Evidence from a Series of 104 Equine Sarcoids Suggests That Most Sarcoids in New Zealand Are Caused by Bovine Papillomavirus Type 2, although Both BPV1 and BPV2 DNA Are Detectable in around 10% of Sarcoids
Simple Summary
Abstract
1. Introduction
2. Materials and Methods
2.1. Samples and DNA Extraction
2.2. Amplification and Sequencing
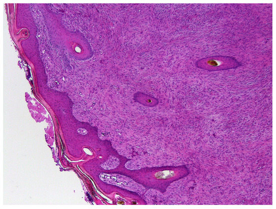
3. Results
4. Discussion
5. Conclusions
Author Contributions
Funding
Institutional Review Board Statement
Conflicts of Interest
References
- Goodrich, L.; Gerber, H.; Marti, E.; Antczak, D.F. Equine sarcoids. Vet. Clin. N. Am. Equine Pract. 1998, 14, 607–623. [Google Scholar] [CrossRef]
- Ogłuszka, M.; Starzyński, R.R.; Pierzchała, M.; Otrocka-Domagała, I.; Raś, A. Equine sarcoids—Causes, molecular changes, and clinicopathologic features: A review. Vet. Pathol. 2021, 58, 472–482. [Google Scholar] [CrossRef] [PubMed]
- Doorbar, J.; Quint, W.; Banks, L.; Bravo, I.G.; Stoler, M.; Broker, T.R.; Stanley, M.A. The biology and life-cycle of human papillomaviruses. Vaccine 2012, 30, F55–F70. [Google Scholar] [CrossRef]
- Nasir, L.; Brandt, S. Papillomavirus associated diseases of the horse. Vet. Microbiol. 2013, 167, 159–167. [Google Scholar] [CrossRef] [PubMed]
- Lunardi, M.; de Alcantara, B.K.; Otonel, R.A.; Rodrigues, W.B.; Alfieri, A.F.; Alfieri, A.A. Bovine papillomavirus type 13 DNA in equine sarcoids. J. Clin. Microbiol. 2013, 51, 2167–2171. [Google Scholar] [CrossRef] [PubMed]
- Munday, J.S.; Thomson, N.; Dunowska, M.; Knight, C.G.; Laurie, R.E.; Hills, S. Genomic characterisation of the feline sarcoid-associated papillomavirus and proposed classification as Bos taurus papillomavirus type 14. Vet. Microbiol. 2015, 177, 289–295. [Google Scholar] [CrossRef]
- Munday, J.S.; Fairley, R.; Lowery, I. Detection of ovis aries papillomavirus type 2 DNA sequences in a sarcoid-like mass in the mouth of a pig. Vet. Microbiol. 2020, 248, 108801. [Google Scholar] [CrossRef] [PubMed]
- Rector, A.; Van Ranst, M. Animal papillomaviruses. Virology 2013, 445, 213–223. [Google Scholar] [CrossRef]
- Wobeser, B.K.; Hill, J.E.; Jackson, M.L.; Kidney, B.A.; Mayer, M.N.; Townsend, H.G.; Allen, A.L. Localization of bovine papillomavirus in equine sarcoids and inflammatory skin conditions of horses using laser microdissection and two forms of DNA amplification. J. Vet. Diagn. Investig. 2012, 24, 32–41. [Google Scholar] [CrossRef] [PubMed]
- Bogaert, L.; Martens, A.; Van Poucke, M.; Ducatelle, R.; De Cock, H.; Dewulf, J.; De Baere, C.; Peelman, L.; Gasthuys, F. High prevalence of bovine papillomaviral DNA in the normal skin of equine sarcoid-affected and healthy horses. Vet. Microbiol. 2008, 129, 58–68. [Google Scholar] [CrossRef]
- Bloch, N.; Breen, M.; Spradbrow, P.B. Genomic sequences of bovine papillomaviruses in formalin-fixed sarcoids from Australian horses revealed by polymerase chain reaction. Vet. Microbiol. 1994, 41, 163–172. [Google Scholar] [CrossRef]
- Bogaert, L.; Van Poucke, M.; De Baere, C.; Dewulf, J.; Peelman, L.; Ducatelle, R.; Gasthuys, F.; Martens, A. Bovine papillomavirus load and mRNA expression, cell proliferation and p53 expression in four clinical types of equine sarcoid. J. Gen. Virol. 2007, 88, 2155–2161. [Google Scholar] [CrossRef] [PubMed]
- Carr, E.A.; Theon, A.P.; Madewell, B.R.; Griffey, S.M.; Hitchcock, M.E. Bovine papillomavirus DNA in neoplastic and nonneoplastic tissues obtained from horses with and without sarcoids in the western United States. Am. J. Vet. Res. 2001, 62, 741–744. [Google Scholar] [CrossRef]
- Chambers, G.; Ellsmore, V.A.; O’Brien, P.M.; Reid, S.W.; Love, S.; Campo, M.S.; Nasir, L. Sequence variants of bovine papillomavirus E5 detected in equine sarcoids. Virus Res. 2003, 96, 141–145. [Google Scholar] [CrossRef]
- Szczerba-Turek, A.; Siemionek, J.; Ras, A.; Bancerz-Kisiel, A.; Platt-Samoraj, A.; Lipczynska-Ilczuk, K.; Szweda, W. Genetic evaluation of bovine papillomavirus types detected in equine sarcoids in Poland. Pol. J. Vet. Sci. 2019, 22, 25–29. [Google Scholar]
- Wobeser, B.K.; Davies, J.L.; Hill, J.E.; Jackson, M.L.; Kidney, B.A.; Mayer, M.N.; Townsend, H.G.G.; Allen, A.L. Epidemiology of equine sarcoids in horses in western Canada. Can. Vet. J. 2010, 51, 1103–1108. [Google Scholar]
- Yamashita-Kawanishi, N.; Chambers, J.K.; Uchida, K.; Tobari, Y.; Yoshimura, H.; Yamamoto, M.; Yumoto, N.; Aoki, H.; Sugiura, K.; Higuchi, T.; et al. Genomic characterisation of bovine papillomavirus types 1 and 2 identified in equine sarcoids in Japan. Equine Vet. J. 2021, 53, 1199–1209. [Google Scholar] [CrossRef]
- Jindra, C.; Kamjunke, A.K.; Jones, S.; Brandt, S. Screening for bovine papillomavirus type 13 (BPV13) in a European population of sarcoid-bearing equids. Equine Vet. J. 2021. [Google Scholar] [CrossRef]
- Meng, Q.; Ning, C.; Wang, L.; Ren, Y.; Li, J.; Xiao, C.; Li, Y.; Li, Z.; He, Z.; Cai, X.; et al. Molecular detection and genetic diversity of bovine papillomavirus in dairy cows in Xinjiang, China. J. Vet. Sci. 2021, 22, e50. [Google Scholar] [CrossRef] [PubMed]
- Roperto, S.; Russo, V.; Corrado, F.; De Falco, F.; Munday, J.S.; Roperto, F. Oral fibropapillomatosis and epidermal hyperplasia of the lip in newborn lambs associated with bovine Deltapapillomavirus. Sci. Rep. 2018, 8, 13310. [Google Scholar] [CrossRef]
- Munday, J.S.; Knight, C.G.; Howe, L. The same papillomavirus is present in feline sarcoids from North America and New Zealand but not in any non-sarcoid feline samples. J. Vet. Diagn. Investig. 2010, 22, 97–100. [Google Scholar] [CrossRef] [PubMed]
- Hainisch, E.K.; Brandt, S.; Shafti-Keramat, S.; Van Den Hoven, R.; Kirnbauer, R. Safety and immunogenicity of BPV-1 L1 virus-like particles in a dose-escalation vaccination trial in horses. Equine Vet. J. 2012, 44, 107–111. [Google Scholar] [CrossRef]
- Harnacker, J.; Hainisch, E.K.; Shafti-Keramat, S.; Kirnbauer, R.; Brandt, S. Type-specific L1 virus-like particle-mediated protection of horses from experimental bovine papillomavirus 1-induced pseudo-sarcoid formation is long-lasting. J. Gen. Virol. 2017, 98, 1329–1333. [Google Scholar] [CrossRef] [PubMed]
- Hainisch, E.K.; Abel-Reichwald, H.; Shafti-Keramat, S.; Pratscher, B.; Corteggio, A.; Borzacchiello, G.; Wetzig, M.; Jindra, C.; Tichy, A.; Kirnbauer, R.; et al. Potential of a BPV1 L1 VLP vaccine to prevent BPV1- or BPV2-induced pseudo-sarcoid formation and safety and immunogenicity of EcPV2 L1 VLPs in horse. J. Gen. Virol. 2017, 98, 230–241. [Google Scholar] [CrossRef]
- Malagón, T.; Drolet, M.; Boily, M.-C.; Franco, E.L.; Jit, M.; Brisson, J.; Brisson, M. Cross-protective efficacy of two human papillomavirus vaccines: A systematic review and meta-analysis. Lancet Infect. Dis. 2012, 12, 781–789. [Google Scholar] [CrossRef]
- Pitisuttithum, P.; Velicer, C.; Luxembourg, A. 9-Valent HPV vaccine for cancers, pre-cancers and genital warts related to HPV. Expert Rev. Vaccines 2015, 14, 1405–1419. [Google Scholar] [CrossRef]
- Shafti-Keramat, S.; Schellenbacher, C.; Handisurya, A.; Christensen, N.; Reininger, B.; Brandt, S.; Kirnbauer, R. Bovine papillomavirus type 1 (BPV1) and BPV2 are closely related serotypes. Virology 2009, 393, 1–6. [Google Scholar] [CrossRef]
- Bogaert, L.; Van Poucke, M.; De Baere, C.; Peelman, L.; Gasthuys, F.; Martens, A. Selection of a set of reliable reference genes for quantitative real-time PCR in normal equine skin and in equine sarcoids. BMC Biotechnol. 2006, 6, 24. [Google Scholar] [CrossRef]
- Munday, J.S.; Gedye, K.; Daudt, C.; Chaves Da Silva, F. The development of novel primer sets to specifically amplify each of the five different deltapapillomaviruses that cause neoplasia after cross-species infection. Vet. Sci. 2021, 8, 208. [Google Scholar] [CrossRef] [PubMed]
- Munday, J.S.; Cullum, A.A.; Thomson, N.A.; Bestbier, M.; McCormack, T.; Julian, A.F. Anal fibropapillomas containing bovine papillomavirus type 2 DNA in two groups of heifers. N. Z. Vet. J. 2018, 66, 267–271. [Google Scholar] [CrossRef] [PubMed]
- Munday, J.S.; MacLachlan, C.B.; Perrott, M.R.; Aberdein, D. Papillomavirus DNA is not amplifiable from bladder, lung, or mammary gland cancers in dogs or cats. Animals 2019, 9, 668. [Google Scholar] [CrossRef]
- Munday, J.S.; Kiupel, M.; French, A.F.; Howe, L. Amplification of papillomaviral DNA sequences from a high proportion of feline cutaneous in situ and invasive squamous cell carcinomas using a nested polymerase chain reaction. Vet. Dermatol. 2008, 19, 259–263. [Google Scholar] [CrossRef]
- Otten, N.; von Tscharner, C.; Lazary, S.; Antczak, D.F.; Gerber, H. DNA of bovine papillomavirus type 1 and 2 in equine sarcoids: PCR detection and direct sequencing. Arch. Virol. 1993, 132, 121–131. [Google Scholar] [CrossRef]
- Daudt, C.; da Silva, F.R.C.; Streck, A.F.; Weber, M.N.; Mayer, F.Q.; Cibulski, S.P.; Canal, C.W. How many papillomavirus species can go undetected in papilloma lesions? Sci. Rep. 2016, 6, 36480. [Google Scholar] [CrossRef][Green Version]
- Ogawa, T.; Tomita, Y.; Okada, M.; Shinozaki, K.; Kubonoya, H.; Kaiho, I.; Shirasawa, H. Broad-spectrum detection of papillomaviruses in bovine teat papillomas and healthy teat skin. J. Gen. Virol. 2004, 85, 2191–2197. [Google Scholar] [CrossRef] [PubMed]
- Schmitt, M.; Fiedler, V.; Muller, M. Prevalence of BPV genotypes in a German cowshed determined by a novel multiplex BPV genotyping assay. J. Virol. Methods 2010, 170, 67–72. [Google Scholar] [CrossRef] [PubMed]
- Chambers, G.; Ellsmore, V.A.; O’Brien, P.M.; Reid, S.W.; Love, S.; Campo, M.S.; Nasir, L. Association of bovine papillomavirus with the equine sarcoid. J. Gen. Virol. 2003, 84, 1055–1062. [Google Scholar] [CrossRef] [PubMed]
- Bogaert, L.; Martens, A.; De Baere, C.; Gasthuys, F. Detection of bovine papillomavirus DNA on the normal skin and in the habitual surroundings of horses with and without equine sarcoids. Res. Vet. Sci. 2005, 79, 253–258. [Google Scholar] [CrossRef]
- Wobeser, B.K. Making the diagnosis—Equine sarcoid. Vet. Pathol. 2017, 54, 9–10. [Google Scholar] [CrossRef]
- Bialek, R.; Cirera, A.C.; Herrmann, T.; Aepinus, C.; Shearn-Bochsler, V.I.; Legendre, A.M. Nested PCR assays for detection of Blastomyces dermatitidis DNA in paraffin-embedded canine tissue. J. Clin. Microbiol. 2003, 41, 205–208. [Google Scholar] [CrossRef]

| Papillomavirus DNA Amplified | Primer | Length of Amplicon (bp) |
|---|---|---|
| BPV1 | jmBPV1F. 5’-AGCTGTGATTTCCACAGAGC-3’ | 111 |
| jmBPV1R. 5’-TGGAACCCCACTAACAGAGT-3’ | ||
| BPV2 | jmBPV2F. 5’-CTGTGCCTCCTAGTGGTTGG-3’ | 198 |
| jmBPV2R. 5’-TACCAAGTCACTGTGGGGGA-3’ | ||
| BPV13 | jmBPV13F. 5’- ACAGTTGAACATCCTGCCCC-3’ | 112 |
| jmBPV13R. 5’- ATCCCAAAACCGTAGCCCTG-3’ | ||
| BPV14 | jmBPV14F. 5’-GGAACAAACCTCACAATCAC-3’ | 195 |
| jmBPV14R. 5’-CCAGTTCTCTAATACTGAGG-3’ | ||
| OaPV2 | jmOaPV2F. 5’-CTCGTAACCATTGCCTCATGC-3’ | 219 |
| jmOaPV2R. 5’-TGCCAGCAACAATCAGGCTA-3’ |
| Group | PV DNA (%) | No PV DNA (%) | Total |
|---|---|---|---|
| All sarcoids | 94 (90.4) | 10 (9.6) | 104 |
| Upper North Island | 13 (92.9) | 1 (7.1) | 14 |
| Central North Island | 41 (91.1) | 4 (8.9) | 45 |
| 1996–2000 | 20 (90.9) | 2 (9.1) | 22 |
| 2015–2020 | 21 (91.3) | 2 (8.7) | 23 |
| South Island | 40 (88.9) | 5 (11.1) | 45 |
| Group | Only BPV1 (%) | Only BPV2 (%) | BPV1 and BPV2 (%) | Total |
|---|---|---|---|---|
| All sarcoids | 2 (2.1) | 83 (88.3) | 9 (9.6) | 94 |
| Upper North Island | 1 (7.7) | 12 (92.3) | 0 (0) | 13 |
| Central North Island | 1 (2.4) | 35 (85.4) | 5 (12.2) | 41 |
| 1996–2000 | 0 (0) | 18 (90) | 2 (10) | 20 |
| 2015–2020 | 1 (4.7) | 17 (81) | 3 (14.3) | 21 |
| South Island | 0 (0) | 36 (90) | 4 (10) | 40 |
Publisher’s Note: MDPI stays neutral with regard to jurisdictional claims in published maps and institutional affiliations. |
© 2021 by the authors. Licensee MDPI, Basel, Switzerland. This article is an open access article distributed under the terms and conditions of the Creative Commons Attribution (CC BY) license (https://creativecommons.org/licenses/by/4.0/).
Share and Cite
Munday, J.S.; Orbell, G.; Fairley, R.A.; Hardcastle, M.; Vaatstra, B. Evidence from a Series of 104 Equine Sarcoids Suggests That Most Sarcoids in New Zealand Are Caused by Bovine Papillomavirus Type 2, although Both BPV1 and BPV2 DNA Are Detectable in around 10% of Sarcoids. Animals 2021, 11, 3093. https://doi.org/10.3390/ani11113093
Munday JS, Orbell G, Fairley RA, Hardcastle M, Vaatstra B. Evidence from a Series of 104 Equine Sarcoids Suggests That Most Sarcoids in New Zealand Are Caused by Bovine Papillomavirus Type 2, although Both BPV1 and BPV2 DNA Are Detectable in around 10% of Sarcoids. Animals. 2021; 11(11):3093. https://doi.org/10.3390/ani11113093
Chicago/Turabian StyleMunday, John S., Geoff Orbell, Rob A. Fairley, Michael Hardcastle, and Bernie Vaatstra. 2021. "Evidence from a Series of 104 Equine Sarcoids Suggests That Most Sarcoids in New Zealand Are Caused by Bovine Papillomavirus Type 2, although Both BPV1 and BPV2 DNA Are Detectable in around 10% of Sarcoids" Animals 11, no. 11: 3093. https://doi.org/10.3390/ani11113093
APA StyleMunday, J. S., Orbell, G., Fairley, R. A., Hardcastle, M., & Vaatstra, B. (2021). Evidence from a Series of 104 Equine Sarcoids Suggests That Most Sarcoids in New Zealand Are Caused by Bovine Papillomavirus Type 2, although Both BPV1 and BPV2 DNA Are Detectable in around 10% of Sarcoids. Animals, 11(11), 3093. https://doi.org/10.3390/ani11113093

