Effects of a Trans-Galactooligosaccharide on Biochemical Blood Parameters and Intestine Morphometric Parameters of Common Carp (Cyprinus carpio L.)
Simple Summary
Abstract
1. Introduction
2. Material and Methods
2.1. Fish Culture and Feeding
2.2. Growth Analyses
2.3. Biochemical Analyses
2.4. Histological Analyses
2.5. Statistical Analyses
3. Results
3.1. Growth Performance
3.2. Biochemical Blood Parameters
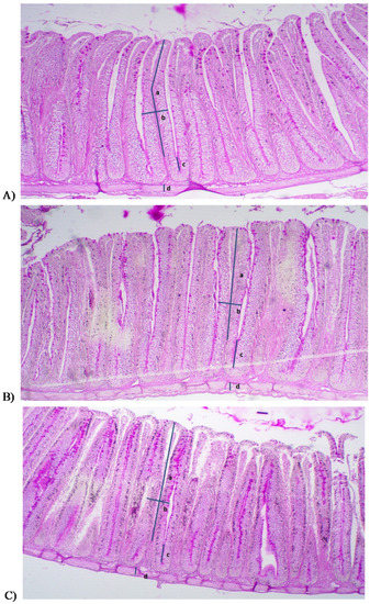
3.3. Histological Measurements
4. Discussion
4.1. Growth
4.2. Blood Biochemistry
4.3. Histology
5. Conclusions
Author Contributions
Funding
Conflicts of Interest
References
- Akhter, N.; Wu, B.; Memon, A.M.; Mohsin, M. Probiotics and prebiotics associated with aquaculture: A review. Fish Shellfish Immunol. 2015, 45, 733–741. [Google Scholar] [CrossRef] [PubMed]
- Uzar, T.; Andrzejewski, W.; Mazurkiewicz, J. Microbiome of the digestive tract and probiotic therapy in cyprinids. Pol. J. Nat. Sci. 2019, 34, 157–170. [Google Scholar]
- Akrami, R.; Mansour, M.R.; Ghobadi, S.; Ahmadifar, E.; Khoshroudi, M.S.; Haji, M.S.M. Effect of prebiotic mannan oligosaccharide on hematological and blood serum biochemical parameters of cultured juvenile great sturgeon (Huso huso Linnaeus, 1754). J. Appl. Ichthyol. 2013, 29, 1214–1218. [Google Scholar] [CrossRef]
- Havenaar, R.; Bonnin-Marol, S.; Van Dokkum, W.; Petites, S.; Schaafsma, G. Inulin: Fermentation and microbial ecology in the intestinal tract. Food Rev. Int. 1999, 15, 109–120. [Google Scholar] [CrossRef]
- Kumari, J.; Sahoo, P.K. Dietary beta-1,3 glucan potentiates innate immunity and disease resistance of Asian catfish, Clarias batrachus (L.). J. Fish Dis. 2006, 29, 95–101. [Google Scholar] [CrossRef]
- Paulsen, S.M.; Lunde, H.; Engstad, R.E.; Robertsen, B. In vivo effects of beta-glucan and LPS on regulation of lysozyme activity and mRNA expression in Atlantic salmon (Salmo salar L.). Fish Shellfish Immunol. 2003, 14, 39–54. [Google Scholar] [CrossRef]
- Hoseinifar, S.H.; Soleimani, N.; Ringø, E. Effects of dietary fructo-oligosaccharide supplementation on the growth performance, haemato-immunological parameters, gut microbiota and stress resistance of common carp (Cyprinus carpio) fry. Br. J. Nutr. 2014, 112, 1296–1302. [Google Scholar] [CrossRef]
- Gultepe, N.; Hisar, O.; Salnur, S.; Hossu, B.; Tansel Tanrikul, T.; Aydlin, S. Preliminary assessment of dietary mannan oligosaccharides on growth performance and health status of gilthead seabream (Sparus auratus). J. Aquat. Anim. Health 2012, 24, 37–42. [Google Scholar] [CrossRef]
- Akrami, R.; Gharaei, A.; Karami, R. Age and sex specific variation in hematological and serum biochemical parameters of beluga (Huso huso Linnaeus, 1758). IJAB 2013, 1, 132–137. [Google Scholar]
- Blaxhall, P.C.; Daisley, K.W. Routine haematological methods for use with fish blood. J. Fish Biol. 1973, 5, 771–781. [Google Scholar] [CrossRef]
- Hoseinifar, S.H.; Mirvaghefi, A.; Merrifield, D.L.; Amiri, B.M.; Yelghi, S.; Bastami, K.D. The study of some haematological and serum biochemical parameters of juvenile beluga (Huso huso) fed oligofructose. Fish Physiol. Biochem. 2011, 37, 91–96. [Google Scholar] [CrossRef] [PubMed]
- Mirghaed, A.T.; Hoseini, S.S.M.; Ghelichpour, M. Effects of dietary 1,8-cineole supplementation on physiological, immunological and antioxidant responses to crowding stress in rainbow trout (Oncorhynchus mykiss). Fish Shellfish Immunol. 2018, 81, 182–189. [Google Scholar] [CrossRef] [PubMed]
- Guerreiro, I.; Olivia-Teles, A.; Enes, P. Prebiotics as functional ingredients: Focus on Mediterranean fish aquaculture. Rev. Aquac. 2018, 10, 800–832. [Google Scholar] [CrossRef]
- Asaduzzaman, M.D.; Iehata, S.; Aker, S.; Kader, M.D.A.; Ghosh, S.K.; Nurul Absar Khan, M.; Abol-Muna, A.B. Effects of host gut-derived probiotic bacteria on gut morphology, microbiota composition and volatile short chain fatty acids production of Malaysian Mahseer Tor tambroides. Aquac. Res. 2018, 9, 53–61. [Google Scholar] [CrossRef]
- Akter, M.N.; Sutriana, A.; Talpur, A.D.; Hashim, R. Dietary supplementation with mannan oligosaccharide influences growth, digestive enzymes, gut morphology, and microbiota in juvenile stripes catfish (Pangasianodon hypophthalmus). Aquac. Int. 2016, 24, 127–144. [Google Scholar] [CrossRef]
- Qiyou, X.; Qing, Z.; Hong, X.; Changan, W. Dietary glutamine supplementation improves growth performance and intestinal digestion/absorption ability in young hybrid sturgeon (Acipenser schrenckii ♀ × Huso dauricus ♂). J. Appl. Ichthyol. 2011, 27, 721–726. [Google Scholar] [CrossRef]
- Yang, H.; Li, X.; Huan, D.; Xu, Z.; Zhang, Y.; Leng, X. Effect of three positively buoyant dietary supplements on the buoyancy of feces, growth and intestinal health Tilapia, Oreochromis niloticus × O. aureus. Aquac. Fish. 2018, 3, 72–78. [Google Scholar] [CrossRef]
- Korylyak, M.Z. Morphological characteristics intestine two-years carp hepatopancreas and in applying milled fruits thistle. Scientific Messenger of LNU of Veterinary Medicine and Biotechnologies. Series. Vet. Sci. 2015, 17, 218–223. [Google Scholar]
- Zhang, R.; Wang, X.W.; Zhu, J.Y.; Liu, L.L.; Liu, Y.C.; Zhu, H. Dietary sanguinarine affected immune response, digestive enzyme activity and intestinal microbiota of Koi carp (Cryprinus carpiod). Aquaculture 2019, 502, 72–79. [Google Scholar] [CrossRef]
- Dawood, M.A.O.; Koshio, S. Recent advances in the role of probiotics and prebiotics in carp aquaculture: A review. Aquaculture 2016, 454, 243–251. [Google Scholar] [CrossRef]
- Hoseinifar, S.H.; Ahmadi, A.; Raeisi, M.; Hoseini, S.M.; Khalili, M.; Behnampour, N. Comparative study on immunomodulatory and growth enhancing effects of three prebiotics (galactooligosaccharide, fructooligosaccharide and inulin) in common carp (Cyprinus carpio). Aquac. Res. 2017, 48, 3298–3307. [Google Scholar] [CrossRef]
- Mehrabi, F.; Khalesi, M.K.; Hazaie, K. Effects of Pre- and Probiotics on Growth, Survival, Body Composition, and Hematology of Common Carp (Cyprinus carpio L.) Fry from the Caspian Sea Introduction. Turk. J. Fish. Aquat. Sci. 2018, 18, 597–602. [Google Scholar] [CrossRef]
- Tzortzis, G.; Goulas, A.K.; Gibson, G.R. Synthesis of prebiotic galactooligosaccharides using whole cells of a novel strain, Bifidobacterium bifidum NCIMB 41171. Appl. Microbiol. Biotechnol. 2005, 68, 412–416. [Google Scholar] [CrossRef]
- Pokusaeva, K.; Fitzgerald, G.F.; Sinderen, D. Carbohydrate metabolism in Bifidobacteria. Genes Nutr. 2011, 6, 285. [Google Scholar] [CrossRef] [PubMed]
- Bednarczyk, M.; Stadnicka, K.; Kozlowska, I.; Abiuso, C.; Tavaniello, S.; Dankowiakowska, A. Influence of different prebiotics and mode of their administration on broiler chicken performance. Animal 2016, 10, 1–9. [Google Scholar] [CrossRef]
- Sławińska, A.; Dunisławska, A.; Plowiec, A.; Radomska, M.; Lachmanska, J.; Siwek, M.; Tavaniello, S.; Maiorano, G. Modulation of microbial communities and mucosal gene expression in chicken intestines after galactooligosaccharides delivery In Ovo. PLoS ONE 2019, 14, e0212318. [Google Scholar] [CrossRef]
- Bogucka, J.; Dankowiakowska, A.; Elminowska-Wenda, G.; Sobolewska, A.; Szczerba, A.; Bednarczyk, M. Effects of prebiotics and synbiotics delivered in ovo on broiler small intestine histomorphology during the first days after hatching. Folia Biol. 2016, 64, 131–143. [Google Scholar] [CrossRef]
- Sobolewska, A.; Bogucka, J.; Dankowiakowska, A.; Elminowska-Wenda, G.; Stadnicka, K.; Bednarczyk, M. The impact of synbiotic administration through in ovo technology on the microstructure of a broiler chicken small intestine tissue on the 1st and 42nd day of rearing. J. Anim. Sci. Biotechnol. 2017, 8, 61. [Google Scholar] [CrossRef]
- Directive 2010/63/EU of the European Parliament and of the council of 22 September 2010 on the protection of animals used for scientific purposes. J. Eur. Union 2010, 276, 33–79.
- NRC. Nutrient Requirement of Fish and Shrimp. Animal Nutrition Series; The National Academies Press: Washington, DC, USA, 2011. [Google Scholar]
- De Silva, S.S.; Anderson, T.A. Fish Nutrition in Aquaculture; Chapmann & Hall: London, UK, 1995; p. 319. [Google Scholar]
- Takeuchi, T.; Satoh, S.; Kiron, V. Common carp, Cyprinus carpio. In Nutrient Requirements and Feeding of Finfish for Aquaculture; Webster, C.D., Lim, C., Eds.; CABI Publishing: New York, NY, USA, 2002; pp. 245–261. [Google Scholar]
- Horváth, L.; Tamás, G.; Seagrave, C. Carp and Pond Fish Culture, 2nd ed.; Blackwell Science: Oxford, UK, 2002. [Google Scholar]
- Miyatake, H. Carp. Yoshoku 1997, 34, 108–111. (In Japanese) [Google Scholar]
- Hoffmann, L.; Rawski, M.; Nogales-Merida, S.; Mazurkiewicz, J. Dietary inclusion of Tenebrio molitor meal in sea trout larvae rearing: Effects on fish growth performance, survival, condition, and GIT and liver enzymatic activity. Ann. Anim. Sci. 2020. [Google Scholar] [CrossRef]
- Jozefiak, A.; Nogales-Merida, S.; Rawski, M.; Kierończyk, B.; Mazurkiewicz, J. Effects of insect diets on the gastrointestinal tract health and growth performance of Siberian sturgeon (Acipenser baerii Brandt, 1869). BMC Veter Res. 2019, 15, 348. [Google Scholar] [CrossRef]
- Sakamoto, K.; Hirose, H.; Onizuka, A.; Hayashi, M.; Futamuta, N.; Kawamura, Y.; Ezaki, T. Quantitative study of changes in intestinal morphology and mucus gel on total parenteral nutrition in rats. J. Surg. Res. 2000, 94, 99–106. [Google Scholar] [CrossRef] [PubMed]
- Uni, Z.; Ganot, S.; Sklan, D. Post-hatch development of mucosal function in the broiler small intestines. Poult. Sci. 1998, 77, 75–82. [Google Scholar] [CrossRef] [PubMed]
- Akrami, R.; Karimabadi, A.; Mohammadzadeh, H.; Ahmadifar, E. Effect of dietary mannan oligosaccharide on growth performance, survival, body composition and salinity stress resistance in Kutum (Rutilus frisii kutum) fry stage. J. Mar. Sci. Technol. 2010, 8, 47–57. [Google Scholar]
- Talpur, A.D.; Munir, M.B.; Mary, A.; Hashim, R. Dietary probiotics and prebiotics improved food acceptability, growth performance, hematology and immunological parameters and disease resistance against Aeromonas hydrophila in snakehead (Channa striata) fingerlings. Aquaculture 2014, 426–427, 14–20. [Google Scholar] [CrossRef]
- Amani Denji, K.; Razeghi Mansour, M.; Akrami, R.; Ghobadi, S.; Jafarpour, S.A.; Mirbeygi, S.K. Effect of dietary prebiotic mannan oligosaccharide (MOS) on growth performance, intestinal microflora, body composition, haematological and blood serum biochemical parameters of rainbow trout (Oncorhynchus mykiss) juveniles. J. Fish Aquat. Sci. 2015, 10, 255–265. [Google Scholar]
- Heyer, C.M.E.; Weiss, E.; Schmucker, S.; Rodehutscord, M.; Hoelzle, L.E.; Mosenthin, R.; Stefanski, V. The impact of phosphorus on the immune system and the intestinal microbiota with special focus on the pig. Nutr. Res. Rev. 2015, 28, 67–82. [Google Scholar] [CrossRef]
- Pietrzak, E.; Mazurkiewicz, J.; Slawinska, A. Innate Immune Responses of Skin Mucosa in Common Carp (Cyprinus Carpio) Fed a Diet Supplemented with Galactooligosaccharides. Animals 2020, 10, 438. [Google Scholar] [CrossRef]
- Ebrahimi, G.; Ouraji, H.; Khales, M.K.; Sudagar, M.; Barari, A.; Zarei Dangesaraki, M.; Jani Khalili, K.H. Effects of a prebiotics, Immunogen® on feed utilization, body composition, immunity and resistance of Aeromonas hydrophila infection in the common carp Cyprinus carpio (Linnaeus) fingerlings. J. Anim. Physiol. Anim. Nutr. 2012, 96, 591–599. [Google Scholar] [CrossRef]
- Andrews, S.R.; Sahu, N.P.; Pal, A.K.; Kumar, S. Haematological modulation and growth of Labeo rohita fingerlings: Effect of dietary mannan oligosaccharide, yeast extract, protein hydrolysate and chlorella. Aquac. Res. 2009, 41, 61–69. [Google Scholar] [CrossRef]
- Mátéová, S.; Saly, J.; Tuèková, M.; Koscová, J.; Nemcová, R.; Gaálová, M.; Baranová, D. Effect of probiotics, prebiotics and herb oil on performance and metabolic parameters of broiler chickens. MedWet 2008, 64, 294–297. [Google Scholar]
- Chang, C.F.; Su, M.S.; Chen, H.Y.; Liao, I.C. Dietary β-1,3-betaglucan effectively improves immunity and survival of Penaeus monodon challenged with white spot syndrome virus. Fish Shellfish Immunol. 2003, 15, 297–310. [Google Scholar] [CrossRef]
- Patriche, T.; Patriche, N.; Bocioc, E.; Coada, M.T. Serum biochemical parameters of farmed carp (Cyprinus carpio). AACL Bioflux 2011, 4, 137–140. [Google Scholar]
- Ye, J.D.; Wang, K.; Li, F.D.; Sun, Y.Z. Single or combined effects of fructo- and mannan oligosaccharide supplements and Bacillus clausii on the growth, feed utilization, body composition, digestive enzyme activity, innate immune response and lipid metabolism of Japanese flounder Paralichthys olivaceus. Aquac. Nutr. 2011, 17, e902–e912. [Google Scholar]
- Mistry, R.H.; Gu, F.; Schols, H.A.; Verkade, H.J.; Tietge, U.J.F. Effect of the prebiotic fiber inulin on cholesterol metabolism in wildtype mice. Sci. Rep. 2018, 8, 13238. [Google Scholar] [CrossRef] [PubMed]
- Ahmdifar, E.; Akrami, R.; Ghelichi, A.; Zarejabad, A. Effects of different dietary prebiotic inulin levels on blood serum enzymes, hematologic, and biochemical parameters of great sturgeon (Huso huso) juveniles. Comp. Haematol. Int. 2011, 20, 447–451. [Google Scholar] [CrossRef]
- Silva, T.F.A.; Petrillo, T.R.; Yunis-Aguinaga, J.; Marcusso, P.F.; Claudiano, G.S.; de Moraes, F.R.; de Moraes, J.R.E. Effects of the probiotics Bacillus amyloliquefaciens on growth performance, hematology and intestinal morfometry in cage-reared Nile tilapia. Lat. Am. J. Aquat. Res. 2015, 43, 963–971. [Google Scholar]
- Adel, M.; Nayak, S.; Lazzado, C.C.; Yeganeh, S. Effect of dietary prebiotic GroBiotic®—A on growth performance, plasma thyroid hormones and mucosal immunity of great sturgeon, Huso huso (Lnnaeus, 1758). J. Appl. Ichthyol. 2016, 32, 825–831. [Google Scholar] [CrossRef]
- Yuji-Sado, R.; Raulino-Domanski, F.; de Freitas, P.; Baioco-Sales, F. Growth, immune status and intestinal morphology of Nile tilapia fed dietary prebiotics (mannan oligosaccharides-MOS). Lat. Am. J. Aquat. Res. 2015, 43, 944–952. [Google Scholar]
- Zhou, Q.C.; Buentello, J.A.; Gatlin, D.M. Effects of dietary prebiotics on growth performance, immune response and intestinal morphology of red drum (Sciaenops ocellatus). Aquaculture 2010, 309, 253–257. [Google Scholar] [CrossRef]
- Anguiano, M.; Pohlenz, C.; Buentello, A.; Gatlin, D.M. The effects of prebiotics on the digestive enzymes and gut histomorphology of red drum (Sciaenops ocellatus) and hybrid striped bass (Morone chrysops × M. saxatilis). Br. J. Nutr. 2013, 109, 623–629. [Google Scholar] [CrossRef]
- Dimitroglou, A.; Merrifield, D.L.; Spring, P.; Sweetman, J.; Moate, R.; Davies, S.J. Effects of mannan oligosaccharide (MOS) supplementation on growth performance, feed utilization, intestinal histology and gut microbiota of gilthead sea bream (Sparus aurata). Aquaculture 2010, 300, 182–188. [Google Scholar] [CrossRef]
- Dimitroglou, A.; Davies, S.J.; Sweetman, J.; Pascal, D.; Chatzifotis, S. Dietary supplementation of mannanoligosaccharide on white sea bream (Diplodus sargus L.) larvae: Effects on development, gut morphology and salinity tolerance. Aquac. Res. 2010, 41, 245–251. [Google Scholar] [CrossRef]
- Salze, G.; Mclean, E.; Schwarz, M.H.; Craig, S.R. Dietary mannan oligosaccharide enhances salinity tolerance and gut development of larval cobia. Aquaculture 2008, 274, 148–152. [Google Scholar] [CrossRef]
- Pryor, G.S.; Royes, J.B.; Chapman, F.A.; Miles, R.D. Mannan oligosaccharides in fish nutrition: Effects of dietary supplementation on growth and gastrointestinal villi structure in Gulf of Mexico sturgeon. N. Am. J. Aquac. 2003, 65, 106–111. [Google Scholar] [CrossRef]
- Peterson, B.C.; Booth, N.J.; Barrows, F.T.; Manning, B.B. Improved survival in channel catfish fed mannanoligosaccharides in an extruded diet. Open J. Anim. Sci. 2012, 2, 57–61. [Google Scholar] [CrossRef]
- Torrecillas, S.; Makol, A.; Caballero, R.J.; Montero, D.; Robaina, R.; Real, F.; Sweetman, J.; Tort, L.; Izquierdo, M.S. Immune stimulation and improved infection resistance in European sea bass (Dicentrar chus labrax) fed mannan oligosaccharides. Fish Shellfish Immunol. 2007, 23, 969–981. [Google Scholar] [CrossRef]
- Torrecillas, S.; Makol, A.; Caballero, M.J.; Montero, D.; Ginés, R.; Sweetman, S.; Izquierdo, M. Improved feed utilization, intestine mucus production and immune parameters in sea bass (Dicentrarchus labrax) feed mannan oligosaccharides (MOS). Aquac. Nutr. 2011, 17, 223–233. [Google Scholar] [CrossRef]


| Ingredient | Composition (%) | ||
|---|---|---|---|
| C | B1 | B2 | |
| Fish meal 1 | 12.3 | 12.3 | 12.3 |
| Blood meal 2 | 10.0 | 10.0 | 10.0 |
| DDGS 3 | 11.0 | 11.0 | 11.0 |
| Soybean meal 4 | 15.0 | 15.0 | 15.0 |
| Rapeseed meal 5 | 10.0 | 10.0 | 10.0 |
| Wheat meal | 32.8 | 31.8 | 30.8 |
| Fish oil 6 | 4.6 | 4.6 | 4.6 |
| Soybean lecithin 7 | 1.0 | 1.0 | 1.0 |
| Vitamin-mineral premix 8 | 1.5 | 1.5 | 1.5 |
| Vitamin premix 9 | 0.1 | 0.1 | 0.1 |
| Choline chloride | 0.2 | 0.2 | 0.2 |
| Fodder chalk | 1.5 | 1.5 | 1.5 |
| Prebiotic 10 | 0 | 1 | 2 |
| Approximate composition (% dry matter) | |||
| Crude protein | 35.06 | ||
| Crude lipid | 9.08 | ||
| Crude fibers | 3.93 | ||
| Total phosphorus | 0.83 | ||
| Calcium | 1.36 | ||
| Ash | 7.17 | ||
| Gross energy (MJ·kg−1) | 18.51 | ||
| Essential amino acids | g/100 g of crude protein | ||
| Arginine | 4.53 | ||
| Histidine | 2.8 | ||
| Lysine | 3.5 | ||
| Tryptophan | 1.04 | ||
| Phenylalanine + Tyrosine | 4.96 | ||
| Methionine + Cysteine | 1.75 | ||
| Threonine | 3.13 | ||
| Leucine | 6.72 | ||
| Isoleucine | 3.9 | ||
| Valine | 4.97 | ||
| Items | Control n = 4 | B1 n = 4 | B2 n = 4 | p-Value |
|---|---|---|---|---|
| FBW (g/fish) | 503 ± 8.24 | 502 ± 23.2 | 503 ± 24.1 | 0.997 |
| BWG(g/fish) | 321 ± 8.86 | 319 ± 24.7 | 321 ± 24.7 | 0.988 |
| FI(g/fish) | 385 ± 3.01 | 388 ± 9.09 | 385 ± 9.60 | 0.636 |
| FCR | 1.22 ± 0.03 | 1.22 ± 0.07 | 1.20 ± 0.07 | 0.907 |
| SGR(%/fish/day) | 2.03 ± 0.04 | 2.02 ± 0.11 | 2.03 ± 0.11 | 0.962 |
| PER | 2.35 ± 0.06 | 2.35 ± 0.13 | 2.38 ± 0.14 | 0.897 |
| PWG (%) | 176 ± 6.12 | 174 ± 15.1 | 176 ± 14.4 | 0.967 |
| Items | Control n = 16 | B1 n = 16 | B2 n = 16 | p-Value |
|---|---|---|---|---|
| TP (g/dL) | 3.11 ± 0.32 | 3.09 ± 0.23 | 3.15 ± 0.35 | 0.838 |
| Albumin (g/dL) | 1.49 ± 0.11 | 1.50 ± 0.06 | 1.51 ± 0.06 | 0.891 |
| Globulin (g/dL) | 1.62 ± 0.26 | 1.59 ± 0.19 | 1.64 ± 0.31 | 0.871 |
| Urea (mg/dL) | 15.20 ± 1.98 | 17.53 ± 2.14 | 14.47 ± 4.50 | 0.538 |
| TC (mg/dL) | 148.88 ± 10.90 | 150.50 ± 12.46 | 153.38 ± 19.25 | 0.682 |
| TG (mg/dL) | 281 ± 99 | 348 ± 97 | 294 ± 88 | 0.122 |
| NEFA (mmol/L) | 0.31 ± 0.03 | 0.36 ± 0.03 | 0.31 ± 0.03 | 0.910 |
| ALT (u/L) | 25.75 ± 8.14 | 23.38 ± 6.91 | 20.44 ± 8.16 | 0.164 |
| ALP (u/L) | 116.19 ± 59.24 | 110.88 ± 66.21 | 78.88 ± 38.04 | 0.135 |
| Ca (mg/dL) | 11.06 ± 0.55 | 11.15 ± 0.71 | 10.88 ± 0.74 | 0.511 |
| P (mg/dL) | 12.37 ± 2.19 a,b | 13.62 ± 2.11 a | 11.81 ± 1.59 b | 0.039 |
| Ca/P | 0.92 ± 0.15 | 0.84 ± 0.16 | 0.93 ± 0.09 | 0.139 |
| Glucose (mg/dL) | 82 ± 15.71 | 75 ± 17.99 | 73 ± 13.69 | 0.118 |
| Insulin (U/mL) | 2.57 ± 0.33 | 2.60 ± 0.28 | 2.65 ± 0.13 | 0.854 |
| TT3 hormone (nmol/L) | 3.09 ± 1.29 | 4.58 ± 0.90 | 4.57 ± 1.90 | 0.138 |
| Items | Control n = 16 | B1 n = 16 | B2 n = 16 | p-Value |
|---|---|---|---|---|
| Villi height VH (µm) | 788.96 b± 139.96 | 1040.98 a ± 159.65 | 981.21 a ± 152.58 | <0.001 |
| Villi width VW (µm) | 121.71 b ± 14.98 | 144.35 a ± 18.65 | 150.05 a ± 14.17 | <0.001 |
| Villus surface VS (µm2) | 300407.72 b ± 61527.71 | 471050,33 a ± 93853.46 | 462453,40 a ± 88447.20 | <0.001 |
| Crypt depth CD (µm) | 175.39 ± 52.98 | 177.76 ± 25.97 | 148.15 ± 39.96 | 0.094 |
| Tunica muscularis thickness (µm) | 51.08 b ± 6.72 | 57.41 a,b ± 7.12 | 65.82 a ± 13.74 | <0.001 |
| Villi height/Crypt depth (VH/CD) | 4.73 b ±1.15 | 6.03 a ± 1.56 | 6.91 a ± 1.46 | <0.001 |
© 2020 by the authors. Licensee MDPI, Basel, Switzerland. This article is an open access article distributed under the terms and conditions of the Creative Commons Attribution (CC BY) license (http://creativecommons.org/licenses/by/4.0/).
Share and Cite
Ziółkowska, E.; Bogucka, J.; Dankowiakowska, A.; Rawski, M.; Mazurkiewicz, J.; Stanek, M. Effects of a Trans-Galactooligosaccharide on Biochemical Blood Parameters and Intestine Morphometric Parameters of Common Carp (Cyprinus carpio L.). Animals 2020, 10, 723. https://doi.org/10.3390/ani10040723
Ziółkowska E, Bogucka J, Dankowiakowska A, Rawski M, Mazurkiewicz J, Stanek M. Effects of a Trans-Galactooligosaccharide on Biochemical Blood Parameters and Intestine Morphometric Parameters of Common Carp (Cyprinus carpio L.). Animals. 2020; 10(4):723. https://doi.org/10.3390/ani10040723
Chicago/Turabian StyleZiółkowska, Ewa, Joanna Bogucka, Agata Dankowiakowska, Mateusz Rawski, Jan Mazurkiewicz, and Magdalena Stanek. 2020. "Effects of a Trans-Galactooligosaccharide on Biochemical Blood Parameters and Intestine Morphometric Parameters of Common Carp (Cyprinus carpio L.)" Animals 10, no. 4: 723. https://doi.org/10.3390/ani10040723
APA StyleZiółkowska, E., Bogucka, J., Dankowiakowska, A., Rawski, M., Mazurkiewicz, J., & Stanek, M. (2020). Effects of a Trans-Galactooligosaccharide on Biochemical Blood Parameters and Intestine Morphometric Parameters of Common Carp (Cyprinus carpio L.). Animals, 10(4), 723. https://doi.org/10.3390/ani10040723

