Single-Chamber Cardiac Pacemaker Implantation in a Donkey with Complete AV Block: A Long-Term Follow-Up
Abstract
Simple Summary
Abstract
1. Introduction
2. Materials and Methods
2.1. History and Clinical Findings
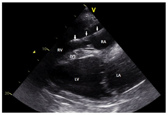
2.2. Electrocardiography and Cardiac Ultrasound
3. Treatment
3.1. Medical Treatment
3.2. Surgery
3.3. Follow Up
4. Discussion
5. Conclusions
Author Contributions
Funding
Institutional Review Board Statement
Data Availability Statement
Conflicts of Interest
References
- Reef, V.B.; Clark, E.S.; Oliver, J.A.; Donawick, W.J. Implantation of a permanent transvenous pacing catheter in a horse with complete heart block and syncope. J. Am. Vet. Med. Assoc. 1986, 189, 449–452. [Google Scholar]
- Van Loon, G.; Fonteyne, W.; Rottiers, H.; Tavernier, R.; Jordaens, L.; D’Hont, L.; Copaert, R.; De Clercq, T.; Deprez, P. Dual-chamber pacemaker implantation via the cephalic vein in healthy equids. J. Vet. Intern. Med. 2001, 15, 564–571. [Google Scholar] [CrossRef]
- Van Loon, G.; Fonteyne, W.; Rottiers, H.; Tavernier, R.; Deprez, P. Implantation of a dual-chamber, rate-adaptive pacemaker in a horse with suspected sick sinus syndrome. Vet. Rec. 2002, 151, 541–545. [Google Scholar] [CrossRef]
- Petchdee, S.; Chanda, M.; Cherdchutham, W. Pacemaker implantation in horse with bradycardia-tachycardia syndrome. Asian J. Anim. Vet. Adv. 2018. [Google Scholar] [CrossRef]
- Pibarot, P.; Vrins, A.; Salmon, Y.; Difruscia, R. Implantation of a programmable atrioventricular pacemaker in a donkey with complete atrioventricular block and syncope. Equine Vet. J. 1993, 25, 248–251. [Google Scholar] [CrossRef]
- De Lange, L.; Van Steenkiste, G.; Vera, L.; De Clercq, D.; Devloedt, A.; Cromheeke, K.M.C.; Van Loon, G. First successful applications of closed loop stimulation pacemakers with remote monitoring in two syncopal miniature donkey. In Proceedings of the 12th European College of Equine Internal Medicine congress (ECEIM 2019), Valencia, Spain, 20–23 November 2019; Wiley: Hoboken, NJ, USA, 2019. [Google Scholar]
- Oyama, M.A.; Sisson, D.D.; Lehmkuhl, L.B. Practices and outcome of artificial cardiac pacing in 154 dogs. J. Vet. Intern. Med. 2001, 15, 229–239. [Google Scholar] [CrossRef]
- Van Loon, G. Dysrhythmias: Cardiac pacing and electrical cardioversion In Cardiology of the Horse, 2nd ed.; Marr, C.M., Bowen, M., Eds.; Elsevier: Amsterdam, The Netherlands, 2010; pp. 179–192. [Google Scholar]
- Santilli, R.A.; Giacomazzi, F.; Porteiro Vázquez, D.M.; Perego, M. Indications for permanent pacing in dogs and cats. J. Vet. Card. 2019, 22, 20–39. [Google Scholar] [CrossRef] [PubMed]
- Keen, J.A. Pathological bradyarrhythmia in horses. Vet. J. 2020, 259–260, 105463. [Google Scholar] [CrossRef]
- Pakarinen, S.; Oikarinen, L.; Toivonen, L. Short-term implantation-related complications of cardiac rhythm management device therapy: A retrospective single-centre 1-year survey. EP Eur. 2010, 12, 103–108. [Google Scholar] [CrossRef] [PubMed]
- Genovese, D.W.; Estrada, A.H.; Maisenbacher, H.W.; Heatwole, B.A.; Powell, M.A. Procedure times, complication rates and survival times associated with single-chamber versus dual-chamber pacemaker implantation in dogs with clinical signs of bradyarrhythmia: 54 cases (1004–2009). J. Am. Vet. Med. Assoc. 2013, 242, 230–236. [Google Scholar] [CrossRef]
- Klug, D.; Balde, M.; Pavin, D.; Hidden-Lucet, F.; Clementy, J.; Sadoul, N.; Rey, J.L.; Lance, G.; Lazarus, S.; Victor, J.; et al. PEOPLE study Group. Risk factors related to infections of implanted pacemakers and cardioverter-defibrillators: Results of a large prospective study. Circulation 2007, 116, 1349–1355. [Google Scholar] [CrossRef]
- Hamir, A.N.; Reef, V.B. Complications of a Permanent Transvenous Pacing Catheter in a Horse. J. Comp. Pathol. 1989, 101, 317–326. [Google Scholar] [CrossRef]
- Reef, V.B.; Marr, C.M. Dysrhythmias: Assessment and medical management. In Cardiology of the Horse, 2nd ed.; Marr, C.M., Bowen, M., Eds.; Elsevier: Amsterdam, The Netherlands, 2010; pp. 159–178. [Google Scholar]
- Decloedt, A. Prevalence of cardiovascular disease in donkeys. Vet. Rec. 2016, 15, 382–383. [Google Scholar] [CrossRef]
- Petrie, J.P. Permanent transvenous cardiac pacing. Clin. Tech. Small Anim. Pract. 2005, 20, 164–172. [Google Scholar] [CrossRef] [PubMed]
- Wess, G.; Thomas, W.P.; Berger, D.M.; Kittleson, M.D. Applications, complications, and outcomes of transvenous pacemaker implantation in 105 dogs (1997-2002). J. Vet. Intern. Med. 2006, 20, 877–884. [Google Scholar] [CrossRef]
- Hildebrandt, N.; Stertmann, W.A.; Wehner, M.; Schneider, I.; Neu, H.; Schneider, M. Dual chamber pacemaker implantation in dogs with atrioventricular block. J. Vet. Intern. Med. 2009, 23, 31–38. [Google Scholar] [CrossRef]
- Swanson, L.E.; Huibregtse, B.A.; Scansen, B.A. A retrospective review of 146 active and passive fixation bradycardia lead implantations in 74 dogs undergoing pacemaker implantation in a research setting of short term duration. BMC Vet. Res. 2018, 14, 112. [Google Scholar] [CrossRef] [PubMed]
- Kirkfeldt, R.E.; Johansen, J.B.; Nielsen, J.C. Management of cardiac electronic device infections: Challenges and outcomes. Arrhythm. Electrophysiol. Rev. 2016, 5, 183–187. [Google Scholar] [CrossRef]
- Fine, D.M.; Tobias, A.H. Cardiovascular device infections in dogs: Report of 8 cases and review of the literature. J. Vet. Intern. Med. 2007, 21, 1265–1271. [Google Scholar] [CrossRef]
- Katz, D.; Akiyama, T. Pacemaker longevity: The world’s longest-lasting VVI pacemaker. Ann. Noninvasive Electrocardiol. 2007, 12, 223–226. [Google Scholar] [CrossRef] [PubMed]
- Hauser, R.G.; Hayes, D.L.; Kallinen, L.M.; Cannom, D.S.; Epstein, A.E.; Almquist, A.K.; Song, L.S.; Tyers, G.F.; Vlay, S.C.; Irwin, M. Clinical experience with pacemaker pulse generators and transvenous leads: An 8-year prospective multicenter study. Heart Rhythm 2007, 4, 154–160. [Google Scholar] [CrossRef] [PubMed]



Publisher’s Note: MDPI stays neutral with regard to jurisdictional claims in published maps and institutional affiliations. |
© 2021 by the authors. Licensee MDPI, Basel, Switzerland. This article is an open access article distributed under the terms and conditions of the Creative Commons Attribution (CC BY) license (http://creativecommons.org/licenses/by/4.0/).
Share and Cite
Sedlinská, M.; Kabeš, R.; Novák, M.; Kološ, F.; Melková, P. Single-Chamber Cardiac Pacemaker Implantation in a Donkey with Complete AV Block: A Long-Term Follow-Up. Animals 2021, 11, 746. https://doi.org/10.3390/ani11030746
Sedlinská M, Kabeš R, Novák M, Kološ F, Melková P. Single-Chamber Cardiac Pacemaker Implantation in a Donkey with Complete AV Block: A Long-Term Follow-Up. Animals. 2021; 11(3):746. https://doi.org/10.3390/ani11030746
Chicago/Turabian StyleSedlinská, Markéta, Radovan Kabeš, Miroslav Novák, Filip Kološ, and Pavlína Melková. 2021. "Single-Chamber Cardiac Pacemaker Implantation in a Donkey with Complete AV Block: A Long-Term Follow-Up" Animals 11, no. 3: 746. https://doi.org/10.3390/ani11030746
APA StyleSedlinská, M., Kabeš, R., Novák, M., Kološ, F., & Melková, P. (2021). Single-Chamber Cardiac Pacemaker Implantation in a Donkey with Complete AV Block: A Long-Term Follow-Up. Animals, 11(3), 746. https://doi.org/10.3390/ani11030746

