; Sollerbrant, K. Mice depleted of the coxsackievirus and adenovirus receptor display normal spermatogenesis and an intact blood-testis barrier. Reproduction. 2014, 147, 875–883. [Google Scholar] [CrossRef] [PubMed]
- Baba, D.; Kashiwabara, S.; Honda, A.; Yamagata, K.; Wu, Q.; Ikawa, M.; Okabe, M.; Baba, T. Mouse sperm lacking cell surface hyaluronidase PH-20 can pass through the layer of cumulus cells and fertilize the egg. J. Biol. Chem. 2002, 277, 30310–30314. [Google Scholar] [CrossRef] [PubMed]
- Kim, E.; Baba, D.; Kimura, M.; Yamashita, M.; Kashiwabara, S.; Baba, T. Identification of a hyaluronidase, Hyal5, involved in penetration of mouse sperm through cumulus mass. Proc. Natl. Acad. Sci. USA 2005, 102, 18028–18033. [Google Scholar] [CrossRef] [PubMed]
- Kimura, M.; Kim, E.; Kang, W.; Yamashita, M.; Saigo, M.; Yamazaki, T.; Nakanishi, T.; Kashiwabara, S.; Baba, T. Functional roles of mouse sperm hyaluronidases, HYAL5 and SPAM1, in fertilization. Biol. Reprod. 2009, 81, 939–947. [Google Scholar] [CrossRef] [PubMed]





| Sense Primer (5′to 3′) | Anti Sense Primer (5′to 3′) | |
|---|---|---|
| VSIG1 gPCR | P1: TACTACTCTGAAGGTGGACAG | P2: GTTTGACTAAGACAGTGACGAC |
| VSIG1 rtPCR | P3: TATTGCATATGCAGCCAGCAGAC P5: GGCTACTAATCCCGGTAATGCAT | P4: GTACACTGGTAACCTTGTTC |
| GAPDH rtPCR | AGATTGTCAGCAATGCATCCTG | TGCTTCACCACCTTCTTGATGT |
Publisher’s Note: MDPI stays neutral with regard to jurisdictional claims in published maps and institutional affiliations. |
© 2021 by the authors. Licensee MDPI, Basel, Switzerland. This article is an open access article distributed under the terms and conditions of the Creative Commons Attribution (CC BY) license (https://creativecommons.org/licenses/by/4.0/).
Share and Cite
Jung, Y.; Bang, H.; Kim, Y.-H.; Park, N.-E.; Park, Y.-H.; Park, C.; Lee, S.-R.; Lee, J.-W.; Song, B.-S.; Kim, J.-S.; et al. V-Set and Immunoglobulin Domain-Containing 1 (VSIG1), Predominantly Expressed in Testicular Germ Cells, Is Dispensable for Spermatogenesis and Male Fertility in Mice. Animals 2021, 11, 1037. https://doi.org/10.3390/ani11041037
Jung Y, Bang H, Kim Y-H, Park N-E, Park Y-H, Park C, Lee S-R, Lee J-W, Song B-S, Kim J-S, et al. V-Set and Immunoglobulin Domain-Containing 1 (VSIG1), Predominantly Expressed in Testicular Germ Cells, Is Dispensable for Spermatogenesis and Male Fertility in Mice. Animals. 2021; 11(4):1037. https://doi.org/10.3390/ani11041037
Chicago/Turabian StyleJung, Yena, Hyewon Bang, Young-Hyun Kim, Na-Eun Park, Young-Ho Park, Chaeli Park, Sang-Rae Lee, Jeong-Woong Lee, Bong-Seok Song, Ji-Su Kim, and et al. 2021. "V-Set and Immunoglobulin Domain-Containing 1 (VSIG1), Predominantly Expressed in Testicular Germ Cells, Is Dispensable for Spermatogenesis and Male Fertility in Mice" Animals 11, no. 4: 1037. https://doi.org/10.3390/ani11041037
APA StyleJung, Y., Bang, H., Kim, Y.-H., Park, N.-E., Park, Y.-H., Park, C., Lee, S.-R., Lee, J.-W., Song, B.-S., Kim, J.-S., Sim, B.-W., Seol, D.-W., Wee, G., Kim, S., Kim, S.-U., & Kim, E. (2021). V-Set and Immunoglobulin Domain-Containing 1 (VSIG1), Predominantly Expressed in Testicular Germ Cells, Is Dispensable for Spermatogenesis and Male Fertility in Mice. Animals, 11(4), 1037. https://doi.org/10.3390/ani11041037

